
1Centre for Advanced Research in Indian System of Medicine (CARISM), SASTRA University, 2Department of Chemistry, SCBT, SASTRA University
Email: vraman@scbt.sastra.edu
Received: 10 May 2016 Revised and Accepted: 07 Dec 2016
ABSTRACT
Objective: Kāntam based formulations are unique herbo-metallic preparations, used in Siddha system of medicine (Indian traditional medicine) for managing various haematological complications. Their therapeutic doses were also well established in Siddha literature. In this work an attempt was made to understand the comparative effect of three different kāntam formulations in the management of hemolytic complications.
Methods: Hemolysis was induced in Wistar rats by intraperitoneal injection of acetylphenylhydrazine. Three different kāntam formulations (Kāntac centūram1 (K1), Kāntac centūram2 (K2) and Kāntap paṟpam (K3) were administered with proper controls at their therapeutic doses (20.0 mg/day) for a period of 20 d. Cage side observations, hematological, biochemical and histopathological analysis were performed to understand the effect of the formulations.
Results: Cage-side observations revealed that only K1 is effective in curing oral ulcers formed during hemolysis. Haematological analysis revealed the effect of K1 and K3 in regulating reticulocyte maturation and effect of K1, K2 and K3 in the removal of extracellular haemoglobin. Histopathological analysis revealed the effect of K1 in regulating stress erythropoiesis and effect of K1, K2 and K3 in regulating kupffer cells in the liver. Overall, the kāntam formulations demonstrate an appreciable relevance (in managing hemolytic conditions) within the contemporary pharmacological parlance.
Conclusion: Our study demonstrated the effective role of Kāntam formulations in the treatment of hemolytic complications by promoting reticulocyte maturation, removing extracellular haemoglobin, regulating stress erythropoiesis in the spleen, regulating kupffer cells in the liver and preventing oral ulcers. However, all the three formulations did not show all the activities and differ in efficacy profile.
Keywords: Kāntam, Hemolysis, Anti-hemolytic, Kāntaccentūram, Kāntapaṟpam, Herbo-metallic Siddha drug
© 2017 The Authors. Published by Innovare Academic Sciences Pvt Ltd. This is an open access article under the CC BY license (http://creativecommons.org/licenses/by/4. 0/)
DOI: http://dx.doi.org/10.22159/ijpps.2017v9i2.12728
INTRODUCTION
Hemolysis, a mechanism that involves rupture of erythrocytes is relatively rare pathological process seen in some types of poisoning [1], snake bites [2], infections [3, 4], blood transfusions and autoimmune disorders [5]. However, in the recent past, hemolysis has been frequently noted during treatment with a variety of drugs such as cephalosporins, nonsteroidal anti-inflammatory agents, Levaquin, oxaliplatin, teicoplanin, fludarabine, primaquine, phenazo-pyridine, nitrofurantoin, ribavirin, levodopa, mefenamic acid, and diclofenac, procainamide, penicillin, dapsone, rasburicase etc [6, 7]. It is also reported that hemolysis occurs even in regular smokers [8]. The associated pathologies of hemolysis mainly include fever, splenomegaly, hepatomegaly and anemia [9].
The conventional management of autoimmune hemolysis includes corticosteroids and immunosuppressive drugs [10]. Whereas, management of drug/agent-induced hemolytic anemia includes the immediate removal of the offending agent followed by supportive care along with the conventional therapies [6]. Currently, various approaches have been proposed to reduce drug-induced hemolysis such as drug polymer conjugation, modification in molecular chemistry of drug molecules, co-administration of botanical agents, etc., [11]. However, when the hemolysis, irrespective of the cause, gets severe, the treatment is a very challenging task and may results in splenectomy if the patient is not responsive to first line of conventional therapies [12]. Hence the requirement for other alternative drugs is wide open in managing hemolytic complications.
Integration of traditional drugs in combating the side effects produced by conventional drugs is a common strategy in recent times. Sunita Amruthesh et al. reported the radioprotective effects of Tinospora cordifolia in patients on radiotherapy for squamous cell carcinoma [13]. Purvi Vyas et al. demonstrated that administration of Rasayana Avaleha along with chemotherapy and radiotherapy improved the quality of life of cancer patients [14]. A randomised control trial on 214 patients proved that MAK-an Ayurvedic compound is effective in the management of complications of chemotherapy in breast carcinoma [15]. The above-cited reports are only illustrative and not exhaustive.
However, most of the studies incorporated only the herbal formulations from the repertoire of Indian traditional medicine. Besides herbal formulations, Indian traditional medicine is also rich with metals/minerals based drug formulations. These metal-based drugs are popularly called as herbo-metallic preparations as notable quantity of herbs are involved in the preparation of these formulations. They are legally accepted in India and are administered in various government and private medical institutions that adhere to traditional medicines. However, amidst the wider public entrenched in western medicine, there is a deep stigma associated with herbo-metallic drugs as the western medicine does not encourage the use of metals and their derivatives as medicine. This is further fueled by frequent reports of metallic ingredients and associated toxicities observed in traditional Indian drugs. However, as per various Indian traditional systems, the selected metals/minerals are processed using various traditional techniques in the presence of required plant products to attain a form with potent medicinal values. Hence, traditional practitioners claim that herbo-metallic drugs are very potent and safe formulations as they are subjected to rigorous purification and pharmaceutical processing during preparation and are administered in very small quantities [16]. This indicates the need for a detailed pharmacological study of traditional herbo-metallic formulations in animals, particularly focusing on its effect in the management of drug-induced complications.
Siddha, one of the traditional Indian systems of medicine, having a rich source of herbo-metallic formulations is currently practised in parts of Southern India, few places in Sri Lanka, Malaysia and Singapore. Kāntam (iron ore) based traditional formulations are commonly administered in many Siddha institutions (run by both the government and private practitioners) for the management of various haematological complications. Despite the common usage of these formulations among Siddha community, there is an acute paucity of contemporary scientific study on their activity, toxicity and nature.
There are many types of kāntam formulations which have overall similar modes of preparation protocols but differ in their herbal ingredients added during purification and preparation. Moreover, they are believed to have similar pharmacological effects as per the traditional Siddha texts. The dose and administration modes of these formulations are already well established in Siddha literature [17-19]. At present, these formulations are manufactured and marketed by both private and government pharmaceutical companies in India.
As there is no available contemporary reports on the efficacy of any these kāntam formulations, and the therapeutic human dose is well established in Siddha texts, a detailed study on the comparison of the pharmacological activity of different kāntam formulations at specified therapeutic doses will provide a better paradigm for usage of these formulations in the management of hemolytic disorders.
Hence, in the present study, 3 different kāntam formulations (Kāntac centūram1 (K1), Kāntac centūram2 (K2) and Kāntap paṟpam (K3) with same mode of preparation and indicated for treatment of hematological disorders were selected and their effect in management of hemolytic complications were analyzed at their therapeutic doses. Hemolysis induced in Wistar rats by acetyl-phenylhydrazine has been a well-established model for studying hemolytic complications and we have adopted this method for our study.
MATERIALS AND METHODS
Drug preparation
K3 was commercially procured from SKM pharmacy (Batch No. SLG14004) and was used as such. As K1 and K2 were not commercially available, they were prepared at the Siddha and Ayurveda Pharmacy, Centre for Advanced Research in Indian System of Medicine (CARISM), SASTRA University by strictly following the traditional Siddha procedures. The detailed preparation procedures of K1 and K2 are given below.
Preparation of Kāntam formulations
The general preparation protocol of herbo-metallic preparations includes authentication of raw material followed by purification, trituration and calcination. A brief description of the process is given below.
Raw Kāntam was purchased and authenticated using the traditional needle test described in the traditional literature. All the plant materials used in preparation were authenticated by experts at The Rapinat Herbarium, St. Josephs College, Tiruchirapalli, Tamil Nadu, India.
Purification
As per the traditional siddha method, purification involves the process of heating the raw Kāntam to red hot (above 450 °c), followed by quenching in koḷḷuk kuṭinīr (Macrotyloma uniflorum decoction). This process was repeated 21 times as prescribed.
Preparation of K1
Purified Kāntam was ground along with sufficient quantities of 4 different plant juices (banana rhizome (rhizome of Musa paradisiaca) juice, wood apple tree (Limonia acidissima) bark juice, drumstick tree (Moringa oleifera) bark juice and lemon (Citrus limon) juice) one after the other separately for 12 h each. After the final trituration, the mass was made into small pellets and dried under the sun. Dried discs were placed in a shallow earthen pan and covered with an identical pan inverted over it and the edges are sealed with seven layers of clay smeared cloth ribbon. This setup was dried and placed in special kilns and calcination was performed using 300 cow dung cakes. Various stages of preparation are shown in fig. S1.
Preparation of K2
Purified Kāntam was kept soaked in tulsi (Ocimum tenuiflorum) leaf juice for 3 d and ground along with sufficient quantities of Ficus racemosa latex for 48 h each. Then it was processed similar to K2 and calcination was performed using 1000 cow dung cakes.
The difference in K1, K2 and K3 lies in the plant products added during preparation. Our group has earlier reported the nature of kāntam formulation as majorly comprising of polysilicate coated iron oxide[20]. Moreover, the final formulations are completely free from organic content [20].
As the traditional practitioners claim that activity of the formulations are due to the rigorous process involved in the preparation, a negative control consisting of raw kāntam which is processed by not adding any plant products is also included in the study to check whether the activity is solely due to the materials present in raw kāntam or the processes during preparation through the addition of plant products have an impact in its pharmacological activity.
Animals
Adult Wistar rats (6-8 w) of both sexes procured from the Central Animal Facility, SASTRA University were used for this study. The animals were kept at 22±2 °C with a 12 h light/dark cycle, with free access to standard rat pellet diet and water ad libitum. The experimental protocols were performed after obtaining the necessary approval (approval number: 260/SASTRA/IAEC/RPP) from the Institutional Animal Ethical Committee (IAEC) of SASTRA University.
Dose concentration
As the human therapeutic dose of kāntam formulations is already established in the Siddha texts (65 mg/dose for a normal adult with 2-3 times a day orally) [17, 19], Considering the weight of a normal adult as 60 kg, the animal equivalent dose was calculated using allometric dose translations [21].


All three formulations along with the negative were orally administered at 20.0 mg/day with honey as a vehicle.
Experimental procedure
Animals were totally divided into 7 groups with 8 animals in each group. Except for the normal control group, hemolysis was induced in all other groups by intraperitoneal injection of 60 mg/kg of 20 mg/ml acetyl phenylhydrazine (APH) (Sigma-Aldrich) dissolved in 20% (v/v) ethanol on the first experimental day[22]. Folic acid was used as standard drug.
The test drugs were orally administered according to the table 1 shown below. Saruc et al., reported that the hemolysis induced by APH happens on the very first day and lasts for a period of 20 d[23]. So, the drug was administered from the very next day after the induction of APH and continued for a period of 20 d.
Hematology and biochemical analysis
Approximately, 1 ml of blood samples were collected on the 21st day from retro-orbital plexus before sacrifice.
Hematology analysis was performed in whole blood using GENESIS Veterinary Hematology System (Oxford Science).
Table 1: Experimental plan for evaluation of effect of K1, K2 and K3 on APH-induced hemolytic adult Wistar rats
| Group | Drug administration schedule from day1 to day20 |
| Group I (normal control) | Normal water |
| Group II (disease control) | Normal water |
| Group III (standard control) | 1 mg/kg of folic acid dispersed in water |
| Group IV (negative control) | 20 mg/kg of negative control dispersed in honey |
| Group V (K1) | 20 mg/kg of K1 dispersed in honey |
| Group VI (K2) | 20 mg/kg of K2 dispersed in honey |
| Group VII (K3) | 20 mg/kg of K3 dispersed in honey |
The serum was separated by allowing the remaining blood sample to coagulate at room temperature followed by centrifugation at 605 rcf for 10 min. Biochemical analysis was performed in this serum using A 15 auto analyzer (BioSystems).
Histopathology analysis
After sacrifice, the specific organs were isolated, washed with cold saline, weighed and finally fixed in 10% buffered formalin solution for histopathological studies. The fixed tissue was embedded in paraffin and the sections were cut in 3-5μm slices and were stained using haematoxylin and eosin.
The stained tissues were observed under light microscope. The scoring was given to the pathological features seen in the slide with 0 for normal, 1 for minimal, 2 for mild, 3 for moderate,4 for marked and 5 for high.
Statistical analysis
All the results are expressed as mean±SEM (n= 6-8). One way ANOVA, followed by Dunnett’s post hoc test was performed to show the significance of the test results.
RESULTS
Various cage-side observations, haematological investigations, biochemical analysis and histopathological analysis, were performed to understand the effect of kāntam formulations in different organs of test animals and the results are depicted below.
Cage-side observations
No significant change in feed and water consumption was noted in any of the groups. A gradual decrease in body weight of animals from day 0 to day 9 followed by a gradual increase from day 9 to 18 was observed in all the APH-treated groups. Oral ulcers appeared in animals of all the groups injected with APH on the day1. This persisted up to day 6 in disease control, standard, K1, K2 and negative control animals but disappeared on day 3 in K3 treated animals.
No mortality was observed throughout the study in any group of animals.
Hematology and biochemical analysis
Erythrocyte and reticulocyte population
There was a high significant reduction in the population of erythrocytes (fig. 1A) in disease control (4.53 million cells/µl) and negative control treated animals (4.31million cells/µl) compared with normal control group. A mild reduction of erythrocytes was observed in K1, K2, K3 and standard treated animals (6.4–6.6 million cells/µl) compared with normal control animals.
There was a significant increase in reticulocytes (fig. 1B) of all the APH-treated groups. The population of reticulocytes was very high in negative control treated group (>15%), moderately high (10-15%) in disease control and K2 treated groups and slightly high (5-10%) in standard control, K1 and K3 treated groups.

Fig. 1: Effect of kantham formulations on A) Erythrocytes, B) Reticulocytes, C) Mean corpuscular haemoglobin concentration and D) Hematocrit value in APH-treated animals. Results are expressed as mean±SEM (n = 6-8). *p>0.05 vs. vehicle, #p<0.05 vs. vehicle, ⌘ p<0.01 vs. vehicle,+p<0.001 vs. vehicle (One way ANOVA was followed by Dunnett’s post hoc test); NC-Normal control, DC-Disease control, SC-Standard control, Neg. C–Negative control
Erythrocyte morphology
MCV (Mean Corpuscular Volume) (Shown in fig. 2A) values were significantly high (>70 fl/cell) in all APH-treated groups compared with normal control.
MCH (Mean Corpuscular Hemoglobin) (shown in fig. 2B) value was very high in disease control (28.6pg/cell) and negative control treated animals (30.1pg/cell) whereas moderately high in standard (20.92pg/cell), K1 (21.14pg/cell), K2 (22.15pg/cell) and K3 treated animals (21.16pg/cell) compared with normal control.
MCHC (Mean Corpuscular Hemoglobin Concentration) values (fig. 1C) are significantly high in disease control (39.4 g/dl) and negative control treated (36.57 g/dl) groups. But no significant difference is observed in all other groups compared with normal.

Fig. 2: Effect of kantham formulations on A) MCV, B) MCH, C) Haemoglobin % and D) Platelets in APH-treated animals. Results are expressed as mean±SEM (n = 6-8). *p>0.05 vs. vehicle, #p<0.05 vs. vehicle, ⌘ p<0.01 vs. vehicle,+p<0.001 vs. vehicle (One way ANOVA was followed by Dunnett’s post hoc test); NC-Normal control, DC-Disease control, SC-Standard control, Neg. C–Negative control

Fig. 3: Effect of kāntam formulations on A) Total number of leukocytes, B) Total number of neutrophils, C) Total number of lymphocytes and D) Total number of monocytes in APH-treated animals. Results are expressed as mean±SEM (n = 6-8). *p>0.05 vs. vehicle, #p<0.05 vs. vehicle, ⌘ p<0.01 vs. vehicle,+p<0.001 vs. vehicle (One way ANOVA was followed by Dunnett’s post hoc test); NC-Normal control, DC-Disease control, SC-Standard control, Neg. C–Negative control
Total haemoglobin levels
Significant reduction of hematocrit value (fig. 1D) is noticed only in disease control (32.86 %) and negative control treated group (35.45%). But no significant variation was observed in all other groups compared with the normal. Despite the significant change in hematocrit value and erythrocyte count, no significant changes were observed in total haemoglobin concentration (Shown in fig. 2 C).
Platelets
Platelet count (Shown in fig. 2D) was found to be normal in all the animals compared with normal control.
Leukocytes
A significant increase in total leukocytes (fig. 3A)(18.04 thousand cells/µl) with increased neutrophils (fig. 3B) (5.3467 thousand cells/µl) and monocytes (fig. 3D) (1.133thousand cells/µl) was observed in animals of the disease control group. However, lymphocyte count (fig. 3C) remained unaffected in this group.
In contrast to this, a significant decrease in population of leukocytes (7.6-9.3 thousand cells/µl) and lymphocytes were noted in K1, K2, K3 and standard treated groups. Both neutrophil and monocyte counts were unaffected in all these groups.
Negative control treated group showed an increase in neutrophil population (4.22 thousand cells/µl) and monocyte population (0.63 thousand cells/µl) without any significant change in leukocyte and lymphocyte population.
No significant change was observed in the population of eosinophils and basophils in all other groups as compared to normal control.
Biochemical analysis
No significant difference was noted in the glucose levels, total and direct bilirubin levels in all the APH-treated groups as compared with the normal control group.
Histopathological analysis
Spleen
Tissue sections of spleen were observed under various magnifications (4X, 10X, 40X and 100X) and the scoring was done for various pathologies (Congestion (greater accumulation of erythrocytes in the red pulp of spleen as compared to that of the control), decreased lymphocytes and erythropoiesis) with 0 as minimum and 5 as maximum.
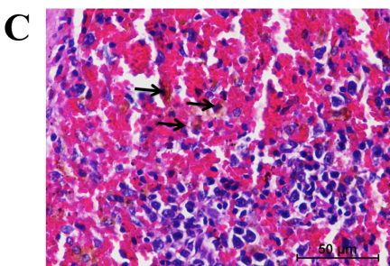
The scores of individual animals in a group are added and shown in table.2. Tissue section of the spleen (fig. 4) showed congestion, erythropoiesis, erythro-phagocytosis and low lymphocyte population in all groups treated with APH.
Congestion was relatively low in K1 and standard treated groups, high in negative control and moderate in K2 and K3 compared with disease control. Erythropoiesis is low in K1, moderate in disease control and high in standard, K2 and K3. Though there was a minimal decrease of lymphocytes in all APH-treated groups significant decrease was observed only in negative control.
Table 2: Histopathological scorings of the spleen in animal groups treated with different kāntam formulations. (Data are represented as cumulative value of scores given to each pathological features observed in the spleen of five animals from each group)
| Groups | Congestion | Lymphocyte reduction | Erythropoiesis | Erythrophagocytosis |
| Normal Control | 0 | 0 | 0 | 0 |
| Disease control | 11 | 8 | 7 | 11 |
| Standard Control | 5 | 6 | 8 | 13 |
| Negative Control | 17 | 11 | 10 | 4 |
| K1 treated | 3 | 4 | 4 | 18 |
| K2 treated | 9 | 8 | 8 | 10 |
| K3 treated | 11 | 4 | 7 | 12 |


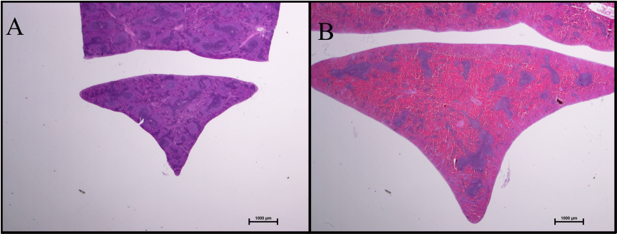
Fig. 4: Representative images of section of spleen of A) Normal control (4X magnification) B) Disease control (4X magnification) C) Disease control showing erythro- phagocytosis (40X magnification)
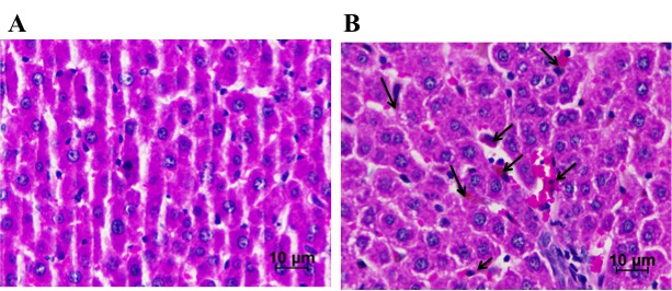
Liver
Representative histopathology images of the liver of normal and disease control animals are shown in fig. 5. Activated kupffer cells were present in liver sections of animals in all groups treated with APH. Scorings of kupffer cell activation is shown in table 3. Kupffer cells were present in liver sections of animals (fig. 5) in all groups treated with APH. The kupffer cell population is low in K1 and K2, moderate in standard and K3 and high in disease control and negative control.
Table 3: Histopathological scorings of activated kupffer cells seen in liver of animal groups treated with different kāntam formulations
| Groups | Normal control | Disease control | Standard control | Negative control | K1 treated | K2 treated | K3 treated |
| Scores | 0 | 6 | 5 | 9 | 5 | 3 | 3 |

Fig. 5: Representative images of section of liver of A) Normal control B) Disease control (images are shown at 40X magnification)
Bone marrow
Bone marrow of APH treated animals showed mild diffuse erythroid hyperplasia, which was also significant in all groups treated with APH. No difference in morphology was observed between disease control and drug-treated groups.
Pancreas
No notable pathological features were present in the pancreas of any of the APH treated groups compared with normal control.
DISCUSSION
In the present work, the effect of various kāntam based formulations in the management of hemolytic complications induced by APH in Wistar rats was studied in detail. APH is an oxidant chemical that primarily destroys the mature erythrocytes by its effect on enzymes involved in energy metabolism, which, in turn, induces erythropenia leading to an accelerated erythropoiesis resulting in reticulocytosis [24].
The destruction of erythrocytes stimulates the release of the mature reticulocytes into circulation from bone marrow, which further matures to erythrocytes in 2 d. Under normal conditions, the reticulocytes are released into the circulation with the loss of fibronectin receptors-a protein with adhesive nature. In hemolytic conditions, reticulocytes are released into the circulation without losing their fibronectin receptors. In such conditions, spleen helps in clearing the fibronectin-adhesive molecules and promotes the process of reticulocyte maturation [25]. But massive hemolysis can overwhelm the capacity of the spleen to deal with the immature reticulocytes resulting in delayed maturation of the reticulocytes. Hence promoting the maturation of reticulocytes to erythrocytes will be the primary task of any drug in the treatment of hemolysis. Significant reduction of reticulocytes in standard drug, K1 and K3 treated animals compared with disease control groups indicate the positive role of K1 and K3 in the maturation of reticulocytes. However, K2 treated animals did not show any significant changes in reticulocytes as compared with disease control, exhibiting nil effect of K2 in reticulocyte maturation. But, in negative control treated animals the reticulocyte population was significantly more than disease control group. This indicates that instead of promoting reticulocyte maturation, negative control is inhibiting the maturation of reticulocytes. All these results demonstrate that K1 and K3 were very effective in promoting the maturation of reticulocytes whereas K2 did not have any effect in its maturation and negative control induce the negative effect in reticulocyte maturation.
High levels of MCV (Mean Corpuscular Volume), MCH (Mean Corpuscular Hemoglobin) and MCHC (Mean Corpuscular Hemoglobin Concentration) in disease control and negative control indicates that erythrocytes in animals of these groups were macrocytic (Large cell size) and hyperchromic (More haemoglobin content) in nature. Usually, the reticulocytes and young erythrocytes are macrocytic and hyperchromic, which later become normocytic and normochromic over a period of time on maturation. Though MCH values were comparatively better with normal MCHC values in K1, K2 and K3 treated groups; MCV remains the same in all drug-treated groups. Hence it is clear that K1, K2 and K3 have a strong role in the maturation of macrocytic, hyperchromic erythrocytes to macrocytic, normochromic erythrocytes.
Low hematocrit value and decreased erythrocytes in animals of disease control groups reassert the history of severe hemolysis in this group. Despite the reduced hematocrit value and erythrocytes, total haemoglobin content of animals in this group was found to be normal. This can be particularly due to the contribution of extracellular haemoglobin (EcHb) formed due to hemolysis, which is devoid of its antioxidant protectants that are normally available within the erythrocytes and can cause oxidative devastation in the vasculature [26]. Usually, a protective physiology will be initiated after hemolysis with the help of specialised plasma scavenger proteins to neutralise and eliminate this EcHb. However, when this protective mechanism is overwhelmed by the high degree of hemolysis, EcHb remains in circulation and promotes inflammatory reactions [27]. Significant leukocytosis with a high level of neutrophils and monocytes observed in disease control corroborate the presence of EcHb, as EcHb is pro-inflammatory in nature and initiates inflammatory reactions resulting in leukocytosis [28-31]. Moreover, regulation of heme-induced neutrophil survival and death is critical to resolve inflammation efficiently [32] in any hemolysis. Completely normal hematocrit value and partially recovered erythrocytes with normal total haemoglobin levels observed in standard, K1, K2 and K3 treated groups demonstrate the protective effect of these kāntam formulations by promoting the elimination of EcHb. The normal level of neutrophils and monocytes in K1, K2 and K3 groups that demonstrate the complete absence of inflammatory reactions in these animals further reasserts the absence of EcHb in K1, K2 and K3 treated animals. However, negative control did not show any effect, neither in hemotocrit value and erythrocytes nor in monocytes and neutrophils. Thus it is very clear that K1, K2 and K3 had effectively cleared the EcHb formed due to hemolysis from the circulation and prevented the inflammatory reactions whereas negative control had no impact on EcHb clearance.
Erythrphagocytosis, the primary mechanism involved in the removal of destroyed erythrocytes by macrophages [33] is highly active in standard, K1, K2 and K3 treated animals compared with disease control animals indicating the effect of these drugs in promoting erythro- phagocytosis.
Stress erythropoiesis in the spleen is a common compensatory mechanism activated by tissue hypoxia produced during hemolysis. Persistent stress erythropoiesis indicates the defect in the management of tissue hypoxia due to hemolysis. Moderate erythropoiesis with notable liver congestion observed in the spleen of disease control, standard, K2 and K3 treated groups, signifies that K2 and K3 have no effect in regulating the erythropoiesis and maintaining the tissue oxygen level. But K1 treated animals showed only very mild erythropoiesis with markedly reduced liver congestion demonstrating the role of K1 in maintaining tissue oxygen levels.
The presence of kupffer cells noted in liver tissues of all APH treated animals indicates active inflammatory reactions in the liver. High degree of prolonged kupffer cell activation leads to the destruction of liver tissues [34]. High reduction of kupffer cell activity in K2 and K3 treated groups demonstrate the effect of these drugs in preventing liver toxicity during hemolysis due to the destruction of liver tissues. Though K1 and standard groups showed a moderate reduction in kupffer cell activity, no reduction was noted in the negative control. Hence it is clearly perceived that K2 and K3 play an important role in rapid immune response and tissue repair after hemolysis.
Though pancreatitis during hemolysis [23] has been reported, during the study significant pathological change was not observed in the pancreas across the groups investigated. Since histopathology analysis was carried out after 20 d of hemolysis, we surmise that the pancreas would have recovered from the inflammatory tissue damage.
The presence of mouth ulcers in all APH treated groups could be due to anaemia induced by hemolysis as mouth sores are common in all types of anaemia. Rapid recovery of mouth sores in K3 treated group indicates the effect of K3 in treating mouth sores formed as a result of hemolysis.
Hence it is evident that K1, K2 and K3 have protective activity in hemolytic complications. Negative control did not show any significant activity when administered for hemolytic complications, which highlights the inevitability of herbs in the preparation and potency of the kāntam formulations. Interestingly, this study also gave us a clear picture that honey as such alone is also not the only reason for the activity of the drugs. Because, if that had been the case, negative control should have resulted in some activity as it was administered with the same amount of honey that was used to administer other kāntam formulations.
The current treatment strategy for hemolytic complications varies with the type of hemolysis. But folic acid supplements and corticosteroid are primarily used in managing of most forms of hemolytic complications at early stages, [12], with blood transfusions and even splenectomy in a severe form of hemolysis. In the case of chronic hemolytic conditions such as autoimmune anaemia, many people will become steroid-dependent over a period of time [12], which force them to adopt second-line treatment such as splenectomy. These kāntam formulations can be a better replacement for these corticosteroids in the management of chronic hemolytic disorders. However, detailed studies on the effect of kāntam formulations in chronic hemolysis are essential for determining this effect unambiguously.
CONCLUSION
This study has demonstrated that kāntam formulations are effective in the management of hemolytic complications but differs in efficacy profile. Moreover, it is also seen that activity of these formulations is not due to the vehicle alone, as inferred from negative control data. However, it is difficult to pinpoint the precise mechanism behind the activity of the kāntam formulations with the present analysis. Further control experiments with various vehicles such as ghee, butter, milk, etc., should be done for better understanding of the mechanistic pathways involved in the biological activity of these drugs.
ACKNOWLEDGEMENT
We acknowledge the funding agencies Department of Science and Technology, DST India (Project number VI-DandP/267/08-09/TDT), Department of AYUSH (Project number Z.15015/05/1/2010 COE) and Prof. TRR fund, SASTRA University awarded to Dr. V. Ramanathan for the necessary funding for instrumentation and manpower. We also thank SASTRA University for providing pertinent infrastructure facilities.
CONFLICT OF INTERESTS
Declared none
REFERENCES
How to cite this article