1Department of Bioscience and Biotechnology, Banasthali University, Banasthali 304022, Rajasthan, India.
Email: manu.singh418@gmail.com
Received: 07 Jul 2014 Revised and Accepted: 18 Aug 2014
ABSTRACT
Objective: Liver is the most important organ in the pivotal role of regulating various physiological processes and several vital functions like metabolism, secretion and storage. Plants are reputed in the indigenous systems of medicine for the treatment of various diseases. Toxicant or drug induced liver injury can be prevented by treating with non toxic hepatoprotective herbs, which can possess membrane stabilizing, hepatoprotective and antioxidant activities. NDMA (N- Nitrosodimethylamine) belongs to nitrosamine compounds which are known hepatic carcinogens.
Methods: The aim of the present investigation was to analyse the effects of NDMA on the morphology of hepatic cells, to determine the reversible effect if any, after providing the treatment with the crude extract and isolated glycoside from the roots of Operculina turpethum. The treatment was given in different groups of Swiss Albino Mice.
Results: Scanning Electron Microscopy and Light microscopical examinations indicated that NDMA treated mice livers (n = 6) displayed severe vascular and endothelial damage compared to control livers (n = 6). Liver sections appeared with inflammatory cellular infiltration, vacuolated hepatocytes, dilated sinusoids, increased number of Kupffer cells, fibrosis, endothelial fenestrations, intercellular spaces and spaces of Disse, and were accompanied by dilatation of bile canaliculi.
Conclusion: These alterations were recovered with the treatment at the dose of 400 mg/kg of crude extract and 50 mg/kg of the isolated compound. Hence, it can be stated that this plant can show significant recovery in NDMA damaged livers.
Keywords: Hepatic, Operculina turpethum, Scanning Electron Microscopy, Cancer.
INTRODUCTION
Inflammation of the liver is induced by a variety of causative agents resulting in the liver damage and destruction, primarily through substantial necrosis and hepatocellular fibrosis. Liver, the key organ of metabolism and excretion has an immense task of detoxification of xenobiotics, environmental pollutants and chemotherapeutic agents. Hence, this organ is subjected to the variety of diseases and disorders. Fibrosis is the harmful outcome of chronic hepatitis, which results from abnormal accumulation of collagen, the main source of which is hepatic stellate cells (HSCs), and can further develop into cirrhosis and ultimately to end-stage liver disease, liver failure, or hepatocellular carcinoma [1]. Natural products from plant source, used in traditional medicines have been accepted currently as one of the main source of preventive drug discovery [2]. The main mechanism responsible for this curative action is the strong antioxidant effect of these substances.
Several hundred plants have been examined for use in a wide variety of liver disorders. Antioxidants play an important role in inhibiting and scavenging free radicals and thus providing protection against infections and degenerative diseases [3]. Moreover there is a growing interest in herbal remedies because of their effectiveness, minimal side effects in clinical experience and relatively low cost. A recent upsurge in identifying dietary or non dietary natural products as cancer chemopreventive agents has been hailed by many investigators to be practically beneficial, especially when the carcinogenic insult is mild to moderate [4].
Steroid glycoside represents an essential group of secondary metabolites which exhibits a broad spectrum of pharmacological profile. The sterols have anticancer and immune-modulating properties [5]. Operculina turpethum which is commonly known as trivit, belongs to the family Convolvulaceae. It is widely grown throughout India and it is occasionally cultivated in gardens as an ornament. It has been used as a folk medicine in many countries to treat constipation, jaundice, rheumatism, chronic gout, piles and tumors,obesity and many other diseases. The bark of the plant contains a glycosidic resin, which has the insoluble glycoside turpethein [6]. The plant contains various secondary metabolites including saponins, flavonoids, glycosides, phenolics and it also contains some amount of essential oil, glucose and fructose [7]. Upon literature survey it was found that four new dammarane-type saponins, operculinosides were isolated from the aerial parts of O. turpethum [8]. Operculina turpethum when consumed may add to the antioxygenic potential and hence may prove useful in protection against oxidative stress caused by a large number of xenobiotics including carcinogens.
NDMA is not an industrially or commercially important chemical; nevertheless, it can be released into the environment from a wide variety of manmade sources. This is due to the inadvertent formation of NDMA in industrial situations when alkylamines, mainly dimethylamine and trimethylamine, come in contact and react with nitrogen oxides, nitrous acid, or nitrite salts, or when trans-nitrosation via nitro or nitroso compounds occurs. N-Nitrosodimethylamine is reasonably anticipated to be a human carcinogen based on sufficient evidence of carcinogenicity in experimental animals [9]. There is conclusive evidence that NDMA is a potent carcinogen in experimental animals by several routes of exposure, including through ingestion of drinking-water. Toxic effects of N-nitrosodimethylamine (NDMA), a potent carcinogenic and mutagenic substance, were also pro- posed to be due to reactive oxygen species formed by its metabolic activation [10-11]. ROS produced by sunlight, ultraviolet light, ionizing radiation, chemical reactions and metabolic processes have a wide variety of pathological effects such as DNA damage, carcinogenesis and various degenerative disorders such as cardiovascular diseases, aging and neuro-degenerative disease. The mechanism by which NDMA produces cancer is well understood involving biotransformation by liver microsomal enzymes, generating the methyldiazonium ion. This reactive metabolite forms DNA adducts, with most evidence pointing to O6-methylguanine as the likely proximal carcinogenic agent. In this study, the antioxidant potential of Operculina turpethum has been evaluated by various treatments of this plant as well as the isolated phyotchemical from the crude extract.
MATERIALS AND METHODS
Chemicals: All chemicals used in the study were of analytical reagent grade and were purchased from reliable firms (SRL (India), MERCK, RANBAXY, HIMEDIA). NDMA was purchased from SIGMA.
Animal care and monitoring
Healthy male Swiss albino mice (Mus musculus) (4-6 months old, weighing 20-30 g) were procured from C. C. S. Haryana Agricultural University (Hisar, India). They were housed under standard laboratory conditions of light (12:12 h L: D cycle), temperature (23 ± 2°C) and relative humidity (55 ± 5%). Animals lead free access to standard food pellet diet (Hindustan Lever Limited: metal contents in parts per million dry weight: Cu 10.0, Zn 45.0, Mn 55.0, Co 5.0, Fe 75.0) and drinking water ad libitum throughout the study.
Plant material
Operculina turpethum was collected from Pharmacological Garden of CCSHAU Hisar, Haryana, India in the month of November 2011. The plant was identified with the help of available literature and authenticated by Botanist of Krishi Vigyan Kendra Rohtak, Haryana, India.
Preparation of ethanolic extract
The freshly collected Operculina turpethum roots were dried in shade and coarse powder was extracted. Dried powdered material was placed in the Soxhlet thimble with 80% ethanol in 500 ml flat bottom flask. Further refluxed for 18 h at 800 C for two days [12]. Collected solvent was cooled and poured in a glass plate. The filtrate was dried in hot air oven below 500C for 48 h and kept in dissector for 2 days. The yield of the extract was 12.5% w/w of powdered plant material for further exploration. Collected dried extract was stored at 50C in air tight containers.
Isolation and Characterisation of Stigma-5,22dien-3-O-b-D-Glucopyranoside(Isolated Glycoside; IG)
Isolation of IG was achieved by TLC, Column Chromatography and HPLC whereas the characterization was achieved by IR, NMR and LCMS. The nomenclature of the IG was achieved and it was then assessed for its anti-hepatotoxic properties.
Acute Oral Toxicity Studies (LD50)
The acute toxicity of the plant extract was evaluated in mice (six per group) by preparing five different doses (100, 500, 1000, 1500 and 2000 mg/kg) and administered orally using gavages. Animals were kept without food for 18 h prior to dosing and were monitored continuously for 3 days after dosing for any sign of toxicity. The LD 50 value of the extract was calculated arithmetically using the method described by Hamilton [13].
LD 50 = Lethal dose - Σ (a x b)/N
Where a is the dose difference, b is the mean mortality and N is the number of animals in each group.
Ethical Clearance
The animal experiments were carried out according to the guidelines of the Committee for the Purpose of Control and Supervision of Experiments on Animals (CPCSEA). Institutional Animal Ethics Committee approved experimental design performed in this study for the use of Swiss Albino mice as an animal model for the study.
Treatment regime
Adult Swiss albino male mice divided into ten groups of 6 mice each group were treated by oral gavage.
Treatment consisted of simultaneous dosing of NDMA(N-Nitrosodimethylamine, 10mg/kg b. wt.) followed by OTE (Operculina turpethum extract). The animals were then euthanized 21 days after NDMA administration. NDMA was given on three consecutive days of each week for three successive weeks along with the plant extract.
The groups were as follows-
Group 1 - Control
Group 2 - NDMA treated (10 mg/kg body weight)
Group 3 - NDMA + OTE (300mg/kg body weight)
Group 4 - NDMA+ OTE (400mg/kg body weight)
Group 5 - OTE (300 mg/kg body weight)
Group 6 - OTE(400mg/kg body weight)
Group 7 - NDMA + Standard antioxidant(BHA1%)
Group 8 - BHA (1%)
Group 9 - IG (Isolated Glycoside; 50 mg/kg body weight)
Group 10 - NDMA + IG (Isolated Glycoside; 50 mg/kg body weight)
The doses of the plant extract. NDMA and standard were decided on the basis of previously published reports [14].
Histological Study
Light microscopy
Livers were dissected from the animals, small pieces of the liver were immersed in 10% Neutral Buffered Formalin (10% NBF) solution, dehydrated, cleared and imgded in paraffin. Paraffin sections (6 μm) were prepared and stained with Haematoxylin and Eosin (H&E). The general histological architecture was studied and photographed using the light microscope [15].
Scanning Electron Microscopy (SEM)
For SEM, liver samples (2–3 mm) were quickly isolated from the sacrificed animals and kept in 5% glutaraldehyde made in 0.1 M phosphate buffer pH 7.4, for 4–5 h [16]. The samples were then washed in 0.1 M phosphate buffer and the dehydration steps followed. Tissue samples were dehydrated in a graded acetone series reaching the critica1 point of dehydration in an E-3000 Polaron with CO2. They were then metal coated with gold-palladium and observed using a ZEISS 950 DSM scanning electron microscope.
RESULTS
Isolation and Characterisation of Stigma-5,22dien-3-O-b-D-Glucopyranoside from the roots of Operculina turpethum
The isolated compound was found to be a steroidal glycoside. The HPLC profile of the crude extract and the isolated compound is shown in (Fig. 1).
Acute Toxicity Study
The result of the toxicity test of Operculina turpethum extract for 3 days did not show any clinical adverse effect of substance-related toxicity on the animals, such as restlessness, hematuria, diarrhea and muscle-coordinated movement. Similarly, there was no mortality or morbidity observed at any tested doses except at the 2000 mg/kg dose. The LD 50 value of the extract was found to be 1917.66 mg/kg.
Histological examination
Histological studies of livers from normal control mice indicated a normal architecture. The cytoplasm of the hepatocytes was characterized by having coarse, pink, darkly stained granules. Few vacuoles and almost no collagen were observed (Fig. 2).
While in contrast, the most pronounced histopathological abnormalities observed in mice treated with NDMA (10mg/kg body weight) involved remarkable structural changes such as thickness of portal vein, fibrosis, pyknosis and coagulation of the cytoplasm with steatosis (Fig. 3). and an increased number of vacuoles. Inflammatory cellular infiltration was abundant around the central vein. The nuclei appeared larger and more irregular in shape.
Dissolution of hepatic cords, which appeared as empty vacuoles aligned by strands of necrotic hepatocytes.
When compared with normal control liver cells disorientation of lobular architecture associated with focal necrotic areas, degeneration in the cytoplasm and loss of cell boundaries and pyknotic nuclei as indicated by hepatic necrosis, collapse of the liver parenchyma, dilated and congested blood sinusoids, nuclear dysplasia were observed. Dead cell containing nuclear pyknosis was stained by brightly pink color (Fig. 3) and stand out from other cells due to the degeneration of structural proteins which form a compact homogenous mass with progressively clumping heterochromatin.
![]() (a) |
(b) |
Fig. 1 HPLC chromatogram of the crude ethanolic root extract (a) and isolated Stigma-5, 22dien-3-O-b-D-Glucopyranoside (b) obtained by UV detection at 270 nm.

Fig. 2: (a) Photomicrograph of liver (L. S.) showing normal mice liver with intact central vein and hepatocytes. (b-d) Between the strands of hepatocytes the hepatic sinusoids are shown.

Fig. 3: (a) Photomicrograph of the liver (L. S.) of mice treated with NDMA showing leucocytic infiltration. CV=Central vein, LI= Leucocyte infiltration. (b) The liver showing centrilobular congestion and marked dilatation of central vein and sinusoids with massive necrosis. (c) Section showing thickness of portal vein (PV), bile ductule (BD), steatosis and foamy vacuoles (FV) with pyknotic stage (PK). (d) macro vacuolated cytoplasm.
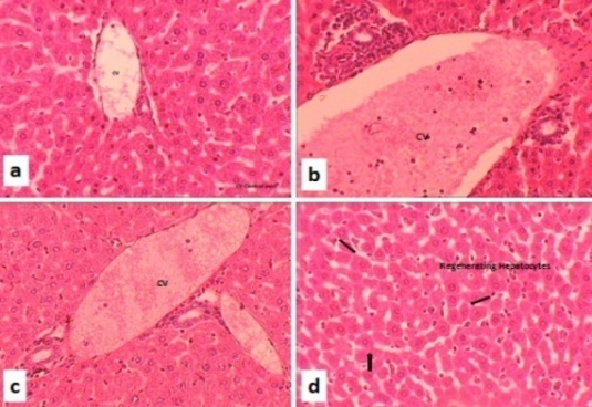
It was found that, the liver regenerated normal hepatic tissue on the treatment with the plant and isolated compound. In the liver of plant treated mice (10 mg/ kg) almost normal arrangements of hepatic cell chords with thin walled central vein (CV) and with almost no diffuse steatosis were observed (Fig. 4). In contrast, the liver of IG treated mice showed almost normal liver architecture.

Fig. 4: (a) Photomicrograph of liver (L. S.) showing the hepatic tissue regeneration whereas the central vein is still dilated. (b) Almost normal arrangements of hepatic cell chords with thin walled central vein (CV), no diffuse steatosis (c) Central vein showing decreasing inflammatory cell infiltration (d) Regenerating Hepatocytes.
Scanning electron microscopy
In the present study, NDMA (a potent carcinogen) was used to induce the toxicity. Scanning electron microscopy (SEM) has enhanced greatly our understanding of the complex morphology of the liver. Examination of the tissue at low magnification resulted in the overall observation of the histological architecture of the functional liver unit. In SEM the hepatocytes typically are seen in single rows that represent fractures through the liver cords or laminae, laminae anastomose extensively with one another to form a complex three-dimensional network. As a row of hepatocytes lies between two sinusoids, most hepatocytes have at least two free surfaces that border a space of Disse. The remaining cell membrane is closely apposed to some six other hepatocytes except for the small portion of the cell surface that is part of the wall of the bile canaliculus (Fig.5). The apposed cell surfaces, smooth in the pericanalicular area, are thrown into folds and microvilli in the juxtasinusoidal region. In the control group, normal hepatic cells were seen with a distinct cell outline and were polyhedral in shape, arranged in chords; they consist of interconnecting plates of hepatocytes that radiate towards a central vein. At higher magnification, the intact sinusoids were visible (Fig.5). The sinusoids are roughly circular in cross section and form a three-dimensional lacework interdigitating with a similar lacework of hepatocytes. The density of these two networks and the relative sizes of the structural components give the impression, in sections, of alternating wall and channels, when in fact the real structure is much more complex.

Fig. 5: Scanning electron micrographs of liver of control group (a) Normal Hepatocytes surrounding the normal Sinusoids (arrow), Scale Bar 100 µm (b) Sinusoids (S; arrow), Scale Bar 10 µm. The density of the meshworks formed respectively by the cellular and vascular elements, and the relative sizes of the components is such that, in two dimensions as in a single section, or on a fracture surface seen monocularly, one has the impression of alternating walls and channels. (c) normal perfused liver viewed in the scanning electron microscope demonstrates the relationship of liver cells to each other and features of hepatocyte surface structure. (d) Sinusoidal epithelium, showing disse space (D).
The positive modulation of cellular damage in liver induced by the chronic carcinogen was evident through the electron microscopic study in the carcinogen treated animals, the hepatic cells appeared to be unhealthy and damaged. Following the treatment with compound, the liver tissue displays overall loss of architecture in general; the narrowing of blood vessels, constriction of sinusoidal blood vessels and retraction of the endothelium. Phagocytes were found in large numbers as compared to normal group. There was indication of excessive fibrosis of the hepatic parenchyma cells proposing that the Kupffer cells were more in number. There was tissue necrosis causing appearances of holes, scattered RBCs were among the parenchymal tissue which suggest breakdown of blood liver barrier, although hepatic cell boundaries were recognizable. Widening of the intercellular spaces and spaces of Disse was observed. a decrease in the density of microvilli on hepatocyte surfaces was observed and because of fenestration enlargement, large numbers of red blood cells occupy the Disse space and endocytic vacuoles. Degenerative alterations were seen represented by disorganization of the hepatic cords suggestive of cytoplasmic vacuolization and inflammatory cell infiltration (Fig. 6) Bile canaliculi running in the centre of the hepatocellular surfaces appeared dilated and in communication with the intercellular spaces.

Fig. 6: Scanning electron micrographs of livers of (a) SEM of the liver showing degenerating Hepatocytes (H), Scale Bar 10 µm (b) Damaged Sinusoid (S) and erythrocytes (RBC), Scale Bar 10 µm.(c) The sinusoid endothelium showing the RBC and Leucocyte; Le Scale Bar 10 µm (d) The sinusoid endothelium showing large fenestrations (F) Scale Bar 10 µm.
The treatment with the plant extract and the isolated compound induced various changes in the histological structure of liver and showed a positive effect in repairing the damage caused to an extent. In regenerating liver the free edge is thickened by the addition of more parenchymal tissue. SEM of tissue taken from the edge of regenerating liver shows that in some cases the laminae are more than a single cell in width. At intermediate magnification, the individual sinusoids were readily visible and were surrounded by the liver parenchymal tissue that was composed of regenerating hepatocytes. Hepatic cells were arranged in chords as found in normal liver, signs of tissue necrosis were less, a few hepatic cells had intact boundaries indicative of a recovery phase occurring. Erythrocyte hemorrhage and inflammatory cell infiltration was reduced (Fig.7).

Fig. 7: SEM of the liver treated with plant and isolated compound, showing the (a) regenerating endothelial damage in the form of gaps (arrow), intact Hepatocytes (H), Central Vein (CV) and erythrocytes, Scale Bar 10 µm (b) Neighbouring hepatocytes are anchored to each other by pseudopods (arrow), which bridge between the cells across the enlarged intercellular space. Scale Bar 10 µm. (c) Extensions from hepatocytes stretch through the enlarged Disse space to the sinusoidal lining cells (arrow)(d) Showing diagonally traversed central vein (CV), a portion of which got removed in sample preparation and reveals a smooth inner surface (arrow) in contrast to the rough outer surface, which is covered by network of collagen bundles of different sizes.
DISCUSSION
The present study revealed necrosis in liver sections of the group treated with NDMA. Cells undergoing necrosis swell and their organelles break down. They lose membrane integrity, rupture and spill debris that leads to local inflammation which then results in the death of adjacent cells. The increase in cell volume is due to the loss of regulating mechanism of the cell to pump out water from the inside [17]. Energy required for this is given by the respiration which is suppressed by NDMA leading to the vacuolization of the cytoplasm.
Certain collagen types deposits around the sinusoidal cell layer and reorganization of various extra cellular matrix molecules results in alterations in the composition of the liver, with deterioration of hepatic functions [18]. Injury of hepatocytes results in the recruitment and stimulation of inflammatory cells, as well as resident ones, including Kupffer cells. Factors released by these inflammatory cells lead to activation of hepatic stellate cells and their transformation into a myofibroblast like phenotype [19]. Kupffer cells (KC) are known to contribute to the hepatotoxicity of a variety of chemicals. KC can release chemokines that promote the infiltration of other inflammatory cells to the liver [20]. These, in turn, release a variety of cytotoxic agents that promote the progression of liver injury. Chronically activated hepatic stellate cells enhance fibrosis by secreting a broad spectrum of cytokines such as TGF-β1 [21]. This exerts pro-fibrotic actions in other cells and in an autocrine manner perpetuates their own activation. This is accompanied by a decrease in anti-inflammatory cytokines such as IL-10. Tissues and cells would be subjected to oxidative injuries when large quantities of free radicals are generated or the deterioration of activities of antioxidant systems.
The unique property of liver is to metabolize substances and its close relationship with the gastrointestinal tract, it is highly susceptible to injury from drugs and other substances. In most instances, hepatic injury is initiated by the bioactivation of drugs to chemically reactive metabolites, which have the ability to interact with cellular macromolecules such as proteins, lipids, and nucleic acids, leading to protein dysfunction, lipid peroxidation, DNA damage, and oxidative stress [22]. Injury to hepatocyte and bile duct cells lead to accumulation of bile acid inside liver. This promotes further liver damage. This impairment of cellular function can culminate in cell death and possible liver failure [23]. Hepatic cellular dysfunction and death also have the ability to initiate immunological reactions, including both innate and adaptive immune responses. Stress and damage to hepatocytes result in the release of signals that stimulate activation of other cells, particularly those of the innate immune system, including Kupffer cells (KC) and natural killer (NK) cells.
CONCLUSION
Medicinal plants continue to play a central role in the health care system of large proportions of the world’s populations. Detailed research on the chemistry and pharmacology of products of plant origin are much essential and this may eventually lead to the discovery of medicine that can be used in the treatment of several diseases. Biological compounds with antioxidant properties contribute to the protection of cell and tissues against deleterious effects of free radicals by preventing or controlling the process of damage. Operculina turpethum contains a wide variety of phyto constituents, which are useful in treatment of different ailments and includes glycosidic resin, coumarins, beta-sitosterol, and essential oils. Stigma-5,22dien-3-O-b-D-Glucopyranoside, isolated constituent showed remarkable antioxidant activity and caused significant improvement in the animals. A possible mechanism of the Operculina turpethum extract as hepatoprotective may be due to its anti-oxidant effect or inhibition of cytochrome P450. This might be due to the higher contents of Glycoside present in the extract which could have reduced the accumulation of toxic NDMA derived metabolites. Different combination of the active constituents can be isolated and after isolation and identification can be made and have to be further evaluated for their synergetic effects.
CONFLICT OF INTERESTS
Declared None
REFERENCES