
*1Department of Pharmaceutical Sciences, CMR College of Pharmacy, Hyderabad, Telangana, India, 1Department of Pharmacology, H K College of Pharmacy, Oshiwara, Mumbai, India
Email: iramnazishpharma@gmail.com
Received: 13 Jun 2018, Revised and Accepted: 23 Mar 2020
ABSTRACT
Objective: To evaluate anti-obesity effect of aqueous P. nigrum extract in a murine model of high-fat diet (HFD) induced obesity.
Methods: Male Wistar rats were fed with a high-fat diet (HFD) (20g/day/rat) for a period of 50 d to induce obesity. Aqueous P. nigrum extract (20 mg/kg) administered orally to high-fat diet (HFD) fed rats from 8th day to 50th day (total 42 d). The parameters like gain in body weight, serum lipids, insulin and leptin were measured.
Results: The rats treated with extract showed a significant reduction in body weight gain, serum insulin, leptin, lipids as compared to rats fed with only a high-fat diet (HFD). In addition, the extract-treated group showed a considerable rise in high-density lipoprotein (HDL-C) level (29.61±7.68 mg/dl) as compared to the control group (23.23±9.69 mg/dl).
Conclusion: The results indicate that aqueous P. nigrum extract possess the potential to reduce obesity markers in a high-fat diet (HFD) fed rats.
Keywords: Piper nigrum, High fat diet, Obesity, Insulin, Lipid
© 2020 The Authors. Published by Innovare Academic Sciences Pvt Ltd. This is an open access article under the CC BY license (http://creativecommons.org/licenses/by/4.0/)
DOI: http://dx.doi.org/10.22159/ijpps.2020v12i5.27942. Journal homepage: https://innovareacademics.in/journals/index.php/ijpps
The prevalence of obesity is increasing globally, which is associated with the risk of developing chronic complications like cardiovascular diseases (CVD) and diabetes mellitus [1, 2]. A couple of years ago obesity was not being considered as a big health issue but due to ever-growing rate of mortality associated with obesity, it is now of utmost importance that obesity issue should be taken as a priority like any other chronic disease which requires prevention as well as treatment plus now advanced methods are being developed for estimation of constituents within the formulation such as that of piperine by spectrofluorimetry [3]. Recently hepatoprotective property in piper nigrum has also been investigated [4]. There are numerous limitations including adverse effects and potential for drug abuse of conventional treatment for obesity; hence there is an increasing demand for alternative therapies with better potency and lesser side effects [5, 6] Since ancients’ times P. nigrum has been used for its flavor and as traditional medicine, having bronchodilator, anti-diabetic and antioxidant properties which are pretty useful [7-9]. It consists of dried unripe fruits obtained from Piper nigrum. Family: piperaceae. It has a wide scope of applications in medicine and has been reported to show anti-obesity effects [10]. However, the difficulty in its standardization and quality control plays as a drawback in the effective development of it as a drug. Though the anti-obesity effect has been reported, the study still needs to be optimized in various ways; hence the research paper was conceptualized to study the effects of low doses of piper nigrum on obesity.
Plant material
Procurement
Plant sample (P. nigrum fruit) was procured from the Kharibaoli market, New Delhi, India.
Authentication
Botanical identification of plant material was carried out by Taxonomical expert Dr H. B Singh of The National Institute of Science Communication and Information Resources, New Delhi, India. (Reference number is NISCAIR/RHMD/CONSULT2010-11/1706/06).
Chemicals and reagents
Gum acacia (1%), normal saline, chloral hydrate, 95% ethyl alcohol, glycerin, distilled water, ELISA kit.
Procurement of chemicals and reagents
All the chemicals were procured from Vishal Chemicals and the ELISA kit was procured from MyBioSource. Gum acacia was procured from Purix.
Preparation of aqueous P. nigrum extract
Plant material was washed, dried, powdered and was extracted in the soxhlet apparatus for 72 h [20]. To obtain a dried extract, the solvent was removed using desiccator and it was preserved at-20 °C. Before dosing, the dried extract was suspended in 1% gum acacia and normal saline.
Macroscopical studies
Organoleptic evaluation was carried out with respect to color, odor, shape, texture and taste of the plant material.
Microscopical studies
The powder was passed through sieve of 85# mesh. It was treated with chloral hydrate, washed with distilled water and mounted using glycerin for testing microscopical characters [11, 12].
Pharmacological study
Approval
Institutional Animal Ethics Committee, Jamia Hamdard, New Delhi CPCSEA/IAEC/JH/749/2011.
Procurement
Male Wistar rats weighing 100-150 g were procured from the central animal house of Hamdard University, New Delhi, India.
Housing and facility
Procured animals were housed in polypropylene cages, kept at Controlled room temperature (22±2 °C), humidity (55±5%) with 12 h light and 12 h dark cycle and were given standard chow diet.
High-fat diet (HFD)-induced obesity
Pellets of high-fat diet (20 g/rat/day) and water as necessary were given to experimental rats for 6 w. High fat diet (HFD) was purchased from National Institute of Nutrition (NIN), Hyderabad, India.
Ingredients of high-fat diet HFD (g/kg diet)
Casein (342), L-Cystine (3), Starch (172), Sucrose (172) Cellulose (50), Groundnut oil (25), Tallow (190), AIN Salt mix (35) and AIN Vitamin mix (10).
Experimental design
Five groups, each of 6 rats were treated for 6 w. All the drugs were administered orally via a standard or gastric cannula shown in table 1.
Food and water intake
Average food and water consumption (per week) of individual groups were calculated by measuring the food and water consumed daily.
Table 1: Experimental design
| Groups | Treatment | Dose |
| Group I (Normal Control-NC) | Chow diet | 1 ml/kg, body weight |
| Group II (HFD) | HFD | 20g/rat/d |
| Group III (HFD+p. nigrum) | Aqueous P. nigrum extract | 20g/rat/d |
| Group IV (HFD+Orlistat std) | Orlistat standard | 5 mg/kg |
| Group V (P. nigrum per se) | Aqueous P. nigrum extract | 20g/rat/d |
Biochemical serum analysis
After 6 w, rats were anesthetized; blood was withdrawn by retro-orbital method and serum was obtained by centrifugation [21]. Obtained serum was used for analysis of different obesity markers such as serum glucose, triglyceride (TG), total cholesterol (TC) and High-density lipoprotein cholesterol (HDL-C) by using commercial available kits. Serum leptin, lipase and insulin levels were measured by immunoassays using a commercially available ELISA assay kit.
Histopathological studies
After 6 w, rats were anesthetized; blood was withdrawn by the retro-orbital method and serum was obtained by centrifugation. Post blood withdrawal rats were sacrificed, organs like heart, liver, kidney and tissues like perirenal, epididymal and mesenteric fat pads were excised immediately, rinsed with phosphate buffer saline and weighed. The samples were stored at-70 °C and were given for histopathological studies [21].
Statistical analysis
Data are given in the format mean±standard error of the mean (SEM). The statistical significance of the difference between the mean values for the treatment groups was analyzed by ANOVA (analysis of variance) followed by Dunnett’s t-test using Graph pad In Stat® versi 3.06. Values of p lesser than 0.05 were csidered significant.
Macroscopical studies
Organoleptic evaluations of P. nigrum as shown in table 2.
Table 2: Organoleptic properties of P. nigrum
| Properties | Inference |
| Color | Blackish |
| Shape | Spherical |
| Odor | Aromatic |
| Texture | Wrinkled |
| Taste | Pungent |

Fig. 1: Dried fruits of Piper nigrum
Microscopic study
Observed microscopical characters are shown in fig. 2.
Effect on food and water intake
There was a non-significant change in food and water intake in the high-fat diet (HFD) fed when compared to the Normal Control (NC) group. In the high-fat diet (HFD) group there was a non-significant change in food and water intake before and after administration of P. nigrum extract as shown in table 3.
Effect on anthropometric parameters
Rats on a high fat diet (HFD) gained higher body weight when compared to Normal Control (NC) group. Rats treated with P. nigrum extract 20 mg/kg (HFD+PN group) showed reduced weight gain as compared to high-fat diet (HFD) group. PN per se treated group showed no significant difference in body weight gain when compared to (NC) as shown in table 3.
Outcome on the weight of organs and analysis of fat pad
Rats treated with P. nigrum extract (HFD+PN) group showed no significant change in heart, liver and spleen weight when compared to Normal Control (NC) group. There was a marked decrease in kidney weight of rats treated with P. nigrum (HFD+PN) when compared to the high-fat diet (HFD) group. However, treatment with P. nigrum has a variably restricted increase in fat pad weights compared to the high-fat diet (HFD) group as shown in table 4 and 5.

Fig. 2: Microscopical characters of P. nigrum
Table 3: Effect of aqueous P. nigrum extract (20 mg/kg) on food, water intake and body weight gain
| Groups | Food intake (g/d/rat) | Water intake (ml/d/rat) | Bodyweight gain (g) |
| NC | 14.91±0.26 | 38.34±4.81 | 74.67±1.26 |
| HFD | 20.87±0.35 | 41.6±8.87 | 125.33±1.27 |
| HFD+PN | 19.66±0.30 | 38.5±1.98ns | 114.00±1.94 |
| HFD+ORL | 18.16±0.39 ns | 37.8±1.91ns | 91.50±1.34** |
| PN per se | 16.89±0.54 | 40.8±2.38 | 100.8±1.59 |
Data are expressed as mean±SD (n=6). Statistical significance in comparison to High Fat Diet, Group at *P<0.05, **P<0.01, ***P<0.001. One way ANOVA followed by Dunnett’s t-test.
Table 4: Effect of aqueous P. nigrum extract (20 mg/kg) weights of different organs
| Organ weight (g/100g of animal weight) | ||||
| Groups | Heart | Kidney | Liver | Spleen |
| NC | 0.607±0.091 | 1.020±0.240 | 6.981±0.580 | 0.606±0.041 |
| HFD | 0.838±0.034 | 1.493±.291 | 9.376±0.195 | 0.805±0.027 |
| HFD+PN | 0.793±0.074 | 1.213±0.231* | 7.876±0.912 | 0.699±0.097 |
| HFD+ORL | 0.725±0.055* | 1.088±0.157** | 7.171±0.976** | 0.643±0.062 |
| PN per se | 0.759±0.54 | 1.179±0.38 | 7.995±0.59 | 0.654±0.77 |
Data are expressed as mean±SD (n=6). Statistical significance in comparison to High Fat Diet, group at *P<0.05, **P<0.01, ***P<0.001. One-way ANOVA followed by Dunnett’s t-test.
Table 5: Effect of aqueous P. nigrum extract (20 mg/kg) on Fat pad weight
| Groups | Fat pad weights (g/100g of animal weight) | ||
| Mesenteric | Perirenal | Uterine | |
| NC | 0.462±0.076 | 0.74±0.032 | 0.725±0.070 |
| HFD | 0.931±0.086 | 1.22±0.288 | 1.035±0.118 |
| HFD+PN | 0.604±0.103** | 0.89±0.117 | 0.900±0.151 |
| HFD+ORL | 0.511±0.086*** | 0.78±0.084*** | 0.754±0.092* |
| PN per se | 0.659±0.56 | 0.829±0.14 | 0.862±0.71 |
Data are expressed as mean±SD (n=6). Statistical significance in comparison to High Fat Diet, Group at *P<0.05, **P<0.01, ***P<0.001. One-way ANOVA followed by Dunnett’s t-test.
Table 6: Effect of aqueous P. nigrum extract (20 mg/kg) on serum lipid levels
| Groups | TC(mg/dl) | TG(mg/dl) | LDL-C(mg/dl) | VLDL-C(mg/dl) | HDL-C(mg/dl) |
| NC | 87.43±3.40 | 69.44±12.21 | 40.03±2.26 | 13.89±2.44 | 33.51±6.95 |
| HFD | 164.76±24.26 | 171.30±25.17 | 107.28±9.54 | 34.26±5.03 | 23.23±9.69 |
| HFD+PN | 152.69±15.29 | 154.32±19.73 | 92.21±3.61 | 30.86±3.95 | 29.61±7.68 |
| HFD+ORL | 114.14±13.20*** | 110.19±20.04 *** | 53.81±2.58*** | 22.04±4.01** | 38.30±9.44*** |
| PN per se | 139.91±0.67 | 156.05±1.01 | 88.18±7.01 | 29.67±0.20 | 32.66±0.57 |
Data are expressed as mean±SD (n=6). Statistical significance in comparison to High Fat Diet, group at *P<0.05, **P<0.01, ***P<0.001. One-way ANOVA followed by Dunnett’s t-test.
Effect serum lipase, insulin and leptin levels
There was a significant increase in serum lipase, serum Leptin and insulin levels in the high-fat diet (HFD) group when compared to Normal Control (NC) group. Rats treated with P. nigrum (HFD+PN) group showed a significant (p<0.05) reducti in serum lipase, serum leptin and insulin levels when compared to the high-fat diet HFD group as shown in table 7.
Table 7: Effect of aqueous P. nigrum extract (20 mg/kg) serum Insulin, lipase and leptin levels
| Groups | Insulin (ng/ml) | Lipase (U/l) | Leptin (ng/ml) |
| NC | 0.91±0.21 | 661.32±54.12 | 5.91±0.96 |
| HFD | 1.81±0.21 | 1109.94±218. 23 | 19.77±2.34 |
| HFD+PN | 1.59±0.34 | 943.67±102.19* | 18.62±2.28 |
| HFD+ORL | 1.12±0.16*** | 861.11±102.89*** | 12.58±1.59*** |
| PN per se | 1.21±0.67 | 921.12±11.2 | 16.05±1.01 |
Data are expressed as mean±SD (n=6). Statistical significance in comparison to High Fat Diet, Group at *P<0.05, **P<0.01, ***P<0.001. One-way ANOVA followed by Dunnett’s t-test.

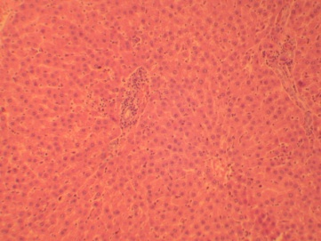
Normal Control group: Normal portal triad (PT) and hepatocytes

HFD group: Swelling of hepatocytes (HP) and narrowing sinusoids

P. nigrum treated group (HFD+PN): Hepatocytes

Standard group: No fat deposition

P. nigrum per se group: Hepatocytes
Fig. 3: Changes observed in the liver of different groups

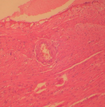
Normal Control group: Normal arteriole (A) and muscles (M-myofibrils)

HFD group: Heart (showing edema (E) and change in color of heart from pink-red to yellowish pink)

P. nigrum (HFD+PN) group: Showed fat reduction

Standard group: Heart (showing normal arteriole)

P. nigrum per se group: Heart (without any significant change compared to normal arteriole)
Fig. 4: Changes observed in the heart of different groups

Normal control group: Normal glomerulus

High fat diet (HFD) group: Normal glomerulus (G)

P. nigrum (HFD+PN) group: Little fat accumulation around the cells

Standard group: Normal glomerulus (G)

P. nigrum per se group: Normal glomeruli (G)
Fig. 5: Changes observed in kidneys of different groups
High-fat diet (HFD)-induced obesity in animals is a reliable model to study obesity because of its similarity to human obesity as founded out in various experimental studies. Consumption of high-fat diet (HFD) in rats showed visceral adiposity, hyperglycemia, dyslipidemia and Hyperinsulinemia resembling human obesity [13].
It was observed that rats fed with high-fat diet (HFD) for 6 w showed it marked increase in body weight and fat pad weight as compared to Normal Control (NC) group, which is in agreement with findings of studies done by Hariri and Thibault [14], 2010.
In this study, the sample size was n = 6 for each group and was homogenous in terms of weight but heterogeneous in terms of treatment given to them and each group consumed Different types of diet such as chow diet, high-fat diet (HFD), high-fat diet (HFD) with standard Orlistad, high fat diet (HFD) with aqueous piper nigrum.
In the present study, it was noted that rats treated with test extract (P. nigrum) showed a significant decrease in body weight and fat pad weight which could be attributed to the role of Piper nigrum (P. nigrum) to change energy expenditure by enhancing the expression of fat-burning proteins and also inhibition of lipogenesis thus showing its anti-obesity effects
In the present study, it was also observed that high-fat diet (HFD) group showed higher serum triglyceride (TG), total cholesterol (TC), Low-density lipoproteins (LDL) and Very low-density lipoproteins (VLDL) levels when compared to Normal Control (NC) group. Rats treated with test extract (P. nigrum) lowered the serum lipid levels like triglyceride (TG), total cholesterol (TC), Low-density lipoproteins (LDL) and Very low-density lipoproteins (VLDL) and showed an increase in high-density lipoproteins (HDL) levels which is in agreement with the finding of Parim et al. [15], 2015.
Insulin and leptin
Adipose tissue is site of energy storage in the body and is imperious for energy homeostasis. However, the consumption of high-fat diet HFD for a long period causes obesity and insulin resistance. This might be due to reduced interaction between insulin and insulin receptor substrate-1 (IRS-1) via diacylglycerol signaling [16, 17].
Two adipocyte-secreted hormones, such as Leptin and adiponectin, have the main role on energy balance and measuring its plasma level may indicate the tendency of rats-to-weight gain when they are fed with high-fat diet (HFD) [18].
The present study showed that rats fed with, high-fat diet (HFD) showed higher levels of serum lipase, insulin and leptin and it was observed that rats treated with test extract (P. nigrum) showed significant reduction in serum lipase, insulin and Leptin levels which are in line with the studies of Li et al.[19],2014. Thus, the anti-obesity effect of P. nigrum was further confirmed by reduced levels of serum lipase, insulin and leptin.
Histopathological examination of liver, heart and kidney revealed that the rats treated with test extract (P. nigrum) showed a marked reduction in the accumulation of fats in the liver, heart and kidney.
In Future studies, it is recommended that even female rats to be incorporated into the study and examined for the effects of the piper nigrum on obesity-induced in them. Also, the study can be carried out by carrying out a mixed design study of the female as well as male rats and further enhancing the scope of the study.
From the above findings, it can be concluded that even low dose of P. nigrum extract show anti-obesity effect and thus it’s a potential herbal drug which can be developed into a promising herbal formulation for the treatment of obesity.
The Authors are thankful towards Dr H. B Singh for the identification of botanical plants.
Nil
All authors have participated in (a) conception and design, or analysis and interpretation of the data; (b) drafting the article or revising it critically for important intellectual content; and (c) approval of the final version.
No Potential Conflict of Interests was reported by the authors.
Ng M, Fleming T, Robinson M, Thomson B, Graetz N, Margono C, et al. Global, regional, and national prevalence of overweight and obesity in children and adults during 1980–2013: a systematic analysis for the Global Burden of Disease Study 2013. Lancet 2014;384:766-81.
Aune D, Sen A, Prasad M, Norat T, Janszky I, Tonstad S, et al. BMI and all-cause mortality: a systematic review and non-linear dose-response meta-analysis of 230 cohort studies with 3.74 million deaths among 30.3 million participants. Br Med J 2016;4:353.
Patel SE, Vyas NI. Validated spectrofluorimetric method for estimation of piperine in an ayurvedic formulation. Asian J Pharm Clin Res 2012;5:231-3.
Kshirsagar AD, Mohite R, Aggrawal AS, Suralkar UR. Hepatoprotective medicinal plants of Ayurveda-a review. Asian J Pharm Clin Res 2011;4:1-8.
Hasani Ranjbar S, Jouyandeh Z, Abdollahi M. A systematic review of anti-obesity medicinal plants-an update. Diabetes Metab Syndr 2013;12:28.
Yun JW. Possible anti-obesity therapeutics from nature–a review. Phytochemistry 2010;71:1625-41.
Kolhe SR, Borole P, Patel U. Extraction and evaluation of piperine from Piper nigrum Linn. Int J Appl Biol Pharm 2011;2:144-9.
Ahmad N, Fazal H, Abbasi BH, Rashid M, Mahmood T, Fatima N. Efficient regeneration and antioxidant potential in regenerated tissues of Piper nigrum L. Plant Cell Tissue Organ Cult 2010;102:129-34.
Kale MA, Bindu SM, Khadkikar P. Role of antioxidants and nutrition in oxidative stress: a review. Int J Appl Pharm Sci 2015;7:1-4.
Meriga B, Parim B, Chunduri VR, Naik RR, Nemani H, Suresh P, et al. Antiobesity potential of piperonal: promising modulation of body composition, lipid profiles and obesogenic marker expression in HFD-induced obese rats. Nutr Metab 2017;14:72.
Trease GE, Evans WC. Pharmacognosy: 7th Edition. Philadelphia: Bailliere Tindal Publisher and distributer; 1989.
Friedewald WT, Levy RI, Fredrickson DS. Estimation of the concentration of low-density lipoprotein cholesterol in plasma, without the use of the preparative ultracentrifuge. J Am Association Clin Chem 1972;18:499-502.
Shah SS, Shah GB, Singh SD, Gohil PV, Chauhan K, Shah KA, et al. Effect of piperine in the regulation of obesity-induced dyslipidemia in high-fat diet rats. Indian J Pharmacol 2011;43:296.
Shah SS, Shah GB, Singh SD, Gohil PV, Chauhan K, Shah KA, et al. Effect of piperine in the regulation of obesity-induced dyslipidemia in high-fat diet rats. Indian J Pharmacol 2011;43:296.
Hariri N, Thibault L. High-fat diet-induced obesity in animal models. Nutr Res Rev 2010;23:270-99.
Parim B, Harishankar N, Balaji M, Pothana S, Sajjalaguddam RR. Effects of Piper nigrum extracts: restorative perspectives of high-fat diet-induced changes on lipid profile, body composition, and hormones in sprague–dawley rats. Pharm Biol 2015;53:1318-28.
Bhandari U, Kumar V, Khanna N, Panda BP. The effect of high-fat diet-induced obesity on cardiovascular toxicity in Wistar albino rats. Hum Exp Toxicol 2011;30:1313-21.
Harbilas D, Brault A, Vallerand D, Martineau LC, Saleem A, Arnason JT, et al. Populus balsamifera L. (Salicaceae) mitigates the development of obesity and improves insulin sensitivity in a diet-induced obese mouse model. J Ethnopharmacol 2012;141:1012-20.
Christodoulides C, Vidal Puig A. PPARs and adipocyte function. Mol Cell Endocrinol 2010;318:61-8.
Li X, Choi Y, Yanakawa Y, Park T. Piperonal prevents high-fat diet-induced hepatic steatosis and insulin resistance in mice via activation of adiponectin/AMPK pathway. IJO 2014;38:140-7.
Shukla R, Kashaw V. Development, characterization and evaluation of herbal ointment containing momordica charantia, pongamia glabra and piper nigrum. J Drug Delivery Ther 2019;9:136-40.
Kuraji R, Fujita M, Ito H, Hashimoto S, Numabe Y. Effects of experimental periodontitis on the metabolic system in rats with diet-induced obesity (DIO): an analysis of serum biochemical parameters. Odontology 2018;106:162-70.