1Faculty of Pharmacy, University of Indonesia, Depok, 2Dexa Laboratories Biomolecular Sciences, Dexa Medica, Cikarang.
Email: raytjan@yahoo.com
Received: 10 June 2014 Revised and Accepted: 11 Jul 2014
ABSTRACT
Compounds with estrogen receptor modulation activity are necessary to treat osteoporosis by increasing osteoblast formation and activity. Anthraquinone and stilbene compounds from genus Rheum have been reported to exert modulation activity toward estrogen receptors. This research aimed to reveal osteoblastogenesis activity of an Indonesian native plant, akar kelembak (Rheum officinale Baill.) that extracted with 70% ethanol. The extract then tested on 3T3 L1 preadipocyte cell lines cultured in osteogenic differentiation medium with concentrations of extract of 25, 50, 75, 100, and 125 μg/mL. The differentiation of these cells was marked by alkaline phosphatase (ALP) staining. The ALP level decrease progressively at 75, 100, and 125 μg/mL. No mineralized nodules or positive alizarin red staining was observed. mRNA expression level of osteoblastic markers was detected by Reverse Transcriptase PCR (RT PCR) for Runx2 and BMP-2,estrogen receptor α (ER α) and β (ER β). The results indicate that the key regulator genes of osteogenesis differentiation, Runx2 and BMP-2, tend to increased, while ER α and ER β tend to decreased, in a dose-dependent manner. It was suggested that osteogenic differentiation was best stimulated at concentration of 50 μg/mL based on the increase of alkaline phosphatase level as well as mRNA level of Runx2 and BMP-2, while mRNA level of ER α was decreased.
Keywords: 3T3 L1 preadipocyte cell lines, osteogenic differentiation, Rheum officinale Baill.
INTRODUCTION
Osteoporosis is a disease characterized by low bonedensity and micro architectural deterioration of bone tissue with consequent decrease of bone strength and increase in bone fragility.One of risk factors of osteoporosis is hormonal disorder. Women entering menopause undergo estrogen deficiency, thus osteoporosis is more common in women over 40 years of ageas compared to men(Indonesian Ministry of Health, 2008).
Decreased estrogen levels will stimulate unbalanced bone remodeling activity as osteoblasts cannot keep pace with osteoclasts resulting in reduced bone mass and develops into osteoporosis. Moreover, estrogen deficiency increases osteoclastogenesis(Sudoyo et al., 2006).
Hormone replacement therapy (HRT, estrogen plusprogestins) or estrogen replacement therapy (ERT) havetraditionally been seen as the gold standard method inpostmenopausal women for many years, as well as for themanagement of menopausal symptoms(Gennari, Merlotti, & Nuti, 2010). However, long term therapy leads to an increased risk of breastcancer, endometrial cancer, and deep veinthrombosis(Jordan et al., 2010). One of alternative therapies for prevention and treatment of osteoporosis in postmenopausal women includeselective estrogen receptor modulators (SERMs). SERMs are a class of compounds that interact with intracellularERs in target organs as estrogen agonists and antagonists. They include chemically diverse molecules that lackthe steroid structure of estrogens, but possess a tertiary structurethat allows them to bind to ERα and/or ERβ(Gennari et al., 2010).
Since 1993, a dry extract from the roots of rhapontic rhubarb(extract Rheum rhaponticum (L.); ERr; Dahuang), was first used in human to treatmenopausal symptoms, and before when it used to treatwomen with child bearing potential suffering from oligomenorrheaor amenorrhea, no severe adverse eventshave been reported. ERr consistsmainly of rhaponticin (<90%) and aglycones (5%) ofrhaponticin and desoxyrhaponticin which are stilbene compounds.ERr and/orits constituents exhibit(s) SERM-like properties(Vollmer et al., 2010).
Plants containing hydroxystilbenessuch as Rheum tanguticum, Rheum officinale and Rheum coreanumhave been used in Chinese medicineto alleviate menstrual and postmenopausalsymptoms (Vollmer et al., 2010). Rheum species that exist in Indonesia is ‘kelembak’ or Rheum officinale.In this paper, we want to show the effect70% ethanolic extract of Rheum officinale on 3T3 L1 cell lines in osteogenic differentiation medium.
MATERIALS AND METHODS
Reagents
Dulbecco’s Modified Eagle Medium (DMEM), Fetal Bovine Serum, β-glicerolphosphate, L-ascorbic acid 2-phosphate sesquimagnesium salt hydrate, Dimethyl sulfoxide (DMSO), all-trans asam retinoat, alizarin red s, tablet BCIP/NBT (5-bromo-4-chloro-3-indolyl-phosphate/nitro blue tetrazolium) were purchased from Sigma Aldrich (St Louis, MO), penicillin/streptomycin was from Gibco BRL (Carlsbad, CA), Trizol® was from Invitrogen (Carlsbad, CA). RNA isolation kit, reverse transcription (RT)-polymerase chain reaction (PCR) kit, [3-(4,5-di methyl thiazol-2-yl)-5-(3-carboxy methoxy phenyl)-2-(4-sulfophenyl)-2H-tetrazolium, inner salt (MTS) Assay Kit, Track It DNA Ladder 100 bp, gel agarosa, TAE buffer (Tris-acetate-EDTA), etidium bromide were purchased from Promega (Madison, WI). Oligonucleotide primers were from Integrated DNA Technology (USA).
Plant material
Akar kelembak (Rhei radix) was purchased from and identified by Medicinal Plant and Traditional Medicine Research and Development Center (MPTMRDC) Tawangmangu, Ministry of Health Republic of Indonesia. Dried parts of this plant were grinded into small pieces and macerated with 70% ethanol at room temperature. The macerate was filtered and dried using a Rotavapor and oven at temperature of 50 – 60oC.
Cell culture
3T3 L1 preadipocyte, a cell line derived from mouse, was purchased from American Type Culture Collection (Manassas, VA). Previously reported by Takahashi (2011) and Wan et al (2006) that this cell was able to differentiate into osteoblastic cell.3T3-L1 cells were maintained in growth medium consisting of Dulbecco’s Modified Eagle Medium (DMEM) and 10% Fetal Bovine Serum (FBS), 1% penicillin/streptomycin. Osteogenic differentiation was induced by culturing 3T3 L1 in DMEM, 10% FBS, 1% penicillin/streptomycin, 10mM β-glicerolphosphate, 250μM L-ascorbic acid 2-phosphate, and 1μM All Trans Retinoic Acid.
Identification of Anthraquinone and Stilbene Compounds Using Thin Layer Chromatography
Dried Extract was dissolved in 70% ethanol and spottedwith a concentration of 20,000 ppm on a 60 F254 silica gel plate, and subsequently eluted using solvent system of ethyl acetate, methanol, and water (100:13,5:10) with track distance of 10 cm. Detection was done under ultraviolet light at 366 nm without chemical treatment. The TLC spot maximum wave length was measured quantitatively using densitometry CAM AG TLC Scanner 3.
MTS Assay
Cells were plated into 96-well plates in medium consisting of DMEM, 10% FBS, and 1% penicillin/streptomycin at a density of 2×103 cells/well. After 24-hour incubation, culture medium was replaced by serial dilutions of the extract (0, 25, 50, 75, 100, and 125 μg/mL) and the cells were incubated for 48 and 72 hours.
The final concentration of solvent (DMSO) was 0.2% in cell culture medium. At the end of the incubation time, 20 μL MTS reagent was added to each well, incubated for 1 h, and then recorded the absorbance at 490nm with a 96-well plate reader.
Alkaline Phosphatase (ALP) and Alizarin Red S staining
Cells at a density 4 x 104/well were plated on a24-well plate and incubated for 2 days. Medium was replaced by osteogenic differentiation medium and further cultured for 7 and 12 days for ALP staining; 7 and 14 days for Alizarin red staining.
Medium was changedevery 2 or 3 days until the terminal assay.Cells were washed with Dulbecco’s PBS and fixed with 10% neutral buffered formalin (Sigma Aldrich), andincubated with 800 μl NBT/BCIP solution (one tablet in 10 ml double distilled water) for ALP staining.
For detection of mineralization, cells were incubated with Alizarin Red S solution (1 gr Alizarin Red S powder in 50 mL double distilled water; pH 4.1 to 4.3). Images analysis was performed using ImageJ version. 1.47v.
RNA Isolation
Cells at a density 9 x 104/well were plated on a 6-well plate and incubated for 2 days. Medium was replaced by osteogenic differentiation medium. Total RNA was extracted at day 7 and 12 after osteogenic differentiationusing Trizol following the manufacturer’s instructions. Cellswere lysed with Trizol reagent and homogenized by pipetting several times. RNA was separated by using chloroformfollowed by isopropanol precipitation at 4°C for about1–4 hours. The pellet was suspended by double-distilledH2O or nuclease-free water and stored at −20°C prior to use.Concentration and purity level (A260:A280) was determinedby optical density measurement using a spectrophotometer(BioRad, Hercules, CA) at a 260 nm and 280 wavelength.
Reverse Transcription Polymerase Chain Reaction (RT PCR)
Initially, RNA was incubatedat 65°C for 10 minutes. RT-PCR was performed using 1 μg of total RNA as a template, master mix contains 5μL of 5X Buffer AMV Reverse Transcriptase, 2.5μL of dNTP mix 10mM, 1 μL of Oligo dT 500 μg/mL, 0,5 μL of RNasin® Ribonuclease Inhibitor 40 U/μL, 0,5 μL of AMV Reverse Transcriptase 10 U/μL, and nuclease free water to a final volume of 25μL.Then the suspension was incubated forhybridizationat 30°C for 10 minutes, reverse transcriptionat 45°C for 45 minutes, denaturation at 99°C for 5 minutes,and continued at 6°C for 5 minutes. The reverse transcription product, cDNA, was stored at −20°C or amplified directly in the next PCR process. cDNA amplification was performed using primers whose sequences obtained from previously researches. These primers base pairs and melting temperature were determined through UCSC Genome Bioinformatics website. The details of primers were summarizedin Table 1. PCR reactions were performed ina 25 μL mixture of solutioncontaining 12.5 μL of Go Taq Green master mix, 2,5μL ofa pair ofprimerstarget genes with a final concentration of 10 μM, 3 μL of cDNA, and double-distilledH2O. Conditions of PCR consistedof initial denaturation at 95°C for 3 minutes, 30 – 35 cyclesof denaturation at 95°C for 15 – 60 seconds, primer annealing at 52 – 64°C for 30 – 60 seconds, elongation at 64 – 72°C for 30 – 120 seconds, and additional elongation at 72°C for 10 minutes.
Table 1: Primers used in RT PCR
| Gene name | Sequence (5’ – 3’) | Size (bp) | Reference |
| ERα | Fw: ACCATTGACAAGAACCGG AGRv: CCTGAAGCACCCATTTCATT | 170 | Kipp, J. L et al. (2007) |
| ERβ | Fw: TGTGTGTGAAGGCCATGATTRv: TCTTCGAAATCACCCAGA | 138 | Kipp, J. L et al. (2007) |
| Runx2 | Fw: ACAACCACAGAACCACAAGRv: TCTCGGTGGCTGGTAGTGA | 106 | Takahashi, T. (2011) |
| BMP-2 | Fw: CCAAGAGACATGTGAGGATTRv: TTAGTGGAGTTCAGGTGGTC | 304 | Su, J-L et al. (2010) |
| β –actin | Fw: AGAGGGAAATCGTGCGTGACRv: CAATAGTGATGACCTGGCCGT | 138 | DLBS |
The PCR products were analyzed on 2% agarose gel andvisualized by ethidium bromidestaining.Reverse transcription polymerase chain reactions were done using the PCR iCycler (BioRad). Analysis of cDNA intensity byImage J Imaging System software (v 1.24; National Institutes of Health, Bethesda, MD). Relative mRNA expression was calculated using following formula:
![]()
RESULTS
Identification of Anthraquinone and Stilbena compounds
Observation of TLC fingerprint is shown in Figure 1. Strong blue fluorescent zone at Rf. 0.48 to 0.53 is estimated as stilbenes and a bright yellow fluorescent at Rf. above 0.9 is expected as anthraquinones. According to Wagner, Bauer, Melchart, Xiao, & Staudinger (2011), desoxyrhaponticin and rhaponticin, which are stilbene derivatives (detected only in Rheum raponticum), will produce strong blue fluorescentunder UV 366 nm at Rf. 0.4 to 0.5.The bright yellow compounds, detected in all kinds of Rheum species,under solvent frontare anthraquinone aglycones such as chrysophanol (Rf. 0.93) overlappedby aloe emodin (Rf. 0.89), and red zoneat Rf.0,52 is estimated as physcion glucoside.
MTS Assay
The results of toxicity tests showed that the extract have no toxicity after 48 hours. The number of living cells began to decrease after incubation with the extract for 72 hours. Reduced number of living cells is directly proportional to the increase in concentration of the extract. MTS assay results are presented in Figure 2
Alkaline Phosphatase
Alkaline phosphatase is a marker of osteoblast differentiation and is considered to play a role in the mineralization process. Observation of the formation of alkaline phosphatase to be done on the day 7 and day 12 for alkaline phosphatase began to form in significant amounts after day 3 (Beck, Zerler, & Moran, 2000).
The formation of alkaline phosphatase can be seen in Figure 3. Results of density measurements are presented in Figure 3.

Fig. 1: Thin Layer Chromatography of rhaponticin in Kelemabak root extract.

Fig. 2: MTS Assay after 48 hrs and 72 hrs

Fig. 3: Alkaline phosphatase staining

Fig. 4:.Measurement of alkaline phosphatase by Image J
According the data, it can be seen that the amount of alkaline phosphatase is time dependent if we compare day 7 to day 12. However, theytend to decrease the amount of alkaline phosphatasewith the increasing of dose. It can be concluded that the reduced number of alkaline phosphatase caused by the reduced number of living cells induced toxicity extract increases with increase in dose and increasing incubation time in the cell extract
Expression of Runx2, BMP-2, ER α, and ER β


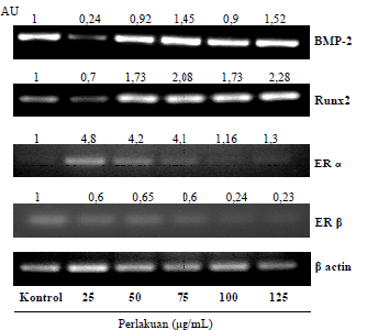
The results of RT PCR of mRNA from 3T3 L1 cells on day 7 and 12 are shown in Figure 6a and 6b.
Fig. 5: Expression of Runx2, BMP-2, ERα, and ER β(a) on day7 and (b)on day 12.
Note: AU (Arbitrary Unit): multiples relative intensity of mRNA expression extract treatment on the relative intensity of mRNA expression of control
Based on the data above, it seen that the expression of Runx2, BMP-2, and ER α at day 12 was higher than the day 7. Runx2 expression rose during the process of differentiation and begins to decline when the osteoblast maturation process (Komori, 2010). Maturation occurs after day 2 to day 14 (Wiren, Evans, & Zhang, 2002; Beck, Zerler, & Moran, 2001). ER α expression also rose during osteoblast differentiation (Manu, 2004; Wiren, Evans, & Zhang, 2002) and decreases when mineralization (Wiren, Evans, & Zhang, 2002),
In Figure 5, can be seen that the relative expression of Runx2 is directly proportional to the BMP-2 but inversely with ER α. ER β expression tends to decrease with increasing concentration of the extract but no apparent correlation between Runx2, BMP-2, and ER α.BMP-2 induces osteoblast differentiation through increased expression of Runx2. While the process of bone formation occurs through ER α but not ER β (Lee, Kim, & Choi, 2012; Hertrampf et al., 2008; Nakamura et al., 2007, Manu, 2004; Wiren, Evans, & Zhang, 2002). Runx2 expression is inversely related to the expression of ER α because according Jeong et al (2010), expression of ER α inhibit Runx2 transactivation (Jeong et al, 2010).
Runx2 is modulated by ER α and ER α-bound estradiol interact strongly with Runx2 and inhibits Runx2 activity at the late stage of differentiation, but at the beginning of differentiation (day 4), estrogen through ER α, little (weak) stimulates Runx2 (Khalid et al, 2008). So it can be concluded that the effective concentration of the extract to enhance osteoblast differentiation is concentration can increase the expression of Runx2 (including BMP-2), as well as raise the level of the enzyme alkaline phosphatase and decreased the expression of ER α.
CONFLICT OF INTERESTS
Declared None
REFERENCE