
aDepartment of Pharmacology, bDepartment of Pharmacognosy, JSS College of Pharmacy, JSS University, SS Nagar 570015, Dist Mysuru, State Karnataka, India
Email: snm.manjula@gmail.com
Received: 09 Apr 2016 Revised and Accepted: 12 Aug 2016
ABSTRACT
Objective: Cisplatin (CIS) consumption has become a common problem that affects the health of patients around the globe. Kidney has been suspected to be particularly susceptible to the destructive effects of CIS and nephrotoxic effects are still contentious which in turn affects the Quality of Life (QoL) of patients and increase the mortality rate. This study was conducted to investigate the nephroprotective effect of Noni Juice (NJ) and Divine Noni Gold (DNG) as herbal medicine with established antioxidant properties against the controversial nephrotoxic effect of CIS in mice.
Methods: Mice were divided into four groups, each group contained six mice. Group I was kept as normal, Group II received CIS (5.0 mg/kg b. wt. i. p.) on day one for 14 d. Group III and IV received NJ (0.35 ml/mouse p. o.) and DNG (0.35 ml/mouse p. o.) respectively once daily for 14 d, Group V received CIS (5.0 mg/kg b. wt. i. p.) on day one and NJ (0.35 ml/mouse p. o.) once daily for 14 d. Similarly, Group VI received CIS (5.0 mg/kg b. wt. i. p.) on day one and DNG (0.35 ml/mouse p. o.) once daily for 14 d. On day 15 blood from all the mice was collected from the carotid vein and cardiac puncture routes, and the biochemical markers viz. lactate dehydrogenase (LDH), creatinine phosphokinase (CPK), and urea were assessed. Kidney from all the animals was isolated, and catalase (CAT), glutathione (GSH), superoxide dismutase (SOD), thiols and lipid peroxidase (LPO) were estimated.
Results: CIS-induced marked kidney injury; congestion of tubules, glomerular distortion foci, thickened and blocked blood vessels. Also showed significant elevation of LDH, CPK, and urea with significant inhibition of CAT, GSH, SOD, thiols activities and simultaneously elevation of LPO level. Co-administration of NJ and DNG respectively with CIS protected kidney tissues via oxidative stress inhibition.
Conclusion: NJ and DNG possess protective effect against CIS-induced cellular damage in the kidney by decreasing the level of serum biochemical markers, enhancing the level of enzymatic and non-enzymatic antioxidants and maintaining the LPO level. Results suggest that NJ and DNG have strong nephroprotective effect against CIS-induced nephrotoxicity.
Keywords: Noni, Morinda citrifolia, Antioxidant, Cisplatin, Toxicity
© 2016 The Authors. Published by Innovare Academic Sciences Pvt Ltd. This is an open access article under the CC BY license (http://creativecommons. org/licenses/by/4. 0/)
DOI: http://dx.doi.org/10.22159/ijpps.2016v8i10.12146
INTRODUCTION
CIS is an antineoplastic agent, widely used in various human malignancies which include head, neck, lung, ovary, bladder, testis, and cervical areas [1]. Nephrotoxicity, GI-toxicity, myelotoxicity, testicular toxicity, cardiotoxicity, hepatotoxicity, immunotoxicity, peripheral nerve toxicity and genotoxicity are some of the observed adverse effects [2, 3]. A total of 20% patients are receiving a high dose of CIS has severe renal dysfunction where it intercalates double-strand DNA cross-links causing cytotoxic lesions in malignant as well as normal cells [4]. Generally, DNA damaging agents have less toxicity on non-proliferating cells, yet the proximal tubule cells are selectively damaged by CIS because of its accumulation in the kidney to a greater extent compared to other organs [5]. Suggests that this injury is due to inflammation, oxidative stress and apoptosis [6].
Several studies have shown that revelation to CIS interrupts the redox balance of tissues, directly act on cell components, including lipids, proteins, and DNA, suggesting that biochemical and physiological disturbances result from oxidative stress [7, 8]. Various studies have reported that signaling pathways are involved in modulating cell survival or apoptosis in response to DNA damage induced by CIS [9] and these signaling pathways can also be activated by oxidative stress and lipid peroxidation [10, 11]. CIS engenders superoxide anion radical (SAR) and hydroxyl radical (OH-) which decline the level of GSH and inhibit the activity of antioxidant enzymes in renal tissue. Reactive Oxygen Species (ROS) may produce cellular injury and necrosis via several mechanisms including peroxidation of membrane lipids, denaturation of protein and DNA damage [12].
It has been suggested that CIS-induced oxidative stress through the generation of ROS which leads to decrease the level of enzymatic and non-enzymatic antioxidants and thereby induces normal cell damage [13]. In this regard, CIS injury can be ameliorated by free radical scavengers [14, 15], iron chelators [16], SOD [17], CAT [18], GSH [19], LPO [20], selenium and vitamins [21]. Since CIS elevates the LPO level and decreases endogenous antioxidants levels, free radical scavengers and in vivo antioxidants can be effective against CIS-induced toxicities.
Noni (Morinda citrifolia L. family Rubiaceae) is one of the traditional folk medicinal plant [22]. The plant has been shown to have potent antioxidant activity both in vitro and in vivo studies [23]. Noni fruit is rich in phenolic compounds like ellagic acid, gallic acid, quercetin, rutin, rosmarinic acid, caffeic and chlorogenic acid which are highly potent antioxidant. EGCg is a polyphenolic flavonoid antioxidant found in abundance in noni fruit having antioxidant properties which inhibit the quinol oxidase (NOX). NOX enzymes are found in various types of cells and tissues where they react with oxygen to generate ROS, the free radical forms of oxygen that damage the DNA of normal cell [24].
Antioxidants maintain free radicals into balance thus lowering the risk of oxidative stress. It is well documented that many herbal antioxidants reduced the toxicity due to oxidative stress, elicited by several medications and prevent the damage to normal cells [25-27]. There is additionally sensible evidence that antioxidants reversed nephrotoxicity caused by oxidative stress due to one or the other reasons. Reported that antioxidants protected the kidney cells from the toxicity elicited by CIS [28-30].
NJ and DNG has been proven potent antioxidants and used as health tonics can protect the kidney cells by CIS toxicity. So in the light of above reports and evidence, the present study aims to evaluate the possible protective effect of NJ and DNG against CIS-induced nephrotoxicity in mice.
MATERIALS AND METHODS
Chemicals and diagnostic kits
Cisplatin hydrochloride injection 50 mg/50 ml vial was procured from JSS Hospital, Mysuru, India. The kits of LDH, CPK and urea, were purchased from Merck Specialities Pvt. Ltd. India. 1,1-3,3-tetramethoxypropane, 5,5-dithiobis-2-nitrobenzoic acid (DTNB), GSH powder, horseradish peroxidase, N-(1-Naphthyl) ethylenediamine dihydrochloride, o-dianisidine hydrochloride, thiobarbituric acid (TBA), malondialdehyde (MDA), trichloroacetic acid (TCA) tris-hydroxy-methylamino methane was purchased from Sigma-Aldrich (USA).
Noni products
The ripe noni fruits and DNG concentrate were procured from Noni Biotech Pvt. Ltd. Tamil Nadu, India. Fresh NJ was prepared from fully ripped noni fruit by hand squeezing method.
Animals
The inbred Swiss albino mice were procured from central animal house facility of JSS Medical College, Mysuru, India, were used for all the experiments. This experimental study was approved by Institutional Animal Ethical Committee (IAEC) of JSS College of Pharmacy, JSS University, Mysuru. Animal care and handling were done according to the CPCSEA guidelines. The animals were fed commercial nutritional pellets and tap water/ad libitum.
Experimental design
Mice were divided into six groups each group contained six mice and subjected to various daily treatment regimens:
Group-I: Normal mice. Group-II (CIS): Mice received CIS (5.0 mg/kg b. wt. i. p) [31] on day one. Group-III (NJ): Mice received NJ (0.35 ml/mouse p. o.) once daily for 14 d. Group-IV (DNG): Mice received DNG (0.35 ml/mouse p. o.) once daily for 14 d. The dose of NJ and DNG were calculated according to the following formula; Human adult dose * body surface area ratio convertible factor of mouse =133 ml * 0.0026 = 0.3458 ml [32, 33] Group-V (NJ+CIS): Mice received NJ (0.35 ml/mouse p. o.) once daily for 14 d+CIS (5.0 mg/kg b. wt. i. p.) on day one after 30 min of NJ administration. Group-VI (DNG+CIS): Mice received DNG (0.35 ml/mouse p. o.) once daily for 14 d+CIS (5.0 mg/kg b. wt. i. p.) on day one after 30 min of DNG administration.
Parameters assessed
After 14 d dosing as represented earlier, on day 15 blood was withdrawn from carotid bleeding and cardiac puncture routes for the estimation of serum biochemical markers (LDH, CPK, and urea) were estimated using commercially available kits (Merck Pvt. Ltd.) in semi auto analyzer. After withdrawal blood, animals were sacrificed humanely using ketamine anesthesia. Animals were then cut opened, and transcardial perfusion was performed with a minimum of 100 ml/mouse using phosphate buffer. The kidneys were dissected out, blotted, dried and weighed for the assessment of nephrotoxicity.
Nephrotoxicity
A part of each kidney were cut and fixed in 10% formalin for histopathological studies. The remaining part was used for endogenous enzymatic and non-enzymatic antioxidant estimation. A 10% homogenate was prepared with ice cold phosphate buffer and used for the estimation of GSH [34], CAT [35], SOD [36], total thiol [37] and LPO [38].
RESULTS
Nephroprotective study
A single dose of CIS (5.0 mg/kg b. wt. i. p.) in group-II, caused significant (p<0.001) elevation in the level of serum biochemical markers (LDH, CPK, and urea). Co-administration of NJ and DNG (0.35 ml/mouse p. o.) respectively induced significant (p<0.001) reduction in the elevation the above biochemical markers in CIS challenged mice (Group-V and VI). Whereas NJ and DNG respectively (Group-III and IV) showed no significant difference compared to normal (Group-I), (fig. 1).


[A] [B]

[C]
Fig. 1: Effect of NJ and DNG treatment on serum toxicological and diagnostic markers in mice challenged with a single dose of CIS (5.0 mg/kg b. wt.). All the values are mean±SEM of six mice, ***ap<0.001 compared to normal, ***bp<0.001 compared to CIS, ***cp<0.001 compared to NJ, ***dp<0.001 compared to DNG, ***ep<0.001 compared to NJ+CIS
At the similar dose of CIS also decreased the levels of SOD, CAT, GSH and thiols while LPO level was simultaneously increased.
Co-administration of NJ and DNG respectively at a dose 0.35 ml/mouse significantly (p<0.001) decreased elevation in LPO and maintained SOD, GSH, CAT, and thiols concentrations near to normal in CIS challenged mice (Group-V and VI). In this study, DNG showed a more protective effect when compared to NJ in both serum biochemical markers (fig. 1) and endogenous enzymatic and non-enzymatic antioxidants (fig. 2).
![]() |
![]() |
|---|---|
| [A] | [B] |
![]() |
![]() |
| [C] | [D] |
![]() |
|
| [E] |
Fig. 2: Status of kidney enzymatic and non-enzymatic antioxidants levels in mice treated with NJ and DNG (0.35 ml/mouse) respectively with CIS (5.0 mg/kg b. wt.). All the values are mean±SEM of six mice, ***ap<0.001 compared to normal, ***bp<0.001 compared to CIS, ***cp<0.001 compared to NJ,***dp<0.001 compared to DNG, ***ep<0.001 compared to NJ+CIS
Histopathological study
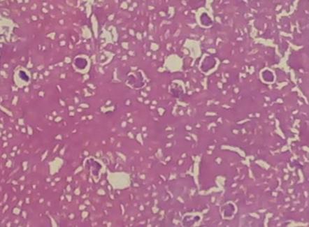
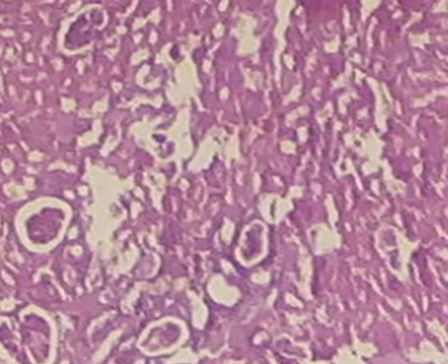
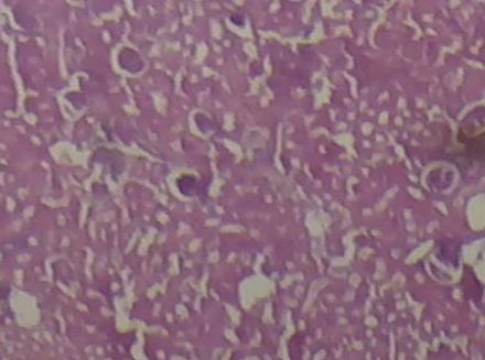
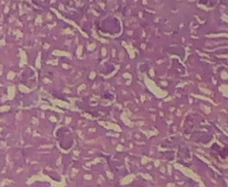
The normal kidney section (fig. 3; A.) revealed normal histology of glomerulus, distal and proximal convoluted tubules and normal orientation of nephrons. Similar results were obtained in the treatment of NJ and DNG (0.35 ml/mouse p. o.) respectively in normal mice (fig. 3; C, D). Light microscopic observations of CIS at the dose of 5.0 mg/kg b. wt. i. p caused necrosis and thickened blood vessels. The dead and inflammatory cells were increased, also glomerular and tubular congestion was observed (fig. 3: B).
Co-administration of NJ and DNG (0.35 ml/mouse p. o.) respectively induced significant changes, reduced thickened of blood vessels, moderate glomerular and tubular congestion, less necrosis, and inflammatory and dead cells in proximal renal tubules in CIS treated mice was noted as well (fig. 3; E, F).
DISCUSSION
The cytotoxic effect of CIS is believed to result mainly from its interaction with DNA via the formation of covalent adducts between certain DNA bases and platinum compounds [39]. CIS-induced nephrotoxicity can result in severe renal tubular injury leading to acute renal failure [40]. The CIS concentration in proximal tubular epithelial cells is about 5 times more than serum concentration. The disproportionate accumulation of CIS in kidney tissues contributes to CIS-induced nephrotoxicity manifested by an elevation in serum creatinine, urea and LDH levels [41]. Reported that CIS-induced inflammation, oxidative stress injury and apoptosis which probably clarifies kidney damage [42].
Free radical mediated reactions are responsible for a wide range of chemotherapy-induced side effects, and antioxidants are able to protect non-malignant cells against the destruction by cytostatic agents [43]. The antioxidants can play in protecting against CIS-induced toxicity in mammalian systems [44, 45]. However, little is known about the interaction of antitumor drugs with antioxidants [46]. The results of the estimation of serum biochemical markers and endogenous enzymatic and non-enzymatic antioxidants data clearly revealed that NJ and DNG significantly reduced the nephrotoxic effect induced by CIS which is confirmed by histopathological study. Natural antioxidants have been broadly used for chemo protection assuming that they detoxify ROS and prevent untoward effects produced by antineoplastic agents and other toxicants [47].
![]() |
![]() |
|---|---|
| [A] | [B] |
![]() |
![]() |
| [C] | [D] |
![]() |
![]() |
| [E] | [F] |
Fig. 3: Histopathological analysis of the kidney [Hematoxylin and Eosin (H and E) stain]. The kidney was mined on day 15 after commencing the treatment. These images are representative of observations made on 6 mice/group. (Scale bar: 5 μm), [A] Normal kidney section is showing the normal renal morphology of predominant tubules, glomerulus, afferent and efferent arterioles, [B] Mice treated with CIS is showing renal tissue with predominant tubular foci, congested tubules, admixed with glomerular distortion foci and thickened and blocked blood vessels, [C] Treated with NJ is showing normal renal tissue with normal, arterioles, tubular and glomerular pattern, [D] Treated with DNG is showing renal tissue with normal tubular and glomerular foci. Fig. [E] NJ with CIS protected kidney tissues and is showing normal glomerular and tubular renal tissues with normal architecture, [F] DNG with CIS protected kidney tissues and is showing predominantly normal renal morphology with normal tubular and glomerular foci
Reported that NJ has a high antioxidant potential along with cytotoxic activity on cancer cells. Consuming 1 to 4 oz (1 oz = 30 ml) of Tahitian Noni Juice (TNJ) daily may reduce the cancer risk in heavy cigarette smokers by blocking carcinogen-DNA binding [48]. Mani and their colleagues reported that NJ treatment significantly increased antioxidant enzymes levels such as CAT, SOD and significantly decreased LPO level in liver and kidney tissues when compared to n-methyl-n-nitrosourea (NMU) induced mammary carcinogenesis in Sprague-Dawley rats. NJ showed a preventive effect against anemia, lymphocytosis, and neutrophilia when compared to NMU control group. Overall they suggest that NJ reduces the adverse effects of NMU carcinogenesis by antioxidant properties [49]. The result of the present study is in accordance with the aforesaid study [48] and [49].
Co-administration of plant extracts with CIS can prevent/minimize the toxicity [50, 51]. Moreover, the decline of SOD, CAT and GSH activities was revealed after CIS (5.0 mg/kg b. wt. i. p.) treatment in the present study, resulting in the abridged ability of the kidney to scavenge toxic H2O2, O2 − and lipid peroxides (Group II). Co-administration of NJ and DNG respectively with CIS were able to maintain SOD, CAT, GSH, thiols and LPO activities in kidney tissues (fig. 2). These results are in agreement with Bae et al. [52].
CIS-induced nephrotoxicity was clearly observed through significant elevation of LDH, CPK, and urea levels in CIS treated mice compared with normal which significantly (p<0.001) diminished the elevated levels and maintained close to normal when NJ and DNG administered respectively with CIS (fig. 1). This may be attributed to noni components which may stabilize kidney cells and prevent the release of serum biomarkers to the extracellular fluid. Concerning the histopathological changes the kidney damage produced by CIS (5.0 mg/kg b. wt. i. p.) to mice caused the extent of renal tissue with predominant congested tubular foci, admixed with glomerular distortion foci of necrosis and thickened blood vessels (fig. 3; B) which are significantly reduced by co-administration of NJ and DNG respectively with CIS (fig. 3; E and F).
Results obtained in the present in vivo study motivated us to initiate the possible protective effect of NJ and DNG against CIS-induced toxicity in experimental animals. Nephroprotective effects of NJ and DNG may be due to the presence of their distinctive phytoconstituents. NJ and DNG are highly rich in phenolic compounds like rutin, quercetin, flavonol glycosides, gallic acid, tannins, sterol, etc. Flavonoids present in noni fruit have been reported to possess both antioxidant and anti-inflammatory activities via free radical scavenging as well as inhibition of oxidases and LPO [53].
In the phytochemical analysis, DNG revealed the presence of more amount of chemical constituents than NJ. DNG is a marketed formulation obtained from noni fruit juice mixed with the extract of garcinia cambogia and glycyrrhiza glabra and mixed with vit. A, B, C, and some minerals that could be one of the reasons for DNG showing more additive and protective effect than fresh NJ. The present study demonstrated that NJ and DNG provided a significant protective effect against CIS-induced nephrotoxicity when administered in combination with CIS and the mechanism of these protective effects of NJ and DNG could be due to their antioxidant, anti-inflammatory and free radical scavenging activities.
CONCLUSION
Oxidative stress plays a major role in CIS-induced nephrotoxicity throughout the conventional clinical regimens of treatment. Antioxidants have evidenced to be effective in ameliorating CIS-induced toxicity in abundant preclinical and few clinical interventions. NJ and DNG have a potent antioxidant activity which is reported in this study i.e. nephroprotective effect. Co-administration of NJ and DNG respectively with CIS provided almost a complete protection in terms of plasma biochemical, endogenous enzymatic and non-enzymatic antioxidants changes, and organs histological changes. The findings of the present study provide an insight and justifies for the use of NJ and DNG as an adjuvant therapy with CIS to attenuate CIS-induced nephrotoxicity.
ACKNOWLEDGEMENT
The authors sincerely thank VGST (Vision Group on Science and Technology), Department of Information Technology, Biotechnology, and Science and Technology, Govt. of Karnataka for funding this project under the K-FIST (Karnataka Fund for Improvement of Science and Technology). Authors also thank Dr. G. Parthasarathi, Principal, JSS College of Pharmacy, Mysuru for his kind support and encouragement.
CONFLICT OF INTERESTS
The authors declare no conflict of interest. The authors themselves are responsible for the content and writing of the paper.
REFERENCES
How to cite this article