
School of Environment and Sustainable Development, Central University of Gujarat, Gandhinagar 382030, Gandhinagar, Gujarat, India
Email: mhfulekar@yahoo.com
Received: 05 Dec 2016 Revised and Accepted: 14 Feb 2017
ABSTRACT
Objective: An attempt has been made to study phytoconstituents and High-Performance Thin Layer Chromatography (HPTLC) fingerprinting pattern of leaf/stem/root methanol extracts of Avicennia marina.
Methods: The phytochemical screening was done by standard biochemical methods and standard optimized HPTLC densitometry determination was performed under two different energy zones [under UV-254 nm and under 540 nm after derivatization at sample size-10 µl, temperature = 25.8±0.3 °C (constant) and relative humidity = 86±1% (constant) in optimized solvent system].
Results: Phytochemical analysis confirmed the presence of phytochemicals in the leaf, stem, and root of the plant. Under UV–254 nm energy range, the leaf, stem and root extract showed the presence of 8, 6 and 5 components respectively and under 540 nm energy zone after derivatization, the leaf, stem and root extract revealed the presence of 7, 5 and 5 components, respectively and specific marker components with very high concentration (under UV-254 nm; 3, 2, 2 in leaf, stem, and root respectively and under 540 nm after ASR treatment; 2, 1, 2 in leaf, stem, and root respectively) were detected among them.
Conclusion: The preliminary phytochemical test results elucidated Avicennia marina leaf, stem, and root as a hug reservoir of various class of phytochemicals and metabolites. The results obtained by HPTLC fingerprinting method found to be acceptable as a quick, reliable, accurate and economical for identification and authentication of Avicennia marina mangrove plant and useful to differentiate this mangrove species from other similar mangroves, in a single TLC plate run. This serves as a biochemical marker pattern for leaf, stem and root parts of this mangrove and for its diverse phytoconstituents.
Keywords: Avicennia marina, Extracts, HPTLC fingerprinting, Marker compounds, Phytochemicals
© 2017 The Authors. Published by Innovare Academic Sciences Pvt Ltd. This is an open access article under the CC BY license (http://creativecommons.org/licenses/by/4. 0/)
DOI: http://dx.doi.org/10.22159/ijpps.2017v9i4.16480
INTRODUCTION
The proper identification of medicinal plants, especially for mangroves, have been very important, especially in the fields of botany, taxonomical analysis, chemosystematics, Pharmacognosy, medicinal use and herbal drug quality control [1-2]. There are very few proper checklists of mangrove species, available from different regions of the world [2]. Mangroves are always being a precious source of unique biochemical substances and having a wider ethnic medicinal importance and biochemically uniqueness [3]. This assigns mangrove’s noteworthy roles in the arena of natural product research and remedy detection since ancient times as crude or extracts or formulations [4], but plant reference chemicals possess a multifarious nature in their biochemical configurations, unknown chemical compositions and natural variability (quantitative and qualitative) allow them to differ noticeably and difficult to assess [5]. The specific environmental factors (like geography and place to place variations, physiology of the plant, its habitat, different soil composition and salinity levels, time of harvesting, levels of specific pollution and seasonal variations) and several other factors [5-6] found to be extremely influencing factors for phytoconstituents types and quantity existence in the plants [7-8]. The presence of other chemicals and impurities in the form of singularity or mixtures or multipart-motifs, also make it difficult to obtain a characteristic profile of a particular plant or its drug and also create many problems in standardisation of the drugs from the plant origin [9-10]. The existence of the botanical reference materials or working standard materials has also been very inadequate in the case of plants [11]. For these reasons, it is very difficult for herbal extract/formulation to meet its verification, fulfil existing regulatory issues and further economic viewpoint along with achieving drug excellence standards like WHO, FAO etc. [11-13]. To solve these issues and convert botanical materials into remedies, it has been essential and desirable to stabilize the whole existing chemical profile or detectable compounds pattern of the plant and produce an equilibrium between the number/type/amount of compounds [11, 14-15].
Avicennia marina is an important and valuable mangrove plant because of its diverse distribution, rich availability and massive medicinal values of its different plant parts [16]. The Avicennia marina possess various pharmacological and bioactive activities including anticancer [17-19], antimalarial [20-22], anti-inflammatory [23-24], antiviral [25-26], antioxidant [27-29], antibacterial [20-32], antifungal [33-35], herbal immunostimulant [36] and various protective effects [37] etc., made this mangrove a traceable source for already exist phytochemicals as well as new drug discovery in herbal treatment systems for various disease prevention. Apart from their plentiful uses in several disease treatments and ethnomedicinal worth and practicality, the chromatographies HPTLC pattern analysis or optimized fingerprint of Avicennia marina leaf, stem and root has not been fully reported yet and still very little is known related to whole Phytochemistry of its different plant parts.
The objective of this study was to provide simplest, cheapest and fastest HPTLC method, which was not available till the date for standardisation of Avicennia marina leaf, stem, and root methanol extracts. The present study will serve as an initial platform and a basis for its accurate botanical identity check, visual detection of its well-separated phytocompounds and authenticated use in disease treatment. The ease of sample preparation, quickness of this optimized fingerprinting method, uniformity of the generated results, the cheapness of the method and a single plate run for leaf/stem/root part assessment are the major novelty of this study.
MATERIALS AND METHODS
Collection and identification
The Avicennia marina [sub species (Forsk.)Vierh.] leaf, stem, and root was collected in January 2014 from the S. P. Godrej Marine Ecology Centre, Vikhroli, Mumbai city of Maharashtra, India (Geographical coordinates 19˚05’50.82˚N–72˚56’24.06 ˚E). The mangrove identification and authentication certificate issued by the same institute (the herbarium is maintained in the School of Environment and Sustainable Development, Central University of Gujarat voucher CUG/SESD/14/001).
Extraction of plant material
The leaf, stem, and root were shed dried for 30 d and grounded by a mechanical grinder. The 500 mg of leaf/stem/root powder was mixed with 10 ml methanol separately. Extracts were sonicated for 4 h until the extracts were clear or colorless. Direct sunlight and the high temperature was avoided to keep heat-sensitive phytochemicals and finally filtered through Whatman No.1 filter [11].
Chemicals and reagents
All chemicals were of analytical grade and solvents used were of HPLC grade, obtained from E-Merck (Mumbai, India). The plates were TLC aluminium plates precoated with silica gel 60 F254 (20 X 10 cm, 0.2 mm thick) batch number–1.05554.0007 obtained from E. Merck Ltd. (Darmstadt, Germany).
Phytochemical screening
Preliminary phytochemical analysis was performed for assessing the phytochemicals (phenols, alkaloids, terpenoids, steroids, carbohydrates, proteins, amino acids, tannins, saponins, and flavonoids, Gums, and Mucilage) present in the leaf, stem and root extracts according to the standard methods [38-39].
HPTLC fingerprinting
Equipment
CAMAG HPTLC system was used along with Linomat V as TLC sampler, TLC scanner 3 for HPTLC densitometry, REPROSTAR 3 for photo documentation analysis and winCATS-4 CAMAG Planer Chromatography software.
HPTLC method
Optimised HPTLC studies were performed by following Reich and Schibli [11] and Wagner et al., [5] guidelines. The sample solutions preparation protocols were optimised for great quality and precise fingerprinting. Sample extracts were applied to a volume of 2 µl, 5 µl, 10 µl and 20 µl of each sample (leaf, stem, and root) as bands length of 8 mm wide by means of CAMAG Linomat V sample applicator armed with a 100 μl syringe on a 20x10 cm TLC plate. The plate prewash was done with methanol and dried in an oven at 60 °C for 10 min. The samples loaded plate was kept in TLC Twin Trough horizontal Chamber (20x10 cm) for 20 min. saturation with the vapor of used solvent system. The patterns were developed in a linear ascending mode up to 80 mm (hardly in 10 min.).
The mobile phase C6H5CH3: CHCl3: C2H5OH (4:4:1) was optimized and used [11]. After development, the plate was subjected to drying by hot air device, followed by 10 min on CAMAG plate heater (110 °C) at room temperature and observed thanks to a Reprostar 3 illumination unit. The images captured under 254 nm (high UV range), 366 nm (Fluorescence) and 540 nm (White light). Then first densitometry evaluations were carried out under UV-254 nm (Deuterium lamp, high energy zone). In the last step the plate was derivatizing with a specific derivatizing agent for visual identification and in this experiment, the derivatizing agent Anisaldehyde Sulphuric Acid reagent (ASR) was used in the CAMAG derivatization chamber for 6-8 seconds and air dried. After drying, the plate was heated on CAMAG plate heater for 7-10 min at 110 °C until the color bands can be seen visually. Final images were quickly captured under visible white light and fluorescence (366 nm). After that, second densitometry evaluations were carried out at 540 nm (white light, under tungsten lamp).
RESULTS
Preliminary phytochemical test results
The phytochemical studies (major classes secondary metabolites) by standard bioassays revealed the presence of phenolics, flavonoids, tannins, alkaloids, glycosides, carbohydrates, steroids, terpenoids and saponins in the methanol stem extract, while gums and mucilage and proteins and amino acids were found to be absent. In the methanol leaf extract, almost secondary classes of compounds were detected while saponins, gums and mucilage and proteins and amino acids were found to be absent. In the methanol extract of root, alkaloids, gums and mucilage and proteins and amino acids were not detected while all other major phytochemical class of phyto constitutes was found to be present (see table 1).
Table 1: Preliminary phytochemical test results of Avicennia marina leaf, stem, and root
| S. No. | Phytochemical | Test name | Leaf | Stem | Root |
| 1 | Phenols | Folin-Ciocalteu reagent test | (+) | (+) | (+) |
| 2 | Flavonoids | Shenoda test | (+) | (+) | (+) |
| 3 | Alkaloid | Mayer’s test Wagnor's test Dragondroff’s test |
(+) (+) (+) |
(+) (+) (-) |
(-) (-) (+) |
| 4 | CardialGlycosides | Keiler–Killani test | (+) | (+) | (+) |
| 5 | Anthraquenones Glycosides | Borntrager’s test | (+) | (+) | (+) |
| 6 | Tannins | FeCl3 test | (+) | (+) | (+) |
| 7 | Terpenoids | Noller’s test | (+) | (+) | (+) |
| 8 | Steroids | Libermann’s test | (+) | (+) | (+) |
| 9 | Saponins | Foam test | (-) | (+) | (+) |
| 10 | Carbohydrates | Fehling’s test | (+) | (+) | (+) |
| 11 | Gums and Mucilage | Swelling test | (-) | (-) | (-) |
| 12 | Proteins and amino acids | Ninhydrin test | (-) | (-) | (-) |
+indicating positive test and–indicating negative test
HPTLC photo documentation results
HPTLC fingerprinting of three different extracts was studied by using the optimised mobile phase C6H5CH3: CHCl3: C2H5OH (4:4:1). The developed TLC plates were photo documented under UV-254 nm, UV-366 nm and white light along with UV–366 nm after derivatization with ASR and is shown in the fig. 1 (A, B, C, and D).
HPTLC scanning results (under UV-254 nm)
The HPTLC densitogram under UV–254 nm of three extracts revealed several peaks which are presented in fig. 2.
The densitometry results of leaf extract for 10 µl sample size, under UV–254 nm (high energy zone) revealed 8 spots with Rf max values (fig. 3 and table 2).
Three major spots with the Rf max 0.23, 0.41 and 0.44 may be principal components or marker compounds of leaf extract along with the percentage area of 24.60, 20.75 and 21.76 respectively.
Other spots are minor with the Rf max 0.10, 0.15, 0.32, 0.55 and 0.67 along with the percentage area of 10.26, 4.16, 8.66, 5.80 and 4.01 respectively (table 2).

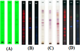
Fig. 1: The fig. of developed TLC plates under UV–254 nm (A) and UV-366 nm (B), under white light after derivatization with ASR (C) and under UV–366 nm after ASR (D) for 10 µl sample size

Fig. 2: The fig. of densitogram results of developed TLC plate under UV–254 nm. Densitogram was showing 2 µl, 5 µl, 10 µl and 20 µl scanning results of leaf (track 1,2,3,4), stem (track 5,6,7,8) and root (9,10,11,12) extracts respectively from left to right, while the star pointed tracks (track 3, 7, 11 for leaf, stem, and root respectively) were standard optimized 10 µl sample volume tracks which were used for final densitogram studies for fingerprinting method development

Fig. 3: HPTLC chromatogram of leaf extract has been shown under UV-254 nm wavelength
Table 2: Number of detected peaks, their corresponding Rf max values, height–area calculation results of leaf extract
| Track No. | Peak No. | Rf max | Max Height(AU) | Max % | Area (AU) | Area % |
| 3 | 1 | .10 | 92.1 | 15.10 | 1691.2 | 10.26 |
| 3 | 2 | .15 | 39.3 | 06.45 | 686.6 | 04.16 |
| 3 | 3 | .23 | 145.4 | 23.84 | 4056.5 | 24.60 |
| 3 | 4 | .32 | 34.0 | 05.58 | 1427.5 | 08.66 |
| 3 | 5 | .41 | 96.2 | 15.78 | 3421.5 | 20.75 |
| 3 | 6 | .44 | 123.8 | 20.30 | 3588.8 | 21.76 |
| 3 | 7 | .55 | 54.4 | 08.92 | 956.2 | 05.80 |
| 3 | 8 | .67 | 24.6 | 04.04 | 661.6 | 04.01 |

Fig. 4: HPTLC chromatogram of stem extract has been shown under UV-254 nm wavelength
The densitometry results of stem extract for 10 µl sample size, under UV–254 nm (high energy zone) revealed the presence 6 spots with Rf max values (fig. 4 and table 3). Among these 6 detected spots, 2 spots with the Rf max 0.41 and 0.45 may be principal components of stem extract along with the very high percentage area of 24.32 and 39.31 respectively. Other detected 4 major peaks are minor with the Rf max 0.15, 0.25, 0.32 and 0.70 along with the percentage area of 7.03, 6.39, 12.84 and 10.10 respectively (table 3).
Table 3: Number of detected peaks, their corresponding Rf max values, height–area calculation results of stem extract
| Track No. | Peak No. | Rf Max | Max Height (AU) | Max % | Area (AU) | Area % |
| 7 | 1 | .15 | 29.7 | 8.26 | 769.7 | 7.03 |
| 7 | 2 | .25 | 31.7 | 8.82 | 699.6 | 6.39 |
| 7 | 3 | .32 | 43.7 | 12.16 | 1405.6 | 12.84 |
| 7 | 4 | .41 | 87.8 | 24.44 | 2662.4 | 24.32 |
| 7 | 5 | .45 | 129.2 | 35.96 | 4303.1 | 39.31 |
| 7 | 6 | .70 | 37.2 | 10.36 | 1105.8 | 10.10 |

Fig. 5: HPTLC chromatogram of root extract has been shown under UV-254 nm wavelength
The densitometry results of root extract for 10 µl sample size, under UV–254 nm (high energy zone) revealed the presence 5 spots with Rf max values (fig. 5 and table 4). Among all 5 detected peaks, 2 spots (spot no. 3 and 5) the corresponding Rf max 0.36 and 0.47 may be principal components of root extract because they contain comparatively the very high percentage area of 21.22 and 48.24 respectively. Other peaks contain very less percentage area of 6.28, 9.29 and 14.97 along with Rf max 0.07, 0.17 and 0.42 respectively.
Table 4: Number of detected peaks, their corresponding Rf max values, height–area calculation results of root extract
| Track No. | Peak No. | Rf max | Max Height (AU) | Max % | Area (AU) | Area % |
| 11 | 1 | .07 | 56.7 | 16.00 | 573.5 | 6.28 |
| 11 | 2 | .17 | 42.8 | 12.08 | 847.9 | 9.29 |
| 11 | 3 | .36 | 64.2 | 18.13 | 1936.4 | 21.22 |
| 11 | 4 | .42 | 67.0 | 18.92 | 1365.9 | 14.97 |
| 11 | 5 | .47 | 123.6 | 34.87 | 4402.3 | 48.24 |
HPTLC scanning results (Under 540 nm (white or visible light) after derivatization with ASR

Fig. 6: The fig. of densitogram results of developed TLC plate under 540 nm after derivatization with ASR. Densitogram was showing 2 µl, 5 µl, 10 µl and 20 µl scanning results of leaf (track 1,2,3,4), stem (track 5,6,7,8) and root (9,10,11,12) extracts respectively from left to right, while the star pointed tracks (track 3, 7, 11 for leaf, stem, and root respectively) were standard optimized 10 µl sample volume tracks which were used for final densitogram studies for fingerprinting method development

Fig. 7: HPTLC chromatogram of leaf extract has been shown under 540 nm wavelength light after ASR treatment
The densitometry results of leaf extract for 10 µl sample size, under 540 nm (after ASR) revealed the presence 7 spots with Rf max values (fig. 7 and table 5). Among all 7 detected peaks, 2 spots (spot no. 5 and 7) the corresponding Rf max 0.37 and 0.50 possess comparatively high percentage area of 20.46 and 35.25 respectively (may be the marker compounds or active principle). Other peaks with Rf max 0.13, 0.18, 0.23, 0.31 and 0.44 were minor (table 5).
Table 5: Number of detected peaks, their corresponding Rf max values, height–area calculation results of leaf extract under 540 nm after ASR treatment
| Track No. | Peak No. | Rf max | Max height (AU) | Max % | Area (AU) | Area % |
| 3 | 1 | .13 | 66.7 | 7.36 | 1219.3 | 5.11 |
| 3 | 2 | .18 | 55.0 | 6.06 | 1069.4 | 4.48 |
| 3 | 3 | .23 | 56.9 | 6.28 | 892.3 | 3.74 |
| 3 | 4 | .31 | 169.7 | 18.72 | 3418.7 | 14.34 |
| 3 | 5 | .37 | 204.9 | 22.61 | 4880.1 | 20.46 |
| 3 | 6 | .44 | 138.2 | 15.24 | 3962.8 | 16.62 |
| 3 | 7 | .50 | 215.1 | 23.73 | 8405.9 | 35.25 |

Fig. 8: HPTLC chromatogram of stem extract has been shown under 540 nm wavelength light after ASR treatment
The densitometry results of stem extract for 10 µl sample size, under 540 nm (after ASR) revealed the presence 5 spots with Rf max values (fig. 8 and table 6). Among all 5 detected peaks, 1 spot (spot no. 3) the corresponding Rf max 0.40 contain comparatively very high percentage area of 47.40 (may be the marker compounds or active principle).
Other peaks with Rf max 0.22, 0.35, 0.46 and 0.58 were minor (table 6).
Table 6: Number of detected peaks, their corresponding Rf max values, height–area calculation results of stem extract under 540 nm after ASR treatment
| Track No. | Peak No. | Rf max | Max Height(AU) | Max % | Area (AU) | Area % |
| 7 | 1 | .22 | 23.7 | 4.78 | 533.2 | 4.44 |
| 7 | 2 | .35 | 106.1 | 21.39 | 2403.0 | 19.99 |
| 7 | 3 | .40 | 251.7 | 50.75 | 5698.9 | 47.40 |
| 7 | 4 | .46 | 67.5 | 13.60 | 1665.2 | 13.85 |
| 7 | 5 | .58 | 47.0 | 9.47 | 1721.7 | 14.32 |

Fig. 9: HPTLC chromatogram of root extract has been shown under 540 nm wavelength light after ASR treatment
The densitometry results of root extract for 10 µl sample size, under 540 nm (after ASR) revealed the presence 5 spots with Rf max values (fig. 9 and table 8). Among all 5 detected peaks, 2 spots (spot no. 3 and 5) the corresponding Rf max 0.42 and 0.59 possess comparatively very high percentage area of 50.21 and 34.40 respectively (may be the marker compounds or active principle). Other peaks with Rf max 0.17, 0.23 and 0.48 were minor (table 7).
Table 7: Number of detected peaks, their corresponding Rf max values, height–area calculation results of root extract under 540 nm after ASR treatment
| Track No. | Peak No. | Rf max | Max height (AU) | Max % | Area (AU) | Area % |
| 11 | 1 | .17 | 45.4 | 4.45 | 1085.6 | 2.79 |
| 11 | 2 | .23 | 65.2 | 6.40 | 1917.5 | 4.94 |
| 11 | 3 | .42 | 452.8 | 44.48 | 19508.2 | 50.21 |
| 11 | 4 | .48 | 123.8 | 12.16 | 2977.2 | 7.66 |
| 11 | 5 | .59 | 331.0 | 32.51 | 13364.1 | 34.40 |
DISCUSSION
In this outlook of plant standardization and authentic pharma-cological usages, HPTLC fingerprinting is although comparatively new concept and technique but a critical as well as indispensable benchmark [40] because from an optimized HPTLC fingerprint of a plant species one can gain the whole spectrum of information about the sample and can recognise the “Unique Total Component Arrangements” as well as it can act as “Biochemical Autograph” or “phytochemical principle component’s representative” of particular herbal sample [11].
It allows us to achieve fundamental requirements for ethano-botanical use of plants in various traditional folk systems (ex. Asian folk systems like Indian and Chinese, etc.) [41].
Here HPTLC method and various HPTLC parameters were optimized to gain a characteristic fingerprint of leaf, stem, and root of Avicennia marina in a single HPTLC plate run. The mobile phase which was optimized for this study was also previously used in some very recent studies related to the characterization and analysis the phytochemistry of medicinal plants [42-43], comparison of HPTLC pattern assessment of plants [44-45] also with slightly modifications in selected mobile phase [46], study the autograph and drug formulation [47] as well as quantification of specific bioactive compound [48] and produce fingerprints [49]. Here this mobile phase gave very reasonable Rf and resolution of the separated bands and capable of generating a specific fingerprint for leaf, stem, and root parts of this mangrove separately in a quick/single run. With very high concentration and area calculation various principle components (under UV-254 nm; 3, 2, 2 in leaf, stem, and root respectively and under 540 nm after ASR treatment; 2, 1, 2 in leaf, stem, and root respectively) were detected. These may be the marker compounds of corresponding samples.
Most of time many factors (especially the sample volume and the detection limit of compounds etc.) become a critical factor to study and generate a chromatographic method for different chromatographic techniques [50-52] like an optimised HPTLC patterns [38] or quantification of bioactive compound [53] as well as isolation-characterization studies by preparative HPTLC [54], thus 10 µl sample volume was optimised for reproducible and accurate pattern generation and assessment among 2 µl, 5 µl, 10 µl and 20 µl sample volume size.
This sample volume size can provide us valuable information related to the number of compounds and also facilitate equilibrium between the various categories of phytocompounds present in the extracts [11].
CONCLUSION
The results achieved from preliminary phytochemical bioassay studies and HPTLC fingerprinting will be helpful to assess and understand the rich phytochemical scenario of Avicennia marina mangrove. This optimized HPTLC pattern assessment method can be useful in the identification of this species, its various phyto-compounds as well as its different plant parts (leaf/stem/root) in a single TLC plate experiment and can ensure quality control of the drugs obtained.
This optimized HPTLC method for Avicennia marina leaf, stem and root found to be unique, innovative, exact for its kind and usable as a reference. The Avicennia marina leaf, stem and root methanol extracts showed the presence of 8, 5 and 6 UV active spots respectively (under UV-254 nm) and 7, 5 and 5 respectively (under 540 nm after ASR) at sample size-10 µl, Temperature = 25.8±0.3 °C (constant), Relative Humidity = 86±1% (constant) and mobile phase = C6H5CH3: CHCl3: C2H5OH (4:4:1). This characteristic and optimized HPTLC fingerprinting method for Avicennia marina leaf, stem and root found to be fast, inexpensive, accurate and a consistent fingerprinting method for the identification, verification and quality regulation of drugs from this mangrove species. It can also provide the basic information useful for the isolation and purification of existing or new bioactive compounds.
ACKNOWLEDGEMENT
The authors are grateful to Soonabai Pirojsha Godrej Marine Ecology Centre, Mumbai for Avicennia marina sample collection and also thankful to ANCHROM HPTLC labs, Mumbai for providing HPTLC facilities during this research. Mr. Vinars Dawane is thankful to Prof. K. Kathiresan, CASMB, Annamalai University, Parangipettai, TN for providing the lab facilities for phytochemical characterization and valuable suggestions and UGC, New Delhi for the award of Rajiv Gandhi National Fellowship for financial support. Vinars Dawane is thankful to roomies Ankur katre, Sudhir khopey, Swapnil kulkarni and Sandeep singh for their unconditional friendship and support.
CONFLICTS OF INTERESTS
Both authors have none to declare
REFERENCES
How to cite this article