Int J Pharm Pharm Sci, Vol 6, Issue 7, 386-391Original Article

PROTECTIVE EFFECT OF NEBIVOLOL ON ALUMINIUM-INDUCED NEUROBEHAVIORAL AND BIOCHEMICAL ALTERATIONS IN RATS

VANDANA S. NADE*, LAXMAN A. KAWALE, NINAD V. SHENDYE, NITIN R. PATIL

Department of Pharmacology, M.V.P. Samaj’s College of Pharmacy, Gangapur Road, Nashik, Maharashtra-422002, India
Email: kawalevl@rediffmail.com

Received: 31 May 2014 Revised and Accepted: 12 Jul 2014


ABSTRACT

Objective: The present study was designed to investigate the neuroprotective potential of nebivolol, a β1 adrenergic blocker on aluminium-induced neurobehavioral and biochemical alterations in rats.

Methods: The neurotoxicity was induced by administration of aluminium (50 mg/kg/day, p.o.) for 5 weeks. Nebivolol was administered at a dose of 10 mg/kg, p.o. for 5 weeks. Behavioral assessments were done by using open field test and modified elevated plus maze (mEPM) test. At the end of the study, oxidative stress parameters were determined and histopathological studies of cerebral cortex of rat brains were performed.

Results: Aluminium chloride treated rats showed significant reduction in motor activity in open field test and memory impairment in mEPM test as compared to control group. Nebivolol significantly reversed these parameters and restored brain antioxidant defensive enzymes with reduction in lipid peroxidation. The neurotoxicity was confirmed by the histopathological analysis of cerebral cortex of rat brains. Aluminium treated animals showed presence of ghost cells, vacuolated cytoplasm and haemorrhage in rat cerebral cortex, indicating neurotoxicity. Nebivolol attenuated all these changes. Thus, the potential of nebivolol to prevent aluminium-induced neurotoxicity was also reflected at microscopic level, indicative of its neuroprotective effects.

Conclusion: Nebivolol showed significant antioxidant and neuroprotective activities against aluminium-induced neuronal degeneration. The results of the present study strengthen oxidative stress hypothesis of aluminium-induced neurotoxicity and suggest beneficial role of nebivolol in the treatment of neurodegenerative disorders.

Keywords: Nebivolol, Aluminium chloride, Neurotoxicity, Modified elevated plus maze.


INTRODUCTION

Aluminium (Al) is one of the leading causes of several neuro-degenerative conditions such as Alzheimer’s disease [1]. High abundance of aluminium in degenerating neurons has proved the fact that aluminium is responsible for neuro-degeneration [2]. Many hypotheses have been put forth in order to propose possible mechanisms of aluminium-induced neuronal degeneration. These hypotheses suggest involvement of oxidative stress [3], disruption of calcium homeostasis and deterioration of intracellular signal transduction pathways [4]. Aluminium is known to interfere with cholinergic [5], serotonergic [6], glutamatergic, and gamma-aminobutyric acid (GABA) neurotransmission [7].

Exposure to aluminium is also known to interfere with the acetylcholine metabolism. Aluminium causes increase in acetylcholinesterase activity [8]. The glutamate level was found to be increased significantly in the brain regions of the aluminium-treated rats [9]. Many researchers have proved that exposure to high concentrations of aluminium may lead to oxidative stress and rise in reactive oxygen species production in cells, causing lipid peroxidation, influencing the action of diverse antioxidant enzymes including catalase, superoxide dismutase, glutathione peroxidase and stimulating protein oxidation [10]. The nervous system is particularly susceptible to oxidative damage, as the brain has a high oxygen consumption rate. Aluminium deposits have been found to be present around the blood vessels in patients with dementia.

Nebivolol is a third-generation β1 adrenergic blocker with peculiar pharmacological properties compared with other beta blockers. Nebivolol possesses free radical scavenging activity with promising antioxidant properties [11].

One of the mechanisms of nebivolol's antioxidant activity is due to a reduction of reactive oxygen species (ROS) produced by a NADPH oxidase system [12]. It has been proved that, along with its peculiar anti-oxidant activity, nebivolol, but not other beta-blockers, improves endothelial function, reduces vascular superoxide production via prevention of eNOS uncoupling, reduces vascular macrophage infiltration, and inhibits NADPH oxidase-dependent superoxide production in neutrophils [13]. In spite of the reported antioxidant property of nebivolol in a variety of models, we found the focus of existing research is not on neuroprotective effect of nebivolol. Therefore, in this study, we have investigated the possible beneficial effects of nebivolol in aluminum-induced neurotoxicity and measures of oxidative stress in rats.

MATERIALS AND METHODS

Drugs and Chemicals

Nebivolol hydrochloride (Hetero Labs, Hyderabad, India); aluminium chloride (Research-Lab Fine Chem Industries, Mumbai, India); nitrobluetetrazolium chloride (NBT) (Himedia Laboratories Pvt. Ltd. Mumbai, India); selegiline (Intas Pharmaceuticals Ltd., Ahmedabad, India); thiobarbituric acid (TBA) (Research-Lab Fine Chem Industries, Mumbai, India); 5, 5’- dithiobis-2-nitro benzoic acid (DTNB) (Alfa Aesar, A Johnson Mathey Company); bovine serum albumin (Spectrochem Pvt. Ltd., Mumbai, India). All the chemicals used were of analytical grade and purchased from standard manufacturers.

Animals

Male Wistar rats (230-250 g) were used for the study. Animals were housed in polypropylene cages and maintained under the standard laboratory environmental conditions; temperature 25 ± 2ºC, 12: 12 h L: D cycle and 50 ± 5% RH with free access to food and water ad libitum. Animals were acclimatized to laboratory conditions before the test.

The studies were carried out in accordance with the guidelines given by Committee for the Purpose of Control and Supervision of Experiments on Animals (CPCSEA), New Delhi (India). The Institutional Animal Ethical Committee of M.V.P.S College of Pharmacy, Nashik (India) approved the protocol of the study (IAEC/2013/1b).

Experimental design

Animals were randomly divided into four groups of six animals each: (a) Group I – Control (distilled water only); (b) Group II – Aluminium chloride (50 mg/kg/day, p.o.) for five weeks; (c) Group III – Aluminium chloride (50 mg/kg/day, p.o. for five weeks) + nebivolol (10 mg/kg/day, p.o.) for five weeks. Nebivolol has shown successful recovery from oxidative stress at this dose in previous studies [14]; (d) Group IV – Aluminium chloride (50 mg/kg/day, p.o. for five weeks) + selegiline (0.49 mg/kg/day, p.o.) for five weeks. Aluminium was administered in the form of AlCl3 which was dissolved in distilled water and was administered through oral gavage. Nebivolol was suspended in 0.2% polyethylene glycol (PEG-400) for oral administration.

Nebivolol and selegiline were given 60 minutes before administration of aluminium. The experimental protocol was developed according to the procedure described by Jyoti et al. with slight modifications [15].

Behavioral study

Open field test

Locomotor activity was evaluated in an open field paradigm. The open field was made up of plywood and consisted of floor (96 × 96 cm) with high walls (61 × 61 cm). Entire apparatus was painted black except for 6 mm thick white lines that divided the floor into sixteen squares. Each animal was placed at one corner of the apparatus and was observed up to five minutes for ambulations (number of squares crossed), number of rearings and latency to reach at centre of the open field. The test was performed on 1st, 15th, 25th and 35th days. Before each trial, field was cleaned thoroughly with 0.1% acetic acid solution [16].

Modified Elevated plus maze test (mEPM)

EPM test is primarily used for measurement of anxiety in rodents and is modified to evaluate spatial learning and memory [17]. This test was carried according to the procedure described by Hlinak & Krejci (2000) with slight modifications. The plus-maze consisted of two opposite open arms 50 × 10 cm crossed with two closed arms of the same dimensions with walls 40 cm high. The arms were connected with a central square 10 × 10 cm to give the apparatus a plus-sign appearance.

The maze was elevated 30 cm above the floor. At the start of experiment, each rat was gently placed at the end of an open arm of the apparatus facing away from the central platform and the time taken to move from the open arm to either of the enclosed arms (transfer latency) was recorded. An entry was defined when both of the forepaws were on the arm. After entering the enclosed arm, the rat was allowed to move freely in the maze regardless of open and enclosed arms for 10 s. To remove any confounding olfactory cues the maze was cleaned with alcohol and water solution after each trial. The experiments were conducted in a semi-sound proof room under a natural illumination. The transfer latency was measured on 34th and 35th days [18].

Biochemical estimations

Dissection and Homogenization

On the 35th day immediately after behavioral assessments, the animals were killed by cervical decapitation. The brain was removed, rinsed with isotonic saline and weighted. A 10 % (w/v) tissue homogenate was prepared in 0.1 M phosphate buffer (pH 7.4). The post nuclear fraction for catalase assay was obtained by centrifugation (Remi - C - 30, Remi Industries Ltd. Mumbai, India) of the homogenate at 1000 g for 20 min at 4ºC; for other enzyme assays, centrifugation was at 12000 g for 60 min at 4ºC. A Biospectrophotometer (Elico BL-200) was used for subsequent assays [19].

Catalase activity (CAT)

Catalase activity was assessed by the method of Luck (1971), where the breakdown of H2O2 was measured at 240 nm. Briefly, the assay mixture consisted of 3 ml of H2O2 phosphate buffer (0.0125 M H2O2) and 0.05 ml of supernatant of brain homogenate and the change in the absorbance was measured at 240 nm. The enzyme activity was calculated using the millimolar extension coefficient of H2O2 (0.07). The results were expressed as micro moles of H2O2 decomposed per minute per milligram of protein [20].

Estimation of reduced glutathione (GSH)

Reduced glutathione (GSH) in the brain was assayed according to the method of Ellman (1959). A 0.75 ml sample of homogenate was precipitated with 0.75 ml of 4% sulphosalicylic acid. The samples were centrifuged at 1200×g for 15 min at 4 ºC. The assay mixture contained 0.5 ml supernatant and 4.5 ml of 0.01 M DTNB [5-5’-dithiobis (2-nitrobenzoic acid)] in 0.1 M phosphate buffer, pH 8.0. The yellow colour developed was read immediately at 412 nm. The results were expressed as micro moles of GSH per milligram of proteins [21].

Superoxide dismutase activity (SOD)

Superoxide dismutase activity was assayed according to the method of Kono (1978), wherein the reduction of nitrobluetetrazolium chloride (NBT) was inhibited by the superoxide dismutase and measured at 560 nm spectrophotometrically. Briefly the reaction was initiated by the addition of hydroxylamine hydrochloride to the reaction mixture containing NBT and post nuclear fraction of brain homogenate. Results were expressed as percentage inhibition of reduction of NBT [22].

Lipid peroxidation assay (LPO)

The quantitative measurement of lipid peroxidation in brain was done by the method of Wills (1966). The amount of malondialdehyde (MDA) formed was measured by reaction with thiobarbituric acid at 532 nm. The results were expressed as nanomoles of MDA per milligram of protein, using the molar extension coefficient of chromophore (1.56 × 105 M-1 cm-1) [23].

Protein estimation

The protein content was measured according to the method of Lowry et al. (1951), using bovine serum albumin as standard and expressed as µg protein / mg of tissue [24].

Histopathology

Histopathological evaluation of the cerebral cortex of rat brains was performed. The brains were excised and immediately fixed in 10% buffered formalin. The cerebral cortex was sectioned from the brain, which was jpgded in paraffin after being dehydrated in alcohol.

Five-micrometer thick serial histological sections were obtained from the paraffin blocks by using microtome and stained with hematoxylin and eosin. The sections were examined under light microscope (Olympus, Japan) and photomicrographs were taken.

Statistical analysis

Data was subjected to one-way analysis of variance (ANOVA) followed by Dunnett’s test and results were expressed as mean ± SEM.

RESULTS

Effect of nebivolol on number of ambulations, rearings and latency to reach to the central area of open field test

Significant (P<0.05) reduction in number of ambulations and rearings was observed in aluminium chloride treated group as compared to control group on days 15th, 25th and 35th. Also, latency to reach the central area in the open field was significantly (P<0.05) increased as compared to control group. Administration of nebivolol (10 mg/kg) showed significant (P<0.05) increase in both number of ambulations and rearings on 25th and 35th day.

Nebivolol also significantly (P<0.05) reduced the latency to reach to the central area on 25th and 35th day as compared to aluminium chloride treated group. Selegiline (as standard drug) showed promising improvement in number of ambulations, rearings and latency to reach to the central area in open field test (Fig. 1).

Fig. 1: Effect of nebivolol on a) number of ambulations b) number of rearings c) latency to enter central area in open field test.

All values are expressed as mean ± SEM. (n = 6). #Compared with control group, *Compared with chronic aluminium treated group; #,*P<0.05, nsNon-significant (One way ANOVA followed by Dunnett’s test).

Effect of nebivolol on transfer latency in modified elevated plus maze test (mEPM)

In mEPM test, the animals treated with aluminium chloride exhibited significant (P<0.05) increase in transfer latency compared to control group. Treatment with nebivolol for 5 weeks significantly (P<0.05) reduced transfer latency on both days 34th and 35th as compared to aluminium treated group. Selegiline also significantly (P<0.05) decreased transfer latency as compared to aluminium chloride treated group (Fig. 2).

Fig. 2: Effect of nebivolol on transfer latency on days 34th and 35th in mEPM test.

All values are expressed as mean ± SEM. (n = 6). #Compared with control group, *Compared with aluminium treated group; #,*P<0.05, nsNon-significant (One way ANOVA followed by Dunnett’s test).

Biochemical Estimations

Effect of nebivolol on aluminium-induced alterations in rat brain SOD, CAT and GSH

Chronic exposure to the aluminum significantly (P<0.001) decreased the levels of SOD, CAT and GSH as compared to control group, indicating oxidative stress. Pretreatment with nebivolol (10 mg/kg) significantly (P<0.001) increased the levels of SOD, CAT and GSH as compared aluminium treated group.

Selegiline also showed significant increase in the levels of SOD, CAT and GSH (Table 1).

Effect of nebivolol on aluminium-induced alterations in rat brain on LPO

Exposure to the aluminum led to significant increase in LPO level. Pretreatment with nebivolol significantly (P<0.001) reduced elevated level of LPO. Selegiline also significantly decreased LPO level (P<0.001) (Table 1).

Table 1: Effect of nebivolol on aluminium-induced alterations in rat brain CAT, GSH, SOD and LPO levels

Treatments CAT(μ moles of H2O2 decomposed/mg protein/min) GSH(μ moles of GSH/mg protein) SOD(% inhibition of reduction of NBT) LPO(n moles of MDA/mg protein)
Control 7.12 ± 0.8 7.67 ± 0.4 78.97 ± 0.2 7.48 ± 0.3
Aluminium chloride (50 mg/kg, p.o.) 4.93 ± 0.1### 2.80 ± 0.1### 64.04 ± 3.1### 17.80 ± 0.6###
Al + nebivolol(10 mg/kg, p.o.) 6.54 ± 0.3*** 6.47 ± 0.3*** 74.83 ± 0.3*** 10.64 ± 0.3***
Al + selegiline(0.49 mg/kg, p.o.) 6.91 ± 0.1*** 7.17 ± 0.1*** 78.47 ± 0.1*** 11.38 ± 0.4***

All values are expressed as mean ± SEM. (n = 5). #Compared with control group, *Compared with aluminium treated group. ###,*** P<0.001.(One way ANOVA followed by Dunnett’s test).

Histopathological changes

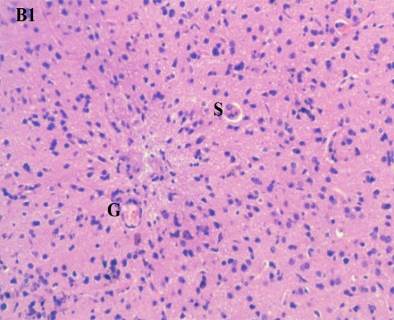
The section of cerebral cortex (haematoxylin and eosin stained) from control group showed normal architecture. Aluminium treated group revealed presence of ghost cells, haemorrhage and vacuolated cytoplasm, suggesting neurotoxicity induced by aluminium.

A section of the cerebral cortex of aluminium group pretreated with nebivolol and selegiline showed absence of ghost cells, vacuolated cytoplasm and hemorrhage with normal architecture demonstrating protection from aluminium-induced changes as compared to aluminium treated group (Fig. 3).

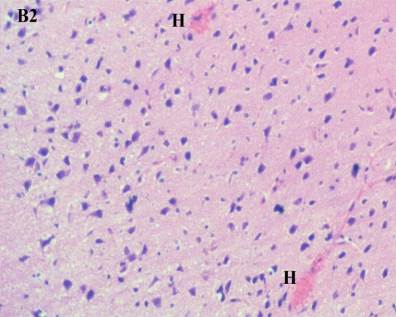
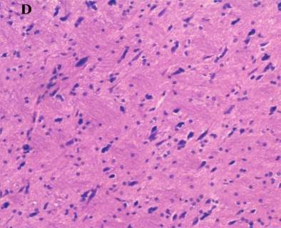
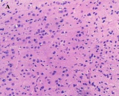
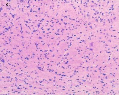
Fig. 3: Histopathological changes of cerebral cortex of rats in different groups.

A: Control group, histological structure of cerebral cortex showing normal architecture.

B1 and B2: aluminium treated group revealed the presence of ghost cells (G), vacuolated cytoplasm (S), and haemorrhage (H).

C and D: Nebivolol and selegiline treated groups showed absence of ghost cells, vacuolated cytoplasm and hemorrhage with normal architecture of cerebral cortex indicating protection from aluminium-induced changes in the cerebral cortex as compared to aluminium group.

DISCUSSION

The present study investigated the neuroprotective effects of nebivolol on aluminium-induced neuronal toxicity. Bowdler and co-workers proved that aluminium exposure in animals and humans results in behavioral changes and intellectual impairment [25]. The results of the present study indicated that chronic exposure to aluminium showed significant reduction in motor activity in open field test. The aluminium chloride treated animals showed decrease in the number of ambulations, rearings with increase in latency to reach to the central area of open field. This indicated that aluminium has significantly affected the motor activity. Nebivolol showed significant improvement in all the behavioral parameters in open field. Pretreatment with nebivolol produced significant reduction in latency to reach to the central area and increased both number of ambulations and rearings, suggesting improvement in aluminium-induced behavioral alterations.

The mEPM test was used for testing the learning and memory. In mEPM test, aluminium chloride treated animals showed significant increase in transfer latency. This is an indication of impairment of memory. Administration of nebivolol (10 mg/kg) significantly reduced transfer latency on days 34th and 35th, indicating retention of memory. Selegiline also significantly decreased the transfer latency. Long term exposure to aluminium causes oxidative stress and alterations in brain antioxidant enzymes. The aluminium-induced neurotoxicity could be linked to the neurodegeneration caused by elevation in oxidative stress and deterioration of intracellular signal transduction pathways along with deposits of extracellular senile plaques and loss of synaptic contacts [26]. The results of the present study showed that chronic exposure to aluminium significantly decreased the levels of oxidative stress indices such as SOD, CAT and GSH with increase in LPO and protein oxidative products. Oxidative damage of the cerebral cortex in rats during aging and oxidative stress is responsible for impairment of cognitive functions [27]. Administration of nebivolol significantly elevated the levels of defensive antioxidant enzymes with concomitant decrease in LPO; thus indicating restoration of the oxidative stress indices in the rat brains. SOD plays an important role in detoxifying the superoxide radical to H2O2 by glutathione peroxidase at the expense of GSH. Therefore, GSH is an essential cofactor for antioxidants like catalase, glutathione peroxidase etc. Administration of nebivolol in aluminium-treated rats prevented the depletion of GSH level significantly, suggesting that it is effective in preventing the oxidative damage associated with aluminium exposure. Hence, we can propose that probably elevation of such enzymes could be one mechanism by which nebivolol counters aluminium-induced neurotoxicity.

The cerebral cortex was selected for histopathology because aluminium affects the cortex region more severely than any other area of the central nervous system. This brain region is known to be particularly susceptible in Alzheimer’s disease and have an important role in learning and memory functions [28]. Exposure of aluminium, led to marked histopathological alterations in the cerebral cortex, including neuronal degeneration as cytoplasmic vacuolization, haemorrhage and ghost cells. Administration of nebivolol (10 mg/kg, p.o.) and selegiline (0.49 mg/kg, p.o.) to aluminium fed rats showed absence of histopathological changes in comparison to aluminium treated rats, showing their protective action. The results obtained after nebivolol treatment were identical with those of selegiline which confirms the neuroprotective effect of nebivolol. Selegiline, also known as l - deprenyl, is an irreversible MAO-B inhibitor, antidepressant, neuroprotectant and neuro rescue agent. Selegiline possesses the property to increase the survival of degenerating neurons, modulates dendritic branching pattern and facilitates the activity of dopaminergic neurons with at most selectivity [29]. Keeping these things in mind l-deprenyl was chosen as the standard drug. The above discussion showed that aluminium neurotoxicity is mediated through oxidative damage and nebivolol has potential to counter this. Our data indicates that nebivolol could be beneficial in countering the aluminium-induced neurotoxicity at biochemical and behavioural levels. The antioxidant potential of nebivolol might play a key role in the observed therapeutic outcomes against aluminium-induced neurotoxicity.

CONCLUSION

We conclude that, nebivolol exhibits prominent antioxidant and neuroprotective activity against aluminium-induced neuronal degeneration and its use in the patients suffering from hypertension along with neurodegenerative disorders can be encouraged.

CONFLICT OF INTERESTS

Declared None

REFERENCES

  1. Solfrizzi V, Colacicco AM, D’Introno A, Capurso C, Parigi AD, Capurso SA et al. Macronutrients, aluminium from drinking water and foods, and other metals in cognitive decline and dementia. J Alzheimer’s Dis 2006;10:303-30.
  2. Bharathi VP, Govindaraju M, Palanisamy AP, Sambartimu K, Rao KSJ. Molecular toxicity of aluminium in relation to neurodegeneration. Indian J Med Res 2008;128:545-56.
  3. Kaneko N, Sugioka T, Sakurai H. Aluminium compounds enhance lipid peroxidation in liposomes:insight into cellular damage caused by oxidative stress. J Inorganic Biochem. 2007;101:967-75.
  4. Kaur A, Gill KD. Disruption of neuronal calcium homeostasis after chronic aluminium toxicity in rats. Basic Clin Pharmacol Toxicol. 2005;96:118-22.
  5. Amador FC, Santos MS, Oliveira CR. Lipid peroxidation and aluminium effects on the cholinergic system in nerve terminals. Neurotox Res. 2001;3:223-33.
  6. Ravi SM, Prabhu BM, Raju TR, Bindu PN. Long term effects of post natal aluminium exposure on acetylcholinesterase activity and biogenic amine neurotransmitters in rat brain. Indian J Physiol Pharmacol. 2000;4:443-78.
  7. Cordeiro JM, Silva VS, Oliveira CR, Goncalves PP. Aluminium-induced impairment of Ca2+ modulatory action on GABA transport in brain cortex nerve terminals. J Inorg Biochem. 2003;97:132-42.
  8. Grisaru D, Sternfeld M, Eldor A, Glick D, Soreq H. Structural roles of acetylcholinesterase variants in biology and pathology. Eur J Biochem. 1999;264:672-86.
  9. Nayak P, Chatterjee AK. Effects of aluminium exposure on brain glutamate and GABA systems:an experimental study in rats. Food Chem Toxicol. 2001;39:1285-9.
  10. Vlahogianni T, Dassenakis M, Scoullos MJ, Valavanidis, A. Integrated use of biomarkers (superoxide dismutase, catalase and lipid peroxidation) in muscles Mytilus galloprovincialis for assessing heavy metals’ pollution in coastal areas from the Saronikos Gulf of Greece. Mar Pollut Bull. 2007;54:1361-71.
  11. De Groot AA, Mathy MJ, Van Zwieten PA, Peters SL. Antioxidant activity of nebivolol in the rat aorta. J Cardiovasc Pharmacol. 2004;43:148-53.
  12. Oelze M, Daiber A, Brandes RP, Hortmann M, Wenzel P, Hink U. Nebivolol inhibits superoxide formation by NADPH oxidase and endothelial dysfunction in angiotensin II-treated rats. Hypertension. 2006;48:677-84.
  13. Heeba GH, El-Hanafy AA. Nebivolol regulates eNOS and iNOS expressions and alleviates oxidative stress in cerebral ischemia/reperfusion injury in rats. Life Sci. 2012;90:388-95.
  14. Nade VS, Shendye NV, Kawale LA, Patil NR, Khatri ML. Protective effect of nebivolol on reserpine-induced neurobehavioral and biochemical alterations in rats. Neurochem Int. 2013;63:316-21.
  15. Jyoti A, Sharma D, Sethi P. Bacopa monniera prevents from aluminium neurotoxicity in the cerebral cortex of rat brain. J Ethnopharmacol. 2007;111:56-62.
  16. Järbe TUC, Ross T, DiPatrizio NV, Pandarinathan L, Makriyannis A. Effects of the CB1R agonist WIN-55,212-2 and the CB1R antagonists SR-141716 and AM-1387:Open-field examination in rats. Pharmacol Biochem Behav. 2006;85:243-52.
  17. Itoh J, Nabeshima T, Kameyama T. Utility of an elevated plus-maze for the evaluation of memory in mice:effects of nootropics scopolamine and electroconvulsive shock. Psychopharmacol. 1990;101:27-33.
  18. Hlinak Z, Krejci I. Oxiracetam prevents the MK-801 induced amnesia for the elevated plus-maze in mice. Behav Brain Res. 2000;117:147-51.
  19. Naidu PS, Singh A, Kulkarni SK. Effect of Withania somnifera roots extract on haloperidol induced orofacial dyskinesia:possible mechanism of action. J Med Food. 2003;6:107-14.
  20. Luck H. Catalase. In:Bergmeyer H, editor. Methods of enzymatic analysis. New York:Academic Press;1971. 885–93.
  21. Ellman GL. Tissue sulfhydryl groups. Arch Biochem Biophys. 1959;82:70-7.
  22. Kono Y. Generation of superoxide radical during autooxidation of hydroxylamine and an assay for superoxide dismutase. Arch Biochem Biophys. 1978;186:189-95.
  23. Wills ED. Mechanism of lipid peroxide formation in animal tissues. Biochem J. 1996;99:667-76.
  24. Lowry OH, Rosenbrough NJ, Farr AL, Randall RJ. Protein measurement with the Folin– Phenol reagent. J Biol Chem. 1951;193:265-75.
  25. Bowdler NC, Beasley DS, Fritze EC, Goulette AM, Hatton JD, Hession J et al. Behavioural effects of aluminium ingestion on animal and human subjects. Pharmacol Biochem Behav. 1979;10:505-12.
  26. Kaneko N, Sugioka T, Sakurai H. Aluminium compounds enhance lipid peroxidation in liposomes:insight into cellular damage caused by oxidative stress. J Inorg Biochemistry. 2007;101:967-75.
  27. Fukui K, Onodera K, Shinkai T, Suzuki S, Urano S. Impairment of learning and memory in rats caused by oxidative stress and aging, and changes in antioxidative defense systems. Ann N Y Acad Sci. 2000;928:168-75.
  28. Deloncle R, Guillard O. Mechanism of Alzheimer’s disease:arguments for a neurotransmitter aluminium complex implication. Neurochem Res. 1990;15:1239-45.
  29. Lakshmana MK, Rao BS, Dhingra NK, Ravikumar R, Govindaiah R, Meti BL et al. Chronic (−) deprenyl administration increases dendritic arborization in CA3 neurons of hippocampus and AChE activity in specific regions of primate brain. Brain Res. 1998;796:38-44.