1Dept. of Pharmacology, Satara College of Pharmacy, Degaon, Satara 415004 (M. S.), India, 2Centre for Research and Development, PRIST University, Thanjavur 613403, (T. N.) India, 3Department of Pharmaceutics, Modern College of Pharmacy, Yamuna Nagar, Nigdi, Pun 411044, (M. S.) India.
Email: santoshbelhekar@rediffmail.com
Received: 31 Mar 2016 Revised and Accepted: 17 May 2016
ABSTRACT
Objective: Polyherbal formulation (PHF) is prepared from five herbs; these herbs are well-known and widely used in the traditional system of medicine for the treatment of diabetes and various diseases. Individually, each herb is completely safe, but the combined effects of these herbs are not known. Thus, the main objective of the present study was to assess the toxicological profile of PHF by acute and sub-acute oral toxicity in rats.
Methods:The acute and sub-acute oral toxicity study was carried out as per OECD guidelines 423 and 407 respectively. In the acute toxicity study female albino Wistar rats administered single oral dose (2000 mg/kg) of PHF, while in sub-acute toxicity study male and female albino Wistar rats administered daily oral doses (100, 200 and 400 mg/kg) of PHF for 28 d. At the end of the study, the animals were humanely sacrificed and assessed for the effect of PHF on body weight and relative organ weights and hematological, biochemical and histopathological parameters.
Results: In the acute toxicity study no mortality or behavioral changes were observed in rats treated with a single dose of PHF (2000 mg/kg) indicating that the LD50 is higher than 2000 mg/kg. In the sub-acute toxicity study, PHF was administered at three dose levels (100, 200 and 400 mg/kg), showed no significant changes in body weight and relative organ weights and hematological, biochemical and histopathological parameters.
Conclusion:These results exhibit the absence of acute and sub-acute oral toxicity after treatment of PHF in rats. However, further studies in animals and in humans are needed in order to have sufficient safety evidence for its use in humans.
Keywords: Polyherbal formulation, Acute and sub-acute toxicity, Hematology, Biochemistry, Histopathology
© 2016 The Authors. Published by Innovare Academic Sciences Pvt Ltd. This is an open access article under the CC BY license (http://creativecommons.org/licenses/by/4.0/)
INTRODUCTION
In the modern era, herbal formulations have gained greater importance than ever before, mainly due to their efficacy and easy availability as well as less side effects as compared to the synthetic drugs [1]. A World Health Organization survey indicated that 70 to 80% of the global population depends on alternative medicine, predominantly herbal in nature, in their primary health care [2]. The uses of medicinal plants as a source of drugs in primary health care have become popular universally, particularly in developing countries as a safe because of natural source [3].
All the extracts of herbs used for the study were obtained by supercritical fluid extraction (SFE) method, and they are called holistic extract. They are pure, highly powerful and extremely concentrated and free from any residues of chemical insecticides, pesticides & herbicides. SFE is used on a large scale for the extraction of some food grade and essential oils and pharmaceutical products from plants [4]. SFE allows the processing of plant material at low temperatures, hence limiting, thermal degradation, and avoids the use of toxic solvents [5].
Emblica officinalis, Gymnema sylvestre, Terminalia arjuna, Tinospora cordifolia and Zingiber officinale are well-known herbs available throughout India and widely used in the traditional system of medicine for the treatment of diabetes and various ailments.
The polyherbal formulation contained proven antidiabetic, anti-oxidant, antihyperlipidemic and cardiotonic herbs that alone or in combination control diabetes and diabetic complications. Emblica officinalis [6] have hypoglycemic and hypolipidemic activities, Gymnema sylvestre [7] havestronganti-hyperglycemic activity, Terminalia arjuna [8] is a vital cardiotonic herb, Tinospora cordifolia [9-10] possesses hypoglycemic and antioxidant activities and Zingiber officinale [11] powerful antioxidant, antidiabetic and hypolipidemic activities.
The safeties of these individual herbs are well known, but the combined effects of these herbs are unclear. Thus, it becomes essential to evaluate the safety and toxicity of the combination of herbs (PHF), before their use in human. Preclinical toxicity studies are necessary for determining a safe dose for human trials. Therefore the objective of the present study, to assess the safety of PHF by acute oral toxicity (single dose, 14 d) and sub-acute oral toxicity (repeated doses for 28th days) of PHF in albino Wister rats, the study was done according to the Organization for Economic Co-operation and Development (OECD) guidelines 423 and 407 respectively.
MATERIALS AND METHODS
Materials
Drugs and chemicals
Carboxymethyl cellulose-High Viscosity (Loba Chemie Pvt. Ltd., Mumbai), anesthetic ether (Narsons Pharma, Andhra Pradesh), single pan electronic balance (Ohaus Corp., USA), weighing balance (Sansui Electronics Pvt. Ltd., Pune), metabolic cages (Orchid, Nashik). All other chemicals used in this study were of analytical grade.
Holistic extracts
All the extracts were obtained by supercritical fluid extraction method, and they were procured from Nisarga Biotech Pvt. Ltd, Satara as a gift sample.
Experimental animals
Albino Wistar rats of either sex weighing 180-200g±20 were procured from Shri Venkateshwara Enterprises, Banglore. All animals were maintained under standard laboratory conditions of temperature (22±2 °C) and humidity 50±15% with 12 h day: 12 h night cycle. Rats had free access to water and rodent pellet diet (Hindustan Lever Ltd, Bangalore, India). Animals were acclimatized to laboratory conditions one week prior to initiation of experiments. The experimental protocol has been approved by the institutional animal ethics committee of the Satara College of Pharmacy, Satara (protocol approval no. is SCOP/IAEC/38) and all the animal experiments were carried out according to CPCSEA guidelines.
Methods
Preparation of polyherbal formulation
The polyherbal formulation was prepared by mixing all the five holistic extracts by taking equal quantity and adding 1% CMC solution as a surfactant, continuously triturating till uniform suspension are formed.
Toxicity studies
An acute and sub-acute oral toxicity studies were conducted in accordance with the Organization for Economic Co-operation and Development (OECD) Guideline 423 and 407 respectively [12-13].
Acute oral toxicity
Determination of LD50 of PHF
The PHF was administered in a single dose by gavage using a stomach tube. Rats overnight fasted prior to dosing. The starting dose level was 300 mg/kg. Before dose administration, the body weight of each animal was determined, and the dose was calculated according to the body weight. Three female rats were used for each step, sequentially dosed at intervals of 48 h. Animals were observed individually after dosing during first 30 min and periodically during the first 24 h, with special attention given during the first 4 h and daily thereafter, for a total of 14 d. An acute oral toxicity study was conducted in accordance with OECD Guideline 423 [14].
Effect of PHF on gross symptoms of toxicity
The five parameters of the Hippocratic screening were analyzed: conscious state (general activity); activity and coordination of motor system and muscle toning (response to tail touch and grip, straightening, strength to grab); reflexes (corneal and headset); activities on the central nervous system (tremors, convulsions, straub, sedation, anesthesia and ataxia) and activities on the autonomic nervous system (lacrimation, cyanosis, ptosis, salivation and piloerection) [15-16]. The water and feed intake were recorded daily, and body weight recorded weekly.
Subacute oral toxicity
The repeated doses for oral toxicity studies were carried out in rats, according to the OECD test guideline 407. The rats were divided randomly into 4 groups of 10 animals each (5 males and 5 females). Group I served as a vehicle control and received only 1% CMC solution. Groups II, III and IV received PHF orally at the doses of 100, 200, 400 mg/kg, respectively, every day for 28 d.
The PHF was administered orally by gavage, as a single dose at similar times each day. For all the dose groups, volume (10 ml/kg) was adjusted and rounded up to single decimal point as per the body weight for an individual animal throughout the treatment period. During this period, all the animals were observed daily for signs of toxicity and mortality. The changes in body weight, food and water intake and clinical signs were also observed and recorded [17].
Hematological and biochemical examination
All experimental animals were humanely sacrificed at the end of the experiment by anesthetic ether in desiccators. Blood samples were collected by cardiac puncture for subsequent hematological and biochemical analysis. The hematological parameters were analyzed such as hemoglobin, Hematocrit, platelet count, RBC, WBC, neutrophil, eosinophils, basophils, lymphocyte and monocyte [17].
The biochemical parameters were also analyzed such as glucose, total bilirubin, cholesterol and triglyceride, markers of renal function (urea and creatinine) and liver (ALT, AST and ALP) and protein profile (total protein, albumin and globulin) [18].
Histopathological examination
All experimental animals were humanely sacrificed at the end of the experiment by anesthetic ether in a desiccator. After collecting a blood sample, the vital organs (heart, lung, kidney, liver, and spleen) and reproductive organs (testis, ovary) were trimmed of any adherent tissue, and their wet weight was taken as soon as possible after dissection to avoid drying. Organ/body weight ratios were calculated based on the fasted animal's body weight. Then samples of kidney and liver were fixed in 10% neutral buffered formalin, embedded in paraffin, sectioned at 5 μm, and stained with hematoxylin and eosin, following the standard laboratory procedures. The stained sections were examined under a microscope for any cellular damage or change in morphology [17].
Statistical analysis
Results were expressed as mean±standard error of the mean (SEM). Student’s t-test was used for comparison between the two experimental groups (acute toxicity). The differences between groups of sub-acute toxicity were determined by analysis of variance (one-way ANOVA) followed by Dunnett’s multiple comparison tests (Graph pad Instant-version 3.00). Probability values of 0.05 (p<0.05) or less were considered statistically significant.
RESULTS
Acute oral toxicity
Determination of LD50 of PHF
The acute toxicity of PHF was determined as per the OECD guideline 423, where the limit test dose was 2000 mg/kg, at this dose PHF did not cause the death of any animal. Therefore, the PHF seems to be safe at a dose level of 2000 mg/kg, and the LD50 was considered to be>2000 mg/kg. The control group rats and the PHF treated rats were observed for first 30 min, then for a short period (4 h) followed by long periods (24 h) and then daily thereafter, for a 14 d.
There were no noticeable changes in the general behavior as well as no changes in water and food intake in treated groups. However, some of the rats showed signs of sedation, lethargy, and drowsiness after the administration of PHF at a dose of 2000/kg, when compared to control group. The absence of any sign of toxicity and mortality in the treated group rates at the end of the 14 d observation period indicated that the PHF showed no toxic effects in the test animals.
Subacute oral toxicity
Daily oral administration of PHF at doses of 100, 200 and 400 mg/kg for 28 consecutive days did not produce any abnormality and sign of toxicity in rats of either sex. The doses were selected based on the results of acute toxicity study wherein; the PHF was found to be safe up to a dose of 5000 mg/kg body weight.
Effects of PHF on clinical signs of toxicity and mortality
The sub-acute toxicity study of the PHF was determined as per OECD guideline 407. In the present study, after 28 d treatment of PHF, the animals were active and responsive to stimuli; there were no clinical signs of toxicity and mortality. Three groups of animals daily treated with PHF at the dose of 100, 200 and 400 mg/kg were survived throughout the study.
There was no noticeable change in the general behavior of male and female rats treated at 100, 200 and 400 mg/kg. However, sub-acute administration of the PHF at the highest dose (400 mg/kg) caused mild changes in the general behavior such as hypoactivity was observed in female rats, corroborating the hypothesis of the no toxicity of the PHF after sub-acute administration.
Effect of PHF on body weight, water, and food intake
After administration of a single dose of PHF (2000 mg/kg), no significant changes occurred in body weight, water, and food intake in female and male rats. Both the control and treated rats appeared healthy at the end and throughout the 14 d study (table 1). In sub-acute toxicity study, there were insignificant decreases in body weight gains of male and female rats treated with repeated oral doses of PHF (100, 200 and 400 mg/kg), when compared to the control group. No significant changes in water and food intake in treated groups when compared with a control group of rats (table 2).
Table 1: Effect of single dose of PHF on body weights, food and water intake of female rats in acute toxicity
Group |
Sex |
Body weight (g) |
Weight gain (%) |
Food intake (g/day) |
Water intake (ml/day) |
|
Day 0 |
Day 14 |
|||||
Control |
Female |
186.5±2.55 |
244.33±3.63 |
23.97 |
141.5±2.71 |
199.83±5.85 |
PHF-2000 mg/kg |
Female |
191.16±4.62 |
236.83±3.29 |
19.28 |
132.16±2.99 |
186.83±4.02 |
Values are expressed as mean±SEM, P>0.05 when compared to control group., PHF=Polyherbal formulation
Table 2: Effect of PHF on body weights, food and water intake of female rats in sub-acute toxicity
Group |
Sex |
Body weight (g) |
Weight gain (%) |
Food intake (g/day) |
Water intake (ml/day) |
|
Day 0 |
Day 28 |
|||||
Control |
Female |
189.5±3.19 |
285.00±4.15 |
33.50 |
139.5±2.27 |
209.00±4.90 |
Male |
194.5±5.25 |
347.83±3.88 |
44.00 |
151.33±3.98 |
142.16±4.18 |
|
PHF-100 mg/kg |
Female |
194.0±3.22 |
279.50±4.93 |
30.00 |
136.5±2.07 |
203.16±7.49 |
Male |
197.8±6.68 |
341.83±5.58 |
42.12 |
143.0±4.03 |
135.83±2.45 |
|
PHF-200 mg/kg |
Female |
190.5±2.39 |
270.00±3.92 |
28.30 |
134.00±2.36 |
201.33±6.50 |
Male |
204.0±5.60 |
336.66±3.85 |
39.40 |
139.66±3.57 |
132.5±2.39 |
|
PHF-400 mg/kg |
Female |
188.8±2.39 |
259.00±3.53 |
27.41 |
132.5±2.14 |
199.66±4.58 |
Male |
201.83±6.36 |
326.5±4.75 |
38.08 |
137.33±4.07 |
131.33±2.89 |
|
Values are expressed as mean±SEM, P>0.05 when compared to control group. PHF=Polyherbal formulation
Effect PHF on hematological parameters
Oral administration of the PHF for 28 d at a dose of 100, 200 and 400 mg/kg did not cause significant changes in hematological parameters when compared with control group rats.
The hemoglobin, hematocrit, platelet count, RBC, WBC, neutrophil, eosinophil, basophil, lymphocyte and monocyte in the treated rats were compared with control rats (table 3).
Effect of PHF on biochemical parameters
Oral administration of the PHF for 28 d at a dose of 100, 200 and 400 mg/kg did not cause significant changes in serum biochemical parameters such as glucose, AST, ALT, ALP, total bilirubin, total protein, albumin, urea, creatinine, cholesterol and triglyceride levels, when compared to control group. However, treatment of PHF was shown in significantly decreased blood glucose level in female and male rats, when compared with the respective control group(table 4).
Effect of PHF on relative organ weight
There were no significant differences in relative organ weight between control rats and PHF treated rats at a dose of 100, 200 and 400 mg/kg. The relative organ weight of control rats and PHF treated rats statistically insignificant. The results revealed that the vital organs such as liver, kidney, spleen, heart, lung, ovary and testis were not adversely affected throughout the treatment by PHF (table 5).
Table 3: Effect of PHF on hematological parameters of male and female rats in sub-acute toxicity
Parameters |
Sex |
Group |
|||
Control |
PHF-100 mg/kg |
PHF-200 mg/kg |
PHF-400 mg/kg |
||
Hemoglobin (g/dl) |
Female |
14.21±0.72 |
13.71±0.54 |
13.95±0.47 |
13.45±0.67 |
Male |
16.35±0.39 |
15.56±0.44 |
15.33±0.57 |
15.43±0.49 |
|
Hematocrit (%) |
Female |
43.5±1.97 |
40.33±2.06 |
44.66±1.74 |
43.00±2.08 |
Male |
45.5±2.07 |
47.83±1.53 |
48.66±2.17 |
44.33±1.82 |
|
Platelet count (103/µl) |
Female |
579.83±31.53 |
560.33±21.78 |
594.0±33.61 |
610.50±31.02 |
Male |
481.66±43.57 |
475.50±23.07 |
491.50±33.21 |
517.33±29.62 |
|
RBC (106/µl) |
Female |
7.75±0.37 |
7.18±0.33 |
7.55±0.38 |
7.28±0.37 |
Male |
8.91±0.51 |
8.31±0.38 |
8.18±0.33 |
8.41±0.36 |
|
WBC (103/µl) |
Female |
7.46±0.29 |
7.33±0.40 |
7.21±0.39 |
7.41±0.41 |
Male |
9.10±0.34 |
9.26±0.35 |
9.60±0.48 |
9.13±0.38 |
|
Neutrophils (%) |
Female |
21.33±1.43 |
20.83±1.13 |
21.16±1.51 |
21.83±1.92 |
Male |
20.50±1.66 |
21.50±0.88 |
22.00±1.15 |
21.66±1.82 |
|
Eosinophils (%) |
Female |
1.53±0.12 |
1.30±0.15 |
1.46±0.16 |
1.41±0.13 |
Male |
1.53±0.15 |
1.38±0.16 |
1.45±0.19 |
1.51±0.17 |
|
Basophils (%) |
Female |
0.46±0.04 |
0.55±0.02 |
0.48±0.04 |
0.51±0.03 |
Male |
0.46±0.05 |
0.55±0.03 |
0.52±0.03 |
0.49±0.04 |
|
Lymphocyte (%) |
Female |
69.16±3.13 |
72.66±3.33 |
71.5±3.24 |
75.00±3.43 |
Male |
76.86±3.47 |
73.83±3.12 |
70.16±2.88 |
72.33±3.24 |
|
Monocyte (%) |
Female |
4.03±0.23 |
4.30±0.33 |
4.50±0.29 |
4.26±0.35 |
Male |
4.06±0.19 |
4.45±0.38 |
4.80±0.31 |
4.58±0.36 |
|
Values are expressed as mean±SEM (n=10) in each group. P>0.05, when compared to control groups. (One-way ANOVA followed by Dunnett's multiple comparison test) PHF (Polyherbal formulation), WBC (white blood cell count), RBC (red blood cell count)
Table 4: Effect of PHF on Biochemical parameters of male and female rats in sub-acute toxicity
Parameters |
Sex |
Group |
|||
Control |
100 mg/kg |
200 mg/kg |
400 mg/kg |
||
Glucose (mg/dl) |
Female |
89.16±2.97 |
82.5±2.70 |
75.83±3.92 |
78.83±4.18 |
Male |
90.5±4.76 |
87.83±3.09 |
81.66±3.50 |
75.16±4.03 |
|
AST (U/l) |
Female |
71.16±4.96 |
75.83±4.65 |
67.0±2.76 |
74.16±2.49 |
Male |
69.5±2.77 |
72.83±3.70 |
74.00±4.21 |
77.16±4.09 |
|
ALT (U/l) |
Female |
32.66±1.90 |
33.66±2.30 |
35.0±2.01 |
38.16±2.90 |
Male |
29.33±2.26 |
31.83±2.52 |
34.50±2.43 |
32.83±2.04 |
|
ALP (U/l) |
Female |
1.06±0.28 |
1.11±0.28 |
1.18±0.30 |
1.21±0.28 |
Male |
1.05±0.12 |
1.08±0.10 |
1.11±0.13 |
1.13±0.15 |
|
Total bilirubin (mg/dl) |
Female |
1.83±0.10 |
1.96±0.11 |
1.91±0.20 |
2.01±0.19 |
Male |
1.74±0.03 |
1.79±0.04 |
1.84±0.05 |
1.97±0.10 |
|
Total protein (g/dl) |
Female |
7.2±0.27 |
6.98±0.25 |
6.56±0.25 |
6.66±0.29 |
Male |
7.51±0.57 |
7.30±0.42 |
7.20±0.28 |
6.98±0.37 |
|
Albumin (g/dl) |
Female |
4.53±0.20 |
4.51±0.16 |
4.37±0.20 |
4.28±0.27 |
Male |
4.54±0.04 |
4.52±0.05 |
4.57±0.05 |
4.49±0.04 |
|
Globulin (g/dl) |
Female |
2.95±0.22 |
3.13±0.24 |
3.08±0.16 |
3.18±0.25 |
Male |
3.01±0.08 |
2.78±0.07 |
2.86±0.06 |
2.89±0.05 |
|
Urea (mg/dl) |
Female |
25.66±1.99 |
29.83±1.66 |
27.00±1.69 |
30.6±1.92 |
Male |
22.17±1.79 |
25.31±1.45 |
24.44±1.70 |
26.54±1.36 |
|
Creatinine (mg/dl) |
Female |
0.50±0.02 |
0.53±0.03 |
0.54±0.03 |
0.57±0.02 |
Male |
0.52±0.03 |
0.54±0.02 |
0.57±0.03 |
0.55±0.02 |
|
Cholesterol (mg/dl) |
Female |
86.00±3.75 |
89.16±3.76 |
94.33±2.56 |
98.16±3.50 |
Male |
81.66±3.0 |
89.50±3.73 |
86.50±3.09 |
91.83±3.36 |
|
Triglycerides (mg/dl) |
Female |
60.33±3.25 |
63.33±3.0 |
64.66±2.51 |
61.86±2.48 |
Male |
58.33±3.20 |
55.5±3.40 |
65.33±3.21 |
58.66±2.91 |
|
Values are expressed as mean±SEM (n=10) in each group. P>0.05, when compared to control groups. (One-way ANOVA followed by Dunnette’s multiple comparison test), PHF (Polyherbal formulation), AST (Aspartate aminotransferase), ALT (Alanine aminotransferase), ALP (Alkaline phosphatase)
Table 5: Effect of PHF on relative organ weights of male and female rats in sub-acute toxicity
Organ |
Sex |
Organ weight (g/100 g body weight) |
|||
Control |
PHF-100 mg/kg |
PHF-200 mg/kg |
PHF-400 mg/kg |
||
Liver |
Female |
3.11±0.12 |
3.16±1.13 |
3.10±0.16 |
3.02±0.12 |
Male |
3.26±0.02 |
3.27±0.02 |
3.24±0.03 |
3.25±0.03 |
|
Kidney |
Female |
0.45±0.01 |
0.47±0.02 |
0.44±0.02 |
0.45±0.02 |
Male |
0.51±0.03 |
0.53±0.03 |
0.49±0.03 |
0.50±0.3 |
|
Spleen |
Female |
0.24±0.02 |
0.23±0.01 |
0.22±0.01 |
0.25±0.02 |
Male |
0.27±0.04 |
0.29±0.05 |
0.30±0.05 |
0.29±0.03 |
|
Heart |
Female |
0.40±0.01 |
0.42±0.01 |
0.42±0.02 |
0.41±0.02 |
Male |
0.47±0.02 |
0.49±0.02 |
0.48±0.02 |
0.51±0.01 |
|
Lung |
Female |
0.46±0.02 |
0.47±0.03 |
0.47±0.02 |
0.48±0.02 |
Male |
0.52±0.02 |
0.50±0.01 |
0.54±0.02 |
0.53±0.02 |
|
Ovary |
Female |
0.056±0.002 |
0.052±0.002 |
0.051±0.003 |
0.052±0.003 |
Testis |
Male |
0.93±0.04 |
0.92±0.05 |
0.90±0.05 |
0.88±0.03 |
Values are expressed as mean±SEM (n=10) in each group. P>0.05, when compared to control groups. (One-way ANOVA followed by Dunnette’s multiple comparison test), PHF (Polyherbal formulation),

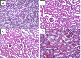
Fig. 1: Light microscopy of kidney sections from rats, sections was stained by hematoxylin and eosin (H&E) A: Control, B: PHF-100 mg/kg, C: PHF-200 mg/kg, D: PHF-400 mg/kg, PHF=Polyherbal formulation

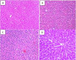
Fig. 2: Light microscopy of liver sections from rats, sections was stained by hematoxylin and eosin (H&E) A: Control, B: PHF-100 mg/kg, C: PHF-200 mg/kg, D: PHF-400 mg/kg, PHF=Polyherbal formulation
Histopathological examination of kidney and liver
In the sub-acute oral toxicity study, histopathological examinations of kidney and liver sections of rats were normal. Kidney biopsy of treated rats showed normal tissue cortex containing several glomeruli, normal capsular space, interstitial and tubules (fig. 1). The liver biopsy of treated rats showed a normal architecture, parenchymal cells, portal system, and blood sinusoids of liver sections. Treatment with PHF at the three dose levels (100 mg/kg, 200 mg/kg, and 400 mg/kg) did not show any histopathological changes (fig. 2).DISCUSSION
Plant origin drugs are known to play a vital role in the management various chronic diseases and have received a great preference by the researcher as an alternative source for allopathic pharmaceutical drugs in recent times [3]. Botanical medicines have become popular as alternative remedies as they are believed to be efficacious and have over a thousand years’ experience in treating patients [20].
Emblica officinalis, Gymnema sylvestre, Terminalia arjuna, Tinospora cordifolia and Zingiber officinale are well-known herbs available throughout India and widely used in the traditional system of medicine for the treatment of diabetes and various diseases. The safeties of these individual herbs are well known, but the combined effects of these herbs are uncertain. Thus, it becomes essential to assess the safety and toxicity of the combination of herbs (PHF) before their use in human. In the present studies, a series of preclinical experiments were performed to assess the safety and toxicity of PHF, such as acute and sub-acute oral toxicity studies.
In an acute oral toxicity study, it was observed that the lethal oral toxicity of the PHF was estimated to be higher than 2000 mg/kg, classified as category 5 according to OECD Guide 423, indicating a certain safety margin associated with the use of PHF as therapeutic agents [18]. The female rats exposed, presented no toxicity and behavioral changes during the treatment period, as well as no changes in water and food intake, in relation to the control group.
In the sub-acute oral toxicity study, the PHF treated groups did not show any significant changes in body weight, indicating that it did not have any adverse effects on body weight. Organ weight is an important index of the physiological and pathological status of animals [17].
After 28 d of treatment, there were no treatment-related changes in hematological parameters between control and treated groups, indicating that the PHF was neither toxic to RBC, WBC and platelet nor interfered with their production. The hematopoietic system is one of the most sensitive targets of toxic compounds and is an important index of physiological and pathological states in man and animals [2, 22].
Clinical biochemistry is mainly performed to evaluate the effect of PHF on hepatic and renal functions as well as on glucose and total cholesterol and triglyceride levels. Liver function tests are a group of blood tests that detect inflammation and damage to the liver. They also check how well the liver is working. The AST, ALT and ALP are the enzymes, which play an important role in liver function and have been used as biomarkers for predicting possible toxicity [21].There was no significant increase in serum AST, ALT, ALP and total bilirubin and no significant decrease in total serum protein, albumin of treated rats when compared to the control rats. The blood glucose level was decreased in PHF treated rats; however, blood glucose level was statistically insignificant, when compared with control rats. This might reflect the hypoglycemic effect of PHF that may be due to stimulating pancreatic insulin release and reducing intestinal glucose absorption. There was also no significant increase in serum total cholesterol and triglyceride in treated rats when compared to the control rats. The normal levels of liver function test parameters indicate that the PHF did not damage and interfere with liver function.
The kidneys excrete metabolic waste products and regulate the serum concentration of a variety of substances. The urea and creatinine are important biomarkers of renal toxicity [17, 20]. At some stage during the course of renal injury and inflammation, these substances often become abnormal, and the extent of the abnormality generally depends on the severity of the disease. The normal levels of serum urea and creatinine, total protein and albumin indicate that the PHF did not interfere with renal function, and renal integrity was preserved. There was no significant increase in serum urea and creatinine and no significant decreased in serum total protein and albumin of treated rats when compared to the control rats.
The organ (liver, kidney, spleen, heart, lung, ovary, and testis) weights in the PHF treated rats remained normal, indicating that PHF was not toxic in these vital organs [23]. The liver and kidney play an important role in metabolism and excretion of drugs, hence, it was necessary to examine the liver and kidney tissues histopathologically, in order to detect any microscopic changes that might be present [2]. Examination of liver and kidney sections taken from rats treated sub-acutely with PHF did not show any histopathological changes, which comply with the normal pattern of biochemical parameters when they compared with control rats. These findings could explain the previously mentioned normal liver enzyme (ALT, AST and ALP) levels. Similarly, histopathological examination of kidney sections from rats treated sub-acutely with PHF did not show histopathological changes.
CONCLUSION
The acute oral toxicity study indicated that PHF can be classified as category 5 or is a low-toxic substance according to globally harmonized system. The sub-acute administration of PHF at the three dose levels did not show any toxic effect on hematological, biochemical and histopathological parameters in rats. The data obtained in this study are relevant as they provide for the use of PHF of great economic and medical importance. However, further studies in animals and humans should be performed (such as chronic toxicity and developmental, reproductive and carcinogenic study) in order to evaluate the total safety of polyherbal formulation.
ACKNOWLEDGEMENT
The firstly author is sincerely thanks to Dr. Kailas Khadtare for doing a hematological and biochemical investigation and histopathological study. The authors also would like to thank Mr. Girish Soman, Managing Director, Nisarga Biotech Pvt., Ltd., Satara for the providing gift samples of holistic extract for the preparation of polyherbal formulation.
CONFLICT OF INTERESTS
The authors declare that there are no conflicts of interest.
REFERENCES