aDepartment of Biochemistry and biological cellular and molecular, Faculty of sciences, Mentouri university, BP 25000 Constantine, Algeria.
Email: youcefnecib@yahoo.fr
Received: 12 Jun 2014 Revised and Accepted: 19 Jul 2014
ABSTRACT
Objective: The study was designed to investigate the possible protective role of aqueous extract of cyperus rotundus in mercuric chloride induced renal stress, by using biochemical approaches.
Methods: The effects of aqueous extract of cyperus rotundus on mercuric chloride induced oxidative and renal stress were evaluated by serum creatinine, urea and uric acid levels, kidney tissue lipid peroxidation, GSH levels, GSH-Px and GST activities.
Results: Administration of mercuric chloride induced significant increase in serum: creatinine, urea and uric acid concentration showing renal stress. Mercuric chloride also induced oxidative stress, as indicate by decreased kidney tissue of GSH level, GSH-Px and GST activities along with increase the level of lipid peroxidation. Furthermore, treatment with mercuric chloride caused a marked elevation of kidney weight and decreased body weight. aqueous extract of cyperus rotundus treatment markedly reduced elevated serum: creatinine, urea and uric acid levels and conteracted the deterious effects of mercuric chloride on oxidative stress markers and attenuated histological changes caused by HgCl2 in kidney.
Conclusion: Our results indicate that aqueous extract of cyperus rotundus could have a beneficial role against mercuric chloride induced nephrotoxicity and oxidative stress in rat.
Keywords: Antioxidant enzymes, Mercury, Cyperus rotundus, Renal stress.
INTRODUCTION
Mercury is a well-known human and animalinduces extensive kidney damage nephrotoxicant. acute oral or parenteral exposure induces extensive kidney damage[1,2]. Studies in vivo and in vitro have demonstrated that mercury induced lipid peroxidation, suggesting the involvement of oxidative stress in its cytotoxicity[3,4]. Lund et al. (1993)[3] reported that mercury enhances renal mitochondrial hydrogen peroxide formation in vivo and in vitro. However, cansative correlation between mercury induced lipid peroxidation and cellular toxicity remainscontroversial.
Some authors reported that lipid peroxidation plays a critical role in cell injury induced by mercury [3] in renal cells, whereas other investigators showed that lipid peroxidation is not directly responsible for mercury induced cell injury in hepatocytes and renal cells [5,6]. It is important to develop an effective drug for mercury to prevent the mercury induced cellular damages. Historically, plants have been used as folk medicine against various type of disease.
Previous studies have been showed that the herbal origin antioxidants can reduce the oxidative stress induced by mercuric chloride [7]. Therefore, treatments with antioxidant and radical scavengers such as vitamin E, vitamine Cand herbal antioxidants were found to decrease the oxidative stress induced mercuric chloride[8]. Cyperus rotundus extract is a folk medicinal herb containing many polyphenoic compounds, flavonoids and phenolic acids, which may act as antioxidative potential. the phytochemical studies have been showed that the major chemical component of cyperus rotundus is essential oil, terpenoids and esquiterpenes [9,10].
Cyperus rotundus is widely used as a traditional folk medicine for treating various diseases such as gastrointestinal disorders, inflammatory and infectious diseases in middle eastern countries [11]. So, recently studies were subjected to its pharmacological investigations revealed their antioxidant properties[12,13]. However, protective effects of cyperus rotundus extract against oxidative stress induced by mercuric chloride in rat was not well defined.
The purpose of this study was to evaluate the protetive role of aqueous extract of cyperus rotundus on mercury chloride induced oxidative stress in rats.
The purpose of this study was to evaluate the protective role of aqueous extract of cyperus rotundus on mercury chloride induced oxidative and renal stress in rats.
MATERIALS AND METHODS
All chemicals used in this work were purchased from sigma chemical company. Laboratory animals, Albino Wistar female rats, were brought from the Algiers Pasteur institute at the age of 4 weeks, with an average live weight of 200g. They were located in a room with an ambient temperature of 21±1°C and up to 12h of light daily. The rats were divided into four experimental groups; each consists of eight rats. The first group was served as the control.
The second group was given Aqueous extract of cyperus rotundus at a dose of 200 ml/kg body weight, while the third group (HgCl2) was intraperitoneally given mercuric chloride at a dose of 1 mg/kg body weight. Finally, the fourth group was given combined treatment with aqueous extract of cyperus rotundus and mercuric chloride. The treatment of all groups was lasted for 10 days.
Twenty four hour after the last administration the blood was collected by retro- orbital sinus punction from each anesthetized rats. After centrifugation at 3000 rpm for 10 min, the serum was separated immediately and stored at ̶ 20°c until determination of: urea, creatinine and uric acid. Subsequently, rats were decapitated and kidneys were removed.
Cyperus rotundus rhizome Aqueous extract preparation
Cuperus rotundus rhizome plant was collected in south Algeria (oued souf). Rhizome plant was washed well with water, dried at room temperature in the dark and then ground in an electric grinder to obtain a coarse powder. Then 50 g of the plant powder was suspended in 500 mL distilled water, The decoction obtained was filtered, frozen at –20°C and then lyophilised. The yield of the dry product was about 25% w/w, which was stored at –20°C until used.
Tissue preparation
About 500mg of kidney was homogenized in 4 ml of buffer solution of phosphate buffered saline (w/v: 500mg tissue with 4 ml PBS, PH 7.4) homogenates were centrifuged at 10.000xg for 15 min at 4°c.
And the resultant supernatant was used for determination of: reduced glutathione (GSH), Thiobarbituric acid- reactive substance (TBARS) level, and glutathione peroxidase (GSH-PX) and glutathione –S-transferase (GST) activities.
Determination of Biochemical parameters
Serum urea, creatinine and uric acid were determined using automate analyses.
Determination of lipid peroxidation (LPO)
Lipid peroxidation level in the liver was measured by the method of Buege and August (1978)[14]. 125 µl of supernatant were homogenized by sonication with 50 µl of PBS, 125 µl of 20% TCA + BHT 1% (TCA-BHT) in order to precipitate proteins, and centrifuged (1000xg, 10 min, 4°c), afterwards, 200 µl of supernatant were mixed with 40 µl of HCl (0,6M) and 160 µl of TBA dissolved in tris (120 mM), and then the mixture was heated at 80°c for 10 min, the absorbance of the resultant supernatant was obtained at 530 nm. The amount of TBARS was calculated using a molar extinction coefficient of 1.56x105 M/Cm.
Determination of reduced glutathione (GSH)
GSH content in liver was measured spectrophotometrically by using Ellman’s reagent (DTNB) as a colouring reagent, following the method described by Weeckbekeretcory (1988)[15].
Determination of glutathione-S-transferase (GST) (EC2.5.1.18)
The cytosolic glutathione-S-transferase activity was determined spectrophotometrically at 37°c by method of Habig et al (1974)[16]. The reaction mixture (1 ml) contained 0.334 ml of 100 mM phosphate buffer (PH 6.5), 0.033 ml of 30 mM CDNB and 0.33 ml of reduced Glutathione. After pre-incubating the reaction mixture for 2 min the reaction was started by adding 0.01 ml of diluted cytosol and the absorbance was followed for 3 min at 340 nm. The specific activity of GST is expressed as µmole of GSH-CDNB conjugate formed/ min /mg protein using extinction coefficient of 9.6 Mm-1 cm-1
Determination of GSH-Px (E. C.1.11.1.9)
Glutathione peroxidase (EC 1.11.1.9) activity was modified from the method of Flohe and Gunzler(1984)[17]. for the enzyme reaction, 0.2 ml of the supernatant was placed into a tube and mixed with 0.4 ml GSH (reduced glutathione, sigma product, analytical grade), and the mixture was put into an ice bath for 30 min. then the mixture was centrifuged for 10 min at 3000rpm, 0.48 ml of the supernatant was placed into a cuvette, and 2.2 ml of 0.32M Na2HPO4 and 0.32 ml of 1m mol/l 5,5’-dithio-bis(2-nitrobenzoic acid)(DTNB, sigma) were added for color development. The absorbance at wavelength 412 nm was measured with a UV spectrophotometer after 5 min. The enzyme activity was calculated as a decrease in GSH within the reaction time as compared to that in the non-enzyme reaction.
Protein quantification
Protein was measured by the method of Bradford (1976)[18] using bovine serum albumin as the standard.
Statistical analysis
The data were subjected to student t test for comparison between groups. The values are expressed as mean ± SEM. Significance level was set at P<0.05, P<0.01, P<0.001.
RESULTS
Effects of treatments on body, absolute and relative kidney weights
Table 1 shows the effect of mercuric chloride, Aqueous extract of cyperus rotundus and combined treatment with cyperus rotundus and mercuric chloride. The merked decreased in rats body weight was observed in mercuric chloride treated rats and cyperus rotundus + mercuric chloride group, but the result was not significant as compared to control. Along cyperus rotundus showed increased body weight but result was not significant.
The kidneys of rats treated with mercuric chloride were enlarged. Mercuric chloride treated rats showed a highly significant increased kidney weight and relative kidney weight (P≤0.001) as compared to control. Combined treatment with cyperus rotundus showed significant increased relative kidney weight, while alone cyperus rotundus treatment had showed no significant effect.
Effects of treatment on serum biochemical parameters
A highly significant (P≤0.001) elevation in serum urea, creatinine and uric acid levels was observed in mercuric chloride intoxicated rats. Only cyperus rotundus treatment did not show any significant alteration. However, the combined treatment of cyperus rotundus with mercuric chloride show a highly significant decline in serum urea, creatinine and uric acid levels was noticed respect to controls (table 2).
Effects of treatments on renal oxidative stress parameters
Mercuric chloride exposure a significant depleted in reduced glutathione level, GSH-Px and GST activities. And a highly significant increase in kidney lipid peroxidation level in mercury intoxicated rats was noticed. cyperus rotundus alone treatment did not show any significant decline. In combined treatment of mercuric chloride with cyperus rotundus, a highly significant increase in reduced glutathione level, GSH-Px and GST activities. And a significant depletion in lipid peroxidation level was recorded with respect to the control (Fig.1 and 2).
Table 1: Changes in body and absolute and relative kidney weights of control and rats treated with Cyperus rotundus (CR), mercuric chloride, and combined treatment of mercuric chloride with Cyerus rotundus after 10 days of treatment
| Parameters | Treatment Groups | |||
| Control | CR | HgCl2 | CR+ HgCl2 | |
| Initial body weight (g) | 160±12 | 164.2±16 | 174.15±25 | 168.5±17 |
| Final body weight (g) | 180.25±12 | 167±10 | 154±6.2 | 175.75±7.5 |
| Absolute kidney weight (g) | 1.3±0.7 | 1.36±0.07 | 1.77±0.2 | 1.65±0.17 |
| Relative kidney weight (g/100g b.w) | 0.007±0.05 | 0.008±0.007 | 0.011±0.02 | 0.009±0.02 |
Table 2: Changes in biochemical parameters of control and rats treated with Cyperus rotundus (CR), mercuric chloride, and combined treatment of mercuric chloride with Cyperus rotundus after 10 days of treatment.
| Parameters | Treatment Groups | |||
| Control | CR | HgCl2 | CR+HgCl2 | |
Urea (g/l) Creatinine (mg/l) Uric acid (mg/l) |
0.45±0.03 11.35±0.78 38.07±2.7 |
0.42±0.02 11.1±0.95 38.04±2.7 |
0.56±0.06* 12.6±1 55.36±6.8** |
0.47±0.02 11.45±0.9 40.92±1.3 |

Fig. 1: Reduced glutathione (nmol/ mg protein) and TBARS (nmol MDA /mg protein) levels in kidney of control and rats treated with CR, mercuric chloride, and combined treatment of mercuric chloride with CR after 10 days of treatment. Values are given as mean ± SEM for group of 6 animals each significant difference: * compared to controls (*P≤0.05; **P≤0.01; ***P≤0.001).

Fig.2: Enzyme activities of GPx (µmol GSH/ mg protein) and GST (nmol /min/mg protein) in kidney of control and rats treated with CR, mercuric chloride, and combined treatment of mercuric chloride with CR after 10 days of treatment. Values are given as mean ± SEM for group of 6 animals each significant difference: * compared to controls (*P≤0.05; **P≤0.01; ***P≤0.001).
![]() |
![]() |
![]() |
![]() |
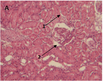
Fig. 3: T.S. of kidney of male rat treated with mercuric chloride (Hg) alone, and in combination with CR. (A) control (H&E100X): showing well develop glomerulus (1), with normal tubular cells; (B) CR alone treatement (H&E 100X): showing normal glomerulus (1), and normal tubular cells; (C, D, E) mercury treatment (H&E100X): showing degeneration of tubular cells (1), loss of nucleus (2), degeneration of glomerulus (3); (F) combined treatment of mercuric chloride with CR (H&E100X): showing normal glomerulus (1), normal tubular cells (2).
DISCUSSION
In the present study, oxidative stress induced by HgCl2 was evidenced in kidney of rats by increase in lipid peroxidation level and the stimulation of GSH-Px, GST and catalase activities. Accordingly, oxidative stress induced by HgCl2 has been previously reported[4,19]. As consequence of lipid peroxidation biological memranes are affected causing cellular damage. In the present study, serum urea, creatinine, uric acid levels were significantly increased after 10 days mercuric chloride (1mg/kg), showing insufficiency of renal function. Studies in animals have established that tubular injury plays a central role in the reduction of glomerular filtration rate in acute tubular necrosis. Two major tubular abnormalities could be involved in the decrease in glomerular function in mercuric chloride treated rats: obstruction and backleak of glomerular Filtrate [20]. The alterations in glomerular function in mercuric chloride treated rats may also be secondary to ROS(reactive oxygen species), which induce mesangial cells contraction, altering the filtration surface area and modifying the ultra filtration coefficient factors that decrease the glomerular filtration rat [21,22].
The activity of GSH-Px and GST that can clear to protect the cells from being injured represents the competence of clearing free radicals from the organism. MDA content manifests the level of lipid peroxidation, and then indirectly represents the level of damage of the cell of renal mitochondria. Evaluating from GSH, MDA levels and GSH-Px, GST activities in kidney of rats. Hg alone significantly decreased GSH level, GSH-Px and GST activities and increased MDA content along with histological damage in kidney.
It was observed that cyperus rotundus extract when given in combination with mercuric chloride significantly increases kidney GSH level, GSH-Px and GST activities as antioxidant potential and thereby declines the level of lipid peroxidation, which in turn reduces the urea, ceatinine and uric acid levels in serum. In present investigation, the elevated level of GSH protects cellular proteins against oxidation through glutathione redox cycle and directly detoxifies reactive species[23]. Glutathione, as both a carrier of mercury and an antioxidant, has specific roles in protecting the body from mercury toxicity. Glutathione, specifically bind with methylmercury, forms a complex that prevents mercury from binding to cellular proteins and causing damage to both enzymes and tissue [24]. Glutathione-mercury complexes also reduce intracellular damage by preventing mercury from entering tissue and cells, and becoming an intracellular toxin. The elevated level of GSH-Px and GST by cyperus rotundus as compared to the HgCl2 may have facilited the conjugation reaction of xenobiotics metabolism and may have increased the availability of non-critical nucleophile for inactivation of electrophiles and therefore might be playing a major role in metalloprotection.
The C. rotundus is a traditional herbal medicine used widely as antibacterial, antimalarial, sedative, antispasmodic, anti-inflamatory and relieve diarrhea [13,14,25]. Previous studies have been showed that C. roduntus and its ingredient compounds inhibit the free radical generation and act as antioxidant and free radical scavengers and its has also been demonstrated that treatment with C. rotundus inhibits the generation of superoxide radicals [26,27,28] and recent evidence suggested that GSH-PX and GST play a significant role in the elimination of H2O2 and lipid peroxidative stress in rats [29,30]. Thus, inhibition this enzymes may results in the accumulation of the H2O2 with subsequent oxidation of lipids. The present study has showed that MDA levels were significantly increased and the GSH-PX, GST activities were decreased with treated both dose of CR in mercuric chloride groups when compared with control groups which comformed with the histopathological evaluation of kidney tissue. Flavonoids are the major component in the volatile oil of CR which are able to inhibit the oxidants and to protect the cell membrane. this study assess the effects of oxygen free radical scavengers, both mercuric choride injury and increase of TBA-reactive substance were inhibited by the treatment of free radical scavengers. C. R extract is an effective free radical scavenger showing antioxidant activity against reactive oxygen production and protecting the damage caused by free radicals [27]. This result is supported with biochemical and histopathological findings which the effect of CR on mercuric chloride induced oxidative stress in rats. The protective effect of CR could be attributed to the improvement of antioxidant status of the animals of the presence of free radical scavenging substances such as flavonoid oil [31].
CONCLUSION
It may be concluded that combined treatment of cyperus rotundus has a preventive and protective effect on mercuric chloride induced oxidative stress. More-over, it protects from HgCl2 induced renal dysfunction and executes its modulatory role in mercury induced free radical production.
REFERENCES