Department of Pharmaceutical Science and Technology, Birla Institute of Technology 2275290, Mesra, Ranchi, Jharkhand, India.
Email: Bina.kr.mehta@gmail.com
Received: 05 June 2014 Revised and Accepted: 15 Jul 2014
ABSTRACT
Objective: The scheme of the present study is to formulate and evaluate herbal gel prepared from sub- fraction of Buchnania lanazan bark extract to augment its wound healing activity.
Methods: Ethyl acetate fraction of Buchanania lanzan bark (Et- BLB) was sub-fractionated by column chromatography using (7:3 methanol: chloroform) solvent system, phytochemical test for Et- BLB and F1- 4 (ethyl acetate sub-fractions 1, 2, 3 & 4 of methanolic extract of BLB); in particular total flavonoid and phenolic content to demonstrate existence of anti-oxidant activity. In-vivo wound healing supporting study mediated by carrageenan induced paw edema as anti inflammatory activity. Herbal gel was formulated incorporating one of the active sub-fractions essentially F4 in two concentrations (1% & 5%). Carbopol 934, propylene glycol 400, methyl paraben & quantity sufficient distilled water was used to prepare herbal gel; then tri-ethanolamine was added to get neutral pH (6.8 - 7) & gel was evaluated for its spreadability, pH, colour, consistency & appearance. Excision & incision models were used to validate and to review enhancement competence of wound healing activity; employing percent wound contraction & tensile strength of wounded skin as parameters. Reference standard used was framycetin sulphate cream.
Results: Total phenolic and flavonoid content of F4 was showing highest flavonoid and phenolic content 83.3 mg/g and 77.8 mg/g respectively. Prepared gel was reddish brown in colour with satisfying spreadability, acceptable appearance along with homogeneity and negligible irritation. Excision and incision animal wound model, groups treated with F4 5 % gel and reference standard exhibited significant increase in percentage of wound contraction as well as up growth in tensile strength with 177 g (P<0.05) and 181.2 g (P<0.01) respectively.
Conclusion: Data from both the models revealed that 5% gel of F4 showed significant & enhanced wound healing.
Keywords: Gel, Wound healing, Spreadability, Incision and excision wound model.
INTRODUCTION
Varieties of plants are being used in the crude form for wound healing but due to lack of their marketed formulations they are not being known. The available herbal products incorporated with plant extracts have become very popular in the market due to their convincing potency and intrinsic satisfaction with rare adverse effects. Comparatively one third of all conventional medicines are used to treat wounds and skin disorders, when related to only 1.3% of leading-edge drugs [1]. Declination in activity of crude plant extract is frequently observed due to the environmental stimulus and inconveniency during administration (topically, parentrally or orally). Hence, there is a need of modification in conventional method of using crude extract in order to know the rational understanding of disease mechanism which will provide a scientific basis for traditional use of herbal medicine.
Buchnania lanzan Spreng. (Syn: Buchanania latifolia Roxb. Family: Anacardiaceae), usually being informed as “piyal or chironji” in Hindi. It is a medium size tree of 12 to 15 m. hight, with a straight trunk. Leaves are oval shaped with diameter 12.5 – 25 x 6.3-12.5 cm, broadly oblong, obtuse, glabrescent above and more or less villous beneath. Petioles are about 12 mm long, panicles shorter than leaves, woolly or velvety. Flowers crowded, small, sessile, greenish white, bracts, petals 2.5 mm long, ovate-oblong, sub acute; stamens 10, a little shorter than the petals; filaments flattened; anthers about as long as the filaments; ovaries one perfect, conical, pubescent, four others reduced to filaments. Fruits are drupes obliquely lentiform, 8-12 mm long, green when immature and black at ripened stage; stone hard, 2-valved. The tree is found as natural wild in the tropical deciduous forest of north, western and central India, mostly in the state of Madhya Pradesh, Bihar, Orissa, Andhra Pradesh, Chhattisgarh, Jharkhand, Gujarat, Rajasthan and Maharashtra.
Perusal of ancient literatures (Charak Samhita, Bhavprakash, Chakradutta, Chiranjeev Vanaushadhi) revealed that the plant has been traditionally used as laxative, astringent, expectorant, purgative, binding, cooling and aphrodisiac; removes “kapha;” purifies blood; tonic to the body, heart and brain; cures “vata,” ulcers, blood diseases, biliousness, fever, thirst, pimples, prickly heat and various other skin disorders [2]. Bark has been found to prevent cyclophosphamide induced genotoxicity and oxidative stress in mice [3]. Dry fruits of Buchnania lanzan have been reported to show immunostimulant and astringent properties [4]. Kernel from the plant is known to posse’s antioxidant and anti inflammatory activity [5]. Phytochemical analysis of the plant reveals the presence of flavonoid, tannins, glycosides, phenols, steroid, saponin and gallic acid and myricetin 3’- rhamnoside-3-galactoside in leaves [6, 7].
Wound healing is a complex process of restoring cellular structure and layers of tissue together in the damaged tissue to its normal state. It consists of 3 phases, namely the inflammatory phase, the proliferative phase and the phase of maturation or remodelling. The inflammatory phase is characterized by hemostasis and inflammation. Proliferative phase consists of epithelialization, angiogenesis and collagen deposition. In the maturation phase, the wound undergoes contraction resulting in lesser amount of apparent scar tissue. Granulation tissue which is formed in the final part of the proliferative phase mainly consists of fibroblasts, collagen, edema and new blood vessels [8].
MATERIALS AND METHODS
Plant Material
Buchnania lanzan (Spreng) barks were procured from the campus of BIT, mesra, Ranchi Jharkhand in the month of June 2012. The plant was identified and authenticated from Central National Herbarium, Botanical survey of India (BSI) P.O. Botanical garden, Howrah. [No. – CNH/I.I (81) 2005- Tech. II. / 1134]. The Plant specimen Herbarium was also submitted in the Department of Pharmaceutical Science and Technology, BIT, Mesra, Ranchi.
Preparation of plant material
The barks were dried in shade for 15 days. Once thoroughly dried, barks were subjected to size reduction by grinding and after subsequent sieving, the powdered mass of bark were subjected to extraction with successive cold maceration employing petroleum ether, chloroform, ethyl acetate and methanol for 7 days at room temperature with intermittent stirring and shaking. The extract obtained was decanted and clarified by filtration, then concentrated and solvent was recovered by rotatory evaporation. After preliminary screening of all the extract, methanolic extract was selected for further fractionation using ethyl acetate, n-butanol and water. On the ground of various anti- oxidant assays, ethyl acetate fraction was selected and proceeded for sub fractionation which was accompanied by the range of solvent system; petroleum ether: chloroform (1:1; F1), Chloroform (100%; F2), Chloroform: methanol (9:1; F3), chloroform: methanol (7:3; F4).
The most active sub-fraction F4 was selected for herbal gel preparation and wound healing studies on the strength of its various antioxidant assays and In-vivo wound healing supporting screenings.
Phytochemical test of sub- fraction of ethyl acetate extract
Estimation of total Flavonoid content
0.5 ml of sub fraction of ethyl acetate (100 µg/ml) was infused with 1.5 ml of methanol (75 % v/v), 0.1 ml of potassium acetate (1 M) & 2.8 ml of distilled water. The reaction mixture was allowed to incubate for 30 min at room temperature before the absorbance was taken at 435 nm. Water 0.1 ml was used to substitute aluminium chloride for blank. Quercetin was used as standard for the calibration curve. The result was expressed as quercetin equivalent in mg/g of extract (Table no. 1) [9].
Estimation of total Phenolic content
0.1 ml of sub – fraction of ethyl acetate (10 µg/ml) was mixed with 0.5 ml of folin –ciocalteu reagent (Diluted 1: 10 ratio with distilled water) and 1.5 ml of sodium carbonate. The solution was shaken thoroughly and made up to the 10 ml by double distilled water. The mixture was allowed to stand for 2 hours. The absorbance was measured at 750 nm, using gallic acid as standard (2-10 µg/ml). Standard plot was obtained. The total phenolic content was expressed as gallic acid equivalent in mg/g of the extract (Table no. 2) [19].
In-vivo supporting study for wound healing
Anti-inflammatory activity
Carrageenan-induced rat paw edema method
In this method, Wistar rats of either sex weighing (200- 250 gm) were taken and divided into three groups of three each. The animals were pre-treated with standard reference drug and F4 in concentration of (50 mg/kg) 30 min before carrageenan injection (phlogistic agent) of 0.1 ml dose (i.p). Carrageenan was injected into the sub plantar region of left hind paw of each rat. Swellings of carrageenan-injected foot were measured at 30 min, 60 min, 120 min, 180 min, using plethysmometer (ALMEMO.2390-5/AHLBORN). The right hind paw was injected with 0.1 ml of vehicle. The animals received the standard drug declofenac sodium (Alembic Limited) (100 mg/kg, i.p.) [21, 22]. This served as reference standard (Table no.3).
The percent inhibition in increase of edema volume for each animal group was calculated by the following formula,
% inhibition of edema =
× 100
Where, Vt = Edema volume at time (t) after carrageenan treatment, V0 = Average edema volume of animals taken before oral administration of reference standard and F4.
Gel Preparation
The herbal gel was prepared using two different concentration of F4 (1 % and 5%). Two mixtures were prepared by adding 1 gm carbopol 934 (Lubrizol) in distilled water with continuous agitation: (A) and Methyl paraben (CDH) (0.5%) in hot water, propyl paraben (CDH) (0.2%) in propylene glycol (CDH): (B) [9]. Required quantity of F4 mixed in distilled water with continuous stirring and added to mixture A, both the mixture was blended and volume was made up to 100 ml. Tri- ethanolamine (Sigma-Aldrich) was added drop wise to get neutral pH (6.8 - 7) and to obtain gel of required consistency and then prepared gel was packed in a air tight wide mouth container. Same procedure was followed for preparation of placebo gel (Table no. 4).
Evaluation of herbal topical gel
Physical evaluation
Physical parameters such as the colour and appearance were checked.
Measurement of pH
pH measurement of formulated gel was executed by employing systronics μ pH system 361. By immersion of the glass electrode into the formulation.
Spreadability
Spreadability was determined by the unit consisting of a glass slide provided all that is with a pulley at one end. By this method spreadability was measured based on rolling resistance and drag of gels. Excess gel (2 g) in-studio has been placed on the ground sheet. The gel was then sandwiched between the slides and the other glass slide having the dimension of the slide fixed to the ground and provided with hook. 25 g weight was placed on top of the two sheets for 5 minutes to remove air and to provide a uniform gel film between slides. Excess gel was dropped from the edges. The top slide is then subjected to pull 80 gm weight with the help of a string attached to the hook and the time (in seconds) required by the upper slide to cover a distance of 7.5 cm. Shorter interval indicates better spreadability.
Spreadability was calculated using the following formula:
S = 
Where, S = Spreadability, M = weight in the pan (tied to the upper slide), L = Length moved by the glass slide and T = Time (in sec) taken to separate the slide completely each other [9].
Homogeneity
All developed gels were tested for homogeneity by visual inspection after the gels have been set in the container. They were tested for their appearance and presence of any aggregates.
Skin irritation test
In the skin irritation study either sex of rats were used. Animals were divided into 4 groups. Hairs were depleted from the back of mice with the help of depilatories and area 4 cm2 was marked on both sides. One side served as control while the other as test and animals were used after 24 hours [10]. After hair depletion gel was applied by spatula once daily for 7 days and site was covered with cotton bandage and observed for sensitivity and the reaction as erythema and edema (Table no. 5).
Pharmacological Screening
Experimental animals
Swiss male albino mice weighing 25–30 g were used in the study. Animals were procured from Laboratory Animal House of Birla Institute of Technology, Mesra (Reg. no.: 621/02/ac/CPCSEA, Ref no. PROV/BIT/PH/IAEC/06/2012/14.10.2010). All animal experiments strictly complied with the approval of institutional animal ethical committee. The animals were kept in polyacrylic cages and maintained under standard housing conditions of temperature (24-27°C) and humidity (60-65%) with 12:12 light: dark cycles. They were acclimatized for seven days. Gel was applied once daily topically on wounds for 14 days.
Wound healing activity
Excision wound model
The male albino mice were divided into 4 groups (n=4)
Group A: Placebo treated wounded mice
Group B: 5% gel treated wounded mice
Group C: 1 % gel treated wounded mice
Group D: Reference standard treated wounded mice (Framycetin sulphate)
At first the mice were anaesthetized by open mask method using ether as anaesthetic agent [11]. Dorsal back of mice was depilated and ethyl alcohol (70%) was used as topical antiseptic for the depilated dorsal back before wound creation. An excision wound was carefully made by removing 7mm ×7 mm full thickness area from a predetermined area on each mice [12]. The excised wound was left undressed to the open environment and microbial agents were not at all used. Formulated gel and reference standard was applied once daily with sterilized spatula, which will take approximately same exact amount of gel. Application of formulated gel continued till 14 days, after termination of experiment, animals of all the groups treated with reference standard. During the experiment wounded animals were also documented photographically from fixed distance. The mice were distributed in groups and were placed in separate cages.
Linear incision wound model
Animals in each group were anaesthetized correspondingly as in excision wound model and one paravertebral long incision was made through the skin and cutaneous at a distance of 1 cm on depilated back. After the incision made the parted skin kept together and stitched with surgical thread and curved needle [13]. The wound was left undressed. Formulated gel and reference standard was applied topically with sterilised spatula once daily for 11 days; when wounds were cured thoroughly the sutures were removed on 11th day and tensile strength was measured.
Wound healing evaluation parameters
Determination of wound contraction
After surgery the excision wound margins was traced by the progressive changes in wound area planimetrically. The size of wound was traced on a transparent paper in every 2 days interval throughout the monitoring period; measurements were continued up to 14 days. The tracing was then shifted to graph paper, from which wound surface area was evaluated [14]. The evaluated surface area was then employed to calculate the percentage of wound contraction. Wound contraction was expressed as percentage of wound area that had healed.
The wound contraction percentage was determined from the measurements using the following formula:
% Wound contraction =
× 100
Measurement of tensile strength
The sutures were removed on the 11th day and mice were anaesthetized. Small piece of healed wound was cut such that the healed incision wound comes exactly in the middle. Four small curved needles were pierced through the healed skin, two on either side. On the one side two needles were tied to a rod and the other side two needles were tied to a plastic bottle, which hangs freely in the air (the either side of needles were placed equidistance from the healed incision wound). Then slowly water was added to bottle until wound began to open [15]. The amount of water in the bottle was weighed and considered as an indirect measure of the tensile strength of the wound. The mean determinations of tensile strength on the paravertebral incisions on the animals were taken as the measures of the tensile strength of the wound for an individual animal.
% Tensile strength =
× 100
Histopathological examination
After deep ether anaesthesia, the cross – sectional full thickness skin specimens from each group were taken out on 10th day of the experiment for histopathological examinations. The tissue was sectioned into very thin (2 – 8 or 5-10 micrometer) sections using microtome, then Hematoxylin and eosin stained tissue slides were examined under the Leica DME microscope and photographs were captured with 7.1 M Pixels Canon power shot for histopathological changes for aggregation of macrophages, migration of fibroblasts, new blood vessels formation and collagen deposition [16].
Statistical analysis
The data were analysed statistically using one – way analysis of variance (ANOVA) followed by Dunnett’s t – test. The data were expressed as mean ± SEM. P – value less than 0.05 imply significance.
RESULTS AND DISCUSSION
Total flavonoid and phenolic content
Total flavonoid content reported that among the other sub- fractions of ethyl acetate fraction F4 reported highest flavonoid content 83.3 mg/g and phenolic content 77.8 mg/g as compared to ethyl acetate fraction 73.3 mg/g and 67.3 mg/g respectively.
Anti inflammatory activity
F4 was showing significant increase in inhibition of paw edema value as time elapsed specifically at 1, 2 and 3 hours as compared to control.
Physical evaluation of gel
The herbal gel prepared was reddish brown in colour, translucent in appearance, gave smooth experience on application, pH was found 6.8 to 7.2, spreadability was also planted to be with less variation, on slight agitation gel was evenly and efficiently spreaded, adhered suitably to imperative surface area, and absence of lumps indicates acceptable homogeneity. Formulated topical gel was non - irritant upon application. (Table no. 5) and (Figure no. 1) shows values of physical evaluation of all formulations at the time of formulation and photographical representation of formulated gel.
Wound contraction
Excision wound models showed that all treated animal groups exhibited significant increase in the percentage of wound contraction as compared to placebo control group on 11th day. However, it was seen that the significant healing of wound took place in case of animals, which received 5% F4 gel as compared to control, photographically exhibited in (Figure no. 2). Among them F4 5% has shown significant increase in wound contraction on 8th, 11th, 14th, day of post wounding day, which was as comparable as that of standard treated group. Values of percentage wound contraction on different days presented in (Table no.6).
Tensile Strength
Tensile strength of incised wounds documented in (Table no. 7), animals treated with 5% gel of F4 and reference standard showed significant increase in tensile strength with 177.5 g (P < 0.05) and 181.2 g (P < 0.01) respectively, compared with tensile strength of control Placebo group, i.e., 148.6 g.
Histopathological examinations
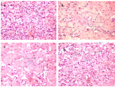
Histopathological examination revealed the wound healing process of the wounded tissue showed in (Figure no.3). Mice which received topical application with 5% gel of F4 was comparably close to the reference standard drug and its sections of tissue also observed with less aggregation of macrophages, enhanced migration of fibroblasts cells, formation of new blood vessels and well collagen deposition indicates nearly complete healing of wound in the 10th post wounding day.
CONCLUSION
Wound healing can be discussed in three phases viz. Inflammatory phase, proliferative phase and maturational or remodelling phase [8]. And it is a multifactorial process that results in contraction and closure of the wound and restoration of a functional barrier. It is consented that reactive oxygen species (ROS) are deleterious to wound healing process due to the harmful effects on cells and tissues [17]. Numbers of constituents grounded in plant extract are potent anti–oxidants and have strong antimicrobial activity, as plants are root of many naturally occurring flavonoids and other phenolic compounds, higher the content of these flavonoids and phenolic compounds, higher the antioxidant activity which plays critically influential aspect in enhancing wound healing activity. F4 was selected on the ground of compelling range of antioxidant activities. Wound surface area essentially should have moist environment, possible mechanism explaining the observed improved healing include easier migration of epidermal cells over the moist wound surface instead of under a dry scab, increased partial pressure of oxygen, & the preservation of growth factors and protienases present in fluid exudates that are hence allowed to exert their potentiating effect on wound healing [18]. Epithelial layer that seals and protects the wound from bacteria and fluid loss, needs moist environment for its formation and foster growth. The layer is very much fragile that can be easily destroyed by with aggressive wound irrigation, hence due to adherence of drug along with help of formulated gel with higher concentration of F4 to imperative surface area provides moist environment which enhances the formation of epithelial layer by protecting it from external adversity and stress, by providing anti-microbial and anti-oxidant effect.
Table 1: Total flavonoid content of Et-BLB and sub-fractions of BLB
| S. No. | Fractions | Total flavonoid content(mg/g) |
| 1. | Ethyl acetate | 73.3 |
| 2. | Sub-fraction 1 | 16 |
| 3. | Sub-fraction 2 | 6.6 |
| 4. | Sub-fraction 3 | 40 |
| 5. | Sub-fraction 4 | 83.3 |
Table 2: Total Phenolic content of Et-BLB and sub-fractions of BLB
| S. No. | Fractions | Total phenolic content (mg/g) |
| 1. | Ethyl acetate | 67.3 |
| 2. | Sub-fraction 1 | 37 |
| 3. | Sub-fraction 2 | 36 |
| 4. | Sub-fraction 3 | 40 |
| 5. | Sub-fraction 4 | 77.8 |
Table 3: Carrageenan-induced hind paw edema in rats.
| S. No. | Treatment | Dose(mg/kg) | Paw edema (ml)Mean ± SE | |||
| 30 min | 1 hr | 2 hr | 3 hr | |||
| 1. | Control | - | 0.425 ±.078 | 0.725 ± 0.085 | 0.775 ± 0.094 | 0.625 ± 0.137 |
| 2. | Standard(Diclofenac Sodium) | 100 | 0.175 ± 0.3*(52.63) | 0.2 ± 0.00**(72.41) | 0.1 ± 0.041**(87) | .05 ± 0.028**(92) |
| 3. | Sub-fraction 4 | 50 | 0.175 ±.05*(52.63) | 0.25 ±.03*(65.5) | 0.2 ± 0.00**(74.19) | 0.1 ±.041**(84) |
Values in brackets are % inhibition of edema, Each value is the mean ± S.E.M, n=4, EV: edema volume; EI: edema inhibition, *P < 0.05 vs. control, One way ANOVA followed by Dunnet’s t-test. **p < 0.01 vs. control, One way ANOVA followed by Dunnet’s t-test.
Table 4: Preparation of placebo gel and gel with F4
| Contents | Placebo gel | Gel (1%) | Gel (5%) |
| Carbopol (g) | 1 | 1 | 1 |
| Methyl Paraben (0.5%)(ml) | 0.2 | 0.2 | 0.2 |
| Propyl Paraben (0.2%)(ml) | 0.1 | 0.1 | 0.1 |
| Propylene Glycol (ml) | 5 | 5 | 5 |
| Triethanolamine (ml) | 1.2 | 1.2 | 1.2 |
| Extract(g) | - | 1 | 5 |
Table 5: Physical evaluation of all formulations at the time of gel formulation
| Formulation | Colour | Appearance | Spreadability(g.cm/sec) | pH |
| Placebo Gel | White | Clear and Transparent | 13.2 | 7.0 |
| F4 gel 1% | Reddish brown | Clear and Translucent | 10 | 6.8 |
| F4 gel 5% | Reddish brown | Clear and Translucent | 8 | 7.2 |
Table 6: Wound healing activity of F4 and standard by excision wound model in mice
| S. No. | Post wounding days | Percentage wound contraction (Mean ± SEM) | |||
| Standard(Framycetin Sulphate) | Control | F4 extract(5%) gel | F4 extract(1%) gel | ||
| 1. | 2 | 1.135 ± 0.1775 | 0.945 ± 0.098 | 1.025 ± 0.165 | 0.955 ± 0.085 |
| 2. | 5 | 17.563 ± 3.237* | 5.630 ± 0.739 | 12.30 ± 3.678 | 10.58 ± 1.230 |
| 3. | 8 | 52.53 ± 3.050** | 34.53 ± 2.120 | 50.76 ± 1.244* | 43.07 ± 2.730 |
| 4. | 11 | 87.60 ± 1.766** | 41.03 ± 3.736 | 74.20 ± 1.776** | 62.40 ± 2.184* |
| 5. | 14 | 92.50 ± 0.860** | 62.48 ± 1.167 | 85.12 ± 1.430** | 64.38 ± 2.889 |
Values are expressed as mean ± SEM (N=4), *P<0.05, **P< 0.01 When compared to control. One way ANOVA followed by Dunnet’s t-test.
Table 7: Wound healing activity of F4 and standard by incision wound model in mice.
| S. No. | No. of animals | Treatment | Tensile strength (g) (Mean ± SEM) |
| 4 | Control | 148.6 ± 4.110 | |
| 4 | Standard (Framycetin sulphate) | 181.2 ± 1.391** | |
| 4 | F4 (5% gel w/w) | 177.5 ± 3.285* | |
| 4 | F4 (1% gel w/w) | 153.4 ± 3.423 |
Values are expressed as mean ± SEM (N=4), *P<0.05, **P<0.01 When compared to control. One way ANOVA followed by Dunnet’s t-test.

Fig. 1: Photographical representation of formulated gel

Fig. 2: Photographical representation of wound contraction on different days (0 - 14) by excision wound model in mice,
A- Placebo treated group;
B- Framycetin Sulphate treated group;
C- F4 gel (5%) treated group; D- F4 gel treated group (1%).

Fig. 3: Photomicrographs of hematoxylin and eosin stained sections of granulation tissue obtained from the animal wounds of,
A - Placebo treated group shows more aggregation of macrophages (M), poor migration of fibroblasts cells (F) and less collagen (C) formation which is not significant indicates incomplete healing of wound;
B - Framycetin Sulphate treated group shows fewer aggregation of macrophages, increased migration of fibroblasts cells, formation of new blood vessels and increased collagen deposition indicates complete healing of wound;
C - F4 gel (5%) treated group shows less aggregation of macrophages, enhanced migration of fibroblasts cells, formation of new blood vessels and enhanced collagen deposition indicates nearly complete healing of wound;
D - F4 gel (1%) treated group shows aggregation of macrophages, less migration of fibroblasts cells and less collagen formation which is not significant indicates incomplete healing of wound.
ACKNOWLEDGMENT
We would like to thank Department of Pharmaceutical Science and Technology, BIT, Mesra, Ranchi for providing all the facilities.
CONFLICT OF INTERESTS
Declared None
REFERENCES