A R College of Pharmacy and G. H. Patel Institute of Pharmacy, Vallabh Vidhyanagar, Gujarat.
Email: bhavini.patel24@gmail.com
Received: 21 June 2014 Revised and Accepted: 21 Jul 2014
ABSTRACT
Objective: To evaluate the effectiveness of Linaria ramosissima (Wall.)Janch as an antidiabetic agent in streptozotocin induced diabetic rats.
Methods: Diabetes was induced in rats by single intra-peritoneal injection of streptozotocin(STZ) 60 mg/kg body weight. Animals with BGL more than 200 mg/dl, 48 hrs after STZ injection were considered as diabetic and were used for experiment. Hydroalcoholic extract of Linaria ramosissima (Wall.)Janch was administered for 21 days. During treatment period daily food and water intake and weekly body weight and BGL were checked in each group of rats. Histopathology of pancreas was performed at the end of experiment.
Results: Mean food and water intake in diabetic group of rats increased as compared to normal control group. Administration of test drug (200mg/kg & 400mg/kg) significantly reduced water intake without significant reduction in food intake as compared to normal control group. Significant decrease in body weight was observed in diabetic group of rats, but administration of extract significantly improved the body weight. Elevated BGL observed in diabetic animals was significantly reduced by administration of extract.Blood glucose lowering effect of extract was confirmed by results of histopathology of pancreas.
Conclusion: The results of the studies confirmed the ethanomedicinal use of Linaria ramosissima (Wall.) Janch in treatment of diabetes by reducing BGL, improving parameters like food and water intake, body weight and regeneration of the islets of langerhans.
Keywords: Anti-diabetic, Glibenclamide, Blood glucose, Acute oral toxicity, Histopathology.
INTRODUCTION
Diabetes is the most important non infective epidemic to hit the globe in the present millennium [1]. The American Diabetes Association 2011 defines Diabetes Mellitus (DM) as a wide spread metabolic disease characterized by hyperglycemia and carbohydrate, protein and fat metabolism disturbances [2]. It is characterized by hyperglycemia arising as a consequence of a relative or absolute deficiency of insulin secretion, resistance to insulin action or both [3]. It is a metabolic syndrome characterized by hyperglycemia, polyuria and weight loss, inspite of polyphagia, glycosuria, ketosis and acidosis [4].
Worldwide the prevalence of diabetes mellitus is estimated to be 2.8% and is set to rise to 4.4% by 2030 [5]. According to a projection of the International Diabetes Federation (IDF), approximately 366 million people are living with diabetes and this figure is projected to increase to 552 million by the year 2030 [6], with the greatest number of cases being expected in China and India [7]. The IDF estimates the total number of diabetic subjects to be around 40.9 million in India and this is further set to rise to 69.9 million by the year 2025 [8]. India has thus been declared by WHO as the “ Diabetes capital of the world” [9].
Managemnet of hyperglycemia in most patients with Type II DM should begin with lifestyle modification (diet and activity). However, diet and exercise fail to achieve glycemic control in most patients and thus pharmacologic intervention with oral hypoglycemic agents is necessary [10].
Type 2 Diabetes Mellitus patients are usually treated with oral medications including Sulfonylureas, Biguanides Alpha-glucosidase inhibitors and Thiazoliddinediones [11]. However, many of these oral hypoglycemic agents usually produce serious side effects including hypoglycemia, drug-resistance, dropsy and weight gain [12].
Hence despite the presence of various antidiabetic medicines on the market, diabetes and related complications continue to be a major problem. Traditionally used medicinal plants can provide an alternative approach to treat diabetes [13], because of their effectiveness, less side effects and relatively low cost [14].
The ethanobotanical reports state that about 800 plants may possess antidiabetic potential [15]. WHO has recommended that traditional plant treatments for diabetes warrant further evaluation [16], hence over 150 plant extracts and some of their active principles, including flavanoids, tannins, alkaloids etc., are used for treatment of diabetes [17]. Although several medicinal plants have gained importance for the treatment of diabetes mellitus, many remain to be scientifically investigated [18].
The plant Linaria ramosissima (Wall.)Janch (syn: Kickxia ramosissima). belongs to family Scrophulariaceae. It is commonly called “kanodi” and “Bhintgalodi” in Gujarati. It is distributed throughout India, usually in rocky and stony places, Ceylon and Upper Burma [19]. It is also found in the saurashtra region of Gujarat [20]. Medicinal properties like Mutrala (diuretic), Rechak (purgative), Tikta (bitter), Raktapittahara (blood disorders) have been reported [20]. Folk people in saurashtra region use this plant to treat urinary stone [20]. Leaves mixed with black pepper are given in fever, Root is used in the management of snake and scorpion bite [21]. Traditionally the plant has been reported as an effective remedy for diabetes. However literature survey shows no scientific evidence regarding antidiabetic activity of the plant.
Hence the present study has been undertaken with the aim to evaluate the antidiabetic activity of plant of Linaria ramosissima (Wall.) Janch.
MATERIALS AND METHODS
Plant material and Preparation of extract:
Whole plant of Linaria ramosissima (Wall.)Janch was collected from Gujarat Ayurvedic University, Jamnagar and was identified and authenticated by Dr. D.B.Patel, Professor & Head, Department of Botany, Bansilal Amrutlal College of Agriculture (B.A.C.A), Anand. (Authentification no: BACA/GPB/623/13) A herbarium of whole plant was prepared and deposited in Pharmacognosy Deparatment of A.R.College of Pharmacy, Vallabh Vidyanagar (Herbarium no: BIP/LR-25/2/ARGH-14 )
Plant material was dried in shade at room temperature for 15 days, coarsely powdered and the powder was passed through 40# sieve. The powdered plant material was subjected to soxhlet extraction using water:methanol (30:70) to obtain hydroalcoholic extract. Hydroalcoholic extract was evaporated under reduced pressure at low temperature (30oC) to dryness to yield a brownish green colour residue. (yield- 13.64% w/w) The residue obtained was stored in an airtight glass container and was used for evaluation of antidiabetic activity.
Phytochemical analysis
The dried extract was subjected to qualitative analysis for the detection of various phytoconstituents present.
Animals
Albino rats of wistar strain, weighing 200-300g were procured from Zydus Research Centre, Ahmedabad. The animals were housed under standard conditions i.e 26 ± 2ºC temp. and relative humidity 44-56%, maintained on a 12 hr light/dark cycle and had free access to food and water. The animals were acclimatized to the laboratory environment 1 hr before the experiments. All experiments were conducted during the light period (08.00-16.00hrs.). The protocol (No: CPCSEA/IAEC/AR CP/13-14/01) of the study was approved by the Institutional Animal Ethical Committee (IAEC) and experiments were conducted according to the guidelines of CPCSEA (Committee for the Purpose of Control and Supervision of Experiments on Animals).
Acute oral toxicity study [22]
Acute oral toxicity study was performed as per Organization for Economic Cooperation and Development (OECD) guidelines 423. Stepwise dose of extract of Linaria ramosissima (Wall.)Janch (5,50,300 and 2000 mg/kg body weight p.o.),was administered and animals were observed individually atleast once during the first 30 minutes and periodically during the first 24 hrs., with special attention given during the first 4 hrs and daily thereafter, for a total of 14 days.
Drugs
Streptozotocin was purchased from Himedia Chemical, Mumbai, India. Glibenclamide was obtained as gift sample from Yarrow Chem Products, Mumbai, India.
Induction of Diabetes [23]
Diabetes was induced in the overnight fasted rats by a single intra-peritoneal injection of 60 mg/kg body weight streptozotocin dissolved in 0.1 M sodium citrate buffer, pH 4.5. After the injection they had free access to food and water. The animals were allowed to drink 5% glucose solution overnight to overcome hypoglycaemic shock. The development of diabetes was confirmed after 48 hrs of streptozotocin injection. The animals having blood glucose level more than 200 mg/dl were considered as diabetic and were used for the experimentation.
Experimental procedure
In experiment total 30 rats were used. The rats were divided into 5 groups of 6 rats each
GROUP I: Normal control rats
GROUP II: Diabetic control rats
GROUP III: Diabetic rats treated with standard drug (Glibenclamide 10 mg/kg b.wt, po)
GROUP IV: Diabetic rats treated with plant extract (200mg/kg b.wt, po)
GROUP V: Diabetic rats treated with plant extract (400mg/kg b.wt, po)
All drug treatment was given for 21 days. During treatment period daily food & water intake of rats in each group was checked. Body weight of rats of all groups was checked at weekly interval. Blood sample was collected from retro orbital plexus on day 0 and on 7th, 14th and 21st day after drug treatment to estimate blood glucose level. On the last day of experiment (21st day of drug treatment) 3 rats from each treatment group were sacrificed & specimens of pancreas were obtained for histopathological studies.
Statistical Analysis
All the results were tested for significance using One-Way ANOVA followed by Tukey’s test and the results were expressed as mean ± S.E.M. at the probability level of 95%.
RESULTS
Phytochemical analysis
Preliminary qualitative phytochemical screening showed the presence of Carbohydrates, Phytosterol, Cardiac glycosides, Saponins, Flavonoids, Alkaloids, Tannins and Phenolic compounds.
Acute oral toxicity study
The acute oral toxicity study showed that hydroalcoholic extract of Linaria ramosissima (Wall.)Janch was devoid of any toxicity even at the dose of 2000 mg/kg b.wt. Hence 200mg/kg and 400 mg/kg b.wt doses were selected for the study.
Effect of Hydroalcoholic extract of Linaria ramosissima (Wall.)Janch on food intake
Mean food intake in diabetic group of rats increased from 78.18±8.91 gms in the 1st week to 101.7±3.92 gms (+30%) at the end of 3rd week. Treatment with standard antidiabetic drug Glibenclamide (10mg/kg) reduced mean food intake from 101.7±16.8 gms in the 1st week to 79.87±17.32 gms (-21.4%) by the end of 3rd week. Similarly both doses of test drug (200mg/kg & 400 mg/kg) reduced mean food intake from 96.58±6.57 gms amd 91.45±5.23 gms in the 1st week to 83.28±16.15 gms (-13.75%) and 64.11±4.59 (-29.89%) gms at the end of 3rd week respectively. However as compared to normal control group the decrease in food intake produced by standard and test drugs was not significant.(Fig 1)
Fig. 1: Mean food intake per week up to 3 weeks in different treatment groups
Effect of Hydroalcoholic extract of Linaria ramosissima (Wall.)Janch on water intake
Water consumed by the different groups of rats was recorded daily and mean water intake per week was calculated. Water intake in diabetic group of rats increased from 262.6±33.11 ml in the 1st week to 273.7±8.41 ml (+4.2%) in the 3rd week. Comparing the water intake in diabetic groups with normal control animals the difference was found to be highly signifiacant(p<0.001). (Fig-2)
The mean water consumption in Glibenclamide treated group of rats was 256.1±14.08 ml in the 1st week which reduced to 239.9±16.4 ml (-6.32%) in the 3rd week. Similarly with both doses of test drug (200mg/kg & 400 mg/kg) the mean water consumption reduced from 266.3±11.22 ml and 266.9±11.52 ml in the 1st week to 218.9±18.02 ml (-17.7%) and 24.7±4.84 ml (-15.8%) in the 3rd week respectively. Comparing the decrease in mean water intake produced by standard drug Glibenclamide and both doses of test drug with normal control (non-diabetic)animals the difference was found to be significant(p<0.01).
However, comparing the decrease in water consumption produced by both standard and test drugs with positive control (diabteic) groups of animals the difference was not found to be significant.
Fig. 2: Mean water intake per week upto 3 weeks in different treatment groups
Effect of Hydroalcoholic extract of Linaria ramosissima (Wall.)Janch on Body Weight
Table 1 shows the effect of hydroalcoholic extract of Linaria ramosissima (Wall.)Janch on body weight of the animals.
As is evident from the table, mean body weight of diabetic control animals on 0 day was 220±9.3 gms which reduced to 178±6.0 gms (-19.%) on 21st day of induction of diabetes. This decrease in body weight of diabetic animals was statistically significantly (p<0.001) as compared to normal control animals. Administration of hydroalcoholic extract of Linaria ramosissima(Wall.)Janch in both doses (200mg/kg & 400mg/kg) showed significant (p<0.05) improvement in body weight compared to diabetic groups. Mean body weight of animals in test group-1 and test group-2 increased from 216.7±12.8 gms & 220±9.3 gms on 0 day to 240.8±12.19 gms (+11.1%) and 245±7.63 gms (+11.3%) on 21st day after induction of diabetes respectively.
Similar results of significant improvement (p<0.01) in body weight as compared to diabetic control group of animals were obtained with administration of standard antidiabetic drug Glibenclamide (10 mg/kg), which increased body weight from 228.3±10.14 gms to 251.7±13.08 gms (+10.2%) at the end of the study (21st day).
Tabel 1: Effect of Hydroalcoholic extract of Linaria ramosissima (Wall.)Janch on Body Weight
| Groups | Mean Body weight (gms) | |||
| 0 day | 7 day | 14 day | 21 day | |
| Normal control | 236.7±7.6 | 255.0±8.0(+7.7%) | 259.2±7.4(+9.5%) | 265.0±9.8(11.9%) |
| Positive control | 220.0±9.3 | 203.3±8.0 (-7.5%) | 190.8±7.5 (-13.2%) | 178.0±6.0(-19.0%)*** |
| Standard(Glibenclamide 10mg/kg) | 228.3±10.1 | 240.0±29.6 (+5.1%) | 242.5±12.3 (+6.21%) | 251.7±13.08 (+10.2%)** |
| Test extract(200mg/kg) | 216.7±12.8 | 221.7±14.3(+2.3%) | 230.0±12.3 (6.1%) | 240.8±12.1 (+11.1%)* |
| Test extract(400mg/kg) | 220.0±9.3 | 225.8±8.4(+2.6%) | 229.2±8.7(+4.1%) | 245.0±7.63(+11.3)* |
Values are expressed as mean ± S.E.M., n=6, ***p<0.001,as compared to normal control group **p<0.01, *p<0.05, as compared to positive control group by One Way ANOVA followed Tukey’s test
Time dependent effect of Linaria ramosissima (Wall.)Janch on blood glucose level (BGL)
Table 2 shows variation in BGL from 1st day to 21st day in each group. Mean BGL in non-diabetic control animals ranged from 94.33±1.68 mg/dl on 0 day to 98.50±0.99 mg/dl on 21st day of the study. In STZ-induced diabetic animals the BGL increased significantly (p<0.001) from 447.2±31.32 mg/dl on 0 day to 530.2±24.22 mg/dl (+18.5%) on day 21st day of the study. With standard drug Glibenclamide (10mg/kg) the BGL reduced from 381.2±52.79 mg/dl on 0 day to 237.8±37.38 mg/dl on 21st day. This difference was found to be highly significant(p<0.001) when compared with diabetic control group. Test drug in the dose of 200 mg/kg significantly reduced BGL from 402.8±43.4 mg/dl on 0 day to 292.7±39.15 mg/dl (-27.3%) on 21st day. 400mg/kg dose of test drug also reduced BGL from 470.0±12.65 on 0 day to 305.7±16.56 mg/dl (-34.9%) on 21st day, but the difference was not found to be significant.
Table 2: Time dependent effect of Linaria ramosissima (Wall.)Janch on blood glucose level (BGL)
| Groups | Day wise Blood Glucose Level (mg/dl) | |||
| 0 day | 7 days | 14 days | 21 days | |
| Normal control | 94.33±1.68 | 95.33±1.49 | 97.83±0.87 | 98.50±0.99 |
| Positive control | 447.2±31.3 | 494.2±27.2(+10.5%) | 512.3±26.2(+14.5%) | 530.2±24.2(+18.5%)*** |
| Standard(Glibenclamide 10 mg/kg) | 381.2±52.7 | 342.3±51.8(-10.2%) | 297.5±46.2(-21.9%) | 237.8±37.3(-37.6%)*** |
| Test extract(200 mg/kg) | 402.8±43.4 | 366.3±48.7(-9.06%) | 325.5±45.4(-19.1%) | 292.7±39.15(-27.3%)** |
| Test extract(400 mg/kg) | 470.0±12.6 | 423.7±17.8 (-9.8%) | 374.8±16.6(-20.2%) | 305.7±16.5(-34.9%) |
Values are expressed as mean ± S.E.M., n=6, ***p<0.001, as compared to normal control group***p<0.001,**p<0.05,as compared to positive control group by One Way ANOVA followed by Tukey’s Test
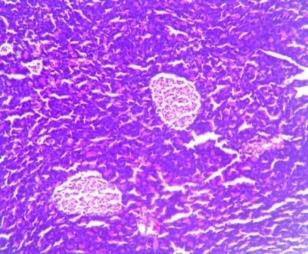
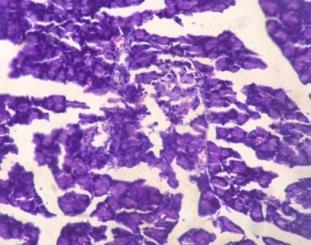
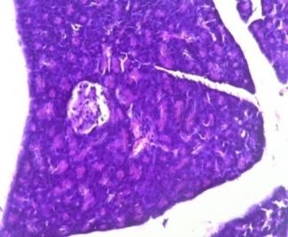
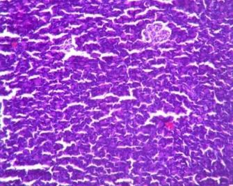
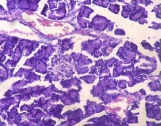
Effect of Hydroalcoholic extract of Linaria ramosissima (Wall.)Janch on pancreas by Histopathology
Fig 3A shows normal islets of langerhans and β cells in pancreas of normal control group.(non-diabetic) In positive control group
(Diabetic) the number of pancreatic islets as well as β-cells is reduced as compared to control group with most of β-cells being destroyed. (Fig 3B) Section of pancreas from groups treated with glibenclamide (Fig 3C) and both doses of test drug (Fig 3D & 3E) showed increase in pancreatic islets & number of β-cells in the pancreas. The damaged β-cell seen after induction of diabetes were no longer observed after treatment with extract. This indicates that the test drug causes regeneration of β-cell of islets of langerhans of pancreas and restores normal cellular appearance and size of islets with hyperplasia.

Fig. 3a: Normal Control (Non-diabetic)

Fig. 3b: Positive Control (Diabetic)

Fig. 3c: Glibenclamide Standred drug (10 mg/kg)

Fig. 3d: Test-1 (Low dose) 200 mg/kg

Fig. 3e: Test-2 (High dose) 400 mg/kg
DISCUSSION
Streptozotocin (STZ) is an antibiotic obtained from Streptomyces achromogenes. It enters the pancreatic β-cells via a glucose transporter-GLUT2 and causes alkylation of deoxyribonucleic acid (DNA) [24], which causes the generation of superoxide, hydrogen peroxide, nitric oxide and hydroxyl radicals which are responsible for β-cell damage and necrosis resulting in diabetes [25].
Usually, the intraperitoneal injection of a single dose of STZ 60 mg/kg body weight exerts direct toxicity on β-cells resulting in necrosis within 48 hrs and causes permanent hyperglycemia [26]. STZ was used in the present study for the induction of diabetes in rats.
Diabetes is characterized by polyphagia which is evident from the increase in food intake observed in diabetic group of animals. However, the food intake in animals treated with extract was less as compared to diabetic control group and was comparable with standard antidiabetic drug Glibenclamide.
Another characteristic sign of diabetes is polydypsia which is evident by increase in water intake in diabetic groups of animals. The plant extract decreased the water consumption to near normal levels, which were comparable to standard antidiabetic drug Glibenclamide. Other scientists have also reported decrease in food and water intake by use of herbal antidiabetic drugs [27].
Deficiency of insulin brings about improper metabolism of carbohydrate, lipids and proteins leading to increased gluconeogenesis, glycogenolysis, lipolysis and muscle wasting [28]. The phenomenon of muscle wasting occurs due to nonavailability of carbohydrate for energy metabolism leading to protein breakdown in skeletal muscles and thus causes loss of body weight in diabetic animals [29].
Treatment with the extract showed a significant increase in body weight, which may be due to the effectiveness of the drug in reversing gluconeogenesis and improving glycemic control and thus exert a protective effect in controlling muscle wasting [27].
Similar observations of increase in body weight produced by various plant drugs with esthblished antidiabetic activity like Juniperus communis(L.) [29], Calotropis procera [30], Garuga pinnata [31], Cinnamomum tamala [32] and Momordica tuberose [33] have been reported.
Diabetic animals showed increase in BGL which was reduced by administration of both doses of extract. The possible mechanism by which the extract produced antidiabetic glycemic action in diabetic rats may be by potentiating the insulin effect of plasma by increasing either the pancreatic secretion of insulin from the existing β-cells or by its release from the bound form [34] or by promoting regeneration of β-cells or inhibiting endogenous glucose production or by inhibition of intestinal glucose absorption [35]. A pancreatic mechanism is possible because in mild diabetes induced by STZ all the β-cells of the pancreas are not destroyed. The surviving β cells retain the capacity to synthesize and secrete insulin [36].
It is reported that flavanoids [37], phytosterols [1], alkaloids [38], glycosides [39] and phenolic compounds [40, 41], constitute the active biological principle of most medicinal plants with hypoglycemic and antidiabetic properties [42]. Flavonoids are reported to regenerate the damaged pancreatic β cells in diabetic animals [43]. Polyphenol such as tannins and saponins reduce blood glucose level through inhibition of α amylase and sucrase from the intestine [44, 45]. Thus the significant antidiabetic activity of the extract may be attributed to synergistic effect of such phytoconstituents present in the plant. Results of histopathological studies show increase in the number of islets and β cells through proliferation of residual, pancreatic β cells thus restoring normal structural integrity of islets of langerhans [27]. Various histopathology studies have demonstrated an effective increase in number of β-cells in pancreas of diabetic rats treated with various plant extracts like Momordica tuberose [34], Juglans regia L [46] and Teucrium polium [47] all of which possess antidiabetic activity.
CONCLUSION
In conclusion, the findings of present study demonstrated that hydroalcoholic extract of Linaria ramosissima (Wall.)Janch possesses favourable antidiabetic activity against STZ induced diabetes in wistar rats thus confirming the traditional/ethanomedical use of the plant in the treatment of diabetes.
REFERENCES