
Pharmacology Department, National Research Centre, Egypt, 1Pathology Department, National Research Centre, Egypt
Email: sallyelawdan@ymail.com
Received: 19 Mar 2016 Revised and Accepted: 20 May 2016
ABSTRACT
Objective: Diabetes induces many complications such as cardiovascular problems, cataracts, kidney damage and polyneuropathy. Streptozotocin (STZ) induced diabetes is considered one of the most common animal models in rats. The present study investigated the effects of Monascus purpureus (MP) alone or in combination with pioglitazone on glucose level and on liver in streptozotocin (STZ) diabetic rats.
Methods: In this study were divided into five experimental groups (normal, untreated STZ-diabetic (60 mg/kg B.W., IP), treated STZ-diabetic with Monascus purpureus (500 mg/kg B. W, oral), treated STZ-diabetic with pioglitazone (10 mg/kg B.W., oral) and treated STZ-diabetic with MP (250 mg/kg B. W, oral)+pioglitazone (10 mg/kg B.W., oral)). Treatment continued for 14 d then blood sampling was done to assess blood glucose. At the end of the study, the animals were fasted overnight, anesthetized with sodium pentobarbital (60 mg/kg i.p.), and sacrificed to collect tissues samples (liver, pancreases).
Results: Throughout the experimental period, all treatments significantly (P<.05) lowered serum glucose, triglycerides, cholesterol, c-peptide and IL-6. In addition, hepatic cholesterol and triglycerides levels were also lowered. Moreover, the treated diabetic rats showed higher activity of reduced glutathione (P<.05) in the liver compared with the diabetic control rats and inhibited diabetes induced elevation in the level of malondialdehyde in liver.
Conclusion: The results of this study clearly demonstrated that MP act by many ways, including anti-hyperglycemic, antioxidant effects and pancreatic β-cell protection. From these points, it seems that MP may be a useful supplement to alleviate the development of diabetes and its complications.
Keywords: Monascus purpureus, Diabetes, Pioglitazone, Liver, Streptozocin
© 2016 The Authors. Published by Innovare Academic Sciences Pvt Ltd. This is an open access article under the CC BY license (http://creativecommons. org/licenses/by/4. 0/)
INRODUCTION
Diabetes mellitus (DM) is a metabolic disorder characterized by increased glucose level and insulin deficiency and/or defects of insulin action [1]. Type 1 diabetes is characterized by increased glucose level in the blood and it is known that the cause of Type 1 diabetes is the demolition of insulin-producing β-cells in the islets of Langerhans [2].
During the pathogenesis of type 1 diabetes, excessive cytokines including interferone γ (IFN-γ), tumor necrosis factor-(TNF-α) and interleukin 1α (IL-1α) are generated as a result of infiltration of inflammatory immune cells [3]. These cytokines are the effector molecules for the initial destruction of pancreatic β-cells [3].
Also, the impaired insulin secretion in type 1 diabetes increases mitochondrial reactive oxygen species (ROS), causing oxidative stress in all tissues [4]. The insulin secreting β-cell itself is the main target of oxidative stress because it contains low levels of antioxidative enzymes [5]. Therefore, protecting number and functions of pancreatic β-cells to maintain insulin secretion would help in adjusting blood glucose in type 1 diabetes patients [6].
The primary organs affected in diabetes are liver and kidney. The liver plays an important role in glucose and lipid homeostasis and is highly affected by diabetes and some of the changes associated with diabetic liver are decreased glycolysis, impeded glycogenesis and increased gluconeogenesis. The disease is also associated with marked increase in parameters such as cardiovascular risk factors comprising of hypertriglyceridemia, hypercholesterolemia and low level of high-density lipoprotein-cholesterol [7].
Most antidiabetic drugs enhance insulin secretion and decrease insulin resistance to regulate glucose homeostasis throughout the body and many studies have been conducted to find natural products for treating diabetic patients [6]. WHO reports that 90% of the world population in rural areas depends on traditional medicine for their primary healthcare and almost 70% of diabetic patients use plants, as a source of medicine, for their primary health needs [8]. From this point, we aim here to investigate one of the natural products that are suggested to have beneficial effects for diabetic patients.
Pioglitazone belongs to the Thiazolidinedione (TZD) class of antidiabetic insulin sensitizers. It is used to manage obesity induced insulin resistance [9]. Pioglitazone, a thiazolidinedione insulin sensitizer, is a peroxisome proliferator activated receptor gamma (PPAR-γ) agonist. It increases the sensitivity of insulin by regulating the expression of a variety of genes involved in carbohydrate and lipid metabolism. Pioglitazone increases GLUT-4 and glucokinase activity and decreases the production of several mediators that may cause insulin resistance, such as tumor necrosis factor-α (TNF-α) [10].
Pioglitazone increases hepatic and peripheral insulin sensitivity, thereby inhibiting gluconeogenesis and increasing peripheral and splanchnic glucose uptake [11]. Pioglitazone, despite significant weight gain, completely prevents the development of diabetes and enhances β cell function with preservation of islet cell changes in rats [12].
Monascus purpureus (MP) is a red mold which may be cultivated on starch containing substrates [13]. Red yeast rice obtained with Monascus fungus was used in China and mentioned in an ancient Chinese pharmacopoeia of medicinal foods and herbs. Manufacturing procedures of red rice were described in addition to the therapeutic activities, including the bettering of digestion and revitalizing the blood [14].
The traditional indications are diarrhea and intestinal troubles, muscular contusions and circulatory diseases. Recently, it has been discovered that the MP (red yeast rice) contains substances that resemble prescription medications that lower cholesterol, such as a group of monakolin K [15]. MP plays an important role in the management of dyslipidemia, coronary heart disease, diabetes, and osteoporosis [16]. However, the protective effect of MP as a hepatoprotective in diabetic rats has not been elucidated. Therefore, in the present study, we aimed to investigate the effects of MP on the hepatic injury induced by STZ in diabetic rats.
MATERIALS AND METHODS
Chemicals
STZ was obtained from Sigma chemicals (USA). Pioglitazone was obtained from Takeda Pharmaceutical Company, Osaka, Japan. All other chemicals (acids, bases, solvents and salts) used were of analytical grade obtained from Sigma (USA), Monascus purpureus was obtained from Atos company.
Animals
Male albino rat (Wistar strain 150-200 g) was used for the experiment. Animals were obtained from the animal house colony of the National Research Center and housed under standard conditions of temperature (25±1 °C), relative humidity (55±10%), 12 hr/12 hour light/dark cycles and fed on standard pellet diet and water ad libitum. The experimental protocol was approved by the Institutional Animal Ethical Committee of the National research Centre (registration number: 13/165).
Kits
Glucose, cholesterol, triglycerides and kits (Biodiagnostic, Egypt), Insulin enzyme immunoassay kit (ALPCO Insulin (Rat) ELISA kit), C-peptide kis (RayBiotech, Inc.), Interleukin-6 (Immuno-Biological Laboratories, Inc. (IBL-America) were purchased.
Methods
Induction of diabetes
After 1 w of acclimatization, diabetes was induced in the adult male Wister albino rats by using the single intraperitoneal injection of streptozotocin (60 mg/kg body weight). Volume of (STZ) 1 ml/kg body weight prepared by STZ dissolved in freshly prepared 0.01 M citrate buffer (pH = 4.5) [17]. On the third day of STZ injection, blood glucose level of rats was estimated. Rats with a blood glucose level of 180 mg/dL beyond were considered as diabetic and included in the study.
Experimental design and schedule
Diabetic rats were randomly divided into 5 groups and each group contains 6 animals. Group I (Normal): untreated group. Group II (Diabetic Control): untreated group. Group III: treated with pioglitazone (10 mg/kg, oral). Group IV: treated with MP (500 mg/kg, oral). Group V: treated with MP (250 mg/kg, oral)+pioglitazone (10 mg/kg, oral). Treatment was continued for 14 d then blood sampling was done to assess blood glucose.
Estimation of biochemical parameter
At the end of 4-week treatment, the animals were kept for an overnight fasting and the blood samples were collected from retro-orbital plexus and allowed to clot for 30 min at room temperature. These blood samples were centrifuged at 5000 rpm for 20 min and serum was separated and stored at -80 °C until analysis was done.
Serum samples were analyzed spectrometrically for serum glucose; triglyceride and total cholesterol using their respective kits (Band a UV-visible spectrophotometer (Shimadzu UV-1601, Japan). The rats were then sacrificed by cervical dislocation and the liver and pancreas were harvested. Each liver was divided into two parts the first was homogenized and the other part of the liver together with the pancreas were fixed with 10% for histopathological, morphometrical and cytometrical examination.

Fig. 1: Effect of Pio, MP and Pio+MP on the serum levels of glucose in STZ-treated diabetic rats. STZ: streptozocin Pio: pioglitazone, MP: Monascus purpureus. [mean±SEM, n= 6] significant, * when compared to normal and @ P<0.05 when compared to control diabetic
Measurement of blood glucose levels
Serum glucose was estimated by glucose oxidase peroxidase method. Serum glucose was estimated by glucose oxidase peroxidase method test agent kit (Stanbio, USA) according to the method of Trinder (1969) [18]. The absorbance was measured at 510 nm and the results were expressed as mg/dl.
Biochemical analysis
Total cholesterol (TC) and Triglyceride (TG) were estimated by enzymatic methods. Triglycerides were estimated by enzymatic methods by using diagnostic kit (Biodiagnostic, Egypt) according to the method of Fossati and Prencipe (1982) [19]. The absorbance was measured at 510 nm and the results were expressed as mg/dl. Total cholesterol was estimated by enzymatic methods by using diagnostic kit (Biodiagnostic, Egypt) according to the method of Allain et al. (1974) [20]. The absorbance was measured at 500 nm and the results were expressed as mg/dl.
Serum insulin, C-peptide and interleukin-6
Serum insulin was estimated by a radioimmunoassay technique using the ALPCO Insulin (Rat) ELISA kit. Serum insulin was estimated by a radioimmunoassay technique using the ALPCO Insulin (Rat) ELISA kit according to the method of Judzewitsch et al. (1982) [21]. Serum C-peptide was measured with a rat insulin enzyme-linked immune absorbent assay kit (C-Peptide EIA Kit, Sigma-Aldrich, St. Louis, MO, USA) [22]. Liver interleukin-6 (IL-6) was estimated using ELISA system (Peprotech, Rocky Hill, NJ, USA) [22].
Measurement of antioxidant defense
Estimation of liver lipid peroxides as thiobarbituric acid-reactive substances was adopted from Mihara and Uchiyama (1978) [23]. The resulting pink colored chromogen was extracted with butanol and was measured at 532 nm. Estimation of liver reduced glutathione (GSH) was adopted from Beutler et al., (1963) [24]. The method depends on the fact that both protein and non-protein thiol (SH-) groups (mainly GSH) react with Ellman’s reagent [5,5’-dithiobis (2-nitrobenzoic acid)] to form a stable yellow color of 5-mercapto-2-nitrobenzoic acid, which can be measured colorimetrically at 412 nm.
Histopathology, morphometry and DNA cytometry
For histopathology, morphometry and DNA cytometry the liver and pancreatic tissues were immediately transferred to 10 % formal saline for fixation. Paraffin embedded tissues were sectioned and stained with Hematoxylin and Eosin (H and E) and Feulgen stains. The Feulgen staining specifically stains the nuclear DNA. Nucleoli and cytoplasm should show no staining. The stained DNA quantitated and analyzed at the Pathology Department, National Research Center using the Leica Qwin 500 Image Analyzer (LEICA Imaging Systems Ltd, Cambridge, England) [25].
Statistical analysis
All the results were expressed as mean±S. E. Data was statistically evaluated with Graphpad prism software. Hypothesis testing methods included one way analysis of variance (ANOVA) followed by Tukey post hoc test, P<0.05 was considered to indicate statistical significance.
RESULTS
Effect of pioglitazone, Monascus purpureus (MP) and their combination on the serum glucose level
STZ-induced diabetic rats have significant increase of blood glucose levels as compared to normal group, which further increased during the experimental period by 4.3 folds. Treatment of STZ-induced diabetic rats with pioglitazone (Pio) (10 mg/kg) produced significant (P<0.05) decrease in elevated serum glucose levels by 48% as compared to the diabetic control group. Similar treatment with Monascus purpureus (MP) (500 mg/kg) or Pio (10 mg/kg) in combination with MP (250 mg/kg) produced significant (P<0.05) decrease in elevated serum glucose levels by 40.7% and 45.4% respectively as compared to the control diabetic group (fig. 1).
Effect of pioglitazone, Monascus purpureus (MP) and their combination on serum and liver TG and TC levels
STZ-induced diabetic rats were found to have significantly (P<0.05) elevated serum TG and TC levels by 1.7 and 3.1 folds as compared to the normal control group. Treatment with Pio (10 mg/kg) produced significant (P<0.05) decrease in elevated serum TG and TC levels by 27% and 51% as compared to the diabetic control group. Treatment with MP (500 mg/kg) or Pio (10 mg/kg) in combination with MP (250 mg/kg) produced significant (P<0.05) decrease in elevated serum triglyceride level by 26.4% and 28% respectively.
Similar treatment with MP (500 mg/kg) or Pio (10 mg/kg) in combination with MP (250 mg/kg) produced significant (P<0.05) decrease in elevated serum cholesterol by 68% and 62% respectively as compared to the control diabetic group (fig. 2, 3).
On the other hands, STZ-induced diabetic rats were found to have significantly (P<0.05) elevated liver TG and TC levels by 1.7 and 1.78 folds as compared to the normal control group. Treatment with Pio (10 mg/kg) produced significant (P<0.05) decrease in elevated liver TG and TC levels by 29% and 39% as compared to the diabetic control group. Treatment with MP (500 mg/kg) or Pio (10 mg/kg) in combination with MP (250 mg/kg) produced significant (P<0.05) decrease in elevated liver triglyceride level by 26% and 39% respectively. Similar treatment with MP (500 mg/kg) or Pio (10 mg/kg) in combination with MP (250 mg/kg) produced significant (P<0.05) decrease in elevated liver cholesterol by 34% and 40% respectively as compared to the control diabetic group (fig. 4, 5).

Fig. 2: Effect of Pio, MP and Pio+MP on the serum triglycerides in STZ-treated diabetic rats. STZ: streptozocin Pio: pioglitazone, MP: Monascus purpureus. [mean±SEM, n= 6] significant, * when compared to normal and @ P<0.05 when compared to control diabetic
Effect of pioglitazone, Monascus purpureus (MP) and their combination on serum insulin level
STZ-induced diabetic rats showed a significant decrease in serum insulin level by 88% as compared to normal control group. Treatment of STZ-induced diabetic rats with Pio (10 mg/kg) produced significant (P<0.05) increase in reduced serum insulin levels by 150% as compared to the control diabetic group. Treatment with MP (500 mg/kg) or Pio (10 mg/kg) in combination with MP (250 mg/kg) produced significant (P<0.05) increase in reduced serum insulin levels by 200% and 350%, respectively (fig. 6).

Fig. 3: Effect of Pio, MP and Pio+MP on the serum cholesterol in STZ-treated diabetic rats. STZ: streptozocin Pio: pioglitazone, MP: Monascus purpureus. [mean±SEM, n= 6] significant, * when compared to normal and @ P<0.05 when compared to control diabetic
Effect of pioglitazone, Monascus purpureus (MP) and their combination on liver interleukin-6 (Il-6)
STZ-induced diabetic rats showed a significant increase in liver Il-6 level by 5.8 folds as compared to normal control group. Treatment of STZ-induced diabetic rats with Pio (10 mg/kg) produced significant (P<0.05) increase in reduced liver Il-6 levels by 62% as compared to the control diabetic group. Treatment with MP (500 mg/kg) or Pio (10 mg/kg) in combination with MP (250 mg/kg) produced significant (P<0.05) decrease in elevated liver insulin levels by 35% and 78%, respectively (fig. 7).

Fig. 4: Effect of Pio, MP and Pio+MP on the liver triglycerides in STZ-treated diabetic rats. STZ: streptozocin Pio: pioglitazone, MP: Monascus purpureus. [mean±SEM, n= 6] significant, * when compared to normal and @ P<0.05 when compared to control diabetic

Fig. 5: Effect of Pio, MP and Pio+MP on the liver cholesterol in STZ-treated diabetic rats. STZ: streptozocin Pio: pioglitazone, MP: Monascus purpureus. [mean±SEM, n= 6] significant, * when compared to normal and @ P<0.05 when compared to control diabetic

Fig. 6: Effect of Pio, MP and Pio+MP on the serum insulin in STZ-treated diabetic rats. STZ: streptozocin Pio: pioglitazone, MP: Monascus purpureus. [mean±SEM, n= 6] significant, * when compared to normal and @ P<0.05 when compared to control diabetic

Fig. 7: Effect of Pio, MP and Pio+MP on serum IL-6 in STZ-treated diabetic rats. STZ: streptozocin Pio: pioglitazone, MP: Monascus purpureus. [mean±SEM, n= 6] significant, * when compared to normal and @ P<0.05 when compared to control diabetic
STZ-induced diabetic rats showed a significant decrease in the serum GSH by 49% as compared to normal control group. Treatment of STZ-induced diabetic rats with Pio (10 mg/kg) produced significant (P<0.05) increase in the serum GSH level 31% as compared to the control diabetic group. Treatment with MP (500 mg/kg) or Pio (10 mg/kg) in combination with MP (250 mg/kg) produced significant (P<0.05) increase in the serum GSH level by 70% and 119%, respectively (fig. 8).
However, STZ-induced diabetic rats showed a significant increase in the serum MDA by 153% as compared to normal control group. Treatment of STZ-induced diabetic rats with Pio (10 mg/kg) produced significant (P<0.05) decrease in the serum MDA level by 42% as compared to the control diabetic group. Treatment with MP (500 mg/kg) or Pio (10 mg/kg) in combination with MP (250 mg/kg) produced significant (P<0.05) decrease in the serum MDA level by 30% and 46.5%, respectively (fig. 9).
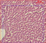
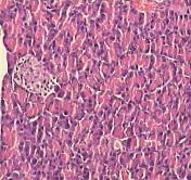
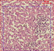
Effect of pioglitazone, Monascus purpureus (MP) and their combination on hepatic and pancreatic histology
Gross examination of liver showed no abnormalities. The microscopic examination of sections of liver from control group showed preserved hepatic architecture with normal hepatocytes. Sections of liver tissue of STZ-treated rats showed normal hepatic architecture with focal inflammatory cellular infiltrate and focal hepatocytic degeneration. Sections of liver treated with Pio (10 mg/kg) showed moderate degeneration of hepatocytes with mild cellular infiltrate. Sections of liver tissue treated with MP (500 mg/kg) treated rats showed moderate hepatic infiltration by inflammatory cells. Liver tissue of the group treated with Pio (10 mg/kg) in combination with MP (250 mg/kg) showed mild focal degeneration of hepatocytes.

Fig. 8: Effect of Pio, MP and Pio+MP on liver GSH in STZ-treated diabetic rats. STZ: streptozocin Pio: pioglitazone, MP: Monascus purpureus. [mean±SEM, n= 6] significant, * when compared to normal and @ P<0.05 when compared to control diabetic

Fig. 9: Effect of Pio, MP and Pio+MP on liver GSH in STZ-treated diabetic rats. STZ: streptozocin Pio: pioglitazone, MP: Monascus purpureus. [mean±SEM, n= 6] significant, * when compared to normal and @ P<0.05 when compared to control diabetic
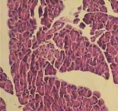
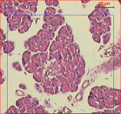
Effect of pioglitazone, Monascus purpureus (MP) and their combination on morphometric parameters
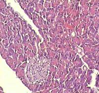
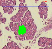
The morphometric examination of the normal pancreatic tissue sections showed that the islets are of normal size and have intact Beta cells. STZ-treated pancreatic specimens showed shrunk islets with degenerated Beta cells and peripheral lymphocytic infiltrate. Sections of pancreatic tissue treated with Pio (10 mg/kg) showed small islets with decreased number of Beta cells than control. Sections of pancreatic tissue treated with MP (500 mg/kg) showed that the islets had decreased number of Beta cells. Sections of pancreatic tissue treated with Pio (10 mg/kg) in combination with MP (250 mg/kg) showed atrophic islets with few Beta cells (fig. 10), (table 1).
| Normal |
A |
B |
C |
| STZ |
D |
E |
F |
| Pio |
P |
Q |
R |
| MP |
M |
N |
O |
| Pio+MP |
J |
K |
L |
Fig. 10: Photomicrograph of Pio, MP and Pio+MP on liver in STZ-treated diabetic rats. STZ: streptozocin Pio: pioglitazone, MP: Monascus purpureus. [mean±SEM, n= 6] significant, * when compared to normal and @ P<0.05 when compared to control diabetic
A-Section in control liver tissue showing preserved hepatic architecture with normal hepatocytes (H and E, X100). B-Section in normal pancreatic tissue, the islets show intact Beta cells (H and E, X100). C-Normal pancreatic tissue section with overlapped binary image showing a mean islet area 1278.26 square micrometer. D-Section of liver tissue from STZ treated rat showing normal hepatic architecture with focal inflammatory cell infiltrates with focal hepatocytic degeneration (H and E, X100). E-STZ pancreatic tissue section, the islets show degenerated Beta cells with peripheral lymphocytic infiltrate (H and E, X100). F-Pancreatic sections from STZ treated rat with overlapped binary image showing a mean islet area 785.42 square micrometer. J-Section of liver tissue from Pio treated rat showing moderate degeneration of hepatocytes with mild cellular infiltrate (H and E, X100). K-Pio treated pancreatic tissue section showed that the islets have few Beta cells (H and E, X100). L-Pancreatic sections from Pio treated rat with mean islet area 549.28 square micrometer. M-Section of liver tissue from Stat treated rat showing moderate hepatic infiltration by inflammatory cells (H and E, X100). N-Stat treated pancreatic tissue section showed that the islets had decreased number of Beta cells (H and E, X100). O-Pancreatic sections from Stat treated rat with mean islet area 724.11 square micrometer. P-Section of liver tissue from PS treated rat showing focal degeneration of hepatocytes (H and E, X100). Q-PS treated pancreatic tissue section; the islets show decreased number of Beta cells with peripheral inflammatory cellular infiltrate (H and E, X100). R-Pancreatic sections from PS treated rat with mean islet area 659.89 square micrometer.
Table 1: Morphometric analysis of Pio, MP and Pio+MP on liver in STZ-treated diabetic rats
| Drugs | Pancreatic islets | Mean islets area | Hepatocytic degeneration | Inflammatory infiltrate |
| N | Normal islets with normal B cells | 1278.26 | --- | --- |
| STZ | Atrophic islets with degenerated B cells | 785.42 | +++ | +++ |
| Pio | Few Beta cells | 549.28 | ++ | ++ |
| MP | Decreased number of Beta cells | 724.11 | ++ | ++ |
| Pio+MP | Decreased number of Beta cells with peripheral inflammatory cellular infiltrate | 659.89 | ++ | ++ |
DISCUSSION
Streptozotocin (STZ)-induced hyperglycemia rat is a well-established model for the first screening of antidiabetic agents [26]. Streptozotocin produces diabetes that is equivalent to the pathological status found in human diabetes [27]. In the present study, the intraperitoneal administration of streptozotocin induced diabetes mellitus in rats. STZ-induced experimental diabetes results in many diabetic complications that are mediated through oxidative stress [28]. An imbalance between the oxidant and antioxidant status occur as a result of the generation of reactive oxygen species [29].
Streptozotocin is cytotoxic to pancreatic β-cells [30, 31]. The toxic effect of STZ involves its uptake into cells due to the glucose moiety in its chemical structure which causes the entrance of STZ to the β-cell via the low affinity glucose 2 transporter in the plasma membrane as they are more dynamic than other cells in taking up glucose, and thus, more subtle than other cells to STZ contest and hence STZ causes direct DNA damage to the pancreatic islets of beta cells, which leads to hyperglycemic state [32, 33].
In the present study, administration of STZ resulted in a significant rise in the blood glucose level and lessening in plasma insulin level. Hyperglycemia resulted in increased levels of free radicals by autoxidation of glucose, protein glycation, and oxidative stress. Hyperglycemia is associated with the production of ROS resulting in oxidative damage in different body organs, mostly to the heart, kidney, eyes, nerves, liver and gastrointestinal system [34]. These changes were confirmed by the histopathological examination of the liver and pancreas which showed focal degenerative changes in hepatocytes and shrunk islets with degenerated Beta cells.
The use of medicinal plants in the treatment of many diseases is increasing and it is an important part of medicinal therapy. However, many botanicals have been used traditionally in the treatment of diabetes, little definitive and clear data on the efficacy of such natural products has been documented and still needs research [35].
Oral administration of Monascus purpureus (MP) reduced the blood glucose level and improved plasma insulin level in diabetic rats. This may be due to the insulin like effect of MP on peripheral tissues, either by promoting glucose uptake and metabolism or by hindering hepatic gluconeogenesis.
From the results of the present study, it seems that there is an increase in the concentration of TC and TG in STZ-induced diabetic rats. Hyperlipidemia is a predictable consequence of DM [36].
DM induced hyperlipidemia is attributable to the surplus mobilization of fat from the adipose tissue due to the underutilization of the glucose [37]. The TC and TG of diabetic rats treated with MP were decreased as compared to diabetic control rats.
Regarding the mechanism of action of MP, it may have enhanced the activity of enzymes involved in bile acid synthesis and its excretion and thus decreased serum levels of TC and TG [38]. Most of the hypolipidemic drugs do not decrease serum TG level, but MP decreased it significantly which might be attributed to the cause that, under the diabetic condition, insulin stimulates the enzyme lipoprotein lipase thus causes the hydrolysis of TG [39].
The present study showed a reduction in the level of insulin in diabetic rats, which is similar to other studies [40]. Administration of pioglitazone, MP or their combination to diabetic rats significantly increased the level of insulin which might be accredited to the insulin like effect of MP on peripheral tissues, either by promoting glucose uptake and metabolism or by inhibiting hepatic gluconeogenesis [41].
STZ-induced diabetic rats showed an increase in liver IL-6 compared with that of the normal group. Administration of pioglitazone, MP or their combination to diabetic rats significantly restored the elevated IL-6 levels. Interleukin-6 is a cytokine involved not only in inflammation and infection responses but also in the regulation of metabolic, regenerative, and neural processes [42]. However, the increase of IL-6 was decreased with the concurrent treatment with pioglitazone, MP or their combination that suggests that MP has antidiabetic activity.
Increased release of free radicals was observed in diabetic rats and it is accredited to the chronic hyperglycemia that damage antioxidant defense system [43]. Free radicals may also be formed through the auto-oxidation of unsaturated lipids in plasma and membrane lipids.
The produced free radicals may react with polyunsaturated fatty acids in cell membrane leading to lipid peroxidation that will in turn results in raised production of free radicals [44]. Increased lipid peroxidation damages membrane functions by decreasing the membrane fluidity and altering the activity of membrane-bound enzymes and receptors [45].
The present study showed a significant raise in tissue thiobarbituric acid reactive substances (TBARS) in diabetic rats. This increased TBARS content in diabetic rats echoes the peroxidative damage that might be involved in the progress of diabetic complications. TBARS levels in liver were significantly lower in the treated group compared to the diabetic control rats. This suggests that the MP may possess antioxidant activities and guard the tissues against lipid peroxidation.
GSH is a main endogenous antioxidant which acts against free radical mediated damage. Earlier studies showed that the tissue GSH levels of STZ-induced diabetic rats are significantly minor when compared with the normal rats [46]. It is well known that GSH is involved in the protection of normal cell construction and function by preserving the redox homeostasis, quenching of free radicals and contributing in detoxification reactions as it is a direct scavenger of free radicals [47].
It has been proposed that the decrease in tissue GSH could be the result of decreased synthesis or increased degradation of GSH by oxidative stress in diabetes [48]. In the present study, the elevation of GSH levels in liver was observed in the MP and pioglitazone treated diabetic rats. This indicates that the MP and pioglitazone can either increase the biosynthesis of GSH or diminish the oxidative stress leading to less degradation of GSH or have both effects.
Studies revealed that free radicals are formed excessively in DM by glucose oxidation, non-enzymatic glycation of proteins. High levels of free radicals and the concurrent decline of antioxidant defense mechanisms may cause damage to cellular organelles and enzymes, thus increased lipid peroxidation [49].
Thiobarbituric acid reactive substances (TBARS) assessment in plasma helps to evaluate the extent of tissue damage [50]. In the present study, we found an increase in the levels of serum TBARS, which is a key factor of lipid peroxidation. The major pathological outcome of membrane lipid peroxidation by free radical induction comprises increased membrane rigidity, decreased cellular deformability, reduced erythrocyte survival, and lipid fluidity [50].
The tissue lipid peroxidation in diabetic rats was increased, which might be due to an increase in the level of blood glucose [51]. Lipid peroxidation mediated tissue damage has been detected during the progress of DM; this is one of the specific features of chronic DM. The level of lipid peroxidation was increased in the tissues of diabetic rats, which might be due to a significant rise in the levels of TBARS and hydroperoxides in the liver and kidney.
The present data of lipid peroxidation come in accordance with the findings of Kakkar et al. (1997) [52]. MP, pioglitazone or their combination significantly decreased the elevated levels of malondialdehyde which is the indicator for lipid peroxidation wjich reflects the antidiabetic effects.
Histologically, liver and pancreatic tissues of the groups treated with Pio, MP or their combination showed amelioration of the atrophic changes and the degenerative effect of diabetes on islets and hepatocytes.
CONCLUSION
The pathogenesis of diabetes and its diabetes complications is complex. MP has an antidiabetic effect in STZ-induced diabetes in rats. The present study shows that MP has beneficial effects, counting the control of hyperglycemia, pancreatic β-cell shield and antioxidant effects. From this point, it seems that MP may be a valuable adjunct supplement to delay the progress of diabetes and diabetes complications. However, further studies are necessary to explore the underlying mechanism of treatment of MP.
CONFLICT OF INTERESRTS
The authors have declared that no conflict of interests exists
REFERENCES
How to cite this article