
Plant Biochemistry and Molecular Biology Laboratory, Department of Botany, University College, Trivandrum, 695034, Kerala
Email: harimurukan@gmail.com
Received: 16 May 2017 Revised and Accepted: 02 Nov 2017
ABSTRACT
Objective: To validate the hepatoprotective and antioxidant activity of purified anthocyanin extracted from the cell suspension culture of Clerodendron infortunatum Linn.
Methods: A protocol has been developed for the induction of callus proliferation from leaf and nodal explants of C. infortunatum. The explants were inoculated on murashige and skoog (MS) medium supplemented with diverse combinations of 2, 4-dichlorophenoxyacetic acid (2,4-D) and benzylaminopurine (BAP) for triggering callus formation. Subsequently, the green compact callus has been sub-cultured in the medium fortified with 2,4-dichlorophenoxyacetic acid (2,4-D)and Kinetin for anthocyanin synthesis. Cell suspension culture was also established and the elicitor, salicylic acid was used for triggering anthocyanin synthesis. Three different chromatographic columns (solid phase extraction by Sepharose C18 column, Oasis-MCX and Amberlite XAD 7+Sephadex LH 120 sorbents) were employed to purify the in vitro synthesized anthocyanin from cell suspension cultures. For purity evaluation, high-performance liquid chromatography (HPLC) and molar absorptivity assay was used. Further, hepatoprotective and antioxidant activity was evaluated comparing with silymarine, as standard in rats. In vitro antioxidant scavenging activity was analysed by 2 2-diphenyl-1-picrylhydrazyl (DPPH), ferric reducing antioxidant power (FRAP) and oxygen radical absorbance capacity (ORAC) assay.
Results: After 1 mo, the leaf explants yielded remarkable green compactcallus on murashige and skoog (MS) medium containing 2.0 mg/l benzylaminopurine (BAP) and 0.5 mg/l 2,4-dichlorophenoxyacetic acid (2,4-D). Salicylic acid enhanced anthocyanin synthesis. The mean purity values obtained by high-performance liquid chromatography (HPLC) were 90.9%±1.9 and 80.60%±2.3 for Oasis MCX, Amberlite XAD-7+Sephadex LH-20 column respectively. However, the purity calculated by molar absorptivity was found to be less. The highest purity achieved using molar absorptivity analysis was with MCX cartidges i.e., 85.9±3.8%. High-performance liquid chromatography (HPLC) yielded 12 anthocyanin fractions. Remarkable antioxidant scavenging activity was noticed as revealed by 2 2-diphenyl-1-picrylhydrazyl (DPPH), ferric reducing antioxidant power (FRAP) and oxygen radical absorbance capacity (ORAC) assay. The hepatoprotective activity (25, 50, 100 mg/100g b. w) was compared with silymarine (25 mg/kg b. w) against carbon tetrachloride (CCl4) induced toxicity. Anthocyanin extract improved the aspartate aminotransferase (AST), alanine aminotransferase (ALT) and recovered the activity of kidney function by decreasing the urea and creatinine content. In addition, the administration of anthocyanin significantly inhibited the oxidative stress via its scavenging of the reactive oxygen species formed by carbon tetrachloride (CCl4) stress. Further, a decrease in the malondialdehyde (MDA), hydrogen peroxide (H2O2), nitric oxide (NO) accumulation and an increase of glutathione (GSH) content were noticed. Similarly, improved lipid profiles, low-density lipoprotein (LDL) and high-density lipoprotein (HDL) levels were also observed suggesting that anthocyanin significantly suppress the toxicity via its activation of antioxidant enzymes [glutathione transferase (GST), catalase (CAT) and superoxide dismutase (SOD)].
Conclusion: The overall results showed that the purified anthocyanin of C. infortunatum function as an antioxidant and thereby hepatoprotective protection against carbon tetrachloride (CCl4) induced toxicity in animal models.
Keywords: Clerodendron, high-performance liquid chromatography (HPLC), murashige and skoog (MS)medium, hormones, anthocyanin, column chromatography, hepatoprotective, antioxidant, scavenging activity, oxidative stress and carbon tetrachloride (CCl4)
© 2017 The Authors. Published by Innovare Academic Sciences Pvt Ltd. This is an open-access article under the CC BY license (http://creativecommons.org/licenses/by/4.0/)
DOI: http://dx.doi.org/10.22159/ijpps.2017v9i12.20042
Oxidative stress is one of the leading factors in triggering aging and immunosuppression, which in turn leads to chronic and degenerative disorders like atherosclerosis, ischemic heart diseases, diabetes mellitus, cancer, neurodegenerative diseases and others [1]. Plant-based phytochemicals can safeguard cells from free radicals or reactive oxygen species (ROSs) and mitigate many chronic disorders as well as inhibit the lipid peroxidative fouling in foods [2]. Many reports suggest the potential of phytochemicals as antioxidants against scavenging free radicals. Polyphenols such as flavonoids, anthocyanins and phenolic acids are proven compounds in inducing self-defence against reactive oxygen species (ROSs) [3-5]. Many studies have been showed the positive correlation between the phenolic content and antioxidant potential in terms of various antioxidant assays. Hepatic cells are involved in diverse metabolic functions. In spite of remarkable developments in modern therapy, the hepatic disease still remains a global health issue. Therefore, to design a liver protective compound is of immense importance to safeguard it from damages. The medicinal plant research constantly revealed that hepato-protective effects associated with plant-based compounds via the antioxidant properties [7-8].
Clerodendrum species have been ethnically used over decades for multipurpose curing ailments such as antioxidant, hepatoprotective, antimicrobial etc. Clerodendrum infortunatum Linn. (Verbenaceae) is a terrestrial shrub showing wide distribution. Different parts of the species were used by tribes in colic disorders, scorpion sting, snake bite, tumors and certain skin disorders [9]. The leaves were marginally bitter used as curative against inflammation, skin disorders and smallpox [10-11]. Similarly, the various plant parts were also documented in Indian folk medicine to cure bronchitis, asthma, fever, blood-borne diseases, inflammation, burning sensation and epilepsy. Further, Ayurveda, Unani and Homeopathy use the plant along with other medicinal plants for treating diarrhoea, skin diseases, venereal and scrofulous complaints, wounds, post-natal issues, as vermifuge, laxative, cholagogue, for the removal of ascarids in the anus, as external applications on tumours, etc. Fresh root was also chewed with betel leaf to cure abdominal pain. Fresh dried powdered seed was used as an antidote for poison. Ethnic women use the seeds for making ornamentals. In this scenario, Clerodendrum infortunatum needs thorough validation for its specific biological activities.
Plant material
The healthy fresh leaves and nodes of C. infortunatum were collected from the garden of Department of Botany, University College, Thiruvananthapuram, Kerala.
Chemicals
Amberlite XAD-7, 2,2-diphenyl-1-picrylhydrazyl-hydrate free radical assay (DPPH), 2,2'-azino-bis-3-ethyl-benzothiazoline-6-sulphonic acid assay (ABTS) 2,4-dichlorophenoxy acetic acid (2,4-D), naphthalene acetic acid (NAA), Kinetin and 6-benzyl-aminopurine (BAP) were obtained from Sigma-Aldrich, Banglore, India. Butylated-hydroxytoluene (BHT) and murashige and Skoog (MS) media were procured from Hi-media, Mumbai, India. All other reagents and solvents are of analytical grade.
In vitro culture
Fresh excised leaves and nodes of C. infortunatum were used as explants for murashige and skoog (MS) medium culturing [12]. The explants were thoroughly surface sterilized and disinfected with 5% teepol (v/v) for 20 min followed by 0.01-0.2 % mercuric chloride treatments for 1-5 min. Subsequently, the explants were rinsed with sterilized water for thrice. The sterilized explants were then dissected out into an appropriate size and inoculated on MS medium containing by 3% sucrose in 0.6% agar for solidification. pH was maintained to 5.8, prior to autoclaving at pressure 121 ° C for 20 min. The cultures were incubated at 25 °C with a photoperiod of 12 h.
The sterilized explants were inoculated in murashige and skoog (MS) medium supplemented with different concentrations and combinations of (i) 2,4-dichloro-phenoxyacetic acid (2,4-D)+ Benzylaminopurine (BAP) (0.5-3.0 mg/l) (ii) Benzylaminopurine (BAP)+naphthalene acetic acid (NAA)(0.5-3.0 mg/l) for induction of callus. Callus obtained were subcultured in fresh murashige and skoog medium with different concentrations of 2,4-dichloro-phenoxyacetic acid (2,4-D)and kinetin (0.5-3.0 mg/l) to produce pigmented callus.
Cell suspension cultures were derived from friable callus in Erlenmeyer flasks containing 100 ml of liquid MS medium containing different doses of 2,4-dichlorophenoxyacetic acid (2,4-D)+Kinetin (0.5 to 3 mg/l) in triplicates. The cell suspensions were maintained at 110 rpm on a rotary shaker at 25±1 °C, 3000 lux and 16/8 h photoperiod. Cultures were maintained for 30 d and their growth was recorded by weight loss using dissimilation method.
Further, the analysis was continued from 10th to 25th d using elicitors such as salicylic acid, ethephon and precursors like phenylalanine and shikimic acid into the suspension cultures. Chemicals were sterilized through 0.22 µm millipore filters and added at the time of inoculation to make the concentration of 50 µl/25 ml suspension culture. The cultures were maintained at 25±1 °C under the continuous white fluorescent light on a rotary shaker.
Estimation of anthocyanin content
1 g in vitro pigmented cell mass was used for extraction and estimation of anthocyanin. The OD was read at 510 and 700 nm against a blank (distilled water) [13].
Purification
Crude anthocyanin extract was subjected to purification using three different columns and was further subjected to fractionation using HPLC-PDA.
(a) Sepharose Pack solid-phase extraction (SPE. C18) [14-15]
(b) Oasis-MCX SPE is a mixed mode between cation exchange and reversed-phase interactions. (c) Amberlite XAD-7 and Sephadex LH-20 SPE-purification were carried through 2 different cartridges. Initial purification was done with Amberlite XAD 7, and the resulted purified fraction was further loaded into Sephadex LH 20 cartridge in order to separate anthocyanins from proanthocyanidins.
High-performance liquid chromatography-photodiode array detection (HPLC-PDA) and Mass spectroscopy (MS) analysis was performed using Shimadzu HPLC-Photodiode array (PDA) system equipped with a SPD-M20A PDA detector and also Shimadzu LCMS-2010 EV liquid chromatograph. The mobile phase was solvent A: 4.5% formic acid in liquid chromatography-mass spectroscopy (LC/MS) grade water, and B: 0.1% formic acid in liquid chromatography-mass spectroscopy (LC/MS) grade acetonitrile.
Antioxidant activity (AOX)–2 2-diphenyl-1-picrylhydrazyl (DPPH), Ferric reducing antioxidant power (FRAP) and Oxygen radical absorbance capacity (ORAC) assay
2 2-diphenyl-1-picrylhydrazyl (DPPH) radical scavenging activity has been evaluated according to Burits and Bucar method, [16] and was measured at 515 nm. Silymarine (25-50 μg/ml) was used as the reference compound. The ferric reducing antioxidant power (FRAP) assay was done using the method described by Benzie and Strain, [17]. The oxygen radical absorbance capacity (ORAC) assay was conducted according to the method of Re etal. on a 96-well microplate using a fluorescence plate reader [18]. The reaction consisted of 12 μl of anthocyanin extracts and 138 μl of fluorescein (14 μM), which was used as a target for free radical attack. The reaction was initiated by the addition of 50 μl AAPH (768 μM) and the fluorescence was (emission 538 nm, excitation 485 nm) recorded every 1 min for 2 h. Ascorbate and α-tocopherol were used as the standard and results were expressed as μmol/g sample.
Animal studies
Experimental design
Studies were carried out by using Sprague Dawley albino weighing 150-200 g were purchased from Mahaveera agencies, Hyderabad. The Sprague Dawley albino healthy rats of either sex were used in the present work. The 100–180 g weighed rats were kept in an air conditioned animal room for two w before the analysis. Animals were housed under standard conditions (25±2 °C, 60-70% relative humidity and 14 h light and 10 h dark). The animals were fed on basal diet (M/s Venkateshwara Feeds, Bengaluru) [19]. Ethical approval was obtained from the institutional Ethical Committee for Teaching and Research (Reg. No. PRC/Expt.10 (1)/2015-16 dated 04.07.15, Form no. 25/03/03-AWD, GOI).
After adaptation, 36 of those rats were divided into 6 groups each group contained 6 rats as:
A. Negative control: Fed on the basal diet.
B. Positive control: Fed on the basal diet and injected by 10% carbon tetrachloride (CCl4).
C. Fed on the basal diet+injected by 10% carbon tetrachloride (CCl4) and treated orally with silymarin (0.2 g/kg b. w).
D. Fed on the basal diet+injected by 10% carbon tetrachloride (CCl4) and treated orally with 100 mg/100g b. w anthocyanin.
E. Fed on the basal diet+injected by 10% carbon tetrachloride (CCl4) and treated orally with 200 mg/100g b. w anthocyanin.
F. Fed on the basal diet+injected by 10% carbon tetrachloride (CCl4) and treated orally with 300 mg/100g b. w anthocyanin.
At the end of the experiment, all the animals were subjected to over-night fasting before being scarified by decapitation.
Biochemical analysis
At the end of the experiment, blood samples were drawn from the retro-orbital venous plexus of the rats in glass tubes. Within a span of 20 min of blood collection, the sera were drawn after centrifugation at 3500 rpm for 10 min at 4 °C. The sera were kept at −20 °C until for biochemical analysis. Portions of liver from all animals in each group were homogenized in 50 mmol Tris–HCl buffer (pH 7.4) containing 1.15 % potassium chloride (KCl). The homogenates were centrifuged at 10,000 g for 15 min at 4 °C. The collected supernatants were used for all other analysis.
Body and relative liver weights
Body weight changes of rats were recorded weekly. At the end of treatments, the rats were sacrificed by cervical dislocation. Liver removed, cleaned, weighed quickly and used for biochemical and histological studies. Then, relative weight of liver was also recorded.
Biochemical measurements
The biochemical features like aminotransferase (AST), alanine aminotransferase (ALT), low density lipoprotein (LDL), catalase (CAT) and superoxide dismutase (SOD), glutathione transferase (GST), malondialdehyde (MDA), and glutathione (GSH) were analyzed using standard kits as per the instructions of manufacturer using UV-Vis spectrophotometer. Urea and creatinine were quantified as per the method of Fawcett and Scott, and Schirmeister et al. respectively [20-21]. Reduced glutathione and Glutathione-s-transferase (GST) was assayed according to the colourimetric protocol of Beutler et al. and Habig et al. [22-23]. Wieland and Seidel protocol was employed to analyze high-density lipoprotein (HDL) and low-density lipoprotein (LDL)–cholesterol [24]. Hydrogen peroxide (H2O2) by Ortega et al. and Lipid peroxide assay (LPX) as per the protocol of Satoh [25-26]. Superoxide dismutase activity by Nishikimi et al. and nitric oxide was quantified according to a colourimetric method of Montgomery and Dymock [27-28].
Histological analysis
Appropriate sized liver samples from each experimental group were dissected and fixed in 10 % neutral formalin, dehydrated in ascending grades of alcohol and imgded in paraffin wax. 5 μm thick paraffin sections were stained using haematoxylin and eosin (H and E). Two slides were prepared for each mice; each slide content two sections. Ten field areas for each section were selected and analyzed for histopathological features (x160) under a light microscope. The liver fields were scored as follows: normal appearance (−), minimal cellular disruption in less than 1 % of field area (+), mild cellular disruption of 1-30 % of field area (++), moderate cellular disruption of 31-60 % of field area (+++), severe cell disruption of 61-90 % of field area (++++) and very severe cellular disruption of 91-100 % of field area (++++) [29].
Statistical analysis
The results were expressed as means ± SD All data were done with the Statistical Package for Social Sciences (SPSS 17.0 for windows). The results were analyzed using one-way analysis of variance (ANOVA). P ≤ 0.05 was considered as statistically significant.
Sterilization using 0.1% mercuric chloride (HgCl2) for 2 min was effective to establish explants with least contamination and showed 95% establishment on the medium. The leaf and nodal explants inoculated on murashige and skoog (MS) medium fortified with various combinations of 2,4-dichlorophenoxyacetic acid (2,4-D)and benzylaminopurine (BAP) for the induction of callus. After 30 d, green compact calli (fig. 1 a,b,c,) were proliferated remarkably from leaf explants than node (fig. 2a and b).
Callogenesis revealed that the percentage of calli increased in on murashige and skoog (MS media combinations of benzylaminopurine (BAP)+2,4-dichloro-phenoxyacetic acid (2,4-D)(0.5–3 mg/l) when compared to benzylaminopurine (BAP)+ naphthalene acetic acid (NAA) (0.5–2 mg/l) (table 1). The on murashige and skoog (MS medium supplemented with 2 mg/l benzylaminopurine (BAP)+0.5 mg/l 2,4-dichlorophenoxyacetic acid (2,4-D)yielded 2. 7±0.45 g callus fresh weight compared with other combinations. Medium fortified with benzylaminopurine (BAP) significantly improved the callus fresh weight indicating its role for callus induction in C. infortunatum comparing to 2,4-dichlorophenoxyacetic acid (2,4-D)and naphthalene acetic acid (NAA). The resulted callus was sub-cultured to trigger anthocyanin synthesis.
Table 1: Effects of phytohormoes on the induction of callus in the nodal and leaf explants of C. infortunatum culture on MS medium
| Hormonal supplements (mg/l) | Percentage of callus (FW) (M±SD) | |
| Leaf | Nodal | |
| BAP+2,4 D (0.5-2.5 mg/l) | ||
| 0.5+0.5 | 0.17±0.12 | 0.11±0.03 |
| 0.5+1.0 | 1.09±0.17 | 0.78±0.20 |
| 1.0+0.5 | 1.12±0.28 | 0.91±0.17 |
| 1.5+0.5 | 1.14±0.39 | 1.03±0.06 |
| 2.0+0.5 | 2. 7±0.45 | 1.4±0.25 |
| 2.5+0.5 | 2.0±0.66 | 1.7±0.23 |
| 3.0+0.5 | 1.7±0.11 | 1.52±0.09 |
| BAP+NAA (0.5-2.0 mg/l) | ||
| 0.5+0.5 | 0.19±0.64 | 0.09±0.01 |
| 0.5+1.0 | 0.31±0.64 | 0.15±0.04 |
| 1.0+0.5 | 0.71±0.64 | 0.29±0.08 |
| 1.5+0.5 | 1.28±0.64 | 0.72±0.03 |
| 2.0+0.5 | 1.1±0.64 | 0.81±0.05 |
All the values are mean (n=10 replicates)±SD. P<0.05 (significance at 5% level)

Fig. 1: a, b and c, Callus proliferation from leaf explants in MS medium of C. infortunatum

Fig. 2: a and b Callus proliferation from nodal explants in MS medium of C. infortunatum
Further, sub-culturing of callus was attempted on onmurashige and skoog (MS) medium fortified with 2,4-dichlorophenoxyacetic acid (2,4-D)+kinetin at different doses. Luxuriant pigmented callus was yielded on murashige and skoog (MS) medium supplemented with 1 mg/l 2,4-dichlorophenoxyacetic acid (2,4-D)+2 mg/l kinetin after 2 mo of subculture (table 2).
Higher concentrations of 2,4-dichlorophenoxyacetic acid (2,4-D)and kinetin decreased callogenic potentiality of the explants and which in turn the pigmentation (fig. 3). Light is a factor regulating the green callus initiation with the protocorm-like body at 25 °C and 12 h photoperiod with an irradiance of 60±2 μmol/m2/sec.
Table 2: Role of phytohormoes on anthocyanin induction in the callus from leaf explants of C. infortunatum culture on MS medium
| Hormonal supplements (mg/l) | Percentage of pigmented callus (FW) (M±SD) |
| 2,4 D+Kin (0.5-2.5 mg/l) | |
| 0.5+0.5 | 0.17±0.12 |
| 0.5+1.0 | 1.09±0.17 |
| 1.0+1.5 | 1.02±0.28 |
| 1.5+1.5 | 0.94±0.39 |
| 1.0+1.5 | 1. 7±0.45 |
| 1.0+2.0 | 2.68±0.66 |
| 1.0+2.5 | 1.52±0.11 |
All the values are mean (n=10 replicates)±SD. P<0.05 (significance at 5% level).

Fig. 3: Pigment callus formation in murashige and skoog (MS) medium fortified with 2,4-D (1 mg/l) and kinetin (2 mg/l) of C. infortunatum
Batch suspension cultures were initiated with 2 g of friable callus at temperature 25±1 °C having 16/8 photoperiod at 110 rpm in liquid murashige and skoog (MS)medium supplemented with the same combinations of the growth regulators that of callus culture. Interstingly, transparent, homogeneous and nonchlorophyllous cultures (coloured) resulted and which were further used to analyze cell biomass and anthocyanin content. The cultures yielded typical sigmoid growth curves i.e., it includes lag, exponential, linear, stationary and progressive decline phases. The growth rates of cells were initially low (lag phase) but as the cultures proceeded, the growth increased and accumulated higher fresh weight over a period of 20-25 d. Subsequently, the growth of cells became stable and started declining from 25th d. Maximum growth was achieved in suspension culture supplemented with Kinetin (2.5 mg/l)+2,4-dichlorophenoxyacetic acid (2,4-D) (0.5 mg/l) combinations (table 3).
Table 3: Effect of different concentrations of 2, 4-D+Kin over duration in terms of cell biomass (g)
Hormonal combinations 2,4-D+Kin (mg/l) |
5th day | 10th day | 15th day | 20th day | 25th day | 30th day |
| 0.5+0.5 | 0.4±0.01 | 0.8±0.04 | 1.3±0.05 | 2.1±0.05 | 2.0±0.02 | 1.6±0.09 |
| 0.5+1.0 | 0.7±0.05 | 0.94±0.02 | 1.6±0.03 | 2.7±0.04 | 2.6±0.02 | 2.0±0.2 |
| 0.5+1.5 | 0.8±0.03 | 1.0±0.01 | 1.9±0.01 | 2.8±0.03 | 2.8±0.03 | 2.1±0.15 |
| 0.5+2.0 | 0.85±0.01 | 1.2±0.03 | 2.1±0.04 | 3.0±0.02 | 3.0±0.01 | 2.5±0.09 |
| 0.5+2.5 | 0.9±0.02 | 1.34±0.04 | 2.7±0.03 | 3.86±0.01 | 3.8±0.02 | 3.1±0.07 |
| 0.5+3.0 | 0.7±0.04 | 1.1±0.01 | 2.5±0.01 | 3.0±0.07 | 3.1±0.01 | 2.6±0.03 |
All the values are mean (n=10 replicates)±SD. P<0.05 (significance at 5% level)
Effect of elicitors and precursors
Elicitation by salicylic acid increased the fresh cell weight (FCW) marginally up to 15th d and subsequently declined from 25th d (9.8±0.41 g). The maximum fresh cell weight (FCW) was noticed at 20th d (10.4±0.74 g). Meanwhile, the anthocyanin content increased and attained a maximum at 25th d (4.5±0.08 mg/g). There is a negative correlation was seen between anthocyanin synthesis and cell growth. Similarly, the ethephon on the fresh cell weight is lower than that of the control but, marginally increased from day by day. The anthocyanin concentration increased and reached to the maximum level on 25th day but lower than that of salicylic acid (SA) elicitation (3.4±0.26 mg/g). Further, phenylalanine and shikimic acid showed no positive impacton the fresh cell weight (FCW). The anthocyanin content showed a decrease initially but increased again between 15-20 d (0.98 to 1.7 and 1-1.9 mg/g respectively).
Anthocyanin content
The anthocyanin was quantified from the in vitro elicited pigmented calli which displayed a range from 1.7 to 4.5 mg/g monomeric anthocyanin i.e., approximately 5 fold increase than from the in vivo leaves (0.89 mg/g). The pinkish embryonic viable cells were confirmed using acetocarmine staining method indicate the active nature of cells. Subsequently, the anthocyanin extracted from the callus was subjected to thin layer chromatography (TLC) resulted yellow, dark violet and green-yellow colours with Rf values 0.77, 0.65 and 0.511 respectively.
Based on the Rf values anthocyanin were predicted as cyanidin, delphinidin and malvidin based compounds. As the last phase, the crude anthocyanin extract was subjected to purification with 3 different columns and further fractionated by high-performance liquid chromatography-photodiode array detection (HPLC-PDA) analysis.
Purity evaluation
Among the different sorbents employed for anthocyanin purification, the highest purity was found to be with Oasis MCX (90.9%±1.9) followed by C18 cartridges (87.6%±1.7), while the lowest value was obtained for Amberlite XAD-7 and Sephadex LH-20 (80.6%±2.3). Molar absorptivity purity analysis was found to be with Oasis MCX (85.9%±3.8). C18 cartridges and Amberlite XAD-7 and Sephadex LH-20 yielded 68.3±5.27, 59.8±3.68 respectively. The purity data values calculated with this method was lower than that analyzed by HPLC.
Identification and quantification of anthocyanins
The high-performance liquid chromatography (HPLC) chromatogram of purified fractionated anthocyanin comprises 12 peaks (fig. 4). Based on comparison with the literature of the elution order reported for anthocyanin, the derivatives were identified.
The fragmentation of delphinidin derivatives in MS2 yielded the formation of delphinidinaglycone (m/z = 302 [M+H]+), after the characteristic release an 160 indicating the galactoside or glucoside in case of compounds 1 and 2, respectively and the release of 131 indicating the arabinoside unit in case of compound 4. Using a similar procedure, the identification of all other compounds was presented in the table 6. Peaks were identified as 1-Delphinidin-3-O-galactoside, 2-Delphinidin-3-O-glucoside, 3-Cyanidin-3-O-galactoside, 4-Delphinidin-3-O-arabinoside, 5-Cyanidin-3-O-glucoside, 6-Petunidin-3-O-galactoside, 7-Cyanidin-3-O-arabinoside, 8-Paeonidin-3-O-galactoside, 9-Petunidin-3-O-arabinoside, 10-Malvidin-3-O-galactoside, 11-Malvidin-3-O-glucoside, 12-Malvidin-3-O-arabinoside.

Fig. 4: HPLC-PDA chromatogram of purified anthocyanin of C. infortunatum Linn
Antioxidant potential
Anthocyanin showed a concentration-dependent (50, 100, 150, 200 and 250 µg/ml) 2 2-diphenyl-1-picrylhydrazyl (DPPH)free radical scavenging activity (24.6, 72.3, 80, 87.5 and 93.63% respectively) comparable to that of ascorbate (50 µg/ml) and tocopherol (100 µg/ml) i.e., 87.5 and 90.3% respectively i.e., purified anthocyanin of C. infortunatums howed effective 2 2-diphenyl-1-picrylhydrazyl (DPPH) radical scavenging potential and this may be due to its electron donating potential(table 4). The results are in agreement with Prakash et al. [30] who confirmed that medicinal plants would exert several beneficial effects by virtue of their antioxidant activity and could be harnessed for drug formulation.
The ability of anthocyanin to reduce ferric ions was analyzed by ferric reducing antioxidant power (FRAP) assay. This assay is effective with low molecular weight antioxidants of hydrophilic and/or hydrophobic nature. The action of electron donating antioxidants causes a change in the absorbance at 593 nm due to the formation of blue colored Fe+2 tripyridyltriazine (TPTZ) compound from the colorless oxidized Fe+3 form. The purified anthocyanin showed highferric reducing antioxidant power (FRAP) (μmol AAE/g sample) scavenging activity i.e., 225±5.6𝜇mol AAE/g with 250µg/ml (table 4) and was comparable with ascorbate and tocopherol.
The oxygen radical absorbance capacity (ORAC) assay measures antioxidant inhibition of peroxyl-radical-induced oxidation and the radical chain-breaking antioxidant activity via H-atom transfer. The oxygen radical absorbance capacity (ORAC) assay uses 2,2′-azobis(2-amidinopropane) dihydrochloride (AAPH) for free radical generation. 2,2′-azobis(2-amidinopropane) dihydrochloride (AAPH) is a water-soluble compound and has been widely used as a free radical initiator for biological studies in terms of haemolysis involving membrane damage. Assay value of oxygen radical absorbance capacity (ORAC) was 206.6±3.4 μmol TE/g sample at 100 µg/ml anthocyanin and thus, reflects its potency to protect cells from oxidative damage (table 4).
Table 4: Analysis of antioxidant activity of anthocyanin by DPPH, FRAP and ORAC assay
| Anthocyanin (µg/ml) | DPPH (%) | FRAP(μmol AAE/g sample) | ORAC assay (μmol TE/g sample) |
| 50 | 24.6±3.2 | 72.4±3.85 | 98.5±1.4 |
| 100 | 72.3±1.4 | 109.4±1.4 | 206.6±3.4 |
| 150 | 80±6.5 | 125±9.6 | 267±3.78 |
| 200 | 87.5±7.2 | 157±4.4 | 302±0.92 |
| 250 | 93.63±1.6 | 225±5.6 | 344±7.6 |
| Ascorbate (50) | 87.5±2.5 | 130.5±2.5 | 181±4.9 |
| α-tocopherol (100) | 90.3±3.3 | 100±6.9 | 228±12.5 |
All the values are mean (n=10 replicates)±SD. P<0.05 (significance at 5% level)
Animal studies
Initially, the loss of body weight (25.5±1.3 g) was noticed with carbon tetrachloride (CCl4)treated rat groups compared to the group fed with basal diet only (32±0.45 g) and was statistically significant at 5% level (p<0.05). Interestingly, administration of purified anthocyanin at 300 mg/kg b. wt. of carbon tetrachloride (CCl4) treated group restored body weight to a normal level (33±0.1 g). Similarly, a remarkable decrease in relative liver weight was seen in carbon tetrachloride (CCl4) treated rats compared to control group (3.81 % g vs. 5.2 % g). Application of anthocyanin at 200 and 300 mg/kg b. wt. with carbon tetrachloride (CCl4) groups modulated relative live weight to the normal value (4.9 %, 4.99 % vs. 5 %).
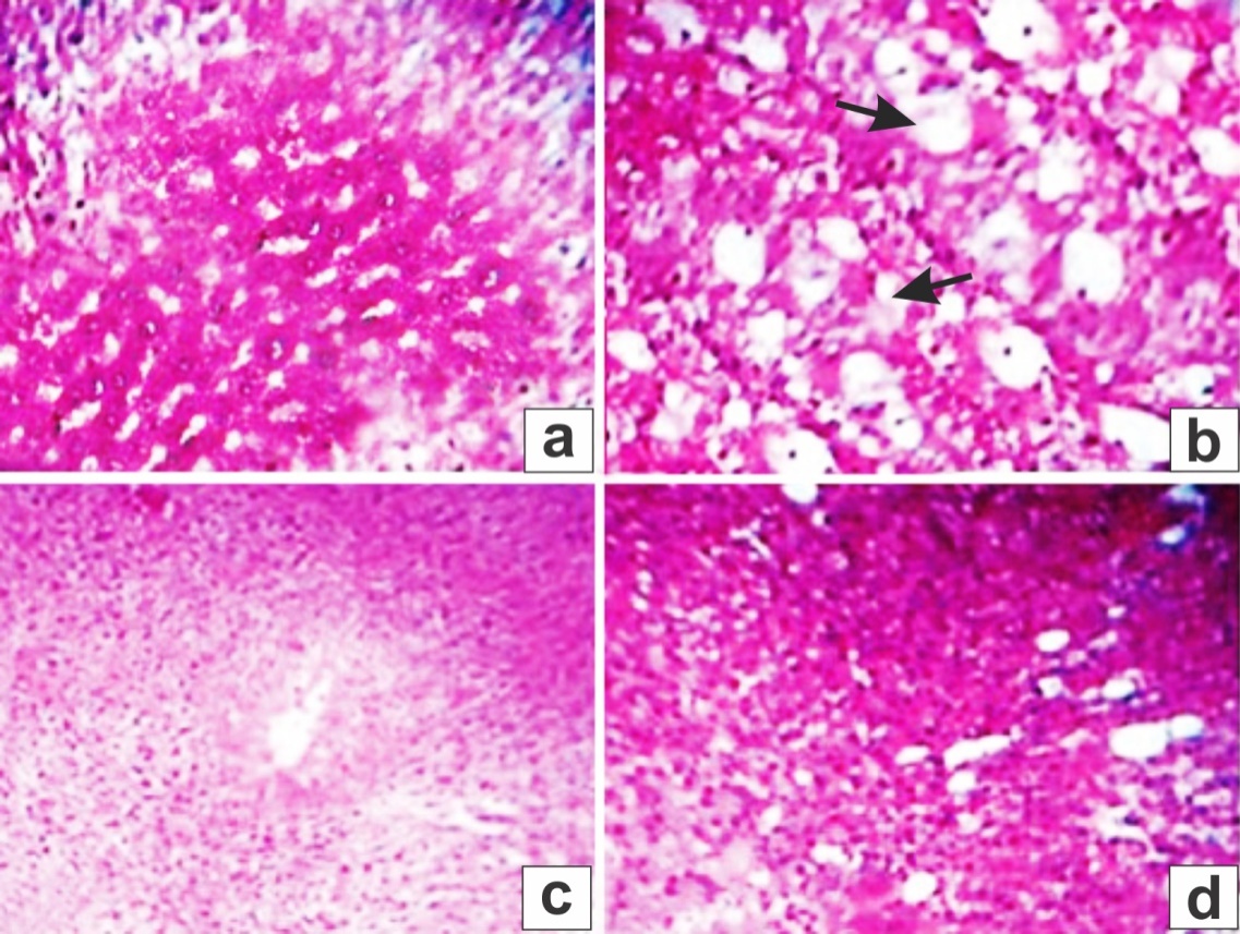
Histopathological analysis of the liver tissue and the semi-quantitative histological scoring of liver damage reveals the recovery of liver damage from carbon tetrachloride (CCl4) treated rats by anthocyanin extract. Liver sections of control showed healthy hepatic cytoarchitecture like radiation of hepatocytes from central vein to the periphery of the lobules (fig. 5A). For instance, histology of liver section of a control animal (fig. 5A) exhibited normal hepatic cells, each with clearly defined cytoplasm, prominent nucleus and nucleolus with the well revealed central vein. Meanwhile, liver lobules of carbon tetrachloride (CCl4) treated group animal showed complete loss of hepatic architecture with centrilobular hepatic necrosis fatty changes, vacuolization and sinusoid congestion (fig. 5B). Centrilobular necrosis, hepatocytes ballooning and infiltration of inflammatory cells (such as macrophages and lymphocytes) into the portal tract and sinusoid in the necrotic lesion were also noticed. Diffused areas of hepatitis, especially in the perivenular region which extend to the central zone.
Treatment with anthocyanin of C. infortunatum and silymarin showed the remarkable activity of protecting the liver cells against carbon tetrachloride (CCl4) injury including regeneration. The absence of cellular necrosis and inflammatory infiltrates were seen in the anthocyanin treated animals. The severity of degenerative changes in tubules was lower than in carbon tetrachloride (CCl4) treated group (fig. 5C, D). The results were quite comparable to the control (table 5).

Fig. 5: Hepatoprotective action of purified anthocyanin against CCl4 induced hepatotoxicity: liver histopathology; (a) Normal control; (b) CCl4 treated rats; (c) Standard silymarin+CCl4; (d) anthocyanin (200 mg/kg)+CCl4
Table 5: Histopathological reaction in liver tissue of different treated groups, Con: control; Ac: anthocyanin 200 and 300 mg/kg b. wt.++++Very sever; +++Sever; ++moderate; +mild; -nil. n=10 replicates
| Histopathological features | Con | Ac200 mg/kg b. w |
Ac 300 mg/kg b. w | CCl4 | CCl4+Ac 200 mg/kg b. w | CCl4+Ac 300 mg/kg b. w | CCl4+Silymarin 0.2g/kg b. w |
| Inflammatory cell infiltration in portal area | - | - | - | +++ | - | - | - |
| Inflammatory cell infiltration in hepatic parenchyma | - | - | - | +++ | - | - | - |
| Degeneration in hepatocytes | - | - | - | ++++ | ++ | - | - |
| Congestion in portal vein | - | - | - | ++++ | - | + | - |
| Congestion in central vein | - | - | - | +++ | + | - | - |
Liver and kidney function of rat
Administration of 200 and 300 mg/100 g b. wt. of purified anthocyanin remarkably regained the activities of aminotransferase (AST), alanine aminotransferase (ALT) and ALP enzymes almost at par with the positive control silymarin. The lowest values have been noticed (61, 51.8 and 100 U/l of aminotransferase (AST), alanine aminotransferase (ALT) and ALP respectively) with 200 mg/100g b. wt (table 6). The obtained results justify the antioxidant scavenging potentiality of anthocyanin against reactive oxygen species (ROSs) formed due as a consequence of carbon tetrachloride (CCl4) induced liver damage.
Table 6: Effect of anthocyanin extract on the activity of ALT, AST, ALP and LDH in serum and LDH in liver homogenate of rats exposed to CCl4
| LDH | |||||
| Treatments | ALT (U/l) | AST (U/l) | ALP (U/l) | Serum (U/l) | Liver (U/g tissue) |
| 176.83±6.0 | 159±1.8 | ||||
| Ac 200 | 44.5±0.37 | 53.5±0.02 | 89±0.29 | 170.7±11 | 161±0.32 |
| Ac 300 | 46.4±0.88 | 54±0.34 | 90.3±1.3 | 174±1.6 | 164±0.28 |
| CCl4 | 62±2.6 | 70.2±0.5 | 133±0.32 | 243±10.4 | 103±0.06 |
| CCl4+Ac 200 | 51.8±0.92 | 60±0.78 | 93.6±4.1 | 192±0.78 | 138±0.27 |
| CCl4+Ac 300 | 48.4±3.4 | 55.2±2.9 | 92±0.25 | 180.2±0.76 | 149±0.51 |
| Silymarine 100 | 44±0.11 | 52±0.08 | 90±0.65 | 174±0.85 | 157±1.3 |
All the values are mean (n=10 replicates)±SD. P<0.05 (significance at 5% level)
Similarly, anthocyanin and the silymarine significantly improved the functioning of kidneys. The lowest urea and creatinine contents have been seen with control i.e., 25.4 and 0.70 mg/dl respectively against positive control (carbon tetrachloride (CCl4) treated) (63 and 1.9 mg/dl of urea and creatinine respectively) (table 7). Administration of different doses of anthocyanin and silymarine recouped the values of urea and creatinine to optimal levels. The results suggest the antioxidant potential of anthocyanins against the reactive oxygen species (ROSs) or free radicals formed as a consequence of oxidative stress in the cells.
Table 7: Impacts of different concentrations of anthocyanin extract on urea and creatinine of experimental CCl4-intoxicated rats
| Treatments | Urea | Creatinine |
| mg/dl | mg/dl | |
| Negative control | 25.4±0.73 | 0. 70±0. 1 |
| Positive control (CCL4) | 63±2.5 | 1.9±0.28 |
| Silymarine (0.2g/kg b. w) | 29.6±0.31 | 0.68±0.05 |
| 100 mg/100g b. w | 28.63±4.04 | 0.70±0.15 |
| 200 mg/100g b. w | 31±0.8 | 0.71±0.23 |
| 300 mg/100g b. w | 32±0.1 | 0.69±0.00 |
| LSD 5% | 3.1 | 0.27 |
All the values are mean (10 replicates)±SD. P<0.05 (significance at 5% level)
Lipoprotein profile
Administration of different doses of anthocyanin (100, 200 and 300 mg/100g b. w) or silymarine significantly increased the level of analyze high density lipoprotein (HDL)(55 to 77 mg/dl with 100 to 300 mg/100g) and decreased the level of low density lipoprotein (LDL)(100 to 78 mg/dl with 100-300 mg/100g) against positive control (21 and 158 mg/dl with high density lipoprotein (HDL) and low density lipoprotein (LDL) respectively) (table 8). The obtained results further substantiate the antioxidant potentialities of anthocyanin and thereby maintaining the lipoprotein levels to normal.
Liver enzymes SOD, GST and CAT activities and MDA, GSH levels
100, 200 and 300 mg/100g b. w concentration of anthocyanins or silymarin remarkably induced the activities of superoxide dismutase (SOD), catalase (CAT), glutathion-S-transferase (GST) and also the level of reduced glutathione (GSH). Lipid peroxide (MDA) level was reduced remarkably. Superoxide dismutase (SOD), catalase (CAT) and glutathione-S-transferase (GST) enzymes showed an increasing order with anthocyanin concentrations i.e., 559 to 639 U/g; 48 to 69U/g and 6.5 to 7.6U/g respectively with 100 to 300 mg of anthocyanin treatment. Similarly, the level of reduced glutathione (GSH) was also increased (7.3 to 12.1 mg/g) while the lipid peroxide (MDA) content was reduced (7.4 to 3.6 nmol/g) with 100 to 300 mg of anthocyanin extract (table 9). Silymarine, the synthetic drug showed 9 mg/g and 3.5 nmol/g reduced glutathione (GSH) and lipid peroxide (MDA) respectively. The hepatoprotective activity and antioxidant potential of anthocyanin extract were investigated against CCl4 induced liver damage via its scavenging potential against the accumulation of lipid peroxide (MDA)under carbon tetrachloride (CCl4) toxicity via reactive oxygen species (ROSs), free radicals formation. This leads to oxidative stress in the cells. On the other hand carbon tetrachloride (CCl4) toxicity impair the antioxidant machinery in the cells.
Table 8: Lipoprotein profile of the experimental animals the effects of different concentrations of anthocyanin extract on HDL and LDL-cholesterol of experimental CCl4-intoxicated rats
| Treatments | HDL mg/dl | LDL mg/dl |
| Negative control | 85±4.2 | 82±0.32 |
| Positive control (CCL4) | 21.5±1.3 | 158±2.6 |
| Silymarine (0.2g/kg b. w) | 75.6±0.88 | 79±0.59 |
| 100 mg/100g b. w | 55±1.7 | 100±0.3 |
| 200 mg/100g b. w | 77.5±0.08 | 99.1±0.4 |
| 300 mg/100g b. w | 75±0.65 | 78±0.87 |
| LSD 5% | 11.5 | 12.89 |
All the values are mean (n=10 replicates)±SD. P<0.05 (significance at 5% level)
Table 9: Impact of different combinations of anthocyanin extract on the activities of SOD, CAT, GST, GSH and MDA in the CCL4 treated rats
| Treatments | SOD (U/g) | CAT (U/g) | GST (U/g) | GSH (mg/g) | MDA nmol/g |
| Negative control | 489±8.9 | 30±0.07 | 4±0.01 | 7.5±0.09 | 3.2±0.03 |
| Positive control (CCL4) | 312±4.7 | 11.5±0.09 | 2.1±0.05 | 1.9±0.07 | 21±0.06 |
| Silymarine (0.2g/kg b. w) | 624.4±12.4 | 42.6±0.23 | 6.9±0.02 | 9±0.08 | 3.5±0.01 |
| 100 mg/100g b. w | 559±0.56 | 48±0.49 | 6.5±0.04 | 7.3±0.03 | 7.4±0.1 |
| 200 mg/100g b. w | 631±4.8 | 51.9±2.7 | 7.1±0.07 | 11.2±0.2 | 5.2±0.09 |
| 300 mg/100g b. w | 639±2.8 | 69±1.4 | 7.6±0.02 | 12.1±0.03 | 3.6±0.05 |
| LSD 5% | 14.8 | 7.3 | 0.9 | 1.5 | 1.75 |
All the values are mean (n=10 replicates)±SD. P<0.05 (significance at 5% level)
Nitric oxide (NO) and Hydrogen peroxide (H2O2) level in liver
Administration 100, 200 and 300 mg/100g b. w doses of anthocyanin extract or silymarin (0.2g/kgb. wt) significantly reduced the nitric oxide (NO) and hydrogen peroxide (H2O2) levels i.e., carbon tetrachloride (CCl4)induced nitric oxide (NO) and hydrogen peroxide (H2O2) levels were 46 and 165 μM/l respectively. Administration of anthocyanin (300 mg) recalled the levels back to normal i.e., 5.6 and 21.8μM/l respectively (table 10). Thus, suggesting the scavenging potentiality of the anthocyanin against ROSs formed due to oxidative stress induced by carbon tetrachloride (CCl4) in the liver cells.
Table 10: Effect of anthocyanin on the NO and H2O2 levels in the CCL4toxicated rats
| Treatments | NO μM/l | H2O2 μM/l |
| Negative control | 5±0.092 | 20±0.89 |
| Positive control (CCL4) | 46±2.6 | 165±5.8 |
| Silymarine (0.2g/kg b. w) | 5.8±0.07 | 24±3.6 |
| 100 mg/100g b. w | 11.4±0.04 | 64±0.93 |
| 200 mg/100g b. w | 8.5±0.21 | 50±0.05 |
| 300 mg/100g b. w | 5.6±0.01 | 21.8±0.08 |
| LSD 5% | 3.3 | 8.42 |
All the values are mean (10 replicates)±SD. P<0.05 (significance at 5% level)
Valcheva-Kuzmanovaa et al. [31] reported that natural fruit juice from Aronia melanocarpa prevented carbon tetrachloride (CCl4)-induced lipid peroxidation and hepatotoxicity in mice by a dual mechanism i.e., via decreasing the metabolic activation of carbon tetrachloride (CCl4) by cytochrome P450 against free radicals as well as by scavenging free radicals. The ability of anthocyanins to scavenge free radicals has been demonstrated in other studies also [32].
GSH-dependent mechanism functions to protect the membranes against carbon tetrachloride (CCl4)-induced damage [33]. Some flavonoids such as silybin and kaempferol-3-Ogalactoside were shown to protect rats against toxic agents-induced glutathione depletion. In the present study, carbon tetrachloride (CCl4) induced a depletion of reduced glutathione (GSH) probably due to an increased conversion of reduced glutathione (GSH) to oxidized glutathione in the process of free radical scavenging. The anthocyanin effectively maintains the liver reduced glutathione (GSH) level acting as antioxidants like that of reduced glutathione (GSH).
Denev et al. [6] evaluated the bioavailability and antioxidant activity of black chokeberry polyphenols under in vitro and in vivo conditions. Mossa et al. [34] reported the antioxidant activity and hepatoprotective potential of Cedrelopsis grevei on cypermethrin induced oxidative stress and liver damage in male rats. Bhattacharjee et al. [9] reviewed the biological potential of Clerodendrum infortunatum used by the tribals. Nithianantham et al. [35] proved the hepatoprotective potential of Clitoria ternatea leaf extract against paracetamol-induced damage in mice. Aloh et al. [36] analyzed the effect of methanol extract of Gambia albidum leaves on carbon tetrachloride (CCl4)-induced hepatocellular damage and lipid profile in albino rats. Panda et al. [37] showed the antioxidant and hepatoprotective effect of Garcinia indica fruit rind in ethanol-induced hepatic damage in rodents. Asmaa et al. [38] confirmed the hepatoprotective and antioxidant activity of Zinnia elegans leaves ethanolic extract. Mandal et al. [39] viewed the hepatoprotective effect of standardized antioxidant phenolic fractions of Hibiscus mutabilis. Obouayeba et al. [40] evaluated the hepatoprotective and antioxidant activities of Hibiscus sabdariffa petal extracts in Wistar rats. Ezzatet al. [41] recently studied the metabolic profile and hepatoprotective activity of the anthocyanin-rich extract of Hibiscus sabdariffa. Dash et al. [42] evaluated the hepatoprotective and antioxidant activity of Ichnocarpus frutescens on paracetamol-induced hepatotoxicity in rats. Awad et al. [43] analyzed the antioxidant and hepatoprotective effects of Justicia spicigera ethyl acetate fraction and characterization of its anthocyanin content. Hussain et al. [44] proved the hepatoprotective effects of Malvasylvestris L. Against paracetamol-induced hepatotoxicity. Mallhi et al. [45] evaluated the hepatoprotective activity of an aqueous methanolic extract of Morusnigra against paracetamol-induced hepatotoxicity in mice. Dash et al. [46] proved anthocyanins of red radish as protective against hepatic damage induced by carbon tetrachloride in albino rats. Many studies revealed that the polyherbal formulation showed an excellent hepatoprotective profile as compared to individual plants [47]. Keerthi and Devala [48] proved the hepatoprotective effect of the formulation of Cassia auriculata nanospheres containing sylimarin.
In the present study, calli initiation and growth was optimal with leaf explants on MS medium supplemented with 0.5 mg/l 2, 4-dichlorophenoxyacetic acid (2, 4-D)+2.0 mg/l benzylaminopurine (BAP). But, the highest anthocyanin yield was obtained on MS medium fortified with 1.0 mg/l 2,4-dichlorophenoxyacetic acid (2,4-D)+2.0 mg/l Kinetin. The result showed that the calli growth and anthocyanin synthesis were inversely correlated. Cyanidin 3-O-sambubioside, delphinidin 3-O-sambubioside and malvidin 3-O-glucoside, delphinidin 3-O-glucoside, cyanidin 3-Oglucoside and petunidin 3-O-glucoside were minors. Malvidin 3-O-glucoside and petunidin 3-O-glucoside were the major anthocyanin noticed in the present study. Subsequently, the effect of purified anthocyanin of C. infortunatum was evaluated in vitro and in vivo as therapy in experimental carbon tetrachloride (CCl4)-intoxicated rats. The results revealed a significant in vitro scavenging of 2 2-diphenyl-1-picrylhydrazyl (DPPH), ferric reducing antioxidant power (FRAP) andoxygen radical absorbance capacity (ORAC) radicals. Regaining the levels of aminotransferase (AST), alanine aminotransferase (ALT), nitric oxide (NO), hydrogen peroxide (H2O2), low density lipoprotein (LDL), MDA, urea, creatinine, glutathion-S-transferase (GST), superoxide dismutase (SOD), catalase (CAT)and high density lipoprotein (HDL) in anthocyanin treated rats. The results also showed that the anthocyanin has a hepatoprotective activity against carbon tetrachloride (CCl4) induced toxicity on rats. Anthocyanin of C. infortunatum regularize carbon tetrachloride (CCl4) induced damages through hepatoprotection and thereby retard the liver injury by scavenging the ROSs and blocking the oxidative stress.
The authors thank the Kerala state Council for Science, Environment and Technology (KSCSTE), Govt. of Kerala for providing financial support through the major project and also the Dean of Konganadu Arts and Science College, Coimbatore for providing facilities to complete the animal model studies.
Corresponding author (Dr. K. Murugan) has contributed valuable guidance in completing the present work and the first author (Greeshma Murukan) did the whole work in wet lab conditions and is an expert in biophysical and bio-chemical works.
Declared none
Young IS, Woodside JV. Antioxidants in health and disease. J Clin Pathol 2001;54:176-86.
Silva AE, Lim-Fong GE, Sharp KH, Haygood MG. Bryostatins: biological context and biotechnological prospects. Curr Opin Biotech 2010;21:834-42.
Mishra A, Kumar S, Pandey AK. Scientific validation of the medicinal efficacy of Tinospora cordifolia. Sci World J 2013. http://dx.doi.org/10.1155/2013/292934
Kulling SE, Rawel HM. Chokeberry (Aronia melanocarpa)-A review on the characteristic components and potential health effects. Planta Med 2008;74:1625-34.
Jakobek L, Drenjancevic M, Jukic V, Seruga M. Phenolic acids, flavonols, anthocyanins and antiradical activity of “Nero”, “Viking”, “Galicianka” and wild chokeberries. Sci Hortic 2012;147:56–63.
Denev PN, Kratchanov CG, Ciz M, Lojek A, Kratchanova MG. Bioavailability and antioxidant activity of black chokeberry (Aronia melanocarpa) polyphenols: in vitro and in vivo evidence and possible mechanisms of action: a review. Compr Rev Food Sci Food Saf 2012;11:471-89.
Nayak SS, Jain R, Sahoo AK. Hepatoprotective activity of Glycosmis pentaphylla against paracetamol-induced hepatotoxicity in swiss albino mice. Pharm Biol 2011;49:111-7.
Bhaskar V, Balakrishnan N. Protective effects of Pergularia daemia roots against paracetamol and carbon tetrachloride (CCl4) induced hepatotoxicity in rats. Pharm Biol 2010;48:1265-72.
Bhattacharjee D, Das A, Kanti Das S, Chakraborthy GS. Clerodendrum infortunatum Linn.: a review. J Adv Pharm Health Care Res 2011;1:82-6.
Ashish JM, Khadabadi SS, Deore SL, Kubde MS. Antioxidant effect of leaves of Clerodendrum infortunatum. Int J Pharm Sci Res 2010;4:67-72.
Santanu S, Upal KM, Dilipkumar P, Silpi LM. The heptoprotective potential of methanol extract of Clerodendrum infortunatum Linn. against carbon tetrachloride (CCl4) induced hepatotoxicity in rats. Pharmacogn Mag 2009;20:394-9.
Murashige T, Skoog F. A revised medium for rapid growth and bioassays with tobacco tissue culture. Physiologia Plantarum 1962;15:473-97.
Sutharut J, Sudarat J. Total anthocyanin content and antioxidant activity of germinated colored rice. Int Food Res J 2012;19:215-21.
Rodriguez-Saona LE, Wrolstad RE. Extraction, isolation, and purification of anthocyanins. Curr Protocols Food Anal Chem 2001. Doi:10.1002/0471142913.faf0101s00
Giusti MM, Rodriguez-Saona LE, Wrolstad RE. Molar absorptivity and color characteristics of acylated and non-acylated pelargonidin-based anthocyanins. J Agric Food Chem 1999;47:4631-7.
Burits M, Bucar F. Antioxidant activity of Nigella sativa essential oil. Phytother Res 2000;14:323-8.
Benzie IFF, Strain JJ. The ferric reducing ability of plasma as a measure of antioxidant power: the ferric reducing antioxidant power (FRAP) assay. J Anal Biochem 1996;293:70-6.
Re R, Pellegrini N, Proteggente A, Pannala A, Yang M, Rice-Evans C. Antioxidant activity applying an improved 2 2'-azino-bis(3-ethylbenzothiazoline-6-sulphonic acid) (ABTS) radical cation decolorization assay. Free Radical Biol Med 1999;26:1231–7.
Lana Peter W, Pearson AG. Dietary requirement in laboratory animals and practice. Academic Press; London and New York; 1971.
Fawcett JK, Scott JE. A rapid and precise method for the determination of urea. J Clin Pathol 1960;13:156-9.
Schirmeister J, Willmann H, Kiefer H. Plasma creatinine as rough indicator of renal function. Dtsch Med Wochenschr 1964;89:1018-23.
Beutler E, Duron O, Kelly BM. Improved method for the determination of blood glutathione. J Lab Clin Med 1963;61:882-8.
Habig WH, Pabst MJ, Jakoby WB. Glutathione S-transferases. The first step in mercapturic acid. J Biol Chem 1974;249:7130-9.
Wieland H, Seidel DA. Simple specific method for precipitation of low density lipoproteins. J Lipid Res 1983;24:904-9.
Ortega E, Marcos S, Galban J. Fluorometric enzymatic auto indicating biosensor for H2O2 determination based on modified catalase. Biosensors Bioelectronics 2013;41:150-6.
Satoh K. Serum lipid peroxide in cerebrovascular disorders determined by a new colorimetric method. Clin Chim Acta 1978;90:37-43.
Nishikimi M, Rao NA, Yagi K. The occurrence of superoxide anion in the reaction of reduced phenazine methosulfate and molecular oxygen. Biochem Biophys Res Commun 1972;46:849-54.
Montgomery HAC, Dymock JE. The determination of nitrite in water. Anal J Biol Chem 1961;86:414-6.
Michael JD. The toxicologist’s pocket handbook. New York: Informa Healthcare USA, Inc; 2008. p. 44.
Prakash V, Mishra PK, Mishra M. Screening of medicinal plant extracts for antioxidant activity. J Medical Plan Res 2009;3:608-12.
Valcheva-Kuzmanovaa S, Borisovaa P, Galunskaa B, Krasnalievb I, Belcheva A. Hepatoprotective effect of the natural fruit juice from Aronia melanocarpa on carbon tetrachloride (CCl4)-induced acute liver damage in rats. Exp Toxicol Pathol 2004;56:195–201.
Zheng W, Wang S. Oxygen radical absorbing capacity of phenolics in blueberries, cranberries, chokeberries, and lingon berries. J Agric Food Chem 2003;51:502–9.
Burk RF, Patel K, Lane JM. Reduced glutathione protection against rat liver microsomal injury by carbon tetrachloride (CCl4) dependence on oxygen (O2). Biochem J 198;215:441–5.
Mossa H, Heikal M, Belaiba M, GuRaoelison E, Ferhout H, Bouajila J. Antioxidant activity and hepatoprotective potential of Cedrelopsis grevei on cypermethrin induced oxidative stress and liver damage in male mice. BMC Complementary Altern Med 2015;15:251.
Nithianantham K, Shyamala M, Chen Y, Latha LY, Jothy SL, Sasidharan. Hepatoprotective potential of Clitoria ternatea leaf extract against paracetamol-induced damage in mice. Molecules 2011;16:10134-45.
Aloh GS, Emmanuel IO, Emekaafter OC, Okapara, Ezechukwu K, Uzoma UG. Effect of methanol extract of Gambia albidum leaves on carbon tetrachloride (CCl4)-induced hepatocellular damage and lipid profile in albino rats. Eur J Biomed Pharm Sci 2015;2:549-72.
Panda V, Ashar H, Srinath S. Antioxidant and hepatoprotective effect of Garcinia indica fruit rind in ethanol-induced hepatic damage in rodents. Interdiscip Toxicol 2012;5:207–13.
Asmaa HM, Fouad AA, Osama KA. The hepatoprotective and antioxidant activity of Zinnia elegans leaves ethanolic extract. Int J Sci Eng Res 2015;6:155-62.
Mandal SC, Pal SC, Raut DN. Hepatoprotective effect of standardized antioxidant phenolic fractions of Hibiscus mutabilis Linn. Pharm Sin 2014;5:46-51.
Obouayeba AP, Boyvin L, M’Boh GM, Se Diabate, Kouakou TH, Djaman AJ, et al. Hepatoprotective and antioxidant activities of Hibiscus sabdariffa petal extracts in wistar rats. Int J Basic Clin Pharmacol 2014;3:774-81.
Ezzat SM, Salama MM, Seif el-Din SH, Saleh S, El-Lakkany NM, Hammam OA, et al. Metabolic profile and hepatoprotective activity of the anthocyanin-rich extract of Hibiscus sabdariffa calyces. Pharma Biol 2016;54:3172–81.
Dash DK, Yeligar VC, Nayak SS, Ghosh T, Rajalingam D, Sengupta P, Maiti BC, et al. Evaluation of the hepatoprotective and antioxidant activity of Ichnocarpus frutescens (Linn.) R. Br. on paracetamol-induced hepatotoxicity in rats. Trop J Pharm Res 2007;6:755-65.
Awad NE, Abdelkawy MA, Hamed MA, Abdelrahman EH, Ramadan NS. Antioxidant and hepatoprotective effects of Justicia spicigera ethyl acetate fraction and characterization of its anthocyanin content. Int J Pharm Pharm Sci 2015;7:91-6.
HussainL, Ikram J, Rehman K, Tariq M, Ibrahim M, Hamid Akash MS. Hepatoprotective effects of Malva sylvestris L. against paracetamol-induced hepatotoxicity. Turk J Biol 2014;38:396-402.
Mallhi TH, Qadir MI, Khan YH, Ali M. Hepatoprotective activity of an aqueous methanolic extract of Morusnigra against paracetamol-induced hepatotoxicity in mice. Bangladesh J Pharmacol 2014;9:60-6.
Dash RN, Habibuddin M, Baruah DB. Anthocyanins fraction of red radish (Raphanus sativus L.) protects hepatic damage induced by carbon tetrachloride (CCl4) in albino rats. J Exp Int Med 2013;3:43-50.
Bhumika Y, Ashutosh M. Hepatoprotective effects of polyherbal formulation against carbon tetrachloride (CCl4) induced hepatic injury in albino rats: a toxicity screening approach. Asian J Pharm Clini Res 2017;10:192-5.
Keerthi S, Devala R. In vivo hepatoprotective activity of Cassia auriculata polymer nanispheres containing sylimarin. Asian J Pharm Clin Res 2015;9:282-6.