
1Dept of Pharmaceutical Chemistry, Kamalakshi Pandurangan College of Pharmacy, Tiruvannamalai, Tamil Nadu, India, 2Research Centre, Manonmanium Sundaranar University, Tirunelveli, Tamil Nadu, India, 3Dept of Biotechnology, Anna Bioresearch Foundation, Arunai Engineering College, Tiruvannamalai, Tamil Nadu, India
Email: drlingam2007@gmail.com
Received: 29 May 2016 Revised and Accepted: 22 Jul 2016
ABSTRACT
Objective: The present investigations were undertaken to evaluate the hepatoprotective and antioxidant activity of the ethanolic extract of the whole plant of Combretum albidum G Don against CCl4-induced hepatotoxicity in rats.
Methods: Hepatoprotective effect of ethanolic extract of Combretum albidum (EECA) was determined by using carbon tetrachloride (CCl4) intoxication of rats as experimental models. The extent of liver damage and effect of the plant extract was assessed by various biochemical parameters like alanine aminotransferase (ALT), aspartate aminotransferase (AST), alkaline phosphatase (ALP), total billrubin (TB) and total protein (TP) in blood serum and concentration of thiobarbituric acid reactive substances (TBARS), reduced glutathione (GSH), superoxide dismutase (SOD), catalase (CAT), glutathione peroxidase (GPx), glutathione-s-transferase (GST) in liver were determined. Histopathological changes in the liver of different groups were also studied.
Results: The administration of EECA at dose levels of 250 and 500 mg/kg/b.w., orally had decreased the rise of ALT, AST, ALP, TB and TBRAS levels and the effects were comparable to standard drug (Silymarin 25 mg/kg/b. w,) the GSH, SOD, CAT, GPx, GST and TP levels were significantly increased in the animals received EECA. The histopathological studies show decreased necrosis and hepatocellular degeneration when compared to the CCl4 intoxicated liver.
Conclusion: This study demonstrates that the hepatoprotective and the antioxidant activity of the whole plant of Combretum albidum therefore scientifically supports the use of this plant in traditional medicine for treatment of liver disorders.
Keywords: Combretum albidum, Hepatoprotective, Antioxidant, Liver regeneration
© 2016 The Authors. Published by Innovare Academic Sciences Pvt Ltd. This is an open access article under the CC BY license (http://creativecommons. org/licenses/by/4. 0/)
DOI: http://dx.doi.org/10.22159/ijpps.2016.v8i9.13136
INTRODUCTION
The liver is the most powerful metabolic organ. The continuous exposure and a variety of toxic environmental agents, certain drugs enhance hepatic injury, identified as a toxicological problem [1]. Most of the toxic chemicals damage the liver cells mainly by inducing lipid peroxidation and other oxidative damages in liver [2]. The choice of treatment for common liver diseases such as cirrhosis, fatty liver, and chronic hepatitis is problematic [3]. In spite of amazing development in modern medicine no effective drugs are available, which activate liver functions and often protect the liver from the damage or helps to reconstruct hepatic cells [4]. In the lack of reliable liver protective drugs in modern medicine, Plants traditionally used in the relief of liver dysfunction might, therefore, provide a useful source of new hepatoprotective compounds for development as pharmaceutical entities or as simple dietary adjuncts to existing therapies.
The Combretum albidum G. Don belongs to the family Combretaceae, commonly known as Buffalo calf in English, Vragay and odaikodi in Tamil, is a large woody climbing, deciduous shrub up to 30 m high, found in semi-evergreen and deciduous forests, along the river banks of peninsular, India and Sri Lanka [5]. In the ethnobotanical claims, leaves of the medicinal plant Combretum albidum G. Don are used in treating patients with jaundice and bark used for treating various skin diseases [6]. A decoction of the fruit is used for treating dysentery and diarrhea [7]. Its wiry stem, seed oil, root reported to cure eye problems, eczema and malarial fever [8].
The muthuvans tribe in Kerala prefers water extract of the stem bark as a remedy for both normal and severe jaundice [9]. The literature review revealed that the pharmacognostic standardization, physicochemical analysis. Preliminary phytochemical studies and isolation of five triterpenoids, beta-sitosterol, gallic acid, ellagic acid, and antibacterial activity of the plant were reported by several researchers [9-13].
To the best of our knowledge, there is no scientific report of the hepatoprotective and antioxidant effect of Combretum albidum. The present investigations are mainly emphasized on exploration and exploitation of the hepatoprotective and antioxidant activity of ethanolic extract of the whole plant of Combretum albidum against CCl4-induced hepatotoxicity in rats.
MATERIALS AND METHODS
Plant material
The whole fresh plant of Combretum albidum G. Don was collected from Thirunelveli district of Tamilnadu, India in the month of Feburary. The plant was identified and authenticated by Dr. V. Chelladurai, Research officer, Botany C. C. R. A. S. Govt. of India, (Retired). The voucher specimen (KPCP3/2014, was deposited in our pharmaceutical chemistry laboratory for future reference. The whole plant was dried under shade, made into a coarse powder with a mechanical grinder, passed through 40 mesh sieves and stored in closed containers for further use.
Extraction procedure
The dried, coarsely powdered Combretum albidum whole plant (500g) was extracted with ethanol [90%v/v] in soxhlet apparatus for 24 h. Then the solvent was completely recovered on the ethanol extract of Combretum albidum (EECA) under reduced pressure by a rotary vacuum evaporator. The concentrated extract was dried on a water bath and preserved in a vacuum desiccator.
Animals
Studies were carried out using Wister albino male rats (180-200g), obtained from Indian Veterinary Preventive Medicine (IVPM), Ranipet, Tamilnadu, India. The animals were grouped and housed in polyacrylic cages (38 x 23 x10 cm) with not more than six animals per cage and maintained under standard laboratory conditions (temperature 25±2◦C) with dark and light cycle (12/12 h). The animals were fed with standard pellet diet supplied by the Poultry Research Station, Nandhanam, India. and fresh water ad libitum. All the animals were acclimatized to laboratory condition for a week before the commencement of the experiment. All animal studies were performed in accordance to guidelines of CPCSEA and Institutional Animal Ethical Committee (IAEC) of Kamalakshi Pandurangan college of Pharmacy, Tiruvannamalai (Tamilnadu). CPCSEA registration number was 745/03/ac/CPCSEA, and all the procedures were followed as per rules and regulation.
Drugs and chemicals
Silymarin was purchased from Micro labs, Tamilnadu. India. ALT, AST, ALP, Bilirubin and Total Protein kits were procured from Span Diagnostics, Surat, India. Thiobarbituric acid (TBA), nitro blue tetrazolium chloride (NBT), Phenazine methosulphate was purchased from Central Drug House, New Delhi, India and 5,5'-dithiobis-2-nitrobenzoic acid (DTNB), reduced glutathione (GSH), carbon tetrachloride purchased from SICCO Research Laboratory, Mumbai, India. All other chemicals and solvent were of analytical grade and commercially available.
Acute toxicity studies
An acute oral toxicity study was performed as per OECD-423 guidelines (acute toxic class method), Albino rats (n=6) of single-sex were selected for the acute toxicity study. Which received a single oral dose of 2000 mg/kg body weight of ethanol extract of Combretum albidum. The dose was administered to overnight fasted rats, and the food was withheld for a further 3-4 h after administration of the drug and observed for signs of toxicity for a period of 14 d [14].
Experimental design
CCL4-induced hepatotoxicity study
After acclimatization, the rats were divided into 6 groups of 6 rats each.
Group I: Served as Normal control which received liquid paraffin 2 ml/kg body weight (b. w), intraperitoneal (I. P).
Group II to V: Were administered with CCl4 in liquid paraffin (1:2) in the dose 1 ml/kg body weight I. P, once in every 72 h for 16 d (1, 4, 7, 10, 13, 16 d).
Group III and IV: Were administrated ethanolic extract of combertum albidum (EECA) at the dose of 250 mg/kg and 500 mg/kg body weight orally once in every 24 h for 16 d respectively.
Group-V: Was administrated with reference drug Sillymarin at the dose of 25 mg/kg body weight orally once in every 24 h for 16 d [15].
Estimation of biochemical parameters
The biochemical parameters were determined after 24 h fasting of the last dose. Blood was obtained from all animals by puncturing retro-orbital plexus. The blood samples were allowed to clot for 45 min at room temperature. Serum was separated by centrifugation at 2500 RPM at 30 °C for 15 min and used for the estimation of various biochemical parameters namely alanine transaminase (ALT), aspartate transaminase (AST), alkaline phosphatase (ALP) [16], total billirubin (TB) [17] and total protein content (TP) [18]. The dissected liver was washed with 0.9% saline and homogenated (5%) in ice-cold phosphate buffer, and then centrifuged at 1000 RPM for 10 min followed by centrifugation of the supernatant at 12000 RPM for 15 min to get the mitochondrial fractions. These fractions were used for the estimations of thiobarbituric acid reactive substances (TBARS) [19]. Reduced glutathione (GSH) [20], superoxide dismutase (SOD) [21], catalase (CAT) [22], glutathione peroxidase (GPx) [23], glutathione-s-transferase (GST) [24].
Statistical analysis
The results are expressed as mean±SD of six animals from each group. One-way ANOVA followed by Dunnet multiple comparison tests have used to analyze the data by Graph pad prism. P<0.05 was considered statistically significant.
Histopathological study
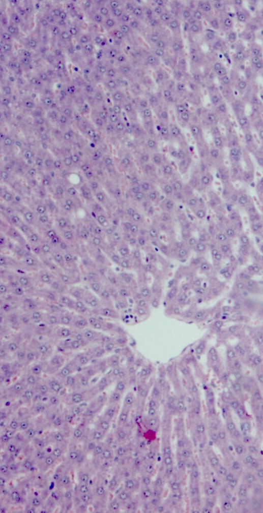
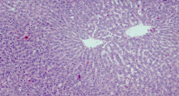
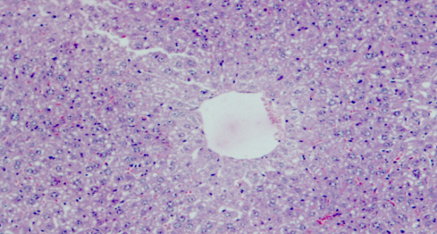
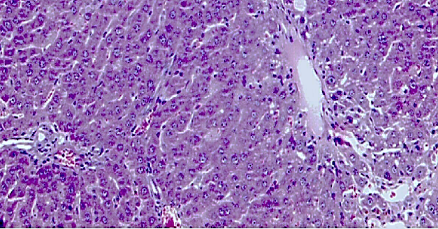
After the collection of blood samples, the rats were killed and their livers were excised, rinsed in ice-cold normal saline and processed separately for histological observation. Initially, the materials were fixed at 10% buffered neutral formalin solution for 48 h and then with a bovine solution for 6 h. Paraffin sections were taken at 5 mm thickness processed in alcohol-xylene series and was stained with alum hematoxylin and eosin [25]. The sections were examined under photomicroscope for histopathological changes, necrosis, steatosis and fatty changes of hepatic cells.
RESULTS
Acute toxicity
It was observed that the administration of single oral dose 2000 mg/kg/body weight of ethanol extract of Combretum albidum to a rat, didn’t induce drug-related toxicity and mortality in the animals, and it was safe up to the dose of 2000 mg/kg/body weight.
Biochemical parameters
The effect of the ethanolic extract of Combretum albidum of CCl4 induced hepatotoxicity and oxidative stress in rats were represented in the fig. 1-5. The animals administrated only with CCl4 resulted in a significant increase (P<0.001) in serum ALT, AST, ALP and TB levels as shown in the fig. 1-2. However, the total serum protein [TP] level was decreased when compared to a normal control group, indicating hepatocellular damage. The toxic effects of CCl4 were controlled in the animals treated with ethanolic extract of Combretum albidum at the doses of 250 and 500 mg/kg b.w., produced significant (P<0.01 and P<0.001) dose-dependent decreases in serum marker enzyme ALT, AST, ALP (fig. 1) and TB (fig. 2) respectively as well as increases total protein level (fig. 2) as compared with normal control by the way of restoration of the level of the liver function similar to that of the reference drug silymarin (25 mg/kg. b. w).
The activity of lipid peroxidation (LPO) level was significantly (P<0.001) increased (fig. 3) and CAT, GPx, GSH (fig. 4), GST and SOD activity were significantly (P<0.001) decreased (fig. 5) in the serum level of rats treated with CCl4 when compared with that of the normal control that received only liquid paraffin. Treatment of rats with ethanolic extract of Combretum albidum at the dose of 250 and 500 mg/kg b.w., significantly (P<0.01, P<0.001) decreased the elevated lipid peroxidation levels and the decreased levels of CAT, GPx, GSH, GST and SOD were restored to the normal levels in a dose-dependent manner when compared with standard drug (Silymarine) treated group.
Histopathology
Histological observation of liver tissue of the normal control group animal showed (fig. 6A) hepatic cells with well-preserved cytoplasm, nucleus, nucleolus, and central vein. In rats treated with CCl4 (fig. 6B), histological observation showed fatty degeneration, damage of parenchymal cells, steatosis and hydropic degeneration of liver tissue. The prominent damage in the central lobular region appeared in the liver. The animals treated with the ethanolic extract of Combertum albidum (250 and 500 mg/kg) showed an improvement in the pathological changes, reduced the fatty degeneration and inflammation at dose-dependent manner (fig. 6C-E)

Fig. 1: Effect of ethanolic extract of Combretum albidum on serum activity levels of ALT (IU/l), AST (IU/l) and ALP (IU/l) in CCl4 induced hepatotoxicity in rats
Values are expressed mean±SD for six rats in each group. a As compared with control, b As compared with CCl4, ***represents P<0.001, **represents P<0.01

Fig. 2: Effect of ethanolic extract of Combretum albidum on serum levels of total bilurubin (mg/dl) and total protein in CCl4 induced hepatotoxicity in rats
Values are expressed mean±SD for six rats in each group. a As compared with control, b As compared with CCl4, ***represents P<0.001, **represents P<0.01.

Fig. 3: Effect of ethanolic extract of Combretum albidum on serum levels of TBARS (nM/mg protein) [Lipid peroxidation (LPO)] level of hepatic tissue in CCl4 induced hepatotoxicity and oxidative stress in rats.
Values are expressed mean±SD for six rats in each group. a As compared with control, b As compared with CCl4, ***represents P<0.001, **represents P<0.01

Fig. 4: Effect of ethanolic extract of Combretum albidum on hepatic levels of CAT (U/mg protein), GSH (U/mg protein) and GPx (micrograms of glutathione utilized/min/mg protein) in CCl4 induced hepatotoxicity and oxidative stress in rats.
Values are expressed mean±SD for six rats in each group. a As compared with control, b As compared with CCl4, ***represents P<0.001, **represents P<0.01

Fig. 5: Effect of ethanolic extract of Combretum albidum on hepatic levels of SOD (units of activity nMol/mg protein) and GST (Units nMol/mg protein) in CCL4 induced hepatotoxicity and oxidative stress in rats.
Values are expressed mean±SD for six rats in each group. a As compared with control, b As compared with CCl4, ***represents P<0.001, **represents P<0.01

Fig. 6A): Histology of normal hepatic tissue

Fig. 6B): CCl4 induced damage in hepatic tissue

Fig. 6C): Effect of EECA (250 mg/kg) dose On CCl4 induced hepatic damage

Fig. 6D): Effect of EECA (500 mg/kg) dose On CCl4 induced hepatic damage

Fig. 6E): Effect of Silymarin On CCl4 induced hepatic damage
DISCUSSION
Prophylactic action in liver damage induced by carbon tetrachloride has widely been used as an indicator of the liver protective activity of drugs in general [26]. Since the changes associated with CCl4-induced liver damage are similar to that of acute viral hepatitis [27]. Investigation of chronic administration of CCl4 induced liver damage in animals was chosen as an experimental model.
It is well documented that carbon tetrachloride is biotransformed under the action of cytochrome P-450 system in the microsomal compartment of liver to trichloromethyl or peroxy trichloromethyl free radical. These free radicals bind covalently to the macromolecules and induce peroxidative degradation of the membrane lipids of endoplasmic reticulum rich in polyunsaturated fatty acids. This leads to the formation of lipid peroxides followed by pathological changes such as triacylglycerol accumulation, polyribosomal disaggregating, and depression of protein synthesis, cell membrane breakdown and even death [28, 29].
In general, the extent of liver damage is assessed by histopathological evaluation and serum levels of ALT, AST, ALP, TB and TP release in circulation [30, 31]. When the liver cell plasma membrane is damaged, a variety of enzymes normally located in the cytosol are released into the blood stream. Their estimation in the serum is a useful quantitative marker of the extent and type of hepatocellular damage [32].
In the present study, it was observed that administration of CCl4 elevates the levels of serum marker enzymes ALT, AST, ALP and total serum bilirubin as well as decreases total serum protein level significantly. Ethanolic extract of Combretum albidum and reference drug silymarin-treated groups exhibited lower serum levels of ALT, AST, ALP and total bilirubin as well as increases total protein as compared to CCl4 treated groups. The stabilization of serum ALT, AST, ALP, and total bilirubin and the restoration of total protein levels by ethanolic extract of Combretum albidum is a clear indication of the improvement of the functional status of the liver cells.
Hepatoprotective activity correlated with antioxidant activity since it is free radical mediated damage [33]. An elevated level of malondialdehyde (MDA) reflects an enhanced lipid peroxidation leading to tissue damage and failure of antioxidant defense mechanisms to prevent the formation of excessive free radicals [34]. Treatment with ethanolic extract of Combretum albidum significantly reversed these changes. Hence it may be possible that the mechanism of hepatoprotection by ethanolic extract of Combretum albidum is due to its antioxidant effect.
The enzymatic antioxidant defense systems are the natural protector against lipid peroxidation. SOD, CAT andGPx enzymes are important scavengers of superoxide ion and hydrogen peroxide. These enzymes prevent generation of hydroxyl radical and protect the cellular constituents from oxidative damage [35]. In the present study, it was observed that the ethanolic extract of Combretum albidum significantly increased the hepatic SOD activity in CCL4 induced liver damage in rats. This shows that the ethanolic extract of Combretum albidum can reduce reactive free radicals that might lessen oxidative damage to the tissues and improve the activities of the hepatic antioxidant enzyme.
Earlier studies regarding mechanism of CCl4 induced hepatotoxicity have shown that GSH plays a key role in detoxifying the reactive, toxic metabolites of CCl4 and that liver necrosis begins when the GSH stores are marked in a depleted state [36, 37] Administration of the ethanolic extract of Combretum albidum increased the content of GSH significantly as compared to CCl4 treated groups.
Catalase (CAT) is an enzymatic antioxidant widely distributed in all animal tissues and the highest activity, is found in the red cells and in the liver. CAT decomposes hydrogen peroxide and protects the tissue from highly reactive hydroxyl radicals [38]. Therefore the reduction in the activity of these enzymes may result in a number of deleterious effects due to the accumulation of superoxide radicals and hydrogen peroxide. Administration of the ethanolic extract of Combretum albidum increased the activities of CAT in CCl4 induced liver damage in rats to prevent the accumulation of excessive free radicals and protected the liver from CCl4 intoxication.
These findings can be further in corroborated by histopathological studies. The histopathological examination clearly reveals that the hepatic cells, central vein, and portal triad are almost normal in the liver section of rats treated with an eathnaolic extract of Combretum albidum in contrast to the liver section of rats which received CCl4 only. Thus Combretum albidum can be considered to be an effective hepatoprotective as it ameliorates almost to normalcy the damage caused by CCl4 to hepatic function.
It is well established that the phytoconstituent such as Flavonoids, triterpenoids and tannins are well known for their hepatoprotective activities [39, 40]. The literature review revealed that preliminary phytochemical analysis of heartwood of Combretum albdium showed the presence of the higher percentage of tannins, flavonoids, triterpenes, saponins,and glycosides, and five triterpenoids namely betulin, betulinic acid, oleanolic acid, arjunolic acid, ellagic acid and another constituent beta-sitosterol, gallic acid were isolated and reported [12,13]. The hepatoprotective activity of Combertum albidum G Don, may be attributed due to the presence of these constituents. This study supports the traditional claims and the plant CA could be added in traditional preparations for the various liver diseases.
CONCLUSION
In conclusion, the present study demonstrated that the Ethanolic extract of Combretum albidum possesses dose-dependent strong antioxidant activities and significant protective effect against chronic hepatotoxicity induced by CCl4. The histopathological studies also substantiate the activity of the EECA. The results suggested that the possible mechanism of this activity may be due to free radical scavenging and antioxidant activity. Therefore, the study scientifically supports the use of this plant in traditional medicine for treatment of liver disorders.
CONFLICT OF INTERESTS
Declared none
REFERENCES
How to cite this article