
Pharmacology Department, Medical Division, National Research Centre, Cairo, Egypt
Email: dr_rosha81@yahoo.com
Received: 25 Apr 2016 Revised and Accepted: 20 June 2016
ABSTRACT
Objective: This study investigated the possible neuroprotective effects of Ginkgo biloba on cerebral ischemia-reperfusion (I/R) injury in ovariectomized rats.
Methods: Rats were randomly allocated into 5 groups as follows: Sham-operated group, Ovariectomized group (OVX), Cerebral I/R injury ovariectomized group (OVX+I/R) and two treated groups given Ginkgo biloba leaves extract in two doses [(OVX+I/R)+Gin50 and (OVX+I/R)+Gin100] for one month starting one month after ovariectomization. Two months after ovariectomization, cerebral I/R injury was induced. 24 h later, blood and brain samples were collected.
Results: Ginkgo biloba (50 and100 mg/kg) significantly decreased concentrations of TNF-α, MDA and NO, increased GSH concentration in serum and brain tissue and improved the histopathological pictures of treated rats when compared to ovariectomized cerebral I/R injury group. The effect of Ginkgo biloba high dose was better than the low dose.
Conclusion: Thus the study suggests Ginkgo biloba as a potent supplement for protection against cerebral I/R injury in estrogen deficient females, after full clinical evaluation. The proposed mechanisms include neuroprotective, anti-inflammatory and anti-oxidant actions.
Keywords: Ginkgo biloba, Cerebral, Ischemia-Reperfusion injury, Ovariectomy, Rats
© 2016 The Authors. Published by Innovare Academic Sciences Pvt Ltd. This is an open access article under the CC BY license (http://creativecommons.org/licenses/by/4.0/)
INTRODUCTION
Premenopausal females exhibit a lower susceptibility to many cardiovascular and cerebrovascular diseases than males and postmenopausal females. This apparent protection is diminished and even lost, within ten years of menopause [1]. Brain damage after stroke in female animals is less when compared with their age-matched males, and this beneficial effect disappears with depletion of endogenous ovarian steroidal hormones [2]. Neuroprotection in premenopausal females may be attributed to higher levels of circulating estrogens; principally 17b-estradiol (E2). E2 is the most potent endogenously synthesized and secreted ovarian estrogen. During aging; neuroinflammation is a common feature of many cerebrovascular disorders, and is often associated with the release of pro-inflammatory cytokines and chemokines [3]. This neuroinflammatory response is referred to as “inflamm-aging” [4]; where blood levels of IL-6 and TNF-α significantly increase [5, 6], causing chronic subclinical inflammation that may lead to neurodegeneration and cognitive decline [7]. In young and middle-aged ovariectomized rodents, a model used to mimic surgical menopause, pro-inflammatory cytokine production increased in several injury models in both the central and peripheral nervous systems, whereas treatment with E2 attenuated this increase in cytokine production [8, 9]. Furthermore, inflammatory changes produced during menopause can stimulate innate immune responses in the brain and aggravate ischemic damage [10]. Despite the fact that the risk of cerebrovascular events rises in women after menopause [11], and that the efficacy of postmenopausal estrogen replacement therapy (ERT) in stroke prevention is still controversial, However, ERT successfully reduces the risk of cardiovascular disease [12]. The anti-inflammatory activities of E2 are mainly mediated in the brain tissue by the estrogen receptors (ER); ERα and ERβ [13, 14].
Mechanical recanalization or thrombolysis leads to restoration of blood flow following ischemic stroke [15]. Unfortunately, reperfusion may exacerbate the ischemic injury in some patients, causing what is known as “Cerebral Reperfusion Injury”. Cerebral reperfusion injury is the deterioration of ischemic but salvageable brain tissue after reperfusion [16, 17]. The pathogenesis of this injury includes post-ischemic hyper-perfusion, destruction of the blood–brain barrier, leukocyte infiltration and\or platelet activation [18].
Ginkgo (the maidenhair tree) is among the oldest living species of trees on earth and that's why it is called the "living fossil". Ginkgo belongs to the family Ginkgoaceae that flourished in large forests over 150 million years and is currently grown around the world for purposes [19]. Ginkgo tree leaves and seeds have been used for medicinal purposes since 1509 A. C. In traditional Chinese medicine, the extract of Ginkgo leaves has been used to treat circulatory disorders, cognitive problems, asthma, tinnitus and vertigo [20]. Highly-concentrated and stable extracts from Ginkgo leaves, have been extracted and standardized successfully, in the early 1970s by Dr. Willmar Schwabe Pharmaceuticals (Karlsruhe, Germany) [21]. The constituents of the standardized extract from the leaves of the Ginkgo biloba tree, labeled EGb761, are as follows: 24% flavonoid glycosides, 6% terpenoids and 5–10% organic acids. The pharmacologically active constituents of EGb761 are flavonoids and terpenoids [22, 23]. Nowadays, film-coated tablets, oral liquids or injectable solutions of EGb761 can be purchased and are one of the most commonly taken herbal medicines worldwide [24]. In Germany EGb761 has been approved for treatment and prevention of cerebral insufficiency, neurodegenerative dementias associated with ageing as Alzheimer’s disease, peripheral vascular diseases, intermittent claudication, neurosensory problems as tinnitus and vertigo [25, 26]. Ginkgo is also called the "Brain Herb," it has been studied for the treatment of cerebral atherosclerosis, cerebral insufficiencies and depression [27]. The role of EGb761 in neuropsychopharmacology has been demonstrated by Dua et al. (2009)[28]. Many studies revealed that EGb761 has antioxidant and free radical scavenging effects [29]. EGb761 directly attenuates reactive oxygen species (ROS) and stabilizes the cellular redox state by up-regulating the activity of antioxidant enzymes [30]. Moreover, EGb761 enhances the activity of glutathione reductase and gamma-glutamylcysteinyl synthetase, the main enzymes essential for reduction and synthesis of glutathione (GSH) [31]. Also anti-apoptotic, anti-inflammatory activity [32, 33], protection against mitochondrial dysfunction [34, 35], and induction of growth factors [36] are proposed mechanisms of action of EGb761.
Therefore, the aim of the current study is to elucidate the neuroprotective effects of Ginkgo biloba leaves extract (EGb761) on cerebral ischemia-reperfusion injury induced experimentally in ovariectomized rats.
MATERIALS AND METHODS
Animals
Adult female albino rats, weighing 250-280 g, were used in the present study. The animals were obtained from the Animal House Colony of National Research Center (Dokki, Cairo, Egypt) and were housed under conventional laboratory conditions throughout the period of the experimentation. Animals were provided with standard laboratory food pellets and tap water ad libitum. The study was conducted in accordance with the National Research Centre-Medical Research Ethics Committee (NRC-MREC) for the use of animal subjects and followed the recommendations of the National Institutes of Health Guide for Care and Use of Laboratory Animals [37].
Rats were anesthetized with thiopental sodium (20 mg/kg; ip) and then ovariectomized according to the method described by Turner et al. (2000) [38]. Sham-operated control group of animals was also included. Drug administration was started one month after ovariectomization and continued for another month.
Drugs
Ginkgo biloba leaves extract (Ginko capsules®; Arab company for pharmaceutical and medicinal plants, MEPACO-MEDIFOOD, Egypt) were used in the current study in doses of 50 and 100 mg/kg/day, p. o. [39, 40]. All other chemicals were of the highest available commercial grade.
Ovariectomy
Rats were anesthetized with thiopental sodium (20 mg/kg; i. p.) and then ovariectomized according to the method described by Turner et al. (2000) [38].
Cerebral ischemia induction
Two months after the operation, animals were starved for 12 h before surgery and then anesthetized with thiopental (20 mg/kg; i. p.). A longitudinal cervical incision (2 cm) was made lateral to the midline and the common carotid artery (CCA) was carefully dissected. Ischemia was induced by placing nontraumatic microvascular clip on left CCA just prior to its bifurcation [41]. During ischemia, rats were monitored for body temperature constant at 36.5±0.5˚C using a heating pad and respiration pattern. The vascular occlusion was maintained for 30 min, and then the clips were removed to resume blood flow to the ischemic region for 24 h [42]. Finally, the incisions were sutured, the animal was allowed to recover from anesthesia, and returned to a warm cage for recuperation during reperfusion period for 24 h.
Experimental design
Rats were randomly allocated into 5 groups (8-12 rats each):
Group I: Sham-operated rats.
Group II: Ovariectomized rats [OVX] that received one ml tab water daily one month after ovariectomization and continued for another month.
Group III: Ovariectomized rats that weren't treated and underwent cerebral ischemia-reperfusion injury [OVX+I/R] 2 mo after ovariectomization.
Group IV: Ovariectomized rats treated one month after ovariectomization with Ginkgo biloba leaves extract (50 mg/kg/day; p. o.). Treatment continued for another month followed by cerebral ischemia-reperfusion injury [(OVX+I/R)+Gin50].
Group V: Ovariectomized rats treated one month after ovariectomization with Ginkgo biloba leaves extract (100 mg/kg/day; p. o.). Treatment continued for another month followed by cerebral ischemia-reperfusion injury [(OVX+I/R)+Gin100].
Biochemistry
At the end of the experiment, blood samples were withdrawn from the retro-orbital venous plexus of 18 h food-deprived rats. Collected blood samples were allowed to stand for 10 min at room temperature then centrifuged at 4oC using cooling centrifuge (Laborezentrifugen, 2k15, Sigma, Germany) at 3000 r. p. m for 10 min and sera were separated for the assessment of serum level of malondialdehyde (MDA), Nitric oxide (NO) metabolites, tumor necrosis factor alpha(TNF-α) expression and reduced glutathione (GSH) according to the methods adopted by Ruiz-Larrea et al. (1994)[43], Miranda et al.(2001)[44], Brouckaert et al.(1993)[45] and Ellman (1959) [46]and modified by Bulaj et al. (1998)[47] respectively using commercially available kits (Biodiagnostic, Egypt).
Tissue sampling
Directly after collecting the last blood sample in the experiment, rats were decapitated under light diethyl ether–anesthesia and their brain were carefully isolated and dissected through the midline into two hemispheres. 0.5g of the affected hemisphere was homogenized (using MPW–120 homogenizer, Med instruments, Poland); the homogenate was centrifuged using a cooling centrifuge (Laborezentrifugen, 2k15, Sigma, Germany) at 3000 r. p. m for 10 min; the supernatant was taken for the determination of brain level of MDA, NO metabolites, TNF-α expression and GSH according to the methods adopted by Ruiz-Larrea et al. (1994)[43], Miranda et al.(2001)[44], Brouckaert et al.(1993)[45] and Ellman (1959)[46] and modified by Bulaj et al.(1998) [47] respectively using commercially available kits (Biodiagnostic, Egypt).
Histopathological examination
Brain tissues from different groups were immediately fixed in 10% neutral buffered formalin and embedded in paraffin wax. 4 µm thick sections were stained with Hematoxylin and Eosin (H & E) and examined using binocular Olympus CX31 microscope [48].
Statistical analysis
All the values are presented as means±standard error of the means (SE). Comparisons between different groups were carried out using one-way analysis of variance (ANOVA) followed by Tukey’s multiple comparison post hoc tests. The difference was considered significant when p˂0.05. GraphPad prism®software (version 6.00) was used to carry out these statistical tests.
RESULTS
Effect of Ginkgo biloba leaves extract on serum biochemical parameters
Cerebral I/R injury in ovariectomized rats resulted in a significant elevation in serum concentration of MDA, NO metabolites and TNF-α and a significant decrease in serum concentration of GSH when compared to either sham-operated or ovariectomized groups. Administration of Ginkgo biloba leaves extract (50 and 100 mg/Kg/day; p. o.) improved all the aforementioned parameters, and the effect of high dose was better than the low dose. Ginkgo biloba leaves extract (50 mg/Kg/day; p. o.) managed to decrease the elevated serum concentration of MDA, NO metabolites and TNF-α to 71%, 82% and 67% respectively when compared to ovariectomized rats undergoing cerebral I/R injury.
Moreover, Ginkgo biloba leaves extract (50 mg/Kg/day; p. o.) succeeded to elevate the diminished serum GSH concentration to156 % when compared to ovariectomized rats undergoing cerebral I/R injury. While Ginkgo biloba leaves extract (100 mg/Kg/day; p. o.) managed to decrease the elevated serum concentration of MDA, NO metabolites and TNF-α to 66%, 61% and 24% respectively when compared to ovariectomized rats undergoing cerebral I/R injury. Moreover, Ginkgo biloba leaves extract (100 mg/Kg/day; p. o.) succeeded to normalize the diminished serum GSH concentration and elevated it to 252 % when compared to ovariectomized rats undergoing cerebral I/R injury (table 1).
Table 1: Effect of Ginkgo biloba leaves extract (50 and 100 mg/Kg/day; p. o.) on serum concentration of GSH, MDA, NO metabolites and TNF-α after cerebral ischemia-reperfusion injury in ovariectomized rats
| Groups | Serum parameters |
| GSH (µmol/ml) | |
| Sham-operated | 22.02±1.76 |
| OVX | 22.18±1.75 |
| (OVX+I/R) | 9.41a,b±0.61 |
| (OVX+I/R)+Gin50 | 14.71±0.57 |
| (OVX+I/R)+Gin100 | 23.68c±2.73 |
The administration of drugs was started one month after ovariectomization and continued for another month, followed by cerebral ischemia-reperfusion injury, Data is presented as mean±SE (n=10). aSignificantly different from the sham-operated group at p<0.05 (Tukey’s post hoc test). bSignificantly different from OVX group at p<0.05 (Tukey’s post hoc test). cSignificantly different from OVX+I/R group at p<0.05 (Tukey’s post hoc test).
Table 2: Effect of Ginkgo biloba leaves extract (50 and 100 mg/Kg/day; p. o.) on brain tissue concentration of GSH, MDA, NO metabolites and TNF-α after cerebral ischemia-reperfusion injury in ovariectomized rats
| Groups | Brain tissue parameters |
| GSH (µmol/g tissue) | |
| Sham-operated | 6.28±0.31 |
| OVX | 5.65a±0.44 |
| (OVX+I/R) | 4.00b±0.03 |
| (OVX+I/R)+Gin50 | 4.50a±0.05 |
| (OVX+I/R)+Gin100 | 6.27c±0.42 |
The administration of drugs was started one month after ovariectomization and continued for another month, followed by cerebral ischemia-reperfusion injury, Data is presented as mean±SE (n=10). aSignificantly different from the sham-operated group at p<0.05 (Tukey’s post hoc test). bSignificantly different from OVX group at p<0.05 (Tukey’s post hoc test). cSignificantly different from OVX+I/R group at p<0.05 (Tukey’s post hoc test).
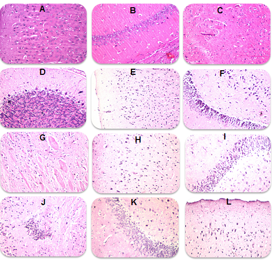
Histopathological examination of brain tissue

Fig. 1: Photomicrographs of brain sections (H & E X 200); prepared from (A-B) a sham-operated rat showing no histopathological alteration and the normal histological structure of the meninges, cerebral cortex, hippocampus, striatum, and cerebellum were recorded. (C-D) an ovariectomized rat is showing minimal alteration in the overall histopathological picture of the brain. The normal histological structure of the meninges, cerebral cortex, hippocampus, striatum and cerebellum was observed. (E-G) an ovariectomized rat where cerebral I/R injury has been experimentally induced showing degeneration and nuclear pyknosis in the neurons of the cerebral cortex, and in the hippocampus. Focal eosinophilic plagues formation was clearly observed in the striatum. (H-J) an ovariectomized rat with cerebral I/R injury and treated with Ginkgo biloba leaves extract (50 mg/Kg/day; p. o.) showing moderate degeneration and nuclear pyknosis in some neurons of the cerebral cortex, as well as the hippocampus. Focal gliosis was detected in the cerebrum. (I-K) an ovariectomized rat with cerebral I/R injury and treated with Ginkgo biloba leaves extract (100 mg/Kg/day; p. o.) showing an improved overall histopathological features where the hippocampal neurons showed normal histological structure, while the cerebral cortex showed minimal neuronal pyknosis
Effect of Ginkgo biloba leaves extract on brain tissue parameters
Cerebral I/R injury after ovariectomization resulted in a significant elevation in brain tissue concentration of MDA, NO metabolites and TNF-α and a significant decrease in brain tissue concentration of GSH when compared to either sham-operated or ovariectomized groups. Administration of Ginkgo biloba leaves extract (50 and 100 mg/Kg/day; p. o.) improved all the aforementioned parameters and the effect of high dose was better than the low dose. Ginkgo biloba leaves extract (50 mg/Kg/day; p. o.) decreased the elevated brain tissue concentration of MDA, NO metabolites and TNF-α to 87%, 79% and 74% respectively when compared to ovariectomized rats undergoing cerebral I/R injury. Moreover, Ginkgo biloba leaves extract (50 mg/Kg/day; p. o.) elevated the diminished brain tissue GSH concentration to 113% when compared to ovariectomized rats undergoing cerebral I/R injury.
While, Ginkgo biloba leaves extract (100 mg/Kg/day; p. o.) normalized the diminished brain tissue GSH concentration and decreased the elevated brain tissue concentration of MDA, NO metabolites and TNF-α to 77%, 56% and 52% respectively when compared to ovariectomized rats undergoing cerebral I/R injury. Ginkgo biloba leaves extract (100 mg/Kg/day; p. o.) succeeded to normalize the diminished serum GSH concentration and elevated it to 157% when compared to ovariectomized rats undergoing cerebral I/R injury (table 2).
DISCUSSION
In the present study, ovariectomization of rats resulted in the elevation of serum and brain tissue concentration of anti-inflammatory parameters as TNF-α; oxidative stress parameters as MDA and NO metabolites and a decrease in antioxidant parameters as GSH. These changes are attributable to the loss of the estrogen and its evident neuroprotection. Estrogen exerts its neuroprotective actions through different mechanisms; the antioxidant free-radical scavenging pathway being the most important [49]. The formation of ROS in cases of estrogen depletion plays a major role in the ischemic damage [50]. Arslan et al. (2011) stated that that ovariectomization in rats lead to an elevation in plasma concentrations of MDA and NO metabolites [51]. Also, Ozacmak and Sayan (2009) added that ovariectomization in rats lead to a decline in GSH concentrations along with the elevation in MDA concentrations in the striatum, hippocampus, and cortex when compared to normal rats [50]. Moreover, ovariectomization caused a minimal change in the histological structure of the brain tissue, and the overall histopathological picture of the ovariectomized group was normal when compared to the sham-operated group. This data is in agreement with Aly et al. (2011) who demonstrated that ovariectomized rats showed normal histopathological features [52].
The present study showed that cerebral I/R injury induced deleterious biochemical changes in serum as well as in the brain tissue and caused substantial brain injury. In ovariectomized rats undergoing cerebral I/R injury; serum and brain tissue concentration of inflammatory parameters as TNF-α; oxidative stress parameters as MDA and NO metabolites were significantly elevated whereas serum and brain tissue concentration of antioxidant parameters as GSH was significantly decreased when compared to ovariectomized group. The histopathological picture of ovariectomized rats undergoing cerebral I/R injury showed degeneration and nuclear pyknosis in the neurons of the cerebral cortex and in the hippocampus. Focal eosinophilic plagues formation was clearly observed in the striatum. Although significant cerebral damage occurs during an ischemic episode, further brain damage can occur after blood flow restoration [53].
Previous studies reported that cerebral I/R injury caused deleterious events in young and adult rats [41, 54]. One possible mechanism for brain damage that occurs during reperfusion involves generation of ROS [55]. Reduced glutathione (GSH) is an endogenous antioxidant scavenging free radicals and protecting against ROS and oxidative stress. Preserving GSH-mediated antioxidant defense is critical for cell survival [56]. Damage to membrane lipids, specifically lipolysis during ischemia and free radical-mediated peroxidation of polyunsaturated fatty acids during reperfusion [57] and MDA production; which is the end product of lipid peroxidation, as well as significant increase in its concentration in brain tissue leads to many of the outcomes observed in cerebral I/R injury [41]. Ozacmak and Sayan reported that MDA concentration in brain tissue samples increases significantly in cerebral I/R injury accompanied by a significant decrease in GSH levels in the hippocampus when compared to the ovariectomized group [50].
The present study demonstrated that serum and brain levels of NO metabolites were significantly elevated in cerebral I/R injury group when compared to ovariectomized group. The formation of NO metabolites increase in brain injury, where the L-arginine-NO pathway is activated by the increased levels of cytokines and endotoxins [42]. Morikawa et al.(1992) and Yamamoto et al.(1992) demonstrated a significant increase in NO production by cerebral vascular endothelial cells, which might have exerted a neuroprotective effect in focal cerebral ischemia by increasing blood flow to marginally ischemic tissues [58, 59].
It has been well established that during brain ischemia, pro-inflammatory cytokines such as TNF-α, IL-1β, IL-6, are vastly produced by different activated cell types as endothelial cells, microglia, astrocytes, and neurons [60]. Hindering the production of these pro-inflammatory cytokines would be an important approach to protecting against ischemic brain injury. In the present study, we observed that TNF-α expression was significantly elevated in cerebral I/R injury group when compared to ovariectomized group. This data is in agreement with Brown et al. (2010) who stated that a series of pro-inflammatory cytokines and chemokines are induced in cerebral injury [3]. Jin et al. (2015) demonstrated that TNF-α was highly expressed in ischemic brain injury in rats and was significantly reduced after treatment [61]. Silva et al. (2015) also observed marked cytokine and chemokine up-regulation (IL-1 and TNF-α) after cerebral I/R injury in mice [62].
Administration of Ginkgo biloba leaves extract (50 mg/Kg/day; p. o.) significantly decreased the elevated serum and brain tissue concentrations of TNF-α, MDA and NO metabolites. It also increased serum and brain tissue concentration of GSH when compared to ovariectomized cerebral I/R injury group. The histopathological picture of rats treated with Ginkgo biloba leaves extract (50 mg/Kg/day; p. o.) showed moderate degeneration and nuclear pyknosis in some neurons of the cerebral cortex as well as the hippocampus. Focal gliosis was also detected.
Ginkgo biloba leaves extract (100 mg/Kg/day; p. o.) improved and almost normalized all the biochemical parameters measured in sera and brain tissues. Moreover, an improvement in the overall histopathological features was noted in rats treated with Ginkgo biloba leaves extract (100 mg/Kg/day; p. o.); where the hippocampal neurons showed the normal histological structure and the cerebral cortex showed minimal neuronal pyknosis. It was clear that the effects of the high dose were better than the low dose.
Previous preclinical studies support the hypothesis that Ginkgo biloba may be effective in the treatment and prevention of age-related neurodegenerative disorders [27]. Many studies have proposed that the beneficial action of Ginkgo biloba leaves extract was mainly due to its free-radical scavenging effect [29]. Wei et al.(2000) demonstrated that pretreating cerebellar granule cells with Ginkgo biloba effectively caused attenuation of oxidative damage triggered by hydrogen peroxide/ferrous sulphate (H2O2/FeSO4) [63]. In another study, Ginkgo biloba was found to be able to attenuate the basal as well as the induced levels of H2O2-related ROS [60]. In addition to the direct reduction of ROS, Ginkgo biloba also stabilized the cellular redox state by up-regulation of activity of antioxidant enzymes [30]. Ginkgo biloba increased the activity of superoxide dismutase and catalase in rat hippocampus [64]. Ginkgo biloba also enhanced the activity of two enzymes essential for reduction and synthesis of GSH, which are glutathione reductase and gamma-glutamylcysteinyl synthetase [31]. The flavonoid fraction of Ginkgo biloba is suggested to be mainly responsible for its antioxidant properties [31]. Moreover, Ginkgo biloba has been proved to have anti-inflammatory effects. These effects may be due to the combined actions of its contents: ginkgolide and flavonoid [33]. Ginkgo biloba inhibits the production of pro-inflammatory cytokines TNF-α and IL-1 in rats [65]. Other mechanisms may also be involved in neuroprotective actions of Ginkgo biloba including its anti-apoptotic effect, protection against mitochondrial dysfunction, amyloidogenesis, and induction of growth factors [27].
CONCLUSION
In conclusion, the current study revealed that cerebral ischemia-reperfusion injury induced severe deleterious serum and brain tissue biochemical changes as well as brain histopathological changes in ovariectomized rats lacking the neuroprotective features of estrogen. Ginkgo biloba leaves extract given in two doses (50 and 100 mg/kg/day, p. o.) for one month before induction of cerebral I/R injury in ovariectomized rats markedly decreased the elevated serum and brain tissue concentration of inflammatory parameters as TNF-α and serum and brain tissue concentration of oxidative stress parameters as MDA and NO metabolites. On the other hand, serum and brain tissue concentration of antioxidant parameters as GSH was significantly elevated in rats treated with Ginkgo biloba. Ginkgo biloba also improved the overall histopathological pictures of rats when compared to ovariectomized cerebral I/R injury group. Thus the study suggests Ginkgo biloba as a potent protective agent against cerebral I/R injury in ovariectomized rats. This may give an insight to protection against cerebral I/R injury effects in estrogen deficient females either due to reproductive senescence or depletion of endogenous estrogens. The proposed neuroprotective mechanisms of action of Ginkgo biloba include its anti-inflammatory and anti-oxidant actions.
ABBREVIATION
Ischemia-reperfusion (I/R), 17b-estradiol (E2), Estrogen replacement therapy (ERT), Reactive oxygen species (ROS), Common carotid artery (CCA), Malondialdehyde (MDA), Nitric oxide (NO), Tumor necrosis factor alpha(TNF-α), Reduced glutathione (GSH).
CONFLICT OF INTERESTS
Declared none
REFERENCES
How to cite this article