1Laboratory of Nutrition Physiology and Food Safety, Department of Biology, Faculty of Science, University of Oran, El Menaouer 31000 Oran, Algeria, 2Department of Dairy Sciences, Faculty of Agriculture, Kafrelsheikh University, B.P. 33516, Egypt, 3UR 1268 Biopolymère, Interactions, Assemblage, équipe FIP, INRA, 44300 Nantes, France.
Email: dibwafaa@hotmail.fr
Received: 16 May 2014 Revised and Accepted: 28 June 2014
ABSTRACT
Objective: Determine the effect of Enterococcus faecium on systemic immune response and its effect on the intestinal epithelial structure in the Balb/c mice.
Methods: Thirty Balb/c mice were dispatched in three lots of 10 mice each. During an initial period of 18 days, the animals from the first lot received via an oral way suspension of 0,3 mL containing 108 ufc/mL of Enterococcus faecium,for the second and the third lot received 0,3 mL of a saline solution. In a second period of time, mice from the first and second lots were immunised via parenteral way using β-Lg. Then they were sacrified on the 50th day after the end of the first period (18 days). The level of IgG anti-β-Lg was determined in the sera by the ELISA, and histologic studies were conducted on the jejunum fragments.
Results: Our results show that anti β-Lactoglobulin IgG titers were significantly reduced in immunized mice that received the Enterococcus faecium (1/280th) (***p<0,001). The histological studies of the intestinal epithelium shows long intestinal villi (53,88 ± 1,38µm) with diminished intra-epithelial lymphocytes.
Conclusion: The study shows that Enterococcus faecium PC4.1 may help protect the intestinal epithelium integrity by maintaining the structure of the villi and has the ability to decrease the systemic immune response to β-lactoglobulin.
Keywords: Enterococcus faecium, probiotic, β-Lactoglobulin, Immunoglobulin G, Intestinal epithelium.
INTRODUCTION
The enterococci are lactic acid bacteria (LAB) forming important for humans fragment of food, environmental and clinical microbiology. This bacteria are commensal in the GIT the gastrointestinal tracts of both humans and animals [1,2]. Microorganisms used in probiotics include those derived from the Lactobacillus, Streptococcus, Enterococcus, Bacillus, Clostridium, Bifidobacterium species and E. coli Nissle 1917[3].
Moreover, since some probiotic features have been reported for several strains of genus Enterococcus [4,5]. By definition, probiotics contribute to an improvement of the intestinal microbial balance and consequential beneficial effects for the host animals [6]. Probiotics have many effects on intestinal function and immune responses [7,8]. Probiotic preparations generally consist of viable lactic-acid producing bacteria of intestinal origin, that in gastrointestinal environment help restore/maintain a beneficial intestinal community, thus preventing digestive disorders and potentially improving growth performance [9]. It is admitted that the parenteral immunization by bovine β-lactoglobulin leads to partial atrophy of the intestinal villus with a considerable increase in the intra epithelium lymphocyte and high levels of IgG antibodies to β-Lg [10, 11]. The aim of this study was to determine the effect of Enterococcus faecium PC4.1 on systemic immune responses and intestinal structure of parenteral immunization to bovine β-lactoglobulin (β-Lg) in conventional Balb/c mice.
Materials and methods
Sample isolation and identification of LAB strain
The strain was isolated from the goat milk. The milk was incubated at 30°C for 48 hours to coagulate. After decimal dilution of the sample in sterile Ringer ¼, up to10-8, 1mL of the suspension was inoculated in M17medium and incubated for 48 hours at 30°C under aerobiosis. After isolation and identification, pure cultures were maintained in M17 agar at 4°C for short-term use and lyophilised for preservation.
16S rDNA amplification, identification and sequencing
DNA was extracted from the isolates using Dneasy Blood & Tissue Kit (Qiagen Gmbh, Hilden, Germany) and used as a template for 16S rRNA gene amplification. The universal primers fD1 (5'-AGAGTTT GATCCTGGCTCAG-3') and rD1 (5'-TAAGGAGGTGATCCAGGC-3') were used [12]. DNA amplifications were performed in DNA thermal cycler model (Techno, Barloworld scientific, Cambridge, UK). Mix reaction contained: PCR buffer (20 mM Tris-HCl, 50 mM KCl, pH 8.4), 1.5 mM MgCl2, 0.2 mM of each dNTPs, 1 U Taq DNA polymerase (Qiagen), 1 mM of each primer and 40 ng DNA in a final volume of 50 μL. PCR amplifications were done under the following conditions: denaturation at 94 °C for 5 min, 35 cycles of denaturation at 94 °C for 1 min, primer annealing at 56 °C for 1.15 min and DNA extension at 72 °C for 1.15 min.
A final extension was added at 72 °C for 5 min. Amplicons were analyzed on 1% (w/v) agarose gel with ethidium bromide (0.5 mg/mL) in 0.5 x TAE (40 mM Tris-acetate, 1 mM EDTA) buffer pH 8.2-8.4, for 30 min at 100 V and made visible by UV trans-illumination. DNA sequencing was carried out by MilleGen sequencing service (Labège, France).
Animals and diets
Administration of bacteria and subsequent immunization to β-Lg
Female Balb/c mice, 4 to 5 weeks old, obtained from Pasteur Institute, were used in the experiment. All mice were acclimatized before the experiment and fed with a standard diet and water allowed ad libitum. The experiment was carried out in plastic cages at a temperature of 20-24°C. The group that received 0.3 mL of a saline solution for 18 days but did not received any treatment was used as a negative control. The first and second groups of 10 mice (Enterococcus faecium PC4.1 fed and positive Control) had received orally respectively 0.3 mL of pure culture Enterococcus faecium PC4.1 containing 108 UFC/mL and 0.3 mL of a saline solution for 18 days (first period). At the end of the first period, two groups were immunized on days 5, 21 and 35 by parenteral injection with 10 μg of β-Lg (Sigma) absorbed onto 2mg of alum [Al(OH)3] in 0.1 mL of PBS. Intestines and blood samples were collected for measuring respectively, intestinal villi length, intra-epithelium lymphocyte and antibody titers. All mice were sacrificed fifty days after the end of the first period.
Antibody titer measurements
Blood samples were collected from the retro-orbital venous plexus puncture according to Adel Patient et al. [13], on day 0 before immunization and fifty days after bacterial feeding, centrifuged at 3500 rpm for 15 min at 4°C, and individual sera were aliquots, kept frozen at -20°C until further assays. Naive mice (negative control) were bled on the same days (n= 10). IgG anti β-Lg were assayed in serum sample by an enzyme-linked immunosorbent (ELISA). The procedure was as follows: the microtiter plates (Maxisorp; Nunc, Roskilde, Denmark) were coated with 100 μL/well of antigen (β-Lg) (10μg/mL in PBS pH 7.4), and incubated for 48 hours at 4°C. The plates were then washed with 10 mM - phosphate buffered saline, pH 7.4, containing 0.05% Tween-20 (PBS-T). Residual free binding sites were blocked with 200 μL/well of 3% BSA PBS for one hour at 37°C. The plate was washed, filled with 100 μL/well of diluted mice serum (from 1/10 to 1/106 or from 1/102 to 1/107depending on the sample, diluted in 1% BSA PBS) and incubated for 2 hours at 37°C. After being washed twice with PBS-T, the plate was incubated for one and a half hours at 37°C with 100 μL/well of goat antimouse IgG biotin (Sigma B9904, France). After washing, 100 μL/well of Extravidin peroxidase (Sigma E2886, France) was added. Incubation was continued for 30 minutes at 37°C. Then O-Phenylenediamine dihydrochloride (OPD) in a 50 mM sodium citrate buffer, pH 5.1, was used as a substrate. After incubation at room temperature for 30 minutes, 50 μL of sulphuric acid (2N) was added to stop the enzymatic reaction. Between the incubations, the plates were washed with PBS-T. Absorbance values were read at 492 nm on an automated plate reader (ELx 800).
Histological analysis
Histological studies were performed on isolated intestine from negative control and β-Lg sensitized mice. On the sacrifice day, the fragments of jejunum were removed and added to the bathing cold Ringer solution, then all the fragment of jejunum were fixed in formalin at 10% for 24- 48h, routinely processed, jpgded in paraffin and stained with haematoxylin and eosin for light microscopic examination. The entire fragment was examined by the same biologist. A severity of the inflammation sign was variable in each mouse intestine; the grades given to any fragment of jejunum took into account the number of inflammation as well as their severity. A score from 0 to 4 was based on the following criteria: (grade 0) no change from normal tissue; (grade 1) partial atrophy of villi; (grade 2) infiltration of intraepithelial lymphocytes accompanied by enlargement of villi; (grade 3) alteration villi of jejunum; (grade 4) sever inflammation. The measurement of the length of the jejunum villi were performed using an optical microscope equipped with a micrometer. Villi length was expressed in μm.
Statistical analysis
All data are expressed as mean ± standard error (SE). Statistical analyses were performed using two-tailed unpaired Student’s t-tests or analysis of variance (ANOVA). P values < 0.05 were considered statistically significant, and n represents the number of independent experiments performed.
Results
Bacterial strain
According to the results obtained from the microbiological analyses, it has been confirmed that the isolated bacteria is Enterococcus faecium PC4.1
IgG anti β-Lg titer
Figure1 shows that, the levels of IgG anti β-Lg were significantly low (1/280) (P <0.001) in the group of animals that had received Enterococcus faecium PC4.1 compared to positive control group (1/64000). Conversely, no anti β-Lg response was detected in the negative control group.

Fig. 1: Antibodies to β-Lg titer detected by ELISA in the sera of mice which had received Enterococcus faecium PC4.1
Titers were calculated as the log (1/Titer) and are expressed as the mean of ten mice ± SE for each group. The statistical significance of comparisons between the Enterococcus feacium-fed groups and saline-fed groups (control+) was assessed by using Student t test
(***p < 0.001).
Histological analysis
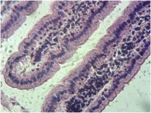
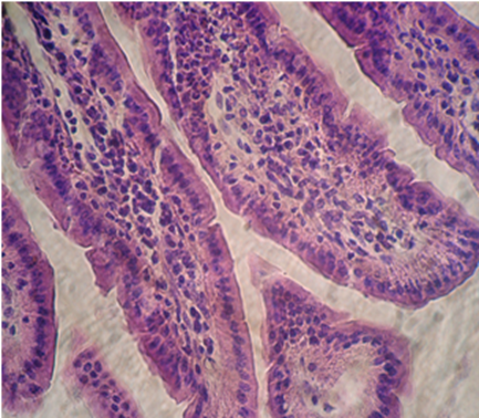
Intestinal morphology was examined by light microscopy. The morphological appearance of the intestinal mucosa section in the negative control (control-) group, gave long thin villi with an unistratified epithelium (Fig. 2a). In contrast, the villi of the positive control (control+) group was shorter with marked alteration. Histologic examination showed separation of the epithelium cell layer from the laminapropria. At the level of the chorion, inflammatory infiltration was extremely marked (Fig. 2b). We could distinguish, in the group that ingested Enterococcus faecium PC4.1, long and fine villi that were in small abundance and which corresponded to the cells of the immune system, i.e. lymphocytes (Fig. 2c).
Table 1: Effect of Enterococcus faecium on structure of intestine mice
| Mouse | n | % of mice affected | Length of villus (µm) | % of mice with inflammatory sign | HS | |||
| Villus altered | Partial atrophy | Villus enlarged | ||||||
| Control | 10 | 0 | 55.04±0.9 | 0 | 0 | 0 | 0 | |
| Placebo | 10 | 90 | 42±2.2*** | 90 | 80 | 90 | 4 | |
| Enterococcus faecium fed | 10 | 10 | 53.88±1.38 | 10 | 0 | 0 | 0 |
n indicate the number of mice per group. Results are mean ± SE per group. The statistical significance of comparisons between the groups was assessed by using the ANOVA test. ***P<0.001, control+ vs control- and Enterococcus faecium fed. HS, histological score.
![]() a |
![]() b |
c |
Fig. 2: Histologic examination of jejunum from different groups of mice sacrified at day 50 (x400).
a: Jejunum fragment of negative control mice. b: Jejunum fragment of positive control mice. c: Jejunum fragment of mice received Enterococcus faecium PC4.1.
Sensitization effect on intestinal structure at day 50
When compared with the negative control group, the average length of villi was significantly reduced (P <0.001) in intestine of the positive control mice (42.75±2.2μm). Two additional subcutaneous injections of β-Lg, did not just induce partial atrophy of the villi, they also caused a considerable increase in the intraepithelial lymphocytes level (80 %) and the villi was altered and enlarged, compared with the negative control group (Fig. 2; table 1). On the contrary, the average length of villi did not show any significant difference between the negative control group (55.04±0.9μm) and the group of mice that ingested Enterococcus faecium PC4.1 (53.88±1.38μm) (Fig.3).

Fig. 3 Bacterium ingestion and β-Lg sensitization effect on villus length in jejunum fragments in experimental groups compared to non sensitized mice (control-).
Discussion
Until now, the mechanism of action of probiotics on the immune response is still not well understood. Our results show that the ingestion of Enterococcus faecium PC4.1 by Balb/c mice immunized with β-Lg, leads to a significant decrease in the immune response, as demonstrated by low level of production IgG antibodies to β-Lg. It was also demonstrated that some probiotic strains are able to modulate both innate and acquired immunity at the local and systemic level [14, 15, 16].
On the other hand, in the positive control group, we obtained high titers of IgG antibodies to β-Lg. These results are in agreement with observations that exposure to cow milk is associated with high levels of IgG subclass antibodies to β-lactoglobulin [10,11].
Recent clinical studies showed that the intestinal epithelium is immunologically quiescent when it encounters Bifidobacterium infantis or Lactobacillus salivarius. These commensal bacteria exert immunomodulatory effects on intestinal immune cells [17]. Dib et al. [16], showed that Enterococcus faecium W15 protect the structure of the villi and against inflammation.
Pavan et al. [18], showed that even when the intestinal mucosa was severely injured, Lactobacillus plantarum and Lactococcus lactis exerted a beneficial effect that might be critical for the restoration of the intestinal homeostasis.
Probiotic-mediated immunomodulation represents an interesting option in the management of inflammatory bowel disease [19], and it was shown that both the systemic and mucosal immune systems can be modulated by orally delivered bacteria [20,21].
Our results demonstrated that Enterococcus faecium PC4.1 has not modified the aspect and the structure of the villi, compared to what it was in the negative control group. Furthermore, the intra-epithelial lymphocytes infiltrations are less obvious. In contrast, jejunal architecture of positive control group showed a marked inflammatory infiltration of lymphocytes in the chorion with a partial villous atrophy, altering the structure of the intestinal mucosa compared to that found in the negative control group. Exposure of the intestine of sensitized animals to β-Lg is likely to produce an activation of immune cells of the laminapropria and to elicit a local immune response, an increased intra-epithelial lymphocytes and lymphocyte counts in laminapropria are shown in animals immunized to β-Lg by parenteral route [10,11].Conclusion
These results show that Enterococcus faecium PC4.1 improve modulation of systemic immune response and intestinal function in Balb / c mice.This action is essentially represented by the protective effect demonstrated on the intestinal epithelium and especially by the absence of inflammation resulting from the interaction of β-Lg with the immunocompetent element of intestinal epithelium.
CONFLICT OF INTERESTS
Declared None
ACKNOWLEDGMENTS
We would like to express our gratitude for the support of this work in the frame of TASSILI project #10MDU 792 “Alimentation de l’enfant allergique: Allergénicité des protéines du lait bovin après traitements technologiques et etude du rôle prophylactique des laits hypoallergéniques chez le model animal d’allergie et les enfants à risque” and for Algerian Ministry of higher Education and Scientific Research (DR-RSDT) for their financial support.
References