
1Department of Pharmaceutics, Indian Institute of Technology (BHU), Varanasi 221005, India, 2Department of Pharmaceutical Sciences, Birla Institute of Technology, Mesra, Ranchi 835215, India
Email: ssingh.phe@iitbhu.ac.in
Received: 06 Apr 2016 Revised and Accepted: 22 Jul 2016
ABSTRACT
Objective: To evaluate the antiulcer activity of the most active sub-fraction of Buchanania lanzan Spreng. leaves methanolic extract (BLE).
Methods: The antioxidant activity of BLE fractions and sub-fractions has been assayed to determine the most active sub-fraction by using in vitro antioxidant methods like hydrogen peroxide free radical scavenging assay, hydroxyl radical scavenging assay, DPPH (1, 1-diphenyl-2-picryl hydrazyl) radical scavenging activity, total flavonoid and total phenolic content estimation. Then, the antiulcerogenic activity of most active sub-fraction of BLE (50 and 100 mg/kg, b.w., orally) was evaluated employing aspirin+pylorus ligation-induced (APL) and HCl/ethanol-induced (HE) gastric ulcer models in rats, and histopathological examination of stomach tissues of rats.
Results: The most active sub-fraction of BLE exerted a significant (P<0.01) dose-dependent decrease in the ulcerative lesion index produced by APL and HE ulcer models in rats as compared to the standard drugs omeprazole (30 mg/kg, b.w. orally) and ranitidine (32 mg/kg, b.w. orally) respectively. The reduction in gastric fluid volume, total acidity and an increase in the pH of the gastric fluid in APL treated rats proved the antisecretory activity of most active subfraction of BLE. From histopathological examination, it was found that in tissues of both the models that received pretreatment with most active sub-fraction showed better protection of the gastric mucosa in a dose-dependent manner as indicated by reduction or absence of mucosal erosion and infiltration of leucocytes.
Conclusion: These results suggest that leaves of Buchanania lanzan Spreng. possess potential antiulcer activity, which may be attributed to its antioxidant mechanism of action.
Keywords: Buchanania lanzan Spreng., Anacardiaceae, Antiulcer, Flavonoids and Phenols.
© 2016 The Authors. Published by Innovare Academic Sciences Pvt Ltd. This is an open access article under the CC BY license (http://creativecommons. org/licenses/by/4. 0/)
DOI: http://dx.doi.org/10.22159/ijpps.2016.v8i9.12074
INTRODUCTION
A peptic ulcer is one of the leading gastrointestinal disorders, which develops due to an imbalance between the offensive (gastric acid secretion) and defensive (gastric mucosal integrity) factors [1]. Consequently, decreasing gastric acid production as well as enhancement of gastric mucosal production has been the major approaches for therapy of peptic ulcer disease. As a result, more and more drugs, both herbal and synthetic are coming up presenting newer and better options for treatment of peptic ulcer. The type of drugs varies from being a proton-pump inhibitor to H2 antagonist or a cytoprotective agent. At the same instant, each of these drugs confers simpler to several side effects like arrhythmias, impotence, gynecomastia, enterochromaffin-like cell (ECL), hyperplasia and haemopoietic changes [2]. There are reports which suggest the participation of reactive oxygen species in the etiology and pathophysiology of human diseases, like neurodegenerative disorders, inflammation, viral infections, autoimmune gastrointestinal inflammation and gastric ulcer [3]. Drugs are having multiple mechanisms of protective action, including antioxidant activity, may be very efficacious in minimizing tissue injury in human diseases. It has been determined that many drugs and formulations possess potent antioxidant action and are very adequate in healing experimentally induced gastric ulcers [4-6]. From the literature review, it was found that tribal people of India (Jharkhand and Chhattisgarh) are using Buchanania lanzan Spreng. (Family: Anacardiaceae) mainly for antiulcer activity apart from in other conditions [7]. A number of evaluative works have been done on Buchanania lanzan Spreng. for its wound healing, anti-inflammatory and antimicrobial medicinal activities [8-10]. But, till now, no evaluative work has been done on Buchanania lanzan Spreng. leaf for its antiulcer activity. Thus, the overall objective of the present study was to evaluate the antiulcer activity of the most active sub-fraction of methanolic extract of Buchanania lanzan Spreng. leaf with the help of Aspirin+pylorus ligation induced ulcer model and HCl/ethanol induced ulcer model.
MATERIALS AND METHODS
Plant materials
Leaves of Buchanania lanzan Spreng. were collected from Birla Institute of Technology, Mesra, Ranchi, Jharkhand (India) in the month of July 2012. The plant was identified and authenticated from Central National Herbarium, Botanical survey of India (BSI) P. O. Botanical garden, Howrah. [No.–CNH/I. I (81) 2005-Tech. II./1134].
Experimental animals
Wistar albino rats weighing 150-200 g of either sex were used in the study. Animals were procured from Laboratory Animal House of Birla Institute of Technology, Mesra (Registration no.: 621/02/ac/CPCSEA, Reference no.: PROV/BIT/PH/IAEC/ 19/ 2012/15.10.2012). All animal experiments strictly complied with the approval of institutional animal ethical committee. The animals were kept in polyacrylic cages and maintained under standard housing conditions of temperature (24-27 °C) and humidity (60-65%) with 12:12 light: dark cycles. They were acclimatized for seven days. The food was provided in the form of dry pellets and water ad libitum.
Standard drugs and chemicals
Aspirin was obtained from German Remedies Ltd., Mumbai, India and omeprazole and ranitidine were obtained from Glenmark Pharmaceuticals Ltd., Mumbai, India. Ascorbic acid, gallic acid, quercetin and 1,1-diphenyl-2-picryl-hydrazyl (DPPH) were obtained from HiMedia Laboratories Pvt. Ltd., Mumbai, India.
Preparation of plant material
The leaves were carefully dried at room temperature or in the oven at not more than 30 °C. Once thoroughly dried, leaves were subjected to size reduction by grinding and the powdered mass of leaf was taken for extraction. Successive extraction of powdered plant materials was done by Cold maceration method using petroleum ether, chloroform, ethyl acetate and methanol as solvents. The extracts obtained were decanted and clarified by filtration through Whatman filter paper and were concentrated in a rotary evaporator. After preliminary screening of all the extracts, a methanolic extract was selected for further fractionation using ethyl acetate, n-butanol and water. On the ground of various antioxidant assays and phytochemical analysis of fractions, ethyl acetate fraction was selected and proceeded for subfractionation which was accompanied by the range of solvent system; petroleum ether: chloroform (1:1; F1), chloroform (100%; F2), chloroform: methanol (9:1; F3), chloroform: methanol (7:3; F4). The most active sub-fraction (selected on the basis of various antioxidant assays) was further subjected to evaluation of In vivo antiulcer activity.
Phytochemical analysis of fractions
Thin layer chromatography
Phytochemical analysis of fractions was carried out by thin layer chromatographic method. TLC of three fractions was done in seven different solvent systems, which are standard for thin layer chromatographic separation of flavonoids [11, 12]:
[1] Ethyl acetate: Formic acid: Glacial acetic acid: Water (100: 11:11:27),
[2] n-Butanol: Acetic Acid: Water (8: 4:1),
[3] Chloroform: Methanol: Acetic Acid (8:2:1),
[4] Benzene: Pyridine: Formic acid (72:18:10),
[5] Toluene: Ethyl format: Formic acid (50:40:10)
[6] Toluene: Ethyl Acetate: Acetic Acid (80:18:2)
[7] Chloroform: Acetone (8:2).
In vitro antioxidant activity
Hydrogen peroxide free radical scavenging activity
A solution of hydrogen peroxide (20 mM) was prepared in phosphate buffer saline (pH 7.4). 1 ml of 50 μg/ml concentration methanolic solution of ascorbic acid (standard), ethyl acetate fraction, n-butanol fraction and the aqueous fraction was added to 2 ml of hydrogen peroxide solution. The absorbance of hydrogen peroxide at 230 nm was determined after 10 min and 20 min against a blank solution containing phosphate buffer without hydrogen peroxide. Similarly, 1 ml of different concentrations of ethyl acetate fraction (EA-BLE) and standard ascorbic acid solution viz. 25, 50, 100, 200, 400 and 600 μg/ml in methanol was also added to 2 ml of hydrogen peroxide solution. The absorbance of hydrogen peroxide at 230 nm was determined after 10 min against a blank solution. For each concentration, a separate blank sample was used for background subtraction. The percentage inhibition activity was calculated from[(A0−A1)/A0] × 100, where A0 is the absorbance of the control and A1 is the absorbance of fraction/standard. All the tests were performed in triplicate, and the antioxidant activity of the fraction was expressed as IC50 [13, 14].
Hydroxyl radical scavenging activity
Hydroxyl radical scavenging activity was measured by the salicylic acid method with slight modification. To 2 ml of EA-BLE (12.5, 25, 50, 100 μg/ml), 600 μl of 8 mM FeSO4 solution, and 500 μl of hydrogen peroxide of 20 mM concentration were mixed. Then, to initiate the reaction, 3 mM salicylic acid solution was added. The reaction mixture was allowed to stand for 30 min in a bath at 37 °C, after which, 900 μl of distilled water were added and the mixture centrifuged for 10 min at 10,000 rpm. The supernatant was collected, and the absorbance at 510 nm was recorded and ascorbic acid was used as positive control [15]. Formula for calculating percentage inhibition:
![]()
All the tests were performed in triplicate and the antioxidant activity of the fraction was expressed as IC50.
DPPH (1, 1-diphenyl-2-picryl hydroxyl) radical scavenging activity
The free radical scavenging activity of subfractions and EA-BLE was measured in vitro by 1,1-diphenyl-2-picryl-hydrazyl (DPPH) assay using the previously described method with slight modification. 0.3 mM solution of DPPH in 100% ethanol was prepared, and 1 ml of this solution was added to 3 ml of 50 µg/ml and 100 µg/ml concentrations of F1, F2, F3, F4, EA-BLE and ascorbic acid(standard) in ethanol. Similarly, 1 ml of 0.3 mM solution of DPPH in 100% ethanol was also added to 3 ml of different concentrations of F4 sub-fraction and ascorbic acid viz. 25, 50, 100, 200, 400 µg/ml in ethanol. The mixture was shaken and allowed to stand at room temperature for 30 min and the absorbance was measured at 517 nm using a spectrophotometer. Corresponding blanks were taken. The percentage inhibition activity was calculated from [(A0−A1)/A0] × 100, where A0 is the absorbance of the control and A1 is the absorbance of the fraction/standard. The antioxidant activity of the fraction was expressed as IC50. All the tests were performed in triplicate, and the values were expressed as the average of three observations [16].
Estimation of total flavonoid content
Total flavonoid content of sub-fractions and EA-BLE was estimated with the help of aluminum chloride colorimetric method, with little modification. Quercetin was used to make the calibration curve. Ten milligrams of quercetin was dissolved in 80% ethanol and then diluted to 12.5, 25, 50, 100 μg/ml. The diluted standard solutions (0.5 ml) were separately mixed with 1.5 ml of 95% ethanol, 0.1 ml of 10% aluminium chloride, 0.1 ml of 1M potassium acetate and 2.8 ml of distilled water. After incubation at room temperature for 30 min, the absorbance of the reaction mixture was measured at 415 nm. The amount of 10% aluminium chloride was substituted by the same amount of distilled water in blank. Similarly, 0.5 ml of all the fractions (100 µg/ml) were reacted with aluminium chloride for determination of flavonoid content as described above. Results were expressed as milligrams of quercetin equivalents (QE) per gram of dry fraction (mg QE/g of dry fraction) [17].
Estimation of total phenolic content
Estimation of total phenolic content of sub-fractions as well as EA-BLE was done using folic-ciocalteau reagent based on procedures described earlier with some modifications. 0.5 ml of sub-fractions and EA-BLE each having concentration of 10 µg/ml was mixed with 1.5 ml (1:10 v/v diluted with distilled water) folin-ciocalteau’s reagent and allowed to stand at 22 °C for 5 min. Then 2 ml of sodium carbonate (Na2CO3, 7.5%, w/v) was added, and the mixtures were allowed to stand for another 90 min and kept in the dark with intermittent shaking. Then the absorbance of the blue colour that developed was measured at 725 nm using a spectrophotometer. Gallic acid was used for constructing the standard curve (2, 4, 6, 8,10 μg/ml) and the total phenolic compounds concentration in the fractions was expressed as milligrams of gallic acid equivalent per gram of dry weight (mg GAE/g) of fraction [18].
In vivo antiulcer activity
Aspirin+pylorus ligation induced (APL) ulcer model
Wistar albino rats of either sex were divided into four groups; each group consists of six animals. All groups of animals received following treatments for 5 d: group 1 (control) received vehicle 10 ml/kg, groups 2 and 3 (test) were given F4 sub-fraction of Buchanania lanzan leaf extract at the dose of 50 and 100 mg/kg, respectively, and the group 4 (standard) given reference drug omeprazole at the dose of 30 mg/kg. All the doses calculated with respective body weights of animals and administered orally. On the 5th day, 1 h after administering the last dose of a drug (standard or test), aspirin was administered orally as an aqueous suspension at a dose of 200 mg/kg and after 1h pylorus part was ligated following 36 h fasting. The rats were lightly anesthetized by diethyl ether, and the abdomen was opened without damaging any blood supply. Then its pylorus was ligated. The abdomen was closed by suturing and the rats were allowed to recover for 4 h. After 4 h, the animals were anesthetized using diethyl ether and then euthanized by cervical dislocation. The abdomen was opened and a ligature was placed around the esophagus junction. The stomachs were removed, and the content was measured before drained into a centrifuge tube and subjected to centrifugation at 3000 rpm for 10 min. pH of the gastric secretion was recorded with a pH meter. The total acidity of the gastric secretion was determined by titration with 0.01 N NaOH using phenolphthalein as an indicator [19, 20]. The total acidity was expressed as mEq/l by the following formula:
![]()
The stomachs were then opened along the greater curvature, rinsed with saline to remove gastric contents and blood clots and examined by a 10Χ magnifier lens to assess the formation of ulcers. Scoring of ulcer was made as follows: (a) Normal colored stomach = 0; (b) Red coloration = 0.5; (c) Spot ulcer = 1; (d) Hemorrhagic streak = 1.5; (e) Deep Ulcers = 2; (f) Perforation = 3. Mean ulcer score for each animal was expressed as ulcer index. Ulcer index (UI) was measured by using following formula [21]:
![]()
Where, UI= Ulcer Index; UN = Average number of ulcers per animal; US = Average number of severity score; UP = Percentage of animals with ulcers. Percentage inhibition of ulceration was calculated as below:
![]()
HCl/ethanol-induced (HE) ulcer model
The animals were divided into four groups, each of six animals. All groups of animals received following treatments for 5 d: group 1 (control) received vehicle 10 ml/kg, groups 2 and 3 (test) were given F4 sub-fraction at the dose of 50 and 100 mg/kg, respectively, and the group 4 (standard) given reference drug ranitidine at the dose of 32 mg/kg. All the doses calculated with respective body weights of animals and administered orally. On the 5th day, thirty minutes after the final dose of treatment, the gastric ulcers were induced in rats by administering orally 1.0 ml of a 0.3 M solution of HCl in 60% (v/v) ethanol. After 1h animals were sacrificed by cervical dislocation. The stomach was then excised and cut along the greater curvature, washed carefully with 5.0 ml of 0.9% NaCl and examined for ulcers index, and percentage ulcer inhibition was calculated for each group on comparison with vehicle control group [22].
Histopathological examination
Stomachs were immersed in a 10% formalin solution for histopathological examination following the assessment of ulcer score. The central part of the damaged (or) ulcerated tissue (if present) was cut in half along the long diameter. If the stomach was protected from the damage, then the section was taken from the basal part. After the standard processing, the wet tissue was embedded in paraffin and cut into 5 µm thick section in a rotary micrometer. The sections were stained with haematoxylin-eosin and mounted with gum (DPX). These were examined under the microscope for histopathological changes such as edema, inflammation, infiltration and erosion and photographs were taken [23].
Statistical analysis
All the data of in vivo studies were analyzed statistically using one-way Analysis of Variance (ANOVA) followed by Dunnett’s t-test. The data are expressed as mean±SEM. p-values less than 0.05 imply significance.
RESULTS
Phytochemical analysis of fractions (TLC analysis)
Chloroform: Methanol: AceticAcid (8:2:1) solvent system was showing two prominent major spots (A) and two minor spots (B) only for ethyl acetate fraction out of all the three fractions of BLE as shown in fig. 1.

Fig. 1: TLC of fractions of BLE, A-Major spots; B-Minor spots; BLE-Buchanania lanzan Spreng. leaves methanolic extract
In vitro antioxidant activity
Hydrogen peroxide free radical scavenging activity
Among all the three fractions of BLE, EA-BLE showed better Hydrogen peroxide free radical scavenging activity (36.42±0.18% at 10 min. and 37.67±0.33% at 20 min.) than an n-butanol and aqueous fraction as compared to ascorbic acid (standard) as shown in table 1. As shown in table 2, a significant dose-dependent hydrogen peroxide free radical scavenging activity was observed for EA-BLE (IC50–281.19±0.76) as compared to ascorbic acid (IC50–391.74±0.54).
Table 1: Hydrogen peroxide free radical scavenging assay of various fractions of BLE
| Fractions | Concentration (µg/ml) | % Scavenging |
| 10 min | ||
| Ascorbic acid (Standard) | 50 | 30.81±0.73 |
| Ethyl acetate | 50 | 36.42±0.18 |
| n-Butanol | 50 | 29.56±0.91 |
| Aqueous | 50 | 25.27±0.85 |
Values are expressed as (mean±SEM), n= 3. BLE-Buchanania lanzan Spreng. leaves methanolic extract
Table 2: Hydrogen peroxide free radical scavenging assay of EA-BLE
| S. No. | Concentration (µg/ml) | % Scavenging |
| Ascorbic acid | ||
| 1. | 25 | 14.88±0.44 |
| 2. | 50 | 21.92±0.19 |
| 3. | 100 | 27.42±0.86 |
| 4. | 200 | 38.20±0.63 |
| 5. | 400 | 51.61±0.89 |
| 6. | 600 | 57.96±0.71 |
| IC50: | 391.74±0.54 |
Values are expressed as (mean±SEM), n= 3. EA-BLE-Ethyl acetate fraction of Buchanania lanzan Spreng. leaves methanolic extract
Hydroxyl radical scavenging activity
As shown in table 3, EA-BLE (IC50–21.52±0.88) showed a dose-dependent increase in hydroxyl radical scavenging activity as compared to standard ascorbic acid (IC50–2.97±0.65).
DPPH radical scavenging activity
Among the four sub-fractions of EA-BLE, highest DPPH radical scavenging activity was observed for F4 (50µg/ml-85.18±0.35%, 100µg/ml-88.39±0.66%) as compared to standard ascorbic acid as shown in table 4. A dose-dependent increase in DPPH radical scavenging activity was observed for F4 sub-fraction (IC50–28.31±0.31) as compared to standard ascorbic acid (IC50–6.98±0.46) as shown in table 5.
Total flavonoid and phenolic content
Estimation of total flavonoid and phenolic content reported that, among the four sub-fractions of EA-BLE, sub-fraction F4 showed the highest total flavonoid content (243.52±0.61 mg/g) and phenolic content (220.0±0.54 mg/g) as compared to EA-BLE (183.10±0.45 mg/g and 183.15±0.75 mg/g respectively) as shown in table 6 and 7.
Table 3: Hydroxyl radical scavenging assay of EA-BLE
| S. No. | Concentration (µg/ml) | % Scavenging |
| Ascorbic acid | ||
| 1. | 12.5 | 64.79±0.79 |
| 2. | 25 | 80.75±0.68 |
| 3. | 50 | 86.17±0.24 |
| 4. | 100 | 91.86±0.82 |
| IC50: | 2.97±0.65 |
Values are expressed as (mean±SEM), n= 3. EA-BLE-Ethyl acetate fraction of Buchanania lanzan Spreng. leaves methanolic extract
Table 4: DPPH radical scavenging assay of EA-BLE and its sub-fractions
| S. No. | Fraction/Sub-fractions | % Scavenging |
| 50 µg/ml | ||
| 1. | Ascorbic acid (Standard) | 94.69±0.15 |
| 2. | F1 | 30.61±0.23 |
| 3. | F2 | 5.18±0.58 |
| 4. | F3 | 39.62±0.40 |
| 5. | F4 | 85.18±0.35 |
| 6. | EA-BLE | 62.83±0.74 |
Values are expressed as (mean±SEM), n= 3. DPPH-1, 1-diphenyl-2-picryl hydrazyl; EA-BLE-Ethyl acetate fraction of Buchanania lanzan Spreng. leaves methanolic extract; F1-petroleum ether: chloroform (1:1) solvent fraction; F2-chloroform (100%) solvent fraction; F3-chloroform: methanol (9:1) solvent fraction; F4-chloroform: methanol (7:3) solvent fraction
Table 5: DPPH radical scavenging assay of F4 sub-fraction
| S. No. | Concentration (µg/ml) | % Scavenging |
| Ascorbic acid | ||
| 1. | 25 | 59.67±0.79 |
| 2. | 50 | 76.12±0.82 |
| 3. | 100 | 80.64±0.22 |
| 4. | 200 | 85.93±0.51 |
| 5. | 400 | 92.58±0.65 |
| IC50: | 6.98±0.46 |
Values are expressed as (mean±SEM), n= 3. DPPH-1, 1-diphenyl-2-picryl hydrazyl; F4-chloroform: methanol (7:3) solvent fraction
In vivo antiulcer activity
Aspirin+pylorus ligation induced (APL) ulcer model
The gastric secretion in the control group was found to be 7.60±0.21 ml with pH 1.53±0.13 and the total acidity of the gastric secretion was observed to be 208.16±0.79 mEq/l. As shown in table 8, pre-treatment with the most active F4 sub-fraction, significantly (p<0.05) reduced the volume of gastric secretion to 5.40±0.14 and 4.66±0.12 ml at the doses of 50 and 100 mg/kg respectively. pH of the gastric fluid was significantly (p<0.05) elevated up to 3.86±0.15 and 4.76±0.13 at the doses of 50 and 100 mg/kg respectively. In addition, total acidity was also reduced significantly (p<0.05) in a dose-dependent manner.
Further, it was observed that pre-treatment with F4 sub-fraction has reduced the gastric ulceration significantly (p<0.01) in a dose-dependent manner. In this model, the percentage inhibition of ulceration was found to be 59.99% and 71.32% at the dose of 50 and 100 mg/kg of F4 sub-fraction respectively, whereas omeprazole showed 72.37% ulceration inhibition. The gastro-protection offered by the F4 sub-fraction was comparable to that of the standard drug, omeprazole (30 mg/kg) as shown in table 9 and fig. 2.
Table 6: Total flavonoid content of EA-BLE and its sub-fractions
| S. No. | Fraction/Sub-fractions | Total flavonoid content (mg/g of fraction) |
| 1. | F1 | 78.82±0.27 |
| 2. | F2 | 14.11±0.39 |
| 3. | F3 | 31.76±0.77 |
| 4. | F4 | 243.52±0.61 |
| 5. | EA-BLE | 183.10±0.45 |
Values are expressed as (mean±SEM), n= 3. EA-BLE-Ethyl acetate fraction of Buchanania lanzan Spreng. leaves methanolic extract; F1-petroleum ether: chloroform (1:1) solvent fraction; F2-chloroform (100%) solvent fraction; F3-chloroform: methanol (9:1) solvent fraction; F4-chloroform: methanol (7:3) solvent fraction
Table 7: Total phenolic content of EA-BLE and its sub-fractions
| S. No. | Fraction/Sub-fractions | Total phenolic content (mg/g of fraction) |
| 1. | F1 | 177.89±0.96 |
| 2. | F2 | 146.31±0.82 |
| 3. | F3 | 193.68±0.91 |
| 4. | F4 | 220.00±0.54 |
| 5. | EA-BLE | 183.15±0.75 |
Values are expressed as (mean±SEM), n= 3. EA-BLE-Ethyl acetate fraction of Buchanania lanzan Spreng. leaves methanolic extract; F1-petroleum ether: chloroform (1:1) solvent fraction; F2-chloroform (100%) solvent fraction; F3-chloroform: methanol (9:1) solvent fraction; F4-chloroform: methanol (7:3) solvent fraction
Table 8: Effect of F4 on gastric content, pH and total acidity in APL ulceration in rats
| S. No. | Treatment | Dose (mg/kg) | Gastric content (ml) | pH | Total acidity (mEq/l) |
| 1. | Control (Aspirin) | 200 | 7.60±0.21 | 1.53±0.13 | 208.16±0.79 |
| 2. | F4 | 50 | 5.40±0.14* | 3.86±0.15* | 152.33±0.88* |
| 3. | F4 | 100 | 4.66±0.12* | 4.76±0.13* | 120.83±0.60* |
| 4. | Omeprazole (Standard) | 30 | 4.18±0.24* | 5.28±0.11* | 99.27±0.76* |
Values are expressed as (mean±SEM), n= 6; *p<0.05 when compared with control group (Statistically analyzed by one-way analysis of variance (ANOVA) followed by Dunnett’s t-test). F4-chloroform: methanol (7:3) solvent system fraction (most active sub-fraction); APL-aspirin+pylorus ligation-induced ulceration.
![]() |
![]() |
| A: Control | B: Omeprazole-30 mg/kg |
![]() |
![]() |
| C: F4-50 mg/kg | D: F4-100 mg/kg |
Fig. 2: Photographical representation of ulcer inhibition by F4 against APL ulcer in rats. [A] Stomach of an ulcer control rat; [B] Stomach of a rat pre-treated with omeprazole (30 mg/kg); [C] Stomach of a rat pre-treated with F4 (50 mg/kg); [D] Stomach of a rat pre-treated with F4 (100 mg/kg)
F4-chloroform: methanol (7:3) solvent system fraction (most active sub-fraction)
Table 9: Effect of F4 on gastric ulceration by APL in rats
| S. No. | Treatment | Dose (mg/kg) | Ulcer index | % Ulcer inhibition |
| 1. | Control (Aspirin) | 200 | 31.67±0.87 | - |
| 2. | F4 | 50 | 12.67±0.36* | 59.99 |
| 3. | F4 | 100 | 9.08±0.37** | 71.32 |
| 4. | Omeprazole (Standard) | 30 | 8.75±0.57** | 72.37 |
Values are expressed as (mean±SEM), n= 6; *p<0.05, **p<0.01 when compared with control group (Statistically analyzed by one-way analysis of variance (ANOVA) followed by Dunnett’s t-test). F4-chloroform: methanol (7:3) solvent system fraction (most active sub-fraction); APL-aspirin+pylorus ligation-induced ulceration
HCl/ethanol-induced (HE) ulcer model
Administration of the HE solution produced superficial, deep ulcers and perforations in the control animals. However, animals treated with F4 sub-fraction showed significantly (p<0.01) reduction in the number of ulcers and ulcer index in a dose-dependent manner as shown in table 10 and fig. 3. It showed 64.54% and 76.02% ulceration inhibition at the dose of 50 and 100 mg/kg respectively whereas ranitidine showed 73.87% ulceration inhibition.
Anti-ulcerogenic effect of F4 sub-fraction in HE ulcers was comparable to that of ranitidine, 32 mg/kg.
Table 10: Effect of F4 on gastric ulceration by HE in rats
| S. No. | Treatment | Dose (mg/kg) | Ulcer index | % Ulcer inhibition |
| 1. | Control | - | 34.75±0.89 | - |
| 2. | F4 | 50 | 12.32±0.55* | 64.54 |
| 3. | F4 | 100 | 8.33±0.47** | 76.02 |
| 4. | Ranitidine (Standard) | 32 | 9.08±0.41** | 73.87 |
Values are expressed as (mean±SEM), n= 6; *p<0.05, **p<0.01 when compared with control group (Statistically analyzed by one-way analysis of variance (ANOVA) followed by Dunnett’s t-test). F4-chloroform: methanol (7:3) solvent system fraction (most active sub-fraction); HE-HCl/ethanol-induced ulceration
![]() |
![]() |
| A: Control | B: Ranitidine-32 mg/kg |
![]() |
![]() |
| C: F4-50 mg/kg | D: F4-100 mg/kg |
Fig. 3: Photographical representation of ulcer inhibition by F4 against HE ulcer in rats. [A] Stomach of an ulcer control rat; [B] Stomach of a rat pre-treated with ranitidine (32 mg/kg); [C] Stomach of a rat pre-treated with F4 (50 mg/kg); [D] Stomach of a rat pre-treated with F4 (100 mg/kg)
F4-chloroform: methanol (7:3) solvent system fraction (most active sub-fraction)
Histopathological examination
Histological observation of APL and HE stomach ulcer tissues pretreated only with dH2O (control group) showed marked lesions and severe damage to the gastric mucosa, hemorrhagic erosion, edema and leucocytes infiltration in the submucosal layer. On the other hand, stomach tissues of APL and HE ulcers in rats pretreated with 50 mg/kg of F4 sub-fraction showed mild lesions of the mucosa with mild leucocytic infiltration. The tissues after pretreatment with 100 mg/kg of F4 sub-fraction exhibited almost normal mucosal architecture with very few inflammatory cells (fig. 4 and 5). For comparison purposes, stomachs of omeprazole and ranitidine pretreated rats showed moderate protection of the mucosa with very mild hemorrhage and leucocytic infiltration.
![]() |
![]() |
| a: Control | b: Omeprazole-30 mg/kg |
![]() |
![]() |
| c: F4-50 mg/kg | d: F4-100 mg/kg |
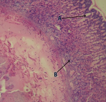
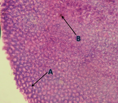
Fig. 4: Histopathological evaluation of antiulcer activity of F4 against APL ulcer in rats (HandE stain, 10x magnification). [a] Stomach of the control animal showing severe mucosal erosion and large number of inflammatory cells; [b] Stomach of the 30 mg/kg omeprazole treated animal showing mild mucosal erosion and lesser number of inflammatory cells; [c] Stomach of F4-50 mg/kg treated animal showing mild mucosal erosion and lesser number of inflammatory cells; [d] Stomach of F4-100 mg/kg treated animal showing almost normal mucosa and very few inflammatory cells
F4-chloroform: methanol (7:3) solvent system fraction (most active sub-fraction); A-Mucosal erosion; B-Inflammatory cells
![]() |
![]() |
| a: Control | b: Ranitidine-32 mg/kg |
![]() |
![]() |
| c: F4-50 mg/kg | d: F4-100 mg/kg |
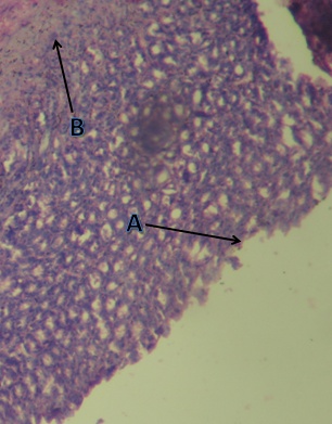
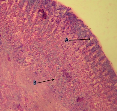
Fig. 5: Histopathological evaluation of antiulcer activity of F4 against HE ulcer in rats (HandE stain, 10x magnification). [a] Stomach of the control animal showing severe mucosal erosion and large number of inflammatory cells; [b] Stomach of the 32 mg/kg ranitidine treated animal showing almost normal mucosa and lesser number of inflammatory cells; [c] Stomach of F4-50 mg/kg treated animal showing mild mucosal erosion and lesser number of inflammatory cells; [d] Stomach of F4-100 mg/kg treated animal showing almost normal mucosa and very few inflammatory cells
F4-chloroform: methanol (7:3) solvent system fraction (most active sub-fraction); A-Mucosal erosion; B-Inflammatory cells
DISCUSSION
Free radicals have been involved in the causation of several diseases and the compounds that can scavenge free radicals have better potential in alleviating these disease processes. Antioxidants thus play a major role in protecting the human body against damage by reactive oxygen species [24]. Phytochemical analysis of fractions was carried out by thin layer chromatographic method. It was found that chloroform: methanol: aceticAcid (8:2:1) solvent system was showing two prominent major spots and two minor spots only for ethyl acetate fraction of BLE. As this solvent system is specific for flavonoids so ethyl acetate fraction may contain a significant amount of flavonoids and proportionally it may show better antioxidant activity. From the results of Hydrogen peroxide free radical scavenging activity of different fractions of methanolic extract, it was found that EA-BLE was showing the highest % scavenging as compared to standard, which was further confirmed by different in vitro antioxidant assays, which showed the dose-dependent increase in % scavenging activity. IC50 values of different in vitro radical scavenging assays showed that EA-BLE has considerable antioxidant activity as compared to the standard.
The plants play a more crucial role in the human diet as they avoid many human diseases. These preventive properties of the plants have been credited to the presence of flavonoids and other polyphenolic compounds which may exert their effects as a result of antioxidant activity. The greater the flavonoid content, the stronger the antioxidant activity [24]. From the results of DPPH radical scavenging activity, total flavonoid content and total phenolic content of different sub-fractions of EA-BLE, it was found that sub-fraction F4 was showing highest DPPH radical scavenging activity in a dose-dependent manner and also highest total flavonoid and phenolic content, which was also higher than that of EA-BLE. These results confirmed that sub-fraction F4 has higher antioxidant activity as compared to other sub-fractions and EA-BLE.
A peptic ulcer occurs as a result of overproduction of gastric acid or decrease in gastric mucosal production. Aspirin+pylorus ligation (APL)-induced ulcers occurs due to an increase in acid-pepsin accumulation as a result of pylorus obstruction and subsequent mucosal digestion [25]. Later, the role of free radicals is also expressed in the induction of ulcers. An aspirin-induced ulcer is mediated through tissue damaging free radicals, which are produced from the conversion of hydroperoxyl to hydroxy fatty acids, which causes cell destruction. The hydroperoxyl fatty acids are generated from the degeneration of mast cells and generalized lipid peroxidation in addition to cell damage [26]. The present study reveals that F4 sub-fraction of EA-BLE, treated groups showed a significant (p<0.05) increase in gastric juice pH, reduction in the gastric volume and total acidity when compared to control. This effect was similar to omeprazole treated group. F4 sub-fraction decreased the ulcer index more significantly (p<0.01) in a dose-dependent manner. These results showed that the antiulcer activity of F4 sub-fraction might be due to its antisecretory activity.
The EtOH 60%:HCl 0.3 M induced acute ulcer model test evaluates the capacity of the drug to protect the gastric mucosa. The injury caused by HCl/ethanol (HE) produces a direct topical effect on gastric mucosa. Ethanol induces the formation of gastric ulcer and the presence of HCl only accelerates the process [22]. Ethanol is metabolized in the body and releases superoxide anion and hydroperoxy free radicals. It has been found that oxygen-derived free radicals are involved in the mechanism of acute and chronic ulceration in the gastric mucosa [27] and scavenging these free radicals can play an important role in healing these ulcers [28]. F4 sub-fraction significantly (p<0.01) reduced the ulcer index and afforded significant protection against HE-induced ulcer in a dose-dependent manner when compared to control group. This effect was similar to ranitidine treated group. The antioxidant properties of F4 sub-fraction may have scavenged the free radicals produced by the metabolism of ethanol and thereby heal the ulcers.
Histopathological examination of stomach tissues that received pretreatment with F4 sub-fraction showed better protection of the gastric mucosa in a dose-dependent manner as indicated by reduction or absence of submucosal edema, hemorrhagic erosions, lesions and infiltration of leucocytes.
CONCLUSION
Results of the present study have revealed that oral administration of most active sub-fraction (F4) of ethyl acetate fraction of methanolic leaf extract of Buchanania lanzan Spreng. produced significant antiulcer activity, along with antioxidant activity, which supports the antiulcer activity. Thus, the use of Buchanania lanzan Spreng. for ulcer healing purpose by tribal people of India was justified by this work.
ACKNOWLEDGEMENT
We would like to thank Department of Pharmaceutical Sciences, BIT, Mesra, Ranchi and Department of Pharmaceutics, Indian Institute of Technology (BHU), Varanasi for providing all the facilities.
CONFLICT OF INTERESTS
Declared none
REFERENCES
How to cite this article