
1Ecole Nationale Superieure de Biotechnologie (ENSB), Nouveau Pôle Universitaire Ali Mendjeli, BP E66, 25100 Constantine, Algeria, 2Animal Biology Departement, Faculty of Life Science and Nature, Frères Mentouri University, Constantine, Algeria
Email: souadlamda@gmail.com
Received: 05 Nov 2016 Revised and Accepted: 29 Apr 2017
ABSTRACT
Objective: The present study was designed to evaluate the effect of hyperhomocysteinemia (Hhcy) induced by feeding rats high methionine diet on the colon wall. Colonic damages caused by Hhcy were compared with those induced by acetic –acid induced colitis.
Methods: Sprague-Dawley rats (200-250g) were divided into four groups: group C (control), group M (received 1 g/kg methionine p. o. during 15 d), group A (colitis was induced by transrectal administration of acetic acid 4% on 8th day) and group MA (received methionine and acetic acid). At the end of the study, plasma homocysteine, C-reactive protein (CRP) and leukocytes (WBC) count were evaluated, all rats were sacrificed and distal 8 cm of the colon was dissected. Colon was weighed for disease activity index (DAI) and injuries were assessed macroscopically and histologically.
Results: High methionine diet induced significant (P<0.001) increase of homocysteine (hcy), CRP levels and WBC count compared to control. Acetic acid rats showed a significant decrease of WBC count. Mixed treatment caused a significant increase of hcy, CRP and a significant decrease of WBC count. Our results showed that Hhcy causes significant damages and immune cells infiltration in all layers of the colonic wall.
Conclusion: The present investigation demonstrated that Hhcy increased the major inflammatory markers as CRP and leukocytes count and produced transmural colitis in rats. Effect of Hhcy is more toxic on the colonic wall than acetic acid indeed while acetic acid lesions are localized in mucosa and submucosa the lesions of hcy extend to the all layers (mucosa, submucosa and muscularis propria). Acetic acid induced colitis in hyperhomocysteinemic rats increased the severity of colitis.
Keywords: Methionine, Hyperhomocysteinemia, Acetic acid, Inflammation, Colonic wall
© 2017 The Authors. Published by Innovare Academic Sciences Pvt Ltd. This is an open access article under the CC BY license (http://creativecommons.org/licenses/by/4.0/)
DOI: http://dx.doi.org/10.22159/ijpps.2017v9i6.16036
Colitis is a term used to describe inflammation of the colon which leads to various changes in the colonic histological organization [1]. Indeed inflammation is a defensive process that a living body initiates against local tissue damage or the presence of inflammatory stimulants [2]. Acute inflammation, an immediate and early defensive response in the host to all forms of injury, helps to heal wounds and promote tissue regeneration [3]. However, when this process of inflammation is not controlled properly via competent negative feedback, a chronic low-grade inflammatory state could result [2].
Previous research has shown that nutrients and certain food items influence inflammation [4]. Methionine is an essential amino acid that is used in the biosynthesis of proteins [5]. Recent studies supported the fact that elevation of circulating hcy (the metabolite of methionine) is associated with inflammation [6]. As a risk factor, the risk of Hhcy is not limited to heart disease but can be to include other inflammatory diseases (cardiovascular disease, Alzheimer's dementia, pregnancy complications neural tube defects and osteoporotic fracture) [7]. It has been reported that, in patients with inflammatory bowel disease (IBD), the hcy levels in plasma and colonic mucosa are increased [8]. It should be noted that Hhcy not only is produced from inflammation, but the oxidative stress generated from Hhcy will again promote inflammation [9].
Circulating hcy is an inflammation marker and a risk factor of life-threatening inflammatory diseases. C-reactive protein and leukocytes count also were considered among major inflammatory markers [9].
Histomorphology remains a powerful routine evaluating intestinal inflammation in animal models [10]. Several studies have reported histomorphological changes induced in experimental colitis but no reports have been yet published about the effects of Hhcy on colitis also no research was done on the proinflammatory effects of Hhcy on colon histological integrity. In this context, the aim of this study was to evaluate the effect of Hhcy induced by feeding rat’s high methionine diet on the colon wall. Effect of hcy is compared with the effect of acetic acid which is known to induce colitis.
Drugs and chemicals
L-methionine, acetic acid, chloroform, formalin and all chemicals were purchased from sigma (Germany), Aldrich and Fluka.
Animals
Eight weeks old male Wistar albino rats (n= 24) weighing 200-250 g were purchased from Pasteur Institute, Algiers, Algeria. Animals were housed in plastic cages in a light and temperature-controlled room on a 12 to 12 h light–dark cycle, in which the temperature (25 °C) and relative humidity (65 to 70%) were kept constant. The experimental groups were fed the same diet as the control and access to water was allowed ad libitum. All experimental procedures and protocols in this study were conducted in accordance with the National Institute of Health Guide for the Care and Use of Laboratory Animals, Institute for Laboratory Animal Research (NIH Publication N80-23, 1996)
Experimental design
After two weeks of acclimation, animals were divided into four groups with six animals in each group as follows: (1) Control (C); (2) group M: methionine control animals (received L-methionine 1g/kg/day, p. o.) [11]; (3) group A: acetic acid control rats (received 2 ml acetic acid 4% intrarectally on the 8th day) [12]; (4) group MA: received L-methionine 1g/kg/day, p. o. and acetic acid (4%) via intrarectal; The rat body weight and food intake was monitored daily for 15 d of the experiment.
Induction of colitis
The experimental colonic inflammation is induced according to the protocol described by Al-Rajaie et al. [13] with some modifications. All animals are fasted for 24 h prior to induction of colitis. The next day, each rat was lightly anesthetized with chloroform and placed in the Trendelenburg position (the lower limbs are higher than the head), and a polyethylene catheter (2 mm diameter) is inserted into the colonic lumen by anus at a distance of 8 cm. We slowly infused in the distal colon 2 ml of acetic acid (4% v/v in 0.9% Nacl), the rats were kept in the same position for 2 min to prevent the flow of the solution.
Biochemical and hematological assays
At the end of experimentation, blood was collected for biochemical assessment. Plasma hcy levels were determined using Bio-Rad high-performance liquid chromatography (HPLC) kit (Bio-Rad, Hercules CA, USA) [14].
CRP serum levels were measured by an Immuno-turbidimetric method using commercial Randox kit (UK) with standards provided by the same firm and expressed in mg/l.
With blood Cells count was carried out using a self-hematology analyzer (Beckman coulter).
Assessment of disease activity index
The disease activity index (DAI) was determined according to Ko et al. [15] with some modifications. DAI was determined using four parameters (the ratio of colon weight to length, colon width, macroscopic score and microscopic score). Disease activity index is used as a parameter to assess the degree of tissue damage and reflects the severity of colonic inflammation.
Assessment of colonic damages
All the animals were sacrificed at the end of experimentation by ether overdose. The abdomen was opened and colons were exposed. Distal 8 cm of colon was excised and opened by a longitudinal incision. After washing the mucosa with saline solution, colons were imaged and weighted. The weight of distal colon is used as a marker for inflammation and tissue edema. Then mucosal injury was assessed macroscopically using the scale of Morris et al. [16] (table 1).
Table 1: Classification of macroscopic alterations in the colonic mucosa
| Score | Macroscopic changes |
| 0 | no damage |
| 1 | Mucosa erythema only |
| 2 | Mild mucosal edema, slight bleeding, or slight erosion |
| 3 | Moderate edema, bleeding ulcers, or erosion |
| 4 | Severe ulceration, edema, and tissue necrosis |
A small cross section of colon was fixed in 10% formaldehyde and embedded in paraffin, and 5 µm sections were prepared. Tissues were stained with hematoxylin and eosin and observed under light microscope OPTECH OPTICAL TECHNOLOGY®. All reagents were purchased from Sigma-Aldrich, Algeria. Colonic tissues were scored for histological damage using the criteria of Ackerman et al. [17] (table 2).
Table 2: Classification of microscopic alterations in colonic wall
| Score | 0 | 1 | 2 | 3 | 4 |
| Depth of necrosis | None | mucosal | Mucosal and submucosal | Mucosal, submucosal and muscularis propria | Full thickness |
| Extend of necrosis | None | Small area | Moderate Area | Large area | Extensive |
| Degree of inflammation | None | Minimal | Mild | Moderate | Severe |
| Extent of inflammation | None | Mucosal | Mucosal and submucosal | Mucosal, submucosal and muscularis propria | Full thickness |
| Fibrosis | None | Mucosal | Mucosal and submucosal | Mucosal, submucosal and muscularis propria | Full thickness |
The scores for each category examined were calculated for each specimen in the different groups then added to obtain the total score, which was then divided by the number of rat colons examined in each group to obtain the average histological score for the group.
Statistical analysis
The data were expressed as Means±SEM Data analyses and presentation of graphs were performed using Pearson’s correlation and one-way analysis of variance (ANOVA) with the statistical package for social science (SPSS) version 20 for windows followed by Newman-Keuls post hoc test. P values<0.05 were considered as significant.
Effects of high methionine diet and acetic acid on food intake and body weight
Body weight loss was calculated as the percent difference between the original body weight (day 1) and the body weight on day 3, 5, 7, 9, 11, 13 and 15. Methionine treated groups (M and MA) showed significant (p˂0.001) weight loss and decrease food intake during all days of the experiment compared to control rats. We observed loose stools within 4 d after the start of methionine treatment. Compared to control, acetic acid group (A) showed increase body weight and food intake during the first week of experiment and a very significant (p˂0.001) weight loss, decrease food intake, diarrhea and bloody stools after the 8th day until the end of the study. For the control group, there was a gain of weight and increased food intake during the 2 w of the experiment.
For MA group, rats started to lose weight immediately after the beginning of methionine treatment. It became more marked after rat’s treatment with acetic acid. Body weight lose is more pronounced for MA group compared to A group (p<0.001) and M group (table 3).
Effects of high methionine diet and acetic acid on biochemical and hematological parameters
Methionine supplementation was found to increase plasma levels of hcy, and CRP, in all treated groups (M and MA) compared to control group (p˂0.0001) Compared to the acetic acid group (A), methionine-induced significant increase of hcy (p˂0.001) and CRP (p˂0.001) levels in MA group. Results showed no significant increase of hcy and CRP levels in MA when compared to M. Acid acetic induced no significant increase of hcy and CRP levels compared to control (table 4). All groups showed significant changes of WBC count (p˂0.001) when compared to control. While methionine increased WBC count in M group, acetic acid (A) and mixed treatment (methionine and acid acetic: MA) induced a decrease of WBC count (p˂0.001).
Results of MA group showed a significant decrease of WBC compared to acetic acid control (A) and methionine control (M) (table 4).
Histomorphological changes in colon of treated animals
Macroscopic presentation
Macroscopic damage of the colon after methionine treatment revealed colonic mucosa hyperemia edema and polyps (fig. 1) in methionine group (M) compared to control. Methionine supplementation increased the ratio of colon weight to length and produced significant increase (p = 0.0307) of colon width in M group compared to control (table 5).
Acid acetic treatment revealed colonic mucosa hyperemia, edema, erosion, and ulceration (fig. 1) with increased colon ratio (weight/length) and colon width in A group (table 5).
Macroscopic damage parameters of the colon after associated treatment methionine-acetic acid revealed severe ulceration, edema, and tissue necrosis (p˂0.001) and significant increase of ration colon weight/length (p˂0.05) and colon width (p˂0.01) in MA group (fig. 1, table 5).
The macroscopic score is significantly increased in MA group compared to M group and to A group. s. Methionine treated groups showed dilated colon compared to control and acetic acid group.
Table 3: Body weight changes during experiments
| Day1 | Day3 | Day5 | Day7 | Day9 | Day11 | Day13 | Day15 | |
| C% | 0.00 | 2.23±1.60 | 3.69±1.62 | 4.69±2.66 | 3.66±1.89 | 4.65±2.59 | 5.47±4.10 | 7.60±2.19 |
| M% | 0.00 | ↓1.07±1.84 | ↓2.18±2.45 * |
↓4.16±2.45 ** |
↓6.77±2.64 *** |
↓7.99±3.03 *** |
↓8.55±3.97 *** |
↓8.37±2.96 *** |
| A% | 0.00 | 0.67±5.40 | 1.02±0.39 | 3.69±3.45 | ↓4.55±3.10 ** |
↓7.59±1.73 *** |
↓7.89±4.02 *** |
↓6.69±3.96 *** |
| MA% | 0.00 | ↓3.60±2.04 * |
↓3.6±2.04 ***ϒ |
↓4.21±3.82 ***ϒϒϒ |
↓10.36±4.75 ***ϒϒϒ◊ |
↓11.86±4.45 ***ϒϒ◊ |
↓13.68±2.84 ***ϒϒ◊ |
↓16.12±3.02 ***ϒϒϒ◊◊◊ |
ANOVA F Df P |
3.238 2.096 0.141 |
4.210 3.239 0.022 |
12.152 3.239 0.0002 |
13.614 3.239 ˂0.0001 |
28.184 3.239 <0.0001 |
36.066 3.239 ˂0.0001 |
31.357 3.239 ˂0.0001 |
152.733 3.239 ˂0.0001 |
Data are expressed as mean±SEM of body weight change (%) (n=6), *p˂0.05, **p˂0.01, ***p˂0.001 when compared to C, ϒp˂0.05, ϒϒp˂0.01,ϒϒϒp˂0.001 when compared to A, ◊p˂0.05, ◊◊p˂0.01, ◊◊◊p˂0.001 when compared to M
Table 4: Effects of high methionine diet and acetic acid on biochemical and hematological parameters
| hcy | CRP | WBC | |
| C | 8.05±0.72 | 0.02±0.01 | 12.21±0.30 |
| M | 47.20±2.89*** | 0.31±0.03*** | 15.35±0.45*** |
| A | 11.53±1.24 | 0.09±0.01 | 8.19±0.36*** |
| MA | 50.6±4.83***ϒϒϒ | 0.33±0.07***ϒϒϒ | 5.80±0.35***ϒϒϒ◊◊◊ |
ANOVA F Df P |
193.893 3.098 <0.00000 |
66.549 3.098 <0.00000 |
503.657 3.098 <0.00000 |
Data are expressed as mean±SEM of body weight change (%) (n=6), *p˂0.05, **p˂0.01, ***p˂0.001 when compared to C, ϒp˂0.05, ϒϒp˂0.01, ϒϒϒp˂0.001 when compared to A, ◊p˂0.05, ◊◊p˂0.01, ◊◊◊p˂0.001 when compared to M

Fig. 1: Effect of high methionine diet and/or acetic acid on rat colonic morphology, C. control; M. methionine; A. acetic acid; MA. methionine+acetic acid. *Polyps
Histological evaluation and DAI
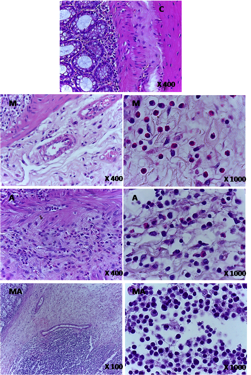
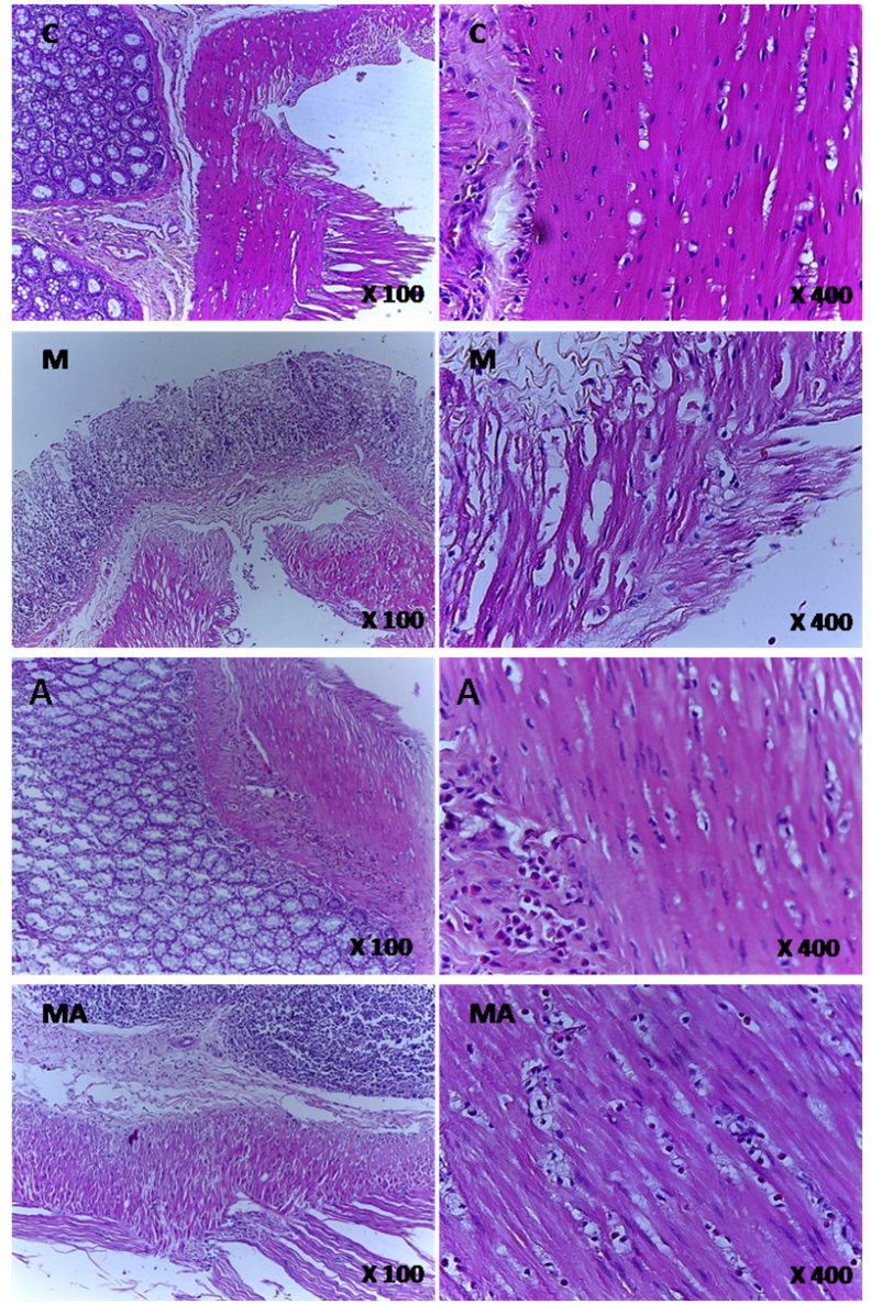
No histological changes were seen in the control group, crypts and colonic layers are intact and inflammatory infiltration is absent (fig. 2, 3, 4 and 5).
Acetic acid increased the thickness of the colonic wall in A group (fig. 2), which showed the necrotic destruction of epithelium, edema, inflammatory cellular infiltration, crypt damage and ulceration at mucosa and submucosal layers (fig. 3, 4).
Photographs showed muscularis mucosa infiltration (fig. 5). Histological evaluation revealed a significant (p˂0.001) increase in DAI as compared to control (table 5).
Methionine treated rats showed a significant (p˂0.001) increase in microscopic score and DAI in M and MA groups. Methionine administration to M group caused a significant decrease of colonic wall thickness in some areas and increased wall thickness in others, destruction of colon architecture by localized disruption of muscularis propria layer, multifocal areas of ulcers and regions of loss of crypts and inflammatory cells infiltration including edema in the submucosa. Associated treatment methionine-acetic acid caused an increase of colonic wall thickness, atrophy of crypts and their replacement by inflammatory tissue with fibrosis, necrotic destruction of epithelium, edema, increase inflammatory extent and severity in MA group as compared to M and A (fig. 2, 3, 4 and 5, table 5). M and MA groups showed an increase of the vascularization and vascular dilatation in submucosa layer.

Fig. 2: Photographs of colon sections of rats stained with H and E (x40) showed effect of high methionine diet and/or acetic acid on colonic wall, C: control; M: methionine; a: acetic acid; MA: methionine+acetic acid

Fig. 3: Effect of high methionine diet and/or acetic acid on colonic mucosa layer. Control showed simple columnar epithelium with a thin brush border and numerous goblet cells and crypts of Lieberkühn. Treated groups showed a decrease of a number of crypt of leiberkühn and goblet cells with inflammatory cells infiltration (black arrow) in M and MA groups. Acetic acid group showed mucosa loss, degenerative cells, increase of collagen fibers between the crypts and neutrophilic cells infiltration. MA group showed a surface mucosal loss. The middle parts of the glands show focal degenerated cells. Stained with H and E
Table 5: Effect of high methionine diet and acetic acid on colon
| Groups | Colon Weight/length (g)/(cm) |
Colon width (cm) |
Macroscopic score | Microscopic score | DAI |
| Control | 0.116±0.012 | 0.62±0.03 | 0±0.0 | 0±0.0 | 0.18±0.01 |
| M | 0.148±0.034 | 1.1±0.16* | 2.00±0.00*** | 3.07±0.22*** | 1.52±0.06*** |
| A | 0.138±0.010 | 0.96±0.11 | 2.40±0.40*** | 3.67±0.44*** | 1.83±0.18*** |
| MA | 0.176±0.074* | 1.24±0.56** | 3.00±0.76***◊ | 3.73±0.18***◊◊ | 2.05±0.26***◊◊ |
ANOVA F Df P |
2.168 3.098 0.123 |
3.605 3.098 0.031 |
39 3.098 ˂0.0001 |
195.810 3.098 ˂0.0001 |
88.334 3.098 ˂0.0001 |
Data are expressed as means±SEM (n= 6). *P˂0.5, **p˂0.01, ***p˂ 0.001 when compared to control; ◊p˂ 0.05, ◊◊p˂ 0.01 and ◊◊◊p˂ 0.001 when compared to M.

Fig. 4: Effect of high methionine diet and/or acetic acid on colonic submucosa layer. Mononuclear cellular (neutrophils, macrophages, lymphocytes, eosinophils) infiltration is well noticed in submucosa layer for all treated groups M, A and MA (photomicrographs x1000). M and MA groups showed an increase of the vascularization (↓) and vascular dilatation in submucosa layer. Methionine acetic acid group submucosa showed focal lymphoid hyperplasia. Stained with H and E

Fig. 5: Effect of high methionine diet and/or acetic acid on colonic musularis propria. Methionine (M) treatment induced necrotic lesions and destruction of muscularis propria in some areas. Acetic acid group (A) showed no difference in this layer as compared to control group, ulceration does not extend into muscularis propria. MA group showed extend of inflammation to muscularis propria layer and inflammatory cells infiltration. Stained with H and E
The present study was designed to evaluate the effect of Hhcy induced by feeding rat’s high methionine diet on the colon wall. Effect of homocysteine is compared with the effect of acetic acid which is known to induce colitis.
This study showed that excessive amount of methionine is responsible for rat growth inhibition and depression of food intake.
Several studies on different animal models (rats, rabbits and pigs) reported that the addition of a high dose of methionine (0.6%, 0.8% and ≥ 1.6%) lead to a reduction in dose dependent manner on food intake and loss of weight of animals. On the other hand, diet supplementation with low doses of methionine (0.2%, 0.3%, 0.4% feed weight) favored increased feed intake and animal growth [18-21].
Colitis is characterized by a change in the consistency of the stools, which can lead to diarrhea and by the appearance of rectal bleeding. It is also defined by a reduction in the animal feed consumption associated with a reduction in weight gain or even a loss of weight [22-23]. Various mechanisms respond to intakes of amino acids in excess of those required for normal tissue function. Changes in the free amino acid levels in the brain signal the nervous system centers regulating food consumption, and eating patterns are affected [24].
Body weight loss and decrease food intake induced by acetic acid treatment can be explained by the fact that inflammation is associated to anorexia observed during acute and chronic inflammatory states in both men and animals [25].
Our results showed that methionine supplementation (1g/kg/day) induced intermediate HHcy (˃40μmol/l) suggesting a detrimental effect of excess methionine such as animal protein. This finding is in agreement with several studies [26, 11, 28-29].
The colon weight to length ratio, colon width, macroscopic score, microscopic score and DAI are regarded as reproducible parameters indicating the degree of inflammation in the colon. The present study showed pro-inflammatory and toxic effects of homocysteine on colonic architecture and inflammatory markers. Methionine supplementation increased colon weight to length ratio, colon width and increased significantly (p˂0.001) macroscopic and microscopic scores and DAI.
Clinical symptoms observed in this study (i. e, loss weight, depletion in food intake, increased inflammatory markers, and histological lesion) were positive markers of inflammation. For the first time, we have succeeded in inducing colitis by high methionine diet.
The present investigation demonstrated that acetic acid induced a significant increase of WBC count, elevated colon width and (weight/length) ratio, macroscopic and microscopic scores and DAI, reflecting the degree of local inflammation along with the other parameters of edema and wall thickening. However, results showed no significant increase of hcy and CRP when compared to control.
Experimental ulcerative colitis induced by rectal administration of acetic acid is characterized by mucosal inflammation and ulcerations associated with inflammatory cells infiltration to the damaged colon [13]. Acetic acid induced colitis model is similar to human ulcerative colitis [30], it induces non-transmural inflammation, micosa edema, massive necrosis and neutrophil infiltration of mucosa and submucosa layers [31]. Intrarectal administration of acetic acid leads to protonation and migration of acetic acid molecule into colonic flora after internalization to produce protons leading to epithelial denudation and neutrophil infiltration [32]. Compared to acetic acid, homocysteine-induced extend lesions and increased severity of inflammation.
Recent studies supported the fact that elevation of circulating homocysteine is associated with inflammation. Level of circulating homocysteine can be effectively reduced by the administration of anti-inflammatory medications [33]. Current data have suggested the possible pathogenetic implications for Hhcy in inflammatory bowel disease (IBD) suggesting that hcy may act as a pro-inflammatory and immunostimulating molecule [6].
Our results showed that Hhcy induced a significant increase of CRP level in M and MA groups. However acetic acid administration resulted in no significant increase in CRP level.
C-reactive protein is released by the body in response to acute injury, infection, or other inflammatory stimuli. It is a pro-inflammatory factor that has been implicated in the pathogenesis of autoimmune diseases as IBD [34]. The production of CRP occurs almost exclusively in the liver by the hepatocytes as part of the acute phase response upon stimulation by IL-6, TNF-α and IL-1-β originating at the site of inflammation. [35] CRP may also be secreted from active human peripheral blood monocytes, while generation from peripheral blood mononuclear cells is poorly established [36]. Its short half-life (19 h) makes CRP a valuable marker to detect and follow up disease activity in Crohn's disease (CD). In contrast, ulcerative colitis has only a modest to absent CRP response despite active inflammation, and the reason for this is unknown. In CD, serum levels of CRP correlate well with disease activity [36-35].
Additionally, there is evidence to suggest that lipid peroxidation may trigger a pro-inflammatory cytokine cascade resulting in CRP release [37]. Homocysteine may generate partially reduced reactive oxygen species (ROS) that are able to stimulate the lipid peroxidation [38]. Methionine supplementation produced a significant increase in WBC count. Bhandari et al. [29] reported that methionine intake (1g/kg during 30 d) caused a significant increase of total leukocytes count. Ansari et al. [39] found similar results.
Carru et al. [40] reported that homocysteine-induced B lymphocyte proliferation is mediated by oxygen radicals such as O2, OH., and H2O2, generated by thiol (-SH) auto-oxidation and showed a significant positive correlation between WBC and serum homocysteine [41].
The acetic acid group showed a significant decrease of total leukocytes which is in agreement with Kandhare et al. [12].
However, when hyperhomocysteinemic rats where treated with acetic acid, there was a significant decrease of WBC count.
Micrographs of methionine treated groups (M, MA) showed the ulcerogenic and necrotic effect of hyperhomocysteinemia on mucosal and muscularis propria cells associated to eosinophils and lymphocytes infiltration in the mucosa, muscularis mucosa and submucosa layers but only eosinophils infiltration in muscularis propria. These lesions lead to the destruction of muscularis propria in some area in methionine group. Hhcy stimulated angiogenesis in submucosa and serosa layers.
Normally eosinophils are found in the submucosa. Eosinophils harbor an array of cytotoxins and produce tissue damage in inflammatory diseases. Eosinophils induced lysosomal, oxidative and cytotoxic damage: acting on extracellular targets and yielding inflammatory mediators. Eosinophils thus acutely produce cytokines, leukotrienes and lipid mediators of inflammation; they also trigger the release of histamine from basophils and mast cells. The result can be a hypersensitivity reaction. Furthermore, eosinophils may contribute to chronic inflammation and fibrosis [42].
One of the possible mechanisms by which Hhcy is implicated in colon inflammation disease is the fact that it leads to endothelial dysfunction [43] which facilitate immune cells infiltration in colonic tissue by an increase of leukocyte adhesiveness and leukocyte diapedesis [44].
Prolonged endoplasmic reticulum (ER) stress, as seen in hyperhomocysteinemia, may cause endothelial cell apoptosis [45]. Also, oxidative stress plays a key role in the pathophysiology of Hhcy, indeed several studies showed an association between Hhcy and reactive oxygen species production (such as superoxide anion, hydrogen peroxide and hydroxyl radicals) which leads to proteins and cells damage [46]. It has also been reported that the oxidative stress derived from hyperhomocysteinemia will again induce acute and chronic inflammation via the regulation of NF-κB transcription factor [47]. Ding et al. speculated that hcy-mediated pro-inflammatory responses and elevation of expression of MMPs might be involved in the pathogenesis action of Hhcy in IBD [48]. Homocysteine was also found to stimulate IL-1beta production by human peripheral blood monocytes and TNF-alpha production by monocyte [49]. TNFα and IL-1 proinflammatory cytokines have important roles in the pathogenesis of chronic inflammatory diseases such inflammatory bowel disease [50].
Finally, Hhcy could be implicated in the pathogenesis of IBD by stimulating the neoangiogenesis [51]. Indeed, vascular endothelial growth factor (VEGF) was significantly elevated in intestinal mucosal samples from patients with Crohn's disease or ulcerative colitis. Roybal et al. [52] demonstrated overexpression of VEGF and GRP78 (glucose-regulated protein-78: chaperone molecule in the ER) after cell stimulation by homocysteine in vitro. Peyrin-Biroulet concluded that a link between ER stress, VEGF and homocysteine is possible during IBD [53].
The present study provides clear evidence that hypehomocysteinemia increase the major inflammatory markers such as CRP and leukocytes count. Effect of hyperhomocysteinemia is more toxic on the colonic wall than acetic acid indeed while acetic acid lesions are localized in mucosa and submucosa layers of colonic wall, homocysteine–lesions are transmural. Increased circulating plasma homocysteine levels in acetic acid-induced colitis model increases the severity and extends of inflammation. To our knowledge, our work is the first to have carried out experimental colitis induced by a high dose of methionine
Authors are grateful to Algerian Ministry of high education and Scientific Research for the financial help.
All the authors declare they have no conflict of interest. This work has not published previously, and it is not under considerations for publication elsewhere.
Low D, Nguyen DD, Mizoguchi E. Animal models of ulcerative colitis and their application in drug research. Drug Des Dev Ther 2013;7:1341–57.
Medzhitov R. Origin and physiological roles of inflammation. Nature 2008;454:428-35.
Jiminez JA, Uwiera TC, Inglis DG, Uwiera RR. Animal models to study acute and chronic intestinal inflammation in mammals. Gut Pathog 2015;7:29.
Raiten DJ, Ashour FAS, Ross AC, Meydani SN, Dawson HD, Stephensen CB, Brabin BJ, Suchdev PS, van Ommen B. Inflammation and nutritional science for programs/policies and interpretation of research evidence (inspire). J Nutr 2015;145:1039S–1108S.
Murthy SN, Obregon DF, Chattergoon NN, Fonseca NA, Mondal D, Dunne JB, et al. Rosiglitazone reduces serum homocysteine levels, smooth muscle proliferation, and intimal hyperplasia in sprague-dawley rats fed a high methionine diet. Metabology 2005;54:645-52.
Wu JT. Circulating homocysteine is an inflammation marker and a risk factor of life-threatening inflammatory diseases. J Biomed Lab Sci 2007;19:107-11.
Cashman KD. Homocysteine and osteoporotic fracture risk: a potential role for B vitamins. Nutr Rev 2005;63:29-36.
Erzin Y, Uzun H, Celik AF, Aydin S, Dirican A, Uzunismail H. Hyperhomocysteinemia in inflammatory bowel disease patients without past intestinal resections: correlations with cobalamin, pyridoxine, folate concentrations, acute phase reactants, disease activity, and prior thromboembolic complications. J Clin Gastroenterol 2008;42:481-6.
Shivappa N, Hébert JR, Rietzschel ER, De Buyzere ML, Langlois M, Debruyne E, et al. Associations between the dietary inflammatory index and inflammatory markers in the asklepios study. B J Nut 2015;113:665-71.
Erben U, Loddenkemper C, Doerfel K, Spieckermann S, Haller D, Heimesaat MM, et al. A guide to histomorphological evaluation of intestinal inflammation in mouse models. Int J Clin Exp Pathol 2014;7:4557–76.
Kapoor P, Ansari MN, Bhandari U. Modulatory effect of curcumin on methionine-induced hyperlipidemia and hyperhomocysteinemia in albino rats. Indian J Exp Biol 2008;46:534-40.
Kandhare AD, Raygude KS, Ghosh P, Ghule AE, Gosavi TP, Badole SL, Bodhankar SL. Effect of hydroalcoholic extract of Hibiscus rosa sinensis Linn. Leaves in experimental colitis in rats. Asian Pac J Trop Biomed 2012;2:337-44.
Al-Rejaie SS, Abuohashish HM, Al-Enazi MM, Al-Assaf AH, Parmar MY, Ahmed MM. Protective effect of naringenin on acetic acid-induced ulcerative colitis in rats. World J Gastroenterol 2013;19:5633-44.
Ueland PM, Refsum H, Stabler SP. Total homocysteine in plasma or serum: methods and clinical applications. Clin Chem 1993;39:1764-79.
Ko JK, Lam FY, Cheung AP. Amelioration of experimental colitis by Astragalus membranaceus through anti-oxidation and inhibition of adhesion molecule synthesis. World J Gastroenterol 2005;11:5787-94.
Morris GP, Beck PL, Herridge MS, Depew WT, Szewczuk MR, Wallace JL. Hapten-induced model of chronic inflammation and ulceration in the rat colon. Gastroenterol 1989;96:795-803.
Ackerman Z, Karmeli F, Cohen P, Rachmilewitz D. Experimental colitis in rats with portal hypertension and liver disease. Inflammatory Bowel Dis 2003;9:18-24.
Colin M, Arkhurst G, Lebas F. Effets de l’addition de méthionine au régime alimentaire sur les performances de croissance chez le Lapin. Annal Zootech 1973;22:485-91.
Saunderson CL, Mackinlay J. Changes in body weight, composition and hepatic enzyme activities in response to dietary methionine, betaine and choline levels in growing chicks. Br J Nut 1990;63:339-49.
Toue S, Kodama R, Amao M, Kawamata Y, Kimura T, Sakai R. Screening of toxicity biomarkers for methionine excess in rats. J Nutr 2006;136:1716S-21S.
Kim SY, Kim H, Min H. Effects of excessive dietary methionine on oxidative stress and dyslipidemia in chronic ethanol-treated rats. Nutr Res Pract 2015;9:144-9.
Bastaki SMA, Al Ahmed MM, Al Zaabi A, Amir N, Adeghate E. Effect of turmeric on colon histology, body weight, ulcer, IL-23, MPO and glutathione in acetic-acid-induced inflammatory bowel disease in rats. BMC Complementary Altern Med 2016;16:72.
Braun TP, Marks DL. Pathophysiology and treatment of inflammatory anorexia in chronic disease. J Cachex Sarc Muscl 2010;1:135-45.
Munro HN. Nutritional consequences of excess amino acid intake. In: Nutritional Improvement of Food and Feed Proteins: Springer US; 1978. p. 119-29.
Gautron L, Layé S. Neurobiology of inflammation-associated anorexia. Front Neurosci 2010;3:3.
Bottiglieri T. Homocysteine and folate metabolism in depression. Prog Neuro Psycho Pharmacol Biol Psychiatry 2005;29:1103-12.
Matthias D, Becker CH, Riezler R, Kindling PH. Homocysteine-induced arteriosclerosis-like alterations of the aorta in normotensive and hypertensive rats following application of high doses of methionine. Atherosclerosis 1996;122:201–16.
Bonaventura D, Tirapelli CR, De Oliveira AM. Chronic methionine load-induced hyperhomocysteinemia impairs the relaxation induced by bradykinin in the isolated rat carotid. Amin Acid 2009;37:617–27.
Bhandari U, Pathan RA, Kumar V, Khanna N. Ameliorative role of atorvastatin on methionine-induced hyperhomocysteinemia and hematological changes in albino rats. Indian J Exp Biol 2011;49:132-9.
MacPherson BR, Pfeiffer CJ. Experimental production of diffuse colitis in rats. Digest 1978;17:135-50.
Shalaby A, Shatta A. Potential antioxidant and anti-inflammatory effects of Hyphaenathebaica in experimentally induced inflammatory bowel disease. Int J Pharm Res 2013;9:51-60.
Patil MVK, Kandhare AD, Bhise SD. Effect of aqueous extract of cucumis sativus Linn. fruit in ulcerative colitis in laboratory animals. Asian Pac J Trop Biomed 2012;2:S962-S9.
Schroecksnadel K, Winkler C, Wirleitner B. Anti-inflammatory compound resveratrol suppresses homocysteine formation in stimulated human peripheral blood mononuclear cells in vitro. Clin Chem Lab Med 2005;43:1084-8.
Lampinen M, Carlson M, Hakansson LD, Venge P. Cytokine-regulated accumulation of eosinophils in inflammatory disease. Allerg 2004;59:793-805.
Vermeire S, Van Assche G, Rutgeerts P. C‐reactive protein as a marker for inflammatory bowel disease. Inflammatory Bowel Dis 2004;10:661-705.
Chandrashekara S. C-reactive protein: an inflammatory marker with a specific role in physiology, pathology, and diagnosis. Int J Rheumatol ClinImmunol 2014;2(S1):SR3.
Verma S, Yeh ETH. C-reactive protein and atherothrombosis—Beyond a biomarker: an actual partaker of lesion formation. Am J Physiol Regul Integr Comp Physiol 2003;285:1253–306.
Tyagi N, Sedoris KC, Steed M, Ovechkin AV, Moshal KS, Tyagi SC. Mechanisms of homocysteine-induced oxidative stress. Am J Physiol-Heart Circulat Physiol 2005;289:H2649-H56.
Ansari MN, Nigam GK, Bhandari U. Effect of folic acid on hematological changes in methionine-induced hyperhomocysteinemia in rats. Indian J Pharmaceut Sci 2009;71:270-305.
Carru C, Zinellu A, Sotgia S, Serra R, Usai MF, Pintus G, et al. A new HPLC method for serum neopterin measurement and relationships with plasma thiols levels in healthy subjects. Biomed Chrom 2004;18:360-1.
Carru C, Deiana L, Sotgia S, Usai MF, Zinellu A. Relationships between white blood cell count and levels of serum homocysteine and cysteine in healthy subjects. Br J Haematol 2005;90:136-207.
Alfadda AA, Storr MA, Shaffer EA. Eosinophilic colitis: an update on pathophysiology and treatment. Br Med Bull 2011;100:59-72.
Cibor D, Domagala-Rodacka R, Rodacki T, Jurczyszyn A, Mach T, Owczarek D. Endothelial dysfunction in inflammatory bowel diseases: Pathogenesis, assessment and implications. World J Gastroenterol 2016;22:1067-77.
Ding H, Mei Q, Gan HZ, Cao LY, Liu XC, Xu JM. Effect of homocysteine on intestinal permeability in rats with experimental colitis, and its mechanism. Gastroenterol Report (Oxf) 2014;2:215-20.
Zhang C, Cai Y, Adachi MT, Oshiro S, Aso T, Kaufman RJ, et al. Homocysteine induces programmed cell death in human vascular endothelial cells through activation of the unfolded protein response. J Biol Chem 2001;276:35867-74.
Poddar R, Sivasubramanian N, DiBello PM, Robinson K, Jacobsen DW. Homocysteine induces expression and secretion of monocyte chemoattractant protein-1 and interleukin-8 in human aortic endothelial cells implications for vascular disease. Circulat 2001;103:2717-23
Oldenburg B, Van Tuyl BA, van der Griend R, Fijnheer R, van Berge henigouwen GP. Risk factors for thromboembolic complications in inflammatory bowel disease: the role of hyperhomocysteinaemia. Diges Diseas Sci 2005;50:235-40.
Faraci FM, Lentz SR. Hyperhomocysteinemia, oxidative stress, and cerebral vascular dysfunction. Strok 2004;35:345-7.
EL Oudi M, Aouni Z, Mazigh C, Khochkar R, Gazoueni E, Haouela H, et al. Homocysteine and markers of inflammation in acute coronary syndrome. Exp Clin Cardiol 2010;15:25–8.
Műzes G, Molnár B, Tulassay Z, Sipos F. Changes of the cytokine profile in inflammatory bowel diseases. World J Gastroenterol 2012;18:5848-61.
Danese S, Sans M, de la Motte C, Graziani C, West G, Phillips MH, et al. Angiogenesis as a novel component of inflammatory bowel disease pathogenesis. Gastroenterol 2006;130:2060-73.
Roybal CN, Yang S, Sun CW, Hurtado D, Vander Jagt DL, Townes TM, et al. Homocysteine increases the expression of vascular endothelial growth factor by a mechanism involving endoplasmic reticulum stress and transcription factor ATF4. J Biol Chem 2004;279:14844-52.
Peyrin-Biroulet L. L’homocystéinémie, un nouveau marqueur de sévérité dans les MICI? Hépato Gastro Oncol Digest 2007;14:149-56.
How to cite this article
Lamda Souad, Naimi Dalila, Aggoun Cherifa. Hyper-homocysteinemia lead to transmural inflammation of colon and increase severity of disease in acetic acid-induced colitis in rat. Int J Pharm Pharm Sci 2017;9(6):108-116.