1CMR College of Pharmacy, Kandlakoya, Medchal, Hyderabad, Andhra Pradesh, India, 2Chalapathi Institute of Pharmaceutical Sciences, Lam, Guntur, Andhra Pradesh, India.
Email: geetabiokarra@gmail.com
Received: 21 Jun 2014 Revised and Accepted: 25 Sep 2014
ABSTRACT
Objective: To study nephroprotective effect of ethanolic extract of Mimosa pudica root against Gentamicin induced nephrotoxicity in rats.
Methods: After the treatment scheduled period of 21 days, the extent of nephrotoxicity with gentamicin (40 mg/kg), nephroprotection, nephrocurative activity of ethanolic extract of Mimosapudica root was estimated by serum, urine samples. In this study, we assess the serum creatinine, blood urea nitrogen (BUN), total proteins, urine volume, creatinine clearance, in vivo antioxidant parameters like MDA GSH, CAT also.
Results: Plant extract of 200 mg/kg, 400 mg/kg and 600 mg/kg in serum creatinine has shown significant decrease ie., up to p<0.001 but had less significant in curative dose (600 mg/kg) ie., p<0.01. Plant extract of 400 mg/kg, 600 mg/kg and curative treatment (600 mg/kg) had shown significanct decrease in BUN and total proteins ie., up to p<0.001 but had less significance in 200 mg/kg ie., p<0.01. Plant extract 200 mg/kg, 400 mg/kg, 600 mg/kg and Curative treatment had shown increased creatinine clearence significance ie., p<0.01. All doses of ethanolic extract of Mimosa pudica root had shown significant decrease in MDA and significant increase in GSH, ie., p<0.001, Plant extract of 200 mg/kg, 400 mg/kg, 600 mg/kg has shown significant increase in catalase up to p<0.05 p<0.01 p<0.001 with respective doses. The histopathology findings supported the results.
Conclusion: It is proposed that the nephroprotective, nephrocurative effect of Mimosapudica root ethanolic extract in gentamicin-induced nephrotoxicity may involve its antioxidant and oxidative radical scavenging activities.
Keywords: Mimosa pudica, Nephrotoxicity, Anti-oxidant property, Gentamicin.
INTRODUCTION
Nephrotoxicity can be defined as renal disease or dysfunction that arises as direct or indirect result of exposure to medicines and industrial or environmental chemicals. A number of antibiotics like Aminoglycosides, Sulphonamides, Amphotericin B, Foscarnet, Ciprofloxacin, Levofloxacin, Rifampin, Tetracycline, Pentamidine, Vancomycin. Nephrotoxicity is major side effect of gentamicin, 10-15% incidence of Acute Tubular Necrosis on 7 day course. Risk factors for the nephrotoxicity of aminoglycosides are Age, Pre-existing renal diseases, Gender, Volume depletion/ Hypotension, Liver diseases [1, 2].
Mimosa pudica, (Family: Mimosaceae) is a short lived, prickly under shrub, creeping annual or perennial herb distributed throughout India [3]. Mimosa pudica was reported to have Alkaloids, Glycosides, Carbohydrates, Proteins, Steriods, Flavonoids and Phenols [4, 5]. Leaves and stems reported to contain the alkaloid mimosine; leaves yield mucilage; the roots yield tannins, flavonoids, alkaloids [6]. Compounds like 7, 8, 3', 4'-tetrahydroxyl-6-C-[alpha-L-rham nopyranosyl-(1-->2)]-beta-D-glucopyranosyl flavone); 5, 7, 4'-tri hydroxyl-8-C-[alpha-L-rhamno pyranosyl-(-->2)]-beta-D-gluco pyranosyl flavone; 5, 7, 3', 4'-tetrahydroxyl-6-C-[alpha-L-rhamno pyranosyl-(1-->2)]-beta-D-glucopyranosyl flavone; ascorbic acid, beta-carotene, crocetin, crocetin-dimenthyl-ether, catcher, mimosine, norepinephrine, thiamin are isolated [7].
Traditionally Mimosa pudica is used for the gastrointestinal disease, respiratory disease, gynaecological and obstetrical diseases, neurological diseases, genito-urinary diseases, inflammatory diseases, giddiness, headache and fever. Anti-oxidant property, hepatoprotective activity, anti-diabetic activity, wound healing activity, anti-asthmatic property, hypolipidemic activity were already reported. The present study was designed to determine nephroprotective and nephrocurative activity of ethanolic extract of Mimosa pudica roots against gentamicin induced nephrotoxicity [8, 9].
MATERIALS AND METHODS
Plant Material
Mimosa pudica roots were collected from Tirupathi, Chittoor district and authenticated by botanist Dr. Madhavachetti, Department of botany, S. V. University, Tripathi.
Preparation of plant extract
The dried roots were reduced to coarse powder and successively macerated by using solvents like n-hexane, ethyl acetate, ethanol and water for 1 week each and then filtered. The filtrate was evaporated under vacuum to obtain dried extract. The percentage yield was found to be 6.4% w/w. The dried extract was placed in desiccator for storing and weighed amount was triturated with distilled water freshly before administration.
Animals
Male Wister rats weighing 180-200 mg were housed under standard conditions. They were fed with standard pellet diet and water ad libitum. The experimental protocol was approved by Institutional Animal Ethical Committee as per the CPCSEA guidelines, CPCSEA/IAEAC/CMRCP/Ph D-13/11-A. Government of India.
Phytochemical screening
Ethanolic extract was treated with various reagents which showed the presence of various phytochemical constituents. [10].
Estimation of nephroprotective activity of ethanolic extract of Mimosa pudica in gentamicin induced Nephrotoxicity
Gentamicin (40 mg/kg i. p) for 21days was used as nephrotoxicant [11-13].
In the present study animals were divided into seven groups and each group contains 8 rats.
Group I (Normal control): received saline (1 ml/kg p. o)
Group II (Toxic control): received gentamicin (40 mg/kg for 21days i. p).
Group III (Plant control): received plant extract (200 mg/kg for 21 days p. o).
Group IV (Prophylactic): low dose received gentamicin+200 mg/kg of plant extract (p. o).
Group V (Prophylactic): received gentamicin+400 mg/kg of plant extract (p. o).
Group VI (Prophylactic): received gentamicin+600 mg/kg of plant extract (p. o).
Rats of Group IV, V, VI received Gentamicin (40 mg/kg, i. p), administrated 1 hr prior to administration of Mimosa pudica root ethanolic extract respective doses for 13 days and only plant extract of respective doses will be given up to 21thday.
Group VII (Curative Group): received Gentamicin (40 mg/kg, i. p) for 13 days and best dose of the plant extract from the prophylactic treatment was selected and was given from 14th day to 21st day.
Animals were sacrificed on 22nd day of the study after collecting blood by retro orbital puncture and were centrifuged to separate the serum. It was used for estimation of creatinine, blood urea nitrogen and total proteins. Urine was collected by using metabolic cages. Animals were fasted over night. Urine was collected for 24 hrs and was used for estimation of urine volume, urine creatinine and creatinine clearance.
Parameters assessed
Body weight
The weight (in grams) of the animals was noted on the 1st day and last day of the study. The difference in their body weight was also noted.
Serum creatinine
Creatinine level in serum was estimated by alkaline picrate method using Creatinine kit.
Blood urea Nitrogen (BUN)
BUN level in serum was estimated by kit of Autospan pvt limited.
Total Proteins
Total proteins level in serum was estimated by kit of Autospan pvt limited.
Urine volume
Volume of urine was estimated in all the groups during last the 24 hrs of the experiment.
Urine creatinine
Urine was collected for 24 hrs and 1 ml of urine was diluted to 100 ml. Urine creatinine was estimated by the method of alkaline picrate using creatinine kit.
Creatinine clearance
Creatinine clearance was estimated in all the groups to estimate the effect of GFR in toxic groups and treated groups.

GSH
2 ml of buffer (KHPO4 buffer), 1 ml of sample (ie. TCA homogenate) and 1.5 ml of DTNB were placed. Then they were incubated for 10 mins at room temperature. Absorbance was measured at 412 nm. Standard curve for total protein estimation was drawn by taking bovine serum albumin (BSA) in phosphate buffer solution (PBS). 2 mg/ml stock was prepared. 0.5 ml of PBS and 0.5 ml of stock was taken and further 10 dilutions were prepared [14].
Catalase
To the 1.95 ml phosphate buffer (50 mM, pH 7), 50 µl of experimental sample was added. Then changes in absorbance were recorded at 240 nm by addition of 1 ml hydrogen peroxide (30 mM) for 1 min at 15 sec interval and then the activity was calculated by following formula [15].
Catalase activity (K/min) = (1/∆t) * ln (s1/s2) = (2.3/∆t) * log (s1/s2)
Where, ∆t = t2-t1 (time interval)
S1 and S2 = H2O2 concentrations at times t1 and t2.
Lipid peroxidation
Homogenate of kidney and 10% of TCA were added and centrifuged at 4000rpm for 15 mins. 2 ml of supernatant of homogenate of kidney was added then to this 1 ml of 0.67% of TBA (67 mg of TBA dissolved in 10 ml of water). TBA was dissolved by heating at 70°c. Then sample, water and TBA were heated for 30 mins at 90°c. Absorbance was measured at 532 nm [16].
Histopathalogical studies
Kidney of sacrificed rats was carefully dissected out. After rinsing in normal saline the tissue was fixed in 10% formalin-saline dehydrated with 100% ethanol solution and embedded in paraffin. Then it was cut into 4-5µ thick sections stained with hematoxylin-eosin and observed under microscope (magnification power-100X).
Statistical analysis
Results were expressed as Mean+SEM (standard error mean) by using ANOVA test, significant difference between control and experimental groups was assessed by Dunnett’s test. The statistical analysis was performed by using graph pad prism 5.0 software.
RESULTS
Phytochemical screening
Ethanolic extract was treated with various reagents which showed the presence of various phytochemical constituents with different qualitative reagents in table 1.
Table 1: List of phytochemical constituents present in extraction
| Name of the phytoconstituents | Ethanolic extract |
| Flavaniods | + |
| Glycosides | + |
| Alkaloids | + |
| Proteins and Amino acids | - |
| Carbohydrates | + |
| Tannins | + |
| Phytosterols | - |
| Phenols | + |
| Saponins | + |
| Steriods | - |
Present (+), Absent (-)
Effect of Mimosa pudica root extract on Body Weight in gentamicin induced nephrotoxicity
Table 2 shows that gentamicin for 21days induced significant weight loss (p<0.001). However, body weight was significantly increased by Mimosa pudica in dose related manner.
Effect of Mimosa pudica root extract on Serum creatinine, BUN, Total protein in gentamicin induced nephrotoxicity
Table 2 shows that Ethanolic extract of Mimosa pudica root (200 mg/kg, 400 mg/kg, 600 mg/kg) reduced the increased serum Creatinine significantly (p<0.001) and reduced the increased BUN levels significantly (p<0.01, p<0.001, p<0.001 respectively). Total protein levels was increased in gentamicin group and plant extract (200 mg/kg, 400 mg/kg, 600 mg/kg) reduced the increased total proteins significantly (p<0.01, p<0.001, p<0.001 respectively).
Table 2: Effect of Mimosa pudica root extract on Body Weight, Serum creatinine, BUN and Total proteins in gentamicin induced nephrotoxicity
| S. No. | Group | Initial body weights (mg)(mean+SEM) | Final body weights(mg)(mean+SEM) | Difference in body weights (mg) (mean+SEM) | Serum creatinine(mg/dl)(mean+SEM) | BUN(mg/dl)(mean+SEM) | Total proteins(gm/dl)(mean+SEM) |
| 1 | Normal control | 142+7.348 | 196+6.782 | 53.20+4.913 | 0.181+0.020 | 12.80+0.860 | 5.406+0.267 |
| 2 | Plant control | 155+4.472 | 206+8.124 | 51.00+5.099*** | 0.165+0.018*** | 14.93+1.424*** | 5.286+0.436*** |
| 3 | Gentamicin control | 200+8.367 | 134+9.798 | -66.00+6.00### | 0.906+0.042### | 37.56+0.487### | 11.37+0.434### |
| 4 | Pro. Low dose | 163+5.831 | 188+8.602 | 29.00+5.099*** | 0.561+0.031*** | 28.59+2.780** | 9.048+0.322** |
| 5 | Pro. Med. Dose | 164+7.482 | 212.5+6.292 | 45.00+10.41*** | 0.482+0.087*** | 20.03+2.131*** | 5.414+0.480*** |
| 6 | Pro. High dose | 162+4.062 | 210+8.367 | 48.00+10.07*** | 0.330+0.051*** | 15.53+0.495*** | 4.532+0.292*** |
| 7 | Curative group | 168+5.831 | 158+4.899 | -10.00+3.162*** | 0.656+0.032** | 20.55+1.050*** | 6.718+0.491*** |
The data obtained from all of the experimental groups have been compared to gentamicin control group. The data was analyzed statistically by one way ANOVA followed by Dunnett test using graph pad prism 5.0 Software. Where Mean±SEM (n=8) where *** P<0.001, **P<0.01, *P<0.05 compared to gentamicin control and ### P<0.001, ## P<0.01, # P<0.05 compared to normal control.
Effect of Mimosa pudica root extract on Urine creatinine, Urine Volume, Creatinine clearance in gentamicin induced nephrotoxicity
Table 3 shows that Urine creatinine was increased in gentamicin group and plant extract (200 mg/kg, 400 mg/kg, 600 mg/kg) increased the reduced urine creatinine significantly (p<0.01, p<0.001, p<0.001 respectively). Urine volume was significantly decreased in gentamicin administrated group. However, it was significantly increased by Mimosa pudica in dose related manner. Creatinine clearance was significantly decreased in gentamicin treated group and plant extract did not show any significance at 200 mg/kg but showed some significant increase in decreased creatinine clearance at 400 mg/kg, 600 mg/kg (p<0.01).
Effect of Mimosa pudica root extract on MDA, GSH and Catalase activity in gentamicin induced nephrotoxicity
Table 3 shows MDA levels increased in gentamicin and plant extract (200 mg/kg, 400 mg/kg, 600 mg/kg) reduced the increased total proteins significantly (p<0.001).
Kidney catalase activities were significantly decreased in the gentamicin-treated animals (p<0.001) compared to the normal group and plant extract (200 mg/kg, 400 mg/kg, 600 mg/kg) increased catalase significantly (p<0.5, p<0.01, p<0.001 respectively).
Glutathione were significantly (p<0.001) decreased in gentamicin treated rats compared to the normal control group. Treatment of Mimosa pudica root extract (200 mg/kg, 400 mg/kg, 600 mg/kg) significantly increased (p<0.001) the reduced glutathione levels.
Histopathological examination
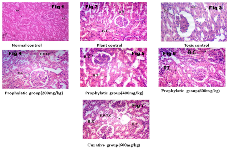
Histopathological examination of sections of rat kidney treated with gentamicin (Group III, fig. 3) showed degenerating tubular structures with vacuolization, necrosis and loss of architecture of the tubules where as normal group (Group I, fig. 1) rats and group treated with plant extract (Group II, fig. 2) showed normal glomerulus and tubules with regular morphology. Group IV (fig. 4) showed the presence of large number of degenerating tubules. Group V (fig. 5) showed predominant normal kidney morphology with only occasional degenerating tubules. Group VI (fig. 6) showed predominant normal kidney morphology with only occasional degenerating tubules. Group VII (fig. 7) showed predominant normal kidney morphology with only occasional degenerating tubules. H&E staining X 100 Dose dependent effect was seen in all the parameters, 600 mg/kg dose of ethanolic extract of Mimosa pudica roots had shown best nephroprophylactive, nephrocurative activity against gentamicin induced nephrotoxicity.

Fig. 1-7: Histopathological changes occurred in rats during Gentamicin intoxication and prevention by the treatment with ethanolic extract of root of mimosapudica (BC-Bowmens capsule RT-Rental tubules DG-Degenerative glomerull, DT-Degenerative tubules ERTC Enlarged rental tubular cell)
Table 3: Effect of Mimosa pudica root extract on Urine creatinine, Urine Volume, Creatinine clearance, GSH, Catalase and MDA in gentamicin induced nephrotoxicity
| Group No. | Treatment | Urine volume (ml)(Mean+SEM) | Creatinine clearance (ml/hr)(mean+SEM) | Urine creatinine (mg/dl)(mean+SEM) | GSH (µmole/gm of tissue)(mean+SEM) | Catalase (µmole/mg of tissue)(mean+SEM) | MDA (µmole/gm of tissue)(mean+SEM) |
| I | Normal control | 2.182+0.2662 | 0.981+0.107 | 1.607+0.099 | 0.055+0.0017 | 195.9+6.765 | 0.265+0.010 |
| II | Plant control | 2.003+0.258 | 0.807+0.148 | 1.658+0.081 | 0.055+0.0015 | 198.5+8.581 | 0.227+0.003 |
| III | Gentamicin control | 0.5133+0.083 | 0.141+0.0915### | 4.613+0.095### | 0.036+0.0015### | 119.9+4.733### | 0.412+0.009### |
| IV | Pro. low dose | 1.183+0.069 | 0.383+0.035ns | 4.181+0.068** | 0.066+0.00084*** | 146.5+4.996* | 0.349+0.004*** |
| V | Pro. Med dose | 1.395+0.064 | 0.478+0.034* | 2.344+0.100*** | 0.071+0.00042*** | 156.7+6.035** | 0.295+0.007*** |
| VI | Pro. high dose | 1.983+0.116 | 0.541+0.047** | 1.703+0.078*** | 0.076+0.00051*** | 193.1+5.360*** | 0.253+0.007*** |
| VII | Curative group | 1.533+0.145 | 0.386+0.028ns | 3.260+0.102** | 0.064+0.0012*** | 155.7+7.139** | 0.167+0.0092*** |
The data obtained from all of the experimental groups have been compared to gentamicin control group. The data was analyzed statistically by one way ANOVA followed by Dunnett test using graph pad prism 5.0 Software. Where mean±SEM (n=8) where *** P<0.001, **P<0.01, *P<0.05 compared to gentamicin control and ### P<0.001, ## P<0.01, # P<0.05 compared to normal control.
DISCUSSION
Gentamicin induces nephrotoxicity by the formation of ROS which causes renal phospholipidosis through inhibition of lysosomal hydrolases. ROS also accumulates in renal cortex and causes renal damage.[17-19] Biochemical parameters like Serum creatinine, Urine creatinine, Creatinine clearance, BUN, Total proteins, Urinary output and antioxident parameters like MDA, GSH and Catalase were studied. In the present study, Nephrotoxicity was induced by single daily i. p injection of gentamicin for 21days at a dose of 40 mg/kg in toxic control.
In prophylatic groups rats were treated with gentamicin13 days at a single dose of 40 mg/kg i. p 1hr prior to the administration of plant extract caused nephrotoxicity, after that rat from 14th-21st day treated with only plant extract. It caused significant (p<0.001) elevation of serum creatinine, urine creatinine, total proteins, BUN and MDA levels and it also decreased Creatinine clearance, urine volume, GSH and Catalase when compared to the normal group. However, these changes were attenuated by ethanolic extract of Mimosa pudica roots in dose related fashion. The plant extract had more significant effect at 400 mg/kg, 600 mg/kg when compared to 200 mg/kg.
These were correlated with histopathological studies caused marked degenerative changes in rat glomeruli, renal tubules when treated with gentamicin whereas progressive regeneration changes in glomeruli, renal tubules with dose dependent maner. After obtaining the above results curative group dose 600 mg/kg was selected.
The curative group rats were treated with gentamicin 40 mg/kg for 13 days and 14th to 21sttreated with plant extract. Ethanolic extract of Mimosa pudica roots had significant curative effect when given at a dose of 600 mg/kg. It was confirmed by serum, urine, invivo antioxidant parameters analysis.
The results of the study disclosed that the ethanolic extract of Mimosa pudica roots showed significant protective and curative effect against gentamicin induced nephrotoxicity in a dose dependent fashion.
CONCLUSION
Based on the results the mimosa pudica root ethanolic extract had nephroprotective, and nephrocurative activity. This was due to the antioxidant activity of the extract, but further investigations are essential to find out the exact mechanism of nephroprotection, nephrocurative activity of mimosapudica against gentamicin nephrotoxicity.
CONFLICT OF INTERESTS
Declared None
REFERENCES