
Department of Pharmacology and Clinical Pharmacy, School of Pharmacy, Bandung Institute of Technology, Bandung, Indonesia
Email: salem.kilany2020@gmail.com
Received: 01 Mar 2016 Revised and Accepted: 08 Apr 2016
ABSTRACT
Objective: This study was conducted to evaluate the mangosteen (Garcinia mangostana) pericarp ethanolic extract (MPEE) properties in preventing obesity as well as its associated metabolic syndrome by analyzing the liver histology and measuring resistin, leptin, and adiponectin in the rats fed high-fat diet.
Methods: The experimental study with male Wistar rats was conducted for 9 w, with rats divided into 5 treatment groups which were normal (standard diet), control (high-fat diet), dose 1 (high-fat diet, MPEE 200 mg/kg b.w.), dose 2 (high-fat diet, MPEE 500 mg/kg b.w.), and orlistat (high-fat diet, orlistat 21.6 mg/kg b.w.) groups. The fat and liver index were calculated at the last day of the experiment. The liver was collected for the histology analysis while the serum was collected for quantification of resistin, leptin, and adiponectin level by enzyme-linked immunosorbent assay (ELISA) method.
Results: MPEE significantly reduced the liver index and total fat index compared to the control group. The rats treated with MPEE have the better liver condition than untreated rats, showed by lower histopathological score and lipid droplets, as well as higher percentage of functional cytoplasm. The MPEE also able to reduce the resistin and leptin level in high-fat diet rats, and slightly increase the adiponectin level. MPEE have better activities in all parameter compared to commercially available anti-obesity drug orlistat.
Conclusion: The mangosteen pericarp ethanolic extract (MPEE) has high potential as anti-obesity drugs, clinical and toxicology studies should be pursued for further application to human.
Keywords:Garcinia mangostana, Obesity, Fatty liver, Insulin resistance, Resistin, Adiponectin, Leptin
© 2016 The Authors. Published by Innovare Academic Sciences Pvt Ltd. This is an open access article under the CC BY license (http://creativecommons.org/licenses/by/4.0/)
INTRODUCTION
Mangosteen (Garcinia mangostana Linn), which is presumably originated from Southeast Asia, has long over the years been used as traditional remedies in several countries such as Sri Lanka, Malaysia, Philippines, Thailand, and India [1]. The thick mangosteen rind usually used to treat some health disorder such as cystitis, diarrhea, dysentery, eczema, fever, intestinal ailments, and other skin ailments [2, 3].
Mangosteen pericarp constituted by numerous polyphenolic acids such as xanthones and tannins. Four major xanthones identified from mangosteen pericarp are α-mangostin, β-mangostin, γ-mangostin, and methoxy-β-mangostin [2]. Xanthones from mangosteen have been widely studied for its medicinal properties; several known activities from xanthones are antioxidant, antitumor, anti-inflammatory, anti-allergy, antibacterial, antifungal, and antiviral [1].
Recently, the potential of mangosteen as anti-obesity also became the main focus in several current studies. Synthetic drugs for obesity such as orlistat and sibutramine have some negative side effects upon its use. Therefore, the usage of natural products that relatively safe as alternative therapy is much preferred [4]. Obesity is characterized by an increase in the size and the number of adipocytes, which is fat storage cells in the body, due to an imbalance between energy intake and expenditure [5, 6]. By 2030, it was predicted that the number of overweight and obese adults escalated to 1.35 billion and 573 million individuals [7]. Obesity has been known to relate to numerous health impairment and diseases such as cardiovascular disease, cancer, type 2 diabetes mellitus, and osteoarthritis [8]. Hence, finding a way to treat and/or preventing obesity became a pressing need.
Obesity frequently associated with hyperglycemia, hyperlipidemia, insulin resistance, inflammation and oxidative stress, curtailing those factors could be used as a therapeutic or preventive mechanism to combat the pathogenesis of metabolic syndrome caused by obesity [9]. Resistin, adiponectin, and leptin have been known to play a role in insulin sensitivity [10]. Resistin, a peptide hormone produced by mature adipocytes, regulates whole-body insulin sensitivity [11]. Adiponectin is adipose tissue-specific factors that presumed to be able to improve insulin sensitivity and inhibit vascular inflammation. Furthermore in obese subjects, the serum adiponectin levels reported to be low and increase after weight loss [12]. Leptin contributes to the control of body fat storage through regulation of feeding behavior, metabolism, and energy balance [13]. Recent studies also revealed a correlation between leptin and insulin resistance [10].
There are a number of studies regarding the anti-obesity-related mechanism of mangosteens, such as mangosteen reduced inflammation in overweight and obese individuals [14], α-mangosteen as anti-adipogenesis by reduction of peroxisome proliferator activated receptor-gamma (PPARγ) expression [15], and inhibition of fatty acid synthase (FAS) activity by α-mangostin [16]. To the best of our knowledge, no other study regarding mangosteen effect towards leptin, adiponectin, and resistin level in high-fat-induced rats has been conducted. Therefore, in this research, we studied the effect of mangosteen pericarp ethanolic extract towards resistin, adiponectin, and leptin level as the mechanism to prevent obesity in male Wistar rats fed with high-fat diet.
MATERIALS AND METHODS
Mangosteen pericarp ethanolic extracts preparation
The mangosteen (Garcinia mangostana L.) fruit was obtained from Indonesian farms in Cicantayan, Sukabumi, Bandung, West Java, Indonesia. The plants were identified by an herbarium staff from Departement of Biology, School of Life Science and Technology, Bandung Institute of Technology, Bandung, Indonesia. The pericarp was collected from mangosteen fruit, then dried and ground into small pieces. Subsequently, it was extracted using reflux method in water and 50% of ethanol. The extract was then freeze-dried and mangosteen pericarp ethanolic extract (MPEE) in dried powder form was produced [17].
Experimental design
The research was carried out in the Laboratory of Experimental Animals, School of Pharmacy, Bandung Institute of Technology, Bandung, Indonesia and Biomolecular and Biomedical Research Center, Aretha Medika Utama, Bandung, Indonesia. All methods associated with animals in the research have been approved by Ethical Commission, School of Pharmacy, Bandung Institute of Technology with ethical approval number 05/KEPHP-ITB/05-2015.
In this research, 25 male Wistar rats age 4 w weighing 90-110 g were used. All rats were maintained under standard environment for laboratory animals. For the first 7 d, all rats were acclimatized to given normal food and water. The rats then divided randomly into five groups, which are normal, control, dose 1, dose 2, and orlistat group. The normal group was given CMC-Na 0.5% (0.05 g/kg) solution, the control group was not given any treatment, the dose 1 group was given MPEE (200 mg/kg b.w.), the dose 2 group was given MPEE (500 mg/kg b.w.), and the orlistat group was given orlistat (Xenical) (21.67 mg/kg b.w.). All groups except the normal group were received monosodium glutamate (MSG) 2 mg/kg b.w. through subcutaneous injection along with high-fat diet for 5 d to induce the appetite of the rats and obese condition. The normal group was received standard diet. In the next 9 w, the MSG consumption was stopped, and all groups continuously were given high-fat diet except the normal group was still given the standard diet. The normal group was used to model the rats in normal condition while the control group was used to model the rats in obese-induced condition. The dose 1, dose 2, and orlistat group was fed with the high-fat diet to find out the effect of the treatments toward rats in the obese-induced condition. The composition of the standard and high-fat diet was based on Adnyana et al. [18] study, with slight modification and can be seen in table 1. Body weight of all rats was checked daily. Around 24 h following the last day of the experiment, all rats were sacrificed using carbon dioxide and both perirenal and perianal fat along with liver were immediately weighed for fat and liver index calculation then isolated and stored in the freezer at-20 oC for next assay.
Table 1: Composition of experimental diets fed to male Wistar rats
Composition |
Standard diet (g/kg) |
High-fat diet (g/kg) |
Rice flour |
- |
300 |
Bean Flour |
140 |
100 |
Wheat Flour |
340 |
150 |
Cornstarch |
250 |
200 |
Fish Flour |
160 |
100 |
Fat |
70 |
200 |
Vitamin B Complex |
ad libitum |
ad libitum |
Liver histology
The portions of the liver lobes collected from each rat were fixed in 10% formalin for the histological examination. A section of 7 microns thickness stained with Hematoxylin and Eosin, then histological and morphometric analysis were performed. The liver histology was scored based on Brunt et al. study [19] with slight modification. Briefly, the degree of nuclear, inflammation, and cytoplasm was scored separately, graded from zero to three. The sum of the scores was considered as the total pathology grade [20].
Resistin, adiponectin, leptin measurements in adipose tissues and serum
Quantification of resistin, adiponectin, and leptin level in the rat serum was conducted by same ELISA method, using Rat RETN (Resistin) ELISA kit (Elabscience, E-EL-R0614) Rat ADP/Acrp30 (Adiponectin) ELISA kit (Elabscience, E-EL-R0329), Rat LEP (Leptin) ELISA kit (Elabscience, E-EL-R0582) respectively according to the manufacturer protocol. Serum samples were prepared by incubation for 2 h at room temperature, and then centrifuged at 1000 × g for 15 min. The supernatant was collected and ready to use for the assay. In the ELISA assay, around 100 µl of respective standards and serum were plated into the well-plate, then incubated at 37 oC for 90 min. Subsequently, the liquid was removed, and 100 µl of biotinylated detection Ab was added followed by incubation at 37 oC for 1 h. The plate then washed 3 times, and 100 µl of HRP conjugate was introduced into each well followed by incubation at 37 oC for 30 min. The plate then washed 5 times, and 90 µl of substrate reagent was added immediately. After that, the plate was incubated for 15 min at 37 oC and 50 µl of stop solution was added. Finally, the absorbance was read at 450 nm by a microplate reader.
Statistical analysis
All data are expressed as mean±SD. The difference between groups was compared by one-way ANOVA followed by the least significant difference (LSD) post hoc test. An associated probability (P value) below 0.05 % was considered as significant.
RESULTS
Fat and liver index
The fat index was calculated based on the percentage of fat weight towards body weight, divided into perirenal fat, perianal fat, and total fat. Based on the fat index result in fig.1, it can be seen that the rats in the control group (high-fat diet) had a relatively higher fat index from perirenal, perianal, and total fat compared to the other groups. Among the treatments, the dose 2 (MPEE 500 mg/kg b.w.) group showed the lowest fat index both in fat from perirenal, perianal, or total fat. The dose 1 (MPEE 200 mg/kg b.w.) group also showed lower fat index compared to the control group, even though the perianal fat did not differ significantly with the control group.

Fig. 1: The mean±SD of fat index of rats in normal (standard diet), control (high-fat diet), dose 1 (high-fat diet, MPEE 200 mg/kg b.w.), dose 2 (high-fat diet, MPEE 500 mg/kg b.w.), orlistat (high-fat diet, orlistat 21.67 mg/kg b.w.) group after 9 w of treatments. The (*, **) marks indicate perirenal fat significance toward control group (* = p<0.05; ** = p<0.01). The (#) marks indicate perianal fat significance toward control group (# = p<0.05). The ($, $$) marks indicate total fat significance toward control group ($ = p<0.05; $$ = p<0.01)
Similar to the calculation of fat index, the liver index also measured based on the percentage of liver weight against the body weight. After 9 w of experiments, the control group had the highest liver index percentage, followed by the normal group. The dose 1 group has the lowest liver index and differ significantly with the control group (p<0.05). The dose 2 and orlistat group also showed significantly lower liver index than the control group.

Fig. 2: The mean±SD of liver index of rats in normal (standard diet), control (high-fat diet), dose 1 (high-fat diet, MPEE 200 mg/kg b.w.), dose 2 (high-fat diet, MPEE 500 mg/kg b.w.), orlistat (high-fat diet, orlistat 21.67 mg/kg b.w.) group after 9 w of treatments. The (*) marks indicate significant difference toward control group with p<0.05. The (#) marks indicate significant difference toward the normal group with p<0.05 (LSD post hoc test)

Fig. 3: The mean±SD of histopathological score and percentage of cytoplasm of liver from male Wistar rats in normal group (standard diet), control group (high-fat diet), dose 1 group (high-fat diet and MPEE 200 mg/kg b.w.), dose 2 group (high-fat diet and MPEE 500 mg/kg b.w.), and orlistat group (high-fat diet and orlistat 21.6 mg/kg b.w.). The (*, **) marks indicate significant differences compared to the control group (LSD post hoc test; * = p<0.05; ** = p<0.01)
Liver histology
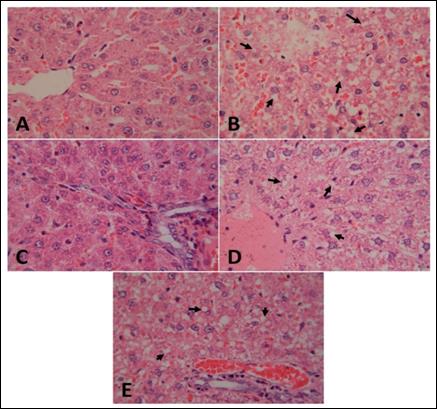
The scoring of liver toxicity can be seen in fig. 3, the score value of 0-0.5 means normal, 0.5-1.5 means has mild toxicity, 1.5-2.5 has moderate toxicity, and 2.5-3 has severe toxicity. The liver histology result from fig. 3 and fig. 4 demonstrated that the normal group almost has no specified lesion for toxicity and modeling, but the other groups showed a various degree of lipid droplet in the cytoplasm without toxicity lesion. Based on the fig.3, the control group has the worst lesion with a histopathological score almost 2, while the dose 1 group has the best lesion than dose 2 and orlistat group, showed by low histopathological score and comparable to the normal group. From the fig. 4, it also can be seen that the control group had high lipid droplet, followed by the orlistat group and dose 2 group which showed moderate lipid droplet and finally the dose 1 group and the normal group which showed normal liver, with fewer lipid droplets. Scoring of 2 in the control group showed that the liver has lipid droplet with karyopicnosis in nuclear hepatocyte but in this step the liver still possible to recover (reversible damage). The higher functional cytoplasm percentage in fig. 3 means that the liver has a better condition and has normal function. Among all groups, the normal and dose 1 group showed significantly high functional cytoplasm percentage, whilst the group that has the worst condition of cytoplasm appeared to be the control group. Generally, these results indicate that MPEE 200 mg/kg b.w. (dose 1) were the safest concentration for the liver condition compared to MPEE 500 mg/kg b.w. (dose 2) and orlistat.
Resistin levels in rat serum
Resistin levels in rat serum was determined by ELISA method, and the result can be seen in fig. 5. The control group showed the highest resistin concentration, indicated that the high-fat diet was able to increase the resistin level in rats. The dose 1 and dose 2 group showed significantly lower resistin concentration than the control group, suggesting that mangosteen in either 200 or 500 mg/kg b.w. was able to lower the resistin level in rats fed high-fat diet. In contrast, orlistat treatment showed no significant difference of resistin level compared with the control group.

Fig. 4: Micrograph picture of the liver. (A) Normal group (standard diet), showed with the normal nuclear and cytoplasm, (B) Control group (high-fat diet), showed high lipid droplet (vacuole) in the cytoplasm, (C) Dose 1 (high-fat diet and MPEE 200 mg/kg b.w.) group, showed the normal liver, (D) Dose 2 (high-fat diet and MPEE 500 mg/kg b.w.) group showed moderate lipid droplet cytoplasm and (E) Orlistat (high-fat diet and orlistat 21.6 mg/kg b.w.) group showed moderate lipid droplet cytoplasm. The black arrows indicate the lipid droplets position. The control group showed the highest lipid droplet while the normal group showed the lowest lipid droplet. Hematoxylin and Eosin Staining. Magnification of 400×

Fig. 5: The mean±SD of resistin concentration from the serum of male Wistar rats in normal group (standard diet), control group (high-fat diet), dose 1 group (high-fat diet and MPEE 200 mg/kg b.w.), dose 2 group (high-fat diet and MPEE 500 mg/kg b.w.), and orlistat group (high-fat diet and orlistat 21.6 mg/kg b.w.). The (*) marks indicate significant differences compared to the control group (LSD post hoc test; * = p<0.05)
Adiponectin levels in rat serum
In this research, the adiponectin levels in the normal group were the highest among all groups. The rats in the control group showed the lowest adiponectin concentration, followed closely by dose 1 group. Mangosteen 500 mg/kg b.w. (dose 2) showed to be able to rise the adiponectin concentration in the rats fed with high-fat diet compared to the rats fed by high-fat diet only (control), despite the improvement that occurred did not too significant.

Fig. 6: The mean±SD of adiponectin concentration from the serum of male Wistar rats in normal group (standard diet), control group (high-fat diet), dose 1 group (high-fat diet and MPEE 200 mg/kg b.w.), dose 2 group (high-fat diet and MPEE 500 mg/kg b.w.), and orlistat group (high-fat diet and orlistat 21.6 mg/kg b.w.). The (*) marks indicate significant differences compared to the control group (LSD post hoc test; * = p<0.05)

Fig. 7: The mean±SD of leptin concentration from the serum of male Wistar rats in normal group (standard diet), control group (high-fat diet), dose 1 group (high-fat diet and MPEE 200 mg/kg b.w.), dose 2 group (high-fat diet and MPEE 500 mg/kg b.w.), and orlistat group (high-fat diet and orlistat 21.6 mg/kg b.w.). The (*) marks indicate significant differences compared to the control group (LSD post hoc test; * = p<0.05)
Leptin levels in rat serum
The leptin concentration in the serum of experimental rats was also calculated by ELISA method, showed in the fig. 3. From the fig. 3, it can be clearly seen that the mangosteen treatment groups which is dose 1 and dose 2 groups had significantly lower leptin concentration than the control group. This indicates that mangosteen has good properties in lowering leptin level in rats fed the high-fat diet, even better than orlistat which showed higher leptin concentration. The control group demonstrated to have significantly higher leptin concentration than normal group, indicating that high-fat diet was able to increase the leptin level than the standard diet used.
DISCUSSION
Obesity has become a global concern over the past several years since the number of obese individuals increasing rapidly and it is often related to some life-threatening diseases such as cardiovascular disease, cancer, or type 2 diabetes mellitus [5, 21]. Obesity lead to pathogenesis of metabolic syndrome characterized by inflammation, oxidative stress, hyperlipidemia, and insulin resistance, thus triggering the multi-organ complications [9]. In this study, we evaluated the mangosteen pericarp ethanolic extract abilities to prevent the obesity as well as the pathogenesis of the metabolic syndrome, by measuring the resistin, adiponectin, and leptin concentration.
Based on the results, MPEE in either concentration of 200 or 500 mg/kg b.w. was successfully reduced the total fat in the experimental rats fed with high-fat diet (fig. 1). The rats fed by high-fat diet treated with MPEE also have lower body weight gain than the untreated rats fed high-fat diet (data not shown), proving that mangosteen has good potential in preventing weight gain as well as fat storage in obese-induced condition. These findings were supported by Taher et al. [15] study which reported that α-mangostin, major xanthone compound of mangosteen, was able to reduce the lipid accumulation as well as decrease the PPARγ expression which is nuclear transcription factor that contributes in activating adipocyte-specific gene expression and differentiation along with controls energy accumulation in the form of adipose tissue mass [22]. The α-mangostin also had the ability to stimulate the glucose uptake and free fatty acid release [15]. The mangosteen properties to reduce the total fat might also relate to the α-mangostin capability to suppress fatty acid synthase (FAS) expression and activity, which lead to the reduction of intracellular fatty acid accumulation [16].
The other prominent characteristic of obesity is the development of fatty liver [23]. Hence, we also evaluated the effect of MPEE towards the fatty liver development. Fatty liver is usually associated with increased cardiovascular disease, and in obese individual it is a marker of insulin resistance [24]. Histologic evaluation is the standard method to evaluate the presence and severity of fatty liver [25]. Therefore, we histologically analyzed the liver section of the experimental rats. In this present study, we demonstrated that rats in dose 1 (high-fat diet, MPEE 200 mg/kg b.w.) and dose 2 (high-fat diet, MPEE 500 mg/kg b.w.) have relatively normal lipid droplet and moderate lipid droplet respectively, compared to the control group (high-fat diet) which has relatively higher lipid droplet (fig. 4). In accordance with other studies, high-fat diet could induce obesity, hyperinsulinemia, and hyperglycemia, as well as steatosis, lobular inflammation, hepatocyte necrosis in the liver of rats [26, 27]. The current study showed that MPEE has the ability to lower the lipid droplet in the liver, especially MPEE with the concentration of 200 mg/kg b.w. (dose 1). From the fig. 3 it also revealed that the treatments of MPEE were able to decrease the toxicity effect of obesity-induced condition (high-fat diet) toward the liver, further demonstrating that MPEE have a beneficial effect toward metabolic syndrome that often connected with obesity. This result was supported by Chivapat et al. [28]study, which reported that mangosteen pericarp extract at the doses of 10, 100, 500, and 1000 mg/kg/day did not produce any open pharmacotoxic signs and abnormalities in hematological values of Wistar rats.
Metabolic syndrome in obese individuals such as fatty liver is mainly associated with excess calorie and saturated fat intake, which leads to the increase of visceral adipose tissue (VAT) [24]. The metabolically active VAT produced a lot of proinflammatory cytokines such as tumor necrosis factor alpha (TNF-α), interleukin-6 (IL-6), and C-reactive protein (CRP) and correlated with reduction of adiponectin, causing hyperinsulinemia and insulin resistance [24]. This insulin resistance can lead to hepatic steatosis [24]. The adipose tissue regulates insulin sensitivity through the adipocytokines including resistin, leptin, and adiponectin [10]. Resistin, a member of cysteine-rich proteins, can increase blood glucose and plasma insulin levels as well as limits the hypoglycemic response to insulin infusion [29]. Likewise, it also suppresses insulin-stimulated glucose uptake thus decreasing insulin sensitivity [30]. Leptin is able to regulate appetite and weight in humans and rodents, by affecting central circuits in the hypothalamus and suppressing food intake as well as stimulating energy expenditure [13]. In the condition of overfeeding or increase of calorie intake, the increased flux of glucose in the muscle and adipose cells caused peripheral insulin resistance and increase of leptin biosynthesis, but it is failed to restrain feeding behavior and prevent weight gain or called as leptin resistance [31]. Adiponectin, which belongs to the collagen superfamily is exclusively expressed in mature adipocytes [13]. Adiponectin has several beneficial effects related to the obesity and obesity-linked disease, such as reduce dyslipidemia, decrease body weight, reduce insulin resistance, and decrease hepatic glucose production thus reduce blood glucose level [13, 32].
In obese as well as high-fat fed mice, it has been reported that the leptin and resistin level was elevated, whilst adiponectin level was lowered [13]. Likewise, in this study, the similar condition was observed in the high-fat diet rats (control group), which was leptin and resistin concentration were higher than the standard diet rats (normal group) and the adiponectin concentration was lower (fig. 5-7). On the other hand, the mangosteen treatments showed beneficial effect toward the leptin, resistin, and adiponectin level in high-fat diet rats. The high-fat diet rats treated with MPEE in the concentration of 200 mg/kg b.w. (dose 1) and 500 mg/kg b.w. (dose 2) had significantly lower resistin and leptin level than the control group (fig. 5 and 7), indicated that it succeed in reducing both resistin and leptin levels in the obese-induced condition. MPEE in the concentration of 500 mg/kg b.w. also showed to be able slightly increased adiponectin level, even though it was not significant (fig. 6). The activity of MPEE toward leptin, resistin, and adiponectin seem to be higher than orlistat, which was a drug that usually used for inducing weight loss in obese individuals by inhibits gastric and pancreatic lipase and reduces fat absorption [33]. This means that MPEE might be a better alternative therapy than orlistat as anti-obese drugs.
The ability of mangosteen in lowering the leptin and resistin along with increasing the adiponectin level could lead to the improvement of insulin resistance [13, 34]. By decreasing the insulin resistance, hepatic steatosis might as well reduce [24]. This might explained the results of the current study that showed high-fat diet rats treated with MPEE had better liver histology than the untreated high-fat diet rats. The properties of MPEE in lowering fat in the liver might be also strongly due to its xanthone contents. The α-mangostin was proved to be able to recover hepatic steatosis through hepatic SirT1-AMPK and PPARγ pathways [35].
CONCLUSION
The present study revealed that mangosteen pericarp ethanolic extract (MPEE) displayed a strong potential to prevent obesity and development of metabolic syndrome in the high-fat diet male Wistar rats than orlistat. The MPEE could reduce body weight gain and fat storage, as well as lipid droplet in the liver. MPEE also have lower toxicity effect toward the liver of the rats compared with the untreated rats. Finally, it has a potential to improve insulin resistance by decrease the leptin and resistin concentration and slightly increase adiponectin concentration. The clinical and toxicological studies should be pursued in order to determine the safe and non-toxic concentration for further application as anti-obesity drugs.
ACKNOWLEDGEMENT
We gratefully acknowledge the financial support from the Ministry of Defense Education, State of Libya. We are also thankful to Biomolecular and Biomedical Research Center, Aretha Medika Utama, Bandung, West Java, Indonesia for giving facility support and valuable assistance.
CONFLICT OF INTERESTS
Declared none
REFERENCES