
Laboratory of Physiology of the Nutrition and Food Safety, Department of Biology, Faculty of Science, University of Oran 1 Ahmed Ben Bella, 31000 Oran, Algeria
Email: benaissa.y@hotmail.fr
Received: 19 Oct 2016 Revised and Accepted: 17 Jan 2017
ABSTRACT
Objective: The aim of this work was to study the biochemical characteristics of coconut milk and its antigenic effect on the Balb/c mice immunized with α-lactalbumin protein, as well as its consequences on the structure of the intestinal epithelium.
Methods: To achieve the objective of the study, an electrophoresis was realised on a polyacrylamide gel to determine various proteins contained in coconut milk. In addition, Lowry’s method was used to determine the amount of proteins in the formula. The antigenicity of coconut milk in sera was also studied using the Enzyme-Linked Immunosorbent Assay (ELISA) method. For the histological study, 21 w-old mice Balb/c were used and distributed in three groups of 7 mice each. Group 1, received a standard feed with no treatment (Negative control), group 2 and 3 received respectively a standard feed (Positive control) and coconut milk for a period of 28 d after being immunized with α- lactalbumin.
Results: Analysis of the data revealed that the rate of proteins of cow’s milk is higher than that of the coconut milk (
p
0.01). However, after carrying out the electrophoresis analysis, the coconut milk showed the absence of intact proteins. The anti α-Lactalbumin IgG titers significantly increased in positive control groups that received coconut milk (p<0.0001). Moreover, there was an increase of the intestinal villi height of mice fed with coconut milk, in the structure level of their intestinal epithelium compared to the negative control group.
Conclusion: The findings of the study provide the evidence that coconut milk is a possible alternative to the cow’s milk formula in case of allergy.
Keywords: Proteins, Coconut milk, Antigenicity, α-Lactalbumin, Balb/c mice, Immunoglobulin G, ELISA, Intestinal epithelium
© 2017 The Authors. Published by Innovare Academic Sciences Pvt Ltd. This is an open access article under the CC BY license (http://creativecommons.org/licenses/by/4.0/)
DOI: http://dx.doi.org/10.22159/ijpps.2017v9i3.15753
The prevalence of Cow's Milk Protein Allergy (CMPA) in children living in the developed world is approximately 2 to 3 % [1, 2]. A review paper by the World Allergy Organization [3] estimated that 1.9% to 4.9% of children suffer from Cow's Milk Protein Allergy (CMPA), yet perceived food allergy could be up to 10 times higher than that confirmed by appropriate tests [4, 5]. With the startling growth in patients with food allergy, there has been a concerted effort to focus on prevention. It is, therefore, necessary to find a safe and efficacious alternative strategy which is nothing, but coconut milk.
Coconut milk is rich in saturated fats (17%) and is much healthier than any other products with saturated fats, as it is easily metabolized by the body. Lauric acid, the principal saturated fat which it contains, is found as well in breast milk and is shown to favor brain and bones development [6]. Being a common ingredient in tropical cuisines, coconut milk is extensively used in the human nutrition and plays a beneficial role on health [7]. It is consumed directly or with cooked food. In the preparation of vegetable, fish or meat curries, it is added as the liquid medium for boiling such food [8]. In order to preserve its quality and extend its storage life, a number of thermal processing methods can be applied such as pasteurisation, sterilization and ultrahigh temperature (UHT) treatment. Different methods usually result in the dissimilar feature, storage condition and product life. Wattanapahu et al., [9] reported the odor, flavor and appearance of coconut milk products related to the applied thermal processing scheme. Normally, if the demanded shelf life is longer than 6 mo, the UHT processing should be an attractive method due to its ability to kill microorganisms while maintaining the product quality.
The aim of this study was to investigate the biochemical characteristics of coconut milk and its antigenic effect on the Balb/c mice immunised with α-Lac protein, as well as its consequences on the structure of the intestinal epithelium.
To begin with, we collected various products for the biochemical dosage from the following companies: Prolabo, Merck and sigma (France). The pure fractions of proteins namely, beta-lactoglobulin (β-Lg), alpha-lactalbuumin (α-Lac), bovine serum albumin (BSA) and casein are products of Sigma (France).
For the samples, bovine milk was freshly collected in a farm of bovine breeding in Oran region, Algeria. It was skimmed by centrifugation in 3500 rpm for 15 mn at 4 °C. This operation was intended to eliminate the fat. The skim was then freeze-dried by means of a lyophilizator of type speed Vac concentrator 100H.
As for the methods used in the study, an electrophoresis manipulation was made based on the Leammli method [10]. Two different composition gels, as well as concentration and migration gels, were used in the experiment.
The mixture of protein was first dissolved in an SDS solution (Merck), an anionic cleaner which breaks almost all the non-covalent bands in the native molecules. The Mercaptoethanol (Sigma) was then added to reduce the disulfide’s connections. The anions of the SDS were bound to the main chains and gave the complex SDS-proteins a negative charge. This negative charge acquired by the fixation of the SDS is usually much bigger than the charge of the native protein which becomes unimportant past.
For the purpose of protein dosage, Lowry's method was used [11]. In our experiment, various products such as folin reagent (Sigma), washing Soda, a hydroxide of sodium (Merck), tartrate of potassium and sodium (Merck), copper sulphate (Prolabo) and bovine serum albumin (Sigma) were used. The protein assay was carried out from the powder samples of coconut milk (Asia gold) compared to those of cow's milk. The total protein concentration was determined by measuring the absorbance spectrophotometrically at 750 nm in comparison to a standard curve obtained with bovine serum albumin.
The antigenicity of coconut milk in sera of Balb/c mice was also studied using an enzyme-linked immunosorbent assay (ELISA) method and for the histological study, 24 female Balb/c mice, aged 4 w and weighed (19±0.25) g were used. The first group did not receive any treatment and was used as a control. The second group had received coconut milk during all period of the protocol. The second and third groups were immunized on day 0, then under the same conditions on days 14, 21 and 28 of the protocol. Mice were immunized intraperitoneally; each mouse received a dose of 100 µl of PBS pH 7.4 (Sigma) containing 10µg of α-lac mixed with 2 mg of Aluminium hydroxide Al (OH) 3 (Sigma).
The animals were obtained from the Pasteur institute in Algiers (Algeria). They were mice bred and acclimated before handling in our laboratory (the laboratory of Nutrition Physiology and Food Safety at the University of Oran 1). The housing conditions were done for the well-being of the animal; all stress and agitation to the mice was avoided.
Before handling the animals, a first retro-orbital blood sample was taken using a Pasteur pipette. This was repeated at Day 35 before sacrifice. An average volume of 400 to 500 µl of blood per mouse was collected. The blood was then centrifuged at 3500rpm for 15 min at 4 °C to separate the serum which was then collected into Eppendorf microtubes and stored at-20 °C.
Sera collected one week after the last immunization were analyzed for IgG anti-α-Lac using an Enzyme-Linked Immunosorbent Assay (ELISA) [12].
As for the results, they were expressed as mean±standard error (X±SE). The averages were compared using a Student test. The significance level used was 5%.
The protein dosages were realised on the skimmed cow’s milk and the milk of coconut (n=6) with n representing the number of samples. The results of the dosages are presented in fig. 1. The obtained results showed the content in proteins of the cow’s milk (31.34±1.25) g/l. The content in total proteins of the coconut milk was 23.20±0.65 g/l.

Fig. 1: Total proteins content of the cow’s milk and coconut milk, CM: cow’s milk, CC: coconut milk. **: 
p
0.01
Results were mean±SE per group. The statistical significance of comparison between cow’s milk and coconut milk protein was assessed using Student t test.
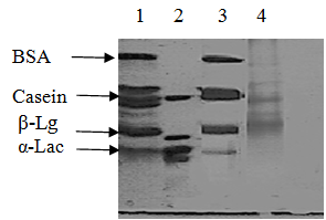
The realised gel is illustrated in fig. 2. The first well corresponded to a marker kit constituted by a mixture of pure bovine proteins, containing BSA (68000 Da), casein (24000 Da), β-Lg (18000 Da) and α-Lac (14000 Da). The second well of the gel corresponded to a marker kit constituted by a mixture of peptides of low molecular weight of Sigma reference. The analysis of the deposit of the cow’s milk showed clearly the presence of intact protein bands comparable to reference proteins. The fourth well corresponded to the coconut milk and showed the absence of intact proteins.

Fig. 2: Electrophoresis on polyacrylamide-SDS gel of the cow’s milk and the coconut milk
The revelation of specific anti α-Lac IgG was performed by ELISA in sera from Balb/c mice sensitized to α-Lac (n=7). This was a very sensitive technique to quantify IgG [13] accurately. One week after the last immunization, serum titer of anti α-Lac IgG was detectable in the sera of positive control. These antibodies were produced at a significantly higher rate, reaching 1/304428th. In contrast, the levels of IgG anti α-Lac were significantly low (1/215th) (P<0.0001) in the group of animals that had received coconut milk (fig. 3).

Fig. 3: Effect of coconut milk on IgG titers in response to α-Lac sensitization, The reported values were averages and standard errors, C-: Negative Control, C+: positive control, CC: Coconut milk, ***p<0.0001
The intestinal mucosa of the negative control group was formed with many projections in glove fingers: they were villous separated by the intervillous communicating grooves (fig. 4).

Fig. 4: Microscopic observations of intestinal biopsies of the negative control group
The intestinal mucosa of positive control group had a very pronounced atrophy. It was characterized by flattened villi limited by a pseudostratified epithelium having dystrophic nucleus cubic cells. The lymphocytic infiltration in the lamina propria was dense. At the Lamina propria level, the inflammation was very pronounced (fig. 5).

Fig. 5: Microscopic observation of intestinal biopsy of positive control mice immunized with α-Lac

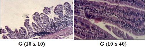
Fig. 6: Microscopic observation G (10 x 40) of intestinal biopsy of mice immunized with α-Lac then fed with coconut milk for 28 d
The villi were increasingly thin and long, bordered by a simple cylindrical epithelium, which was formed with high striated cells corresponding to enterocytes (fig. 6).
Evaluation of intestinal villous height of mice fed with coconut milk
The villous heights of negative and positive control groups were respectively (56, 57±0.56) μm and (48, 92±0.45) μm with p<0.0001. In experimental groups, the consumption of coconut milk did not cause villous atrophy compared with the positive control groups. An average villous height of (54, 77±0.44) μm was obtained for the group immunized with α-Lac (fig. 7).

Fig. 7: Evaluation of the villous height in mice immunized with α-Lac and fed with coconut for 28 d, C-: Negative Control, C+: positive control, CC: Coconut milk
Discussing these results, the electrophoretic profile of cow’s milk revealed different protein bands (Casein, BSA, β-Lg, α-Lac) while the coconut milk electrophoretic profile permitted to identify bands corresponding to the β-Lg and Casein (18000 Da and 24000 Da). According to Garcia et al. [14], the major coconut globulin, the cocosin, or the 11S globulin resolves in two main sets of electrophoretic subunits, at 24 and 34 kDa. The 55 kDa is a recombination of both bands. In its native state, the11S globulin possesses a MW of 326 k Da and account for 86% of the total globulins. The remainders of 14% are formed by another fraction called 7S globulin, with MW156 k Da in the native state, which resolves in a set of distinct bands at 16, 22, 24 k Da sub-units.
These researchers concluded that the Balb/c mice are good models of Allergy and that the mechanisms of immunopathology and milk proteins to immino-adjuvant aluminum hydroxide cow may act synergistically and cause an immunological response in mice sensitized with the protein in cow's milk β-Lg [15].
In the second step of the electrophoretic analysis, the antigenicity of coconut milk was measured. For this study, we used IgG antibodies directed against the α-Lac protein obtained by using the parenteral way of sensitization of Bal b/c mice. Our results showed clearly the development of hypersensitivity against the antigen administered (α-Lac). Frossaed et al. [16] showed that the anaphylactic mice immunized with α-Lac exhibit a sharp increase in antibody titers IgG1 anti α-Lac and an increase in production of IL4. Our results showed that the ingestion of coconut milk leads to a significant decrease in the systemic immune response, as demonstrated by the low level of production of IgG antibodies to α-Lac. Dutau et al. [17] have shown that allergy observations with a systemic manifestation seem rare. According to Suzanne et al. [18], the coconut milk proteins are immunologically similar to glycine soybeans with low molecular weight and that shows no immunological reaction. When the allergic child has chronic gastrointestinal symptoms, the search for eosinophils and their counts in the gastrointestinal mucosa must be undertaken when endoscopy is performed. The morphometric analysis of small intestine biopsies is also important to look for villous atrophy [18]. The histological study in this work indicated an improvement in the structure of the intestinal mucosa of immunized mice fed with coconut milk for 28 d with a highly significant increase in villous height and a similar lymphocytic infiltration to the negative control group. In contrast to the positive control groups, they presented a considerable change in the structure of the intestinal mucosa, with a pronounced villous atrophy and lymphocytic infiltration. These results agree with those obtained by Addou et al. [19] which suggest that coconut milk is a good alternative to cow's milk allergy. However, soy formulas does not prevent allergy and soy proteins are also antigenic as cow's milk proteins. Several findings have reported the occurrence of enteropathy with villous atrophy similar to those reported with allergies to cow's milk protein [20]. Coconut milk is a new alternative to standard formulas based on cow's milk and soy [21].
In conclusion, the present data have demonstrated that coconut milk modulates the systemic immune response on Bal b/c mice. These results were improved by a decrease in the antigenic response to α-lacto globulin. Further studies are needed to validate the mechanisms of controlling or improving allergic hypersensitivity with coconut milk and prove its nutritional efficacy. Reducing the allergenicity of an infant formula is not enough; we must also ensure that the formula must provide the necessary growth and development to children.
This research was supported by the Directorate General for Scientific Research and Technological Development (DGRSDT, MESRS, Algeria). The authors would like to thank Mr. Thierno Aliou Diallo for accepting to read their article.
Declared none
How to cite this article