
aPost-Graduate Program, Faculty of Pharmacy, Airlangga University, Surabaya, East Java, Indonesia, bDepartment of Clinical Pharmacy, Faculty of Pharmacy, Airlangga University, Surabaya, East Java, Indonesia
Email: junaidi-k@ff.unair.ac.id
Received: 11 May 2016 Revised and Accepted: 12 Aug 2016
ABSTRACT
Objective: The present study was designed to investigate the influence of sodium orthovanadate (SOV) on the P53 and caspase 3 expressions in beta cells of alloxan-induced diabetic mice.
Methods: Babl/C strain mice induced diabetic condition with an intraperitoneal injection of 200 mg/kgBW alloxan monohydrate. After third days, alloxan-induced diabetic mice treated with SOV for 7 d. The pancreas was harvested on ten day and was stained using routine histology staining with hematoxylin-eosin (HE) and aldehyde fuchsin (AF) for morphological analysis and immunohistochemical approaches to observe the expressions of P53 and caspase 3 in the pancreas.
Results: SOV reduced the fasting blood glucose levels after 7 d treatment at diabetic mice, respectively 303.0±126.8, 231.8±57.1 and 75.6±40.8 mg/dL. The results of histology staining of a pancreas showed that SOV reduced apoptosis in beta cells. Using immunohistochemical approaches, SOV might decrease the P53 and caspase 3 expressions in beta cells alloxan-induced diabetic mice.
Conclusion: This study reveals that the administration of SOV on diabetic mice led to the decreasing of P53 and caspase 3 expressions that cause the decreasing of apoptosis in beta cells.
Keywords: Sodium orthovanadate, diabetes mellitus, P53, caspase 3
© 2016 The Authors. Published by Innovare Academic Sciences Pvt Ltd. This is an open access article under the CC BY license (http://creativecommons. org/licenses/by/4. 0/)
DOI: http://dx.doi.org/10.22159/ijpps.2016v8i10.12738
INTRODUCTION
Diabetes mellitus (DM) is the most common endocrine disorder in man, currently affecting over 170 million people worldwide and, potentially, over 365 million in the year 2030 [1]. Type 2 diabetes mellitus (T2DM) is the most common form of diabetes worldwide accounting for 90% of cases globally and affecting approximately 4% of the world adult population [2]. Besides beta cell failure, the major pathophysiological event contributing toward the development of T2DM is the resistance of target tissues to insulin [1].
Insulin is the hormone which secreted by the beta cell in islet Langerhans. Reduction of number beta cells shows DM condition. In type 2 diabetes mellitus (T1DM), the damage of beta cell happens through the autoimmune mechanism. And then, in T2DM the damage of beta cells happen through apoptosis cause glucotoxicity [3].
Apoptosis is programmed cell death that is regulated by the activity of P53. P53 has the ability surveillance and checkpoint control that can reduce and stop the cycle of cells undergoing DNA damage and trigger apoptosis by controlling P21[4]. Activation of P53 stimulates Bax which is an inhibitor of Bcl-2. Constraints on Bcl2 will stimulate spending cytochrome C in mitochondrial. Cytochrome C can interact with Apaf-1 and caspase 9 to form a complex which activates caspase 9, which in turn will activate caspase 3 and will eventually lead to apoptosis [5].
Alternative medicine is now widely developed diabetic state are drugs known as vanadium. Research by using vanadium sulphate showed that vanadium sulphate can regenerate beta cells of rats with streptozotocin-induced diabetes [6]. The regeneration of cell can occur due enhancement of cell proliferation or decreased of cell apoptosis [4]. In addition, vanadium sulphate is also able to stimulate telomerase activation and decreases the activity of P53 protein and apoptosis in pancreatic beta cells of mice that suffered streptozotocin-induced diabetes [7]. In some experimental models, the vanadium component was also shown to inhibit apoptosis [8-10]. SOV is one of the three inorganic vanadium salts commonly used in research related to insulin-mimetic drugs. SOV used as an antidiabetic compound in animal models of diabetes and in a clinical trial [11]. Previous research stated that SOV activates phosphatidylinositol 3-kinase (PI3K) signaling through inhibition of protein tyrosine phosphatase [12].
The development of alternative drugs that can increase the regeneration of pancreatic beta cells that was an important factor in the treatment of DM [13]. This study was conducted to determine the effect on the vanadium component of the SOV to apoptosis of beta cells that have been damaged by alloxan-induced by looking for the expression of proteins that regulate apoptosis there are P53 and caspase 3.
MATERIALS AND METHODS
Preparation of alloxan-induced diabetes mice
The animal handling protocol of this study were in accordance with the guideline of the Pharmacy Faculty, Airlangga University, Indonesia. The methodology of this experiment was performed after the approval by Airlangga University Animal Care and Use Committee (ACUC). 28 male mice of Balb/C strain, weighing between 20-30 g and 6-8 w of age were maintained in the climatically controlled animal house facility of Animal Laboratory at the Pharmacy Faculty, for one week before the initiation of the experimentation and had free access to food and water. The all mice the acclimatized for 1 w The all mice the acclimatized for 1 w The all mice the acclimatized for 1 w. Diabetes condition was induced with intraperitoneal injection of 200 mg/kgBW alloxan monohydrate (Sigma-Aldrich), was dissolved freshly in cold normal saline. Control mice were injected with an equivalent amount of normal saline. Three days after injection, alloxan-induced diabetic mice (fasting blood glucose levels exceeding 140 mg/dl) were selected for the study [14].
All mice divided into five groups as follows:
Group 1: non-diabetic control mice (control group).
Group 2: diabetic-untreated control mice (DM group).
Group 3: diabetic-treated SOV with dose 16 mg/kgBW/day, orally, once daily.
Group 4: diabetic-treated SOV with dose 32 mg/kgBW/day, orally, once daily.
Group 5: diabetic-treated SOV with dose 64 mg/kgBW/day, orally, once daily.
All treatment were administered for 7 d respectively. Fasting blood glucose levels were taken from the tail vein of 8-hours-fasted mice for determination of blood glucose levels using On-Call®Plus Blood Glucose Monitoring System on day 0 (before diabetes induction), day 3 (start of treatment), and day 10 (end of treatment).
Histological observation of pancreas
All mice were sacrificed at the and of treatment. The pancreas of control and the treated group were collected and fixed with 10% paraformaldehyde in phosphate buffer. The tissue was embedded in paraffin to facilitate the production of sections for microscopy, then were checked histochemically by HE and AF staining and examined under a light microscope with a magnification of 1000x.
Immunohistochemistry of P53 and caspase 3 expressions
Other parts of pancreas sections were checked immune-histochemically with P53 antibody for P53 expressions and caspase 3 antibodies for caspase 3 expressions, at 1:500 dilution. The slide was evaluated under a light microscope to observe of P53 and caspase 3 expressions by using a modified semiquantitative IRS scale of Remmele. Semiquantitative IRS scale taking into account both percentage of positive cells (0 pt: 0%, 1 pt: 0-10%, 2 pt: 11-50%, 3 pt: 51-80%, 4 pt: 81-100%) and intensity of the reaction colour (0 pt: no colour reaction, 1 pt: low intensity of colour reaction, 2 pt: moderate intensity of colour reaction, 3 pt: intense colour reaction). A final score representing the product of the two variables and value ranges from 0 to 12 pt [15].
Statistical analysis
The research data were analysis with SPSS V.17.0 for windows with significance level p<0.05. All values were expressed as mean±Standard Deviation (SD). Fasting blood glocose level was analyzed with one-way ANOVA and P53 or caspase 3 expressions were analyzed with Kruskal-Wallis test and followed by Mann-Whitney test.
RESULTS
Alloxan-induced diabetic mice
Administration intraperitoneal of alloxan monohydrate 200 mg/kgBW resulted in significant increase of blood glucose levels on 3 d in comparison of the control group (fig. 1). The increasing fasting blood glucose levels significantly from 59.1±11.2 mg/dL to 310.6±107.2 mg/dL.

Fig. 1: Fasting blood glucose levels on day 0 and 3. Data represent as mean±SD (mg/dL), p<0.05 compared to the day 0 value
Histology of pancreas after alloxan-induced
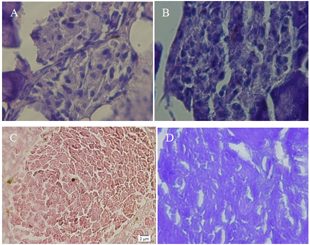
The beta cells in the sectional of the pancreas of nondiabetic mice looks intact, the shape and size were homogeneous and had a nucleus at the cell edge (fig. 1). While in the pancreas of diabetic mice, the shape and size of the cells in Langerhans were not homogeneous, there was the limit between cell is unclear and have been damaged (fig. 2).

Fig. 2: Appearance of beta cells in the sectional of the pancreas by HE and AF staining. A (control with HE staining), B (DM with HE staining), C (control with AF staining), D (DM with AF staining) (magnification 1000x)
Effect of SOV administration in DM mice
Administration of SOV for 7 d reduce of blood glucose level in alloxan-induced diabetic mice (fig. 3). The higher dose of SOV, reduction of blood glucose levels is also getting greater.

Fig. 3: Fasting blood glucose levels on day 10
Values are statistically significant at DM+SOV 32 mg/kgBW and DM+SOV 64 mg/kgBW. Data represent as mean±SD (mg/dL), * p<0.05 and *** p<0.001 compared to the DM group
Immunohistochemistry of P53 and caspase 3 expressions in beta cells
The results of IRS scoring of the muscle cells that expressed the P53 and caspase 3 were summarized in table 3. Administration of SOV for 7 d, reduced the excessive P53 expressions and caspase 3 expressions in the pancreas. The higher dose of SOV, the greater reduction in P53 and caspase 3 expressions, was characterized by fewer brown color produced (fig. 4-5).
Table 1: P53 and caspase 3 expressions
| Group | Protein expressions average per field of- |
| P53 | |
| Control | 3.6±1.6 *** |
| DM | 6.6±2.3 |
| DM+SOV 16 mg/kgBW | 5.8±2.0 |
| DM+SOV 32 mg/kgBW | 4.0±1.4 *** |
| DM+SOV 64 mg/kgBW | 3.9±1.2 *** |
Values are statistically significant at *p<0.05 and *** p<0.001 vs DM group.

Fig. 4: Expressions of P53 in beta cells reacted with magnification 400x. (A) DM, (B) DM+SOV 16 mg/kgBW, (C) DM+SOV 32 mg/kgBW, (D) DM+SOV 64 mg/kgBW

Fig. 5: Expressions of caspase 3 in beta cells reacted with magnification 400x. (A) DM, (B) DM+SOV 16 mg/kgBW, (C) DM+SOV 32 mg/kgBW, (D) DM+SOV 64 mg/kgBW
DISCUSSION
The main finding of the study was that SOV reduced the excess of P53 and caspase 3 expressions (table 3; fig. 4-5) would lead to the reduction of blood glucose levels (fig. 2) and reduced apoptosis in beta cells alloxan-induced diabetic mice that given SOV treatment for 7 d.
SOV adopts a trigonal bipyramidal structure that mimics the transition state of the phosphoryl transfer reaction, thereby acting as a competitive inhibitor of PTP-1B [12]. Inhibition of PTP-1B activity effectively raises the concentration of phosphorylated insulin receptor and IRS-1 [14], IRS phosphorylated give site action signaling; there are PI3K which role in Akt activation. One substrate for Akt is a member of the Bcl-2 family called Bad. Bad is one of the Bcl-2 family that induces cell death by stimulating the release of cytochrome C from mitochondria [5].
P53 can induce cell death or apoptosis through stimulation of mitochondria to release cytochrome C that occurs in the cytosol. Cytochrome C can react with Apaf 1 and caspase 9 to form apoptosome so caspase 9 will active and then will activate the final determinant of apoptosis that is caspase 3 [5].
P53 protein is a transcription factor that plays a role in protecting cells from genetic mutations due to DNA damage. Under normal conditions, the expression of P53 very little and activated when cells are under stress. The activation of P53 results in cell cycle at the G1 phase stalled, so allow DNA repair gene repair before cell cycle continues. Therefore, P53 is considered as a molecular policeman, which only healthy cell division cycle are experiencing self, so that products in the form of cells that can be repaired, it will stimulate the P53 gene that induces apoptosis (Bax and IGF-BP3) [16, 17].
Caspase 3 is included in executor caspase-activated initiator caspase. Caspase 3 plays an important role in the regulation of programmed cell death or apoptosis through its action on the terminal or effect in facilitating apoptosis protease core. There have been many studies that specifically examined the relationship between caspase 3 against apoptosis. Solving caspase 3 is activated by an initiator caspase underneath, such as caspase 9 and caspase 8 that participated in the intrinsic apoptotic pathway and extrinsic [18]. Caspase 3 plays an important role in the process of cell death, and it was found that the activity increases during diabetic conditions [19].
An increase in apoptosis in beta cells will cause a decrease in the number of beta cells, resulting in the decline in the synthesis and secretion of insulin, which then leads to conditions of hyperglycemia.
CONCLUSION
Vanadium compounds improved metabolic disorders in models of T2DM. In T2DM, SOV treatment normalized hyperglycemia by reduced P53 and caspase 3 expressions in apoptotic beta cells. Hence, this compound is a potential candidate for oral therapy in DM.
ACKNOWLEDGEMENT
We thank Managing Trustee, Department of Clinical Pharmacy, Faculty of Pharmacy, Airlangga University for their support in the implementation of this research.
CONFLICT OF INTERESTS
Declared none
REFERENCES
How to cite this article