
Department of Pathology, Dr. ALM Post-Graduate Institute of Basic Medical Sciences, University of Madras, Taramani Campus, Chennai 600113, India
Email: stalinrm6@gmail.com
Received: 23 Jun 2016 Revised and Accepted: 22 Jul 2016
ABSTRACT
Objective: To determine the effect of Tridham (TD) and 1,2,3,4,6-penta-O-galloyl-β-d-glucose(PGG) on lipid peroxidation levels and mitochondrial antioxidants status in experimental mammary carcinoma.
Methods: Elaecoarpus ganitrus (fruits), Terminalia chebula (seed coats), Prosopis cineraria (leaves), adult female albino rats of Sprague-Dawley strain weighing 170–190 g and 7,12-dimethylbenzeneanthracene (DMBA) were used for this study. Group I control rats, Group II rats mammary carcinoma induced with DMBA (25 mg in 1 ml olive oil) by gastric intubation. Group III, IV and V DMBA induced rats were treated with TD (400 mg/kg. b. wt/day), PGG (30 mg/kg. b. wt/day) and standard drug, Cyclophosphamide (30 mg/kg. b. wt/day), respectively for 48 d by gastric intubation. Group VI and VII rats served as TD and PGG treated controls, respectively for 48 d by gastric intubation. At the end of the experimental period, the rats were anaesthetized and sacrificed. Mammary glands were isolated and used for biochemical assays and histopathological evaluation.
Results: In rats with cancer, the lipid peroxide levels (LPO) were significantly increased and mitochondrial antioxidant levels were decreased. Treatment with TD and PGG decreased LPO levels and increased mitochondrial antioxidant status in mammary carcinoma bearing rats. Histopathological analysis also confirmed the therapeutic effect of TD and PGG. No significant adverse effect was observed in sole drug treated group of rats.
Conclusion: TD and PGG have definite therapeutic effect in experimental mammary carcinoma and inhibit growth of cancer cells by restoring mitochondrial antioxidant status and energy metabolism to normal states.
Keywords: Breast cancer, Antioxidant, Tridham, Pentagalloyl glucose, Phytochemical, oxidative stress, Cyclophosphamide
© 2016 The Authors. Published by Innovare Academic Sciences Pvt Ltd. This is an open access article under the CC BY license (http://creativecommons. org/licenses/by/4. 0/)
DOI: http://dx.doi.org/10.22159/ijpps.2016v8i9.13635
INTRODUCTION
Breast cancer is a serious public health concern, being the second most common of all cancers and by far the most frequent reason of cancer death amongst women throughout world [1]. There is a continuing search for better and more effective herbal plants to treat breast cancer. Mitochondria play an important role in controlling the life and death of a cell. Mitochondria are central to oxidative phosphorylation and much of metabolism. They are also involved in many aspects of cell death. A major site of Reactive Oxygen Species (ROS) production, mitochondria have drawn considerable interest because it was recently discovered that mitochondrial ROS (mtROS) directly stimulate the production of proinflammatory cytokines and pathological conditions as diverse as malignancies, autoimmune diseases and cardiovascular diseases [2].
Reactive oxygen species (ROS) play a critical role in causing mitochondrial changes linked to cancer and metastasis. Increased ROS levels primarily emerging from the mitochondria are a noted feature of transformed cells that are variously attributed to inefficiencies in electron transport at the respiratory chain, increased metabolic demand, reduced ROS scavenging, oncogene-induced replicative stress and altered mitochondrial dynamics [3].
Several modes of cancer therapy, such as chemotherapeutic drugs and radiation, disrupt mitochondrial homeostasis and release cytochrome c, leading to apoptosome formation, which activates the intrinsic pathway of apoptosis. This is modulated by the extent of mitochondrial oxidative stress [4]. Accordingly, strategies are being developed for the targeted delivery of antioxidants to mitochondria [3].
Tridham is a Siddha formulation prepared in our laboratory, consisting of Terminalia chebula, Elaeocarpus ganitrus and Prosopis cineraria in a definite ratio. Previous studies carried out in our laboratory have established its therapeutic effect against AFB1 induced hepatocellular carcinoma rat model as well in cancer cell lines [5, 6].
Terminalia chebula is a deciduous tree, used in traditional medicines. It is reported to contain various biochemical compounds such as tannins, chebulinic acid, ellagic acid, gallic acid, punicalagin, flavonoids etc. It has been reported to have antioxidant, anticancerous, antidiabetic, antibacterial, antiviral, antifungal, antiulcer, antimutagenic, wound healing activities [7]. Elaeocarpus ganitrusis a widely used medicinal plant with various phytochemicals such as alkaloids, flavonoids, tannins, glycosides, and ellagic acid derivatives. It has been known to have various pharmacological activities like antioxidative, antitumour, antiasthamatic, antidepressant, antianxiety, antidiabetic, antiviral, and antihypertensive activities [8]. Prosopis cineraria is a highly valued plant in the Indigenous Systems of Medicine and it has been used in several ailments such as leprosy, dysentery, bronchitis, asthma, leucoderma, piles, muscular tremors, asthma, rheumatism and inflammations. It is also known to possess anticancer, anthelmintic, antibacterial, antifungal, antiviral and activities [9].
Phytochemical analysis carried out on the herbal formulation, Tridham, has established PGG as one of the active constituents present in this formulation. Tannins are predominantly found in plants as the core structure of the higher galloyl glucoses. Tannins are good direct antioxidants. Even the tannin-protein complex can act as radical scavenger and radical sink. The amount of free PGG varies among different plant species, but is present at sufficient levels to allow direct isolation from a number of oriental herbs and other plants such as Terminalia chebula [10], Rhuschinensis Mill [11], Paeonia suffruticosa [12], Paeonia lactiflora [13] and by solvent extraction, liquid-liquid partition and chromatography separation.
Studies have shown the antioxidant potential of 1, 2, 3, 4, 6-penta-O-galloyl-β-D-glucose (PGG), investigated by cell system experiments such as radical detection, antioxidant enzyme assay, lipid peroxidation detection and cell viability assay [14]. With this background the present study was designed to study the therapeutic effect of the drug Tridham and PGG, an active phytochemical constituent in the preparation in experimental mammary carcinoma.
MATERIALS AND METHODS
TD drug is a combination of Terminalia chebula seed coats (family: Combretaceae), dry seeds of Elaeocarpus ganitrus (Syn. E. sphaericus) (family: Elaeocarpaceae) and Prosopis cineraria leaves (Syn. P. spicigera L.) (family: Leguminosae). The three ingredients were collected and given to the Department of Centre for Advance Study (CAS) in Botany, University of Madras, Guindy Campus, Chennai, India for botanical authentication and voucher specimens (CAS BH-16 Terminalia chebula, CAS BH-17 Elaecoarpus ganitrus and CAS BH-18 Prosopis cineraria) of the plant is retained in the department herbarium.
Formulation
The components were then mixed in equal proportions on weight basis to get TD mixture. The extract of TD was prepared in 3 : 1 (v/w) ratio by adding 30 mL of water to 10 grams of combined TD and mixed well. The mixture was mixed by using a shaker for 12 h. The mixture was subsequently filtered using filter paper, and the clear filtrate (aqueous extract) was collected in a beaker. The filtrate was then lyophilized under vacuum pressure to yield a powder. The lyophilized extract was stored in airtight containers in a dry dark place.
Rats
Female albino rats of Sprague–Dawley strain, aged between 50 to 55 d, were used for the study. The rats were purchased from the Central Animal House Block, Dr. ALM PG IBMS, University of Madras, Taramani Campus, Chennai-600113. They were maintained at an ambient temperature of 25±2◦C and 12/12 h of light/dark cycle. Rats were given standard commercial rat chow and water ad libitum and housed under standard environmental conditions throughout the study. The study has got the ethical committee clearance and the experimental animals were handled according to the University and Institutional Legislation, regulated by the Committee for the Purpose of Control and Supervision of Experiments on Animals (CPCSEA), Ministry of Social Justice and Empowerment, Government of India (IAEC No. 01/03/13).
Sources of chemicals
7, 12-dimethylbenz[α]anthracene were obtained from Sigma–Aldrich Fine Chemicals (St. Louis, MO, USA). The rest of the chemicals were obtained from Sisco Research Laboratory (SRL) Mumbai, India and were of analytical grade.
Induction of mammary carcinoma
Mammary carcinoma was induced in rats by a single dose of DMBA dissolved in 1 ml olive oil (25 mg/kg body weight) by method of [15] by gastric intubation. After overnight fasting, control rats were injected with same volume of 1 ml olive oil. After twelve weeks, mammary carcinoma was confirmed by palpation and histo-pathological examination.
Experimental design
The rats were divided into seven groups of six rats each. Tridham and PGG dissolved in distilled water were administered orally using an intragastric tube for a period of 48 d. anticancer drug, Cyclophosphamide was dissolved in 0.5 ml distilled water and used as a reference drug.
Group I: Normal Control rats (received 0.5 ml distilled water)
Group II: DMBA induced rats (25 mg/kg body weight by single dose orally) Vehicle olive oil
Group III: DMBA induced rats treated with Tridham (TD: 400 mg/kg b.w./day)
Group IV: DMBA induced rats treated with Pentagalloyl glucose (PGG: 30 mg/kg b.w./day)
Group V: DMBA induced rats treated with Cyclophosphamide (CYC: 30 mg/kg b.w./day)
Group VI: Normal Rats treated with Tridham alone (TD: 400 mg/kg b.w./day)
Group VII: Normal Rats treated with PGG alone (PGG: 30 mg/kg body weight/day)
After the experimental period (90 d of induction+48 d treatment), the rats from all seven groups were fasted overnight and sacrificed by cervical decapitation. Mammary gland and liver were immediately excised from the rats and weighed. Small pieces of representative tumour tissue were fixed in 10% formalin for histopathological studies. Viable tumour tissue was then dissected free of grossly necrotic and hemorrhagic area and separated from connective tissue and normal tissue. Portions weighing approximately 500 mg were cut, placed into plastic snap-cap vials and immediately frozen in liquid nitrogen. The vials were placed in a deep-freezer at-72 °C and stored until assayed. At the time of assay, tissues were homogenized and used for biochemical assays.
Isolation of mitochondria from mammary gland
Mammary glands were removed and cooled in 0.3 M sucrose-EDTA, pH 7.4, on ice. All subsequent steps were carried out at 0-4 °C. As much external connective tissue was removed as possible, and the tissues were blotted dry, weighed and minced very finely with small scissors. The tissue was then homogenized in a Potter-Elvehjem homogenizer (Sigma Chemical Co.) using two passes with a loose pestle and two passes with a tight pestle. The homogenate was strained through four layers of 10-gauge cheesecloth and the filtrate was centrifuged at 900 × g for 5 min. The supernatant was centrifuged at 11,500 × g for 10 min, washed twice in 5 ml sucrose-EDTA medium. At each step, the upper fatty layer was carefully removed by aspiration and the walls of the tubes were carefully wiped clean. The final mitochondrial pellet was suspended at 10 mg mitochondrial protein/ml sucrose-EDTA/1% bovine serum albumin (BSA) medium. The purity of the mitochondria was assessed by estimating succinate dehydrogenase activity [16]. Mitochondrial protein was estimated by the method of Lowary et al., [17].
Histopathological analysis
Histopathological evaluation was carried out with mammary gland of control and experimental rats using standard protocols. Mammary gland tissue specimens were fixed in 10% formalin, routinely processed and embedded in paraffin wax. Sections were cut at 4 µm in thickness, stained with hematoxylin and eosin and viewed under light microscope for histopathological evaluation [18].
Biochemical analysis
Assay of mitochondrial lipid peroxides (LPO)
Tissue LPO was measured by the method of Ohkawa et al., (1979) [19] using thiobarbituric acid. Peroxide and ascorbate induced lipid peroxidation was estimated by the method of Devasagayam and Tarachand (1987) [20].
Estimation of the levels of mitochondrial enzymic antioxidants
Superoxide dismutase (SOD) was assayed by the method of Marklund and marklund, (1974) [21]. Catalase (CAT) activity was assayed by the method of Sinha [22] and glutathione peroxidase (GPx) was assayed by the method of Rotruck et al., [23].
Estimation of the levels of mitochondrial non-Enzymic antioxidants
Reduced glutathione (GSH) was determined by the method of Moron et al.,[24]. Vitamin C or ascorbic acid was estimated by the method of Omaye et al., [25] and vitamin E was estimated by the method of Desai [26].
Statistical analysis
Values are given as the mean±SD of six rats. The results were statistically evaluated using Students t = test using SPSS 16 (Statistical Package for Social Sciences) software and one-way analysis of variance (ANOVA). Values of p<0.05 were considered statistically significant.
RESULTS
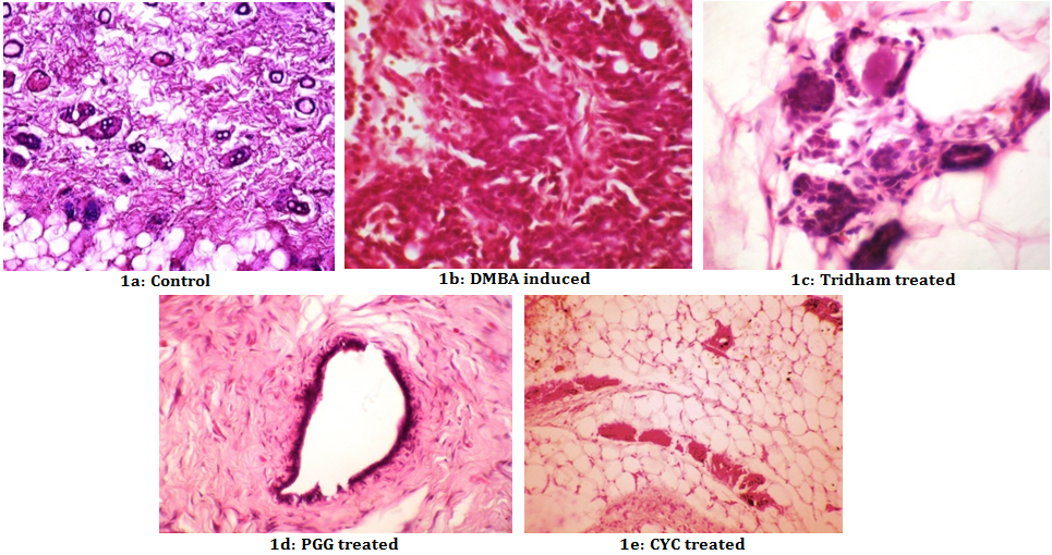
Effect of TD and PGG on histological alterations in mammary gland of experimental rats
Fig. 1 shows the histology of breast tissue in control and experimental animals. Normal rats showed mammary gland skin with underlying fibro fatty tissue containing scattered mammary gland ducts and bundles of skeletal muscles (fig. 1a) whereas DMBA-induced rats showed parts of a tumour composed of hyperchromatic, pleomorphic cells with vesicular nuclei and moderate cytoplasm arranged in nests, sheets and acinar structures with numerous mitotic fig. (fig. 1b). Mammary carcinoma bearing rats treated with TD, PGG and control drug, cyclophosphamide showed foci of necrotic cells and fibro fatty tissue with few ducts (fig. 1c,1d and 1e,).
Effect of TD and PGG on lipid peroxidation indices
Fig. 2 shows the effect of administration of the drug Tridham on lipid peroxidation and protein oxidation. The extent of lipid peroxidation was significantly higher in the mammary gland of rats with mammary carcinoma (Group II) as compared to control group of rats. The administration of Tridham and PGG (Group III and Group IV) significantly reduced DMBA-induced changes in lipid and protein oxidation and increased the antioxidants status. No significant changes were observed in drug control rats when compared to control (Group I).

Fig. 1: Histological section of mammary tissue of control and experimental rats

Fig. 2: Effect of TD and PGG on lipid peroxides in mammary gland of control and experimental animals. Values are expressed as mean±SD for six animals. Comparison is made as a-Group I vs Group II; b-Group II vs Groups III, IV and V; c-Group I vs Groups VI and VII. Statistical significance: *P<0.05. NS: Non significant
Effect of TD and PGG on enzymic and non-enzymic antioxidants status
The activities of enzymatic antioxidants, like SOD, CAT and GPx in the mammary tissue of control and experimental rats are represented in table 1. The status of these enzymes was significantly lowered in DMBA-induced (Group II) rats when compared to control (Group I) rats (p<0.05). On drug treatment (Group III and IV), the activities of these enzymes were found to be significantly (p<0.05) increased when compared with induced (Group II) rats. The drug control rats (Group VI and Group VII) did not show any significant changes when compared to control (Group I) rats.
The levels of non-enzymic antioxidants namely GSH; vitamins C and E in mammary tissue of control and experimental rats are represented in table 2. In untreated DMBA-induced (Group II) rats, the levels of GSH, vitamin C and vitamin E were significantly decreased when compared to control (Group I) rats. In drug-treated (Group III and IV) rats, the levels of GSH and vitamins C and E (p<0.05) were significantly increased when compared with disease prone (Group II) rats. Drug control (Group VI and VII) rats did not show any significant variations when compared with control (Group I) rats.
Table 1: Effect of ‘Tridham’ and ‘PGG’ on activities of mitochondrial enzymatic antioxidants in mammary gland of control and experimental animals
| Parameters | Group I | Group II | Group III | Group IV | Group V | Group VI | Group VII |
| Superoxide dismutase (unit/min/mg protein) | 11.23±0.34 | 6.22±0.54a* | 9.61±0.29b* | 9.48±0.27b* | 9.57±0.31b* | 11.26±0.25cNS | 11.16±0.23cNS |
| Catalase (µ_mol of H2O2 consumed/min/mg protein) | 3.23±0.19 | 1.32±0.09a* | 2.29±0.15b* | 2.34±0.12b* | 2.48±0.11b* | 3.2±0.18cNS | 3.13±0.14cNS |
| Glutathione peroxidase (µg of GSH consumed/min/mg protein | 6.43±0.14 | 3.87±0.12a* | 5.4±0.11b* | 4.45±0.15b* | 5.31±0.19b* | 6.39±0.13cNS | 6.44±0.16cNS |
Values are expressed as mean±SD for six animals. (group I, control rats; group II, tumour induced; group III, tumour induced+TD treated; group IV tumour induced+PGG treated; group V, DMBA induced+CYC treated; group VI, control+TD; group VII PGG+control). Comparison is made as a-Group I vs Group II; b-Group II vs Groups III, IV and V; c-Group I vs Groups VI andVII. Statistical significance: *P<0.05. NS: Non-significant.
Table 2: Effect of ‘Tridham’ and ‘PGG’ on activities of mitochondrial non enzymatic antioxidants in mammary gland of control and experimental animals
| Parameters | Group I | Group II | Group III | Group IV | Group V | Group VI | Group VII |
| Vitamin C (mg/g wet tissue) | 15.65±0.47 | 9.69±0.61a* | 13.17±0.57b* | 13.99±0.44b* | 13.58±0.49b* | 15.5±0.64 cNS | 15.47±0.52cNS |
| Vitamin E (mg/g wet tissue) | 22.16±0.3 | 14.47±0.92a* | 18.7±0.72b* | 19.6±0.88b* | 20.12±1.8b* | 22.1±1.93cNS | 21.96±0.43cNS |
| Reduced glutathione (µg/mg protein) | 8.12±0.32 | 4.09±0.39a* | 6.15±0.47b* | 6.78±0.5b* | 6.5±0.48b* | 8.04±0.29cNS | 8.15±0.38cNS |
Values are expressed as mean±SD for six animals. (group I, control rats; group II, tumour induced; group III, tumour induced+TD treated; group IV tumour induced+PGG treated; group V, DMBA induced+CYC treated; group VI, control+TD; group VII PGG+control). Comparison is made as a-Group I vs Group II; b-Group II vs Groups III, IV and V; c-Group I vs Groups VI andVII. Statistical significance: *P<0.05. NS: Non-significant.
DISCUSSION
In recent years, there has been considerable emphasis on the identification of plant products with potent antioxidant property as possible anti carcinogens. Screening of various bioactive compounds from plants has led to the discovery of new medicinal drug which have efficient protection and treatment roles in against various diseases [27] Compelling data from laboratory studies, epidemiological investigations and human clinical trials indicate that flavonoids from plant sources have an important role on cancer prevention and therapy. Epidemiological studies suggest that flavonoids play an important role in the prevention of carcinogenesis [28, 29].
Lipid peroxidation has been hypothesized to be a major mechanism of cell damage by free radicals. Oxidative stress resulting from the imbalance between pro-oxidant and antioxidant states, damages DNA, proteins, cell membranes and mitochondria and seems to play a role in human breast carcinogenesis [30]. Increased levels of lipid peroxides observed by us in the cancer bearing animals are consistent with these reports.
Apart from the enzymic antioxidants, non-enzymic antioxidants such as, GSH, vitamin C and vitamin E also play a vital role in protecting the cells from oxidative stress. The levels of these antioxidants were significantly lowered in the experimental animals with mammary carcinoma. Mitochondrial GSH plays a critical role in maintaining cell viability through the regulation of mitochondrial inner membrane permeability by maintaining sulfhydryl groups in the reduced state. The GSH level was restored to near normal level in drug treated rats, which could be attributed to the antioxidant potency of the formulation.
Oxidative stress resulting from an imbalance between proxidant and antioxidant status seems to play an important role in breast cancer [31]. Improper balance between production of ROS and antioxidant defense system have been defined as oxidative stress in various pathological conditions [32]. Primary antioxidants such as SOD, GPx, CAT and GST protect the cells against damage caused by reactive oxygen metabolites [33]. The reduction in antioxidant level indicates the inability of these defense systems to scavenge the enormous quantity of free radicals produced during mammary carcinoma development.
Non-enzymic antioxidants like GSH, vitamin E and vitamin C have been shown to ameliorate adverse effects associated with free radical damage in cancer therapy and to reduce the recurrence of breast cancer [34]. The lowered levels vitamin E and vitamin C are not sufficient to counter the high levels of reactive oxygen species produced in breast cancer. This may lead to oxidative stress, leading to cellular and molecular damage thereby resulting in cell proliferation and malignant progression [31]. GSH serves as substrate for glutathione peroxidase [GPx], an enzyme that functions to remove H2O2 that oxidizes it to GSSG. Vitamin E has an operative role in cancer. It is an excellent lipid soluble chain breaking antioxidant in the presence of co-operative antioxidants like vitamin C, carotenoids, etc. [35]. Vitamin E prevents lipid peroxidation and this prevents membrane damage and modification of low-density lipoproteins [36].
Upon administration of Tridham and PGG to mammary carcinoma rats, the activities of enzymic antioxidants and non-enzymic antioxidants were increased when compared to diseased rats. This may be due to the additive or synergistic action of flavonoids, isoflavonoids and ascorbic acid present in the drug. Flavonoids and isoflavonoids have potent antioxidant activity relevant to cancer [37, 38]. Glycoside linked flavonoids are responsible for antioxidants effects [39]. This accounts for the anti tumour property of the drug through modulating the ROS and lipid peroxidation. Flavionoids also play an important role in the prevention of breast cancer, prostate cancer and atheroscleorsis [40].
CONCLUSION
The above experimental results obtained indicate that the drug has definite therapeutic efficacy against experimental mammary carcinoma. Due to its efficacy therapeutic property and non-toxic nature, it may be considered as a safe pharmacological drug in the field of cancer therapy without adverse effects.
CONFLICT OF INTERESTS
Declared none
REFERENCES
How to cite this article