
1Laboratory of Toxicology, Department of Biology, Faculty of Sciences, Badji Mokhtar University, Annaba, Algeria., 2Laboratory of Toxicology, Department of Biology, Faculty of Sciences, Mentouri University, Constantine, Algeria, 3Laboratory of Biochemistry and Applied Microbiology, Department of Biochemistry, Badji Mokhtar University, Annaba, Algeria.
Email: kechridzine@yahoo.fr
Received: 28 Feb 2016 Revised and Accepted: 20 Apr 2016
ABSTRACT
Objective: The aim of this study was to investigate the effect of vitamins C and E separately and in combination against nickel-induced alterations in haematological indices and kidney dysfunction.
Methods: Male Swiss albino mice were divided into eight equal groups: Control, vitamin C (Vit C), vitamin E (Vit E), vitamin C and vitamin E (Vit C+Vit E), nickel (Ni), nickel and vitamin C (Ni+Vit C), nickel and vitamin E (Ni+Vit E), and nickel plus vitamins C and E (Ni+Vit C+Vit E). Vitamin C (1g/l) was given to mice through their drinking water. Vitamin E (1g/kg) and nickel as nickel sulfate (2.7 mg/kg) were supplemented in diet for four weeks.
Results: Nickel caused a significant decrease in body weight, food and water consumption along with significant increase in the absolute and relative kidney weights. Haemoglobin, red blood cells count (RBC), hemoglobin (Hb) concentration, platelet counts (Plt) and packed cell volume (PCV) were significantly diminished, while white blood cells count (WBC) increased in nickel exposed mice. The renal damage induced by nickel was evidenced by a significant increase in the levels of serum urea, creatinine and uric acid. However, vitamins C and E in combination more significantly ameliorated the altered histopathological and biochemical changes in the kidney as well as hematological parameters of Ni intoxicated mice than either vitamin C or E.
Conclusion: The study showed that vitamin C and E combination effectively attenuated Ni-induced heamatotoxicity and nephrotoxiicty in mice.
Keywords:Nickel, Vitamins C, Vitamin E, Heamatotoxicity, Kidney injury, Histopathology
© 2016 The Authors. Published by Innovare Academic Sciences Pvt Ltd. This is an open access article under the CC BY license (http://creativecommons.org/licenses/by/4.0/)
INTRODUCTION
Nickel is a toxic metal that released into the environment by industrial activities, such as the production of batteries and paints, and also a by-product of metal alloys and medical implants. Thus nickel is an important material in industries, and hence, public health environmental problems become inevitable following exposure to nickel compounds via contaminated water and foodstuffs [1, 2]. Nickel cannot be metabolized and, therefore, accumulates in the body, where it can accumulate to high levels in certain organs, in particular, the liver and the kidney, leading to serious health effects [3]. The kidney is particularly predisposed to nickel-induced toxicity and carcinogenicity due to its involvement in nickel toxicokinetics and excretion through urine, as well as it serves as a major organ of Ni accumulation [4]. Several reports are available showing that nickel-induced nephrotoxicity is strongly related with histopathological and serum biochemistry alterations [5, 6].
Moreover, nickel is a known cytotoxic metal that induces kidney cell damages [7, 8]. Although the toxic mechanisms of nickel toxicity and carcinogenicity are still poorly understood. On the other hand, severe adverse heamtotoxic effects including disorders of the bone marrow, haematopoietic systems and the onset of anemia have been noticed in Ni exposed animals [9, 10]. The hematotoxic effect of nickel is basically due to over stimulation of metallothionein and subsequent inducing production of reactive oxygen species (ROS) that leads to oxidative damage in erythrocytes [11, 12]. Recently, the exogenous supplementation of antioxidant molecules such as vitamins C and E have received a wide attention due to their ability to quench reactive oxygen species (ROS) and thereby protecting cellular damage [13]. Vitamin E (dl-α-tocopherol) known as a lipid soluble antioxidant, improves antioxidant defense, prevents lipid peroxidation chain reactions and it can scavenge molecular oxygen, peroxide and hydroxyl radicals and atomic oxygen radicals [14],while vitamin C (ascorbic acid) is known as a potent antioxidant, belongs to the water soluble class of vitamins. Vitamin C has the ability to scavenge molecular oxygen and hydroxyl radicals and atomic oxygen radicals [15]. Numerous research workers have studied the beneficial effect of vitamin C or vitamin E against nickel toxicity following in vivo animal studies [16, 17] and in vitro studies [18] over the last few years. To our knowledge, this was the first study on the protective effect of vitamins C and E combination against nickel-induced nephrotoxicity and haematotoxicity in mice.
MATERIALS AND METHODS
Animals
Sixty-four male Swiss albino mice weighing 29–33 g (Animal Unit of “Pasteur” Algiers Institute, Algeria) were used in this study. Animals were housed in plastic cages under a light-dark cycle 12/12 hour, a temperature 22±2 °C and humidity 40% with ad-libitum access to food and water. All experiments were carried out in accordance with ethical approval (AFRO. 123, 2009). Unless otherwise noted, all chemicals were obtained from Sigma Chemical Company (St Louis, France).
Experimental design
Mice were randomly divided into eight groups of eight mice each and subjected to various daily treatment regimes:
Group I:(Control mice) animals fed a standard diet and given bidistilled drinking water.
GroupII (Vit C): Mice received a standard diet and vitamin C in bidistilled drinking water (1g/l).
Group III (Vit E): Animals received standard diet enriched with vitamin E (1g/kg of diet).
Group IV (Vit C+Vit E): Mice received vitamin E (1g/kg of diet) and vitamin C (1g/l of bidistilled drinking water).
Group V (Ni): Mice received standard diet supplemented with nickel sulfate (2,7g NiSO4/kg diet).
Group VI (Ni+Vit C): Mice received standard diet supplemented with nickel sulfate (2,7g NiSO4/kg) and vitamin C in their drinking water (1g/l).
Group VII (Ni+Vit E): Animals received standard diet supplemented with nickel sulfate and vitamin E (1g Vit E+2,7g NiSO4/kg diet).
Group VIII (Ni+Vit C+Vit E): Mice received regimen the same as Group VII (1g Vit E+2,7g NiSO4/kg diet), except that their drinking water contained vitamin C (1g/l).
Vitamin C, vitamin E and nickel sulfate doses were chosen depending on previously established protocols [19], [20] and [21] respectively.Throughout the study, body weight, food intake and water consumption were monitored every three days. After thirty days, animals were killed for blood collection and kidney was removed immediately, fixed in bouin’s solution and used for histological examination.
Biochemical analysis
Serum biochemical markers: uric acid, creatinine and urea measured as a functional marker for nephrotoxicity. They were assessed using commercial diagnostic kits (Spinreact, Spain, ref: Creatinine-1001111, urea-1001329 and uric acid-1001011). Hematological parameters: red blood cell (RBC) count, white blood cell (WBC) count, hemoglobin (Hb) concentration, packed cell volume (PCV), and platelet count (Plt) were estimated utilizing fully automated hematological cell counter (Coulter Couter Lympho, serial « T » 540).
Histological evaluation
Slices of the kidney from each experimental group were dissected and immediately fixed in neutral buffered formalin for 24 h, processed by using a graded ethanol series, and then embedded in paraffin. The paraffin sections were cut into 5 µm thick slices and stained with haematoxylin and eosin for light microscopic examination.
Statistical analysis
Results were displayed as mean±standard error of the mean (S. E. M), and were subjected to statistical significance evaluation. Comparisons of multiple groups of each parameter separately were tested by one-way analysis of variance with Turkey post hoc test. The level of significance was set at p<0.05.
RESULTS
Effect of treatment on body weight, absolute and relative kidney weights
In table 1, the body weight of animals exposed to nickel was significantly decreased (p<0.01) as compared to control mice. Treatment with vitamin C and/or E along with nickel showed an improvement in body weight gain (p<0.01, p<0.001) compared to nickel group.
The absolute and relative kidney weights were significantly increased (p<0.01, p<0.001) in nickel treated animals and conversely a significant decrease was noticed (p<0.05, p<0.01) in the combined treatments, with more efficacity in vitamins C and E than either vitamin C or E along with nickel in comparison with nickel exposed mice.
Effect of treatments on Food and Water Intake
As seen in table 1, there was a significant decrease in water (p<0.001) and food intake (p<0.01) in nickel treated mice as compared to control group. Groups: Ni+Vit C, Ni+Vit E and Ni+Vit C+Vit E also showed a significant decrease (p<0.05) of these parameters when compared with control group, but when compared with nickel group, a significant increase of food and water consumption was observed; Ni+Vit C, Ni+Vit E (p<0.05) and Ni+Vit C+Vit E (p<0.01). Hence, the studied parameters were more improved in Ni+Vit C+Vit E treated the group as compared with either of Ni+Vit C or Ni+Vit E treatments.
Table 1: Effect of nickel and its combination with vitamin C and/or vitamin E on body weight, kidney weights (absolute and relative), food and water intake
Groups |
Body weight (g) |
Kidney weights |
Food intake g/100g bwt |
Water intake (ml/day) |
||
Initial |
Final |
Absolute (g) |
Relative g/100g bwt |
|||
Control |
30±0.6 |
41±1.11 |
1.2±0.05 |
0.33±0.03 |
6.62±0.34 |
7.81±0.37 |
Vit C |
31±0.71 |
38±0.22 |
1.19±0.02 |
0.34±0.01 |
6.09±0.26 |
7.06±0.24 |
Vit E |
33±1.1 |
40±0.17 |
1.2±0.03 |
0.32±0.02 |
5.86±0.21 |
7.18±0.11 |
Vit C+Vit E |
29±1.03 |
40±0.23 |
1.18±0.02 |
0.33±0.02 |
6.12±0.30 |
7.43±0.08 |
Ni |
29±1.05 |
18±0.13** |
1.85±0.07** |
1.17±0.02*** |
3.52±0.15** |
4.46±0.17*** |
Ni+Vit C |
32±0.9 |
26±1.21*##§ |
1.4±0.02**#§ |
0.7±0.04*#§ |
4.7±1.2*#§§ |
6.75±0.5*#§ |
Ni+Vit E |
33±1.07 |
28±0.73*## |
1.38±0.03**#§ |
0.68±0.06*#§ |
4.9±1.08*#§§ |
6.83±0.3*#§ |
Ni+Vit C+Vit E |
31±0.66 |
30±0.45*### |
1.3±0.02*## |
0.56±0.04*## |
5.15±0.6*## |
6.92±0.38*## |
Values are given as mean±SEM of eight mice each group.StatisticalySignificantly differences from control: *p<0.05, **p<0.01, ***p<0.001; from Ni: # p<0.05,, ##p<0.01, ###p<0.001; from Ni+Vit C+Vit E: §p<0.05, §§ p<0.01.
Effect of treatment on renal function
Kidney dysfunction was noted by a significant increase in serum urea (p<0.001), creatinine (p<0.001) and uric acid (p<0.01) levels of nickel exposed mice as compared to the control mice. Similarly, these functional kidney markers were significantly increased (p<0.05) in Ni+Vit C, Ni+Vit E and Ni+Vit C+Vit E when compared with the control group.
But when compared with nickel group, a significant decrease of the above mentionned parameters was noticed [serum urea: Ni+Vit C, Ni+Vit C+Vit E (p<0.01) and Ni+Vit E (p<0.05); serum uric acid: Ni+Vit C (p<0.05), Ni+Vit E and Ni+Vit C+Vit E (p<0.01); serum creatinine: Ni+Vit C, Ni+Vit C+Vit E (p<0.01) and Ni+Vit E (p<0.05)]. In addition, vitamin C and vitamin E concomitent treatment with nickel effectively reduced more the above biochemical parameters when compared to nickel along with either vitamin C or vitamin E (fig. 1).


Fig. 1: Serum kidney biochemical markers; creatinine, urea and uric acid in control and experimental animals
Values are given as mean±SEM of eight mice each group. Significantly differences from control: *p<0.05, **p<0.01, ***p<0.001; from Ni: #p<0.05,##p<0.01, ###p<0.001; from Ni+Vit C+Vit E: §p<0.05, §§p<0.01.
Effect of treatments on hematological parameters
As showed in table 2, nickel treatment resulted significant decrease of red blood cells (RBCs), platelet counts, packed cell volume (PCV %) (p<0.001) and hemoglobin (Hb) concentration (p<0.01) concomitant with significant increase of white blood cell (WBC) count (p<0.01) in nickel group when compared to control group. Also, Ni+Vit C, Ni+Vit E and Ni+Vit C+Vit E treatments showed a significant increase (p<0.05) of those parameters in comparison with control group, but when compared with nickel group, a significant increase of red blood cells: Ni+Vit C, Ni+Vit E (p<0.05) and Ni+Vit C+Vit E (p<0.01); packed cell volume: Ni+Vit E (p<0.05) and Ni+Vit C+Vit E (p<0.01); heamoglobin: Ni+Vit C and Ni+Vit E (p<0.05) and Ni+Vit C+Vit E (p<0.01); blood platelet: Ni+Vit C, Ni+Vit E and Ni+Vit C+Vit E (p<0.05) and a decrease of white blood cells: Ni+Vit C, Ni+Vit C+Vit E (p<0.05) and Ni+Vit E (p<0.01).
Whereas, treatments with both vitamins C and E exhibited a good protection than either vitamin C or E separately against nickel haematotoxicity. No significant changes were noticed in the studied parameters in either vitamin E or vitamin C treated animals when compared with untreated animals.Histological results
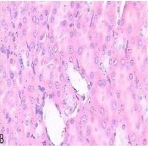
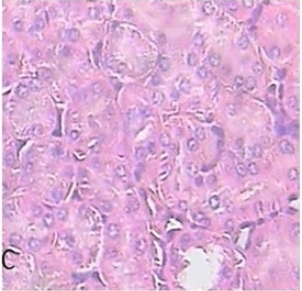
The average score obtained for each animal and then for each group were considered as final damage tissue score (fig. 2). Normal histology of the glomeruli and tubules in cortex and medulla was observed in the kidney of control mice (fig. 2A). The histoarchitictural patterns of kidney were almost normal in mice treated with Vit C and Vit E alone or in combination (fig. 2B-2D).
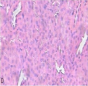
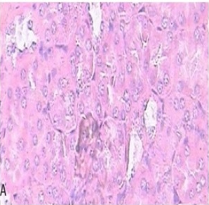
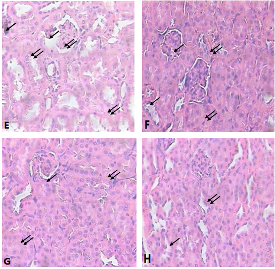
Histopathological studies showed that nickel-induced proximal tubule degeneration and tubular necrosis (double arrows), multiple foci of hemorrhage and inflammation with the presence of lymphocytes in interstitial tissue (single arrow) (fig. 3E). Indeed, pathological lesions induced by Ni were remarkably reduced by the administration of vitamin C or vitamin E, but both vitamins along with Ni proved to be more efficient in reducing nickel-induced severe tissue alterations (fig. 3F-3H).
Table 2: Effect of nickel and its combination with vitamin C and/or vitamin E on Red blood cells (RBC), white blood corpuscle (WBC) and blood platelet (Plt) counts, heamoglobin concentration (Hb) and packed cell volume (PCV)
Groups |
Red blood cells (106cell/µl) |
Packed cell volume (%) |
Heamoglobin (mg/dl) |
White blood cells (103cell/µl) |
Platelet counts (103 cell/µl) |
Control |
7. 28 ±0.4 |
44.12±0.9 |
13.37±0.6 |
6.06±0,22 |
721.6±42.7 |
Vit C |
6.97±0.36 |
43.27±1.63 |
12.84±0.5 |
6.11±0.17 |
709±31.7 |
Vit E |
7.03±0.43 |
42.61±1.7 |
12.79±0.44 |
6.04±0.1 |
713±31.4 |
Vit C+Vit E |
7.06±0.12 |
43.23±2.01 |
12.9±0.26 |
6.01±0.08 |
711±32.3 |
Ni |
5.46±0.65*** |
32.7±0.13*** |
10.1±0.08** |
8.05±0.40*** |
426±44.6*** |
Ni+Vit C |
6.71±0.48*#§ |
37.02±4.5*§ |
11.3±0.57*#§ |
6.98±0.28*# |
676.08±33*##§ |
Ni+Vit E |
6.63±0.5*#§§ |
36.7±3.44*#§ |
11.1±0.37*#§ |
6.84±0.34*##§ |
662±36.2*##§ |
Ni+Vit C+Vit E |
6.79±0.43*## |
38.9±3.25*## |
11.85±0.59*## |
6.39±0.22*## |
697±35.2*## |
Values are given as mean±SEM of eight mice each group.StatisticalySignificantly differences from control: *p<0.05, **p<0.01, ***p<0.001; from Ni: # p<0.05,, ##p<0.01, ###p<0.001; from Ni+Vit C+Vit E: §p<0.05, §§p<0.01.
A kidney from nickel treatment (E) showed severe proximal tubule degeneration and tubular necrosis (up than 75%) (double arrows), multiple foci of hemorrhage and inflammation with the presence of lymphocytes in interstitial tissue (single arrow).
In the combined treatments (F, H and G sections), slight lesion of the tubules with only mild tubular necrosis and interstitial inflammation were observed, when compared with untreated mice and those receiving only Ni. The severity of tissue alterations ranged from 60%, 40% and 30% in Ni+Vit C (F), Ni+Vit E (G) and Ni+Vit C+Vit E (H) respectively.
DISCUSSION
The uncontrolled release of hazardous substances, including heavy metals, may have serious effects on kidney function [22] and hematopoietic system [23]. Early reports suggest vitamins C and E as potent antioxidants, that are able to reduce oxidant threat mediated renal damage induced by heavy metals, such as cadmium [24] and mercury [25]. Therefore, this study was devoted to determining the beneficial effects of both vitamins on nickel-induced kidney injury and heamatotoxicity in mice. The decrease in final body weight, food and water intake along with significant increase in kidney weight was seen in nickel-exposed group.
These findings are concomitant with previously reports [26]. The decreased body weight is possibly due to the overall increased degeneration of lipids and proteins and the significant increase in both absolute and relative kidney weights may explain the selective accumulation of nickel in the kidney [27]. All these physiological changes observed in nickel treated mice were attenuated by treatment with vitamin C and E separately or in combination. In this context, the present study confirmed that both vitamins have ameliorative effect against nickel-alteration in body weight of mice. Chatterjee et al. [28] suggested that enhancement of body weight would result in a concomitant increase in the daily food consumption and promotion of protein synthesis. Similar data were also reported in vitamin E co-administration with silver [29] and nickel nanoparticles [30].


Fig. 2: Light photomicrograph of kidney sectional histology from control mice and vitamin C and/or E treated mice (H&E. X 40): Control group (A), Vitamin C (C), Vitamin E (D) and Vitamins C and E (E) treated groups, showing no histological changes were observed in the kidney of vitamin C and/or vitamin E treated animals (B-D) when compared with control kidney (A)
Fig. 3: Light photomicrograph of sectional kidney histology from mice treated with Ni only and those treated with vitamin C/E in combination with Ni (H&E. X 40)
In this study, we noticed renal impairment in association with an increase in serum urea, uric acid and creatinine, as well as renal histopathological changes in Ni-treated mice. The increased level or uric acid could be linked to increased degradation of purines and pyrimidines, over production or inability of its excretion [31]. The supplementation of vitamin E and/or vitamin C along with nickel improved the altered biochemical markers and kidney histology induced by nickel, which somehow may result in the antiradical/antioxidant activity. Accordingly, these findings are in line with those obtained by Appenroth et al. [32], who found that vitamin E and C combination attenuated the cisplatin-induced nephrotoxicity in rats. The protective effects of these antioxidants are owed to their ability to reduce oxidative stress in the kidney the following exposure to several metals [33]. The hematological indices also showed that treatment with nickel-induced significant decrease in red blood cells (RBC), hemoglobin (Hb) concentration, percentage packed cell volume percentage (PCV%) and platelets count.
Thus, the results indicated that exposure to nickel could lead to anemia. In addition, it was suggested that nickel may adversely affect the hematopoietic process and bone marrow activity resulting in a reduction of RBC and Hb, which is likely due to iron deficiency or chemically induced anemia [34]. Nickel is also found to induce oxidative injury in erythrocytes following generation of reactive oxygen species (ROS)[35]. Also, the low hemoglobin concentration in this study may be as a result of a decrease in the succinyl and glycine pools, as well as the key enzymes such as, ALAD (Aminolevulinic Acid Dehydratase) that are required in the hem biosynthesis [36]. In contrast, white blood cell (BWC) count appeared a significant increase in nickel-exposed animals. This result is in line with earlier reports on rats with potential exposure to arsenic [37] and to cadmium [38], where the plausible explanation of the elevation in white blood cells is due to their contribution to the inflammatory response to toxic metals. Vitamin C and E alone or in combination improved the studied hematological parameters approximately to their normal values. These vitamins are likely involved in activating blood cell productions and hemoglobin synthesis by stimulating bone marrow, as well as they, act as antioxidants to reduce oxidative injury in erythrocytes.
CONCLUSION
The present study indicated that vitamins C and vitamin E combination proved to be more efficiently than either vitamin C or vitamin E to alleviate nickel-induced nephrotoxicity and heamto-toxicity. Furthermore, it provides biological evidence supporting the beneficial interaction (synergistic) between the antioxidant vitamins in protecting nickel toxicity.
ACKNOWLEDGEMENTS
The authors greatly knowledge the Ministry of Higher Education and Scientific Research for supporting this research (project reference number: N ° FOI 120070054).
CONFLICT OF INTERESTS
Declared none
REFERENCES