Department of Pharmaceutical Sciences, Maharishi Markandeshwar University, Mullana, Ambala, Haryana 133207, India
Email: randhirsingh.dahiya@gmail.com
Received: 03 Apr 2016 Revised and Accepted: 17 May 2016
ABSTRACT
Objective: The present work was designed to evaluate the antidiabetic effect ofNepeta hindostana methanolic extract in streptozotocin-induced diabetes in rats.
Methods: Wistar rats were divided into different groups and glibenclamide (2.5 mg/kg), and Nepeta hindostana methanolic extract (100, 200 and 400 mg/kg) treatments were given orally, for 28 d. Change in body weight, glucose level, lipid profile, total cholesterol, and triglyceride level in tissue homogenates, total hemoglobin, and HbA1C and pancreas microscopy of different groups were evaluated.
Results: Nepeta hindostana methanolic extract 200 and 400 mg/kg dose group have a significant change in weight as compared to diabetic control. All the extract treated groups showed a significant reduction in glucose level on 14th and 28th day as compared to diabetic control. The level of serum total cholesterol and triglyceride level were significantly reduced, and HDL level significantly increased in 400 mg/kg groups after 28 d treatment. However, a significant increase in Hb concentration was observed in diabetic rats treated with 200 and 400 mg/kg, when compared to diabetic control. The microscopy of the pancreas showed both glibenclamide and 400 mg/kg extract does appear to regulate diabetes at the cellular level resulting in restoration of near normal architecture pancreatic islets of langerhans and hepatocytes.
Conclusion: It can be concluded that Nepeta hindostana methanolic extract exhibit significant antidiabetic activity against streptozotocin-induced diabetes model.
Keywords: Nepeta hindostana, Streptozotocin, Antidiabetic
© 2016 The Authors. Published by Innovare Academic Sciences Pvt Ltd. This is an open access article under the CC BY license (http://creativecommons.org/licenses/by/4.0/)
INTRODUCTION
Diabetes mellitus (DM) is a wide-reaching health problem due to its high mortality rates and the prevalence of its occurrence is increasing at a scary rate. In addition, indicated a growing burden of diabetes particularly in developing countries [1]. It was estimated to 6.4% affecting 285 million adults by the world prevalence of diabetes in 2010 among adults. It is expected to increase to 7.7% and affecting 438 million adults by 2030 [2]. Diabetes mellitus often referred to simply as diabetes is a syndrome of disordered metabolism, usually due to a combination of hereditary, and environmental causes, resulting in abnormally high blood sugar levels (hyperglycemia) [3]. Apart from these interconnected factors, the main reason for the occurrence of diabetes is high blood glucose level in the body [4]. A consequence of a disturbance in blood-glucose level is due to improper metabolism of carbohydrate, fat, and protein. If an imbalance in the blood glucose level can’t control for a long time, then it leads to multiple complications i.e. cardiovascular diseases, nephropathy, retinopathy, and neuropathy [5]. Currently available anti-diabetic medications have expected for their efficacies in lowering blood glucose which leads to lowering rates of secondary complications of this disease and to increase pharmacological responses [6]. There are a number of complications are involved, when patients exposed to an available modern system of treatment. To overcome or avoid these complications associated with the modern system of medicine accordingly, so, there is a need for an alternative therapy i.e. traditional herbal system of medicine. To increase, the therapeutic outcomes in the diseased conditions at equally effective besides being at an economical price, ethno medicine can be considered as “Model of Therapy” for diabetes mellitus. It is considered that in the scientific literature, a large number of medicinal plants, Functional food and their secondary metabolites are considered to be a potential source to control DM [7]. Natural products/dietary phytochemical have aroused considerable interest in recent years as potential therapeutic agents to counteract diabetes. Out of a large number of plants in the Ayurveda system of medicine, Nepeta hindostana was selected for the present study.
Nepeta hindostana (Roth) Haines (Family: Lamiaceae) is an important medicinal plant of indo-pakistan subcontinent and commonly known as “Badrang-e-Boya. It is medium size velvety annual herb, 15-40 cm high, branched from base. Leaves are 1.3-5.0 by 1.3-8.0 cm, broadly ovate, obtuse, crenate-serrate, green or hoary, petioles 8-12 mm long. Flower are pedicellate, 6 mm, blue or purple, minutely dotted; one-sided stalked, and branched, clusters at the interval. Fresh herb has a strong smell like that of mint [8, 9]. It’s found roadside and near streams in Europe, Asia (in the Himalayas) and in other hilly areas introduced in India. Flowering time of Nepeta hindostana is from spring to summer with blue-purple colour flowers [10, 11].
Traditionally, the plant is used as carminative, stimulant, tonic, diaphoretic, emmenagogue, antispasmodic, aphrodisiac, hysteria, chlorosis, colic, amenorrhea and toothache [12]. A number of pharmacological activities like cardio protective [13, 14], asthma [12], hypocholesterolemic [15], hypotensive [16], antiphlogistic [17], antiplasmodial [18], antipyretic [19, 20], anti-inflammatory [21], CNS depressant and sedative activities [21], antifungal [22] has been reported for Nepeta hindostana. The cardio protective effect of the plant was reported due to the presence of terpenoid and flavonoids [13] but antidiabetic activity was not reported yet for Nepeta hindostana. So, the present study was designed to investigate the antidiabetic activity of aqueous extract of Nepeta hindostana whole herb in streptozotocin-induced diabetes in rats.
MATERIALS AND METHODS
Chemical used
Glibenclamide (beta drugs), streptozotocin (sigma-aldrich), methanol (nice chemicals) and erba diagnostic kits were used for biochemical estimation.
Plant material
The fresh whole herb of Nepeta hindostana was collected on April 2013 from the Ch. Devi Lal Rudraksh Vatika Herbal Nature Park, Yamunanagar, Haryana and authenticated by Dr. Shiddamallayya N., National Ayurveda Dietetics Research Institute, Banglore, India with specimen number RRCBI-MUS-125.
Preparation of methanolic extracts of Nepeta hindostana whole herb (NHME)
The whole herb of Nepeta hindostanawas washed in water and shade dried. The dried herb was grinded into coarse powder. Then, plant material was packed into soxhlet, and extraction was carried using methanol. Soxhlation was carried for 72 h and the extract was concentrated using rotary vacuum evaporator at 40 °Cand dried. The extract was stored in a refrigerator at 4 °Cthroughout the duration of the study. Percentage yield of NHME was determined using the formula:
% Yield = (weight of extract/weight of plant material) * 100
Animals
Wistar rats (both sex) weighing 130-170g were used in the study and experimental protocol was duly approved by Institutional Animal Ethics Committee (MMCP/IAEC/13/36). Animals were kept as per the guidelines of committee for the purpose of control and supervision of experiments on animals (CPCSEA) in MM College of Pharmacy, Ambala, India. Animals were fed normal chow diet and ad libitum under controlled environmental condition of temperature (24-28 °C), relative humidity 60-70% and natural light/dark cycle (12:12).
Induction of diabetes with streptozotocin [23-25]
Diabetes was induced by intraperitoneal injection of streptozotocin (55 mg/kg) dissolved in 0.1 M cold sodium citrate buffer (pH 4.5) in overnight fasting rats. The control rats received vehicle alone, and animals were allowed to drink 5% glucose solution overnight to overcome the drug-induced hypoglycemia. After 1 w time, the rats with moderate diabetes having glycosuria and hyperglycemia (blood glucose range of above 250 mg/dl) were considered as diabetic rats and used for the experiment.
The rats were divided into groups of 6 animals in each group as given below.
Group 1: Control rats, received saline 10 ml/kg
Group 2: Diabetic control (Streptozotocin) rats, received 55 mg/kg, i. p.
Group 3: Glibenclamide rats, received 2.5 mg/kg, p. o.
Group 4: NHME rats, received 100 mg/kg, p. o.
Group 5: NHME rats, received 200 mg/kg, p. o.
Group 6: NHME rats, received 400 mg/kg, p. o.
Glibenclamide (2.5 mg/kg) used as standard drug. The plant extracts and standard drug were suspended in 0.9% NaCl in warm water as vehicle solution and administered orally for 28 d.
Changes in body weight
The changes in the body weight were recorded at every week and % changes in body weight were calculated using the formula:
% change in weight = (final weight initial weight)/initial weight * 100
Biochemical estimations
The fasting blood glucose was measured on 0th, 14th, and 28th days with GOD-POD estimation kit. After 28 d treatment, blood samples withdrawn from the retro-orbital plexus and serum was separated by centrifugation at a speed of 3000 rpm for 10 min and lipid levels were estimated.The triglycerides, total cholesterol (CHOD-PAP method) and HDL (CHOD-PAP Method) with erba enzymatic kits were measured. The levels of LDL and VLDL were calculated using Friedewald equation as follows:
LDL = total cholesterol-HDL-(triglycerides/5)
VLDL = triglycerides/5
Estimation of total hemoglobin and HbA1C
At the end of the study, estimation of total hemoglobin and HbA1C were analyzed from blood samples. Total hemoglobin was analyzed using Sahli’s haemometer and HbA1C was estimated via laboratory method (ion exchange resin method) using semi auto analyzer.
Estimation of lipids from liver homogenates
The rats were fasted and sacrificed by cervical decapitation. For lipids analysis in tissue, a portion of liver tissue was dissected out, washed with ice cold saline immediately and kept at 4 oC. The liver tissue was homogenized in 0.1M tris-HCl (pH 7.4) and the supernatant was quantified for total cholesterol and triglyceride with enzymatic kits.
Histopathological studies
A portion of pancreatic tissue was dissected out and fixed in 10% formalin solution and histopathological studies were carried out.
Statistical analysis
Statistical analysis was performed using Dunnett's multiple comparisons test. Values are expressed as mean±SEM and p<0.05 was considered statistically significant.
RESULTS
Changes in the body weight of animals in streptozotocin-induced diabetes
The antidiabetic effect of NHME was evaluated via streptozotocin-induced diabetes in rat’s 28 d studies. The weight of rats was weighed weekly i.e. on 0th, 7th, 14th, 21st and 28th day. Normal control animals had normal growth in their body weight, but diabetic rats showed a significant reduction in body weight during the 28 d treatment (fig. 1). All animals treated with streptozotocin in the diabetic control group showed a significant change in body weight (g) (from 158.8 to 136.5) which was persistently observed till the end of the study period. NHME 200 and 400 mg/kg group have a significant change in weight as compared to diabetic control (table 1). In NHME 200 mg/kg group, animals were showed maximum weight change after 28 d treatment (from 165.2 to 187.8).
Effect of NHME on glucose level in streptozotocin induced diabetes
There was a persistent increase in blood sugar level of streptozotocin-induced diabetic control group i.e. from 268.8 to 317.9 mg/dl. Compared to normal control group, NHME 400 mg/kg treated group showed gradual and moderate antihyperglycemic effect i. e from 269.5 to 116.4 mg/dl (fig. 2).
Table 1: Effect of NHME on % change in weight in streptozotocin-induced diabetes
Groups/treatment |
% change in weight |
Normal Control |
11.3% |
Streptozotocin control |
-14.1% |
Glibenclamide |
15.95% |
NHME 100 mg/kg |
-1.66% |
NHME 200 mg/kg |
13.6% |
NHME 400 mg/kg |
7.04% |
Fig. 1: Changes in the body weight of animals in streptozotocin-induced diabetes. Values are represented as mean±SEM, n=6
Fig. 2: Effect of NHME on glucose level in streptozotocin induced diabetes
Values are represented as mean±SEM, n=6. Statistically analysis was done with Dunnett’s Multiple Comparison Test and p<0.05 was considered to be statistically significant; b = vs diabetic control; c = vs 100 mg/kg dose; p<0.05 = *; p<0.01= ^; p<0.001= #
Effect of NHME on lipids level in streptozotocin-induced diabetes
The level of serum TC, TG, LDL and VLDL cholesterol was significantly increased, whereas the level of HDL cholesterol was significantly reduced in untreated diabetic rats as compared to normal control. After treatment of NHME 400 mg/kg, the level of serum total cholesterol and VLDL level were significantly reduced. The level of TG was found statistically significantly in NHME 200 mg/kg and 400 mg/kg groups. Whereas, the level of serum HDL cholesterol was significantly increased in NHME all dose groups (fig. 3).
Fig. 3: Effect of NHME on lipids level in streptozotocin-induced diabetes
Values are represented as mean±SEM, n=6. Statistically analysis was done with Dunnett’s Multiple Comparison Test and p<0.05 was considered to be statistically significant; b = vs diabetic control; c = vs 100 mg/kg dose; p<0.05 = *; p<0.01= ^; p<0.001= #
Effect of NHME on lipids level in liver homogenates in strepto-zotocin-induced diabetes
In the present study, cholesterol and triglycerides levels were also estimated in tissues (liver), the results were represented in fig. 4. The level of lipids was increased in streptozotocin control as compared to normal control. After treatment with extract and standard drug decreased levels of cholesterol and triglycerides were seen. The cholesterol and triglyceride level were found statistically significantly in NHME 400 mg/kg groups as compared to streptozotocin-induced diabetic control group.
Fig. 4: Effect of NHME on lipids level in liver homogenates in streptozotocin-induced diabetes
Values are represented as mean±SEM, n=6. Statistically analysis was done with Dunnett’s Multiple Comparison Test and p<0.05 was considered to be statistically significant; b = vs diabetic control; c = vs 100 mg/kg dose; p<0.05 = *; p<0.01= ^; p<0.001= #
Effect of NHME on hemoglobin and Hb glycated in strepto-zotocin-induced diabetes
Hb level in diabetic control rats was significantly reduced as compared to normal control. There was found significant reduction in HbA1c (mg/dl) level in NHAE 400 mg/kg group as compared to diabetic control. However, a significant increase in Hb concentration was observed in diabetic rats treated with NHME 200 and 400 mg/kg and NHAE 200 and 400 mg/kg, as compared to diabetic control (fig. 5). After 28 d of treatment, the mean HbA1c level was significantly decreased by NHME 400 mg/kg groups, as compared to diabetic control.
Fig. 5: Effect of NHME on Hemoglobin and Hb glycated in streptozotocin-induced diabetes
Values are represented as mean±SEM, n=6. Statistically, analysis was done with Dunnett’s Multiple Comparison Test and p<0.05 was considered to be statistically significant; b = vs diabetic control; p<0.05 = *; p<0.01= ^; p<0.001= #
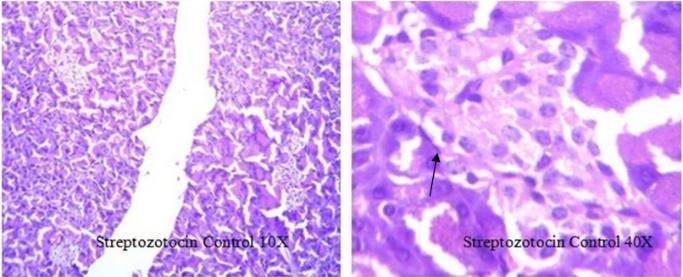
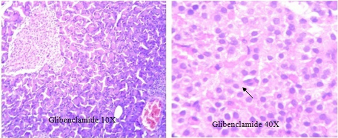
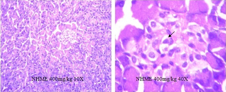
Histopathology of pancreas in streptozotocin-induced diabetes
Normal control rat pancreas section showed pancreatic lobules separated by connective tissue septa. The pancreatic lobules consisted largely of the exocrine acini and their intralobular ducts. Most of the lobules showed small, round, light-staining islets of langerhans. The center of islet cells consisted of aggregates of small β-cells (70%) have basophilic granules, while the periphery comprised of large α-cells (25%) have eosinophilic granules. Intervening these cells have seen thin-walled capillaries. Diabetic control (streptozotocin) rat pancreas section showed pancreatic lobules separated by connective tissue septa. Some of the lobules showed small, round, light-staining islets of langerhans. The center of islet cells consisted of a quantitative decrease in β-cells (40%) have basophilic granules, while the periphery comprised of large α-cells (55%) have eosinophilic granules. Scattered lymphocytes within the islet cells were seen. Glibenclamide rat pancreas section showed pancreatic lobules separated by connective tissue septa. Most of the lobules showed large areas of light staining islets of langerhans. The center of islet cells consisted of a mild quantitative increase in β-cells (75%) have basophilic granules, while the periphery comprised of α-cells have eosinophilic granules. Congested vascular spaces amidst these cells were appeared. NHME 400 mg/kg section showed pancreatic lobules separated by thin connective tissue septa. Most of the lobules showed very small areas of light staining islets of Langerhans. The center of islet cells consisted of a quantitative decrease in β-cells (50%) having basophilic granules, while the periphery comprised of α-cells (70%) have eosinophilic granules (fig. 6).



Fig. 6: Histopathological images of pancreas in streptozotocin induced diabetes
DISCUSSION
Streptozotocin is a broad spectrum antibiotic extracted from streptomyces acromogenes. Like alloxan, streptozotocin causes hyperglycemia mainly by its direct cytotoxic action on the pancreatic beta cells. In streptozotocin, nitrosourea moiety is responsible for β-cell toxicity, while deoxyglucose moiety facilitates transport across the cell membrane. Like alloxan, the involvement of free radical generation and resulting alteration of endogenous scavengers of these reactive species has been reported in streptozotocin-induced diabetes [26, 27].
The body weight of streptozotocin-induced diabetic rats was reduced and also recovered after antidiabetic treatment [28]. In the present study, changes in body weights were found in extracts, and glibenclamide treated diabetic rats. The enhancement of body weight in streptozotocin-induced diabetic treated rats because of increase glucose metabolism. The treatment of streptozotocin-induced diabetic rats with a plant extract that activated the β-cells and granulation return to normal like to be an insulinogenic effect [29]. The glibenclamide is a standard antidiabetic drug, used to compare the antidiabetic property in experimental rats. Glibenclamide has been involved in stimulating insulin secretion from pancreatic β-cells principally by inhibiting ATP-sensitive KATP channels in the plasma membrane [30]. Courtois et al., have reported that glibenclamide treated streptozotocin-induced diabetic rats showed a decrease in blood glucose level. The previous reports were consistent with our present findings [31]. The decreased level of blood glucose was observed in the present study, which indicates that extracts stimulated insulin secretion from the remnant β-cells or regenerated β-cells. The mechanism of the antidiabetic activity of extracts may be involved by increasing either the pancreatic secretion of insulin from the remnant Q cells of the islets of Langerhans. Some plants have antidiabetic activity through insulin releasing stimulatory effects [32].
The excess glucose was present within the blood during diabetes, which reacts with hemoglobin and form glycosylated hemoglobin. The various proteins, including hemoglobin, albumin, collagen and low-density lipoprotein (LDL)/crystalline proteins undergo nonenzymatic glycation in diabetes [33]. The hemoglobin level was decreased in diabetic rats that may increase the formation of glycosylated hemoglobin. Glycosylated hemoglobin was found to be increased in diabetic mellitus, and a number of increases is directly proportional to that of fasting blood-glucose level. The significant decreased in glycosylated hemoglobin indicated that the efficiency of extracts in glycemic control [34].
Lipid played an important role in the pathogenesis of complications associated with diabetes mellitus. The elevated level of serum cholesterol and reduced level of serum HDL cholesterol in diabetic condition poses to be a risk of the factor for developing microvascular complication leading to atherosclerosis and further cardiovascular diseases like coronary heart disease [35]. The abnormal high concentration of serum lipid in diabetic mainly due to increased mobilization of free fatty acids from peripheral fat depots, and insulin deficiency or insulin resistance may be responsible for dyslipidemia [36]. Whereas NHME treated showed significant improvement in the lipid profile as compared to diabetic control. Interestingly, 400 mg/kg of NHME produced significant attenuation in TC and TG levels as compared to diabetic control. In various studies, diabetic rats were found to be possessing high lipid level [37-39] and similar results were observed during the present study. The dyslipidemic conditions were improved in NHME 400 mg/kg groups as compared to diabetic control.
Liver is the principal organ occupied with xenobiotic metabolisms, such as medicinal plant extracts and also a target tissue where possible toxicity effect of same is first expressed [40]. Therefore, in present study total cholesterol and total triglyceride levels were investigated in liver homogenates. Although products of lipid digestion are emptied directly into the blood via lymph as chylomicrons, chylomicrons travel through the blood stream to supply fatty acids to needed tissues, and their remnants are removed from the blood by the liver for recycling. The liver also recovers cholesterol from bile, synthesized more cholesterol and triacylglycerol from excess acetyl units of diets and processes them into transport forms-lipoproteins [41]. Moreover, many genetic and acquired disorders like diabetes, atherosclerosis, etc may lead to deposits of lipids in vital organs such as liver and kidney, resulting in their impaired function [42]. Consequently, assayed the most common lipid's total cholesterol and triglyceride usually implicated in diabetes in the hepatocytes of diabetic and non-diabetic rats, which received extract treatments. The result showed the decrease in cholesterol and triglyceride levels.
It has been noted that abnormal lipid results, often lead to disturb normal architecture in the pancreas or other tissues [41]. So, ahead to histopathology of the pancreas that clearly indicated in the restoration of near normal architecture pancreatic islets of langerhans and hepatocytes in NHME 400 mg/kg and glibenclamide.
CONCLUSION
In the present study, the antidiabetic effect of methanolic extract of Nepeta hindostana whole herb in rats was evaluated. It was found that extract might be useful in diabetes, irrespective of whether the pancreas is partly functional or almost totally destroyed. The results clearly disclosed the glucose and lipid lowering potential of methanolic extract of Nepeta hindostana whole herb in streptozotocin-induced diabetes in the rat.
ACKNOWLEDGEMENT
Authors convey their gratitude to Beta Drugs Pvt. Ltd. for funding the project (grant number BETA/2013/R&D-04) and Maharishi Markandeshwar University for support of this project.
CONFLICT OF INTERESTS
The authors declare that they have no conflict of interest
REFERENCES