
1Department of Cellular and Molecular Biology, Faculty of Sciences, Khenchela University, Khenchela, 40004, Algeria, 2Laboratory of Biochemistry and Microbiology, Department of Biochemistry, Faculty of Sciences, Badji Mokhtar University, BP 12 Sidi Amar, Annaba, Algeria
Email: douaouyalilia@yahoo.fr
Received: 22 Feb 2016 Revised and Accepted: 20 Apr 2016
ABSTRACT
Objective: Garlic (Allium sativum. L) plays an important dietary role, as well as medicinal, for centuries. Even today the use of garlic is widespread and growing. The present study investigated the effect of garlic extract and glibenclamide on biochemical parameters, enzyme activities, and reduced glutathione (GSH) content in the liver as well as on pancreas tissue in alloxan-induced diabetic rats.
Methods:Diabetes mellitus was induced in 28 out of 35 adult male albino rats, using an intraperitoneal injection of 150 mg/kg body weight of alloxan. The diabetic rats were divided into four groups, two of which were administered orally by garlic extract (250 and 500 mg/kg) and a group composed of diabetic rats was given the standard drug, glibenclamide, orally at a dose of 2.5 mg/kg. The control rats (normal and diabetic) were fed normal saline, once daily for 21 d.
Results: Oral administration of the garlic extract significantly decreased blood glycosylated hemoglobin, serum glucose, total cholesterol, triglycerides, total lipids, glutamic oxalic transaminase (GOT), glutamic pyruvic transaminase (GPT), lactate dehydrogenase (LDH), and alkaline phosphatase (ALP) levels, with significant increase in plasma insulin, and GSH content in liver of alloxan-diabetic rats in dose–dependent fashion which was comparable to an antidiabetic standard drug, glibenclamide, given at a dose of 2.5 mg/kg. Concurrent histological studies of the pancreas of these animals have confirmed the changes observed in biochemical parameters and proved the comparable preventive effect of garlic extract.
Conclusion: These results suggest the potential of garlic extract as a histo protective against free-radical-associated diabetes damage, preserving the ability of insulin secretion, and show a concentration-dependent antidiabetic effect.
Keywords: Garlic, Diabetes, Biochemical parameters, Glibenclamide, Pancreas, Rat
© 2016 The Authors. Published by Innovare Academic Sciences Pvt Ltd. This is an open access article under the CC BY license (http://creativecommons.org/licenses/by/4.0/)
INTRODUCTION
Diabetes mellitus is an endocrine disorder that is characterized by hyperglycemia [1]. A number of investigations, of oral anti-hyperglycemic agents from plants used in traditional medicine, have been conducted and many of the plants were found with good activity [2]. The World Health Organization (WHO) has also recommended the evaluation of the plants’ effectiveness in conditions where we lack safe, modern drugs [3]. This has leaded an increasing demand of research on natural antidiabetic products which produces minimal or no side effects. Garlic (Allium sativum L., Liliaceae) is a common spicy flavoring agent used since ancient times. Garlic has been cultivated for its characteristic flavor and medicinal properties. Although garlic has been used for centuries, and even nowadays is part of popular in many cultures, but until recently there has been little scientific support of its therapeutics and pharmacological properties. In the past decade, some protective effects of garlic have been well established by epidemiological studies and animal experiments. Elkayam, Mirelman and Peleg investigate the commercially available garlic preparations in the form of garlic oil, garlic powder, and pills are widely used for certain therapeutic purposes, including lowering blood pressure and improving lipid profile [4]. Garlic has been largely attributed to the reduction of risk factors for cardiovascular diseases and cancer [5], stimulation of immune function [6], hepatoprotection [7] and antioxidant effect [8]. In addition, garlic contains at least 33 sulfur compounds, several enzymes, 17 amino acids, and minerals such as selenium [9]. It contains a higher concentration of sulfur compounds than any other Allium species. The sulfur compounds are responsible both for garlic’s pungent odor and many of its medicinal effects.
Therefore, the purpose of the present study is first to examine the influence of oral administration of garlic extract and glibenclamide on biochemical parameters, the activities of some enzymes in plasma, glutathione level in liver and histopathology of the pancreas in the alloxan-induced diabetic rat.
MATERIALS AND METHODS
Preparation of garlic extract
Fresh garlic (Allium Sativum L.) was collected from North-East of Algeria (El Tarf Province), in July 2012, and identified by botanists in the herbarium of Badji Mokhtar University, Algeria. Then, the cloves were peeled, sliced, ground into a paste and a homogenate was made in distilled water. Two concentrations of the extract were prepared, 0.1 and 0.2 mg/ml, corresponding to 250 mg and 500 mg/kg body weight of the animal. Oral feeding was done within 30 min of preparation of homogenate.
Animals
Male albino Wistar rats used were 8 w old; they were procured from Pasture Institute, Algiers, Algeria, and were maintained at animal house of animal biochemistry department, Badji Mokhtar university, Annaba. The animals were divided into five groups (n=7 each) and housed in clean cages with temperature (22–24 °C), 12-h light/12-h dark cycle and relative air humidity 40–60%. Rats had free access to food and water.
Induction of diabetes
After one week of adaptation period with a nutritionally complete, rats were fasted overnight and injected intraperitoneally with a freshly prepared alloxan monohydrate solution at a dose of 150 mg/kg body weight [10]. The diagnosis of diabetes was based on hyperglycemia (blood glucose levels above 200 mg/dl) on the 3rd day after alloxan injection.
Experimental protocol
In the present experiment, 35 rats (28 diabetic and 7 normal rats) were used. The rats were randomly divided into five groups of seven males each. Garlic extract and standard drug, glibenclamide, were fed by gavages every day at fixed time (10.00 a. m) for 3 consecutive weeks as follows:
Group N-C:Normal Control rats were administrated 1 ml of normal saline.
Group DT-250: Diabetic Treated rats were administrated garlic extract (250 mg/kg body weight).
Group DT-500: Diabetic Treated rats were administrated garlic extract (500 mg/kg body weight).
Group D-C:Diabetic Control rats were administrated 1 ml of normal saline.
Group DT-Glb Diabetic Treated rats were administrated standard drug, glibenclamide (2.5 mg/kg body weight).
After three weeks of treatment, total body weights were recorded and animals were sacrificed,
Blood collection and biochemical analyze
Blood was collected with the ethylenediamine tetraacetic acid (EDTA) container and used for the preparation of plasma. Blood collected without anticoagulant was used for serum separation.
-Glucose was measured in 10 μl samples of whole blood by the glucose oxidase method, using an YSI model 27glucose analyzer and the kit constitute of phosphate buffer containing the enzymes (GOD, POD) and D-glucose (Sigma).
-Plasma insulin level was estimated with an enzyme linked immunosorbent assay (ELISA) kit using human insulin as standard [11].
-Lipids, cholesterol, and triglycerides concentrations were determined using commercial test kits for lipids [12], cholesterol [13] and triglycerides [14].
-Plasma was separated and used for glycosylated hemoglobin (HbA1c) assay according to a method of Bisse and Abraham [15].
-GOT, GPT, LDH and ALP activities were also determined using commercial test kits for GOT, GPT [16], LDH [17] and alkaline phosphatase [18].
Protein estimation
The protein contents were determined according to the method of Bradford [19] by using bovine serum albumin as a standard.
Determination of reduced glutathione
The measurement of liver reduced glutathione (GSH) concentration was performed by Weckbercker and Cory method [20] using a colorimetric technique, based on the development of a yellow colour when DTNB [(5,5 dithiobis-(2-nitrobenzoic acid)] is added to compounds containing sulfhydryl groups. In brief, 0.8 ml of liver supernatant was added to 0.2 ml of 0.25% sulfosalicylic acid, and then tubes were centrifuged at 1000 × g for 10 min. Supernatant (0.5 ml) was mixed with 0.025 ml of 0.01M DTNB and 1 ml phosphate buffer (0.1 M, pH 7.4). The absorbance at 412 nm was recorded. Finally, total GSH content was expressed as n mol GSH/mg protein.
Histopathological studies
For histopathological examination, pancreas obtained by dissection was washed with isotonic saline (9g sodium chloride/1 distilled water). It was immediately fixed in Bouin solution for 24 h, processed by using a graded ethanol series, and then embedded in paraffin. The paraffin sections were cut into 5 μm thick slices and stained with hematoxylin and eosin (H&E) [21]. All sections were examined for histological changes as shown in fig. 1. All pictures (microphotography’s) have a magnification of 400· and were performed with optic microscopy.
Statistical analysis
Data were expressed as means±SE. Data comparisons were carried out by using one-way ANOVA followed by Student’s t-test to compare means between the different treated groups. Differences were considered statistically significant at p ≤ 0.05.
RESULTS
Effect of administration of garlic extract on body weight gain, serum glucose, blood glycosylated hemoglobin and plasma insulin levels:
In the present study, we observed after three weeks of treatment a significant decrease in body weight in diabetic control rats (D-C) compared to normal controls (N-C) (table1), whereas diabetic rats orally treated with 250 and 500 mg/kg of garlic extract were maintained a good phenotype in a dose-dependent fashion. Besides, the experimentally induced diabetes increased the level of serum glucose and the percentage of HbA1c compared to the (N-C) group.
However, a decrease in serum glucose and blood glycosylated hemoglobin levels coupled with significant increase in plasma insulin was maximum in the group receiving 500 mg/kg BW of garlic extract which was comparable to an standard antidiabetic drug, glibenclamide, given at a dose of 2.5 mg/kg. (table1). The antidiabetic effect induced by garlic extract, as observed, was dose-related.
Effect of administration of treatment on serum biochemical parameters and liver reduced glutathione
The biochemical parameters (table 2) such as serum lipids, triglycerides, and cholesterol in experimental groups of rats shows a significant increase in the levels of lipids, triglycerides, cholesterol in alloxan-induced diabetic rats (D-C), when compared with normal control rats (N-C). Administration of glibenclamide at dose of 2.5 mg/kgand Allium sativum extract to diabetic rats for 21 d resulted in the restoration of biochemical parameters levels towards near normalcy in a dose-dependent fashion.
Liver reduced glutathione concentration of diabetic control animals was lower than this of normal control rats. This alteration was restored back to near normal in diabetic rats orally treated with 250 and 500 mg/kg of raw garlic homogenate and standard drug, glibenclamide (table 02).
Effect of administration of garlic extract and glibenclamide on the activities of pathophysiological enzymes
Table 3depicts the activities of GOT, GPT, LDH and ALP in the serum of experimental groups of rats. There was a significant increase in the activities of GOT, GPT, LDH and ALP in the serum of diabetic rats when compared with normal control rats. Daily oral administration of glibenclamide at dose of 2.5 mg/kgand Allium sativum extract to diabetic rats for 21 at doses of 250 and 500 mg/kg brought down these enzyme activities to near normal.
Table 1: Effect of garlic extract on body weight gain, glucose, blood glycosylated hemoglobin and plasma insulin levels after three weeks of treatmentin experimental groups
Groups |
Body weight gain (g) |
Glucose (mg/dl) (mean±SE) |
HbA1c ( ٪ ) |
Plasma insulin (µU/ml) |
N-C |
+31.3±11.2 |
116.10±11.1 |
2.23±0.5 |
13.65±4.32 |
D-C |
-06.14(a)***±9.92 |
408.48(a)***±10.2 |
3.72(a)***±0.47 |
5.69(a)***±2.75 |
DT-250 |
+14.9±19.37 |
284.8(b)**±85.63 |
2.53(b)**±0.53 |
9.16(b)**±2.56 |
DT-500 DT-Glb |
+37.3(b)***±14.5 +37.8(b)***±20.1 |
166.4(b)***±63.8 116.4(b)***±63.8 |
2.11(b)***±0.89 2.13(b)***±0.65 |
12.06(b)***±5.05 13.96(b)***±4.06 |
N-C:Normal Control D-C:Diabetic Control DT-250: Diabetic Treated rats with garlic extract at 250 mg/kg., DT-500: Diabetic Treated rats with garlic extract at 500 mg/kg. DT-Glb Diabetic Treated rats with glibenclamide at 2.5 mg/kg., Results are expressed as mean±SE (n=7). One-way ANOVA followed by Student’s t-test.** P≤0, 01, *** P≤ 0,001 (a): compared to (N-C) (b): compared to (D-C).
Table 2: Effect of garlic extract and glibenclamide on serum biochemical parameters and liver reduced glutathioneafter three weeks of treatment in experimental groups
Groups |
Lipids (mg/100 ml) |
Cholesterol (mg/100 ml)(mean±SE) |
Triglycerides (mg/100 ml) |
Liver GSH(nM/mg prot) |
N-C |
334.9±75.1 |
77.61±4.39 |
75.2±18.25 |
122.4±17.8 |
D-C |
753(a)***±130 |
105.69(a)***±11.63 |
114.61(a)**±16.13 |
94.2(a)**±11.4 |
DT-250 |
588(b)**±80,1 |
88.61(b)*±12.72 |
65.75(b)***±18.85 |
149.3(b)***±13.7 |
DT-500 |
480.6(b)***±102 |
79.89(b)***±6.29 |
40.96(b)***±14.22 |
186.6(b)***±21.1 |
DT-Glb |
380.3(b)***±92 |
76.59(b)***±7.19 |
70.91(b)***±14.82 |
145.6(b)***±11.1 |
N-C:Normal Control D-C:Diabetic Control DT-250: Diabetic Treated rats with garlic extract at 250 mg/kg., DT-500: Diabetic Treated rats with garlic extract at 500 mg/kg. DT-Glb Diabetic Treated rats with glibenclamide at 2.5 mg/kg., Results are expressed as mean±SE (n=7). One-way ANOVA followed by Student’s t-test. * P≤0, 05, ** P≤0, 01, *** P≤ 0,001 (a): compared to (N-C) (b): compared to (D-C)
Table 3: Effect of garlic treatment on pathophysiological enzymes activities after three weeks of treatment in experimental groups
Groups |
GOT (U/l) |
GPT (U/l)(mean±SE) |
LDH (U/l) |
ALP (U/l) |
N-C |
31.48±5.2 |
25.99±5.32 |
1419±110 |
283.1±32.9 |
D-C |
45.4(a)**±10.8 |
35.73(a)**±5.6 |
1970(a)***±273 |
610(a)***±46.7 |
DT-250 |
37.73±6.58 |
32.39±3.92 |
1252(b) ***±352 |
373.3(b) ***±119 |
DT-500 |
29.76(b)**±3.93 |
26.38(b) **±4.29 |
1295(b)***±235 |
243(b) ***±95.1 |
DT-Glb |
29.56(b)**±3.13 |
24.33(b) **±3.19 |
1315(b)***±135 |
199.2(b) ***±75 |
N-C:Normal Control D-C:Diabetic Control DT-250: Diabetic Treated rats with garlic extract at 250 mg/kg., DT-500: Diabetic Treated rats with garlic extract at 500 mg/kg. DT-Glb Diabetic Treated rats with glibenclamide at 2.5 mg/kg., Results are expressed as mean±SE (n=7). One-way ANOVA followed by Student’s t-test., * P≤0, 05, ** P≤0, 01, *** P≤ 0,001 (a): compared to (N-C) (b): compared to (D-C)
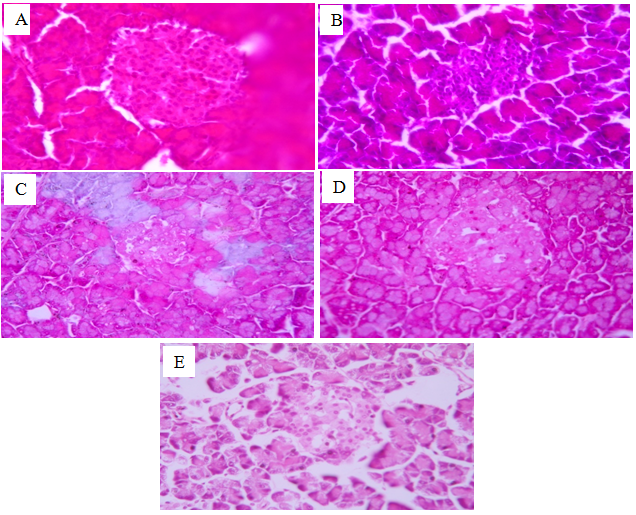
Effect of garlic extracts on pancreas histopathology
Fig. 1: Effect of garlic extract on histopathological damages in the pancreas after three weeks of treatment in experimental groups:A: Section of pancreas tissue from normal control rats (N-C) showing normal architecture. B: Section of pancreas tissue from diabetic control rats (D-C) showing degenerative vascular changes in the islets. C: Section of pancreas tissue from DT-250 group showing initial stages of regenerating islets. D: Section of pancreas tissue from DT-500 group showing apparently normal architecture. E: Section of pancreas tissue from DT-Glb group showing the apparently normal population of pancreatic islets. Optic microscopy: sections were stained using the hematoxylin-eosin method (400x)
DISCUSSION
Alloxan has been widely used for inducing type I diabetes in a variety of animals by affecting degeneration and necrosis of pancreatic β-cells [22]. The present results showed that alloxan-induction results in a decrease in body weight of diabetic rats which is possible due to catabolism of fats and protein, even though the food intake is more in diabetic rats than normal control. Due to insulin deficiency protein content is decreased in muscular tissue by proteolysis [23]. Daily oral administration of Allium sativum extract to diabetic rats for 21 d at doses of 250 and 500 mg/kg significantly improves body weight in diabetic rats. The present data indicated that the garlic extract significantly decreased serum glucose in treated diabetic rats in a dose-dependent fashion as compared with diabetic control rats.
Furthermore, the observed effects of the extract on weight loss compared favorably with glibenclamide. The hypoglycemic potency of garlic has been attributed to the sulphur compounds [di (2-propenyl) disulphide and 2-propenyl propyl disulphide, respectively] [24]. The mechanism of hypoglycemic action probably involves direct or indirect stimulation of insulin secretion [25]. Further, Augusti suggested that these disulphide compounds have the effect of sparing insulin from–SH inactivation by reacting with endogenous thiol-containing molecules such as cysteine, glutathione, and serum albumins [26]. The garlic extract might enhance glucose utilization because it significantly decreased the blood glucose level in glucose-loaded rats.
During diabetes, the excess glucose present in the blood reacts non-enzymatically with hemoglobin to form glycosylated hemoglobin (HbA1C). As a result, the rate of glycosylation is proportional to the concentration of blood glucose [27]. Hence, estimation of glycosylated hemoglobin is a well-accepted biochemical parameter useful for the diagnosis and management of the disease. The increased glycated hemoglobin is associated with loss of β-cell function and has been implicated in the complications of diabetes mellitus [28]. Oral administrations of Allium sativum tend to decrease the level of glycosylated hemoglobin by improving the blood glucose homeostasis.
Lipids play a vital role in the pathogenesis of diabetes mellitus. The most common lipid abnormalities in diabetes are hypertriglyceridemia and hypercholesterolemia. In our study, we have noticed elevated levels of serum lipids such as cholesterol and triglycerides in diabetic rats. The levels of increased serum lipids in diabetes represent a risk factor for coronary heart disease. Under normal circumstances, insulin activates lipoprotein lipase and hydrolyzes triglycerides [29]. Insulin increases uptake of fatty acids into adipose tissue and increases triglyceride synthesis. Moreover, insulin inhibits lipolysis. In the case of insulin deficiency, lipolysis is not inhibited, and we have increased lipolysis which finally leads to hyperlipidemia. In insulin-deficient diabetes, the concentration of serum free fatty acids is elevated as a result of free fatty acid outflow from fat depots, where the balance of the free fatty acid esterification–triglyceride lipolysis cycle is displaced in favor of lipolysis.
The administration of garlic extract significantly decreased serum triglycerides and cholesterol in diabetic rats which were comparable to an standard antidiabetic drug, glibenclamide, given at a dose of 2.5 mg/kg. Incontinence with the present data, other workers have reported that administration of fresh garlic or etheric garlic extracts was shown to improved lipid profile including reduction of serum cholesterol levels [30]. Short-term experiments using primary hepatocyte cultures, which have proved useful as tools for screening the anticholesterolemic properties of garlic. With respect to the cholesterol-lowering property of garlic, it has been suggested that some constituents of garlic may act as inhibitors for some enzymes such as hydroxy methyl glutaryl-CoA reductase, which participates in cholesterol synthesis [31]. Consistent with this idea, it has been shown that in vivo treatment of garlic extract reduces the lipid peroxidation products [32].
Serum enzymes including GOT, GPT, LDH and ALP are used in the evaluation of hepatic disorders. An increase in these enzymes activities reflects active liver damage/inflammatory hepatocellular disorders [33]. In accordance with these findings, increase in the activities of GOT, GPT, LDH and ALP in serum may be mainly due to the leakage of these enzymes from the liver cytosol into the blood stream [34], which gives an indication on the hepatotoxic effect of alloxan. On the other hand, Daily oral administration of glibenclamide at dose of 2.5 mg/kgand Allium sativum extract to diabetic rats for 21days at doses of 250 and 500 mg/kg caused reduction in the activity of these enzymes in serum compared to the mean values of the diabetic group and consequently may alleviate liver damage caused by alloxan-induced diabetes; these results were in agreement with other findings [35].
Reduced glutathione is a potent free radical scavenger. GSH within the islet of β-cell is an important factor against the progressive destruction of the β-cells following partial pancreatectomy [36]. Depletion of GSH results in enhanced lipid peroxidation. This can cause increased GSH consumption and can be correlated to increase in the level of oxidized glutathione (GSSG). Administration of garlic extract resulted in the elevation of the GSH level, which protects the cell membrane against oxidative damage by regulating the redox status of protein in the cell membrane similar results [37]. The hepatoprotective activity of garlic extract was higher at 500 mg/kg than glibenclamide. The increase in the GSH content may protect the tissues against diabetes associated tissue injury by reducing the susceptibility to toxic radicals.
The pathological changes observed in pancreas (fig. 1)of alloxan diabetic rats may be due to the hyperglycemia and its mediated oxidative stress. Allium sativum extract resulted in glucose homeostasis and attenuation of oxidative stress by optimization of antioxidant status [38], which could have protected tissue damage. The histological evidence authenticated the extent of tissue injury by alloxan and the protection offered to pancreatic β-cells by garlic extract in dose-dependent fashion preserving the ability of insulin secretion [39]. These results are in agreement with those obtained by Banerjee and Dinda [40] wherever they visualized the efficiency of this garlic extract on the protection of the heart against oxidative stress induced by ischemic reperfusion injury.
The present results showed that local spices of Allium sativum exerted antioxidant and antihyperglycemic effects and consequently may alleviate and protect pancreas damage caused by alloxan-induced diabetes which was comparable to an standard antidiabetic drug, glibenclamide, given at a dose of 2.5 mg/kg. The effects induced by the extract, as observed were dose-related. Further, it is concluded that the plant must be considered as an excellent candidate for future studies on diabetes mellitus. In addition, comprehensive pharmacological investigations, including chronic experimental studies, should be carried out.
CONFLICT OF INTERESTS
Declared none
REFERENCES