*1Department of Pharmaceutical Chemistry, Seven Hills College of Pharmacy, Tirupati - 517561, Andhra Pradesh, India, 2Department of Pharmaceutical Chemistry and Regulatory Affairs, Teegala Ramreddy College of Pharmacy, Meerpet, Hyderabad - 500097, Andhra Pradesh, India.
Email: shankarmanichellappa2014@gmail.com
Received: 11 Aug 2014 Revised and Accepted: 15 Sep 2014
ABSTRACT
Objective: The present study was carried out to evaluate the antidiabetic activity of hydroalcoholic extracts of Eugenia jambolana leaves.
Methods: The hydroalcoholic extracts of Eugenia jambolana by alloxan induced diabetic rats for 20 days. At high dose (400 mg/kg) it is exhibited significant anti- hyperglycaemic activity than hydroalcoholic extracts of Eugenia jambolana at low dose (200 mg/kg) in diabetic rats.
Results: The hydroalcoholic extracts of Eugenia jambolana also showed improvement in parameters like body weight, Serum Cholesterol level and hepatic glycogen as well as regeneration of beta-cells of pancreas in diabetic rats.
Conclusion: Histopathological studies reinforce the healing of kidney by hydroalcoholic extracts of Eugenia jambolana leaves as a possible mechanism of their antidiabetic activity. The present study provides a proof for the strong chemo taxonomical relationship for the plant
Keywords: Histopathological, Antidiabetic activity, Hydroalcohol and Eugenia jambolana leaves.
INTRODUCTION
Diabetes mellitus is one of the common metabolic disorders with micro-and macrovascular complications that results in significant morbidity and mortality. It is considered as one of the five leading causes of death in the world [1,2]. In modern medicine no satisfactory effective therapy is still available to cure diabetes mellitus [3]. There is increasing demand by patients to use natural products with antidiabetic activity due to side effects associated with the use of insulin and oral hypoglycemic agents [4].
In India, earlier the medicines used in indigenous systems of medicines were generally prepared by the practicing physicians by themselves, but now this practice has been largely replaced by the establishment of organized indigenous drug industries [5], the current trend of medicinal plants based drug industry is to procedure standard extracts of plants as raw material.
The Eugenia jambolana is well known plant for its medicinal properties in indigenous medicine in India. Based on the traditional uses as well as earlier work on other species of Eugenia jambolana, the Eugenia jambolana leaves is selected for anti-diabetic studies.
MATERIALS AND METHODS
Collection and Authentication of E. Jambolana Leaves
The leaves of E. jambolana was collected in Vangapally (Village), Nalgonda (District) and authenticated by a botanist Dr. S. Srinivas rao, Swami Degree College, Bhongir (Mandal), Nalgonda (District), where voucher specimen was retained for further reference. The plant materials were dried under shade, coarsely powdered and separately subjected to extraction.
Preparation of Hydro-alcoholic Extract of E. Jambolana Leaves
The dried leaves of E. jambolana was coarsely powdered and 200 g was extracted with 1 l of hydro-alcohol (Water 50%: Ethanol 50%) in a Soxhlet apparatus for 48 hrs. The extract was concentrated under reduced pressure and controlled temperature (40-50 °C). The hydro-alcoholic extract yielded a dark green semisolid residue, weighing 21.8 g (10.90 % w/w). The extract was stored in air-tight container in a refrigerator at 4 °C until further use.
Phytochemical Investigation of Hydro-alcoholic Extracts of E. Jambolana Leaves
The Preliminary phytochemical studies of hydroalcoholic extract of E. Jambolana leaves was carried out according to standard procedures.
Experimental design
Acute toxicity study
Acute toxicity test at 3000mg/kg of leaf extracts of E. jambolana leaves produced no mortality after 24 hours of observation. The median lethal dosage (LD50) of the hydro-alcoholic leaves extract was greater than 3000 mg/kg body weight. The extract did not produce any grossly negative behavioural changes such as excitement, restlessness, respiratory distress, convulsions or coma. However, a reduction in body weights of the rats was observed.
The reduction in weight may be due to reduced fluid and water intake, which may be secondary to feeling of fullness and loss of appetite after administration of the extract. Despite the above side effects, the very high value of the LD50 indicated that the extract of E. jambolana leaves is practically non-toxic [6].
Anti-Diabetic Hydro-Alcoholic Extract of Eugenia Jambolana Leaves by Alloxan-Induced Diabetic Model
Animals
Healthy Swiss Wistar rats of either sex, weighing 180-220 g, were procured from the animal house. The animal house was well ventilated and animals had 12 ± 1 h day and night schedule. The animals were housed in large spacious hygienic cages during the course of the experimental period and room temperature was maintained at 25 ± 1 °C. The animals were fed with standard rat feed and water ad libitum [7].
Ethical clearance for handling the animals is obtained from the Institutional animal ethical committee prior to the beginning of the project work from Institutional Animal Ethical Committee (IAEC) of SASTRA University, Thanjavur, and Tamilnadu. The experiments were conducted as per the guidelines of CPCSEA, Chennai, India (Approval no: 86 / SASTRA / IAEC / RPP).
Induction of diabetes
Diabetes was induced by injecting at a dose of 150 mg/kg body weight intraperitoneally. After 1 hour of alloxan administration, the animals were given feed ad libitum, and 5% dextrose solution was also given in a feeding bottle for a day to overcome the early hypoglycemic phase. The animals were kept under observation and after 48 hour blood glucose was measured by glucometer. The diabetic rats (glucose level >300 mg/dl) were separated and divided into six different groups for experimental study, with each group containing six animals. The animals were divided into five groups and each group consisted of six rats [8].
Preparation of extracts and standard
Hydro-alcoholic extract of E. jambolana suspensions were prepared in 0.3% sodium carboxy methyl cellulose (CMC) in distilled water. Standard glibenclamide (10 mg/ml) suspension was also prepared in 0.3% sodium CMC and administered orally to the animals with the help of an intragastric catheter.
Procedure
The rats were divided into five groups containing six animals in each group. Group I was served as normal control and group II as diabetic treated control. Both these groups were received sodium CMC (0.3%, 5 ml/kg bw). Group III was treated with the standard drug glibenclamide at 10 mg/kg bw. Groups IV and V animals were treated with the E. jambolana hydro-alcoholic extract at the dose levels of 200 and 400 mg/kg bw. Glucose level in all the animals was measured in 0, 5, 10, 15, 20 days.
On 21st day, all the animals were anesthetized by anesthetic ether and blood was collected from the abdominal artery and kept for 30 min at 4 ºC. Serum was separated by centrifugation at 2500 rpm for 15 min at 4 ºC and used for the biochemical estimations. After the collection of blood samples, A portion of the kidney tissues were fixed in 10% formalin, cut into 5 μm thick sections and stained using heamatoxylin-eosin and histopathological observations were made [9].
RESULTS AND DISCUSSION
Phytochemical screening of all the extract of E. jambolana leaves showed the presence of various chemical constituents, mainly tannins, saponins and flavonoids which may be responsible for its antidiabetic and anti-oxidant properties. The results obtained were comparable and satisfied the standard literature. To ascertain a scientific base for the usefulness of this plant in the treatment of diabetes, it was decided to evaluate experimental design of antidiabetic activity by alloxan-induced model. As expected, in the diabetic control, there was severe hyperglycemia when compared with the normal animals. When compared with the Diabetic control, the hydro-alcoholic extract of Eugenia jambolana leaves as shown in Table 1, lowered the elevated blood glucose levels. It was observed that the standard drug Glibenclamide lowered the blood glucose level significantly bringing it nearly back to normal was show in Figure 1, whereas hydro-alcoholic extract of Eugenia jambolana leaves significantly decreased blood serum glucose in the diabetic rats on fifth, tenth, fifteenth and twentieths days compared with the diabetic control rat’s blood serum glucose levels.
In the present study, diabetic rats had lower body weights, high blood glucose level as compared to the normal rats, which confirmed the induction of diabetic by alloxan. In spite of the increased food consumption, loss of body weight due to defect in glucose metabolism and excessive breakdown of tissue protein is a characteristic condition in diabetics. The treatment with hydro-alcoholic extract of E. jambolana leaves improved the average body weights of rats which indicate control over polyphagia and muscle wasting resulted due to hyperglycemic condition.
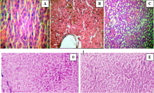
Alloxan causes massive reduction in insulin release, through the destruction of b-cells of the Islets of Langerhans. In our study, we have observed a significant increase in the plasma insulin level when alloxan diabetic rats were treated with hydro-alcoholic extract of E. jambolana leaves. This could be due to potentiation of the insulin effect of plasma by increasing the pancreatic secretion of insulin from existing b-cells of islets of Langerhans or its release from bound insulin. The significant and consistent antidiabetic effect of hydro-alcoholic extract of E. jambolana leaves in alloxan diabetic rats may also be due to enhanced glucose utilization by peripheral tissues. Effects of hydro-alcoholic extract of E. jambolana leaves on rat kidney histopathology, The area of steatosis in the D and E (EJ 200 mg/kg, EJ 400mg/kg) groups decreased remarkably when compared with that in the control group C (Glibenclamide 10mg/kg); however there was no significant difference in the score of kidney steatosis between the C, E, F groups. Further analysis revealed that the score of steatosis in the D, E, group was significantly reduced, as compared with C group was shown in Figure 2. Acute toxicity test at 3000mg/kg of leaf extracts of E. jambolana leaves produced no mortality after 24 hours of observation. The median lethal dosage (LD50) of the hydro-alcoholic leaves extract was greater than 3000 mg/kg body weight.
The extract did not produce any grossly negative behavioural changes such as excitement, restlessness, respiratory distress, convulsions or coma. However, a reduction in body weights of the rats was observed. The reduction in weight may be due to reduced fluid and water intake, which may be secondary to feeling of fullness and loss of appetite after administration of the extract. Despite the above side effects, the very high value of the LD50 indicated that the extract of E. jambolana leaves is practically non-toxic.
Table 1: Effect of Hydro-alcoholic Extract of E. jambolana Leaves on Glucose Level in Rats With Alloxan Induced Diabetes
| Group No. | Treatment group | Day 0 | Day 5 | Day 10 | Day 15 | Day 20 |
| I | Normal Control | 98.67±3.45 | 92.56±6.23 | 85.87±8.53 | 91.23±5.89 | 87.48±6.74 |
| II | Diabetic control | 375.39±13.67 | 398.45±16.72 | 407.51±13.34 | 436.67±15.49 | 452.74±18.39 |
| III | Diabetic + Glibenclamide 10 mg/kg | 368.73±10.45 | 304.92±14.39 | 250.79±14.27 | 233.44±11.25 | 208.25±11.59 |
| IV | Diabetic + EJ 200 mg/kg | 372. 93±9.67* | 364.42±8.7* | 336. 54 ± 13.27* | 343.32±11.07* | 295.84±18.23* |
| V | Diabetic + EJ 400 mg/kg | 377.63±12.53** | 352.38±15.64** | 316.37±16.83** | 284.79±10.64** | 253.70±12.92** |
Between groups comparison was done using one way ANOVA, Values are in mean ± SE; Number of animals in each group = 6; * p <0.05 Vs Group III, ** p <0.05 Vs Group III.

Fig. 1: Effect of Hydro-alcoholic Extract of E. jambolana Leaves on Glucose Level

Fig. 2: Histological change in kidney tissue in rat representative sections of hematoxylin eosin stained (H & E, X 100)
CONCLUSION
Qualitative phytochemical analysis for all the extracts was carried out by using standard procedures; it shows the presence of alkaloids, tannins, saponins. The hydro-alcoholic extract of E. Jambolana leaves has antidiabetic. It also increases body weight of diabetic rats. In this experimental model, the hydro-alcoholic extract E. jambolana leaves (200, 400 mg/kg) with reference standard Glibenclamide significantly effective in abnormalities of enzyme profile in experimental rats.
The data that E. jambolana leaves extract is beneficial in controlling the blood glucose level, this could be useful for prevention or early treatment of diabetic disorders. Biochemical and histological evidences were used to prove the activities. Hence, the present study provides a proof for the strong chemo taxonomical relationship for the plant.
CONFLICT OF INTERESTS
Declared None .
ACKNOWLEDGEMENTS
The authors are sincerely thankful to SASTRA University, Thanjavur, Tamilnadu and Seven Hills College of Pharmacy, Tirupati, Andhra Pradesh, India for providing the facilities to complete this research work.
REFERENCES