Int J Pharm Pharm Sci, Vol 8, Issue 7, 340-345Original Article


SAMBUCUS NIGRA LINN: IN VIVO STUDIES ON RABBITS

FARAH SAEED*, MANSOOR AHMAD

*Department of Pharmacognosy, Dow College of Pharmacy, Dow University of Health Sciences, Karachi Pakistan, Research Institute of Pharmaceutical Sciences, University of Karachi, Karachi-Pakistan.
Email: farah.saeed079@gmail.com

Received: 06 Apr 2016 Revised and Accepted: 20 May 2016


ABSTRACT

Objective: The research work was carried out to explore the safety and efficacy of a low dose of Sambucus nigra Linn [S. nigra] extract on hematological, biochemical and histopathological parameters of rabbits organs (kidney, liver, stomach and heart).

Methods: Sambucus nigra extract was given orally for 90 d to test group rabbits [Test female (SF); Test male (SM)]. Then blood samples of control [C (female); C (male)] and test rabbits were collected by cardiac puncture and changes in hematological, biochemical and histopathological parameters were observed and interpreted.

Results: Gender-based differences were observed in hematological, kidney function, liver function, cardiac enzymes and lipid profile investigations. Urine analysis showed similar results as that of standard and control drug. No noteworthy pathology was observed in heart, stomach, liver and kidney tissues of rabbits, treated with Sambucus nigra in a dose of 25 mg/kg/day.

Conclusion: Our results justify the well-documented safe and effective use of Sambucus nigra in medicine for curing various pathologies.

Keywords: Black Elder, Anthocyanins, Anti-oxidant, Anti-viral, Europe


INTRODUCTION

Sambucus nigra Linn. (Caprifoliaceae) has been used in the traditional system as a diaphoretic, diuretic, astringent, laxative, anti-inflammatory, anti-oxidant, anti-spasmodic, anti-diabetic, immune stimulant, emetic as well as for the treatment of gastrointestinal, kidney, liver and skin diseases. It is reported that it contains flavonoids, quercetin, rutin, anthocyanin, cyanogenic glycosides, vitamin A and C [1].

German Commission E approved its flowers utilization as medicinefor colds whereas bark, leaves, and berries utilization is not approved by World Health Organization (WHO), German Commission E and European Scientific Cooperative on Phytotherapy (ESCOP) for any medicinal use [2].

The purpose of this research work was to carry out chronic toxicity studies of S. nigra extract on both genders of rabbits due to lack of toxicity data on it. Chronic toxicity studies included evaluation of hematological, biochemical and urine parameters, as well as, estimation of histopathological changes occurring in liver, heart, kidney and stomach tissues of treated groups in comparison with their control groups.

MATERIALS AND METHODS

Chemicals

Ethanol, acetic acid, formalin, diagnostic kits, xylene, paraffin wax, eosin, hematoxylin and canada balsam were purchased from Merck, Germany. All the chemicals were of analytical grade.

Crude drug extract

S. nigra mother tincture (Lot # 0012188808) was purchased from Bioron suppliers (France). S. nigra extract was obtained by concentrating under reduced pressure by rota-evaporator (Buchi-Rotary Evaporator, Switzerland, model # B490) at 40 °C. The extract obtained was stored in cool, dry place for further studies.

Experimental animals

Twenty-four male and female rabbits weighing between 1000 and 1,200 g were purchased from animal house of Dow University of Health Sciences, (DUHS), Karachi. They were kept in the animal house for a period of 15 d to acclamized in separate cages. They were fed commercial feed and water ad libitum. Their weights were checked on a random basis. Blood (6 ml) was collected from rabbits for analyses of hematological and biochemical parameters by cardiac puncture at the end of three months.Blood samples collected into clean non-heparinised bottles were allowed to clot, and serum was separated from the clot and centrifuged according to groups into clean bottles for the biochemical analyses.After the collection of blood samples, urine analysis and histopathology was carried out. Animal studies were carried out according to the NIH guide for the care and use of laboratory animals [3].

Drug dosing

Four groups were made (male control–6 rabbits), (female control–6 rabbits), (male test (SM)–6 rabbits) and (female test (SF)–6 rabbits). Male and female control groups were given distilled water, while test groups SM and SF was given 25 mg/kg S. nigra extract. All the administrations were given orally. The treatment continued for 90 d. Blood (6 ml) was collected by cardiac puncture with 10 ml sterile syringe using 1 mg/1 ml EDTA as anti-coagulant for the determination of blood and biochemical parameters.

Hematological evaluation

Hematological examination of the collected blood samples was performed according to standard procedures listed as follow. Total erythrocyte counts were counted using a Neubar chamber under a light microscope at 40 x 10 magnifications. Blood samples were diluted to 200 times by Hayem’s reagent before counting. Blood hemoglobin concentration was determined using a Sahli’s hemometer. Micro Wintrobe hematocrit tubes and hematocrit centrifuge were used to determine the (PCV). Total leucocyte counts were detected using a Neubar chamber under a light microscope at 10 x 10 magnification after diluting blood samples to 10 times with Turk’s solution. Mean erythrocyte volume (MCV), mean corpuscular hemoglobin (MCH) and mean corpuscular hemoglobin concentration (MCHC) for particular blood samples were also calculated [4-8].

Biochemical evaluation

Serum samples were obtained by centrifugation of blood at 1300 x g for 15 min. The Menarini Classic Chemistry Analyzer was used to determine the calcium (Ca), phosphorus (P), blood urea, creatinine, total bilirubin, total protein, albumin, alkaline phosphatase (ALP), aspartate aminotransferase (AST), alanine aminotransferase (ALT), creatine phosphokinase (CPK), cholesterol, glucose, amylase, and gamma-glutamyl transferase (GGT). The globulin concentration was determined by subtracting the albumin concentration from the total protein concentration [9-10].

Urine analysis

Voided sample of urine was collected byplacing a clean, empty box in the site where the animals usually urinates [11].

Histopathological analysis

After blood collection, the liver, kidney, heart and stomach of the male control and test group were carefully dissected from the abdominal region and were immediately fixed in 10% neutral buffered formalin. Fixed samples were trimmed and processed for paraffin embedding. Sections (5–7 μm) were cut, and the tissues were dehydrated with alcohol of graded concentrations and allowed to dry. The sample slides were subsequently stained in haematoxylin-eosin and examined under a light microscope; photomicrographs of the samples were recorded [12-14].

Statistical analysis

All the results were presented as a mean plus or minus standard error of mean (M±SEM). Differences between control and treatment groups were analyzed by student t-test [15].

RESULTS

Effects of S. nigra extract on hematological parameters of male and female rabbits were observed (table 1). In female group (SF) treated with S. nigra slightly raised erythrocyte count (6.03±0.0073) was observed while MCV (70.75±0.0836) and MCH (19.85±0.0836) levels were found somewhat reduced. In male treated group (SM), hemoglobin (10.808±0.063), hematocrit (37.75±0.0836), MCV (70.25±0.0836), MCH (20.25±0.0836) and total leucocyte count (6.723±0.02) levels were found elevated, and only slight decrease was observed in erythrocyte count (5.35±0.051). Platelet count was significantly lowered (322.5±0.836) in SF group whereas in SM was found to be significantly raised (590.05±0.32). Changes in the male and female test groups’ evaluated parameters may be due to changes in their physiology.

In female test group (SF) urea level was observed to be significantly lowered (19.5±0.836). Creatinine (0.545±0.0083), total protein (7.48±0.0063), albumin (4.985±0.022) and A/G ratio (2.043±0.018) were found towards lower side in SF group as compared to control group. Phosphorus (5.425±0.0083), uric acid (0.0267±0.0048) and globulin (2.485±0.0083) levels were found raised in SF group in comparison with control group. In male test group (SM) creatinine (0.571±0.01), phosphorus (4.625±0.0083), uric acid (0.015±0.002) and globulin (2.65±0.0063) levels were reduced while urea (28.5±0.836), calcium serum (15.285±0.008), total proteins (7.6±0.384), albumin (4.983±0.02) and A/G ratio (1.88±0.0083) were found elevated as compared to control group (table 2).

Significant (p<0.01) decrease in cardiac enzyme parameters (LDH-149.33±0.96; CPK-567.5±0.836 and CK-MB-487.33±0.83) were observed in the female test group (SF) as compared to the control female group. CPK and CK-MB enzymes levels were found significantly (p<0.01) lowered whereas LDH level was observed to be significantly raised in male test group (SM) as compared to the control male group (table 3).

Triglycerides and VLDL levels were found significantly (p<0.01) elevated in female (SF) and male (SM) test groups as compared to their control groups. Triglycerides level was found to be significantly lowered in both the species as compared to their respective control groups. Cholesterol level was observed to be significantly (p<0.01) lowered in the male test group (SM) as compared with its respective control group; whereas in female test group (SF) p<0.05 elevation was observed in cholesterol level as compared with the control group. HDL level (3.25±0.418) was found to be significantly lowered in the female test group (SF) while slightly raised (3.25±0.418) in male test group on comparison with their respective control groups (table 4).

Table 1: Chronic toxicity test: Effect of S. nigra extract on complete blood count of rabbits

Blood parameter

Control

C (female)

Test female

(SF)

Control

C (male)

Test male

(SM)

Reference range

Haemoglobin

12.15±0.0836

12.183±0.1036

10.05±0.0836

10.808±0.063*

10.75±0.689

RBC (Erythrocyte Count)

5.895±0.00836

 6.03±0.0073*

5.485±0.0083

5.35±0.051*

3.916±0.277

Hematrocrit (HCT/PVC)

42.835±0.0739

42.808±0.063

34.2±0.0632

37.75±0.0836*

38.67±1.932

MCV

72.416±0.0658

70.75±0.0836*

62.5±0.836

70.25±0.0836*

 89±3.183

MCH

20.835±0.0739

19.85±0.0836*

18.15±0.0836

20.25±0.0836*

30.167±1.180

MCHC

28.783±0.0658

28.008±0.063

29.05±0.0836

28.835±0.0739

32.5±0.836

Total Leucocyte Count

6.05±0.0836

6.25±0.0836

5.5±0.0632

6.723±0.02*

11±1.673

Platelet Count

353.5±0.836

322.5±0.836 **

140.5±0.836

590.05±0.32**

275±41.83

SF = female rabbit treated with drug; SM = Male rabbit treated with drug, All values are mean±SEM; n = 6; * = Significant (p<0.05), ** = Highly significant (p<0.01).


Table 2: Chronic toxicity test: Effect of S. nigra extract on kidney function parameters of rabbits

Biochemical

parameters

Control

C (female)

Test animal

(SF)

Control

C (male)

Test animal

(SM)

Reference

Range

Urea

72.5±0.83

19.5±0.836**

23.5±0.83

28.5±0.836*

29.167±6.39

Creatinine

0.85±0.008

0.545±0.0083*

0.85±0.0083

0.571±0.01*

0.8167±0.127

Calcium (serum)

14.59±0.063

14.475±0.0083

14.17±0.0083

15.285±0.008*

10.03±0.318

Phosphorus

3.825±0.068

5.425±0.0083*

6.195±0.0083

4.625±0.0083*

3.53±0.318

Uric acid

0.0175±0.004

0.0267±0.0048*

0.165±0.0083

0.015±0.002*

3.916±0.639

Total proteins

8±0.02

7.48±0.0063*

7.495±0.0083

7.6±0.384*

7.467±0.347

 Albumin

5.83±0.013

4.985±0.022*

4.305±0.0083

4.983±0.02*

4.5±0.28

Globulin

2.153±0.0096

2.485±0.0083*

3.18±0.0083

2.65±0.0063*

2.35±0.146

A/G ratio

2.715±0.0083

2.043±0.018*

1.35±0.016

1.88±0.0083*

0.75±0.052

SF = Female rabbits treated with drug; SM = Male rabbits treated with drug, All values are mean±SEM; n = 6; * = Significant (p<0.05), ** = Highly significant (p<0.01).


Table 3: Chronic toxicity test: Effect of S. nigra extract on cardiac enzymes of rabbits

Biochemical

parameters

Control

C (female)

Test animal

(SF)

Control

C (male)

Test animal

(SM)

Reference

Range

LDH

163.5±0.836

149.33±0.96**

270.5±0.83

737.5±0.836**

331.67±40.34

CPK

729.5±0.83

567.5±0.836**

421.5±0.83

278.67±0.78**

90.33±25.03

CK-MB

852.5±0.83

487.33±0.83**

194.5±0.83

13.5±1.224**

16.67±2.46

SF = Female rabbits treated with drug; SM = Male rabbits treated with drug, All values are mean±SEM; n = 6; * = Significant (p<0.05), ** = Highly significant (p<0.01).

Table 4: Chronic toxicity test: Effect of S. nigra extract on lipid function parameters of rabbits

Biochemical

parameters

Control

C (female)

Test animal

(SF)

Control

C (male)

Test animal

(SM)

Reference

Range

Cholesterol

30.5±0.83

38.5±0.836*

58.5±0.83

27.5±0.836**

109.16±22.24

Triglycerides

0.5±0.83

289.83±1.036**

131.5±0.83

159.5±0.836**

111.67±13.68

HDL

12.5±0.83

3.25±0.418**

6.5±0.83

8.5±0.836*

19.67±3.18

LDL

16.5±0.83

2.25±0.484**

38.5±0.83

3.75±0.418**

103.33±15.14

VLDL

7.5±0.83

57.5±0.836**

26.5±0.83

50.5±0.836**

30±5.83

SF = Female rabbits treated with drug; SM = Male rabbits treated with drug, All values are mean±SEM; n = 6; * = Significant (p<0.05), ** = Highly significant (p<0.01).


Table 5: Chronic toxicity test: Effect of S. nigra extract on liver enzymes parameters of rabbits

Biochemical

parameters

Control

C (female)

Test animal

(SF)

Control

C (male)

Test animal

(SM)

Reference

Range

SGOT

26.5±0.83

26.5±0.836

42.5±0.83

14±0.632**

21.83±3.11

Total Bilirubin

0.27±0.0083

0.24±0.0063

0.265±0.0083

0.175±0.0083*

1.75±0.083

Direct Bilirubin

0.021±0.005

0.14±0.019*

0.041±0.0065

0.118±0.015*

0.029±0.0008

SGPT

41.5±0.83

67.5±0.836**

68.5±0.83

31.5±0.836**

27.5±4.18

Alkaline Phosphatase

37.5±0.83

213.83±1.036**

228.5±0.83

52.5±0.836**

91.67±17.30

Gamma GT

6.5±0.83

8.5±0.836*

9.5±0.83

13.5±0.836*

29.16±6.39

SF = Female rabbits treated with drug; SM = Male rabbits treated with drug, All values are mean±SEM; n = 6; * = Significant (p<0.05), ** = Highly significant (p<0.01).


Table 6: Chronic toxicity test: Effect of S. nigra extract on urine parameters of rabbits

Urine parameters

Control animal

C (female)

Test animal

(SF)

Control animal

C (Male)

Test animal

(SM)

Reference range

Urine physical

         

Volume

30.08±0.11

10.18±0.29

25.01±0.136

10.33±0.48

179.17±61.81

Colour

Yellow

Yellow

Yellow

Yellow

Pale yellow-red brown

Appearance

Turbid

Turbid

Turbid

Turbid

Clear

Sp. Gravity

1.0045±0.00037

1.004±0.00065

1.0045±0.00037

1.004±0.00065

1.019±0.007

pH

9±0.063

9.03±0.096

9±0.063

9.1±0.1

 8.53±0.195

Urine chemical

         

Protein

Nil

Nil

+1 (30 mg/dL)

Nil

Negative

Glucose

Nil

Nil

Nil

Nil

Negative

Ketone Bodies

Negative

Negative

Negative

Negative

Negative

Urobilinogen

Normal

Normal

Normal

Normal

Negative-weak positive

Blood

Negative

Negative

Negative

Negative

Negative

Bilirubin

Nil

Nil

Nil

Nil

Negative

Urine microscopy

         

RBC

Nil/HPF

Nil/HPF

Nil/HPF

Nil/HPF

Nil/HPF

WBC

Nil/HPF

Nil/HPF

Nil/HPF

Nil/HPF

Nil/HPF

Epithelial Cell

Nil/HPF

Nil/HPF

Nil/HPF

Nil/HPF

Nil/HPF

Values are mean±SEM; n = 6; * = Significant (p<0.05), ** = Highly significant (p<0.01)

SGPT (67.5±0.836) and alkaline phosphatase (213.83±1.036) levels were found to be significantly elevated in the female test group (SF) as compared to the female control group. SGPT (31.5±0.836) and alkaline phosphatase (52.5±0.836) levels were found to be lowered in the male test group (SM) with respect to its control group. SGOT levels (14±0.632) were observed to be considerably lowered in male test group (SM) as compared to its control group (table 5). No significant changes were observed in urine parameters of the female test group (SF) and male test group (SM) in comparison to their respective control groups (table 6).

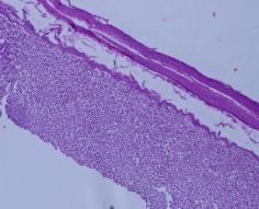
Effects of S. nigra on histopathological parameters of male and female rabbit’s liver, kidney, heart and stomach tissues were studied and are shown in fig. 1 and 2.

DISCUSSION

German Commission E has documented several medicinal uses of S. nigra [16]. S. nigra may inhibit influenza virus types A and B according to the pre-clinical studies conducted by Serkedjieva et al. (2010) and Zakay-Rones et al. (1995) [17-18]. S. nigra medicinal usage is attributed to its following pharmacological activities: anti-viral, anti-inflammatory, anti-oxidant, diuretic, anti-allergic, antitussive, bronchodilators, anti-cancer and laxative effect. These pharmacological effects of S. nigra may be due to the presence of active phenolic constituents comprising of phenolic acids, flavonoids, catechins, and proanthocyanidins [19-21]. The active constituents of S. nigra are claimed to provide beneficial effects in reducing the incidence of cardiovascular diseases, cancer, hyperlipidemia and other chronic diseases, as well as ocular deficiencies [22-26].

According to German Commission E, Committee on Herbal Medicinal Products (HMPC) assessment report on Sambucus nigra and the American Botanical Council clinical guidelines documents; no adverse effects and toxicity of S. nigra were reported [27-30]. The only reported toxicity is of ingestion of unripe or insufficiently cooked elderberries [28-29]. In one repeated dose study carried out on rabbits by Chibanguza et al. (1984) on combination product (Sinupret) containing S. nigra;no significant toxicity was observed [31]. No acute or chronic toxicity data is available on S. nigra.

S. nigra berries are reported in Readers Digest (1986), to be used in the preparation of delicious wine and jam. On the other hand different parts of S. nigra have been reported to contain alkaloids that might produce toxicity [32]. As different parts of S. nigra have been found to be effective and safe for treatment of different pathological conditions but no toxicity studies data available on it.

Our research work was an endeavor to explore the chronic toxicity by low dose administration of S. nigra extract in rabbits for three months and then evaluating their hematological, biochemical and urine parameters as well as carrying out histopathological studies to observe the extract’s effects on vital organs.

Significant effects of S. nigra extract, low dose administration for three months were observed in the following biochemical parameter: platelet count of male rabbits was elevated from 140.5±0.836 to 590.05±0.32.

Urea level of female rabbits were lowered from 72.5±0.83 to 19.5±0.836. LDH enzyme in male rabbits were elevated from 270.5±0.83 to 737.5±0.836. CPK of female rabbits were lowered from 729.5±0.83 to 567.5±0.836 and in male rabbits CPK level were reduced from 421.5±0.83 to 278.67±0.78. CK-MB enzyme level was found lowered in both female (852.5±0.83 to 487.33±0.83) and male rabbits (194.5±0.83 to 13.5±1.224) respectively. Cholesterol level was found lowered in male rabbits only from 58.5±0.83 to 27.5±0.836.

No significant histopathological changes, that is, no granuloma or malignancy were observed in examined heart, stomach, liver and kidney tissues of male and female rabbits on low dose treatment with S. nigra extract for three months, may be due to the presence of polyphenolic constituents in it.

No chronic toxicity effects were observed in hematological, biochemical and histopathological parameters of rabbits in current research work, hence confirming the safety profile of S. nigra extract for its use in medicine for alleviating the sufferings of mankind.

More large scale pre-clinical and clinical trials need to be carried out to authenticate the safe and effective use of S. nigra preparations for the already sought out clinical indications in order to get the approval of World Health Organization.

Microscopic examination of heart:

Sections show wall of heart composed predominantly of thick myocardium consists of bundles of cardiac muscle fibers separated by a fibrous band, forming a syncytium. Nuclei of myocytes are centrally located. The endocardium is lined by single layer of mesothelial cells resting on a basement membrane. No significant pathology is seen in any of the sections examined.

Microscopic examination of stomach:

Sections show a wall of gastric mucosa with intact architecture. The gastric mucosa is thrown into gastric pits and folds revealing well organized glandular structures. The underlying submucosa is scanty and in unremarkable. Well organized muscular layer is seen beneath, lined externally by serosa. No significant pathology is seen in any of the sections examined.

Microscopic examination of liver:

Sections show liver tissue with overall preserved lobular architecture. Portal tracts are within normal limits, containing portal triad and scanty fibrous tissue. Sinusoidal dilatation and congestion is seen. No significant portal or lobular inflammation was seen. Diffuse lipofuscinosis is noted. No cholestasis. No evidence of granuloma or malignancy is seen

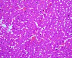
Microscopic examination of kidney:

Sections show renal tissue composed of cortex and medulla. Glomeruli are within normal limits. Severe degree of ATN is seen. Vascular structures are distributed evenly. No evidence of granuloma or malignancy is seen in any of the sections examined.

Fig. 1: Microscopic examination of male rabbit’s heart, stomach, liver and kidney tissues treated with S. nigra extract


Microscopic examination of heart:

Sections show wall of heart composed predominantly of thick myocardium consists of bundles of cardiac muscle fibers separated by fibrous band, forming syncytium. Nuclei of myocytes are centrally located. Endocardium is lined by single layer of mesothelial cells resting on a basement membrane. No significant pathology is seen in any of the sections examined.

Microscopic examination of stomach:

Sections show wall of gastric mucosa with intact architecture. The gastric mucosa is thrown into gastric pits and folds revealing well organized glandular structures. Underlying submucosa is scanty and in unremarkable. Well organized muscular layer is seen beneath, lined externally by serosa. No significant pathology is seen in any of the sections examined.

Microscopic examination of liver:

Sections show liver tissue with overall preserved lobular architecture. Portal tracts are mildly expanded with lymphocytic infiltrate and minimal fibrosis. No significant lobular inflammation seen. Foci of macrovesicular steatosis are seen. No siderosis. No cholestasis. No evidence of granuloma or malignancy is seen.

Microscopic examination of kidney:

Sections show renal tissue composed of cortex and medulla. Glomeruli are within normal limits. Patchy lymphocytic inflammatory infiltrate is seen in tubulointerstitial compartment. Mild tubular injury is also seen. Vascular structures are distributed evenly. No evidence of granuloma or malignancy is seen in any of the sections examined.

Fig. 2: Microscopic examination of female rabbit’s heart, stomach, liver and kidney tissues treated with S. nigra extract


CONCLUSION

The present study justifies the safety profile of low-dose administration of S. nigra extract for the period of three months.

CONFLICT OF INTERESTS

Authors have no conflict of interest

REFERENCES

  1. Sambucus nigra (Elderberry). Alter Med Rev 2005;10:51-5.
  2. Akerreta S, Cavero RY, Calvo MI. First comprehensive contribution to medical ethnobotany of Western pyrenees. J Ethnobiol Ethnomed 2007;3:26.
  3. National Research Council. Guide for the care and use of laboratory animals. 7th ed. Washington, DC, National Academy Press; 1996.
  4. Burnett N, Mathura K, Metivier KS, Holder RB, Brown G, Campbell M. An investigation into hematological and serum chemistry parameters of rabbits in Trinidad. World Rabbit Sci 2006;14:175–87.
  5. Dacie JV, Lewis SM. Practical haematology. Churchill Livingstone. 7th edition. Edinburgh; 1991. p. 521-34.
  6. McGowen JJ, Jones AAR, Steinerg AG. The haematocrit of carpillary blood. New Eng J Med 1955;253:308-12.
  7. Adeneye AA, Ajagbonna OP, Adeleke TI, Bello SO. Preliminary toxicity and phytochemical studies of the stem bark aqueous extract of Musanga cecropioides in rats. J Ethnopharmacol 2006;105:374-9.
  8. Adeneye AA. Haematopoetic effect of methanol seed extract of Citrus paradise Macfad (grapefruit) in wistar rats. Biomed Res 2008;19:23-6.
  9. Amadori M, Archetti IL, Frasnelli M, Bagni M, Olzi E, Caronna G, et al. An immunological approach to the evaluation of welfare in Holstein frisian cattle. J Vet Med 1997;44:321-7.
  10. Reitman S, Frankel AS. A colorimetric method of determination of serum glutamic oxaloacetate and glutamic pyruvic transaminases. Am J Clin Pathol 1957;28:53-63.
  11. Melillo A. Rabbit clinical pathology. J Exot Pet Med 2007;16:135-45.
  12. Ozbek H, Citoglu GS, Dulger H, Ugras S, Sever B. Hepatoprotective and anti-inflammatory activities of Bollota glandulosissima. J Ethnopharmacol 2004;95:143-9.
  13. Aliyu R, Adebayo AH, Gatsing D, Garba IH. The effects of ethanolic leaf extract of Commiphora africana (Burseraceae) on rat liver and kidney functions. J Pharmacol Toxicol 2007;2:373-9.
  14. Buncharoen W, Saenphet S, Chomdej S, Saenphet. Evaluation of biochemical, hematological and histopathological parameters of albino rats treated with Stemona aphylla Craib. Extract J Med Plants Res 2012;6:4429-35.
  15. Snedecor GW, Cochran WG. Statistical Methods. Sixth edition. Ames, Iowa: The Iowa State University Press; 1967. p. 423.
  16. Vlachojannis JE, Cameron M, Chrubasik S. A systematic review on the Sambuci fructus effect and efficacy profiles. Phytother Res 2010;24:1-8.
  17. Serkedjieva J, Manolova N, Zgorniak-Nowosielska I. Antiviral activity of the infusion (SHS-174) from flowers of Sambucus nigra L., aerial parts of Hypericum perforatum L., and roots of Saponaria officinalis L. against influenza and herpes simplex viruses. Phytother Res 1990;4:97-100.
  18. Zakay-Rones Z, Varsano N, Zlotnik M. Inhibition of several strains of influenza virus in vitro and reduction of symptoms by an elderberry extract (Sambucus nigra L.) during an outbreak of influenza B Panama. J Alternative Complementary Med 1995;1:361-9.
  19. Veberic R, Jakopic J, Stampar F, Schmitzer V. European elderberry (Sambucus nigra L.) rich in sugars, organic acids, anthocyanins and selected polyphenols. Food Chem 2009;114:511–5.
  20. Halama A, Kulinski M, Librowski T, Lochynski S. Polymer-based non-viral gene delivery as a concept for the treatment of cancer. Pharmacol Rep 2009;61:993–9.
  21. Sutovska M, Capek P, Franova S, Pawlaczyk I, Gancarz R. Antitussive and bronchodilatory effects of Lythrum salicaria polysaccharide-polyphenolic conjugate. Int J Biol Macromol 2012;51:794–9.
  22. Bell DR, Gochenaur K. Direct vasoactive and vasoprotective properties of anthocyanin-rich extracts. J Appl Physiol 2006;100:1164–70.
  23. Blomhoff R. Dietary antioxidants and cardiovascular disease. Curr Opin Lipidol 2005;16:47–54.
  24. Zafra-Stone S, Yasmin T, Bagchi M, Chatterjee A, Vinson JA, Bagchi D. Berry anthocyanins as novel antioxidants in human health and disease prevention. Mol Nutr Food Res 2007;51:675–83.
  25. Zhang Y, Vareed SK, Nair MG. Human tumor cell growth inhibition by nontoxic anthocyanidins, the pigments in fruits and vegetables. Life Sci 2005;76:1465–72.
  26. Canter PH, Ernst E. Anthocyanosides of Vaccinium myrtillus (bilberry) for night vision–A systematic review of placebo-controlled trials, Surv. Ophthalmol 2004;49:38–50.
  27. British Herbal Pharmacopoeia (BHP). Bournemouth, U. K.: British Herbal Medicine Association; 1990.
  28. Committee on Herbal Medicinal Products (HMPC). The assessment report on: Sambucus nigra L., flos European Medicines Agency; 2008.
  29. McGuffin M, Hobbs C, Upton R, Goldberg A. American herbal product association's botanical safety handbook. Boca Raton: CRC Press; 1997.
  30. Blumenthal M, Busse WR, Goldberg A, Gruenwald J, Hall T, Riggins CW, et al. eds. Klein S, Rister RS. The Complete German Commission E Monographs—Therapeutic Guide to Herbal Medicines. Austin: American Botanical Council; Boston: Integrative Medicine Communications; 1998.
  31. Chibanguza G, März R, Sterner W. Zur wirksamkeit und toxizität eines pflanzlichen sekretolytikums und seiner Einzeldrogen. Arzneim-Forsch 1984;34:32–6.
  32. Magic and Medicine of Plants. The Reader’s Digest Association Inc., New York; 1986. p. 166.

How to site this article