Department of Pharmacology, Shri D.D.Vispute College of Pharmacy and Research Center, Devad-Vichumbe, New Panvel, Maharashtra, India.
Email: pushuchougule@gmail.com
Received: 24 Jun 2014 Revised and Accepted: 24 Jul 2014
ABSTRACT
Objectives: To evaluate the hepatoprotective activity of Ethanolic extract of root of Centaurea behen Linn were studied against Wister rats with liver damage induced by carbon tetrachloride (CCl4)
Methods: The hepatoprotective effect of the ethanolic extract is measured against Wister rats with liver damage induced by carbon tetrachloride (CCl4) through measuring the serum levels of Aspartate aminotransaminase (AST), Alanine aminotransaminase (ALT) and alkaline phosphatase (ALP) and Bilirubin to a significant extent. The Ethanolic extract was screened for toxicity by oral toxicity studies according to OECD guidelines 423. LD50 was calculated for selection of dose. The liver samples were dissected out, blotted off blood, washed with saline and also stored it in 10% formalin and proceeded for histopathology to evaluate the details of hepatic architecture in each group microscopically.
Results: Administration of Centaurea behen Linn (Dose 250mg/kg, 500mg/kg s.c) significantly prevented carbon tetrachloride induced elevation of serum ALT, AST, ALP and bilirubin level. Histological examination of the liver section revealed hepatic regeneration, after administration of various doses of Centaurea behen Linn.
Conclusion: The Ethanolic extracts of roots of Centaurea behen Linn showed significant decrease in the levels of serum markers, indicating the protection of hepatic cells, the extract of root of the plant could afford significant dose-dependent protection against CCl4 induced hepatocellular injury. Keywords: Hepatoprotective, Hepatocytes, Centaurea behen, Sliymarin.
INTRODUCTION
Cirrhosis is the damage of liver cells and their gradual replacement with scar tissue that impairs blood flow through the liver causing hepatocyte death and loss of liver function [1]. Hepatic fibrosis occurs in response to liver damage and regenerates apoptotic cells after repeated injury [2]. This inflammatory response is accompanied by limited deposition of extra cellular matrix (ECM), so that if the regeneration of dying cells fails during persistent liver injury, hepatocytes are replaced by abundant ECM, including fibrillar collagen, depending on the origin of injury [3]. Treatment options for common liver disease such as cirrhosis, fatty liver and chronic hepatitis are problematic.
The effectiveness of treatments such as interferons, colchicines, penicillamine and corticosteroids are inconsistent at best and the incidence of side-effects profound [4]. Because of the role of oxidative stress in liver cirrhosis, antioxidants have been proposed as a treatment for cirrhosis [5]. Several studies have demonstrated the protective effects of antioxidants against induced liver injury by reducing oxidative stress in cells. [6, 7]
Carbon tetrachloride (CCl4) is one of the most commonly hepatotoxins that has been reported to show many metabolic and morphologic aberrations in the liver of the experimental animals similar to those observed in human viral hepatitis. It was found that chronic administration of CCl4 induces liver cirrhosis by a multiple step mechanism. CCl4 biotransformed in the liver to trichloromethyl radicals (‐CCl3) which reacts with excess O2 forming reactive free radicals (‐CCl3OO). These free radicals initiate peroxidation of membrane polyunsaturated fatty acids and covalently bind microsomal lipids and proteins forming lipid peroxides followed by cellular disorders and pathological changes [8]. To prevent and reduce the potential mutation in the cell, reactive oxygen species should be scavenged properly.
A number of herbals show promising activity, including Silymarin for liver cirrhosis, glycyrrhizin for chronic viral hepatitis, and herbal combinations from China and Japan that have been proven for treatment of liver diseases [9]. Silymarin, a reference drug, is a flavonolignan from ″milkthistle″ Silybummarianum, and widely used for the treatment of hepatitis and liver cirrhosis [10].
Centaurea behen L. is a root belongs to the family Astarcease, native to South Asia and is commonly known as Safed Behman. In traditional medicine, several plants and herbs have been used experimentally to treat liver disorders, including liver cirrhosis, [11], [12]. Centaurea behen L. Possesses antioxidant [13], Anti anxiety [14], anti fungal [15], activities. In this study, we assessed the hepatoprotective effect of the ethanolic extract of Centaurea behen roots against Carbon tetra chloride -induced liver cirrhosis in Male wistar rats.
MATERIAL AND METHODS
Plant material collection and extraction
Plants sample were collected from Davabajar Mumbai. Collected roots were dried, powdered with mechanical grinder. The powder was passed through sieve and store in container. The powdered material was then extracted using solvent ethanol using soxhlet apparatus. After extracting all coloring matter, the solvent was removed by heating on water bath which give rise to a solid mass of extract of Centaurea behen L. The extracts were suspended in Olive oil for Present study [14].
Animals
The study was performed on adult male Wistar rats. Rats were procured from the Animal House Colony of the Haffkins Research Centre, Parel, Mumbai. Weight of each animal was between 150-200 gm. Before initiation of experiments, the rats were acclimatized for a period of 10 days.
Standard environmental conditions such as temperature (25±2), relative humidity (45-55%) and 12 hours dark/light cycle were maintained in the quarantine. All the animals were fed with normal diet under strict hygienic conditions. Ethical experiments on animals were obtained from institutional animal ethics committee (IAEC).
Acute toxicity
The ethanol extract of Centaurea behen L. was screened for acute toxicity, following the standard method (OECD No: 423).Albino mice of female sex weighing 20-25 gm were used in the study. Animals were maintained on normal diet and water prior to and during the course of experiments [16].
Experimental protocol [17]
Group I- Vehicle control: received single dose of vehicle once a day orally for 8 days and olive oil (0.5 ml/kg) s.c on day 7, 30 minutes after administration of the vehicle.
Group II- Disease control: received single dose of vehicle once a day orally for 8 days and CCL4 (1ml/kg) in olive oil (1:1) s.c on day 7, 30 minutes after administration of the vehicle.
Group III- Test1: received 250mg/kg of extract once a day orally for 8 days and CCL4 (1ml/kg) in olive oil s.c on day 7, 30 minutes after administration of the extract.
Group IV- Test 2: Received 500 mg/kg of the extract once a day orally for 8 days CCL4 (1ml/kg) in olive oil (1:1) s.c. on day 7, 30 minutes after administration of the extract
Group V- Standard control: received 25mg/kg of Silymarin once a day orally for 8 days and CCL4 (1ml/kg) in olive oil (1:1) s.c. on day 7, 30 minutes after administration of silymarin.
Biochemical assessment
At the end of the experimental period, the animals were deprived of standard diet for 20 hr and anesthetized with diethyl ether. Blood samples of each animal were collected by puncturing retro orbital plexus in separate tubes without anticoagulant. It was kept at room temperature for 1 hr then serum was separated by centrifugation at 3000 rpm for 5 min for assessment of biochemical parameters. Alanine Aminotransferase (ALT) [18], Alkaline Phosphatase (ALP) [19] as well as Total Bilirubin [20] were estimated.
Histopathological assessment
For Histopathological examination, the rats were sacrificed by cervical decapitation and liver from each animal was excised then immersed in neutral buffered formalin for 24 hr. Liver tissues were cleaned and embedded in paraffin, cut in 5μm sections, stained with the haematoxylin and eosin and examined microscopically.
Statistical analysis
All data were expressed as mean±SD and were analyzed by one‐way ANOVA to evaluate differences between groups. If significance was observed between groups, Duncan Multiple Range Test was used to compare the means of specific groups with p<0.05 considered as significant.
RESULTS
Estimation of biochemical parameters
The effect of ethanol extract of Centaurea behen L on serum transaminases, Aspartate aminotransaminase (AST), and Alanine aminotransaminase (ALT) alkaline phosphatase, bilirubin in CCl4 intoxicated rats were summarized in Table 1. There was a significant increase (p< 0.05) in serum marker enzymes AST, AST, ALP and bilirubin levels in group II (CCl4 intoxicated rats). Treatment with ethanol extract of Centaurea behen L. either simultaneously or after 8 weeks of CCl4 administration (groups III and IV), and silymarin (group V) (p< 0.05) significantly decreased the elevated serum marker enzymes levels to almost normal.
Table 1: Effect of ethanolic extract of Centaurea behen L. on different biochemical parameters in Carbon tetra chloride induced hepatotoxicity.
| Treatment group | AST(IU /L) | ALT(IU /L) | ALP (IU /L) | Bilirubin (mg /d1) |
| I | 55.300±17.321cd | 21±6.00bc | 250.33±54.647c | 0.21±0.110b |
| II | 140.00±27.185a | 45±6.00ab | 729.67±63.516a | 0.80±0.411a |
| III | 69.067±7.852bc | 29±12.00bc | 375.33±19.035bc | 0.28±0.064b |
| IV | 80.867±7.915bc | 30±3.46b | 400.67±94.342b | 0.36±0.168b |
| V | 90.333±7.506b | 34±6.93b | 435.00±27.221b | 0.28±0.127b |
All results are mean±SD for 5 animals. Values that have a different superscript letter (a, b, c, d) differ significantly with each other (p<0.05; Duncan’s Multiple Range Test).
Histopathology
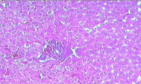
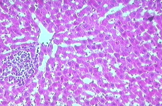
Histological observation of liver tissue of the normal animal (group I) showed a normal liver architecture of hepatocytes since they were well arranged without any alteration at central vein. In (group II) hepatocytes showed severe and diffuse degenerative changes mainly hydropic and fat degeneration.
In addition, focal areas of necrosis and extensive intralobular fibrosis of the two forms porto‐ portal and porto‐central bridging fibrosis were observed.

Fig. 1: (Group I) Photomicrograph of Liver section of a normal control rat.

Fig. 2: (Group II) Photomicrograph of Liver section of CCL4 intoxicated rat.

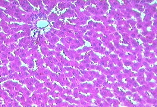
Fig. 3: (Group III) Photomicrograph of liver section of dose of 250mg/kg.

Fig. 4: (Group IV) Photomicrograph of Liver Section of Dose 500mg/kg.

Fig. 5: (Group V) Photo micrograph of Liver section of Standard group
In (group III) fibrous tissue proliferation was observed around portal tracts along with mild mononuclear cell infiltration mainly lymphocytes. In (group IV) the portal tracts demonstrated moderate infiltration with lymphocytes and few macrophages. Fibrous tissue proliferation around the portal areas and incomplete bridging of the hepatic parenchyma were observed. In (group V) the portal tracts displayed moderate infiltration with lymphocytes in addition to the presence of congested portal blood vessels and hepatic sinusoids
DISCUSSION
The experiment of the present work was designed to study the in vivo effect of Ethanolic extract of Centaurea Behen L. on some Biomarker enzymes and Histopathological changes of hepatic lesions indicating hepatocellular injury induced by CCl4 in male Wistar rats. Serum enzymes AST, ALT and ALP are sensitive markers of liver injury and their elevated levels are indicative of cellular leakage and loss of Functional integrity of cell membrane in liver that was initiated by hepatocellular damage caused by drug toxicity and xenobiotics [21],[22]. In the present study, significant increased levels of aminotransferases, with rise in the levels of ALT in CCl4 intoxicated rats (Group II) indicated hepatic damage.
The results of the present study demonstrated that coadministration of ethanol extract of Centaurea behen significantly decreased the serum, AST, ALT, ALP and bilirubin which restored all parameters towards normal levels. This indicates that Centaurea behen extract preserved the structural integrity of the hepatocellular membrane and improved metabolic processes. The restorative effect of Centaurea behen. Extract could be attributed to its ability to prevent or decrease the metabolism of CCl4 into more toxic metabolite. This could minimize the production of free radicals and boost the activities of their scavengers, diminishing produced hepatocellular injury. Comparison between the activity of the extract against the CCl4 induced toxicity and that of the standard drug, sylimarin, evidenced that the effect of ethanol extract of Centaurea behen and silymarin was almost comparable in all parameters tested with better effect for concomitant administration of Centaurea behen and CCl4. This suggests that Centaurea behen extract possess a protective activity against CC14‐ induced liver damage in rats. Hepatocytes make up 70–80% of the cytoplasmic mass of the liver. These cells are involved in protein synthesis, protein storage and transformation of carbohydrates. Other roles for these cells are synthesis of cholesterol, bile salts and phospholipids, as well as detoxification, modification and excretion of exogenous and endogenous substances. [23] Chronic liver disease is characterized by the excessive deposition of collagen and other extracellular matrix (ECM) proteins within the liver. It is thought that activated hepatic stellate cells in the perisinusoidal space are the main contributors to the fibrotic process [24]. Diagnosis of liver fibrosis is based on histological examination of chronic liver damage for lobular architecture, degree of hepatocyte damage, inflammatory infiltration, fibrous deposition, and regeneration and nodular formation [25].
In the present study, the appearance of two forms, porto‐ portal and porto‐central bridging fibrosis, in rats administrated with CC14 represents the adaptive response to the disturbance of hepatocytes metabolism induced by potentially toxic stimuli. The intensity of the degenerative and necrotic changes of hepatocytes in rats treated with Centaurea behen and silymarin was mild when compared with that of CC14‐intoxicated rats.
In summary, it could be concluded that ethanol extract of Centaurea behen was able to reduce all the elevated biochemical parameters and had therapeutic and preventive efficiencies in CCl4 induced hepatotoxicity in rats. Results revealed that the hepatoprotective effects of Centaurea behen may be due to improving the structural integrity of the hepatocyte as a result of their antioxidant activity, which enhance ability to scavenge free radicals and inhibit lipid peroxidation, all of which are capable of hepatocellular injury. Evidently, histopathological examination of liver also supported Centaurea behen therapy as it helped in improving liver cell architecture damage caused by CCl4.
CONCLUSION
The result of present study suggests that root extract of Centaurea behen L. Provide effective protection against CCl4- induced hepatotoxicity. However, we can suggest that the anti-hepatotoxic effects may be due to the free radical scavenging activities of the polyphenolic constituents present in the plant extract. It is therefore evident that Centaurea behen L can serve as a good source of effective antioxidant against liver injury.
CONFLICT OF INTERESTS
Declared None
ACKNOWLEDGEMENTS
Authors are thankful to Dr. Vilasrao Kadam, Principal, Bharati Vidyapeeth’s College of Pharmacy for motivation and support and for providing necessary facilities.
REFERENCES