
1Department of Chemistry, VELTECH, Avadi, Chennai 600062, Tamilnadu, India
Email: anand.singaravelu@gmail.com
Received: 17 Jun 2016 Revised and Accepted: 22 Jul 2016
ABSTRACT
Objective: The objective of the present study was to determine the cellular level effect on glucose uptake and aldose reductase inhibitory activity of different extracts of traditional medicinal plant Psidium guajava.
Methods: Psidium guajava was selected and subjected for successive extraction from non-polar to polar solvents and subjected to glucose uptake and aldose reductase inhibition assay.
Results: Based on the results Psidium guajava methanolic extract (PGME) showed an enhancement in the glucose uptake and also up-regulates the gene and protein level expression of IRβ, IRS-1, PI3K and GLUT4. Wortmannin, a specific PI3K inhibitor confirms that the active PGME recruits glucose uptake through a PI3K dependent pathway. In the assay of aldose reductase inhibitory activity, the results suggested that PGME possesses a significant inhibitory effect.
Conclusion: The result obtained in the present study focuses on the anti-diabetic effect of PGME by studying cellular level glucose uptake in L6 myotubes and aldose reductase inhibitory activity.
Keywords: Anti-diabetic activity, P. Guajava, Glucose transporter-4, Phosphoinositide 3-kinase, Aldose reductase activity
© 2016 The Authors. Published by Innovare Academic Sciences Pvt Ltd. This is an open access article under the CC BY license (http://creativecommons. org/licenses/by/4. 0/)
DOI: http://dx.doi.org/10.22159/ijpps.2016.v8i9.13532
INTRODUCTION
Diabetes mellitus is a metabolic disorder of the endocrine system. The disorder is found in all parts of the world and is rapidly increasing worldwide. The people suffering from diabetes cannot produce or properly use insulin, so they have high blood glucose. Non-insulin dependent diabetes mellitus, in which the body does not produce enough insulin or properly use it, is the most common form of the disorder, accounting for 90–95%. Type 2 is nearing epidemic proportions as a result of an increased number of elderly people and a greater prevalence of obesity and sedentary lifestyle. The cause of diabetes is a mystery, although both genetic and environmental factors such as obesity and lack of exercise appear to play a role [1]. According to world health organization projections, the diabetic population is likely to increase to 300 million or more by the year 2025 [2]
Currently, available therapies for diabetes include insulin and various oral anti-diabetic agents such as sulfonylureas, biguanides, alpha-glucosidase inhibitors, and glinides, which are used as monotherapy or in combination to achieve better glycemic regulation. Many of these oral anti-diabetic agents have a number of serious adverse effects thus, managing diabetes without any side effects is still a challenge [3]. Therefore, the search for more effective and safer hypoglycemic agents has continued to be an important area of investigation. The pharmacological agents with the greatest effect on postprandial hyperglycemia include insulin lispro, amylin analogues, and alpha-glucosidase inhibitors. In hyperglycemia associated with diabetes, the use of aldose reductase inhibitors has been reported for the treatment of diabetic complications [4]. Aldose reductase as a key enzyme in the polyol pathway has been reported to catalyze the reduction of glucose to sorbitol. Sorbitol does not readily diffuse across cell membranes, and the intracellular accumulation of sorbitol has been implicated in the chronic complications of diabetes such as peripheral neuropathy, retinopathy, and cataracts [5]. A recent study reported that aldose reductase may be involved with another signal transduction pathway in the pathogenesis of diabetic nephropathy [6].
The traditional uses of Psidium guajava (Family-Myrtaceae) particularly the leaves have shown a promising research in chemical identity of their constituents, pharmacological properties [7]. Most scientific evidence examined the clinical efficacy of guava in treating gastrointestinal (GI) disorders. Other investigations examined anti-amebic, anti-biotic, anti-diarrheic and sedative effects as well as anti-cough and narcotic activities of the Psidium guajava [8-9]. The present study reported the anti-diabetic and aldose reductase inhibition potential of Psidium guajava using in vitro method.
MATERIALS AND METHODS
Chemicals and reagents
All the chemicals were obtained from Sigma-Aldrich, St. Louis. The cell culture solutions and supplements were purchased from Life Technologies Inc. (Gaithersburg, MD, USA). Dulbecco’s Modified Eagle Medium (DMEM) was obtained from GIBCO, BRL (Carlsbad, CA, USA.). 2-Deoxy-D-[3H] glucose and hybond C membrane were obtained from Amersham Pharmacia Biotech, (Buckinghamshire, UK). Trizol reagent and AMLV reverse transcriptase, dNTP, Taq polymerase were obtained from GIBCO BRL, (Carlsbad, CA, USA) and New England Biolabs, (Herts, UK) respectively. Insulin and Protein A Sepharose beads were obtained from Sigma-Aldrich (Andover, UK). Wortmannin was obtained from Calbiochem (Darmstadt, Germany). Rosiglitazone was a kind gift from Dr. Reddy’s Laboratories, Hyderabad. Primers were synthesized from GIBCO BRL (Carlsbad, CA, USA.). Phospho-IR and phospho-IRS-1 antibodies were procured from BD Pharmingen (San Diego, CA, USA.) and Santa cruz respectively. CytoTox 96 cytotoxicity assay kit was procured from Promega, USA. All other HPLC and analytical grade solvents were obtained from SISCO research laboratories, India. All chemicals and organic solvents used were of the highest analytical grade.
Collection of plant and preparation of extracts
The leaf of Psidium guajava was collected from Tamil Nadu medicinal corporation limited (TAMCOL) medicinal garden at Kolli Hills, South India. The plant was authenticated by a taxonomist (Dr. N. Mathivanan, Professor) and the voucher specimen of the plant was preserved in our laboratory and the voucher number is AUPGME25. The dried pulverized plant powder (100 g) of Psidium guajava was extracted successively using organic solvents in increasing polarity (hexane, ethyl acetate, and methanol) at room temperature. Extracts were concentrated rotary evaporator under reduced pressure. One milligram of the dried extracts was reconstituted in 1 ml of dimethyl sulfoxide (DMSO) and serially diluted to make logarithmic doses ranging from 10 µg to 1 ng/ml as final concentrations for the glucose uptake studies [10].
Cell culture of L6 myoblasts and myotubes
L6 myotubes, a differentiating monolayer myoblast culture (obtained from ATCC-CRL-1458) was maintained in DMEM with 10% FBS and supplemented with penicillin (120 units/ml), streptomycin (75 µg/ml), gentamycin (160 µg/ml) and amphotericin B (3 µg/ml) in a 5% CO2 environment. The passage number of L6 myotubes for all the experiment is carried out below 10. For differentiation, the L6 cells were transferred to DMEM with 2% FBS for 4 d, post-confluence. The extent of differentiation was established by observing the multinucleate of cells. In the present experiment, 90% of the myoblast were fused into myotubes. Differentiated myotubes were incubated with insulin and rosiglitazone for 15 min and 24 h, respectively.
Thin layer chromatography of Psidium guajava
TLC analysis was done with each of the solvent extracts. Two types of the solvent system were used: a) 40% ethyl acetate in hexane, b) 20% ethyl acetate in toluene in order to find out the better solvent system to resolve the compounds [11].
Visualization of plant compounds presents in the TLC plate
The resolved extracts using TLC plates were visualized under short UV light and also developed using two different spray reagents (1) Ammonium molybdic acid containing 1 gm of ceric sulphate, 2.5 gm of Ammonium molybdate and 10% con. H2SO4 and (2) 10% H2SO4 in MeOH. The developed TLC plates were then documented.
Measurement of 2-Deoxy-D-[3H] glucose uptake assay
L6 myoblast cells were grown in a 24-well plate and subjected to glucose uptake as reported [12]. In brief, the differentiated myotubes were serum starved for 5 h and incubated with Psidium guajava extracts for 24 h and stimulated with Insulin (100 nM) for 20 min. After incubation, cells were rinsed with HEPES-buffered Krebs-Ringer phosphate solution (118 mmol NaCl, 5 mmol KCl, 1.3 mmol CaCl2, 1.2 mmol MgSO4, 1.2 mmol KH2PO4 and 30 mmol HEPES-pH 7.4) and were subsequently incubated for 15 min in a HEPES-buffered solution containing 0.5 µCi/ml 2-Deoxy-D-[3H] glucose. The uptake was terminated by aspirating the media. The cells were washed thrice with ice-cold HEPES buffer solution and lysed in 0.1% SDS. The lysates were transferred to 96 well plates (Packard) with glass fiber paper and air dried for overnight. This plate was used to measure the cell associated radioactivity by liquid scintillation counting.
Assessment of cytotoxicity by lactate dehydrogenase (LDH) release assay
Lactate dehydrogenase (LDH) release assay was performed as reported [13] using a cytotox 96 assay kit (Promega) LDH, a stable cytosolic enzyme released during cell lysis was measured quantitatively. Briefly, 0.2 million cells of L6 myotubes cells were seeded in 96 well plate and treated with PGME. 0.05% Triton X-100 was used to induce maximal lysis. The plate was read at 492 nm in a scanning multi-well spectrophotometer.
Effect of presence of inhibitor in glucose uptake analysis
Glucose uptake analysis was performed with methanolic extract of Psidium guajava in the presence of an inhibitor wortmannin. Wortmannin is a potential inhibitor of tyrosine kinase family enzymes such as PI3K. The effect of the extract in the presence of wortmannin on L6 myotubes was estimated by 2-Deoxy-D-[3H] Glucose (0.5µCi/well). Cells were grown in 24-well plates and treated with extract. The extent of the tritiated glucose uptake was calculated by liquid scintillation counter [14]. Here, insulin was used as a positive control and rosiglitazone (50 μM) was used as negative control. The amount of radioactivity was expressed as count per minute (CPM). The assay was done twice to get the concordant results.
Reverse transcriptase-polymerase chain reaction (RT-PCR)
RT-PCR was performed by according to the method described previously [15]. In brief, L6 myotubes after experimental incubation (15 min for insulin and 18 h for rosiglitazone, and PGME) of samples were immediately homogenized using total RNA isolation reagent TRIzol® reagent. The RNA obtained was then converted to cDNA by reverse transcription and subjected to PCR with specific primers are as follows Glut-4: sense, 5’-CGG GAC GTG GAG CTG GCC GAG GAG-3’; anti-sense, 5’-CCC CCT CAG CAG CGA GTG A-3’ (318-bp), PI 3kinase: sense, 5’-TGA CGC TTT CAA ACG CTA TC-3’; anti-sense, 50-CAG AGA GTA CTC TTG CAT TC-30 (246-bp), and glyceraldehyde-3-phosphate dehydrogenase (GAPDH); sense, 5’-CCA CCC ATG GCA AAT TCC ATG GCA-3’; anti-sense, 5’-TCT AGA CGG CAG GTC AGG TCC ACC-3’ (597-bp). PCR products were run on 1.5% agarose gels stained with ethidium bromide and photographed. The expression levels were quantitated by scanning on a gel documentation and analysis system.
Western blotting-protein level analysis
Total cell lysates were prepared as reported from our laboratory [16] 50 µg of proteins was separated on 10% SDS-polyacrylamide gel. The gel was transferred onto a nitrocellulose membrane. The membrane was then washed with PBS and blocked with 3% skimmed milk for overnight at 4 °C. Then the membrane was washed with PBS and primary antibody was added at an appropriate concentration and rocked gently at room temperature for 1 h. After incubation, the blot was washed with PBS. And the secondary antibody was added and allowed to hybridize for 1 h at room temperature. The bands were detected using chromogenic substrate NBT-BCIP in alkaline phosphate buffer.
Immunoprecipitation and western blot analysis for insulin receptor substrate-1 (IRS-1)
Total cell lysates were prepared as reported previously [17]. Anti IRS-1 antibody was added to the eppendorf tube containing the cold lysates and incubate at 4 °C for 1 h. 50 µl of the protein A sepharose beads was activated by washing with cold lysis buffer (500 µl) and centrifuged twice at 10000xg for 30 s. Finally, 50 µl of washed protein A sepharose slurry was added to the total protein (125 µg) extracted from the treated L6 myotubes and immunoprecipitated for 1h at 4 °C on a rocking platform. The eppendorf was spun at 10000xg for 1 min at 4 °C for washing, and this step was performed 3-5 times with 500 µl of lysis buffer. After the last wash 50 µl of 1X laemmli sample buffer was added to the bead pellet, vortexed and heated to 90-100 °C for 10 min. This was spun at 10000xg for 5 min and the supernatant was loaded onto 10% SDS polyacrylamide gel transferred onto a nitrocellulose membrane. Then, the membrane was blocked overnight in blocking agent (5% skimmed milk) at 4 °C and incubated with desired primary antibody for 1 h. After PBS wash the membrane was incubated with ALP-conjugated secondary antibody in 5% BSA in PBS for 1 h at room temperature. Then the blot was washed with PBS thrice, each 5 min and the blot was developed with the NBT/BCIP chromogenic agent and photographed.
Isolation of aldose reductase from albino wistar rats
Male Wistar albino rats (160–180 g) were procured from the centre for animal health studies Madhavaram Chennai and the experiments were carried out at centre for biotechnology Anna University Chennai. The animals were acclimatized to laboratory condition for a period of one week. They were housed in polypropylene cages (5-6 rats/cage) under an ambient temperature of 23±3 °C and 40-65% relative humidity, with 12:12 h light and dark cycle. They were kept on standard pellet diet and water ad libitum, prior to the dietary manipulation. Crude aldose reductase was prepared from the rat eye lenses. Eye lens was removed from 8-week old albino Wistar rats each weighing 150-180 g and the lens were-were homogenized in 12 volumes of 135 mmol Na, K-Phosphate buffer (pH 7.0) containing 0.5 mmol phenyl methyl sulfonyl fluoride and 10 mmol 2-mercaptoethanol. The homogenate was centrifuged at 100,000 x g for 30 min, and the resulting supernatant was retained as an enzyme preparation. All procedures were carried out at 4 °C. The activity of the enzyme was determined by measuring the amount of NADP converted from NADPH per unit times at 37 °C and pH (7.0). All the experimental procedures complied with the ethical norms approved by Ministry of Social Justices and Empowerment, Government of India and Institutional Animal Ethics Committee.(IAEC/CBT/Min. dt.10.11.09/Protocol No.2).
Aldose reductase inhibition assay
The enzyme inhibitory assay was performed as in vitro fluorometric assay in the presence and absence of the Psidium guajava extracts [18]. The inhibition mixture contained 135 mmol Na, K phosphate buffer (pH 7.0), 100 mmol lithium sulfate, 0.03 mmol NADPH, 1 mmol DL-Glyceraldehyde and 50 µl of an enzyme preparation, with or without Psidium guajava extracts at a total volume of 1.0 ml. Blank contained all of the above-mentioned components except DL-Glyceraldehydes. The reaction was initiated by adding NADPH at 37 °C and stopped by adding 0.5 N hydrochloric acids (0.3 ml). Subsequently, 6 N NaOH (1 ml) containing 10 mmol imidazoles was added, and the mixture was incubated at 60 °C for 10 min to convert NADP into a fluorescent product, and it was the measured in a spectrofluorophotometer at an excitation wavelength of 360 nm and an emission wavelength of 460 nm. NADP was used as standard, and Quercitrin was used as a positive control.
Statistical analysis
Statistical analysis was performed using GraphPad Prism, 4.03 (San Diego). One way analysis of variance (ANOVA) followed by Dunnett’s post hoc used for other parameters. Data were expressed in means±SEM The criterion for statistical significance was P<0.05.
RESULTS
Extraction of the plant material
Psidium guajava leaf was successively extracted using hexane, ethyl acetate and methanol and all the extracts were subjected to glucose uptake analysis. Approximately, the yield of hexane extract was 2 g and ethyl acetate extract 3 g while methanol extract yielded 5 g.
2-Deoxy-D-[3H] glucose uptake analyses
Differentiated L6 myotubes were subjected to glucose uptake analysis in order to determine the percentage of maximum glucose uptake activity after the treatment of Psidium guajava extracts. Differentiated myotubes were incubated with Psidium guajava extracts at different concentrations. Among the three different solvent extracts, the methanolic extract of Psidium guajava (fig. 1) showed a maximum glucose uptake at 10 ng/ml. No significant difference in uptake was observed between 24 and 48 h. Hence, the concentration of PGME was optimized at 10 ng/ml was used for further studies.
Effect of wortmannin on 2-Deoxy-D-[3H] glucose uptake
To determine the effect of PGME on PI3K activation, glucose uptake effect was assessed in the presence of a specific inhibitor of PI3K (wortmannin) (fig. 2). The experiments were performed with insulin and rosiglitazone as standards. Insulin-treated cells showed a complete inhibition in glucose uptake hence, the glucose uptake takes place via a PI3K dependant mechanism, whereas rosiglitazone-treated with the inhibitor showed an unaltered glucose uptake through PI3K independent activation.
Effect of the PGME on cytotoxicity
To examine if any cytotoxic effect of PGME to the cells, MTT assay was performed and lactate dehydrogenase release was measured at 492 nm. PGME (fig. 3) were not exhibiting any cytotoxicity to the cells even at high concentration (10 µg/ml). The maximum percentage of cytotoxicity observed was less than 20%.
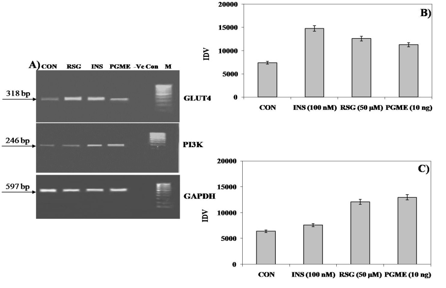
Effect of Psidium guajava on GLUT4 and PI3K mRNA expression on L6 myotubes
To determine the effect of PGME on GLUT4 and PI3K mRNA expression by semi-quantitative RT-PCR method was used. The results demonstrate PGME elevated the GLUT4 transcripts comparable with insulin and rosiglitazone. A representative agarose gel is showed in (fig. 4A) and the relative densitometry scanning data (fig. 4B) revealed an increase in GLUT4 transcript 3.8 fold by PGME in comparison to the untreated control cells which is equivalent to insulin (3.4 fold) and Rosiglitazone (4.2 fold). Generally, PI3K plays a key role in insulin signaling, so the effect of PGME on PI3K in glucose transport was studied. The gene level analysis showed an elevation in the PI3K expression by PGME similar to insulin. The densitometry scanning (fig. 4C) showed a 4.0 fold increase in PI3K expression in comparison with insulin (4.8 fold) and untreated control cells. Rosiglitazone treated cells did not enhance the PI3K expression (2.2 fold) confirms PGME works via PI3K dependent manner.
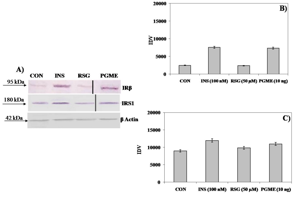
Effect of PGME on IR β and IRS-1 protein levels
To assess the role of PGME on IRβ and IRS-1 protein levels, immunoblotting studies were performed. The PGME showed an increase in IRβ and IRS-1 protein levels when compared to untreated cells and with insulin (fig. 5A). The level of increase in IRβ and IRS-1 was compared to insulin. Densitometry scanning (fig. 5B and fig. 5C) showed the level of IRβ and IRS-1.
Effect of the Psidium guajava extracts in aldose reductase inhibition assay
Fluorimetric aldose reductase inhibition assay was performed for all the extracts of Psidium guajava. The enzyme was isolated from rat eye lens through a method prescribed by lee and kim with minor modifications. The result suggested that the ethyl acetate and the methanolic extracts were found to be active extracts (fig. 6). The IC50 of methanolic and ethyl acetate extracts of Psidium guajava was found to be 400 μg/ml and 500 μg/ml. Therefore, the methanolic extract is considered as an active extract. This extract was taken for further studies in order to isolate the active molecules.
DISCUSSION
Plants have been an exemplary source of medicine for treating various disease and disorders. Plant products are almost non-toxic and widely used as a medicine due to their inexpensive. The main problem involved in the treatment of diabetes is the severity of secondary complications such as obesity, neuropathy, nephropathy, retinopathy, etc. Thus, today’s targets of diabetes researchers are to normalize the impaired insulin signaling pathway and to cure or prevent the secondary complications. But, the main problem is the molecular mechanisms of these complications were not clearly understood.
It is very well understood that insulin maintains the glucose homeostasis by maintaining a balance between glucose production by liver and glucose utilization by the fat and muscle tissues. Peripheral insulin resistance in skeletal muscle is likely to be the major contributor to type 2 diabetes mellitus. Insulin enhances the major glucose disposal by overall stimulation of glucose uptake in insulin-sensitive target tissues like skeletal muscle. As skeletal muscle accounts for 80% of the total glucose uptake and disposal under insulin-stimulated condition, L6 myoblast-derived from rat model capable of expressing the kinetics of glucose transporters on differentiation, resembling adult muscle [19] would be the best in vitro model for the cellular glucose transport study and hence the differentiated L6 myotubes was used.
In the present study, the leaves of Psidium guajava were extracted successively using increasing polarity of the solvents by soxhlation technique to isolate the compounds based on polarity. Three different extracts namely hexane, ethyl acetate and methanol were obtained and followed by the preliminary testing for assessing the cellular glucose uptake potential of Psidium guajava on L6 myotubes by glucose uptake assay. Among the extracts compared Psidium guajava methanolic extract (PGME) was exhibited a significant glucose uptake at a concentration of 10 ng/ml in compared with the positive control rosiglitazone (50 µM).
To ensure the antidiabetic activity of PGME is not influenced by cytotoxicity, lactate dehydrogenase release was measured using cytotox 96 assay kit, wherein lactate dehydrogenase released in the culture supernatant by cells upon lysis. The results are expressed as % cytotoxicity with respect to the vehicle control. Triton-X treated cells served as a positive control. L6 myotubes on treatment with different concentrations of PGME after 24 h incubation indicates the extracts were non-toxic even at high concentration (10µg).

Fig. 1: Dose-response glucose uptake analysis of Psidium guajava extracts using 2-Deoxy-D-[3H] glucose. L6 myotubes were treated with different concentrations of extracts for 24h. After 15 min of Insulin stimulation, 0.5 µCi/ml of 2-deoxy glucose was added. Then the uptake was measured by scintillation counter. The results were expressed as % glucose uptake with respect to the solvent control (DMSO)
All the data were expressed as mean±SEM of triplicates of two independent experiments (p<0.05)

Fig. 2: Glucose transport behavior of Psidium guajava in the presence of inhibitors. L6 myotubes were pre-treated with PGME in addition of 100 nM wortmannin (PI3K inhibitor) at the concentration indicated and subjected to glucose uptake assay. Inhibitors suppressed the glucose uptake of PGME, which showed uptake similar to that of positive control insulin. Rosiglitazone served as negative control and did not alter the glucose uptake in the presence of inhibitor. The results were expressed as % of glucose uptake with respect to the control
Data represent the means±SEM of triplicates of two independent experiments. P<0.05 as compared with untreated control group
Further to understand the molecular mechanism of PGME in exerting its anti-diabetic activity, the effect on insulin receptor tyrosine kinase and phosphatidylinositol 3 kinase expression level was investigated. Glucose uptake assay was performed in the presence of the specific PI3K inhibitor (wortmanin). The results revealed the glucose uptake activity is completely inhibited in the presence of the inhibitors leading to the insulin mimetic activity of PGME through upregulating the glucose transportation is mediated by PI3K dependent mechanism.

Fig. 3: Influence of PGME on the cytotoxicity in L6 myotubes. Cytotoxic effect of PGME measured on L6 myotubes as indicated doses of PGME at 24 h. Cytotoxicity was expressed as % LDH release
Data represent the means±SEM of triplicates of three independent experiments. P<0.05 as compared with untreated control group
The previous report states that insulin mimetic compound was isolated from a fungus which acts by activating IRTK and PI3K. Glucose transport is the rate-limiting step for glucose disposal, and insulin-induced GLUT4 translocation is the hallmark of glucose transport. It was very well justified that glucose uptake study could be the common pedestal to evaluate antidiabetic activity at the cellular level. As supported above glucose uptake was performed for all the extracts. Among the three extracts, the methanolic extract showed promising results in having significant glucose uptake activity and hence selected for further purification in the process of isolating bioactive compounds.

Fig. 4: (A) Studies on the effect of PGME in transcriptional level of insulin signaling cascades at 18 h. L6 myotubes were treated with insulin (100 nM), rosiglitazone (50 μM) and PGME (10 ng/ml). The RT-PCR was performed and showed an elevation in the gene level of GLUT4 and PI3K compared to control cells and internal GAPDH in L6 myotubes at 18 h. Lane 1 represents Control cells; Lane 2 represents Rosiglitazone (50 μM); Lane 3 represents Insulin (100 nM); Lane 4 represents PGME; Lane 5 represents Negative control: Lane 6 represents DNA ladder (100 bp). The graph represents the densitometry analysis (BandC)
Bars represent the means±SEM, n=3 and a representative gel is depicted here. P<0.05 as compared with untreated control group
The previous report showed that defects in transcription and translation of PI3K, GLUT4, IRβ and IRS-1 leads to reduce glucose transport. Thus, a hypoglycemic agent should enhance these above-mentioned proteins at gene level as well as protein level expression [20, 21-22]. Our current findings from RT-PCR and western blot analysis confirm that PGME induces the transcription of PI3K [23] and GLUT4 genes as well as translation of IRβ and IRS-1 proteins. GAPDH and β actin imply that our extract should not affect other genes in cells.

Fig. 5: (A) Western blot analysis of insulin signaling markers IRβ, IRS-1 using whole cell lysate of PGME treated with L6 myotubes at 24 h. The signaling intensities for semi-quantitative analysis of IRβ and IRS-1 protein expression were quantified by densitometry (BandC)
Bars represent the means±SEM, n=3 and a representative blot is depicted here. P<0.05 as compared with untreated control group
The microvascular complications of type 2 diabetes like retinopathy, neuropathy, nephropathy and obesity are caused due to the mechanism of polyol pathway. Prolonged hyperglycemia increases the glucose metabolism through polyol pathway. Aldose reductase is a rate limiting enzyme. Hence, a drug which can inhibit aldose reductase enzyme is able to treat secondary complications of diabetes. The current anti-diabetic therapy promotes glucose uptake through various mechanisms but fails to address the problems associated with oxidative stress caused by sorbitol accumulation through overexpression of aldose reductase enzyme. So identifying a drug that exhibits glucose uptake combined with aldose reductase enzyme inhibition will be much more preferable for the current scenario. As herbal extracts are blends of complex molecules, it can be applied as a template for the screening of these dual activities. Our current findings confirm that methanolic extract of Psidium guajava has potential inhibitory activity.

Fig. 6: Effect of hexane, ethyl acetate and methanol extracts of Psidium guajava in different doses on rat lens aldose reductase inhibition. The percentage of inhibition of extracts was compared with positive control
Data represent the means±SEM of triplicates of two independent experiments. P<0.05 as compared with untreated control group
CONCLUSION
The present study demonstrated the integrative approach of medicinal chemistry and in vitro screening assays which were ensured the validation of a battery of targets on glucose uptake. This study also demonstrated the significance of IRβ, IRS-1, PI3K and GLUT4 upregulation by methanolic extract of Psidium guajava at 10 ng/ml in augmenting the glucose transport. The current study also demonstrated that methanolic extract of Psidium guajava at 500 µg/ml has a significant aldose reductase inhibitory activity. Further purification of the pure molecule may pave way to the isolation of a potent antidiabetic and aldose reductase inhibitor of Psidium guajava is in the process.
ABBREVIATION
PGME-Psidium guajava methanolic extract; DMEM-Dulbecco’s Modified Eagle Medium; DMSO-Dimethyl sulphoxide; FBS-Foetal Bovine Serum; KRPH-Krebs-Ringer Phosphate buffer; SDS-Sodium dodecyl sulphate; IRTK-Insulin receptor tyrosine kinase; IRβ-Insulin receptor beta; IRS-1-Insulin Receptor Substrate-1; PI3K-phosphatidylinositol 3' kinase; GLUT 4-Glucose transporter 4; PBS-Phosphate Buffer Saline; ALP-Alkaline phosphatase; Wort-Wortmannin; GAPDH-Glyceraldehyde-3-phosphate dehydrogenase; HEPES-N-2-Hydroxy Ethyl Piperazine-N`-2-Ethane Sulphonic; CON-Control; RSG-Rosiglitozone; INS-Insulin; ALR-Aldose reductase; IDV-Integrated density value; NBT-BCIP-Nitroblue Tetrazolium-5-Bromo-4-chloro-3-indolylphosphate.
CONFLICT OF INTERESTS
The authors have no conflict of interest
REFERENCES
How to cite this article