Laboratory of Nutrition physiology and food safety, Department of Biology, Faculty of Science, University of Oran, Algeria
Email: brahimcherifa@gmail.com
Received: 11 Jul 2014 Revised and Accepted: 25 Aug 2014
ABSTRACT
Objective: The hydrolyzed formulas of bovine proteins used in the cow's milk allergy treatment contain peptides which can preserve their allergenicity. These last years, a new preparation with hydrolyzed rice proteins was marketed and could establish a useful alternative in the cases of cow's milk allergy.
The objective of our work is to study the biochemical characteristics of an infantile formula based on hydrolyzed rice and its antigenic effect on the Balb/c mice immunized with α-La protein.
Methods: In our work, we have realized an electrophoresis on polyacrylamide gel to determine various proteins which compose this infantile formula. Lowry's method is used to determine the amount of proteins in the formula. Our work has also allowed us to study the antigenicity of the hydrolyzed rice formula using ELISA method by the use of Balb/c mice serum.
Results: Our results have shown that
Conclusion: The commercial hydrolyzed rice formula can be adapted to cover the needs of the infant. This infantile formula was treated by technological methods to reduce the antigenic potential to prevent Allergy.
Keywords: Infantile Formula, Proteins, Antigenicity, Hydrolyzed rice.
INTRODUCTION
The therapeutic coverage of the cow's milk allergy (CMA) is only dietary. The best therapeutic approach is to exclude all bovine milky proteins [1] and substitute them with either extensively or partially hydrolyzed formula or by preparations with amino acids only.
Recently, cow's milk allergy therapy consists of preparing infant formula by the use of plant ingredients such as hydrolyzed rice and soya. The rice preparation in particular has shown a good tolerance to children suffering from cow's milk allergy and it could constitute a good alternative to the hydrolyzed cow's milk formula [2].
In this work, we are going to study the biochemical characteristics and the antigenicity of an infantile preparation with hydrolyzed rice proteins. We will be using Balb/c mice immunized with alpha-lactalbumin (α-La) protein considered to be the second major protein that causes cow's milk allergy in infants.
MATERIALS AND METHODS
Products
The various products used for the biochemical dosages come from the following companies: Prolabo, Merck and Sigma (France). The pure fractions of proteins: Beta-lactoglobulin (ß-Lg), Alpha-lactalbumin (α-La), Bovine Serum Albumin (BSA) and Casein are products of Sigma and Merck (France).
Used samples
Used bovine milk was freshly collected in a farm of bovine breeding in Oran region, Algeria. Unpasteurized milk (pH 6.8) collected is skimmed by centrifugation in 3500 rpm during 15 minutes at 4°C temperature. This operation is intended to eliminate the fat. The skim milk is then freeze-dried by means of a lyophilizator of type speed Vac concentator 100H.
Used preparation Modilac Expert Rice® is a dietary food intended for medical purposes, especially in case of cow's milk proteins allergy. It is a preparation of hydrolyzed rice proteins 100 % vegetable without cow's milk proteins and without lactose. This product is a part of Modilac® brand of the Sodilac laboratory specialized in the conception and the manufacturing of infantile formulas.
Biochemical characterization of the formula
Protein dosage
For the purpose of protein dosage, Lowry’s method was used [3]. In our experiment, various products such as: Folin reagent, washing Soda, hydroxide of Sodium, Tartrate of Potassium and Sodium, Copper Sulphate and bovine serum albumin were used.
The bovine milk and the hydrolyzed rice preparation (Modilac Expert Rice®) protein dosage was performed. A spectrophotometer (Jasco-V530UV/VIS) with a 750 nm wavelength was used to collect data. These results are compared with a standard curve obtained from the Bovine serum albumin.
Electrophoresis
Electrophoresis manipulation was made according to the Laemmli method [4]. Two different composition gels; concentration gel and migration gel were used.
The mixture of proteins is dissolved first in SDS solution; anionic cleaner which breaks almost all the non-covalent bonds in the native molecules. The Mercaptoethanol is also added to reduce the disulfides connections.
The anions of the SDS are bound to the main chains and give the complex SDS-proteins a negative charge. This negative charge acquired by the fixation of the SDS is usually much bigger than the charge of the native protein which becomes unimportant.
The various products and reagent used in the Electrophoresis are: Acrylamide, Bisacrylamide, Temed, Glycerin, Ethanol, Tris, Dodecyl Sodium treated with Copper Sulphate (SDS), Persulfate of ammonium (APS), Acetic acid, Acetic icy, Blue acid of bromophenol, Coomassie Brilliant Blue R250.
Within the framework of this work, the infantile formula as well as the cow's milk are separated in two gels of different concentrations: a concentration gel with 10 % acryl-bisacrylamide and a separation gel with 16,5 % acryl-bisacrylamide. The distorted samples are deposited by means of a Hamilton syringe in wells formed in the upper edge of the concentration gel. The gel is put in a migration solution with an 80 volts voltage difference for two hours. After migration, the gel is transferred in a solution containing the Coomassie Brilliant Blue R250 to reveal the various bands representing various proteins. The gel is then put in a discoloration solution.
Antigenicity study
Animals
The animals used in our protocols are female mice Balb/c obtained from the Pasteur Institute in Algiers (Algeria). These are mice bred and acclimatized before handling in the laboratory of Nutrition Physiology and Food Safety of the University of Oran. The housing conditions are in accordance with state mandated regulations. The experiments are carried out with the well-being of the animal; all stress and agitation to the mice is avoided.
Immunization of the animal model
40 female Balb/c mice, 4 weeks old and weighting of (19.50 ± 0.25)g, are used for the immunization protocol and distributed as follow:
Group1: 20 mice immunized with native α-La protein.
Group2: 20 mice receiving no treatment (control group).
Mice are immunized intra-peritoneally. Each mouse has received a dose of 100 µL of PBS pH 7.4 containing 10 µg of α-La mixed with 2 mg of Aluminum hydroxide Al(OH)3. Intra-peritoneal injections take place on the day 1 than under the same conditions on the 14th, 21st and 28th days of the protocol.
Blood collection
Before handling the animal, a first retro-orbital blood sample is taken using a Pasteur pipette. This is repeated at Day 35 before sacrifice. An average volume of 400 to 500 ml of blood per mouse is collected. The blood is then centrifuged at 3500 rpm for 15 min at 4° C to separate the serum which is then collected into Eppendorf micro tubes and preserved at -20°C.
Study of the reactivity of infantile formula
The antigenicity of the infantile preparation is measured by the study of its reactivity using specific anti α-La IgG (obtained from Balb/c serum). The method used is a non-competitive process by the ELISA method (Enzyme-Linked Immunosorbent Assay).
Statistical methods
The results are expressed as mean ± standard error (X ± SE). The averages were compared using a Student test for paired data and unpaired. Statistical analysis was conducted using a statistical software program named STATISTICA (5.1.2006). Analysis of variance was performed with the ANOVA test. The significance level used is 5%.
RESULTS
Dosage of total proteins by Lowry's method
The protein dosage is realized on the skimmed cow's milk and on the infantile preparation with hydrolyzed rice protein (n=6) with n representing the number of samples. The results of the dosage are presented in the (Figure 1). The obtained results show that the content in proteins of the cow's milk is (30.98 ± 1.77) g/l. The content in total proteins of the preparation with hydrolyzed rice proteins is (13.71 ± 0.43) g/l.

Fig. 1: Proteins content of the cow's milk and the hydrolyzed rice formula.
CM: Cow's milk., HR: Hydrolyzed rice formula.,***p< 0.001
Electrophoresis on polyacrylamide gel in the presence of SDS
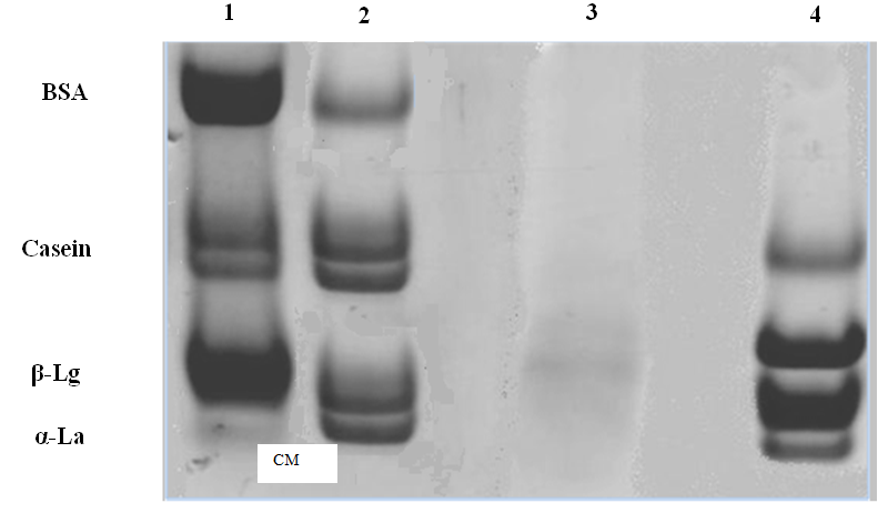
The realized gel is illustrated in the (Figure 2). The first well corresponds to a marker kit constituted by a mixture of pure bovine proteins, containing BSA (68000 Da), casein (24000 Da), ß-Lg (18000 Da) and α-La (14000 Da). The second well of the gel contains cow's milk, showing clearly the existence of various protein bands comparable to reference proteins. The analysis of the deposit of the rice formula in the third well shows the absence of intact proteins. The fourth well corresponds to a marker kit constituted by a mixture of peptides of low molecular weight of Sigma reference.
Study of the antigenicity
Serum titers of anti α-La antibodies of Balb/c mice immunized with α-La
The revelation of specific anti α-La IgG is performed by ELISA in sera from Balb/c mice sensitized to α-La (n = 20). This is a very sensitive technique to quantify accurately IgG [5]. 35 days after immunization, serum titer of anti α-La IgG is detectable in the sera of mice. These antibodies are produced at a significantly higher rate, reaching 1/1000000th, which is highly significant (p <0.001) (Figure 3).
Reactivity of Modilac Expert Rice®
The results obtained show that the hydrolyzed rice formula (Modilac Expert Rice®) reacts very weakly with anti α-La IgG. The values are significantly lower than those obtained with the α-La (pure fraction) reaching 1/100th (p <0.001) (Figure 3).

Fig. 2: Electrophoresis on polyacrylamide-SDS gel of the cow's milk and the hydrolyzed rice formula.
1. Reference Proteins containing: BSA (68000 Da), Casein (24000 Da), β-Lg (18 000 Da) and α-La (14000 Da).
2. Cow's milk.
3. Preparation with hydrolyzed rice proteins (Modilac Expert Rice®).
4. Kit of peptide reference containing: Triose Phosphate Isomerase (Rabbit Muscle): 26600 Da, Myoglobine (Horse Heart): 17000 Da, α-lactalbumine (Bovine Milk): 14200 Da, Aprotinine (Bovin Lung): 6500 Da.

Fig. 3: Reactivity of α-La and hydrolyzed rice formula (Modilac Expert Rice®) with anti α-La IgG.
The reported values are averages and standard errors., T: Negative Control, α-Lac: reactivity of the protein α-La (pure fraction) with anti α-La IgG. Modilac: reactivity of hydrolyzed rice formula with anti α-La IgG., **p< 0.01
DISCUSSION
Approximately 2% of newborns exhibit hypersensitivity to cow's milk in the first year of life [6]. The Guidelines for the dietary management of infants diagnosed with allergy to cow's milk protein (CMP) recommend substitution of the cow's milk formula by extensively hydrolyzed formulas based on CMP, modified soy protein formulas and, in certain cases, amino acid-based formulas [7]. It is hypothesized that removing antigens such as bovine serum albumin (BSA), caseins, α -lactalbumin (α-La), and ß-lactoglobulin (ß-Lg) from cow's milk is the best way to reduce antigenicity. The enzymatic degradation of whey protein is widely utilized in the food industry as a way to reduce milk protein antigenicity [8]. During these last years a formula with rice proteins is marketed. It could constitute a good alternative to preparations with cow's milk proteins. However, few studies were performed to confirm their efficiency [9]. In the first step of our work, an approach on the biochemical characterization of hydrolyzed rice proteins (Modilac Expert rice®) was done. After performing the protein dosage of the hydrolyzed rice protein formula, we have obtained results that coincide to those mentioned on the labeling by the industry. This content in proteins is close to the protein concentration of the maternal milk included between (12 – 14) g/l and is sharply lower than that of the other mammals [10]. This concentration is adapted to the nutritional needs of infant. The content in proteins of the cow's milk confirms the previous results [11]. The electrophoresis on polyacrylamide gel was realized to identify various proteins which compose the preparation with hydrolyzed rice proteins (Modilac Expert rice ®).
The electrophoretic profile of cow's milk reveals different protein bands (Casein, BSA, ß-Lg, α-La), while no band is detected in the electrophoretic profile of the rice protein preparation. Our results confirm the literature and show that the rice formula does not contain any complete proteins in order to reduce the antigenic and allergenic potential of the formula. Changes in allergenic activity during food processing are attributable to inactivation or destruction of epitope structures, new epitopes formation, or improved access of previously hidden epitopes. The allergenic potency of food could be altered by several food manufacturing processes, such as mechanical, purification, thermal, biochemical, and chemical processes [12]. In the second step, the antigenicity of infantile formula (Modilac Expert Rice®) was measured. For this study, we have used IgG antibodies directed against the α-La protein obtained by using the parenteral way of sensitization of Balb/c mice. Our results clearly show the development of hypersensitivity against the antigen administered (α-La). These results are similar to those obtained in work of Frossard et al. [13] where anaphylactic mice immunized with α-La exhibit a sharp increase in antibody titers IgG1 anti α-La and an increase in production of IL4.
The antigenicity encompasses both the ability to be recognized and bind to specific antibodies predominantly of the IgG class [14]. This is why the measure of the antigenicy of the hydrolyzed rice formula is studied using the antibody anti α-La IgG. Our results show that there was a very low reactivity of hydrolyzed rice formula with the anti α-La IgG. The findings in the study of Giorgio et al. [15] suggest that this new formula based on hydrolyzed rice proteins has a very low sensitizing capability. Hydrolyzed rice formula has proven to be safe when tested by double-blind, placebo-controlled food challenge in a study population of 18 children allergic both to cow's milk (CM) and soy protein [16]. This formula is a good alternative not only for children with multiple allergies but also for children allergic to cow's milk [17].
CONCLUSION
Infantile rice formula is a completely vegetable formula. It has no similar proteins as the major allergenic proteins found in cow's milk that cause cow's milk allergy. The proteins in the rice formula are designed and implemented in order to avoid the epitope similarity with the cow's milk and to reduce the antigenic and allergenic potential.
CONFLICTS OF INTEREST
There were no conflicts of interest in the accomplishment of this research.
REFERENCES