
Pharmacology Laboratory, Faculty of Medicine, Universitas Jenderal Achmad Yani, Jl Terusan Jenderal Sudirman,Cimahi, West Java, Indonesia
Email: soviaevi@yahoo.com
Received: 30 Nov 2016 Revised and Accepted: 17 Jan 2017
ABSTRACT
Objective: The aim of this study was to investigate hypoglycemic and hypolipidemic effects of Annona muricata leaf ethanol extract. This study also investigated phytochemical analysis of the extract and improvement in the islet of Langerhans.
Methods: Hypoglycemic and hypolipidemic effects were evaluated using alloxan induced diabetic rats. Twenty-five Wistar rats devided into five groups, that are normal group, control group that induced by alloxan 125 mg/kg body weight and given CMC (carboxymethyl cellulose), and three treatment group that induced by alloxan and given Annona muricata leaf ethanol extract (AMLEE) with 50, 100 and 200 mg/kg body weight. Blood glucose and total cholesterol levels were measured before and after alloxan induction, and 21 d after AMLEE treatment. At the end of the study, all of the animals experiment were sacrificed for histopathological examination.
Results: Phytochemical analysis revealed that flavonoids, tannins, saponins, phytosterols and phenols were present in ethanol extract of Annona muricata L. leaf. At the end of the study, blood glucose and total cholesterol levels in all AMLEE treated group were decreased significantly (p<0.05). Final blood glucose level in the groups that given AMLEE 50 mg/kg body weight (86.7±14.6 mg/dl) was almost the same with that of the normal group (91.25±28.38 mg/dl). The result of the histopathological examination is not showed an improvement of the islet of Langerhans in AMLEE treated groups.
Conclusion: In conclusion, the ethanol extract of Annona muricata L. leaf have hypoglycemic and hypolipidemic effects. However, there was no improvement in the islet of Langerhans damage.
Keywords: Annona muricata, Hypoglycemic, Hypolipidemic, Phytochemical, Alloxan
© 2017 The Authors. Published by Innovare Academic Sciences Pvt Ltd. This is an open access article under the CC BY license (http://creativecommons.org/licenses/by/4. 0/)
DOI: http://dx.doi.org/10.22159/ijpps.2017v9i3.16402
Diabetes is a disease characterised by abnormal glucose metabolism, a risk of developing microvascular complications specific to diabetes and a markedly increased risk of developing macrovascular complications [1]. Diabetes also plays an important role in the oxidative stress and abnormal lipid metabolism that leads dyslipidemia, a frequent complication of diabetes [2]. Hence, drugs that have hypoglycemic and hypolipidemic effects are very useful to manage diabetic and its complications.
Herbal remedies have been used traditionally in many parts of the world to cure several diseases. Annona muricata L. (Soursop) which belongs to the family of Annonaceae is an evergreen tree species used as traditional medicines. The plant possesses the major pharmacological activities includes cytotoxicity, antileishmanial, wound healing, and anti-microbial activity [3]. It also has been reported to have anticarcinogenic and genotoxic, antiviral, antifungal, antihelmin, analgesic and antipyretic, hypotensive, anti-inflammatory, and immune enhancing effects [4 -5].
Soursop leaves are the most beneficial parts of this tree. It has the acetogenins containing compounds namely bulatacin, asimisin and squamosin [4]. Phytochemical analysis of Annona muricata leaf extract revealed the presence of secondary metabolites like tannins, steroids, and cardiac glycosides [3]. The nutrients in soursop leaves also believed to stabilize blood sugar level in the normal range that very useful for diabetics management [4]. Several studies have shown that Annona muricata leaf had antihyperglycemic activity and revealed regeneration of pancreatic islet [5-9].
Diabetogenic effect of alloxan resulted from the destruction of β cell caused by reactive oxygen species (ROS). Alloxan generates reactive oxygen species (ROS) in a cyclic redox reaction, with its reduction product, dialuric acid. Alloxan also selectively inhibits glucose-induced insulin secretion through its ability to inhibit the beta cell glucose sensor glucokinase [10-11].
The present study was designed to evaluate the hypoglycemic and hypolipidemic effects of Annona muricata leaf ethanol extract (AMLEE) in an experimental model of diabetes alloxan rats. This study also investigated phytochemical analysis and improvement in the islet of Langerhans.
Plant material
Annona muricata leaves were collected from Cimahi, West Java, Indonesia. The plant was identified by the Department of Biology, School of Life Science, Bandung Institute of Technology, Bandung, West Java, Indonesia.
Chemicals
Alloxan was obtained from Sigma Chemical Company (St. Louis, MO). All other chemicals and solvents are of analytical grade.
Preparation of Annona muricata L. leaf ethanol extract (AMLEE)
Annona muricata fresh leaves were air-dried at room temperature for four weeks. Two kilograms of the air-dried leaves of the plant was milled into fine powder. The powdered leaf was macerated in ethanol and extracted twice, on each occasion with 5 l of 70% ethanol at room temperature for 48 h. The combined ethanol extract was concentrated in a rotary evaporator (Buchi Rotavapor R200) [6].
Phytochemical screening
Chemical tests were carried out on Annona muricata L. leaf ethanol extract for the qualitative determination of phytochemical constituents as per standard procedures [13].
Animal experiment
Twenty-five Wistar rats (Rattus norvegicus) weighing 150–200 g were used in this study. The rats were obtained from the animal holding of Department of Biology, School of Life Science, Bandung Institute of Technology. They were housed under standard laboratory conditions. The animals were given standard rat pellets (Rat Bio Indonesia) and tap water ad libitum.
Induction of experimental diabetes
Ethical approval was obtained from the research ethic commission team of Hasan Sadikin Hospital Bandung No.070/UN6. C1.3.2/ KEPK/PN/2015. The rats were randomly divided into five experimental groups: A (control), B (Alloxan-treated), C (Alloxan and 50 mg/kg body weight AMLEE-treated), D (Alloxan and 100 mg/kg body weight AMLEE-treated), and E (Alloxan and 200 mg/kg body weight AMLEE-treated). Each group consisted of five rats. Diabetes mellitus was induced (in groups B, C, D and E ‘test’ rats) by single intraperitoneal injection of alloxan (125 mg/kg body weight), freshly dissolved in 0.9% saline. Control rats were injected with only 0.9% saline intraperitoneally. The ‘test’ animals in groups B to E became diabetic and hyperlipidemic within 72 h after alloxan administration. The diabetic and hyperlipidemic state was confirmed by measuring basal blood glucose and total cholesterol concentration 72 h after alloxan injection. Diabetic and hyperlipidemic were allowed to develop and stabilize in these alloxan-treated rats over a period of 3-5 d. All animals in all groups were kept and maintained under laboratory conditions and were allowed free access to food (standard pellet diet) and water ad libitum. Before the commencement of our experiments, both the control normal and alloxan-treated diabetic and hyperlipidemic test rats were fasted for 8h, but still allowed free access to water throughout. At the end of the 8 h fasting period, blood glucose and total cholesterol levels of the fasted normal and alloxan-treated rats were determined and recorded. Fasted alloxan-treated rats with blood glucose concentration ≥ 200 mg/dl and total cholesterol concentration ≥ 130 mg/dl were considered to be diabetic and hyperlipidemic, and used in this study. A blood sample was obtained from the tail vein of the animals and their fasting blood glucose and total cholesterol levels were determined in mg/dl using a digital glucometer (Accu-chek®) and cholesterol test (Easy Touch®). The test compound [i.e., Annona muricata leaf ethanol extract (AMLEE 50, 100 and 200 mg/kg body weight] was administered orally to the group C, D and E diabetic rats. The administration of AMLEE was commenced as from the 7th-day post alloxan injections for 21 d [6].
Histological procedures
The animals were sacrificed by cervical dislocation. Pancreatic tissues were excised from sacrificed animals, and fixed in aqueous Bouin’s solution for 48 h and were sequentially embedded in paraffin wax blocks according to the standard procedure, sectioned at 5 μ thickness. They were further deparaffined with xylol, and histologic observations were performed after staining by Haematoxylin and Eosin. The slides were examined using light microscope at a magnification power of x400.
Statistical analysis
The data obtained were expressed as means (±SD). The differences between the means were analyzed statistically with paired t test. Values of p<0.05 were taken to imply statistical significance and p<0.01 to imply statistical very significant.
Results of phytochemical analysis
The results of preliminary phytochemical analysis of Annona muricata leaf ethanol extract were given in table 1. The results revealed that flavonoids, tannins, saponins, phytosterols, and phenols were present in the extract.
Table 1: Preliminary phytochemical analysis of Annona muricata leaf ethanol extract
| Parameters | Annona muricata leaf ethanol extract |
| Alkaloids | - |
| Flavonoids | + |
| Tannins | + |
| Saponins | + |
| Phytosterols | + |
| Phenols | + |
Effect of Annona muricata leaf extract on blood glucose levels
Seventy-two hours after alloxan administration, all animals that had been treated with alloxan (group B to E) displayed hyperglycemia (blood glucose levels ≥ 200 mg/dl). Blood glucose concentrations of the alloxan-treated experimental animals were increased significantly (p<0.05). Moreover, increasing of blood glucose levels in group B and C are very significant (p<0.01) (table 2). Meanwhile, animals experiment that had not treated with alloxan (group A) did not showed significant increasing of blood glucose levels.
Table 2: Changes in blood glucose levels in control, alloxan-treated and alloxan+AMLEE-treated diabetic rats
| Treatment group | Blood glucose levels (mg/dl) | p1 value | Final blood glucose levels (mg/dl) | p2 value | |
| Initial | After alloxan induced | ||||
| Control (A) | 109.25±10.34 | 110.50±28.10 | 0.852 | 91.25±28.38 | 0.298 |
| Alloxan treated (B) | 107.5±6.99 | 305.7±51.7 | 0.007* | 312.75±49.63 | 0.845 |
| Alloxan and 50 mg/kg body weight AMLEE treated (C) | 88.00±46.9 | 303.25±33.07 | 0.001* | 86.7±14.6 | 0.002* |
| Alloxan and 100 mg/kg body weight AMLEE treated (D) | 107.00±20.34 | 347.00±45.98 | 0.036** | 148.25±56.76 | 0.018** |
| Alloxan and 200 mg/kg body weight AMLEE treated (E) | 98.5±11.59 | 305.5±88.88 | 0.022** | 81.25±12.03 | 0.014** |
AMLEE: Annona muricata leaf ethanol extract, Values are expressed as means (±SD) of 5 rats, *p<0.01, ** p<0.05, p1: between initial and after alloxan induced blood glucose levels (paired t test), p2: between after alloxan induced and final blood glucose levels (paired t test)
At the end of the study period (after 21 d AMLEE treatment), diabetic animals in AMLEE treated group presented decreasing of blood glucose levels significantly (p<0.05). Even, decreasing of blood glucose levels in the group that treated with 50 mg/kg body weight AMLEE was very significant (p<0.01). Final blood glucose levels in group that treated with 50 mg/kg body weight (86.7±14.6 mg/dl) and 200 mg/kg body weight AMLEE (81.25±12.03 mg/dl) almost the same with control group (91.25±28.38 mg/dl) (table 2). The group without AMLEE treatment (group B) did not showed decreasing of blood glucose levels.
Effect of Annona muricata leaf extract on total cholesterol levels
Mean total cholesterol levels of the alloxan-treated experimental animals are shown in table 3. In our control set of experiments, pretreatment of the rats with 0.9% saline alone, total cholesterol levels did not significantly incresed (p>0.05). There was also no significant difference of total cholesterol levels between after alloxan induced with final total cholesterol levels in control group. Meanwhile, all animal experiment treated by alloxan (group B to E) showed very significant increasing of total cholesterol levels (p<0.01).
After 21 d AMLEE treatment, total cholesterol levels decreased very significant in the group that treated with 50 and 100 mg/kg body weight AMLEE (p<0.01). The group that treated with 200 mg/kg body weight AMLEE also showed decreasing of total cholesterol significantly (p<0.05).
Table 3: Changes in total cholesterol levels in control, alloxan-treated and alloxan+AMLEE-treated diabetic rats
| Treatment group | Total cholesterol levels (mg/dl) | p1 value | Final total cholesterol levels (mg/dl) | p2 value | |
| Initial | After alloxan induced | ||||
| Control (A) | 117.00±11.44 | 113.00±9.09 | 0.467 | 117.50±5.97 | 0.459 |
| Alloxan treated (B) | 113.25±6.99 | 167.25±6.13 | 0.002* | 168.25±10.37 | 0.851 |
| Alloxan and 50 mg/kg body weight AMLEE treated (C) | 113.25±12.33 | 168.00±9.33 | 0.002* | 129.75±8.65 | 0.001* |
| Alloxan and 100 mg/kg body weight AMLEE treated (D) | 106.75±5.31 | 169.50±5.97 | 0.001* | 127.75±9.74 | 0.001* |
| Alloxan and 200 mg/kg body weight AMLEE treated (E) | 104.75±5.50 | 174.00±8.08 | 0.002* | 126.25±11.84 | 0.015** |
AMLEE: Annona muricata leaf ethanol extract, Values are expressed as means (±SD) of 5 rats, *p<0.01, ** p<0.05, p1: between initial and after alloxan induced cholesterol levels (paired t-test), p2: between after alloxan induced and final cholesterol levels (paired t test)
Histopathological examination
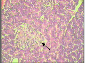
The result of the histopathological examination showed in diabetic rats with no treatment, the most consistent finding in the sections of pancreatic tissues was shrunken in the islet of Langerhans (fig. 2).
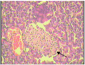
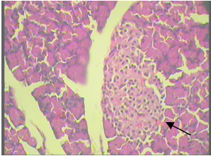
There was no evidence of degenerative and necrotic changes, also no inflammatory cell infiltration. In diabetic rats treated with AMLEE extract, there was no improvement in the size of the islet of Langerhans (fig. 3-5).

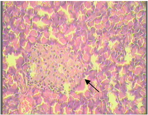
Fig. 1: Histopathological examination control shows the normal size of the islet of Langerhans. (H&E X 400)

Fig. 2: Histopathological examination of alloxan-treated shows shrunken in the islet of Langerhans There were no evidence of degenerative and necrotic changes, also no inflammatory cell infiltration (H&E X 400)

Fig. 3: Histopathological examination of alloxan+AMLEE 50 mg/kg body weight treated shows shrunken in the islet of Langerhans (H&E X 400)

Fig. 4: Histopathological examination of alloxan+AMLEE 100 mg/kg body weight treated shows shrunken in the islet of Langerhans (H&E X 400)

Fig. 5: Histopathological examination of alloxan+AMLEE 200 mg/kg body weight treated shows shrunken in the islet of Langerhans (H&E X 400)
The utilizing of plants, plants extract, and the active compound from plants to cure diseases is very potential step in new drugs discovery [14]. The aim of this study was to demonstrate the efficacy of Annona muricata leaf ethanol extract in the reduction of blood glucose and total cholesterol levels. The study also determines phytochemical screening of the extract and the recovery in the islet of Langerhans in alloxan-treated rats.
All parts of Annona muricata plant have been used empirically as herbal medicine, including the bark, leaves, roots, fruit, and seeds [4]. Prior study suggested that Annona muricata leaf has benefit effect for diabetes [5-9], hence this study used leaf extract of Annona muricata. Previous study using aqueous [5, 9] and methanol [6-8] as extract solvent. This study using ethanol to produce Annona muricata leaves extract because ethanol has higher activity than aqueous with the result that the presence of higher amount of polyphenols, additionally ethanol was easier to penetrate the cellular membrane to extract the intracellular ingredient from plant material. Methanol is more polar than ethanol, but it has a cytotoxic effect [13]. The ethanolic extract of Annona muricata also known could reduced serum uric acid level [15].
Phytochemicals are substances found in plants that exhibit a potential for modulating human metabolism in a manner beneficial for the prevention of chronic and degenerative diseases [16]. The presence of flavonoids, tannins, saponins, phytosterols and phenolic in the extract may contribute the hypoglycemic and hypolipidemic effect. The results were supported the previous study that indicated the presence of secondary metabolites like tannins, steroids, cardiac glycosides in Annona muricata L. leaf extract [3]. Sterols that have been isolated from Annona muricata are β sitosterone, β sitosteryl fatty acid ester, and β sitosterole, whereas hypoglycemic effect caused by β sitosterone activities [17].
AMLEE administration caused decreasing of blood glucose levels in alloxan induced rats, with the result that AMLEE has a hypoglycemic effect. Hypoglycemic effect of Annona muricata leaves extract due to flavonoids role, that present in the extract. Flavonoids increasing insulin secretion as well as preventing beta-cell apoptosis, and modulation of proliferation [18]. Flavonoids also have been reported to stimulate Ca2+uptake from isolated islet cells, hence it also effective even in non-insulin dependent diabetes [19].
In this study, alloxan administration only caused shrunken in the islet of Langerhans. There was no evidence of degenerative and necrotic changes, and also no inflammatory cell infiltration. The results of the study were a difference with the previous study that showed insulitis and destroying of beta cells in 150 mg/kg body weight alloxan administration [20]. Other study that using alloxan 140 mg/kg body weight also showed beta cells destruction, ballooning, picnosis, and necrosis [21]. Alloxan has two different effects: it selectively inhibits glucose-induced insulin secretion through specific inhibition of glucokinase and it causes a state of insulin-dependent diabetes through its ability to induce ROS formation, resulting in selective necrosis of beta cells [11]. This study using 125 mg/kg body weight dose of alloxan. Therefore in was suggested that the destroying of beta cells might be not occurred yet. However, the blood glucose level was already increased.
AMLEE administration also could not repaired islet of Langerhans in alloxan induced diabetic rats. The previous study indicates that Annona muricata leaves aqueous extract showed a remarkable improvement in the islet of Langerhans in Streptozotocin-induced diabetes and also could protected and preserved pancreatic β cell integrity from oxidative stress [5–7].
However administration of AMLEE producing a significant hypoglycaemia, it was suggested that the mechanism of action of AMLEE must be operating through a different mechanism.
The result of this study also showed that ethanol extract of Annona muricata leaf had a hypolipidemic effect. Recently, certain medicinal plants have been used to treating hyperlipidemia and reducing the risk of heart attacks [22]. Study of the hypolipidemic effect of Annona muricata leaf is very limited. The previous study showed that ethanolic extract of Annona muricata bark has hypolipidemic activity in addition of hypoglycemic activity [2]. Hypolipidemic effect of Annona muricata extracts often associated with its antidiabetic and antioxidant effects [10]. Phytochemicals identified from traditional medicinal plants present an exciting opportunity for the development of newer therapeutics for the treatment of hyperlipidemia [23]. The flavonoid, that present in the extract, plays an important role in the hypolipidemic effect of Annona muricata, it has protected effect of LDL against oxidative modifications. Flavonoid consumption prevents many cardiovascular diseases including hypertension and atherosclerosis [19].
The experiment results of the present study showed that Annona muricata leaf ethanol extract has hypoglycemic and hypolipidemic effects. The extract contains some phytochemical compound that may contribute its activities. However, the extract not showed amelioration in the pancreatic islet. This study supported the traditional usage of this plant leaves as a hypoglycemic and hypolipidemic agent.
The authors are grateful to Directorate General of Higher Education, the Republic of Indonesia for providing Fundamental Grant for this study.
The authors declare that they have no competiting of interests
How to cite this article