aNational Centre for Biological Sciences, TIFR, UAS-GKVK Campus, Bangalore 560065,India, bDepartment of Biotechnology, University of Mysore, Mysore 570006, India, 1Centre for Pharmacognosy, Pharmaceutics and Pharmacology, Institute of Ayurveda and Integrative Medicine, No.74/2, JarakbandeKaval, Post: Attur, Via Yelahanka, Bangalore 560064, India, 2Department of Genetics, School of Biological Sciences, Madurai Kamaraj University.
Email: mathew@ncbs.res.in (M.K.Mathew)
Received: 17 June 2014 Revised and Accepted: 17 Jul 2014
ABSTRACT
Objectives: The Voltage Dependent Anion-Selective Channel (VDAC), the most abundant protein of the outer mitochondrial membrane (OMM), forms the major conduit for metabolite transport across this membrane. It has also been shown to be involved in cell death signalling through interaction with other proteins like Hexokinase and by mediating release of apoptogenic proteins like cyt c from mitochondria. As in case of other channel proteins, functional characterization of purified reconstituted protein by using electrophysiological techniques can be used in development of VDAC targeted drugs. Here we report electrophysiological properties of VDACs (one of the target for cancerous cells) purified from different sources.
Methods: Human VDAC1 and rice VDAC4 were heterologously expressed and purified from E. coli BL21 (DE3)-pLysS, while rat and yeast VDACs were purified from mitochondria. Electrophysiological studies of all VDACs were done by using BLM and the data was analysed by using pCLAMP 10 (Axon Instruments).
Results: VDACs purified from both the sources showed conserved voltage dependence and channel conductance, however they showed significant difference in dynamics. VDAC purified from mitochondria had relatively short occupancy of each electrophysiological state compared to protein purified from inclusion bodies.
Conclusion: Our results suggest that the source of purified protein could be critical for some aspects of channel function.
Keyword: VDAC, BLM, Mitochondria, Bacterial expression, Purification.
INTRODUCTION
The Voltage Dependent Anion Channel (VDAC) is the most abundant Outer Mitochondrial Membrane (OMM) protein and is the principal route for transport of metabolites from mitochondria to cytosol and vice versa. Recently many studies have established that VDAC is an important component of many signalling pathways underlying pathophysiological conditions including cancer and neurodegeneration [1-9]. One hallmark of these pathophysiological conditions is perturbation of the interactions between VDAC and its cellular partners [4, 10-18]. For example, the Warburg Effect in cancer features enhanced VDAC-Hexokinase (HxK) interactions which correlate with elevated glycolysis even under normoxic conditions[19-21]. Similarly, interaction of VDAC with peripheral benzodiazepine receptor (PBR) has been shown to be important for controlling cell death [8, 22-26]. Apart from its interaction with other proteins, overexpression and oligomerization of VDAC has also been shown to be important for induction of cell death [27-30]. As a result VDAC has been receiving attention as an unexploited drug target in recent years. 3-bromopyruvate, which controls cell death by disrupting VDAC-HxK interaction, is in phase I clinical trials [31].
VDACs purified from a variety of sources have been characterized using circular dichroism (CD) [32], nuclear magnetic resonance (NMR)[33] and electrophysiological techniques like the planar bilayer membrane (BLM)[34-36]. CD spectra establish that all characterized VDACs comprise predominantly β sheet with a small helical content [32, 36].
Studies on protein reconstituted into planar bilayers show that VDAC forms large conductance (3-5 nS) pores which are slightly anion selective in open State[34-36]. The pore conductance is maximal under zero field conditions - i.e. in the absence of an applied electric field - and decreases on the imposition of high membrane potentials, hence the name. The voltage-dependent decrease in conductance is associated with the population of subconductance states which have permeability characteristics that differ from the Open State populated at zero fields. Binding of physiological partners like hexokinase [21], tubulin [37-39] or Bcl2 [29] as well as pharmacological agents like 4,4'-Diisothiocyanostilbene-2,2'-disulfonic acid (DIDS) [40] and Ruthenium Red [21, 41] result in significant changes in electrophysiological characteristics. Thus, electrophysiological characterization on planar membranes can be used to identify putative interacting partners and pharmacological agents. VDAC isoforms from many organisms ranging from fungi to mammals have been purified. The protein is either purified from mitochondria directly or is heterologously expressed in bacteria or yeast. In this study we have compared electrophysiological characteristics of human, rat, yeast and rice VDAC isoform purified from different sources. We have observed many similarities along with some significant differences which could be of importance for pharmacological characterization of potential VDAC based drugs.
MATERIAL AND METHODS
Cloning of hVDAC1
hVDAC1 gene was amplified from hVDAC1- pBS (gifted from Prof. Michael Forte) by using forward primer with BamHI site AAAGGGATCCTGGCTGTGCCAC and reverse primer with XhoI site ACCGCTCGAGTGCTTGAAATTCC. The PCR product, which had hVDAC1 cDNA without a stop codon, was cloned into pET21a(+) vector in frame with His-tag, between BamHI and XhoI sites. Clones with hVDAC1-His6x-pET21a(+) were confirmed by sequencing. OsVDAC4-His6x-pET-20b+ construct was developed as described earlier in Godbole et al [36].
Bacterial expression and purification of OsVDAC4 and hVDAC1
OsVDAC4-His6x-pET-20b+ and hVDAC1-His6x-pET21a(+) constructs were transformed into E. coli host strain BL21 (DE3)-pLysS and grown in the presence of 100 µg/ml ampicillin and 25 µg/ml chloramphenicol at 37oC. OsVDAC4 and hVDAC1 protein were purified by the protocol published in Godbole et al [36] with some modifications. Briefly, expression of hVDAC1-His6x was induced by addition of 1mM IPTG to transformed bacterial culture grown at 37oC to a final A600 of 0.4 - 0.5. After 3 hrs, the cells were harvested and lysed using 20 ml of lysis buffer (50mM TrisHCl pH-8, 2mM EDTA, 20% sucrose, 12.5ug/ml lysozyme) followed by sonication. Inclusion bodies were separated from the cell lysate then solubilised in buffer containing 6M GnHCl. Protein was purified using Cobalt-Mac column (Co-Mac, Novagen USA) in HPLC. Protein fractions were collected in a gradient of 0mM and 100mM Imidazole with 4.5M GnHCl, 100mM NaCl, 20mM tris-HCl pH8.0. Protein concentration was measured by Bradford assay (Bangalore Genei, Bangalore). Protein fractions were concentrated to 6 – 8 mg/ml by centrifugation in Centricon 30 tubes. LDAO was added to a final concentration of 2% and GnHCl removed by dialysis against loading buffer. Proteins were stored at -80°C at a concentration of 1– 5 mg/ml.
Purification of VDAC from Rat liver mitochondria and from Yeast mitochondria
Mitochondria were isolated from rat and yeast following methods published by Marco Colombini [42] and Gunther et al [43], respectively. Both purified mitochondrial pellets were incubated for 30 min at 4°C in solubilisation buffer (10mM tris pH 7, 1mM HEPES, 0.15mM PMSF, 2% LDAO, protease cocktail). Solubilized mitochondria were centrifuged at 20000 x g for 10 min at 4°C. Supernatant was loaded on dry packed column of hydroxyapatite/celite (2:1). Flow through and other fractions were collected. VDAC was found in flow through. Amount of VDAC in selected fractions was estimated by Bradford assay (Bangalore Genei, Bangalore). The fractions were concentrated by using Centricon 30 tubes to adjust concentration of VDAC to 1-5mg/ml. The protein was stored at -80°C.
Planar Bilayer Lipid Membrane (BLM) experiment
Planar BLM experiments were performed as described in Godbole et al [36]. Briefly, detergent solubilized protein was incubated with 10 volumes of cholesterol or β-sitosterol (1 mg/ml) in BLM buffer containing 2% LDAO on ice for 30 min. 6-13 pmols of the protein was added on cis side of chamber with stable BLM. Upon insertion of channel, voltage-clamp recording was performed using a setup having BC-525C amplifier (Warner Instruments, LLC, Hamden, CT, USA) and Digidata 322 (Axon Instruments/Molecular Devices, USA). The data was analysed by using pCLAMP 10 (Axon Instruments).
RESULTS AND DISCUSSION
Purification of VDAC
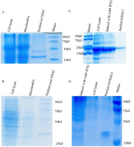
In this study, as described in material and methodsdescribed in material and methods, we have used previouslypublished protocols to purify VDAC isoforms from four different organisms namely rat VDAC (rVDAC), yeast VDAC (yVDAC), human VDAC1 (hVDAC1) and rice VDAC4 (OsVDAC4). rVDAC and yVDAC were isolated from mitochondria from rat liver and yeast cells respectively (Fig1A,B). hVDAC1 and OsVDAC4 were heterologously expressed in E. coli BL21(DE3) and purified from inclusion bodies (Fig1C,D). While protein could be purified both from mitochondria and from inclusion bodies, the yield was significantly greater in the latter.
Electrophysiological characteristic of VDACs
All four purified proteins inserted into 1,2-diphytanoyl-sn-glycero-3-phosphocholine (DPhPC) bilayers and single channels could be characterized in all the cases. Prior incubation of proteins at a concentration of 6-13 pmols/ml in buffer containing 1 mg/ml of appropriate sterol and 2% LDAO was necessary for proper channel formation. Channel conductance and voltage dependence of all VDACs was in accordance with reported values. In large part, voltage dependence is symmetric for all four VDACs and is thus similar to previously reported VDACs but differs sharply from voltage gated cation channels [44].
Intriguingly, while single channel conductance and the overall voltage-dependence of transitions into subconductance states were broadly similar for all the tested VDACs, the dynamics we observe is strikingly different (Table1). Proteins purified from mitochondria display rapid transitions between substates at the appropriate voltages (Fig 2A and B), whereas the proteins purified from inclusion bodies stay in a given substate for an extended period of time before sampling another conductance state (Fig 2C and D).

Fig. 1: Purification of VDACs from different sources. (A) rVDAC purified from rat liver mitochondria. (B) yVDAC from yeast Mitochondria, (C) hVDAC1 from bacterial inclusion bodies.(D) OsVDAC4 from bacterial inclusion bodies.

Fig. 2: Functional characterization of VDACs purified from different sources by using BLM. Current traces were observed in response to applied Voltage. (A) Rat VDAC starts transition from 30mV and shows many transitions at higher potential. (B) Yeast VDAC shows many transitions like rat VDAC. (C) hVDAC1 shows very few transitions at higher potential and that to from 60mV and above. (D) OsVDAC4 show very few transitions like hVDAC1.

Fig. 3: Dwell time of VDACs purified from different sources analyzed by pCLAMP-10 software (A) Rat VDAC and (B) yeast VDAC shows less dwell time, (C) hVDAC1 and (D) OsVDAC4 have high dwell time.
We illustrate this by analysing the dwell times in subconductance state 1 (also referred to as the Closed State in many publications). Single channels of rVDAC and of yVDAC in membranes held at +60 mV undergo transition primarily between the Open State and Subconductance State 1 (or Closed State). The dwell time histogram for Subcondctance State 1 can be fit well with a single exponential yielding mean occupancy times of 75.8±6.6 and 103.3±6.3 ms for rat and yeast VDACs, respectively (Fig 3A and B).
Very few transitions were observed with hVDAC1 or OsVDAC4 (Fig 2C and D). In both cases multiple subconductance States were observed. Here the paucity of events precluded an accurate estimate of occupancy times, but a rough estimate with the limited number of events yields values of 867.4±49.7 and 876.4±37.9 ms (Fig 3C and D). The raw data clearly reveals the dramatic difference in dynamics between the two sets of proteins (Table1).
Table1: Comparison between VDACs purified from different sources in terms of single channel conductance and dwell time.
| VDACs | Source of purification | Single Channel Conductance (nS) | Dwell time (ms) |
| Rat VDAC | Mitochondria | 4.36±0.1 | 75.8±6.6 |
| Yeast VDAC | Mitochondria | 4.25±0.3 | 103.3±6.3 |
| hVDAC1 | Bacterial Inclusion body | 4.59±0.1 | ~867 |
| OsVDAC4 | Bacterial Inclusion body | 4.6 ± 0.3 | ~876 |
DISCUSSION
Ion channels are membrane proteins responsible for transport of ions across the membranes. Open Reading Frames encoding as many as 400 different ion channels are present in the human genome, but relatively few of them have been characterized till date[45]. Mutations in channel genes leading to loss of function or altered function result in a variety of diseases termed channelopathies [46]. Ion channels have thus emerged as popular drug targets.
Functional characterization of ion channels is generally done by electrophysiological techniques. Several electrophysiological parameters like channel conductance, ion selectivity, open probability and dwell time (opening-closing kinetics) can be studied by using appropriate techniques. Any channel modifying agent would affect one or more of these characteristics. Thus a drug candidate can be characterized by assessing its ability to alter the channel physiology.
Dwell-time is an important electrophysiological parameter used for characterization and standardization of putative channel modifying drugs especially with respect to its clinical suitability [47, 48]. For example, an efficient excitotoxicity blocker, MK801, was found to be clinically unsuitable as it extended the dwell-time of the Glutamate receptors of the N-methyl-D-aspartate receptor subtype (NMDAR) leading to undesirable effects [49, 50].
VDAC is looked at as a promising drug target especially for anti-cancer drugs [4, 7, 19, 20, 51]. Potential drug molecules affecting electrophysiology of VDAC can be efficiently characterized by using BLM systems. Our data shows conservation of most of the electrophysiological characteristics like conductance and voltage dependence of VDAC irrespective of its origin and method of purification (Fig 2). This is in agreement with earlier published reports [44]. Additionally, we have also looked at dwell time of VDAC channels formed by protein purified from different sources. Unlike other parameters, dwell-time of the channel differed with source of purification (Fig 3). Dwell time of VDAC has not been studied commonly. It is, however, the only parameter in the electrophysiological arsenal that characterizes channel dynamics. Transitions to subconductance states has dramatic effects on selectivity (only the Open State has significant permeability to ATP and ADP [36, 52]) and has been suggested to influence functioning in apoptotic contexts [53]. Further, in a review, Marco Colombini has pointed out that VDAC dwell time can be affected when elevated voltage is applied for extended durations [54]. Our data demonstrate that the two VDACs purified from inclusion bodies have significantly slower dynamics than the two purified from their native mitochondrial membranes. Published data for rat VDAC purified from rat liver mitochondria, and for yeast VDAC purified from mitochondria are consistent with our dwell time estimates, although this parameter has not been reported on. Additionally, published data on mVDAC1 purified from yeast mitochondria after heterologous expression show transitions into the Closed State with durations of a few hundred milliseconds[21], while those on hVDAC1 [55] and mVDAC1 [56] purified from inclusion bodies display very few transitions with residence times of the order of a second. mVDAC1 and hVDAC1 share 99% sequence identity, suggesting that the difference in observed physiology could be due to the purification protocol.
Our findings are suggestive of a “memory effect” in VDAC – i.e. the observed dynamics of the channel in BLM appears to be strongly influenced by the method of purification. As such, it will be important to keep in mind the purification protocol when evaluating data on VDAC reconstituted into artificial membrane systems
CONFLICT OF INTERESTS
The authors declare that they have no conflict of interest.
ACKNOWLEDGEMENT
We thank Prof. Michael Forte, OHSU USA, for gifting us hVDAC1-cDNA. A. K. D. thanks the Indian Council of Medical Research (ICMR) for an SRF fellowship. This work was supported by internal funds from NCBS.
REFERENCES