Laboratory of Nutrition Physiology and Food Safety, Department of Biology, Faculty of Science, University of Oran, Algeria.
Email: brahimcherifa@gmail.com
Received: 19 Jun 2014 Revised and Accepted: 25 Aug 2014
ABSTRACT
Objective: In the last few years a new preparation with hydrolyzed rice proteins was introduced and marketed as a useful alternative in the cases of cow's milk allergy.
The objective of our work is to study the consequences of hydrolyzed rice formula on the structure of the intestinal epithelium.
Methods: For the histological study, we have used 4 weeks old 60 female mice Balb/c, weighting (19.50 ± 0.25) g and distributed as follow:
Results: The weight growth of all the experimental groups increases gradually with time, but the consumption of the hydrolyzed rice proteins causes a decrease of the degree of evolution of the physical weight to mice fed with this infantile formula compared with control groups. It also causes an increase of the intestinal villi height at the structure level of the intestinal mucous membrane of mice fed with hydrolyzed rice proteins compared to the positive control groups. The lymphocytic infiltration of mice fed with hydrolyzed rice proteins is similar to the one in negative control group.
Conclusion: The preliminary results show that the hydrolyzed rice formula is a possible alternative to the cow’s milk formula in case of allergy. Further studies are needed to prove its nutritional efficacy.
Keywords: Mice, Intestinal epithelium, Vegetable proteins, Hydrolysates of rice.
INTRODUCTION
The prevalence of allergy to cow's milk proteins (CMPA) varies between 0.1 and 7.5% in general population [1]. Allergy to cow's milk proteins is defined by the occurrence of clinical disease caused by an abnormal immune response after ingestion of these proteins [2].
Digestive biopsies may show intestinal lesions with frequent villous atrophy. An infiltrate of eosinophils can be present in the case of allergic phenomenon causing these lesions [3].
Hydrolyzed rice formula recently available in the market was investigated as a possible alternative for children allergic to cow's milk proteins. The objective of our work is to verify the consequences of hydrolyzed rice formula on the structure of the intestinal mucosa, particularly at the villous architecture and the composition of intra-epithelial lymphocytes.
MATERIALS AND METHODS
Products and reagents
The various products used in our work come from Prolabo, Merck and Sigma (France).
Used formula
The used preparation Modilac Expert Rice® is a dietary food intended for medical purposes, especially in case of cow's milk proteins allergy. It is a preparation of hydrolyzed rice proteins 100 % vegetable without proteins of cow's milk and without lactose (table 1). This product is a part of Modilac brand of the Sodilac laboratory specialized in the conception and the manufacturing of infantile formulas.
Histological Study
The aim of this study is to verify if there are changes in the histological structure of the intestinal mucosa, especially at the jejunal villous architecture and composition in intraepithelial lymphocytes of mice treated with hydrolyzed rice formula compared to control groups.
Distribution of animals
The animals used in our protocols are female mice Balb/c obtained from the Pasteur Institute in Algiers (Algeria). These are mice bred and acclimatized before handling in the laboratory of Nutrition Physiology and Food Safety in housing conditions in accordance with regulations. The experiments are carried out according to the well-being of the animal, avoiding the stress and agitation may interfere with the results.
60 female Balb/c, 4 weeks old and weighing of (19.50 ± 0.25)g were divided into 5 experimental groups:
Immunization protocol
The mice of groups 1A, 1B, 2C, 2D were immunized intra-peritoneally. Each mouse has received a dose of 100 µl of PBS pH 7.4 containing 10 µg of α-La or β-Lg, mixed with 2 mg of Aluminum hydroxide Al(OH)3. Intra-peritoneal injections take place on the day 1 then under the same conditions on the 14th, 21st and 28th days of the protocol.
Table 1: The composition of Modilac Expert Rice® formula
| Average analysis per 100 ml | Modilac Expert Rice® |
| Presentation Box | 800 g |
| Energy kcal | 68 |
| Proteins g | 1,6 |
| Carbohydrates g | 7,6 |
| Lactose g | Without |
| Maltodextrin g | 6 |
| Starches Corn g | 1,6 |
| Lipids g | 3,4 |
| Linoleic acid mg | 444 |
| α-linolenic acid mg | 38 |
| Arachidonic acid mg | No |
| Docosahexsaénoïque acid mg | No |
| Medium chain triglycerides g | 0,7 |
| Calcium mg | 61 |
| Phosphorus mg | 34 |
| Iron mg | 0,7 |
| Measure g | 4,5 |
| Reconstitution | 13,5℅ |
| Osmolarity mOsmol/L | 200 |
Table 2: Composition of the standard diet
| Analytical constituents | Percentage % |
| Raw materials | 23 |
| Fat | 0,43 |
| Cellulose | 4 |
| Humidity | 12 |
| Ashes | 5,5 |
| Ash insoluble in HCl | 2 |
¬ Mineral Composition
| Minerals | mg/kg | Minerals | mg/kg |
| Phosphorus | 5900 | Manganese | 90 |
| Calcium | 3300 | Iron | 240 |
| Sodium | 1900 | Copper | 30 |
| Potassium | 6700 | Zinc | 83 |
| Magnesium | 2000 | Iodine | 3 |
¬ Vitamins
|
mg/kg | Vitamins | mg/kg | |
| Vit A | 7500 UI/kg | Vit PP | 75 | |
| Vit D3 | 1500 UI/kg | Vit E | 30 | |
| Vit B1 | 7 | Vit K3 | 2,5 | |
| Vit B2 | 6,5 | Folic Acid | 0,5 | |
| Vit B3 | 16,5 | Choline | 1600 |
After immunization, animals of 1A and 2C groups received a hydrolyzed rice formula for 28 days.
Measurement of weight gain
The individual body weight of all animals was measured weekly during the experiment.
Treatment of samples
Intestinal biopsies are done on day 63 for each group of mice. Our slides were stained with haematoxylin-eosin [4].
Measurement of intestinal villi
The measurement of villus height is an essential criterion providing information on the existence of any villous atrophy in mice.
Measurements of the heights are made under an optical microscope with an ocular micrometer on jejunal fragments of different experimental groups.
Count of intraepithelial lymphocytes (IEL)
For each tissue, three counting are done. These counts are made on 100 enterocytes. Counting is made on intestine fragments of different groups of mice.
Statistical methods
The results are expressed as mean ± standard error (X ± SE). The averages were compared using a Student test for paired data and unpaired. Statistical analysis was conducted using a statistical software program STATISTICA (5.1.2006).
Analysis of variance was performed with the ANOVA test. The significance level used is 5%.
RESULTS
Effect of the hydrolyzed rice formula on weight gain
In this work, we have evaluated the consequences of consuming hydrolyzed rice formula on the evolution of mice body weight (Figure 1, Figure 2).

Fig. 1: Weight gain of mice immunized with the β-Lg and fed with hydrolyzed rice formula for 28 days.
*p<0,05, ***p< 0,001., N: Negative control., P: Positive control., HPR: Mice immunized with the β-Lg and fed with hydrolyzed rice formula for 28 days.

Fig. 2: Weight gain of mice immunized with α-La and fed with hydrolyzed rice formula for 28 days.
*p<0,05, ***p< 0,001., N: Negative control., P: Positive control., HPR: Mice immunized with α-La and fed with hydrolyzed rice formula for 28 days.
Histological Study
Histology of the intestinal mucosa of negative control group
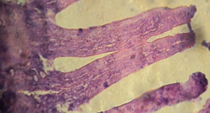
Negative controls are mice receiving a standard feed and water during the 63 days of experimentation with no treatment. Under an optical microscope, the intestinal mucosa of negative control group reveals a regular appearance with formation of numerous projections; it is a villi separated by communicating grooves (Figure 3).
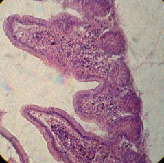
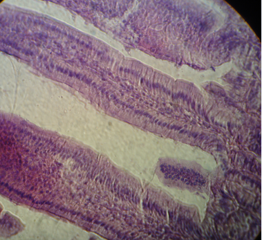
Histology of the intestinal mucosa of Positive control groups
Positive control groups are mice that continue receiving a standard feed and water after being immunized with the native β-Lg or α-La.
The intestinal mucosa of positive control mice has a very pronounced atrophy, characterized by flattened villi limited by a pseudo-stratified epithelium with dystrophic nucleus cubic cells. At the Lamina propria level, the inflammation is very pronounced (Figure 4, Figure 5).
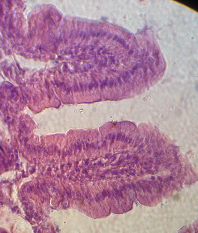
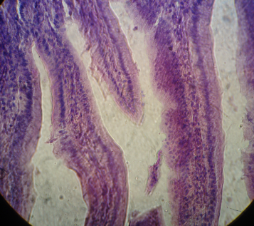
Histology of the intestinal mucosa of mice fed with hydrolyzed rice formula
The appearance of the intestinal mucosa of mice fed with hydrolyzed rice formula indicates an improvement in the structure of the intestinal mucosa compared to the positive control groups. The villi are increasingly thin and long, limited by a simple cylindrical epithelium, formed with high striated cells with regular basal nuclei that corresponds to the enterocytes (Figure 6, Figure 7).
The lamina propria appears fibrous and polymorphic with various mononuclear elements which correspond to the immune system cells (lymphocytes). The villous height indicates a highly significant difference compared with the positive control groups.


Fig. 3: Microscopic observations G (10 x 40) of intestinal biopsies of the negative control group.
The intestinal mucosa is formed with many projections in glove fingers: they are villous separated by the inter villous communicating grooves.


G (10x10) G (10 x 40)
Fig. 4: Microscopic observations of intestinal biopsies of positive control group: mice immunized with the β-Lg.

Fig. 5: Microscopic observation G (10 x 40) of intestinal biopsy of positive control mouse immunized with α-La.
Intestinal villi are shortened, deformed and expanded; they are bordered by a stratified epithelium. The lymphocytic infiltration in the lamina propria is dense.
The intestinal mucosa of positive control group has a very pronounced atrophy. It is characterized by flattened villi limited by a pseudo-stratified epithelium having dystrophic nucleus cubic cells. At the Lamina propria level, the inflammation is very pronounced.

Fig. 6: Microscopic observations G (10 x 40) of intestinal biopsies of mice immunized with β-Lg then fed with hydrolyzed rice formula for 28 days.
Intestinal villi are comparable to the ones in negative control group. There is no lymphocytic infiltration.

Fig. 7: Microscopic observation G (10 x 40) of intestinal biopsy of mouse immunized with α-La then fed with hydrolyzed rice formula for 28 days.
The villi are increasingly thin and long, bordered by a simple cylindrical epithelium, which is formed with high striated cells corresponding to enterocytes.
Evaluation of intestinal villous height of mice fed with hydrolyzed rice formula
The villous heights of negative and positive control groups are respectively (48.00 ± 1.06) µm and (5.12 ± 0.50) µm with p <0.001. In experimental groups, the consumption of hydrolyzed rice formula does not cause villous atrophy compared with the positive control groups. We have obtained an average villous height of (21.50 ± 2.04) µm for the group immunized with ß-Lg and (20.86 ± 1.76) µm for the group immunized with α-La (Figure 8, Figure 9).
Count of intraepithelial lymphocytes (I. E. L)
The counting of intraepithelial lymphocytes allows to compare their numbers in the different samples of intestine. A high number of intraepithelial lymphocytes is a sign of inflammation. The lymphocyte count is estimated as a percentage (%) in different jejunal fragments and compared to the negative control.
The number of intraepithelial lymphocytes of positive control groups (1B and 2D) is highly elevated compared to negative control. We note that the number of intraepithelial lymphocytes of mice immunized with the β-Lg and α-La having consumed the hydrolyzed rice proteins is similar to the negative control group, with a difference of 0.6% for the group immunized with β-Lg and 0.4% for the group immunized with α-La (Figure 10, Figure 11).

Fig. 8: Evaluation of the villous height in mice immunized with the β-Lg and fed with hydrolyzed rice formula for 28 days.
*** p < 0,001., N: Negative control., P: Positive control., HPR: Mice fed with hydrolyzed rice formula.

Fig. 9: Evaluation of the villous height in mice immunized with α-La and fed with hydrolyzed rice formula for 28 days.
*** p < 0,001., N: Negative control., P: Positive control., HPR: Mice fed with hydrolyzed rice formula.

Fig. 10: Effect of hydrolyzed rice formula on the number of intraepithelial lymphocytes of the intestinal villi of mice immunized with β-Lg.
*** p < 0,001., N: Negative control., P: positive control., HPR: Mice fed with hydrolyzed rice formula.
DISCUSSION
The treatment of cow’s milk allergy is to replace the infantile formula, cow's milk and all milk derived products by alternative substitutes. Until recently, the only cow's milk substitutes were limited to extensive hydrolysates and preparations based on amino acids [5]. The use of soy protein preparations is discouraged because of their phytoestrogen content [6].
New data have recently led to modify the treatment of cow’s milk allergy. Preparations made from hydrolyzed rice protein (HRP) have been developed with a composition in accordance with the 2006 Directive [7]. The rice is a little allergenic cereal and naturally devoid of phytoestrogens [8]. Hydrolyzed rice formulas are an alternative to animal hydrolysates. However, some researchers have found that the composition of vegetable drinks is not adapted to the needs of infants and represent a major danger [9]. Over the past 20 years, several cases of kwashiorkor syndrome affected infants fed with rice drinks [10]. Formulas with rice or almond are not adapted for infant growth and the allergenic risk for children already allergic to certain foods has not been evaluated yet [11].

Fig. 11: Effect of hydrolyzed rice formula on the number of intraepithelial lymphocytes of the intestinal villi of mice immunized with α-La.
*** p < 0,001., N: Negative control., P: Positive control., HPR: Mice fed with hydrolyzed rice formula.
In our work, we have evaluated the consequences of consuming hydrolyzed rice formula on the evolution of body weight in mice immunized with the β-Lg and α-La and having consumed hydrolyzed rice formula for 28 days.
Our results show a progressive increase in body weight in both experimental groups. However, a decrease in evolution of body weight compared to control mice was observed from the 6th week which is probably due to the fact that infant formula is deficient in essential amino acids.
Lasekan et al, reported that growth retardation was observed in infants and children fed with rice formula [12]. Another Italian controlled study evaluated the growth of 58 infants allergic to cow’s milk proteins, receiving either a soy preparation, extensive hydrolyzate of cow’s milk proteins or hydrolyzed rice proteins. The results were compared with the values of a control group consisting of 30 non-allergic children receiving a normal diet. Children had a mean age of three months and were followed for two years. No observed difference of weight gain between the three allergic children groups. However, slightly but significantly lower values were observed transiently, between 9 and 18 months in the hydrolyzed rice proteins group compared with the control group [13].
A similar study was done on 93 infants allergic to cow’s milk proteins. They were followed between 6 and 12 months. The results showed no differences in the values of Z-scores of weight-age, height-age, and weight-height between infants fed hydrolyzed rice proteins, fed with an extensive hydrolyzed cow’s milk proteins or fed a soy protein preparation respectively. In these three groups, the growth was also identical with a control group consisting of breastfed children [14].
Other studies were carried out on groups of children to evaluate the nutritional efficiency of rice hydrolysates. Different groups of allergic children to cow’s milk proteins receiving a rice or soy preparation were compared with a control group consisting of non-allergic children receiving a normal diet. These groups of children aged of 3 months were followed for 2 years. The results showed that the weight growth of the different groups was similar and no significant difference were observed [15].
A similar study was performed by Agostini et al. [16], using the hydrolyzed cow’s milk proteins, rice proteins, and soy proteins. The control group was formed by breastfed children. The results showed no difference in weight gain between the control group and the groups receiving hydrolyzed cow’s milk proteins and those receiving hydrolyzed rice protein and hydrolyzed soy protein. Infants fed hydrolyzed rice formula have a satisfactory growth and tolerance [17].
When the allergic child has chronic gastrointestinal symptoms, the search for eosinophils and their counts in the gastrointestinal mucosa must be undertaken when endoscopy is performed. The morphometric analysis of small intestine biopsies is also important to look for villous atrophy [18].
Histological study in this work has indicated an improvement in the structure of the intestinal mucosa of immunized mice fed with hydrolyzed rice formula for 28 days with a highly significant increase in villous height, and a similar lymphocytic infiltration to the negative control group. In contrast to the positive control groups, they present a considerable change in the structure of the intestinal mucosa, with a pronounced villous atrophy and lymphocytic infiltration. These results agree with those obtained by Addou et al. [19].
The results suggest that the hydrolyzed rice formula is a good alternative for cow's milk allergy. However soy formulas does not prevent allergy and soy proteins are also antigenic as cow's milk proteins. Several findings report the occurrence of enteropathy with villous atrophy similar to those reported with allergies to cow's milk protein [20]. The hydrolyzed rice formula is a new alternative to standard formulas based on cow's milk and soy [21].
A study of tolerance of rice hydrolyzate enriched with lysine and threonine was done on 3 years old children. The study included 99 allergic children to cow’s milk proteins [22]. The patients often had IgE anti-rice protein in their serum, but only 6 of them have responses to the hydrolyzate included in the preparation used in treatment of cow’s milk allergy. According to the work of Girardet et al. [23], it was shown that the study of hydrolyzed rice formula showed a good tolerance in 90% of children allergic to cow’s milk proteins.
CONCLUSION
The preliminary results show that the hydrolyzed rice formula is a possible alternative to the cow’s milk formula in case of allergy. Further studies are needed to prove its nutritional efficacy. Reducing the allergenicity of an infant formula is not enough, we must also ensure that the formula must provide the necessary growth and development to a child.
CONFLICTS OF INTEREST: NO
REFERENCES