
Zoology Department, Faculty of Science, Cairo University, Egypt
Email: dawlat82@gmail.com
Received: 14 May 2016 Revised and Accepted: 22 Jul 2016
ABSTRACT
Objective: The ethanolic extract of Vitis vinifera leaves (VVE) (500 mg/kg body weight), ranitidine (50 mg/kg body weight) and both of them were tested for their gastroprotective and curative effects against the incidence of peptic ulcer.
Methods: The antiulcer effects of VVE were investigated using a combination of indomethacin and cold-stress for 2h. To ascertain the mechanism of action of VVE, its protective and curative effects were studied on gastric volume, gastric juice acidity, ulcer index and malondialdehyde (MDA), glutathione (GSH), catalase (CAT), glutathione–S-transferase (GST), superoxide dismutase (SOD), nitric oxide (NO) activities of both stomach and duodenum of rats. Moreover, histopathological effects on stomach and duodenum were determined.
Results: The antioxidant activity of VVE was demonstrated using 2, 2-diphenyl-1-picrylhydrazyl (DPPH) test. VVE was found to reduce the ulcer index, gastric volume and the level of gastric juice acidity. Also, VVE showed gastroprotective and curative activities mainly through improvement of antioxidant status and decreasing lipid peroxidation accompanied with amelioration of both stomach and duodenum architectures.
Conclusion: The prophylactic and curative effects of VVE proved to be effective in preventing gastric and duodenal ulceration which may be probably due to its antioxidant and anti-acid secretory effects.
Keywords: Severe gastric ulcer, Rats, Indomethacin, Cold stress, Oxidative stress
© 2016 The Authors. Published by Innovare Academic Sciences Pvt Ltd. This is an open access article under the CC BY license (http://creativecommons. org/licenses/by/4. 0/)
DOI: http://dx.doi.org/10.22159/ijpps.2016v8i9.12846
INTRODUCTION
Peptic ulcer represents the most common cause of upper gastro-intestinal (GI) bleeding [1]. The stomach can resist to a large variety of noxious factors, which depend on a number of physiological responses elicited by the mucosal lining against potentially harmful luminal agents [2]. Gastric ulcers affect many people around the world, and their development is a result of the imbalance between the offensive and defensive factors [3]. The offensive factors include gastric acid back-diffusion and oxyradical generation leading to an interruption in the mucosal integrity [4]. While defensive factors involves GSH and mucus biosynthesis [5, 6].
The major detrimental effects on gastric mucosa are exerted by non-steroidal anti-inflammatory drugs (NSAIDs), the most prescribed group of drugs in the world [7]. These drugs are able not only to exert gastric injuring effects but also to delay the healing of ulcer lesions through a variety of local and systemic mechanisms [8]. These effects are mainly mediated through inhibition of prostaglandin synthesis [9].
Indomethacin is widely used to treat inflammatory diseases and manage pain, fever and inflammation in several conditions, including gastric ulcer [10]. Indomethacin-induced gastric ulcer by inhibition of prostaglandins which are cytoprotective to gastric mucosa [11]. Moreover, it was reported that indomethacin causes significant gastrointestinal damage [12] and several enteropathic consequences, including oxidative stress [13].
Cold resistant stress (CRS) induced gastric ulcer as a result of auto-digestion of the gastric mucosal barrier, accumulation of HCl and generation of free radicals [14, 15]. Oxidative stress is caused by an imbalance between a biological system’s ability to readily detoxify the reactive intermediates and the production of reactive oxygen species (ROS) [16]. The generation of these ROS plays a major role in the development of multiple pathologies, such as gastritis, peptic ulcerations or gastric adenocarcinoma [17].
Gastric ulcer remains a serious health problem in the worlds, and the available therapeutic regimens are directed towards the enhancement of defensive mechanism and reduction of the aggressive factors [18].
The goal of treating ulcer disease is to relieve pain, heal the ulcer and prevent its’ recurrence [19]. Ranitidine (RAN) is a synthetic anti-ulcer drug that blocks acid secretion. Treatment with RAN has an ability to antagonize the binding of histamine to the H2-receptor on the parietal cells. Therefore, it can counter the effect of indomethacin on acid secretion [20, 21]. Since the clinical evaluation of synthetic drugs has shown the incidence of some adverse effects, treatment with natural products is now considered as an alternative approach for the treatment of gastric ulcer. Plants are some of the most attractive sources of new drugs, and some have been shown to have promise for the treatment of gastroduodenal ulcer with minimum side effects [22, 23].
Grapes, belong to the family Vitacea, are one of the richest sources of polyphenols among fruits [24, 25]. They are very potent natural antioxidants due to its phytochemical constituents such as phenolic acids, flavonols, stilbenes (Resveratrol), anthocyanins and proanthocyanidins [26-28]. VVE contains mostly myricetin, ellagic acid, kaempferol and quercetin [29]. In addition, VVE contains Gallic acid that has been shown to possess various therapeutic properties, including antioxidant, anti-cancer, anti-inflammatory and antiviral activities [30, 31].
So, the present study aims to assess the protective and curative effects of the VVE in comparison with RAN in a model of indomethacin-cold stress induced gastric ulcer in male albino rats to elicit the underlying in vivo antioxidative mechanisms.
MATERIALS AND METHODS
Experimental animals
Male albino Wister rats (Rattus norvegicus) weighing 180-200 g were purchased from the animal house of National Research Center, Cairo, Egypt. The animals were housed in polypropylene cages (five animals per cage) for 72 h before the commencement of the experiments for acclimatization, at controlled conditions of temperature 18 °C with a 12 h light: 12 h dark cycle. Rats were fed standard diet and tap water ad libitum.
Ethical consideration
Experimental protocols and procedures used in this study were approved by the Cairo University, Faculty of Science Institutional Animal Care and Use Committee (IACUC) (Egypt), (CUFS/PHY/ 02/15). All the experimental procedures were carried out in accordance with international guidelines for care and use of laboratory animals.
Drugs and chemicals
Indomethacin was obtained from Sigma Chemical Co. (St. Louis, MO. USA), 2, 2-diphenyl-1-picrylhydrazyl (DPPH), Ranitidine (RAN) (50 mg/kg)-(Zantac ™) was obtained from EL-Ezaby Pharmacy (Dokki St, Egypt). The kits for all biochemical parameters and other chemicals and reagents were purchased from the Biodiagnostic Company (El Motor St, Dokki, Egypt).
Collection, identification and authentication of plant
Grape leaves (Vitis vinifera L.) were purchased from a local market in Egypt.5 Kilograms of Vitis vinifera were locally collected in the month of April, 2015. The plant material was authenticated in Botany Department, Faculty of Science, Cairo University, Egypt on the basis of taxonomic characters and by direct comparison with the herbarium specimens that available at the herbarium of the Botany Department. The healthy leaves of VVE were collected and washed with tap water.
After cutting the leaves into small pieces, they were air-dried at room temperature for 14 d and then the dried leaves were crushed into a fine powder by blender machine. The powder (50 g) was mixed with 450 ml of alcohol (70%) for 72 h at room temperature and stirred four times daily. The mixture was filtered with Whatman filter paper (No.1) and then the solvent was evaporated at room temperature. The obtained extract powder was 7.8 g (16% extraction ratio) which stored at 4 °C until being used.
Determination of antioxidant activity (free radical scavenging activity)
The 2,2-diphenyl-1-picrylhydrazyl (DPPH) free radical scavenging assay was carried out for the evaluation of the antioxidant activity. This assay measures the free radical scavenging capacity of the investigated extract. DPPH is a molecule containing a stable free radical in the presence of an antioxidant,which can donate an electron to DPPH, the purple color typical for free DPPH radical decays and the absorbance change is measured at 517 nm. The method was carried out as described by [32]. The following concentrations of VVE and vitamin C (standard antioxidant) concentrations were prepared 10, 20, 30, 40, 50, 60, 70, and 80 mg/ml in each tube. 2 ml of DPPH; (250 mm DPPH/200 ml methanol) then added the certain concentration of each extract, and adjust the final volume to be 4 ml with methanol. The solution was shaken and incubated at 37C for 30 min. Methanol was used as a blank and DPPH only was used as a control. The decrease in absorbance (Abs) was measured at ʎ =517 nm. The radical scavenging activity was calculated from the following equation:
Radical scavenging activity = [Abs (control)-Abs (sample)/Abs (control)] X100
Preliminary phytochemical screening
Preliminary phytochemical screening was carried out using an appropriate solvent extract of the leaves to identify the presence of different active constituents using the procedures [33-36].
Toxicity study (OECD 420)
Acute toxicity was calculated as OECD guidelines 420 (Fixed dose method) [37, 38]. Ten male Wistar albino rats weighing (180-200 g) were used for acute toxicity study. The animals were divided into control and test groups (5 rats/group). The rats of the test group were administered orally with VVE of 5000 mg/kg body weight. Normal control rats received the same amount of vehicle (distilled water) only. Animals were observed carefully for 24 h after extract administration and then for the next 14 d. At the end of this experimental period, the rats were observed for signs of toxicity, morphological behavior, and mortality. Acute toxicity was evaluated based on the number of deaths (if any).
Induction of severe gastric ulcers (SGU)
The ulcer was induced by a combination of indomethacin and cold stress [39]. Indomethacin was administered as the single oral dose (150 mg/kg) [40] dissolved in 5% sodium bicarbonate [41], and the rats were kept in cold stress for 2 h at a temperature of 3‐5 ° C [42].
Experimental protocol
Before the experiment, rats were deprived of food, but not water, for 20–24 h. The animals (40 rats) were randomly assigned into four main groups:
1. The control group (5 rats/group): Rats administered distilled water orally.
2. Ulcer group (5 rats/group): The rats were exposed to severe gastric ulcer (SGU) model.
3. Prophylactic group (15 rats/group): Rats of this group were assigned randomly into three subgroups (5 rats/subgroup) as follows:
Rats of the 1st subgroup were received single oral dose of VVE (500 mg/kg), rats of the second subgroup were administered RAN (50 mg/kg) and rats of the 3rd subgroup were treated with both VVE and RAN. After one hour of all treatments, rats challenged for SGU model for 2 h then all rats were sacrificed.
4. Curative group: (15 rats/group): Rats of this group were assigned randomly into three subgroups (5 rats/subgroup). After 2 h of ulcer induction, rats were received single oral dose of VVE or RAN or their combination. After one hour of the treatments, all rats were sacrificed.
Animals handling
At the end of the experimental period, animals were euthanized after being fasted overnight under deep anesthesia with sodium pentobarbital. Stomach and duodenum were removed and immediately blotted using filter paper to remove traces of blood; then the stomach was dissected out, incised along the greater curvature and the gastric juice was collected. Mucosa was rinsed with cold normal saline to remove blood contaminant. The hemorrhagic and ulcerative lesions of the stomach were counted, then the stomach and duodenum of rats stored at–80 °C for biochemical analysis.
Macroscopic evaluation of stomach
The stomach ulcerative lesions were determined according to Parmar and Desai [43] and Kulkarni [44]. The numbers of ulcers were counted. Scoring of ulcer will be made as follows:
0.0 = normal colored stomach,
0.5 = red coloration,
1.0 = spot ulcers,
1.5 = hemorrhagic streaks,
2.0 = ulcers with area>3 but ≤5 mm2,
3.0 = ulcers>5 mm2,
Ulcer index (UI) = UN+US+UP × 10
Where UI = ulcer index, UN = average number of ulcers per animal, US = average of severity score and UP = percentage of animals with ulcer.
The percentage of inhibition (%) was calculated by the following formula:
% inhibition = 100 − [UI treated]/[UI control] × 100
Analysis of gastric juice
Determination of gastric volume
Gastric juice collected from each animal was centrifuged at 1000 rpm for 10 min to remove any solid debris and the volume of the supernatant was measured.
Determination of gastric acidity
An aliquot of 1 ml of gastric juice diluted with 1 ml distilled water was taken in a conical flask and titrated against 0. 01N NaOH with phenolphthalein as an indicator till a permanent pink color is obtained [45]. The volume of NaOH was then noted. The total acidity, expressed as mEq/l was then calculated using the following formula:

Tissue homogenate preparation
Stomach and duodenum tissues were homogenized (10% w/v) in ice cold 0.1M phosphate buffer (pH 7.4). The homogenates were centrifuged at 3000 rpm for 15 min and the supernatants were used for the estimation of oxidative stress markers.
Determination of oxidative stress markers
Oxidative stress markers were detected in the resultant supernatant of stomach and duodenum homogenate. The appropriate kits Biodiagnostic Dokki, Giza, Egypt) were used for the determination of malondialdehyde (MDA) [46], glutathione reduced (GSH) [47], nitric oxide (NO) was determined according to [48]. Catalase (CAT) was detected according to the method described by [49] glutathione-S-Transferase (GST) [50] and superoxide dismutase (SOD) [51].
Histopathological studies
The stomach and duodenum from each group were fixed in 10% formalin for 24 h. The specimens were then embedded in paraffin, sectioned and stained with hematoxylin and eosin, before being evaluated by light microscopy.
Statistical analysis
The data obtained from acute toxicity studies were analyzed using Student's t-test. P values less than 0.05 were considered significant. All results were expressed as mean±standard error (SE) of five animals in each group. All data obtained were analyzed by ANOVA followed by Duncan's test. Values of P<0.05 were considered as statistically significant. All computations were performed using SPSS version 20.0 software.
RESULTS
Free radical scavenging activity
The results of DPPH scavenging activity of VVE and ascorbic acid were shown in fig. 1. The radical scavenging activity was estimated by comparing the percentage of DPPH radical inhibition of the tested extract and the ascorbic acid. The present results showed that VVE produced dose-dependent inhibition of DPPH radical ranging from 96.4% to 109.3% as compared to vitamin C.

Fig. 1: Antioxidant activity of Vitisvinifera leaves extract (VVE) and vitamin C (Vit. C). Each vertical column represents the mean±SEM of change of 3 samples
∗: Significantly different as compared to Vit. C.
Table 1: Preliminary photochemical screening of Vitisvinifera leaves extract
| Test | Phytochemicals test |
| + | Test for glycosides |
| + | Test for flavonoids |
| + | Test for sterols |
| + | Test for saponins |
| + | Test for resin |
| - | Test for alkaloids |
| - | Test for Quinines |
| + | Test for tannins |
+: Presence of the constituents, -: Absence of the constituents
Phytochemical screening
The preliminary phytochemical screening carried out on VVE revealed the presence of Phytoconstituents such as glycoside, flavonoids, sterols, saponins, terpenoids, tannins, phenolic acids and resin (table 1).
Acute toxicity study
Single oral administration of 5000 mg/kg body weight of V. vinifera leaves extract did not show any visible signs of toxicity, abnormal behaviors, or mortality, which indicated that the median lethal dose (LD50) of the tested extract was higher than 5000 mg/kg body weight. All animals survived for 14 d. The effective dose (ED50) of VVE (500 mg/kg) was selected based on this proposed LD50.
Antiulcer effects of Vitis vinifera leaves extract (VVE) on gastric lesions
Administration of indomethacin (150 mg/kg body weight) and cold-restraint stress caused a severe gastric ulcer (SGU) covering the entire glandular area of the stomach (fig. 2B). In SGU linear hemorrhagic lesions were seen as red streak lesions. Pre or post-treatment with VVE and/or RAN showed the significant healing effect of the gastric lesions (fig. 2C-H).
However, oral pre-treatment with VVE, RAN and VVE+RAN significantly reduced the ulcer index, showing 82.36%, 88.05% and 87.55% ulcer inhibition, respectively (table 2). In addition, oral post-treatment with VVE, RAN and VVE+RAN reduced the ulcer index significantly, recorded 87.64%, 77.56% and 73.61% ulcer inhibition, respectively (table 2).
Effect of VVE on gastric volume and gastric acidity
As shown in table (2), administration of indomethacin at a dosage of 150 mg/kg body weight and cold stress caused a significant increase in the gastric volume in the gastric lumen, as compared to the normal control group.
However, treatment with VVE, RAN and VVE+RAN either pre or post SGU induction significantly (p<0.05) decreased the gastric volume (table 2). In addition, the level of gastric juice acidity was significantly (p<0.05) decreased from164.4 mEq/l in the SGU group to 56.6, 28.0 and 84.2 mEq/l in the pre-treatment VVE, RAN and VVE+RAN groups, respectively (table 2). Whereas, post-treatment with VVE, RAN and VVE+RAN induced a significant (p<0.05) decrease in the gastric juice acidity, recording 28.0, 28.4 and38.0 mEq/l, respectively (table 2).
Evaluation of oxidative stress biomarkers in gastric and duodenal mucosal tissues
Table 3 shows that the level of gastric malondialdehyde (MDA) increased significantly (P<0.05) subsequent to SGU, as compared to the corresponding control group. However, the administration of VVE, RAN and VVE+RAN either pre or post-treatment decreased significantly (P<0.05) the levels of MDA in both stomach and duodenum, as compared to the corresponding SGU group (table 3 and fig. 3A).
Results recorded in table 3and4 and Fig. 3B, C and E showed that SGU induction significantly decreased (P<0.05) GSH, GST and SOD levels, as compared to the control rats in both stomach and duodenum. Pre or post-treatment with VVE, RAN and VVE+RAN significantly increased (P<0.05) the gastric and duodenal GSH, GST and SOD levels, as compared to the corresponding SGU group.
Statistical analysis revealed a significant increase (P<0.05) in CAT activities in gastric and duodenal tissue after indomethacin administration and cold stress, as compared to the control group (table 4 and fig. 3 D). Pre or post-treatment with VVE, RAN and VVE+RAN significantly decreased (P<0.05) CAT activity as compared to the SGU group in both stomach and duodenum (table 4 and fig. 3 D).
SGU significantly decreased (P<0.05) NO level of the stomach and duodenum, as compared to the control rats (table 3 and fig. 3 F). Pre and post-treatments are induced significant increase (P<0.05) in gastric and duodenal mucosal NO activity as compared to SGU group.

Fig. 2: Macroscopic analysis of rat's stomach. Stomach of control group is showing normal morphological appearance (A). Administration of indomethacin with cold stress resulted in a severe gastric mucosal injury (B). Pre-treated groups: VVE (C), RAN (D), VVE+RAN (E), Post-treated groups: VVE (F), RAN (G) and VVE+RAN (H), showing improvement as compared to ulcer group (B)
Table 2: Antiulcer effects of vitis vinifera leaves extract (VVE) and/or ranitidine (RAN) on gastric ulcer inhibition, gastric juice volume, and total gastric acidity in indomethacin and cold stress-induced gastric ulcer (SGU) in rats
| Gastric ulcer index | Gastric ulcer Inhibition (%) |
Gastric juice volume (ml) |
Total gastric acidity (mEq/l) |
||
| Control | 0 | - | 2.54±0.24abc | 25.6±3.59a | |
| SGU | ±3600e | - | 3.96±0.13d | 164.4±17.6c | |
| Pre treatment | VVE | 63.50±1.46b | 82.36 | 1.70±0.67ab | 56.6±7.9ab |
| RAN | 43.0±1.46a | 88.05 | 1.54±0.22a | 28.0±4.05ab | |
| VVE+RAN | 44.80±1.68a | 87.55 | 3.40±0.21cd | 84.2±4.51b | |
| Post treatment | VVE | 44.50±1.50a | 87.64 | 1.96±0.20ab | 28.0±17.2ab |
| RAN | 81.16±1.07c | 77.56 | 2.20±0.36abc | 28.4±4.20ab | |
| VVE+RAN | 95.0±1.50d | 73.61 | 2.28±0.40abc | 38.0±10.6ab |
Values are given as mean±SE for 5 rats in each group. Values with different superscript letters are significantly different (P<0.05).
Table 3: Effect of Vitis vinifera (VVE) extract on some oxidative stress markers in gastric tissue in indomethacin and cold stress induced gastric ulcer (SGU) in rats
NO (μmol/l/mg tissue) |
GSH (mg/g tissue) |
MDA (nmol/g tissue) |
Group | |
| 17.71±1.13d | 77.4±5.88 c | 2.17±0.2a | Control | |
| 10.13±1.01a | 47.0±2.84a | 8.45±1.42c | SGU | |
| 11.71±0.87abc | 63.5±4.35b | 2.72±0.51ab | VVE | Pre treatment |
| 14.65±1.04c | 62.9±4.130b | 2.77±0.3ab | RAN | |
| 12.58±0.87abc | 56.80±3.38ab | 3.60±0.36ab | VVE+RAN | |
| 11.07±0.70ab | 57.7±2.8ab | 3.38±0.21ab | VVE | Post treatment |
| 11.71±0.55abc | 62.2±6.60b | 3.17±0.45ab | RAN | |
| 13.99±1.38bc | 65.8±4.75bc | 4.57±0.57b | VVE+RAN |
Values are given as mean±SE for 5 rats in each group. Values with different superscript letters are significantly different (P<0.05).
Table 4: Effect of Vitis vinifera leaves extract (VVE) on some oxidative stress enzymes in gastric tissue in indomethacin and cold stress induced gastric ulcer (SGU) in rats
| SOD (u/g tissue) | Catalase (u/mg tissue) | GST (u/g tissue) | Group | |
| 16.62±1.16c | 277.8±37.98a | 1.249±0.13c | Control | |
| 7.11±0.41a | 856.9±89.4d | 0.478±0.068a | SGU | |
| 8.92±1.22b | 566.25±61.88c | 0.867±0.14b | VVE | Pre treatment |
| 7.61±1.19b | 407.5±66.39abc | 0.599±0.07ab | RAN | |
| 7.75±0.40b | 567.9±19.72c | 0.796±0.09b | VVE+RAN | |
| 8.11±1.19b | 372.3±60.97ab | 0.680±0.04ab | VVE | Post treatment |
| 10.3±1.70b | 516.4±31.59bc | 0.648±0.07a | RAN | |
| 8.07±0.66b | 334.4±21.61a | 0.781±0.04b | VVE+RAN |
Values are given as mean±SE for 5 rats in each group. Values with different superscript letters are significantly different (P<0.05).

Fig. 3: Effect of Vitis vinifera leaves extract (VVE) on some oxidative stress markers in duodenal tissue in indomethacin and cold stress induced duodenal ulcer (SGU) in rats
Values are given as mean±SE for 5 rats in each group. Values with different superscript letters are significantly different
Histological evaluation of gastric and duodenal lesions
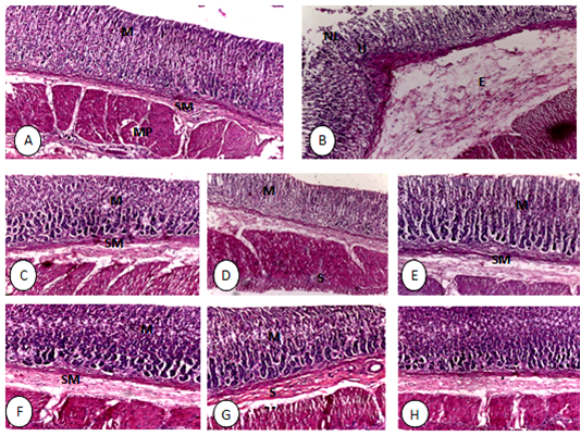
Stomach section of rats from the control group (fig. 4A) showed normal gastric mucosa, where the mucosa is intact, no infiltration of cells, any edema was seen, and normal crypt structure with normal submucosa. On the other hand, the stomach of rats from SGU group (fig. 4B) showed the comparatively extensive damage of the gastric mucosa, and necrotic lesions penetrated deeply into the mucosa. Furthermore, extensive edema and leukocyte infiltrations of the submucosal layer appeared microscopically with severe disruption to the surface epithelium. In the pre-treatment groups (VVE, RAN, VVE+RAN), stomach histology showed mild disruption to the surface epithelium and edema of the submucosal layer with leucocyte infiltration and reduced amounts of erosive lesions in the gastric mucosa (Figs. 4C-E). Again, there is a lower power in Crypt abscessing present in both of VVE and VVE+RAN, and hemorrhages in submucosa also observed in VVE. In the post-treatment groups, the gastric mucosal tissues showed almost normal. Post-treatment with VVE shows very mild disruption of the surface epithelium, congestion in blood vessels in RAN treatment was observed. Furthermore, mild edema leukocyte infiltrations were also observed in VVE, RAN and VVE+RAN (fig. 4F-H).

Fig. 4: Histological analysis of gastric mucosa of control and experimental animals (H and E staining 100 x).
(A) Control gastric mucosa shows the normal architecture of epithelial lining (Mucosa (M), submucosa (SM), muscularies propria (MP)). (B) Gastric mucosa of sever gastric ulcer group shows marked inflammation, neutrophil infiltration and mucosal ulceration with submucosal edema (E). Also, gastric mucosa (M) shows a necrotic lesion (NL) and ulcer (U). (C) Gastric mucosa of VVE pre-treated rats show no ulcers, mucosal regeneration with mild inflammatory cells, and mild edema.(D) Gastric mucosa of RAN pre-treated rats shows mild disruption to the surface epithelium and edema of the submucosa layer with serosal (S) in submucous layers. (E) Gastric mucosa of VVE+RAN pre-treated rats shows mild disruption to the surface epithelium with edema and leucocyte infiltration of the submucosa layer. (F) Gastric mucosa of VVE post-treated rats shows very mild disruption to the surface epithelium with edema and leucocyte infiltration of the submucosal layer to a mild-moderate condition. (G) Gastric mucosa of RAN post-treated rats shows normal gastric epithelial lining similar to that of control. (H) Gastric mucosa of VVE+RAN post-treated rats shows normal gastric epithelial lining similar to that of control

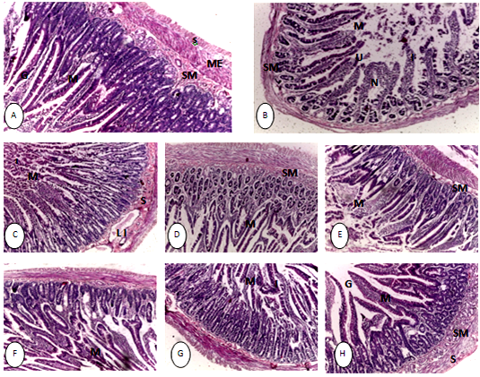
Fig. 5: Histological analysis of duodenal mucosa of control and experimental animals (H and E staining 100 x).
(A) Control gastric mucosa shows the normal architecture of epithelial lining (Mucosa (M), submucosa (SM), muscular external (ME). (B) The duodenal mucosa of sever gastric ulcer rats shows mucosal necrosis (N), ulcer (U) and hemorrhage in the mucosa. (C) The duodenal mucosa of VVE pre-treated rats shows, hemorrhage in mucosa and leukocyte infiltration (LI) in submucosa layer. (D) Duodenal mucosa of RAN pre-treated rats shows crypt proliferation and hemorrhage in submucosa layer. (E) Duodenal mucosa of VVE+RAN pre-treated rats shows inflammatory infiltrate in lamina propria with an increase in the number of goblet cells (G). (F) Duodenal mucosa of VVE post-treated rats shows little hemorrhage in mucosa as well as normal serosa musculosa, submucosa, and mucosa. (G) The duodenal mucosa of RAN post-treated rats shows normal duodenal epithelial lining similar to that of control. (H) The duodenal mucosa of VVE+RAN post-treated rats shows normal gastric epithelial lining with a large number of goblet cells.
Duodenum section of rats from the control group revealed the normal structure of both the villi and glands. There are three major layers, mucosa, submucosa and muscularis propria, which were easily identified (fig. 5A). In comparison with control, SGU showed severe infiltration of inflammatory cells in the lamina propria of the mucosal layer; this was accompanied by ulceration of the lining epithelial layer of the mucosa with mucosal necrosis and hemorrhage (fig. 5B). In pre-treated groups (VVE, RAN and VVE+RAN), the duodenal sections revealed moderate improvement, but could not completely restore their normal histological architecture. Pre-treatment with VVE caused a decrease in infiltration of inflammatory cell in the lamina propria, associated with little hemorrhage in submucosa and muscularis mucosa (fig. 5C). In pretreatment groups with RAN and VVE+RAN (fig. 5DandE), crypt proliferation was observed, with some of the inflammatory cell infiltration in VVE+RAN pretreatment group (fig. 5E).
In contrast, the post-treated rats have great improvement in their duodenal histological architecture; duodenum sections showed more compact mucosa in VVE, RAN and VVE+RAN with mild inflammatory cell infiltration in mucosal epithelial after treatment with VVE (fig. 5F) and RAN (fig. 5G). However, VVE+RAN sections showed nearly normal mucosa and submucosa (fig. 5H).
DISCUSSION
The imbalance between gastroduodenal mucosal defenses and counteract aggressive forces are supposed to play an important role in the causation of peptic ulcer [52, 53]. Several models mimicking gastroduodenal ulcer have been developed and among these models, administration of indomethacin coupled with hypothermic and restraint stress (SGU) which acquired widespread use and is considered by some experts as the gold standard gastroduodenal ulcer animal models [54, 15]. For the therapeutic strategies of gastroduodenal ulcer disease, it is important to find antioxidant compounds that are able to inhibit the gastric acid secretion, boost the mucosal defense mechanisms by increasing mucosal production, and stabilizing the surface epithelial cells [55]. Natural products were considered as a rich source of compounds for drug discovery [56]. Therefore, by scavenging free radicals, antioxidants from plant sources may play an important role in gastric ulcer therapy. So, the present study aimed to investigate the antiulcerogenic effect of Vitis vinifera extract (VVE) and/or ranitidine (RAN).
1; 1-Diphenyl-2-picrylhydrazyl (DPPH) assays usually used to estimate the antioxidant competence of a compound [57]. The present study showed that the VVE exhibited radical scavenging activity which indicates that it could be a potentially rich source of natural antioxidants. This high antioxidant potential demonstrated by the VVE may be explained by the different chemical components of the crude extract, like flavonoids, tannins, phenolic compounds (saponins and terpenoids) and protein. During the selection of natural supplements for use in healthcare systems, Safety is considered the overriding criterion. Thereby, the present study investigated the acute toxicity study of VVE based on OECD (420) guidelines and showed its safety. LD50 value was found to be greater than 5000 mg/kg body weight. Thus, the present work suggested that oral administration of 10% of the limit dose (500 mg/kg) of VVE does not cause any apparent acute toxicity.
Gastric acid oversecretion is one of the key pathogenic factors for gastric ulcer induction [15]. In the present study, SGU caused a remarkably significant increase in gastric juice discharge, total acidity, and marked peptic ulcer lesions. In consonance with the report of [58], gastric ulcer lesion recorded in the present study may be due to inhibition of prostaglandin synthesis that induced gastric acidity and consequently stomach susceptibility to mucosal injury. Therapeutic agents of peptic ulcers generally depend on the inhibition of gastric acid secretion by histamine H2-antagonists [59, 60]. Pre or post-administration of VVE and/or RAN in the present study induced a significant reduction in volume and acidity of gastric juice as well as an ulcer index. It was reported that Gallic acid in VVE encompasses the ability to prevent and heal gastric mucosal damage induced by NSAIDs by its antihistaminic activity, as well as inhibiting up-regulation of pro-inflammatory cytokines and modulating inflammatory reactions [61, 62].
Peptic ulcers are a complex process which includes reactive oxygen species (ROS) generation and extracellular matrix degradation [63, 15]. It was reported that the oxidative stress in gastric tissue causes damage to key biomolecules such as lipids. In conjunction with the report of [64-66], the present study recorded elevations in the levels of the end products of lipid peroxidation, malondialdehyde (MDA) in the gastric tissues following SGU. The elevation in MDA suggests enhanced lipid peroxidation leading to tissue damage and failure of antioxidant defense mechanisms to prevent the formation of excessive free radicals. The underlying mechanisms of increased systemic oxidative stress during gastric mucosal lesions may be due to the generation of oxygen free radicals and lipid peroxidation [67, 65]. However, the decrease of lipid peroxidation mediated oxidative stress may be a potential and effective strategy for the prevention and treatment of peptic ulcer [15]. The present study affirmed the finding of [68,69], who reported that VVE and/or RAN significantly decreased MDA levels in injured gastric and duodenal ulcer due to its antioxidant mechanism, which manifested by the presence of different phytochemical antioxidant components.
Glutathione reduced (GSH) is the major endogenous antioxidant, which counterbalances free radical mediated damage [70]. In accordance with the reports of [63, 65], the present study supports the notion that depletion of gastric and duodenal GSH after SGU is one of the major factors that permit lipid peroxidation and subsequent tissue damage. The increase in MDA levels and the concomitant decreased in GSH levels demonstrate the role of oxidative mechanism in sepsis-induced tissue damage [63]. The significant increase in gastric and duodenal GSH levels showed the prophylactic and curative efficacy of VVE and/or RAN treatment in the present work. The increased levels of GSH before or after VVE treatment may be attributed to an increased rate of GSH synthesis or due to increased gastric and duodenal tissue uptake of extracellular GSH. [71] Reported that GSH has been mobilized from blood and other tissues to protect target organs in conditions associated with increased oxidative stress.
The antioxidant enzymes, catalase (CAT), glutathione-S-transferase (GST) and superoxide dismutase (SOD) have been proposed as the key component of a cellular defense system against reactive oxygen species [72] and major biomarkers of gastric oxidative stress [73]. These antioxidant enzymes are natural protective barriers against lipid peroxidation that prevent the generation of hydroxyl radicals and protect the cellular constituents from oxidative damage [74]. Glutathione-S-transferase (GST) is an important enzyme involved in conjugation reaction catalyzing the detoxification of a variety of endogenous and exogenous compounds [75]. Catalase is a highly reactive enzyme that reacts with H2O2 to form water and molecular oxygen [76-78]. SOD plays an important role in preventing gastric ulcer by catalyzing the breakdown of highly reactive radical superoxide (O2-) into oxygen and hydrogen peroxide [79, 80]. In agreement with the report of [81,15] the inhibition of the antioxidant enzymes, SOD and GST following SGU in the present study may be due to the enhancement of the lipid peroxidation which, inhibit protein synthesis and consequently the activities of certain enzymes. In contrary, IND and cold stress induced a significant increase in the CAT activity in the gastric and duodenal tissues. This increase would be due to enhanced oxygen free radical production, which could stimulate antioxidant activities [82] to cope with increased oxidative stress and protect the cells, from damage. Treatment with VVE and/or RAN normalized the antioxidant levels through their rich of flavonoids, tannins, phenolic compounds that have the ability to scavenge free radicals [68, 83].
Nitric oxide (NO) is an endogenous defensive factor for gastric cells and exhibits gastroprotective properties against different types of aggressive agents [84]. In the present study, SGU significantly reduced gastric mucosal NO level compared to the control group and enhances mucosal injury [85]. This is attributed to the ability of indomethacin to up regulate the endothelin-1 leading to decrease the production of gastric mucosal NO [86]. Pre or post-treatment with VVE and/or RAN significantly increased mucosal NO level when compared to SGU group [87]. The increment of NO may be due the gastroprotective properties of the VVE that enhanced antioxidant defense system which is known to be embodiments of scavengers which mop up free radicals predispose the stomach to inflammation [30, 31].
Histological observations of gastric mucosa suggest that SGU induced gastric ulceration that characterized by edema, leukocytes infiltrations, acute necrotic lesion, and hemorrhage. In addition, ulceration and inflammatory infiltration in the duodenal wall were also observed. These findings are in agreement with [88] and [89]. It was reported that gastric lesions induced by indomethacin are characterized by significant oxidative injury and reduced mucosal blood flow mainly due to inhibition of PGs secretion [90]. Oral administration of VVE and/or RAN leading to improvement of gastric and duodenal injuries and decrease the necrotic lesion which may be due to the presence of flavonoids that have been shown to possess high antiulcer activity [91]. The present study confirmed the findings of [92, 31] who suggested that healing properties of VVE are attributed to the presence of Gallic acid, polyphenol and flavonoids that have antiulcer activity.
CONCLUSION
Based on the present study, it was concluded that VVE may have both protective and therapeutic effects of gastric and duodenal ulcers. Therefore, the current study suggested that VVE plays a role in ameliorating the serious effects of SGU model by decreasing MDA and increasing the GSH level as well as improving cellular antioxidant status. In addition, VVE caused improvement of gastric and duodenal lesions. Moreover, healing properties of VVE are attributed to the presence of Gallic acid, polyphenol and flavonoids that have antiulcer activity. However, further studies are necessary to elucidate the mechanisms of their action to ensure the safety of such therapeutic approach.
CONFLICTS OF INTERESTS
Declared none
REFERENCES
How to cite this article