1Department of Pharmaceutical Chemistry, Aditya Bangalore Institute of Pharmacy Education and Research, # 12, Kogilu Main Road, Yelahanka, Bangalore 560064, Karnataka, India, 2Department of Pharmaceutical Chemistry, SRM College of Pharmacy, SRM University, Kattankulathur, Chennai 603203, Tamil Nadu, India.
Email: akin_pharm@yahoo.co.in
Received: 05 May 2014 Revised and Accepted: 12 June 2014
ABSTRACT
Objective: The study was aimed to evaluate of in vitro hepatoprotective activity of Chloroform and Methanol extracts of Viburnum punctatum (200 and 400 μg/ml) against carbon tetrachloride induced toxicity.
Methods: The screening of hepatoprotective activity was based on the protection of human liver derived Chang liver cells against CCl4 induced damage determined by MTT assay [(3-(4,5 dimethylthiazole-2yl)-2,5-diphenyl tetrazolium bromide assay] using Silymarin as standard.
Results: The chang liver cells were treated with different concentrations of chloroform and methanol extracts of Viburnum punctatum, showed a dose dependent increase in percentage viability and the results were highly significant (P<0.001, when compared with CCl4 induced group). The percentage viability ranged between 62 to 84% at 200-400µg/ml concentrations. The methanolic extract exhibited more hepatoprotective activity when compared to chloroform extract.
Conclusion: The results clearly demonstrate that Viburnum punctatum possess promising hepatoprotective effects and hence suggests to isolate and identify the active principle involved in the hepatoprotective activity.
Keywords: Viburnum punctatum, MTT, Silymarin, Hepatoprotective.
INTRODUCTION
Liver is the chief site for intense metabolism, excretion and has a surprising role in the maintenance, performance and regulating homeostasis of the body. Almost all the biochemical pathways to growth fight against disease, nutrient supply, energy provision and reproduction [1]. The function of liver comprises carbohydrate, protein and fat metabolism, detoxification, secretion of bile and storage of vitamin. But when it is continuously exposed to environmental toxins, chemicals like CCl4, alcohol, drug habits, infections and autoimmune disorder can lead to various liver ailments [2].
Chemical agents like antibiotics, preoxidised oil, aflatoxins, CCl4, chlorinated hydrocarbon, Excess consumption of alcohol and autoimmune diseases are the major causes of liver damage. The hepatotoxic chemicals damage liver cells through lipid per oxidation and other oxidative damages in liver. Hepatitis and cirrhosis occurs due to enhanced lipid per oxidation during the liver microsomal metabolism of ethanol [1].
Hepatic diseases are one of the fatal diseases in the world but today plant based preparations have a lot to do with the alleviation of hepatic diseases [3]. According to the estimate more than 700 mono or poly-herbal preparations in the form of decotion, tincture, tablets and capsule form more than 100 plants are in clinical use as hepatoprotective [4] [5]. Gingko biloba L, Echinacea purpurea L, Hypericum perforatum L. and Cimcifuga racemosa (L) Nutt were successfully subjected to clinical trials after preclinical evaluation. The reputed hepatoprotective Silybum marianum has remained a golden standard in the treatment of hepatic disorders.
Viburnum punctatum (Viburnum acuminatum Wall) family Caprifoliaceae. It is shrub or small trees, evergreen, to 9mm tall. It belongs to monotypic genus Viburnum, native to India, Indonesia, Bhutan, Cambodia, Nepal, Thailand, Vietnam and China. Viburnum punctatum leaves were traditionally used for the treatment of fever, stomach disorder and mentioned to possess anti periodic effect [6] [7]. The different parts of the plant have been investigated phytochemically by several workers and found to contain sterols, terpenoids, sugars, glycosides and phenolic compounds. The plant has been reported to contain saponins, triterpenes in root, tannin, mucilage and lignin in leaf, saponins, starch grains and tannins in stem and terpenoid, glycoside and sterols in leaves [8] [9]. The present work is to study the hepatoprotective activity of chloroform and methanol extract of Viburnum punctatum against CCl4 induced toxicity using Chang liver cells.
MATERIALS AND METHODS
Plant material
Aerial parts of Viburnum punctatum were collected from Kalakkad-Mundenthurai, Thirunelveli in the month of June 2009. The plant was authenticated by Botanist. A voucher specimen of Viburnum punctatum (ABIPER/09/2013) was deposited in the department of Pharmacognosy in Aditya Bangalore Institute of Pharmacy Education and Research, Bangalore for future reference. The plant material was dried at room temperature, pulverized by a mechanical grinder, sieved through 40 mesh, stored in an air tight and light resistant container for further use.
Preparation of extracts
The coarsely powdered plant material was first defatted with Petroleum ether using soxhlet apparatus. The extract was concentrated using rotary evaporator to get solid residue. The marc from the central compartment was removed, dried and successively extracted with a series of solvents of increasing polarity with soxhlet extractor was done. Solvents used with increasing polarity are Chloroform, Methanol and Water.
Requirements
Carbon tetrachloride(0.1%),Trypsin, Fetal bovine Serum albumin, Palmitic acid, oil red, MTT(3-(4,5-dimethyl thiazolyl)-2,5-diphenyl-tetrazolium bromide, Dimethyl Sulfoxide (DMSO), Chang liver cell lines, Dulbecco’s Modified Eagles medium (DMEM),glutamine, streptomycin and penicillin.
Cell lines and Maintenance
Chang liver cells were purchased from National centre for cell science, pune and maintained in Dulbecco’s modified Eagles medium (DMEM) containing L-glutamine with high glucose [10].
Cell Culture and Subculturing of Chang liver cell
Chang liver cells were cultured in DMEM medium Supplemented with 20% heat inactivated Fetal Bovine Serum. An antibiotic (Streptomycin and penicillin) was added to prevent bacterial contamination. The culture was filter sterilized using 0.2 μm pore size cellulose acetate filter [11].
Subculturing is a process of transferring a small number of cells into a new vessel. A Chang liver cell was used for in vitro evaluation of the possible hepato protective activity of Chloroform and Methanol extracts of Viburnum Punctatum. Foetal bovine Serum albumin was used for the proper growth of chang cell line. Trypsinisation is the process of using trypsin, a proteolytic enzyme which breaks down proteins to dissociate adherent cells from the Vessels in which they are being cultured [12].
The cell lines were washed with phosphate buffer saline and the fully confluent cells were trypsinised using 500μl of trypsin for 3 minutes at 37oC. After disaggregation the cell are transferred to other flask and supplemented with media, trypsinized (500μl of 0.025% Trypsin in PBS EDTA Solution) for 2 minutes and passaged to T flasks in complete aseptic conditions. Hepatoprotective effect of Chloroform and Methanol extracts of Viburnum punctatum on CCl4 induced toxicity in chang liver cells.
Carbon tetra chloride was used to induce hepatotoxicity on chang liver cell line.The cells were treated with 0.1% CCl4 in complete aseptic conditions to induce hepatotoxicity followed by methanolic and chloroform extracts in the concentration such as 200μg and 400μg/ml from a stock of 100mg /ml and incubated for 24 hours. Silymarin was used as standard. The hepatoprotective effect was determined by morphological analysis using phase contrast microscopy (Olympus CKX 41) followed by MTT cell viability assay.
MTT Assay
MTT is a colorimetric assay that measures the reduction of yellow 3-(4, 5dimethythiazol-2-yl)-2, 5-diphenyl tetrazolium bromide (MTT) by mitochondrial succinate dehydrogenase. The MTT enters the cells and passes into the mitochondria where it is reduced to an insoluble, coloured (dark purple) formazan product. The cells are then solubilised with an organic solvent (eg. isopropanol) and the released, solubilised formazan reagent. Since reduction of MTT can only occur in metabolically active cells the level of activity is a measure of the viability of the cells [13].
The cell culture suspension was washed with 1x PBS and then added with 200μl MTT solution to the culture (MTT 5mg/volume dissolved in PBS). The incubate 37oC for 3 hrs. Remove all MTT wash with 1x PBS and add 300ml DMSO to each culture. Incubate at room temperature for 30mts until the cell get lysed and color is obtained. The solution was transferred to centrifuge tubes and centrifuged at top speed 2 minutes to precipitate cell calculated by following formula:

Statistical Analysis
The data are expressed as mean ± SEM (n=3). Statistical significance was determined by one-way ANOVA followed by Dunnet’s t test. At 95% confidence interval, p values less than 0.05 were considered significant.
RESULTS AND DISCUSSION
Carbon tetra chloride-mediated hepatotoxicity was taken here as the experimental model for liver injury.CCl4 is the most commonly used hepatotoxins in the experimental study of free radical induced liver diseases [14].
The hepatotoxicity of CCl4 is due to the metabolic formation of the highly reactive trichloromethyl free radical which attacks the polyunsaturated fatty acids of the membrane of the endoplasmic reticulum and initiates a chain reaction leading to the formation of lipid peroxides. The lipid per oxidative degeneration of bio-membrane is one of the principle causes of hepatotoxicity of CCl4 [15] which induces hepatic microsomal enzyme systems and vice versa by antioxidants which mop up the free radicals.
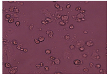
Fig. 1: Effect of CEVP and MEVP on Chang liver cells.
In the assessment of liver damage by hepatotoxins like CCl4 the determination of cell damage by morphological charactors and followed by MTT assy. Hepatoprotective activity of chloroform and methanolic extracts were evaluated using standard procedure in human chang liver cell cultures.
In MTT assay 200μg/ml and 400μg/ml of two concentrations were used. The methanolic extract exhibited a percentage viability of 84.53 and chloroform extract showed a percentage viability of 67.10 at 400μg/ml concentration on chang liver cells when compared to standard drug Silymarin. The results are depicted in Table 1. The methanolic extract exhibited better hepatoprotective activity when compared to chloroform extract due to the presence of more phytoconstituents.
Table 1: Effect of CEVP and MEVP on In vitro Hepato protective Activity
| Concentration(μg/ml) | Absorbance ( at 540nm) | Percentage Viability | |
| Control | 0.304 | -- | |
| Carbon Tetra Chloride | 0.089 | -- | |
| Standard(Silymarin) | 200 | 0.281 | 92.43±1.19 |
| 400 | 0.294 | 96.71±2.21 | |
| Chloroform Extract | 200 | 0.191 | 62.82±2.14* |
| 400 | 0.204 | 67.10±1.65 | |
| Methanol Extract | 200 | 0.215 | 70.72±1.93** |
| 400 | 0.257 | 84.53±2.12** | |
Statistical significance was determined by one-way ANOVA followed by Dunnet’s t test. Values are mean ± SEM expressed as (n=3) p*<0.05, **<0.01, ***<0.001; as compared with CCl4 induced and ±<0.001 as compared with control.
![]() |
![]() |
| Control | Carbon Tetra chloride |
![]() |
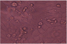
![]() |
| Silymarin 400μg/ml | Chloroform Extract 400µg/ml |
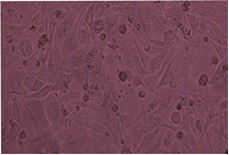
![]() |
|
| Methanol Extract 400µg/ml |
Fig. 2: Cell viability of standard and extracts on chang liver cells
CONCLUSION
The present study reveals that, hepatoprotective activity of CEVP and MEVP by in vitro analysis on Chang liver cells against CCl4 induced toxicity which was proved by MTT assay. Further works are being carried out to isolate and identify the active principle involved in the hepatoprotective activity of plant extracts.
CONFLICT OF INTERESTS
Declared None
REFERENCES