
Department of Zoology, Kashi Naresh Government Post Graduate College, Gyanpur, Bhadohi (221304), Uttar Pradesh, India
Email: prakashcgzoology@rediffmail.com
Received: 13 Oct 2016 Revised and Accepted: 26 Nov 2016
ABSTRACT
Objective: Developing a male contraceptive of plant origin has always been of great interest among researchers. The aim of present investigation was to evaluate the contraceptive potential of Terminalia chebula R. (Harad) with respect to dose and reversibility in male albino mice.
Methods: Aqueous bark extract of Harad was administered orally at 100 (G III), 300 (G IV) and 500 (G V) mg/kg b.w. to males for 35 d, and the effect on histology of testis and accessory sex organs, enzymes 3ß-and 17ß-HSDs, SOD, catalase and LPO levels, sialic acid and fructose levels, sperm parameters, serum testosterone and fertility parameters was determined. Toxicological and recovery studies (G VI and VII) were also carried out.
Results: Harad-treated mice showed dose-related histological alterations in reproductive organs with reductions in weights, the height of germinal epithelium, germ cell number and diameter of stage VII tubules, along with adverse effect on biochemical and sperm parameters compared to controls. No alterations were noticed in SOD, catalase and LPO levels, though, mice in G V showed an increased LPO level. Libido was not affected, but fertility suppressed significantly in Harad-treated males (G VI) compared to controls. However, 42 d after treatment withdrawal, alterations in reproductive end points and fertility recovered to control levels. Body and organ weights, histo-architecture of vital organs, levels of ALT, AST and creatinine, and hematological parameters remained unchanged.
Conclusion: The results suggest that Harad causes dose-dependent reversible contraception in mice without any toxicity.
Keywords: Harad, Testosterone, Spermatogenesis, Epididymis, Fertility
© 2017 The Authors. Published by Innovare Academic Sciences Pvt Ltd. This is an open access article under the CC BY license (http://creativecommons.org/licenses/by/4. 0/)
DOI: http://dx.doi.org/10.22159/ijpps.2017v9i1.15638
INTRODUCTION
In India, as well as across the world, developing an orally active, safe, reversible and effective herbal male contraceptive with no adverse effect on libido has always been a matter of great interest among researchers. This might be due to limitations of contraceptive options (condoms, hormonal and non-hormonal regimes, surgical and immunological approaches) presently available for male fertility control, and also because of its ready availability, cost effectiveness and most importantly protection of privacy [1, 2].
Although plants have been used to control the fertility of male and female partners since ancient time, the discovery of gossypol (isolated from the cotton plant, Gossypium species) as a male contraceptive by Chinese scientists probably forced scientists to investigate other medicinal plants with antifertility effects [3]. In the recent past, a variety of preparations and active principles from different parts of the plants like seeds, stem, leaves, flowers, root or stem barks, etc. have been searched out in different animal models by researchers to determine their impact on male fertility [4-8]. The biologically active and eco-friendly substances in plant preparations exhibit contraceptive effects in males due to spermicidal actions, suppression of spermatogenesis, altered forward motility and fertilising abilities of spermatozoa [9, 10].
Harad (Terminalia chebula (R.): family Combretaceae) is a well-known evergreen tree in India and Southeast Asia. It has additional local names such as Black Myroblans, Haritaki, Karkchettu, Kadukkaya, Harada etc., and has traditionally been used as a popular folk medicine in homeostatic, antitussive, laxative, diuretic, and cardiotonic treatments. Further, Terminalia chebula (T. chebula) has been reported to show a variety of biological properties like antibacterial [11-15], antifungal [16], antiviral [17-19], anticancer [20, 21], antidiabetic [22-24] etc., which could be due to presence of a variety of phytoconstituents like tannins, flavonoids, triterpenoids, glycosides etc. T. chebula is fairly rich in different tannins (approximately 32% tannin content) such as chebulic acid, chebulinic acid, chebulagic acid, gallic acid, corilagin and ellagic acid [25]. In spite of such a vast variety of biological actions, the available literature on Harad lacks information regarding the effect of this plant on the reproductive organs in males except a few [26], and those from our laboratory in initial studies [27, 28].
The aim of the present investigation was to evaluate the contraceptive potential of Terminalia chebula R. (Harad) with respect to dose and reversibility in male albino mice.
Materials and methods
Collection and authentication of plant material
Fresh bark of Harad was collected during the summer season from the campus of Banaras Hindu University, Varanasi after its scientific identification and authentication by the Department of Botany. The sample of the plant material was preserved in the herbarium and kept in the museum (Ref No. TC/PCG-DOZ/05/2005) of the Department of Dravyaguna, Faculty of Ayurveda of Banaras Hindu University, Varanasi for future reference.
Preparation of plant extract
Plant extract was prepared strictly according to WHO protocol [29]. In brief, the bark of Harad was washed properly with sterile distilled water, shade dried for one week, and then ground into fine powder with an electric grinder. The powdered material (100 g) was extracted with sterile distilled water (1000 ml, w/v 1:10) in a soxhlet apparatus for 8 h in a glass vessel, and then cooled to room temperature and filtered. The filtrate was concentrated in an oven at 40 °C and finally lyophilized to get a black extract which was stored at 4 °C in a refrigerator. The yield of the extract was approximately 20 g per 100 g (20%) of the raw bark powder.
Chemicals and reagents
All chemicals and reagents used in the present investigation were of analytical grade (Merck Life Sciences Pvt. Ltd. Mumbai, India) and were purchased from local commercial vendors. Serum level of creatinine was estimated using a commercial kit (Span Diagnostics Ltd., Surat, India), while that of testosterone was determined by radioimmunoassay (Immunotech, Marseille, France). The sensitivity of the radioimmunoassay was 0.025 ng/ml with an intra-and interassay coefficient of variations being as 14.8% and 15% respectively.
Animals
A total of 42 adults (age 12-14 w) male laboratory albino mice (Mus musculus) of the Parkes (P) strain, weighing 28-38 g, were used in the investigation. Animals were procured from a randomly bred colony maintained in our animal room under standard conditions (temperature 23±2 °C, photoperiod 12 h and relative humidity 50±20% with proper ventilation) in polypropylene cages (450 mm X 270 mm X 150 mm) having dry rice husk as the bedding material. Animals were given standard pellet feed (Mona Laboratory Animal Feeds, Varanasi) and fresh drinking tap water ad libitum. All animal experiments were performed following the guidelines of Indian National Science Academy, New Delhi [30].
Experimental design
Mice were randomly allocated into seven groups, each comprising six individuals, and treated as follows:
Table 1
| Groups (G) | Treatments | Duration | Autopsy (after last treatment) |
| I | Untreated controls | ||
| II | Distilled water-treated controls | 35 d | 24 h |
| III | Harad at 100 mg/kg b.w. | 35 d | 24 h |
| IV | Harad at 300 mg/kg b.w. | 35 d | 24 h |
| V | Harad at 500 mg/kg b.w. | 35 d | 24 h |
| VI, Harad recovery | Harad at 500 mg/kg b.w. | 35 d | 42 d |
| VII, Control recovery | Distilled water-treated controls | 35 d | 42 d |
Aqueous bark extract of Harad was suspended in sterile distilled water and administered orally at the doses of 100, 300 and 500 mg/kg b.w. daily to mice in groups III-VI for 35 d, using an oral feeding needle. The doses, duration and the kind of extract for Harad treatment was selected based on pilot studies conducted in our laboratory in albino mice. Animals in control groups II and VII received orally an equivalent volume of sterile distilled water (0.5 ml/100 g b.w. daily). The body weight and general health condition of animals were regularly monitored throughout the treatment period.
Autopsy schedule
At the end of the treatment schedule, animals in groups I (untreated) and II (distilled water-treated) were sacrificed with those in treated groups III-V, while animals in groups VI (Harad recovery) and VII (control recovery) were sacrificed together by decapitation after recording their final body weights. The testis, epididymis, vas deferens, seminal vesicle, ventral prostate, brain, liver, kidney, adrenal gland and spleen were excised, cleared off fat and connective tissue, and weighed to nearest 0.1 mg. The testes, epididymes and seminal vesicles from five animals in each group were stored at–70 °C for biochemical assays. Trunk blood was collected, and the serum was separated out and stored at-70 °C for determination of serum levels of alanine aminotransferase (ALT), aspartate aminotransferase (AST), creatinine and testosterone.
Sperm analyses
At autopsy, cauda epididymidis was taken out randomly from left or right sides of each of five animals in each group and placed in a watch glass containing 0.5 ml of 0.9% physiological saline maintained at 37 °C on a hot plate [31, 28]. The tissue was minced properly and the sperm suspension, free of tissue debris, was used for analyses of motility, viability, and a number of spermatozoa according to WHO protocol [32]. A drop of sperm suspension was smeared on a clean glass slide and observed under a phase contrast microscope to study the morphological alterations in live spermatozoa. The criteria of Wyrobek and Bruce [33] and Zaneveld and Polakoski [34] were employed for evaluation of sperm abnormalities.
Tissue biochemistry
Sialic acid estimation in epididymis
The level of sialic acid in the epididymis was estimated according to Aminoff’s thiobarbituric acid method [35] and calculated by using Warren’s equation 2 [36].
Fructose estimation in seminal vesicle
The level of fructose in the seminal vesicle was estimated by the method of Lindner and Mann [37] with minor modifications [38].
Determination of oxidative stress in testis
The levels of the protein [39], lipid peroxidation (LPO) [40] and activities antioxidant enzymes, super-oxide dismutase (SOD) [41] and catalase [42], were assessed to determine the status of oxidative stress in the testis.
Estimation of testicular activities of 3ß-and 17ß-HSDs
The enzyme activities of 3ß-hydroxysteroid dehydrogenase (3ß-HSD) [43] and 17ß-hydroxysteroid dehydrogenase (17ß-HSD) [44] were determined biochemically in the testis.
Assay of serum testosterone
All serum samples were processed in duplicates as per instructions of the manufacturer for quantification of testosterone in a single assay.
Toxicological studies
Hematology
Hematological tests for blood cell counts (RBC and WBC), hemoglobin (Hb) and hematocrit (Hct) were performed with the fresh blood, collected after decapitation, according to standard laboratory procedures [45]. The mean corpuscular volume (MCV), mean corpuscular hemoglobin (MCH), and mean corpuscular hemoglobin concentration (MCHC) were also evaluated.
Liver and kidney functions tests
Serum levels of ALT, AST [46] and creatinine were estimated to determine the functional status of liver and kidney.
Histological techniques
For histological studies, testis, epididymis, vas deferens, seminal vesicle, prostate gland, a portion of liver, kidney, adrenal gland, and spleen were excised out randomly from the left or right sides of animals (n = 5) in each group, fixed in freshly prepared aqueous Bouin’s fluid for 3 h, dehydrated in graded ethanol series, cleared in benzene, and embedded in paraffin wax (60-62 °C). Tissues were sectioned at 6 µm, and sections were stained with periodic acid-Schiff (PAS) and counterstained with Harris hematoxylin. The stained sections were examined under a Leitz (Germany) light microscope.
Histological alterations and stages of spermatogenesis in seminiferous tubules in mouse testis were identified according to criteria described by Russell et al. [47]. To study the treatment-induced quantitative alterations in spermatogenesis, percent frequency of affected seminiferous tubules was calculated by observing the total tubules from randomly selected testis sections; the diameter of the seminiferous tubules and the height of the germinal epithelium were measured in stage VII tubules (n = 10) from each of six mice per group. The treatment-induced alterations in the kinetics of spermatogenesis were determined by identifying a total of hundred seminiferous tubules with respect to the stages (grouped as I-IV, V-VI, VII-VIII, IX-X, XI-XII and unidentifiable) in randomly selected testis sections from each of six mice per group [47]. Further, the germ cell number (viz., spermatogonia type A, preleptotene spermatocytes, pachytene spermatocytes, and Step 7 spermatids) at stage VII of the spermatogenic cycle was also determined from five randomly selected stage VII tubules in a testis section from each mouse (n = 5). The crude count of different germ cell types was corrected using Abercrombie formula [47, 48].
Epididymis, seminal vesicle, prostate gland, liver, kidney, adrenal gland and spleen were also processed for histological studies. The epididymis was divided into five (I-V) segments for study of treatment-induced histological alterations [49].
Fertility tests
A total of 10 adults (age 12-14 w) male and 40 female mice of proven fertility were employed in the fertility test. The fertility of males (n = 5) from groups VI (Harad-treated, 500 mg/kg b.w. for 35 d) and VII (distilled water treated for 35 d) was tested at 24 h, 2, 4 and 6 w after the last treatment by allowing each male to cohabit overnight with a coeval, virgin female in proestrus, showing regular cycles. Positive mating was confirmed next morning by the presence of a vaginal plug in mated female.
After 12/13 d of gestation, pregnant females were autopsied to record the total number of implants in both the uteri and a total number of corpora lutea in both the ovaries. The resorption sites were counted after treating the uterus with 10% ammonium sulphide solution [50].
The males were considered fertile if impregnated females showed live implants. Fertility parameters such as index of libido and index of fertility in males and number of live implants, pre-implantation and post-implantation losses in impregnated females were determined
Statistical analyses
All data, except those of body weight and fertility tests, were analysed by one-way analysis of variance (ANOVA), followed by Neuman-Keuls’ multiple range test for comparison of group means. Data on body weight and fertility tests were analysed by Student’s t-test. Values were expressed as mean±SEM. Results were considered significant at p<0.05 level.
Results
Body and organ weights
Treatment with Harad extract had no impact on the initial and final body weights, and on the general health and behaviour of the animals throughout the period of investigation. Further, absolute and relative weights of the vital body organs (brain, liver, kidney, adrenal gland, and spleen) were not affected compared to controls (data not presented).
Treatment with Harad extract at 500 mg/kg b.w. (G V) caused a significant reduction in absolute weight of testis, epididymis, seminal vesicle and prostate gland (table 2); relative weight of testis and seminal vesicle also reduced significantly in the above-treated mice compared to controls (table 2). Treatment with lower doses of Harad (G III and IV), on the other, had no significant effect on absolute and relative weights of the above reproductive organs, except the seminal vesicle. However, 42 d after treatment withdrawal, alterations in weights of the reproductive organs recovered to control levels (table 2).
Sperm parameters
A significant decrease in the motility, viability and number of spermatozoa, while an increase in the number of morphologically abnormal spermatozoa was noticed in Harad-treated mice (G III-V) compared to controls (table 3). Further, all sperm parameters except sperm number were more adversely affected in mice treated with Harad at 500 mg/kg b.w. (G V) compared to those treated at 100 and 300 mg/kg b.w. (G III and IV).
However, 42 d after treatment withdrawal, all sperm parameters except number of abnormal sperm recovered to control levels (table 3).
Tissue biochemistry
Sialic acid level in epididymis and fructose level in seminal vesicle
Significant reductions were noticed in the level of sialic acid in epididymes and that of fructose in seminal vesicles of mice treated with Harad extract at 300 and 500 mg/kg b.w. (G IV and V), but not at 100 mg/kg b.w. (G III) compared to controls. However, 42 d after treatment withdrawal, alterations in the levels of sialic acid and fructose in the treated mice recovered to control levels (table 4).
Level of oxidative stress in testis
No significant alterations were noticed in the testicular activities of SOD and catalase, and the level of LPO (table 4), though, mice treated with Harad extract at 500 mg/kg b.w. (G V) showed an increased LPO level compared to controls (table 4). However, 42 d after treatment withdrawal, the level of LPO in treated mice recovered to control levels (table 4).
Testicular activities of 3ß-and 17ß-HSDs
Significant reductions were found in the testicular activities of 3ß-and 17ß-HSDs in Harad-treated mice (G III-V)); however, the activity of 17ß-HSD was not affected at 100 mg/kg b.w. compared to controls (fig. 1).
Further, 42 d after treatment withdrawal, the activities of 3ß-and 17ß-HSDs remained significantly reduced in treated mice compared to controls (fig. 1).
Serum testosterone level
Remarkable, though, nonsignificant reductions were noticed in serum levels of testosterone in Harad-treated mice (G III-V) compared to controls (fig. 1).
Toxicological studies
Haematology, liver and kidney functions tests
No significant alterations were noticed in haematological parameters (RBC, WBC, Hb, Hct, MCV, MCH and MCHC), and in serum levels of ALT, AST and creatinine in treated mice compared to controls (data not presented).
Histological studies
Testis
Histological observations of tests in controls (untreated and distilled water-treated) showed normal spermatogenesis in nearly all the seminiferous tubules (fig. 2 A), except in a few (see table 4). On the other hand, nonuniform degenerative alterations were noticed in histoarchitecture of tests in Harad-treated (100, 300 and 500 mg/kg b.w. for 35 d) mice, since both affected and normal tubules were observed in the same testis sections. Further, some animals showed more severe alterations in their tests than others in the same treated groups (G III-V).
In general, affected seminiferous tubules in treated mice showed loosening of germinal epithelium, intraepithelial vacuolation, exfoliation of germ cells (fig. 2 B-D), presence of spermatids at different stages (particularly stages IX, X, and XI) of spermatogenic cycle in the same tubule, failure of release of mature sperm, phagocytosis of elongated spermatids in the germinal epithelium. Furthermore, the histological alterations in testes were more pronounced in mice treated with Harad at 500 mg/kg b.w. (G V) compared to those in treated groups III and IV; testes in mice in group V frequently contained degenerating seminiferous tubules with a few normal ones.
Multinucleate giant cells containing nuclei of spermatocytes or round spermatids with eosinophilic cytoplasm (fig. 2 E), uninucleate giant round spermatids, and pycnotic round spermatids showing marginal condensation of chromatin (fig. 2 C) were frequently seen in testes of treated mice (G III-V).
Table 2: Effect of Harad on body and reproductive organ weights
Groups/Parameters |
Body weight |
Testis |
Epididymis |
Vas deferens |
Seminal vesicle |
Ventral prostate |
||||||
Initial |
Final |
Absolute |
Relative |
Absolute |
Relative |
Absolute |
Relative |
Absolute |
Relative |
Absolute |
Relative |
|
I, Control(Untreated) |
29.83±0.54 |
30.50±0.89 |
99.60±3.01 |
336.05±16.24 |
35.65±0.92 |
112.86±4.14 |
13.57±0.61 |
44.25±3.31 |
94.77±5.54 |
311.60±17.63 |
36.90±3.64 |
88.15±9.14 |
II, Control(distilled water) |
30.50±0.68 |
31.00±0.45 |
101.60±3.45 |
320.77±8.49 |
39.43±2.47 |
125.62±5.82 |
15.02±1.02 |
49.50±3.21 |
85.38±7.36 |
276.62±25.47 |
34.30±2.31 |
110.33±8.20 |
III, 100 mg/kg b.w. |
30.83±1.04 |
31.00±0.86 |
91.58±3.48 |
295.32±8.47 |
34.87±1.47 |
118.19±7.95 |
11.45±0.82 |
38.73±2.07 |
61.32±4.71* |
211.45±19.85* |
28.56±4.50 |
98.92±18.73 |
IV, 300 mg/kg b.w. |
32.17±1.33 |
31.17±0.65 |
98.27±3.81 |
322.29±17.54 |
38.10±0.77 |
125.06±3.33 |
14.47±0.24 |
48.60±1.75 |
58.43±2.83* |
189.87±10.02* |
25.24±1.95 |
83.76±5.00 |
V, 500 mg/kg b.w. |
29.00±0.45 |
28.33±0.56 |
69.92±2.74* |
245.51±11.29* |
28.42±0.72* |
100.89±1.15 |
11.07±0.47 |
38.97±2.04 |
40.60±4.75* |
143.47±16.91* |
19.72±2.01* |
70.56±5.53 |
VI, Harad recovery |
33.50±0.67 |
33.67±0.92 |
97.48±4.31 |
282.30±7.91 |
41.00±2.44 |
121.58±7.62 |
15.50±1.05 |
45.03±2.90 |
99.87±8.29 |
294.28±20.64 |
32.24±4.00 |
97.93±13.27 |
VII, Control recovery |
31.17±0.54 |
31.83±0.84 |
99.77±2.70 |
308.72±8.69 |
45.02±4.00 |
141.54±12.17 |
15.07±1.09 |
47.37±3.31 |
105.15±15.98 |
331.62±49.04 |
32.60±2.67 |
114.46±16.48 |
Values are mean±SEM for six animals; absolute weight refers to the real weight of the unpaired organ, while relative weight refers to organ weight/100 g b.w. of animal, *significantly (p<0.05) different from controls.
Table 3: Effect of Harad on motility, viability, morphology and number of spermatozoa in cauda epididymidis
| Groups/Parameters | Motility (%) | Viability (%) | Abnormal morphology (%) | `Number (X 106/ml) |
| I, Control(Untreated) | 84.89±1.02 | 85.62±1.92 | 26.19±1.63 | 19.09±0.95 |
| II, Control(distilled water) | 86.18±2.23 | 88.14±1.35 | 24.52±2.68 | 21.70±1.61 |
| III, 100 mg/kg b.w. | 55.06±5.45* | 62.62±3.60* | 44.31±6.30* | 9.48±2.14* |
| IV, 300 mg/kg b.w. | 67.97±2.06* | 71.89±2.74* | 50.21±5.74* | 10.53±1.13* |
| V, 500 mg/kg b.w. | 24.54±1.73a | 24.54±1.63a | 81.42±3.08a | 5.87±1.58* |
| VI, Harad recovery | 74.69±1.64 | 75.42±2.33 | 42.28±5.83c | 14.02±1.21 |
| VII, Control recovery | 83.78±3.01 | 84.41±1.06 | 24.54±1.47 | 18.81±0.87 |
Values are mean±SEM for five animals; * significantly (p<0.05) different from controls; a significantly (p<0.05) different from controls and those in groups III and IV; c significantly (p<0.05) different from recovery controls.
Table 4: Effect of Harad on sialic acid in epididymis, fructose in seminal vesicle, activities of SOD, catalase and LPO level in testis
| Groups/Parameters | Sialic acid level (µmol/100g tissue) | Fructose level (µg/100 mg tissue) | SOD(U/mg protein) | Catalase(Pkat/mg protein) | LPO level(nmol TARS/g tissue) |
| I, Control(Untreated) | 149.56±13.73 | 174.64±9.95 | 7.88±0.70 | 42.42±6.34 | 11.34±2.62 |
| II, Control(distilled water) | 136.80±9.82 | 226.23±25.58 | 7.85±1.31 | 43.84±3.87 | 9.56±1.81 |
| III, 100 mg/kg b.w. | 109.62±7.46 | 164.38±30.23 | 5.78±0.97 | 42.75±8.01 | 12.20±1.61 |
| IV, 300 mg/kg b.w. | 94.90±4.22* | 114.26±26.54* | 5.80±0.72 | 44.32±6.95 | 17.02±3.27 |
| V, 500 mg/kg b.w. | 81.33±9.80* | 63.44±12.64* | 5.69±0.70 | 42.05±7.39 | 24.49±3.66* |
| VI, Harad recovery | 103.13±10.00 | 214.55±31.14 | 5.71±1.30 | 31.61±4.51 | 14.76±2.13 |
| VII, Control recovery | 126.02±6.87 | 175.37±16.89 | 6.48±0.72 | 47.73±8.54 | 11.88±1.15 |
Values are mean±SEM for five animals; *significantly (p<0.05) different from controls.
Table 5: Effect of Harad on height of germinal epithelium, diameter of stage VII tubules, number of affected tubules and counts of germ cells in testis
| Groups/Parameters | Height (µm) | Diameter ((µm) | Affected tubules (%) | Spermatogonia type A | Preleptotene spermatocytes | Pachytene spermatocytes | Step 7 spermatids |
| I, Control(Untreated) | 65.74±2.75 | 193.16±3.43 | 14.59±0.86 | 0.50±0.016 | 26.94±1.39 | 28.07±1.30 | 109.49±5.27 |
| II, Control(distilled water) | 68.17±2.55 | 199.00±2.87 | 13.30±1.38 | 0.43±0.025 | 22.37±1.05 | 32.14±0.73 | 108.54±3.15 |
| III, 100 mg/kg b.w. | 56.68±3.29 | 193.32±4.67 | 28.81±3.63* | 0.55±0.029 | 19.88±1.30* | 33.44±2.10 | 86.64±3.85* |
| IV, 300 mg/kg b.w. | 53.24±3.29* | 178.65±5.58 | 42.69±4.22* | 0.62±0.031* | 16.68±0.58* | 19.89±2.10* | 61.33±4.35* |
| V, 500 mg/kg b.w. | 38.99±1.78b | 168.35±3.34* | 95.53±1.39a | 0.59±0.069* | 15.72±1.61* | 17.59±0.79* | 54.40±2.39a |
| VI, Harad recovery | 60.55±1.90 | 202.45±5.22 | 29.02±6.64c | 0.46±0.041 | 17.13±1.31c | 22.61±1.20 | 79.18±7.80c |
| VII, Control recovery | 69.49±2.11 | 199.20±3.43 | 14.67±1.07 | 0.45±0.027 | 24.59±1.60 | 27.05±1.20 | 110.17±4.51 |
Values are mean±SEM for five animals; *significantly (p<0.05) different from controls; bsignificantly (p<0.05) different from controls and those in group IV; asignificantly (p<0.05) different from controls and those in groups III and IV; csignificantly (p<0.05) different from recovery controls.
A significant increase in the frequency of affected tubules was noticed in testes of Harad-treated mice (G III-V) compared to controls, and this increase was comparatively much higher in mice in group V than those in groups III and IV (table 5). Significant reduction in the height of the germinal epithelium was noticed in testes at higher doses (300 and 500 mg/kg b.w.) of Harad; further, the diameter of stage VII tubules reduced significantly only in mice in group V compared to controls (table 5). Significant reductions were noticed in the number of preleptotene/pachytene spermatocytes and step 7 spermatids in testes of Harad-treated mice (G III-V) compared to controls, except the number of pachytene spermatocytes in mice in group III; the reduction in number of step 7 spermatids was much more pronounced in mice in group V compared to those in groups III and IV (table 5). Further, a significant increase was noticed in a number of spermatogonia type A in testes of treated mice, except in those in group III, compared to controls (table 5). Treatment with Harad extract caused significant reduction in the frequency of early stages (I-IV, V-VI and VII-VIII) of spermatogenic cycle (data not presented) compared to controls; further, the frequency of tubules in stages VII-VIII was reduced remarkably in mice in group V compared to those in groups III and IV (data not presented). However, 42 d after treatment withdrawal, histological alterations in testes recovered almost to controls (fig. 2 F), though, the frequency of affected tubules remained elevated, and the number of pachytene spermatocytes and step 7 spermatids remained decreased in testes of treated mice compared to controls (table 5).
Epididymis and vas deferens
The epididymal segments (I-V) in controls exhibited normal histological features (fig. 3 A-E). Treatment with Harad extract brought degenerative alterations in epididymides that were more severe in mice in group V compared to those in groups III-IV. In epididymes in Harad-treated mice, segments I-III were nearly normal, except that the tubular lumen was either empty or contained sperm fragments and/or exfoliated germ cells with PAS-positive materials (fig. 3 F-H); epithelial cells in segments IV and V showed vacuolization and lumen was filled with relatively less sperm or sperm fragments and/or exfoliated germ cells with PAS-positive materials; stroma was increased in segment V (fig. 3 I-J). Histologically, not much alteration was noticed in vas deferens except the presence of relatively less sperm/sperm fragments in treated mice compared to controls (fig. not shown). However, 42 d after treatment withdrawal, histological alterations in epididymes and vas deferens recovered to controls (fig. not shown).
Seminal vesicle and prostate gland
Histologically, seminal vesicles and prostate glands in controls showed normal features (fig. 4 A and C), but in Harad-treated mice (G III-V) reductions in height and number of mucosal folds of the secretory epithelium, and increase in calcareous secretion in the glandular lumen were noticed compared to controls (fig. 4 B and D). However, 42 d after treatment withdrawal, histological alterations in seminal vesicle and prostate gland recovered to controls (fig. not shown)

Fig. 1: Effect of Harad on activities of 3ß-and 17ß-HSDs in testis and on serum level of testosterone. Values are mean±SEM for five animals. *Significantly (p<0.05) different from controls; #significantly (p<0.05) different from recovery controls
Table 6: Effect of Harad on fertility of males and pregnancy outcome in impregnated females
| Time after cessation of treatment/Parameters | Number of males | Number of females | Index of libido (%) | Pre-implantation loss (%) | Post-implantation loss (%) | Number of live implants | Index of fertility (%) |
| T | M | F | T | M | P | ||
| 24 h | Control | 5 | 5 | 5 | 5 | 5 | 5 |
| Treated | 5 | 5 | 0 | 5 | 5 | 0 | |
| 2 w | Control | 5 | 5 | 5 | 5 | 5 | 5 |
| Treated | 5 | 5 | 0 | 5 | 5 | 0 | |
| 4 w | Control | 5 | 5 | 5 | 5 | 5 | 5 |
| Treated | 5 | 5 | 1 | 5 | 5 | 3 | |
| 6 w | Control | 5 | 5 | 5 | 5 | 5 | 5 |
| Treated | 5 | 5 | 5 | 5 | 5 | 5 |
T-Tested; M-Mated; F-Fertile; and P-Pregnant, Values are mean±SEM for five animals; *significantly (p<0.05) different from controls, Index of libido= (number mated/number paired) X 100; Index of fertility = (number of males siring live implants/number mated) X 100; Pre-implantation loss = (total number of corpora lutea–total number of implantations/total number of corpora lutea) X 100; Post-implantation loss = (total number of implantations–total number of viable implantation/total number of implantations) X 100

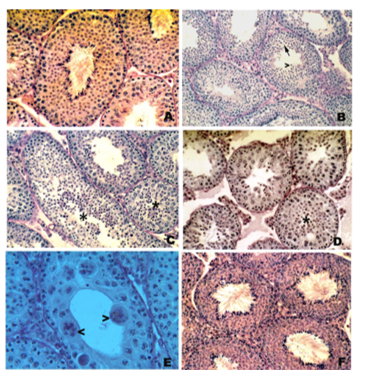
Fig. 2: PAS-hematoxylin stained sections of mouse testis (Magnifications: A-D and F: X 200; E: X 250). (A) Control is showing normal spermatogenesis in the tubules. (B) After treatment with Harad (300 mg/kg b.w.). to show loosening of germinal epithelium (arrow) and exfoliation of germ cells (arrowhead). (C) After treatment with Harad extract (500 mg/kg b.w.) to show exfoliated pycnotic round spermatids (asterisk). (D) and (E) After the same treatment as in (C) to show exfoliation of germ cells and complete absence of elongated spermatids (asterisk) and formation of giant cells (arrowheads). (F) Testis of mice from G VI to show recovery of normal spermatogenesis in tubules

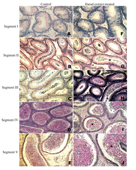
Fig. 3: PAS-hematoxylin stained sections of mouse epididymis (Magnifications: A-E and F-J: X 200). Segments I (A), II (B), III (C), IV (D) and V (E) of control to show normal histological features and lumen containing spermatozoa. Segments I (F), II (G), III (H), IV (I) and V (J) of mice treated with Harad (500 mg/kg b.w.) to show the normal appearance of the segments, except that the lumen is devoid of spermatozoa and contains sperm fragments and exfoliated germ cells with PAS-positive materials (asterisk)

Fig. 4: PAS-hematoxylin stained sections of mouse seminal vesicle and prostate gland (Magnifications: A-D: X 200. (A) Seminal vesicle of control to show normal histological features. (B) After treatment with Harad (500 mg/kg b.w.) to show reduced height of the secretory epithelium, fewer epithelial mucosal folds (arrow) and increased calcareous secretion in the lumen (asterisk). (C) Prostate gland of control to show normal histological features. (D) After treatment with Harad (500 mg/kg b.w.) to show reduced height of the secretory epithelium, fewer epithelial mucosal folds and increased calcareous secretion in the lumen (asterisk)
Liver, kidney, adrenal gland and spleen
No histopathological alterations were noticed in liver, kidney, adrenal gland and spleen in Harad-treated mice compared to controls (fig. not shown).
Fertility test and pregnancy outcome
When Harad-treated males (G VI: 500 mg/kg b.w. for 35 d) were caged with females at 24 h, 2, 4, and 6 w after withdrawal of treatment, libido was not affected at any interval (table 5). The fertility of treated mice, however, was found to be nil at 24 h and 2 w after treatment withdrawal, since none of the impregnated females showed live implants due to absolute pre-implantation loss; at 4 w after treatment withdrawal, the fertility recovered to 20% with significantly reduced number of live implants and high pre-implantation loss in impregnated females; and ultimately at 6 w after treatment withdrawal, fertility of treated mice recovered to control levels (table 5).
Discussion
The results of the present study in albino mice indicate that treatment with Harad extract for 35 d caused dose-dependent reduction in weights of the testis, accompanied with nonuniform histological alterations in tubules such as loosening of germinal epithelium, intraepithelial vacuolation, exfoliation of germ cells, and presence of spermatids at different stages in the same tubule, etc. The severity of treatment induced degenerative alterations in testes varied group to group, and also among the individuals of the same treated group. It is to be noted here that such nonuniform, focal damages in the testis occur because tubules in certain stages of spermatogenesis are more prone to damage than the others [47] by various treatments, as also described in mice after treatment with leaf extract of Colebro oppositifolia [51], bark extract of Albizia lebbeck (L.) Benth [52], 50% ethanolic extract of Calendula officinalis [53], leaf extract of Ficus bengalensis [54], and several antispermatogenic agents such as Gossypol [55], imino sugars [56], AF 2364 [57] etc. Treatment with Harad extract induced dose-dependent suppression of spermatogenesis since mice are treated at 500 mg/kg b.w. (G V) showed more pronounced degenerative histological alterations accompanied with a higher percentage of affected tubules, more reductions in the height of germinal epithelium, the diameter of stage VII tubules due to significant premature loss of preleptotene/pachytene and step 7 spermatids. Treatment-induced alterations in the frequency of tubules in early stages (especially stages VII-VIII) of spermatogenic cycle suggest the disturbance in the kinetics of spermatogenesis [58]. Further, round spermatids appeared to be the target germ cells in the tubules to the Harad treatment, since these cells often showed marginal condensation of chromatin, premature exfoliation and giant cell formation, as observed in rat testis after treatment with Tamoxifen [59]; furthermore, there was also a marked reduction in the number of step 7 spermatids in stage VII tubule in testes of Harad-treated mice compared to controls.
Treatment with Harad extract at a higher dose caused a significant reduction in absolute weight of the epididymis accompanied with vacuolization and accumulation of PAS-positive inclusions in the epithelial cells of segment IV (corpus) of epididymis as reported in mice following various treatments [28, 52, 54], which could be because of absence or reduced number of sperm in epididymal lumen as described by Abe and his group [60, 61]. The treatment also had an adverse effect on motility, viability, morphology and number of spermatozoa in cauda epididymidis. Reduction in the sperm number in treated mice is certainly due to suppression of spermatogenesis in the testis since round spermatids were the most affected germ cells as discussed above. On the other hand, alterations in motility, viability and morphology of spermatozoa might have resulted from a testosterone-mediated disturbance in the structure and function of epididymis [62, 63] as supported by a dose-dependent reduction in the level of sialic acid [51]. Reductions in weights of testosterone-dependent accessory sex glands viz., seminal vesicles and prostate glands accompanied with histological alterations, in addition, reduction in the level of fructose in seminal vesicles in treated mice further strongly support the above hypothesis.
No alterations in activities of antioxidant enzymes, SOD and catalase, suggest that the suppression of spermatogenesis should not be the result of treatment-induced oxidative stress in testes of treated mice. Further, increased level of LPO in mice treated at 500 mg/kg b.w. could be due to pronounce degenerative alterations in their testes. Therefore, it appears that contraceptive effect of Harad is mediated via hypothalamohypophysial-testis axis either by inhibiting the secretions of gonadotropins especially luteinizing hormone (LH) from the pituitary gland, or of testosterone from Leydig cells. Leydig cells under the influence of LH produce testosterone to support spermatogenesis [64]. In the present study after treatment with Harad extract, the enzyme activities of 3ß-and 17ß-HSDs were adversely affected which are essential for testosterone biosynthesis in testis. A non-significant reduction in serum levels of testosterone in treated mice supports the above findings. This is to be noted here that a much higher (25-125 fold higher than the serum level) intratesticular level of testosterone is required to maintain spermatogenesis in rodents and human [65, 66], and therefore, in absence or a slight decrease of testosterone, spermatogenesis fails to proceed beyond the meiosis stage. Further, germ cells that have progressed beyond meiosis detach prematurely from Sertoli cells and/or undergo apoptosis [67] as observed in the present study.
Libido was not affected in Harad-treated males, but there was a complete suppression of fertility in males at 24 h and 2 w after treatment withdrawal due to an absolute pre-implantation loss in the impregnated females. This could be because of severely reduced number and quality of the cauda spermatozoa. At 4 w after treatment withdrawal, the fertility recovered to 20%, and ultimately by 6 w after treatment withdrawal, the fertility of treated mice recovered to control levels. The complete reversal of fertility by 6 w after treatment withdrawal suggests that spermatogonial proliferation was not affected by the treatment, and the spermatogenesis and other reproductive endpoints recovered to normal as observed in the present study.
The absence of any alterations in mean body weights or in weights of brain, liver, kidney, adrenal and spleen, in serum levels of transaminases (ALT and AST) and creatinine, and in haematological indices (data not presented) suggest that the Harad extract did not produce any systemic toxicity in treated mice. This is further supported by the absence of histological alterations in the above vital organs (fig. not shown).
CONCLUSION
Treatment with Harad extract produced reversible suppression of spermatogenesis and fertility and therefore caused dose-dependent reversible contraception in albino mice without any toxicity
Acknowledgement
This work was financially supported by The Council of Scientific and Industrial Research (CSIR-HRDG), New Delhi. The author is thankful to Professor Shio Kumar Singh, Department of Zoology, B. H. U., Varanasi for his valuable guidance, suggestions, and for providing laboratory and animal room facilities.
CONFLICT OF INTERESTS
Declared none
REFERENCES
How to cite this article