
1,2Department of Pharmacology, PES College of Pharmacy, 50 Feet Road, Hanumanthanagar, Bangalore 560050, Karnataka, India
Email: newarisasha@gmail.com
Received: 23 May 2016 Revised and Accepted: 27 0ct 2016
ABSTRACT
Objective: Nephelium lappaceum Linn (Sapindaceae), also known as Rambutan is a tropical fruit native to Malaysia. The rind of Rambutan, which is normally discarded, has been used in the present research work to explore the immunomodulatory activity of ethanolic extract and also its protective effect against cyclophosphamide (CP) induced immunosuppression.
Methods: The assessment of immunomodulatory activity was carried by testing the humoral (Haemagglutination antibody titre (HA) model), cell-mediated immunity (delayed type hypersensitivity reaction model), haematological parameters, carbon clearance assay (phagocytic index), organ index (spleen and thymus) and histopathological study of mice thymus.
Results: Administration of the ethanolic extract significantly increased the antibody titre and DTH response in response to sheep red blood cells when compared to normal control and CP control group. There was a prominent increase in the WBC count, spleen index, thymus index and the phagocytic index in immune suppressed group treated with ethanolic extract of Nephelium lappaceum rind compared to the immune suppressed control group.
Conclusion: The result suggests that the ethanolic extract has the potential to modulate the immune system as well has a protective effect against CP-induced immune suppression.
Keywords: Nephelium lappaceum, Cyclophosphamide, immunosuppression, Sheep red blood cells
© 2017 The Authors. Published by Innovare Academic Sciences Pvt Ltd. This is an open access article under the CC BY license (http://creativecommons.org/licenses/by/4. 0/)
DOI: http://dx.doi.org/10.22159/ijpps.2017v9i1.13038.
INTRODUCTION
The immune system has a huge impact on human disease and as well is involved in the etiology and pathophysiological mechanisms of several diseases. Physicians face great problems in treating immune dysfunctions. Immunological diseases (e. g., rheumatoid arthritis, type 1 diabetes mellitus, and asthma; solid tumours and hematologic malignancies) are growing at an epidemic rate which requires urgent attention [1]. Immunomodulators can be natural or synthetic substances which help in regulating or normalising the immune system and correct immune systems that are out of balance. Immunomodulators can be of two types: immunosuppressants; which suppress the immune system and are used for the control of pathological immune response in autoimmune disease, graft rejection, etc. Immunostimulants are the other type, which improves the resistance of body against infections [2]. The benefits of immunomodulators which can be biological or synthetic stem from their ability to stimulate natural and adaptive defence mechanisms [2].
Immunomodulatory drugs can treat a number of disorders such as immunodeficiency state as in cancer chemotherapy, autoimmune disease, cancer (leukaemia) and viral infection [2]. Although natural immunomodulators are less potent than prescription immune-modulators, they have less chances of side effects [3].
Rambutan (Nephelium lappaceum) is a medium-sized evergreen tree found commonly in Malaysia. They have an open structure growing 12-15 m high, and produces ellipsoidal fruits in clusters of long thick, soft, hairs or spines on the surface; known as Rambutan (in Malay ‘ram but’ stands for hair). It is a tropical fruit belonging to Sapindaceae family. Rambutans are small, red coloured fruits with spiky hair on the skin. They have sweet, juicy flesh that is slightly acidic and small brown coloured seeds. The hairy outgrowth has eye-catching red or yellow colour and it imparts a distinctive exotic appearance to its fruits [4].
The rind of Nephelium lappaceum which is normally discarded was selected to investigate for its immunomodulatory activity and protective effect against CP-induced immune suppression based on the following literature review:
Previous studies showed that the ethanolic extracts of rind were not cytotoxic to normal mouse fibroblast cells or splenocytes and that the ethanolic extract, either alone or in combination with other active principles, can be used in cosmetic, nutraceutical and pharmaceutical applications [5]. The rind of Rambutan had shown to contain chemical constituents exhibiting immunomodulatory activity such as tannins saponin, alkaloid, hydrocyanic acid, phenols, oxalate, tannins, volatile compounds, flavonoids and proteins [6, 7]. Also it showed to contain substances exhibiting antioxidant activity such as ascorbic acid and phenolic compounds (anthocyanins, flavonoids, tannins, ellagic acid, corilagin, and geraniin) [8]. Rambutan rind has many uses such as Anti-viral/Anti-Herpes [9], Anti-oxidant [10], Anti-bacterial [10], Anti-Hyperglycaemic [11], Anti-Inflammatory [11], and Anti-proliferative [12].
MATERIALS AND METHODS
Chemicals and reagents
Cyclophosphamide tablets I. P.-50 mg (Endoxan, Cadila Healthcare Ltd.), carbon ink suspension (Camlin ink, Mumbai), WBC diluting fluid (Spectrum reagents and chemicals Pvt. Ltd. Edayar, Cochin), RBC diluting fluid (Nice Chemicals, Kerala, India), sodium carbonate (SD. Fine Chemicals Ltd., Mumbai), Digital Vernier Calliper (Bliss classic, Yamayo) and all other solvents used for experimental work was of analytical grade.
Collection and identification of the fruit
Nephelium lappaceum fruit was procured from the local market of Bangalore, India and was identified and authenticated by Dr. V Rama Rao (National Ayurveda Dietetics Research Institute, Bangalore).
Authentication Ref. number–Authentication/S. M. P. U./N. A. D. R. I./BNG/2015-16/1267.
Preparation of extract
The fruit rind was shade dried for 2 d and then air dried in hot air oven for 4-5 d. The dried rind was cut into pieces and coarsely powdered using mixer grinder. About 237.77 g of dried rind powder of Nephelium lappaceum were subjected to extraction with 70 % v/v of ethanol by Soxhlet apparatus for about 72 h. During the process of extraction, the alternate filling and emptying of the body of the extractor went on continuously till the powder was exhausted and it was confirmed by discoloration of the solvent at the side tube of the extractor (Siphon). Then after, the residue was removed by filtration and transferred to petri plates for concentration. The concentrated extract was further dried in a tray dryer at 45 °C. The resultant reddish brown semisolid extract was transferred to clean bottle. The ethanolic extract of Nephelium lappaceum (EENL) was kept in cool place and it was used for further study.
Dose selection
The acute toxicity studies on the extract were found to be carried out already as per our literature review and it was reported to be safe up to 2000 mg/kg body weight (b. w) [14]. The dose of EENL for the pharmacological studies was selected based on the previous research work performed. For this study, the selected doses were 100 and 200 mg/kg body weight per oral (b. w p. o.) of animal [12]. The solutions were freshly prepared on the day of an experiment by dissolving in distilled water and administered orally.
Experimental animals
Swiss albino mice weighing between 18-25 g were procured from authenticated supplier (In vivo Bioscience, Bangalore) and were maintained in the animal house of PES College of Pharmacy, Bangalore. All the animals were acclimatised for seven d under standard husbandry conditions, i.e. room temperature of 25±1 °C; relative humidity 45-55% and a 12:12 h light/dark cycle. The animals had free access to standard rat pellet, with water supplied ad libitum under strict hygienic conditions. Animals were habituated to laboratory conditions for 48 h prior to the experimental protocol to minimise if any of non-specific stress. The experimental protocols were approved by the Institutional Animal Ethical Committee (Ref. No. PESCP/IAEC/05/14 Date: 13-12-2014) and conducted according to CPCSEA guidelines (CPCSEA Reg no: 600/PO/Ere/S/02/CPCSEA), Govt. of India. All the protocols and the experiments were conducted in strict compliance according to ethical principles and guidelines provided by Committee for the Purpose of Control and Supervision of Experiments on Animals (CPCSEA), Govt. of India, New Delhi.
Antigen
Sheep blood was collected from the slaughterhouse in tubes containing the Alsever’s solution in the ratio 1:2. SRBC was washed thrice in pyrogen free phosphate buffer saline (PBS) and centrifuged at 2500-3000 rpm for 10 min. The supernatant was removed with pasture pipette and suspended in normal saline. The number of SRBC was then adjusted to a concentration of 1X108 cells in 0.1 ml after the RBC count. RBC count was carried out using Neuber’s chamber and RBC pipette. This RBC suspension was used for immunisation and challenge [15].
Carbon clearance assay model in mice
Fifteen Swiss albino mice weighing 18-25 g were divided into three groups (5 each). Group I was taken as normal control and treated with normal saline. Group II and Group III were administered with extract at a dose of 100 mg/kg and 200 mg/kg respectively. The treatment was carried out for 5 d. Carbon ink suspension was diluted eight times with saline and used for the carbon clearance test in a dose of 10 μl/gm body weight of mice. Carbon ink was injected via the tail vein to each mouse 48 h after the 5 d treatment. Blood samples (25 μl) were then withdrawn from the retro-orbital plexus under mild ether anaesthesia at 0 and 15 min after injection of colloidal carbon ink and lysed in 2 ml of 0.1% w/v sodium carbonate solution. The optical density was measured spectrophotometrically at 660 nm. The phagocytic index (K) was calculated using the following formula:
K= (In OD1-In OD2)/t2-t1
Where, OD1 and OD2 were the optical densities at time t1 and t2 respectively [16, 17].
Haemagglutinating titre (HA) and Delayed-type hyper-sensitivity (DTH) model
Mice were divided into 5 groups of five mice each. Drugs were administered in various groups: Group I-vehicle (normal saline; 7 d), Group II-extract at a dose of 100 mg/kg (7 d), Group III-cyclophosphamide 50 mg/kg p. o. (d 4, 5 and 6), Group IV and V-extract 100 and 200 m/kg (7 d), respectively along with cyclophosphamide (d 4, 5 and 6). The animals from all groups were immunised by injecting 0.1 ml of a SRBCs suspension containing 1×108 cells intraperitoneally on d 0.
Table 1: Experimental design; Haemagglutinating titre (HA) and Delayed type hypersensitivity (DTH) model [18, 19]
| Group (N = 5) | Treatment(dose and route) | Treatment schedule |
| I Normal control | SRBC (1×108) 0.1 ml i. p. | D 0 |
| Saline p. o. | D 1 to 7 | |
| SRBC (1×108) 0.1 ml | D 7 | |
| II EENL control | SRBC (1×108) 0.1 ml i. p. | D 0 |
| 100 mg/kg p. o. | D 1 to 7 | |
| SRBC (1×108) 0.1 ml | D 7 | |
| III CP control | SRBC (1×108) 0.1 ml i. p. | D 0 |
| CP p. o. 50 mg/Kg, p. o. | D 4 to D 6 | |
| SRBC (1×108) 0.1 ml | D 7 | |
| IV EENL (Low dose)+CP | EENL 100 mg/kg p. o. | D 1 to 7 |
| SRBC (1×108) 0.1 ml i. p. | D 0 | |
| CP p. o. 50 mg/Kg, p. o. | D 4 to D 6 | |
| SRBC (1×108) 0.1 ml | D 7 | |
| V EENL (High dose)+CP | EENL 200 mg/kg p. o. | D 1 to 7 |
| SRBC (1×108) 0.1 ml i. p. | D 0 | |
| CP p. o. 50 mg/Kg, p. o. | D 4 to D 6 | |
| SRBC (1×108) 0.1 ml | D 7 |
Blood samples were collected from individual animals of all the groups by retro-orbital puncture on d 7 and serum was separated. Antibody levels were determined by the hemagglutination technique, using 96 wells (12x8) flat bottomed titre plate. The wells were marked from 1 to 12. Each well of a micro titre plate was filled initially with 25 μl of normal saline and 25 μl of serum was mixed with 25 μl of normal saline in the first well and 11th well of the microtitre plate. Subsequently, the 25 μl diluted serum was removed from the first well and added to the next well to get two-fold dilutions of the antibodies present in the antiserum. Further two-fold dilutions of this diluted serum were carried out up to well number 10, so that the antibody concentration of any of the dilutions is half of the previous dilution. After this 25 µl of solution from well number 10 was discarded. Finally, 25 μl of 1×108 SRBC was added to each well and the microtiter plates were incubated at 37 °C for one hour and then observed for hemagglutination. Each well was examined for hemagglutination. The reciprocal of highest dilution just before the button formation was considered as a titer value. The antibody titre was expressed in a graded manner, the minimum dilution (1/2) being ranked as 1 and the mean ranks of different groups were compared for statistical significance.
On d 7, the thickness of the left hind footpad was measured using digital Vernier calliper. The mice were then challenged by injection of 1×108 SRBCs in left hind footpad. Foot thickness was measured again+24 h and 48 h after this challenge. The difference between the pre and post challenge foot thickness (expressed in mm) was taken as a measure of DTH. On d 9, blood was collected from retro-orbital plexus for WBC count.
Organ index
At the end of the study, the animals were sacrificed by an overdose of anaesthesia and spleen and thymus were removed. The surface of the each organ was dried of blood using a filter paper and weighed using electronic balance. The individual organ index was calculated as follows [20]:
Spleen index = Spleen weight/body weight ×100%.
Thymus index = Thymus weight/body weight ×100%.
Histopathology
On 9th d after observing the thymus weight, the thymus of different groups was placed in 4% paraformaldehyde overnight and subjected for histopathological examination.
Statistical analysis
The values were expressed as mean±SEM from 5 animals. The results were subjected to Statistical analysis by using one-way ANOVA followed by Bonferroni's multiple comparison tests or Dunnett’s test to calculate the significance. P<0.05 was considered as significant.
RESULTS
Carbon clearance assays model
The phagocytic index was significantly (p<0.05 and p<0.01) increased at a dose of 100 [0.035±0.004] and 200 mg/kg [0.061±0.005] respectively when compared with the normal control group [0.017±0.001]. There was an increase in clearance of carbon particles from the blood (as shown in table 2 and fig. 1) as observed by an enhanced phagocytic index which indicated the stimulation of the reticuloendothelial system.
Table 2: Effect of ethanolic extract of Nephelium lappaceum on phagocytic index
| Animal group | Treatment | Phagocytic index |
| Control (saline) | 0.017±0.001 | |
| Extract (100 mg/kg) | 0.035±0.004* | |
| Extract (200 mg/kg) | 0.061±0.005** |
Data are expressed as a Mean+SEM, n=5; using one-way analysis variance (ANOVA) followed by Dunnett’s multiple comparison tests. *= p<0.05 **= p<0.01 significant.
Haemagglutinating antibody (HA) titre
Administration of the ethanolic extract showed increased HA titre both in normal immune and cyclophosphamide immunosuppressed mice. H. A. titre in extract control group at a dose of 100 mg/kg [5.800±0.583] was significantly (p<0.001) increased when compared with normal control group [3.200±0.374]. Similarly, the mice treated with extract at a dose of 100 mg/kg [3.40±0.509] showed significantly (p<0.01) increase in H. A. titre when compared with the immunosuppressed CP control group [1.200±0.374]. Treatment with extract at a dose of 200 mg/kg [7.400±0.509] showed significantly (p<0.001) increase in H. A. titre when compared with the immunosuppressed CP control group [1.200±0.374]. The increase in HA titre correlated to the activation of humoral immune response.
Table 3: Effect of ethanolic extract of Nephelium lappaceum on haemagglutinating antibody (HA) titre
| Animal group | Treatment | HA titre |
| Control (saline) | 3.200±0.374 | |
| Extract control (100 mg/kg) | 5.800±0.583**a | |
| CP control (50 mg/kg p. o.) | 1.200±0.374*a | |
| Extract control (100 mg/kg) +CP (50 mg/kg p. o.) | 3.400±0.509*b | |
| Extract (200 mg/kg) +CP (50 mg/kg p. o.) | 7.400±0.509***b |
HA= Haemagglutinating antibody, CP= cyclophosphamide, Data are expressed as a Mean+SEM, n=5; using one way analysis variance (ANOVA) followed by Bonferroni's multiple comparison test. *= p<0.05 **= p<0.01 ***=p<0.001. a = when compared with normal control, b= when compared with CP control.
Mean foot paw thickness in delayed type of hypersensitivity (DTH) model
The cell-mediated immune response was assessed by delayed type of hypersensitivity reaction i.e. footpad reaction. The groups treated with the extract alone and extracted along with cyclophosphamide showed an increase in the paw thickness when compared with the groups with normal immune status as well when compared with cyclophosphamide treated the group as shown in table 3. The increase in paw thickness 24 h and 48 h post treatment is associated to the stimulation of cellular immune response.
Table 4: Effect of ethanolic extract of Nephelium lappaceum on paw thickness
Animal group |
Treatment |
Footpad thickness (mm) |
|
24h |
48h |
||
1 |
Control (saline) |
0.406±0.061 |
0.232±0.021 |
2 |
Extract control (100 mg/kg) |
0.608±0.076* |
0.370±0.047 |
3 |
CP control (50 mg/kg p. o.) |
0.070±0.029*a |
0.048±0.033*a |
4 |
Extract control (100 mg/kg)+CP (50 mg/kg p. o.) |
0.478±0.071***b |
0.282±0.027**b |
5 |
Extract (200 mg/kg)+CP (50 mg/kg p. o.) |
0.580±0.115***b |
0.380±0.073***b |
Data are expressed as a Mean+SEM, n=5; using one way analysis variance (ANOVA) followed by Bonferroni's multiple comparison test. *= p<0.05 **= p<0.01 ***=p<0.001. a = when compared with normal control, b= when compared with CP control. CP= cyclophosphamide.
Hematological parameter
Administration of ethanolic extract of Nephelium lappaceum at both levels (normal immune mice and cyclophosphamide treated immunosuppressed mice) showed statistically significant (p<0.05) increase in WBC count when compared to cyclophosphamide control treated and controlled treated mice.
Organ index
The spleen and thymus index of cyclophosphamide control group decreased significantly (p<0.01 p<0.001) respectively when compared to normally treated group. While the spleen and thymus index for groups treated with the ethanolic extract increased significantly as compared to cyclophosphamide control group.
While the only extract treated group showed no significant change compared to the normal group. These results indicated that EENL could maintain the normal morphology of immune organs.
Histopathological study of thymus

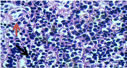
Fig. 1: Thymus section of group 1 (normal control), 40X
Table 5: Effect of ethanolic extract of Nephelium lappaceum on WBC count
| Animal group | Treatment | WBC count 103 cells/mm3 |
| Control (saline) | 4.520±0.075 | |
| Extract control (100 mg/kg) | 5.360±0.177*a | |
| CP control (50 mg/kg p. o.) | 3.410±0.060**a | |
| Extract control (100 mg/kg)+CP (50 mg/kg p. o.) | 4.430±0.205**b | |
| Extract (200 mg/kg)+CP (50 mg/kg p. o.) | 7.080±0.331***b |
WBC = White Blood Cells, CP= cyclophosphamide, Data are expressed as a Mean+SEM, n=5; using one way analysis variance (ANOVA) followed by Bonferroni's multiple comparison test. *= p<0.05 **= p<0.01 ***=p<0.001. a = when compared with normal control, b= when compared with CP control.
Table 6: Effect of ethanolic extract of Nephelium lappaceum on organ index
| Animal group | Treatment | Spleen index | Thymus index |
| Control (saline) | 0.452±0.043 | 0.187±0.013 | |
| Extract control (100 mg/kg) | 0.545±0.035 | 0.206±0.011 | |
| CP control (50 mg/kg p. o.) | 0.284±0.008**a | 0.077±0.002***a | |
| Extract control (100 mg/kg)+CP (50 mg/kg p. o.) | 0.445±0.039*b | 0.135±0.009**b | |
| Extract (200 mg/kg)+CP (50 mg/kg p. o.) | 0.662±0.032***b | 0.215±0.009***b |
Data are expressed as a Mean+SEM, n=5; using one way analysis variance (ANOVA) followed by Bonferroni's multiple comparison test. *= p<0.05 **= p<0.01 ***=p<0.001. a = when compared with normal control, b= when compared with CP control. CP= cyclophosphamide
Section of thymus showed that the integrity of thymus was maintained in group–I. In fig. 1 black arrow indicates normal lymphocytes and the red arrow indicates concentrically arranged, swollen, and keratinized reticular cells that form Hassall's corpuscles.

Fig. 2: Thymus section of group 2 (Extract control, 100 mg/kg), 40X
Few lymphocytes reveal destruction of structural integrity indicated by red arrow in fig. 2. Black arrow indicates normal lymphocytes in fig. 2.
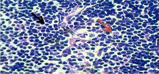
Histopathological changes include; a large number of lymphocytes, especially in a medullary region with lost structural integrity red arrow and normal lymphocytes (black arrow) in fig. 3, disturbed concentrically arranged the pattern of reticular cells that form Hassall's corpuscles green arrow in fig. 3.

Fig. 3: Thymus section of group 3 (cyclophosphamide control), 40X

Fig. 4: Thymus section of group 4 (cyclophosphamide+extract 100 mg/kg), 40X
Lymphocytes, especially in the medullary area have lost their structural integrity black arrow in fig. 10 and disruption of reticular cells red arrow in fig. 4.

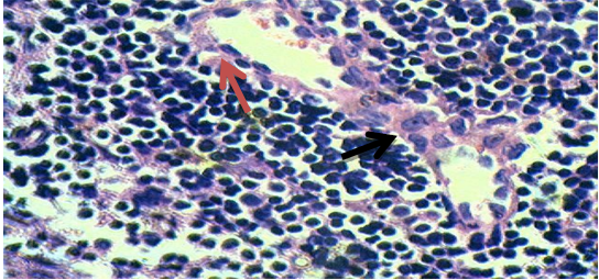
Fig. 5: Thymus section of group 5 (cyclophosphamide+200 mg/kg), 40X
The lymphocytes of the medulla are larger but abundant, and the integrity of cells is maintained with very few necrotized cells (red arrow), normal cells (black arrow) in fig. 5.
DISCUSSION
Evaluation of immune-modulatory activity of ethanolic extract on the parameters of non-specific immunity was carried out by in vivo phagocytosis in normal animals [21]. Phagocytosis by macrophages is important against the smaller parasites and its effectiveness is markedly enhanced by the opsonisation of parasites with antibodies and complementing C3b, leading to a more rapid clearance of parasites from the blood [22]. EENL shows a dose-related increase in the phagocytic index when compared to the control. This relates to increasing in the clearance rate of carbon by the cells of the reticulo-endothelium system (table 2).
Sheep red blood cells were used for antigen challenge and immunisation to study the two components of immune response (humoral and cellular immune response). Injecting mice i. p. with 108 SRBCs suspended in saline sensitises them for elicitation of DTH and also induces antibody formation [19]. Antibody molecules, a product of B-lymphocytes and plasma cells, are central to humoral immune responses; IgG and IgM are the major immunoglobulin’s which are involved in the complement activation, opsonization, neutralisation of toxins, etc [23]. In the present study, the assessment of humoral immunity was carried out by haemagglutinating antibody titre. The antibody titre was elevated in EENL control groups with normal immune status and was found to be statistically significant when compared with normal control group. Cyclophosphamide was used as immunosuppressant as it exerts a depressive effect on antibody production if given after antigenic stimulation. This has been attributed to its interference with helper T-cell activity [22]. Here in this study, cyclophosphamide at a dose of 50 mg/kg body weight, for three d p. o., showed a significant inhibition of antibody responses. Both the doses of EENL in immune suppressed mice showed a significant increase in HA titre when compared to the immunosuppressed CP control group. Thus indicating that EENL counteracts the suppression of humoral response induced by cyclophosphamide and has a possible immunostimulatory effect on macrophages, T and B lymphocyte subsets involved in antibody synthesis (table 3).
SRBC-induced delayed type of hypersensitivity was used to assess the effect of EENL on cell-mediated immunity (CMI) by measuring the severity of footpad edema in cyclophosphamide-induced immunosuppressed mice and in normal immune mice. The group receiving EENL alone after immunisation showed profound DTH response than the normal control group. While the DTH response which is a direct correlate of CMI [24] was found to be significantly lower in CP treated group. Increase in the DTH response in immune suppressed group concurrently treated with EENL at 100 and 200 mg/kg indicates that EENL has a stimulatory effect on T lymphocytes and accessory cell types required for the expression of the reaction (table 4) [23].
Administration of ethanolic extract of Nephelium lappaceum fruit rind in normal immune mice significantly ameliorated the total WBC count.
Bone marrow is the centre for the genesis of all the immune cells, thus is a sensitive target particularly to cytotoxic drugs. In fact, it is the organ affected the most during any immunosuppression therapy. Loss of stem cells and the inability of the bone marrow to regenerate new blood cells results in thrombocytopenia and leucopenia. One of the major adverse effects of cyclophosphamide is myelo-suppression [25]. In the present study, the fall in WBC count produced by cyclophosphamide was enhanced in immune suppressed groups treated with EENL signifying that the drug can stimulate the bone marrow activity (table 5).
Spleen and thymus essays reflecting the function of humoral immunity, cellular immunity and non-specific immunity were conducted [26]. Spleen and thymus weight reduces in response to infection or any toxic agent [27, 28]. Cyclophosphamide treatment causes a reduction in thymus index and spleen gland index [29]. Suggesting its immune-stimulatory effect EENL significantly enhanced the non-specific immune function in cyclophosphamide treated mice and promoted the development of the spleen and thymus in immunosuppressed mice to the normal level. This may be due to increased activity of spleen and thymus (table 6) [30].
The effect on the immune organ was further confirmed with the histopathological study of the thymus. The stability of lymphocytes is necessary for maintaining normal immune function; it is also an important indicator to evaluate the cellular immunity [26]. On exposure to immune toxicants, thymus shows a decrease in size secondary to apoptosis of cortical lymphocytes [28]. A prominent histologic effect of cyclophosphamide is depletion of lymphocytes [31]. The present study showed that the degeneration of lymphocytes observed in cyclophosphamide control group was prevented in the immune suppressed mice treated with EENL (fig. 1-5).
CONCLUSION
The results obtained from the present study suggests that the ethanolic extract obtained from Nephelium lappaceum rind may stimulate both cellular and humoral immune responses as a seen with an increase of haemagglutinating antibody (H. A) titre and footpad edema in normal as well as cyclophosphamide-induced immunosuppressed mice. The extract not only potentials the specific arms of immunity, but also enhances the non-specific immune responses like phagocytic index, spleen and thymus index (validated by histopathology) and efficiently overcomes the drug-induced myelosuppression. However, advanced studies with regard to detailed pharmacological screening of each isolated component and their evaluations for immunostimulant activity are necessary to elucidate the exact, comprehensive mechanism of action.
CONFLICT OF INTERESTS
Declared none
REFERENCES
How to cite this article