
*Department of Pharmaceutical Sciences and Technology, BIT, Mesra, Ranchi
Email: shibujana1993@gmail.com
Received: 11 Jul 2017 Revised and Accepted: 22 Nov 2017
ABSTRACT
Objective: The present study was aimed at the development of partial pancreatectomy in a murine model for diabetes.
Methods: Diabetes model was successfully developed by partial pancreatectomy method. In this study, cyclosporine was used for influenced the glycaemic status. Diabetes status was evaluated by fasting blood glucose level (FBG), lipid profile (by estimation of total cholesterol level and HDL-level), serum amylase and biochemical assay like glutathione estimation.
Results: We report here the restoration of euglycaemic status in cyclosporine-induced diabetic in swiss albino mice after 30% pancreatectomy. In this study, Pancreatectomised (partial) group of animals showed a rapid elevation of glycaemic status, starting from 15th post observational d, but the level of significance decreased gradually from 15th (P<0.01) to 60th (P<0.05) d. This was probably due to nesidioblastotic activity which shifted the fasting blood glucose level towards normoglycaemic status with β-cells regeneration. Cyclosporine treated a group of mice showed normoglycaemic status throughout the whole experimental period, but the cholesterol level remained significant (P<0.001) till the end of the experimental d. Gradually decrements in glycaemia of the diabetic pancreatectomised animals demonstrate islets neogenesis occurring after the operative activity, leading to normoglycaemic condition, probably attributed to β-cells proliferation.
Conclusion: The biochemical and histopathological evaluations suggest that there is the development of the diabetic model in the pancreatectomized group and diabetes status induced by pancreatectomy is curable to a certain extent due to the regeneration of β-cells.
Keywords: Diabetes, Partial pancreatectomy, Euglycaemic status, Nesidioblastotic activity, Glycaemia, Normoglycaemic status, β-cells proliferation
© 2018 The Authors. Published by Innovare Academic Sciences Pvt Ltd. This is an open access article under the CC BY license (http://creativecommons.org/licenses/by/4.0/)
DOI: http://dx.doi.org/10.22159/ijpps.2018v10i1.21250
In biomedical research, an animal model is one in which regulating biology or induced pathological process can be explored, and in which the phenomenon in one or more respects resembles the same phenomenon in humans or other species of animals". According to this definition of the American National Research Council Committee on Animal Models for Research and Aging, animal models used in biomedical research can be divided into five groups: a) Spontaneous models in which diseases or conditions occur spontaneously in animals as in humans, b) Experimentally c) Genetically modified models in which diseases or conditions are induced chemically/ surgically or by genetic direction, respectively; d) Negative models, including animals resistant to a particular condition or disease and e) Orphan models, including animal models with disease unknown to human counterparts [1].
Diabetes is a metabolic disorder, characterized by hyperglycaemia that has become a serious problem of modern society due to the severe long-term health complications associated with diabetes mellitus. It is an endocrinological disease originating from lack of insulin or due to the effectiveness of insulin produced by the body. Around 200 million people of the world are presently suffering from diabetes and the fig. is designed to increase to 300 million within 2025 as per the survey of world health organization (WHO). Diabetes is of two major types, namely type-1 or insulin dependent diabetes mellitus (IDDM) occur due to autoimmune destruction of pancreatic β-cells and type-2 or non-insulin dependent diabetes mellitus (NIDDM) occur due to β-cells of pancreas does not secrete sufficient insulin for proper function, or the cells within the body (insulin receptor) do not react to insulin (insulin resistance). The insulin secreted by the pancreatic β-cells is the key hormone responsible for glucose homeostasis [2, 3]. Insulin stimulates hepatocytes, myocytes, and adipocytes to uptake glucose from the circulatory system into fat and adipose tissues [4]. The improper utilization of insulin leads to insulin resistance, which is characterised by the ineffectiveness of cells to respond to normal levels of circulating insulin, thus leading to the occurrence of diabetes [5]. Artherosclerosis and cardiovascular disease (CVD) are mostly associated with diabetes mellitus and they are the common leading cause of death among patients with type 2 diabetes [6].
Diabetes has an ancient origin. Susruta, the father of Indian medicine, diagnosed diabetes mellitus as early as 1000 B. C. Ayurveda mentioned that insects were attracted to the urine of some people and the urine tasted sweet. Greek physicians enlightened the diagnosis of “dypsacus” (diabetes) associated with weakness of the kidneys and excess moisture from the body, leading to dehydration. In 1922 the discovery of insulin by Banting and Best formed the key milestone in the treatment of diabetes mellitus [7]. A number of experimental diabetic models have been grown in last three decades such as genetic or spontaneously induced models and non-genetic or experimentally induced models. Non-genetic models are more famous models than genetic models because of lower cost, effortless to induce diabetes and easier to maintain. Various non-genetic models such as partial pancreatectomy, alloxan/streptozotocin (STZ) models, high fat-diet models, fructose-fed models, nicotinamide-streptozotocin (STZ) models, monosodium-glutamate models and intrauterine growth retardation models [8]. Partial pancreatectomy is the very popular model for the development of diabetes. It is the surgical removal of the pancreas may be total or partial. In case of total pancreatectomy whole pancreas is removed and partial mentioning is the elimination of part of the pancreas.
There are certain types of pancreatectomy including pancreaticoduodenectomy (Whipple procedure), distal pancreatectomy, segmental pancreatectomy and total pancreatectomy [9]. Exocrine and endocrine pancreatic proliferation after partial or total pancreatectomy has been well reported in animal models, but pancreatic proliferation in diabetes has not been documented as yet. Generally hyperglycaemia development, course and outcome depends on the number of functionally intact β-cells in the islet organ and also possibly for its reversal. In adults, only about 3% of the islets cells are capable of proliferation. But, the factors regulating such nesidioblastotic or proliferative events remain largely unknown. It is very important to investigate those factors that estimate pancreatic β-cells proliferation and nesidioblastosis. The mitotic proliferation of pre-existing islets cells may leads to increase in pancreatic β-cells mass. Pancreatectomy one of the most popular and established model of diabetes and substantial regeneration of both exocrine and endocrine pancreas after 50% pancreatectomy has been reported. However, a study has not been focused on regeneration of diabetic pancreas.
We performed this study in an intention to estimate the glycaemic level in the body or changes in the glycaemic status because of pancreatectomy [10]. On the other hand, the present study was aimed at investigation of the restoration of euglycaemic status. It may also lead to the development of a new technique for analysing the unique nature of β-cells proliferation. Partial pancreatectomy combined with cyclosporine administration is expected to result in a novel model in swiss albino mice which will be an easy and cost-effective alternative to the use of higher vertebrates like dogs, rabbits and transgenic animals.
Experimental animals
In the present study, normal, disease free, albino mice (both sexes) of swiss strain weighing about 20-30g were procured from an innate population of swiss albino mice at the animal house of Department of Pharmaceutical Sciences and Technology, Birla Institute of Technology, Mesra, Ranchi. CPCSEA approval no of animal is 621/02/ac/CPCSEA. The animals were maintained under accepted farming conditions (28-30 °C and 60-70% RH).
All mice were maintained with standard mice pellet diet and water ad libitum. Mice were also observed daily and cages rinsed thrice weekly. All the animals were randomly selected at the initiation of the experiment and body weight, glucose level, total cholesterol, HDL and amylase level were measured. The guidelines of the committee for the purpose of control and supervision of experiments on animals (CPSSEA), Govt. Of India were followed. The institutional animal ethics committee approval number is PROV/BIT/PH/IAEC/14/ 2015.
Glasswares and chemicals
All the glass wares used for the analytical purpose were borosil make. Cyclosporine (graftin-100, RPG Life sciences Limited), gentamycin (abbot healthcare Pvt. Ltd.) and soframycin (Sanofi India Limited) were procured for the study. All other chemicals and reagents used in this study were purchased from Ranbaxy fine chemicals Pvt. Ltd. Mumbai. All chemicals used were of analytical grade. Plasma glucose was measured using glucometer (Contour TS, Bayel healthcare LLC). The cholesterol, HDL, amylase and glutathione levels were estimated by biochemical assay method.
Experimental design
For the pancreatectomized group, Animals were fasted overnight and anaesthetised by diethyl ether (inhalational), the entire splenic portion of the pancreas was removed. The incisions were joined using absorbable 6-0 catgut. All animals were received an i. p. injection of gentamycin (3 mg/kg body weight) and topical ointment soframycin (for 3d starting from operative d).
In this study, animals were divided into four groups and each groups were consists of three animals.
Group-1: This is normal control group received only normal standard feed and drinking water ad libitum.
Group-2: This group is Pancreatectomised diabetic group, where the disease was caused by 30% removal of a splenic portion of the pancreas.
Group-3: This group is Pancreatectomised-cyclosporine group. Where diabetes was induced by administration of intraperitoneal injection of cyclosporine (40 mg/kg body weight) after 30% pancreatectomy).
Group-4: The cyclosporine-treated group received an intraperitoneal injection of cyclosporine (40 mg/kg body weight) on two alternative ds viz 0 and 2 d.
Evaluations were done for all groups on 0th, 15th, 30th, 45th and 60th d of the experimental protocol.
Determination of body weights
The body weights of the animals were measured on 0th, 15th, 30th, 45th and 60th ds with a weighing balance.
Fasting blood glucose level estimations
Fasting blood glucose level was estimated by calibrated glucometer (Model B1801 contour TS, Bayer). For this estimation blood was withdrawn from the tail vein of the animals and evaluations were done on 0th, 15th, 30th, 45th and 60th d [10].
Lipid profile estimations
Lipid profile such as total cholesterol, LDL and HDL were estimated by the biochemical methods. The blood for carrying out lipid profile test was collected from the retro-orbital plexus of the eye. Serum was separated from the plasma by centrifugation (Remi Industries Limited, Mumbai, India) at 1500 rpm for 10 min. The serum thus obtained was then used for further analysis [11].
Serum amylase estimations
The pancreatic enzyme is a hydrolytic enzyme, which converts starch into maltose. In case of acute pancreatitis or any other pancreatic disorders, serum amylase level may rise [11].
Biochemical analysis
The animals were sacrificed by decapitation and the brains were isolated at the end of experiment. The isolated brains were washed thoroughly with 0.9% w/v saline. Then tris buffer (10Mm, PH 7.4) was used for the preparation of a 10% homogenate of the tissue.
Then homogenate of the tissue was used for the estimation of glutathione level. Reduced glutathione was measured using the method depicted by Moron [12].
Histopathological studies
Animal was sacrificed after 60th ds of the experimental period. Experimental animals were anaesthetised by diethyl ether prior to the sacrifice and then the abdominal cavity was disclosed and pancreas was isolated and stored in 10% formalin, then pancreas was stained with haematoxylin and eosin [13].
Pancreas was fig. out using scanning electron microscopy. Before analysis, to dehydrate the tissue was treated with different concentration of isopropyl alcohol. Then pancreas was scanned for morphological changes (magnification x 200).
Statistical analysis
The result was expressed as mean±SEM. The data were calculated by student paired ‘T’ test (for significant variation between two groups). P<0.05 was expressed to be significant.
Body weight
Normal control group was found to stable in their body weight in the whole experimental period. Pancreatectomised animals showed a rapid decrease in body weight during the first 15th ds (28.5±1.7 to 23.1±0.8) and then showed a steady weight gain later on (23.1±0.8 to 26.3±0.9). The cyclosporine-pancreatectomised group showed an initial decline in body weight (26.5±1.3 to 22.4±1.8) was followed by a much more rapid weight gain later on (22.4±1.8 to 24.7±1.1).
Cyclosporine group showed normal body weight throughout the whole experimental period.
Table 1: Effect of pancreatectomy and cyclosporine on body weight
| Group | Body weight (g) (d) | ||||
| 0th | 15th | 30th | 45th | 60th | |
| Gr-1 | 27.3±0.8 | 27.9±0.1 | 31.1±0.7 | 28.5±1.5 | 30.5±0.2 |
| Gr-2 | 28.5±0.3 | 23.1±0.3* | 24.6±0.4** | 26.3±0.7*** | 26.7±0.3*** |
| Gr-3 | 26.5±0.4 | 22.4±0.2* | 23.7±0.7** | 24.7±0.6** | 24.9±0.8** |
| Gr-4 | 29.2±0.3 | 31.8±0.6 | 30.5±0.5 | 30.8±0.3 | 31.2±0.5 |
All the values are expressed as mean±SEM for n=3, *Indicates P<0.001, **indicates P<0.01, ***indicates P<0.05, when compared to group-1 (normal control).
Fasting blood glucose level
In this study, fasting blood glucose levels (FBG) were observed in all group of animals. The % of survival after pancreatectomy was 75. The Group-1 (normal control) and group-4 (cyclosporine) showed normal blood glucose level (euglycaemic status) over 2-months experimental period.
On 0th d, no significant change was observed in all group of animals. On 15th d, group-2 (pancreatctomised) and group-3 (Pancreatectomised+Cyclosporine) showed the highly significant elevation of fasting blood glucose level (P<0.01) as compared to group-1 (normal control). On 30th d, group-1 (Pancreatectomised) and group-3 (Pancreatectomised+ Cyclosporine) of animals had a significant elevation of fasting blood glucose level (p<0.01) with respect to group-1 (normal control). On 45th d, group-2 (Pancreatectomised) (P<0.05) and group-3 (Pancreatectomised+ cyclosporine) (p<0.01) groups showed significant increased blood glucose levels as compared to group-1 (normal control). On 60th d, significant elevation of blood glucose level was observed in group-2 (Pancreatectomised) and group-3 (Pancreatectomised+ cyclosporine) (P<0.05) as compared to group-1 (normal control).
Table 2: Effect of pancreatectomy and cyclosporine on fasting blood glucose level
| Group | Fasting blood glucose level (mg/dl) (d) | ||||
| 0th | 15th | 30th | 45th | 60th | |
| Gr-1 | 63.83±3.16 | 63.67±8.52 | 62.56±7.36 | 62.30±9.96 | 63.66±9.62 |
| Gr-2 | 62.32±4.56 | 247.66±19.23* | 248.33±12.89* | 163.33±11.33** | 147±13.22** |
| Gr-3 | 78.08±1.68 | 283.42±3.71* | 278.30±3.8* | 207.67±7.06* | 151.33±8.4** |
| Gr-4 | 88.51±6.97 | 92.30±2.36 | 91±2.31 | 91.66±2.06 | 92.33±2.02 |
All the values are expressed as mean±SEM for n=3, *Indicates P<0.01, **indicates P<0.05, when compared to group-1 (normal control).
It was observed that the fasting glucose level though increased significantly from 15th to 60th d, but the level of significance decreased gradually from 15th to 60th d. This was probably due to proliferation of β-cells which shifted the fasting blood glucose level towards normoglycaemic levels with β-cells regeneration.
Total cholesterol level
Estimation of cholesterol level of all group of animals was done. Total cholesterol level was found to be normal in group-1 and group-2 animals fed with normal pellet diet and water ad libitum. On 0th d, all group of animals showed normal cholesterol level. On 15th d, group-3 (cyclosporine) (P<0.05) and group-4 (P<0.001) showed significant elevation of cholesterol level as compared with group-1 (normal control). On 30th d, total cholesterol was elevated significantly in group-3 and group-4 (P<0.001) with respect to group-1 animals.
On 45th d, cholesterol level also remained significant in group-3 and group-4 (P<0.001) as compared to group-1. On 60th d, group-3 group-4 showed significant increased cholesterol level (P<0.001) with respect to group 1.
Table 3: Effect of pancreatectomy and cyclosporine on total cholesterol level
| Group | Total cholesterol level (mg/dl) (d) | ||||
| 0th | 15th | 30th | 45th | 60th | |
| Gr-1 | 43.08±1.23 | 42.27±2.02 | 43.09±2.66 | 45.80±1.79 | 41.60±1.77 |
| Gr-2 | 46.53±2.58 | 49.28±1.49 | 52.72±1.70 | 48.65±3.56 | 51.76±2.61 |
| Gr-3 | 41.05±4.08 | 260.30±5.09* | 258.25±5.59* | 262.09±7.08* | 261.12±5.12* |
| Gr-4 | 49.72±3.85 | 210.30±6.70** | 256.43±8.44* | 251.02±11.94* | 270.23±4.73* |
All the values are expressed as mean±SEM for n=3, *Indicates P<0.001 and **indicates P<0.05 when compared to group-1 (normal control).
HDL level
Estimation of HDL-cholesterol of all group of animals was checked. Group-2 (Pancreatectomised) and group-1 (normal control) of animals showed normal HDL-level till the end of the experimental d. On 0th d, no significant change was observed in all group of animals. On 15th d, HDL level was significantly decreased in group-4 (cyclosporine) (P<0.01) and group-3 (Pancreatectomised-cyclosporine) (P<0.02) as compared to group-1 (normal control) animals. On 30th d, group-4 (P<0.02) and group-3 (P<0.05) showed a significant decrease in HDL level with respect to group-1. On 45th d, significant reduce in HDL–level was observed in group-4 (P<0.02) and group-3 (P<0.05) as compared to group-1. At the end of the experimental d, HDL level was decrease significantly in group-4 P<0.01) and group-3 (P<0.02) as compared to group-1 animals.
Serum amylase
The pancreatic amylase was estimated from beginning of the study (15th d) to the end of the experiment. In this experiment, amylase level was not change significantly (remained normal) in each group of animals.
Table 4: Effect of pancreatectomy and cyclosporine on HDL level
| Group | HDL Level (mg/dl) (d) | ||||
| 0th | 15th | 30th | 45th | 60th | |
| Gr-1 | 42.17±2.30 | 41.15±1.66 | 39.03±1.99 | 42.17±1.49 | 47.74±0.86 |
| Gr-2 | 43.08±1.78 | 45.13±2.01 | 43.08±1.74 | 49.01±3.46 | 50.84±3.70 |
| Gr-3 | 48.17±1.06 | 25.36±1.36** | 28.21±1.07*** | 27.18±1.09** | 27.17±1.34** |
| Gr-4 | 51.32±3.57 | 18.24±1.43* | 22.34±3.98** | 21.25±0.64** | 20.08±1.55* |
All the values are expressed as mean±SEM for n=3, *Indicates P<0.01, **Indicates P<0.02, and ***Indicates P<0.05 when compared to group-1 (normal control).
Table 5: Effect of pancreatectomy and cyclosporine on serum amylase level
| Group | Serum amylase level (S. Units/dl) (d) | ||||
| 0th | 15th | 30th | 45th | 60th | |
| Gr-1 | 59.17±1.78 | 60±3.21 | 62.05±2.98 | 61.71±3.78 | 58.17±4.55 |
| Gr-2 | 68.58±3.23 | 72.01±2.31 | 78.03±2.51 | 77±0.57 | 79.09±1.77 |
| Gr-3 | 71.18±3.23 | 73.71±2.58 | 69.04±3.53 | 69.27±3.06 | 70.27±3.03 |
| Gr-4 | 67.14±2.56 | 67.51±1.97 | 65.11±3.22 | 64.77±2.75 | 66.29±3.55 |
All the values are expressed as mean±SEM for n=3.
Glutathione
Oxidative stress of brain associated with loss of reduced glutathione level (GSH).
Group-2 (P<0.01), group-3 (P<0.01), group-4 (P<0.05) showed significant reduce in tissue glutathione level as respect with group-1.
Table 6: Data for concentration of GSH in brain
| Group | Glutathione (µg/mg of protein) |
| Gr-1 | s43.36±0.916 |
| Gr-2 | 25.65±2.35* |
| Gr-3 | 28.39±1.603** |
| Gr-4 | 31.55±0.89** |
All values are expressed as mean±SEM for n=3, *Indicates P<0.01 and *indicates P<0.05 when compared to group-1 (normal control).

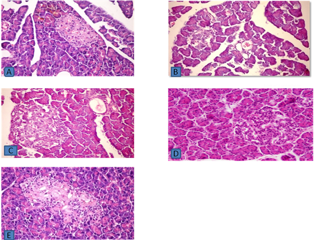
Fig. 1: Pancreas of swiss albino mice stained by haematoxylin (HE) and eosin, A) Pancreas of group-1: Control mice pancreas showing normal architecture and normal distribution of islets cells at 400x, B) Pancreas of group-2: Pancreatectomised mice pancreas showing abnormal architecture, degenerative pancreatic tissue and sign of necrotic islet cells 15 d after the operative procedure at 400x, C) Pancreas of group-3: Pancreatectomised and cyclosporine treated mice showing abnormal architecture, irregular cells, not well defined and necrosis of the cells at 400x, D) Pancreas of group-4: Cyclosporine treated mice displaying normal structure at 400x, E) Pancreas from pancreatectomised mice at the end of the experiment showing improvement or regeneration in morphology of islets of langerhens and restoration of normal cellular population at 400x
Histopathological studies
The histopathological examination of the pancreas of the control group showed exocrine pancreas and islets of langerhans.
In pancreatectomized group histologically after 15 d of the operative procedure, the sections of the pancreas showed irregular, degenerative, necrotic changes and disturbance in the architecture of acinar cells and reduction in diameter of islets of langerhans as compared to control group. The light micrographs of the pancreas of the pancreatectomized-cyclosporine-treated group showed shrinkage and reduction in diameter of islets of langerhans, also sign of necrotic islet cells as compared to control group.
Cyclosporine treated group showed no significant changes in the cells when compared with the pancreatectomised group. Pancreas from pancreatectomised group at the end of the experimental period showed marked improvement of islets of langerhens and regeneration of β-cells may be due to nesidioblastosis as compared to pancreatectomised group pancreas 15 d after the operative procedure.
In this study, an animal model of partial pancreatectomy induced diabetes was developed that represents the first sign of the diabetes status characterized by decrease in body weight in Pancreatectomised and Pancreatectomised-cyclosporine animals group. In our study minimum body weights were obtained around 30th postoperative d resulted by a consequent progressive weight gain later on throughout the period of study. All the Pancreatectomised mice showed the reversal of their glycaemic status (at the beginning of the study glucose level was 248.33±12.89 and it was found to be 147±13.22 at the end of the experimental period). Death of Pancreatectomised mice occurred probably due to hyperglycaemia [10]. Cyclosporine treated group showed normal blood glucose level over the two months of experimental period. Cyclosporine is a class of immunosuppressant drug and possesses hyperlipidaemic and hyperglycaemic properties [14]. And it has been used in transplantation programs to prevent organ rejection [15].
Pancreatectomised animals and Pancreatectomised-cyclosporine animals showed significant elevation of blood glucose level (P<0.001) at the starting of the study as compared with the normal control. A hyperglycemic condition in Pancreatectomised mice occurred due to loss of β-cells. In case of Pancreatectomised group, the reversal of their glycaemic status has occurred probably due to nesidioblastosis (hyperinsulinemic hypoglycaemia due to over function of pancreatic β-cells with an abnormal microscopic exhibition) [10].
In case of a cyclosporine-treated group, glucose level was remained normal (normoglycaemic condition) but this group showed significant elevation of total cholesterol level (P<0.001) throughout the entire experimental period. Cyclosporine-induced hyperlipidaemic condition in this study due to it influences on lipidation of apolipoprotein-B (apo-B). It is observed that cyclosporine increases plasma lipid levels in transplant patients by increasing plasma apolipoprotein-B levels. Also, apolipoprotein C-III level is increased by cyclosporine, and it leads to the hyperlipidemic condition. Therefore, in this study high cholesterol level and low HDL level in cyclosporine and Pancreatectomised-cyclosporine-treated groups were observed probably which can be attributed to lipidation of apolipoprotein-B [14]. The pancreatic amylase remained normal in each group of animals throughout the whole experimental period.
An appreciable body of clinical and experimental demonstration suggests the role of free radical moderated oxidative process in the progression of diabetic complications. The increase in the synthesis of free radicals can result from the high blood glucose concentration induced enrichment in glucose autoxidation, protein glycation and eventually oxidative degeneration of glycated protein [16]. In case of diabetes mellitus, only overproduction of ROS is not responsible for oxidative stress, in this case, a significant loss in the effectiveness of antioxidant defences play a major role for elevated oxidative stress [17].
Overoxidation leads to the production of free radicals which play a major role for nerve damage. It has been investigated that the action of cellular antioxidants like superoxide dismutase (SOD), reduced glutathione (GSH), and catalase may all play a defensive role in this process [18]. If elevated tissue oxidative stress is associated with diabetes status, it may be emulated by a decrease in the tissue glutathione (GSH) and superoxide dismutase (SOD) levels [19]. Here Pancreatectomised diabetic mice showed a significant decrease in GSH levels in the brain (p<0.01) when compared to normal control and cyclosporine group.
On the other hand, oxidative stress play a major role in neurodegenerative disorders [20] which justifies this claim.
The architecture of pancreas (histopathological evaluation) of Pancreatectomised group after 60th d showed regeneration of pancreatic β-cells and a distinct change in the morphological structure as compared to Pancreatectomised animals on d 15th. The biochemical estimation confirmed that there was a restoration of glycaemic status with progress in the number of d and that has been confirmed by the histopathological studies showing probable β-cells proliferation.
For studies on diabetes, various surgical models, chemicals and diabetogenic hormones are used at the research level, pancreatectomy being one of them. The results of the present study show that the restoration of euglycaemic status is possible after pancreatectomy because of β-cells proliferation.
The pancreatectomised group of animals showed a significant increase in blood glucose level initially but glucose level decreased gradually from 15th (247.66±19.23) to 60th (147±13.22) d. This was probably attributed to β-cells proliferation. Cyclosporine treated group showed hyperlipidaemic condition throughout the whole experimental period (270.23±4.73).
The biochemical and histopathological evaluations suggest that there is the development of the diabetic model in Pancreatectomised group and diabetes status induced by pancreatectomy is curable to a certain extent due to the regeneration of beta cells.
We are highly thankful to Birla Institute of Technology, Mesra (Ranchi), for providing significant facilities in central instrument laboratory for completing the review.
Corresponding author: Shibu Narayan Jana, completed my post-graduation (M. Pharm in pharmacology) from Birla Institute of Technology, mesra. Currently working as an assistant professor in the department of pharmacology in Dhanvanthari Institute of Pharmaceutical sciences, Sujathanagar, Kothagudem, Telangana.
Co-author: Papiya Mitra Mazumder working as a professor in Birla Institute of Technology, Mesra, Ranchi. She published around 123 national and International research papers. As a co-author regarding this paper, she contributed actively from beginning to end of the work.
Declared none
Chatzigeorgiou A, Halapas A, Kalafatakis K, Kamper E. The use of animal models in the study of diabetes mellitus. Int J Exp Clin Pathophysiol Drug Res 2009;23:245-8.
Jain R, Jain P, Jain P. A review on treatment and prevention of diabetes mellitus. Int J Curr Pharm Res 2016;8:16-8.
Kabi S, Dhar Kumar S, Panda Nath B, Das C, Jena Kant K, Sahu Chandra M. Surveillance of mortality: from a tertiary care teaching hospital of eastern India in persons with or without diabetes mellitus. Asian J Pharm Clin Res 2017;10:87-90.
Homsi AI MF, Lukic ML. An update on the pathogenesis of diabetes mellitus, department of pathology and medical microbiology (Immunology Unit) faculty of medicine and health sciences, UAE University. Al Ain United Arab Emirates 1992;3:460-78.
Poscoe WS, Jenkins AB, Kusunoki M, Storlein LH. Insulin action and determinants of glycaemia in a rat model of type2 diabetes mellitus. Diabetologia 1992;35:208-15.
Mandare PA, Deokar N, Patil VS, Gaikwad PB. Study of total cholesterol, triacylglycerols, high-density lipoprotein cholesterol in type 2 diabetes mellitus. Asian J Pharm Clin Res 2016;10:116-8.
Gupta A, Sharma M, Sharma J. A role of insulin in different types of diabetes: a review. Int J Curr Microbiol Appl Sci 2015;4:58-77.
Shaw JE, Sicreer RA, Zimmet PZ. Diabetes research and clinical practice. ELSEVIER 2010;87:4-14.
Jayatunge SP, Mahendra G, Siyabalapitiya SS, Siriwardana RC, Liyanage C. Total pancreatectomy for cholangiocarcinoma of the distal common bile duct associated with lipomatous pseudohypertrophy of the pancreas. Int J Hepatobilliary Pancreatic Diseases 2015;5:30-4.
Hardikar AA, Karandikar MS, Bhonde RR. Effect of partial pancreatectomy on diabetes status in BALB/C mice. J Endocrinol 1999;162:189-95.
Rajgopal G, Toora BD. Practical biochemistry. 2nd ed. Ahuja Publishing House; 2007.
Moron MS, Depierre JW, Mannervile B. Levels of glutathione, glutathione reductase and glutathione transferase activities in rat lung and liver. Biochem Biophysics Acta 1979;582:67-78.
Qadori Yasamin Thamer. Histological studies on pancreatic tissue in diabetic rats by using wild cherry. IRAQI Postgraduate Med J 2011;10:421-5.
Vaziri DN, Liang K, Azad H. Effect of cyclosporine on HMG-CoA reductase, cholesterol 7α-hydroxylase, LDL receptor, HDL receptor, VLDL receptor, and lipoprotein lipase expressions. J Pharmacol Exp Ther 2000;294:778-83.
Alenjandro Rodolfo, Cutfield Richard, Frances L, Latif Zuhair, Mint Z. Successful long-term survival of pancreatic islet al. log rafts in spontaneous or pancreatectomy induced diabetes in dogs: cyclosporine-induced unresponsiveness. John Wiley Sons Press; 1985;34:825-8.
Wolff SP, Dean RT. Glucose antioxidation and protein modification. The potential role of ‘autoxidative glycosylation’ in diabetes. Biochem J 1987;245:243-50.
Babizhayev MA, Lankin VZ, Savel Yeva EL, Deyev AL, Yegorov YE. Diabetes mellitus: novel insights, analysis and interpretation of pathophysiology and complications management with imidazole containing peptidomimetic antioxidants. Recent Patents Drug Delivery Formulations 2013;7:216-56.
Kasznicki J, Kosmalski M, Sliwinska A, Mrowicka M, Stancyzk M, Majsterek I, et al. Evaluation of oxidative stress markers in the pathogenesis of diabetic nephropathy. Mol Biol Reports 2012;39:8669-78.
Tiwari Kumar Brahm, Pandey Bhooshan Kanti, Abidi AB, Rizvi Ibrahim Syed. Markers of oxidative stress during diabetes mellitus: a review article. J Biomarkers 2013;378790:8. http://dx.doi.org/10.1155/2013/378790.
Dias Vera, Junn Eunsung, Mouradian Maral M. The role of oxidative stress in Parkinson’s disease. J Parkinsons Dis 2013;3:461-91.