
aDepartment of Environmental and Occupational Health, Faculty of Medicine and Health Sciences, University Putra Malaysia, 43400 Serdang, Selangor Darul Ehsan, Malaysia, bDepartment of Preclinical Sciences, Faculty of Veterinary Medicine, University Putra Malaysia, 43400 Serdang, Selangor Darul Ehsan, Malaysia,cDepartment of Pathology, Faculty of Medicine and Health Sciences, University Putra Malaysia, 43400 Serdang, Selangor Darul Ehsan, Malaysia, dDepartment of General Science, Faculty of Education, Soran Universitiy, Kurdistan Region of Iraq
Email: ymgoh@upm.edu.my
Received: 22 Jun 2018 Revised and Accepted: 27 Oct 2018
ABSTRACT
Objective: This study aims to investigate the sub-acute oral toxicity of a methanolic leaf extract of Clinacanthus nutans (MECN) in male and female mice.
Methods: The study used three groups of male and female mice, the crude MECN was dissolved in distilled water and administered orally in single doses of 1000 and 2000 mg/kg body weight for 28 d by gavage, at a dosing volume of 10 ml/kg body weight, while the control group received only the distilled water. Mice were weighed weekly for the duration of the study period. After the treatment period, the blood samples were collected and examined for hematology changes, total red blood cell (RBC) and total white blood cell (WBC), packed cell volume (PCV) and plasma protein concentration. The serum was analyzed for liver and kidney function test. The degree of injury of the liver and kidney tissue was histopathologically assessed and scored under the light microscopy. one-way analysis of variance (ANOVA) with Turkey’s test was used to analyze the difference (p<0.05) of means across treatment groups.
Results: There were no significant (p>0.05) changes in the body weight, hematological, biochemical and histology signs of toxicity for both male and female mice, except for the sodium level which was decreased in the mice treated with 2000 mg/kg of MECN (137±5.06) as compared to the 1000 (151±1.91) mg/kg as well as the control males (152±3.74) [F=4.87, p=0.03].
Conclusion: This study showed that MECN at dosages up to 2000 mg/kg is safe to be used in mice regardless of their sex. Overall, this study suggests the potential utility of MECN in the development of herbal drug formulations in vivo.
Keywords: Clinacanthus nutans, Toxicity, Body weight, Blood liver function, Blood kidney function
© 2018 The Authors. Published by Innovare Academic Sciences Pvt Ltd. This is an open-access article under the CC BY license (http://creativecommons.org/licenses/by/4.0/)
DOI: http://dx.doi.org/10.22159/ijpps.2018v10i12.28075
Clinacanthus nutans (Lindau) is a species of plant that belongs to the Acanthaceae family. This plant has been used as a folk medicine in different parts of Asia and more particularly in Malaysia, Thailand and Indonesia [1]. Recent research has suggested that Clinacanthus nutans be used in traditional and therapeutic practices however this proposition remains clinically and scientifically not supported yet [2]. The traditional herbs and herbal products are considered nontoxic and have been used by the general public and traditional medicinal doctors to treat various ailments. To the best of our knowledge, there are some studies which showed that Clinacanthus nutans contains a wide range of bioactive compounds including phenolic, flavonoid, 𝛽-sitosterol, stigmasterllupeol, belutin and chlorophyll derivatives. The C-glycosidic flavones such as shaftoside, isoorientin, orientin, isovitexin and vitexin have been found to be major flavonoids in the leaves of this plant [1, 3, 4]. Polyphenols have anti-oxidative, anti-inflammatory and neuroprotective effects signifying the natural defense properties of plant-based foods. Polyphenols have also been shown to exhibit anti-atherosclerotic activities and improve the endothelial function of blood vessels [5]. The World Health Organization reported that tree quarters of the world's population depends on plant-established medicines, especially in the developing countries where the poverty and lack of modern medicine have made the role of medicinal herbs relatively common [6]. Despite the crucial role that traditional herbs play in ensuring the well-being of thousands of people, empirical evidence that supports its use remains largely lacking [6]. Fundamentally, the basic idea is to utilize medicinal plants for the development of standardized phytomedicines (phytotherapics or herbal medication) with demonstrated efficacy, safety and high quality [7]. Instead of spending several millions of dollars and several years of research on developing a new synthesized drug, even from the prototype of a natural source the development of standardized phytomedicines would arguably require lesser funds and be more affordable and achievable in developing and underdeveloped countries [6]. Evaluations suggest that over 90% of the market withdrawals were due to reports of drug toxicity, specifically hepatotoxicity and cardiovascular toxicity [8]. What’s more, thousands of people die every year from the supposedly safe over the counter drugs but the number of deaths caused by traditional herbs is so rare according to the National Poison Control Centers in USA [9]. It is a common fallacy that herbal medications are free from any adverse effects. Plants have many constituents and some are extremely lethal [7]. Toxicity is the degree to which a substance or a chemical (toxin or poison) is able to harm a human or an animal. Any adverse effect that leads to functional impairment and the development of biochemical lesions may harm the organism [10]. Research on toxicity ordinarily uses animals to determine the effect of a particular action on the biological system of animals and thus to extrapolate results and doses on humans. The toxicity data is thus is essential to identifying the optimal therapeutic dose to which the extract can be given and the degree of lethality can be determined [11]. However, they are useful to provide information on how to determine the dosage in animal research. The organization for economic cooperation and development (OECD) has provided guidelines for assessing the preclinical acute and sub-acute toxicity [12]. The acute exposure refers to the time period in which animals are exposed to chemicals for less than 24 h. Established on the information received from this exposure, one may estimate the lethal dose (LD50) or find out the extent to which the dosage can be safe. The data could also provide an insight into which one can assess the pharmacological effects for different traditional medicines of natural source [13]. Sub-acute exposure refers to a procedure through which animals are repeatedly exposed to a chemical over a period of 1 mo and sometimes less. The exposure period for sub-chronic and chronic toxicity is usually 1 to 3 mo and 3 mo, respectively [13]. So, evaluating toxicity of Clinacanthus nutans in mice is crucial to determine the level of safety of a certain dosage of Clinacanthus nutans as plant-based medicines and to assess its pharmacological applications. This study aims to investigate the sub-acute oral toxicity of a MECN in male and female ICR mice by evaluation of the hematological and biochemical parameters and histopathological examination.
Plant materials
Fresh leaves of Clinacanthus nutans (Burm. f.) Lindau was acquired from a botanical garden in Ladang 10, Serdang, Selangor Darul Ehsan, Malaysia. The botanical identify of Clinacanthus nutans was characterized by the Phytomedicine Herbarium, Institute of Bioscience, 43400 Serdang, Selangor Darul Ehsan, Malaysia(Voucher no. SK2942/15)
Preparation of MECN
The extracts were prepared according to the method of Lau et al. [14] with some modifications [14]. The Clinacanthus nutans leaves were cleaned under running tap water, and then air dried for one week under direct sunlight. These leaves were oven-dried for 24 h at 40 °C in an oven, grounded to a fine powder by electric grinder (RT-08, Rong Tsong Precision Technology Co. Taiwan) and stored in an air-tight container. The powdered leaves were extracted using 80% methanol by adding 20% of distilled water at a ratio of 1:20 (w/v), 1 g of the sample to 20 ml of methanol. The powdered Clinacanthus nutans leaves were left macerated in methanol and shaken for 72 h using a rotary shaker (Liquid Brushless DC motor clock Rotary, Germany). Next, the methanol solution was separated from the powdered leaves by using a cloth filter, cotton wool and Whatman no. 1 filter paper (Whatman No.1, Fitchburg, WI, USA). The methanol extract was then concentrated under compact pressure with a rotating evaporator (R-215, Buchi, Flawil, Switzerland) at 40 °C. The concentrated methanol extract was stored at-80 °C and lyophilized with a freeze drier (Labconco Free zone 6 Plus Freeze Dryer) to dry powdered form and then kept at-20 °C. The yield obtained from the MECN was 15.92% (w/w).
Animal model
Male and female ICR mice aged eight weeks, weighing 24±2 g were purchased from Sapphire Enterprise, Malaysia. They were housed under standard environmental conditions of temperature at 22±1 °C, humidity in the range of 40-70% and exposure to 12 h of light/dark cycle, acclimatized in the laboratory for seven days before commencing the experiment. Commercial food pellets (Gold Coin Sdn. Bhd., Port Klang, Malaysia) and water were supplied ad libitum from the beginning of the experiment. All procedures conducted in this work had been reviewed and approved by the UPM Institutional Animal Care and Use Committee, approval no: R083/2016.
Study design of sub-acute oral toxicity
Fifty mice are comprising 25 males and 25 females, were randomly assigned to three male groups (n=7 to 9 per group) and three female groups (n=7 to 9 per group). The 28 d oral dose toxicity was carried out following the OECD test guide 407 [15]. The crude MECN was administered orally in single doses of 1000 and 2000 mg/kg body weight for 28 d by gavage. There was the daily observance of the mice for any mortality and signs of toxicity. They were weighed weekly for the duration of the study period. All mice could freely access water and commercial chow ad libitum. The 12 h prior to sacrifice the animals were deprived of food but had free access to water. The mice were anesthetized with ketamine 80 mg/kg and xylazine 10 mg/kg given the intraperitoneally and then sacrificed through terminal exsanguination after 28 d of MECN treatment.
Blood sampling
Blood samples were collected through cardiac puncture by using 1 ml syringe with 26-gauge needle and transferred into plain tubes. Blood with EDTA-containing tube (Sigma Chemical, St. Louis, MO) was mixed well to prevent clotting stored on ice. Serum samples were isolated by blood centrifugations at 3000 rpm (Universal 320R, Hettich, Germany) for 15 min and kept at-80 °C until further analysis of biochemical parameters.
Relative organ weights
Liver, kidney, spleen, and heart were removed from the euthanized animals, rinsed in 0.9% saline, carefully dissected and weighed on an analytical scale. The relative organ weight (RW) for each organ was obtained with the following formula:

RW: Relative organ weight, AW: absolute organ weight (g), BW: body weight of mice on the day of sacrifice [16]. The selected organs (liver and kidney) were then secured in 10% formalin for histopathological examination.
Hematological analysis
RBC and WBC counting
Hemocytometer set was used to determine the total RBC, and total WBC counts. Blood samples were diluted with formal citrate consists of 3g tri-sodium citrate dihydrate (Merck, Germany) 1 ml of 37% formaldehyde solution (Merck, Germany) dissolved in 100 ml of distilled water prior to RBC counting, while Turks solutions (Merck, Darmstadt, Germany) consisting of glacial acetic acid 2 ml, 1% gentian violet 1 ml, in 100 ml distilled H2O was used as the WBC diluent. Counting methods and their diluents were as described by Piersma et al. [17].
Determination of hematocrit
Determination of microhematocrit was carried out as described by Piersma et al. [17]. Briefly, micro-hematocrit capillary tubes (Fisher Scientific, Pittsburgh) were filled up to about a third of the capillary with blood from the EDTA tubes. The capillary tubes were then wiped clean with a tissue and sealed. The capillary tubes were placed in a microhematocrit centrifuge (Hettich Haematocrit, 210, Germany) and centrifuged at 10 000 rpm for 5 min. This procedure was carried out to separate blood and plasma. The hematocrit value was then read using a microhematocrit reader (Hawksley Ltd, England). The PCV% was recorded from the reader and converted into a % (l/l).
Plasma protein determination
The centrifuged capillary tubes were also subjected to plasma protein concentration measurements. The top of the capillary tube was broken, and the plasma liquid was poured onto a prism refractometer (Atago T2-NE, Japan). The concentration of plasma protein was established by examining the refractometer and the concentration values were read according to the scale.
Serum biochemical analysis
Serum samples were analyzed in an automated chemistry analyzer (TRX 7010, Biorex Mannheim, Germany). The biochemical parameters were analyzed and the liver function test was used to establish the amount of total protein (g/I), albumin (g/l), globulin (g/l), albumin/globulin, G-Glutamyltransferase (U/l), total bilirubin (μmol/l), alkaline phosphate (U/l), aspartate aminotransferase (U/l), cholesterol (mmol/l) and triglyceride (μmol/l). In order to assess the effect on renal function tests were conducting using sodium (mmol/l), potassium (mmol/l), chloride (mmol/l), urea (mmol/l) and creatinine (mmol/l).
Histopathological examination of the liver and kidney
The liver and kidney organs were washed with normal cold saline and fixed in 10% buffered formalin for 48 h. Following fixation, organs were trimmed to 4 mm thickness and placed in plastic cassettes, prior to processing overnight using a standard method in an Automatic Tissue Processor (Leica TP1020, Germany). The tissues were then embedded in paraffin with Leica EG 1160 (Leica Microsystems, Germany) [18] and then cut to 5 μm thickness using a rotary microtome (Leica RM2135, Germany). The tissue sections were placed in a water bath (Leica H1210, Germany) at 35 °C to 37 °C and then mounted on glass slides using a slide warmer (Lab-line Instruments, model 26007, Melrose Park, USA) and stained with hematoxylin and eosin (HandE) stain, by using Tissue-TekPrisma-EzsAutostainer (Sakura, Torrance, CA) [18]. The Olymphus-CX31 light microscope (Olympus, Japan) was then used for the examination of the tissues. The degree of injury of the liver and kidney was assessed and scored under the light microscopy.
Toxicity scoring
Numerical scores were obtained by both staging and grading, which provided a semi-quantitative evaluation of the observed histological feature. Pathological changes were scored on the basis of the toxicity, namely inflammation and activated Kupffer cells, while hydropic degeneration affected cells showed vacuoles in cytoplasm and necrosis in the liver. Meanwhile, for the kidney tissue, lesions such inflammation, hydropic degeneration/cytoplasmic vacuolation and necrosis were studied and scored. Table 1 shows the scoring system used for histopathology evaluation of the liver and kidney tissues. The possible hepatoprotective and nephroprotective effects of Clinacanthus nutans were also evaluated in the group treated with 1000 and 2000 mg/kg MECN for both sexes.
Table 1: The scoring of toxicity effect in liver and kidney of mice [19].
| Score | Grade | Description |
| 0 | Normal | No toxicity. |
| 1 | Mild | 1-30% |
| 2 | Moderate | 31-70% |
| 3 | Severe | ˃ 71% |
Statistical analysis
Data on body weight, organ weight, hematology, serum biochemical parameters and histopathological examination were analyzed using the one-way analysis of variance (ANOVA) procedure of the SAS software package, version 9.1 (SAS Institute Inc., Cary, NC). This was followed by Tukey’s test for post hoc comparison of group means. Differences were accepted as statistically significant when p-value<0.05. Data are presented as mean±standard error of the means (SEM).
Clinical observation and body weight
In the sub-acute oral toxicity experiment with a MECN 1000 and 2000 mg/kg, the results reported no significant changes in the average body weight of the mice, particularly in their behavior abnormalities, skin effect, hair loss, breathing, and postural abnormalities. There were neither toxicity signs nor mortality records among both control and treatment groups in the next 4 h, 24 h and even throughout the 28 d of the experiment. The mice, whether males and females or treated with Clinacanthus nutans or vehicle ones, has remained normal throughout the trail. A weekly record of the average body weight of mice in subacute oral toxicity study of MECN, the body weight for the control group, 1000 and 2000 mg/kg for male and female groups have steadily increased between week 1 and week 4. For the male mice, the body weight (mean±SEM) was 36.33±0.33 g for the control group, 35±0.31 g for male mice treated with 1000 mg/kg and 35.20±0.58 g for the mice treated with 2000 mg/kg. As shown in fig. 1, no significant variance (p>0.05) were observed between groups [F=1.91, p= 0.19].

Fig. 1: Effects of MECN on body weight of male mice across treatment groups, values are expressed as mean±SEM (n=7)

Fig. 2: Effects of MECN on body weight of female mice across treatment groups, values are expressed as mean±SEM (n=7)
However, the body weight of the female mice was 29.83±0.94 g among the control animals 27.87±0.44 g for female mice treated with 1000 mg/kg and 27.33±0.47 g for the female mice treated with 2000 mg/kg. As shown in fig. 2, no significant (p>0.05) variances were observed between groups [F=1.89, p=0.17]. There were no significant (p˃0.05) changes observed in the body weight of the mice treated with MECN across treatment groups and gender during the study period.
Macroscopic examination and organ weights
The weights of internal organs are used as the indicators of metabolic function. Relative weights of internal organs have been termed morph-physiological indices. The organs of the control and treatment mice were examined for appearance and size. There were no significant changes observed in the weight of the organs for both the control and MECN treated groups of both sexes. Similarly, the results did not show any significant changes in the weights of liver, kidney, spleen, and heart. There were no significant differences (p˃0.05) between both sexes in the control and treatment groups (table 2).
Hematology and blood biochemistry
Table 3 below shows the effect of subacute oral toxicity of MECN on the hematological parameters, specifically the RBC, WBC, PCV and plasma protein had no significant differences (p˃0.05) between the MECN treated groups of both sexes of 1000 and 2000 mg/kg as compared to the control groups during the study period. The biochemical parameters of the MECN treated and control groups are as shown in Tables 4 and 5. The parameters pertaining to liver and kidney functions remained constant in the MECN treated and control groups for both sexes. However, there was a significant decrease (p<0.05) in the level of sodium in the MECN treated mice 2000 mg/kg as compared to the 1000 mg/kg as well as the control males [F=4.87, p=0.03].
Table 2: Effects of MECN on relative organ weight of male and female mice
| Relative organ weight | Control | 1000 mg/kg | 2000 mg/kg | p-value |
| Male | ||||
| Liver (%) | 6.04±0.53a | 5.38±0.49a | 5.75±0.70a | 0.76 |
| Kidney (%) | 1.48±0.09a | 1.12±0.13a | 1.56±0.24a | 0.22 |
| Spleen (%) | 0.72±0.14a | 0.65±0.07a | 0.85±0.17a | 0.56 |
| Heart (%) | 0.55±0.02a | 0.55±0.03a | 0.61±0.05a | 0.42 |
| Female | ||||
| Liver (%) | 4.78±0.40a | 4.83±0.28a | 4.76±0.40a | 0.99 |
| Kidney (%) | 1.62±0.10a | 1.51±0.04a | 1.39±0.11a | 0.26 |
| Spleen (%) | 0.53±0.06a | 0.54±0.03a | 0.63±0.09a | 0.59 |
| Heart (%) | 0.51±0.04a | 0.45±0.03a | 0.44±0.02a | 0.42 |
Values are expressed as mean±SEM (n=7). Means within a row with the same superscript letters are not significantly different (p>0.05, ANOVA) between groups by Tukey’s test.
Table 3: Effects of MECNon hematological parameters of male and female mice
| Blood parameters | Control | 1000 mg/kg | 2000 mg/kg | p-value |
| Male | ||||
| Red blood cell (×10[12]/l) | 9.08±0.21a | 9.17±1.19a | 9.24±1.26a | 0.99 |
| White blood cell (×109/l) | 5.83±0.60a | 5.37±0.42a | 5.50±0.28a | 0.70 |
| Packed cell volume (L/l) | 0.27±0.01a | 0.25±0.05a | 0.26±0.01a | 0.48 |
| Plasma protein (g/l) | 110±0.10a | 116±0.4a | 113±0.7a | 0.85 |
| Female | ||||
| Red blood cell (×10[12]/l) | 8.82±0.94a | 9.11±0.19a | 9.96±0.44a | 0.17 |
| White blood cell (×109/l) | 4.83±0.60a | 4.0±0.76a | 5.50±0.28a | 0.26 |
| Packed cell volume (L/l) | 0.22±0.01a | 0.27±0.04a | 0.23±0.02a | 0.32 |
| Plasma protein (g/l) | 119±1.76a | 117±2.88a | 115±2.88a | 0.41 |
Values are expressed as mean±SEM (n=7). Means within a row with the same superscript letters are not significantly different (p<0.05, ANOVA) between groups by Tukey’s test.
Table 4: Effects of MECN on biochemical parameters of male mice
| Male | Control | 1000 mg/kg | 2000 mg/kg | p-value |
| Liver function tests | ||||
| Total protein (g/l) | 82.73±3.03a | 86.20±3.12a | 84.86±3.12a | 0.64 |
| Albumin (g/l) | 47.50±5.93a | 47.40±5.97a | 48.40±6.59a | 0.98 |
| Globulin (g/l) | 32.20±1.72a | 32.60±1.60a | 31.00±1.60a | 0.91 |
| G-Glutamyl transferase (U/l) | 4.0±3.0a | 4±2.0a | 5.33±2.0a | 0.86 |
| Total bilirubin (μmol/l) | 9.60±0.30a | 9.01±0.31a | 11.80±1.27a | 0.45 |
| Alkaline phosphate (U/l) | 165±38.0a | 112±14.0a | 110±52a | 0.54 |
| Cholesterol (mmol/l) | 8.70±0.01a | 5.85±0.08a | 7.65±1.4a | 0.13 |
| Triglyceride (mmol/l) | 4.71±0.12a | 2.68±0.85a | 4.87±1.30a | 0.30 |
| Kidney function tests | ||||
| Sodium (mmol/l) | 152±3.74a | 151±1.91a | 137±5.06b | 0.03 |
| Potassium (mmol/l) | 26.93±1.29a | 23±2.91a | 24.73±2.54a | 0.71 |
| Chloride (mmol/l) | 103.33±2.66a | 100±3.05a | 96±2.58a | 0.16 |
| Urea (mmol/l) | 3.43±0.44a | 3.35±0.46a | 3.16±0.54a | 0.92 |
| Creatinine (mmol/l) | 43.85±1.43a | 42.17±0.81a | 40.00±0.40a | 0.06 |
Values are expressed as mean±SEM (n=7). Means within a row with different superscript letters are a significant difference (p<0.05, ANOVA) between groups by Tukey’s test.
Table 5: Effects of MECN on biochemical parameters of female mice
| Female | Control | 1000 mg/kg | 2000 mg/kg | p-value |
| Liver function tests | ||||
| Total protein (g/l)ns | 77.30±6.90a | 73.40±2.60a | 69.80±5.60a | 0.66 |
| Albumin (g/l)ns | 53.90±6.00a | 45.06±3.65a | 41.50±3.52a | 0.20 |
| Globulin (g/l)ns | 29.73±3.72a | 30.33±4.87a | 30.73±2.11a | 0.18 |
| G-Glutamyl transferase (U/l)ns | 5.33±1.76a | 2.0±0.04a | 2.0±0.04a | 0.09 |
| Total bilirubin (μmol/l)ns | 13.47±2.29a | 11.0±1.20a | 7.73±1.87a | 0.53 |
| Alkaline phosphate (U/l)ns | 86±8.0a | 84.67±12.0a | 76±5.17a | 0.97 |
| Cholesterol (mmol/l)ns | 6.90±2.70a | 6.45±1.05a | 4.80±1.20a | 0.71 |
| Triglyceride (μmol/l)ns | 4.81±1.66a | 4.20±0.33a | 2.68±0.37a | 0.41 |
| Kidney function tests | ||||
| Sodium (mmol/l)ns | 130.0±0.6a | 132.0±1.8a | 116.0±2.2a | 0.78 |
| Potassium (mmol/l)ns | 23.8±6.1a | 23.0±1.6a | 21.20±4.60a | 0.93 |
| Chloride (mmol/l)ns | 96.0±7.57a | 89.0±11a | 87.0±5.0a | 0.71 |
| Urea (mmol/l)ns | 3.37±0.91a | 3.25±1.24a | 3.10±0.57a | 0.98 |
| Creatinine (µmol/l)ns | 41.83±1.52a | 41.16±0.49a | 41.05±0.88a | 0.85 |
Values are expressed as mean±SEM (n=7). Means within a row with different superscript letters are significant difference (p<0.05, ANOVA) between groups by Tukey’s test.
Histopathology of liver and kidney
The results obtained from liver and kidney tissues are summarized in table 6. No significant gross changes were detected in liver and kidneys tissues in all groups and across both sexes (fig. 3 to fig. 6). Inflammatory cell infiltration, necrosis, and hemorrhage were absent in the treated animals. There were also no changes observed in the central vein, portal vein, hepatocytes, sinusoids, and bile ducts. There were no changes in the structure of kidneys with respect to glomeruli, distal and proximal tubules. The scoring of liver and kidney tissues were made by a pathologist who was blinded to the treatment groups.
Tissue changes were not detected in the control group.
Table 6: Necropsy of MECN in male and female mice across treatment groups
| Organ/group | Result | Control (vehicle)a | 1000 mg/kga | 2000 mg/kga |
| Male | ||||
| Liver | Normal | 6/6 | 6/6 | 6/6 |
| Toxicity present | 0/6 | 0/6 | 0/6 | |
| Kidney | Normal | 6/6 | 6/6 | 6/6 |
| Toxicity present | 0/6 | 0/6 | 0/6 | |
| Female | ||||
| Liver | Normal | 6/6 | 6/6 | 6/6 |
| Toxicity present | 0/6 | 0/6 | 0/6 | |
| Kidney | Normal | 6/6 | 6/6 | 6/6 |
| Toxicity present | 0/6 | 0/6 | 0/6 |
aThe values stated are indicated for 6 mice per group, as observed animals or (number of animals having toxicity)/(total number of animals).



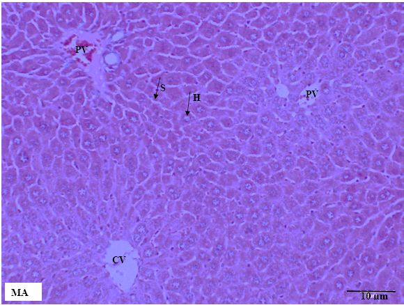
Fig. 3: Liver tissue in male mice across treatment groups. MA: male control group, MB: male mice treated with 1000 mg/kg MECN, MC: male mice treated with 2000 mg/kg MECN. No cellular structural changes were detected in both the treated and control groups. H: hepatocytes, S: sinusoids, PV: portal vein, CV: central vein. (HandE staining, scale bar =10 µm, original magnification x200)



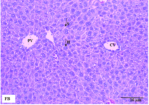
Fig. 4: Liver tissue in female mice across treatment groups. FA: female control group, FB: female mice treated with 1000 mg/kg MECN, FC: femalemice treated with 2000 mg/kg MECN. No cellular structural changes were detected in both the treated and control groups. H: hepatocytes, S: sinusoids, PV: portal vein, CV: central vein. (HandE staining, scale bar=10 µm, original magnification x 200)



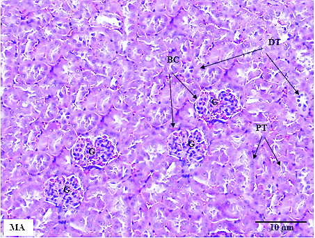
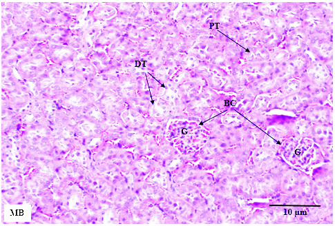
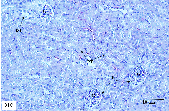
Fig. 5: Kidney tissue in male mice across treatment groups. MA: male control group, MB: male mice treated with 1000 mg/kg MECN, MC: male mice treated with 2000 mg/kg MECN. No cellular structural changes were detected in both the treated and control groups. G: glomeruli, BC: glomerular capsule, PT: proximal convoluted tubule, DT: distal convoluted tubules (HE staining, scale bar=10 µm, original magnification x200)



Fig. 6: Kidney tissue in female mice across treatment groups. FA: female control group, FB: female mice treated with 1000 mg/kg MECN, FC: female mice treated with 2000 mg/kg MECN. No cellular structural changes were detected in both the treated and control groups. G: glomeruli, BC: glomerular capsule, PT: proximal convoluted tubule, DT: distal convoluted tubules (HE staining, scale bar=10 µm, original magnification x200)
The extracts of these plants and their isolated compounds are usually screened for toxicity before their usage [20]. The rapid growth of herbal supplements, health functional foods, and functional drinks has recently resulted in high demand in the herbal industry. The increasing demand for alternative medicine has encouraged many people to use herbal products like the traditional Chinese medicine Ayurveda and Jamu [19]. Due to their medicinal benefits and their minimal side effects, the phytochemical compounds of medicinal plants are being more widely used than synthetically-based drugs[21]. In response to these demands, the present study has examined the quality and degree of safety of the MECN. The results of the study are reported and discussed below.
Oral gavage is the most convenient method for testing the toxicity in plant extracts [22]. Similarly, Rhiouani et al. [23] found that decreases in body weight at the onset of treatment are possible due to the normal physiological adaptation reactions to the plant extracts or compounds, which indicates a normal metabolism of important nutrients such as carbohydrate, protein and fat. The results of the present study showed that the repeated administration of the extract over a period of 28 d induced increases in the body weight of the animals. All the animals exhibited normal weight and behavior pattern with no significant changes between the groups. Furthermore, the physical appearance did not exhibit any changes, and thus there was a normal gain in the body weight. It is possible that this observation was due to environmental factors [24]. Therefore, the treatment of mice with MECN showed no adverse effects during their growth over the duration of the experiment. The results of the present study are in line with other previous findings [19,25]. Additionally, the macroscopic observation of the systemic organs showed no changes in the primary organs of the MECN-treated and control groups. The oral administration of MECN did not cause any adverse effects on the organ weight. Thus, the effect was similar between the groups and the results were not statistically significant. These results are in line with other similar works [25]. According to Auletta[26] changes in the body weight and organ weight of the animal are indications of the presence of toxicity [27]. If the body weight of the animal is reduced to 10% of its initial weight, then the administration of extract is considered toxic. The changes that occur in the relative organ weight of the animal can also be due to the pathological status of animals. It is an important parameter in the preliminary diagnosis of the organ exposure to injury [28]. The relative organ weight is essential for finding out if the organ had any damage during treatment. In drug metabolism context, the liver, kidney, spleen and heart are the main organs that are more susceptible to reactions in the presence of toxicants [29]. Using Swietenia macrophylla crude seeds extract suspended in olive oil, Balijepalli et al. [30] found no casualties among rats and the dose was safe up to 2000 mg/kg. Similarly, this study found no significant changes in the relative weight of organs, as well as in the body weight of all mice of both sexes, whether in the treatment or control groups. Collectively, these indicate that MECN is not toxic up to 2000 mg/kg.
The hematopoietic system serves as an important target for the toxic chemicals. It is a sensitive index for the physiological and pathological status in humans and animals [31]. The RBCs and sometimes referred to as erythrocytes are a type of blood cell that transports oxygen to the body tissues and cells. It also transports the metabolic waste products to the kidneys and liver to filter and excrete. Low RBCs are usually associated with anemia [32]. Adedapo et al. [33] found that using crude aqueous extracts of Euphorbia over a period of 14 d of oral feeding led to low RBCs (anemia) in albino rats. This is in contrast to the finding reported by Okokon et al. [34]. They found that the use of ethanol extract of crude root of Croton zambesicus for 21d resulted in an increase of RBCs and WBCs in rats. This is contrary to the extract stimulating erythropoiesis and leukocytosis, which could be due to the alkaloids present in the extract. Alkaloids could cause similar effects by inhibiting phosphodiesterase that could result in the accumulation of cyclic adenosine monophosphate which in turn stimulates protein synthesis [34]. The sub-acute oral toxicity of MECN in the present study did not cause any significant differences in the hematological parameters RBC, WBC, plasma protein and PCV between the control and MECN treated groups for both sexes. This demonstrates that MECN was safe on the bone marrow function in mice. This result is in line with other findings in the literature[19, 25, 35]. This result also supports a considerable number of necropsy observations, where no injuries to any hematopoietic organs were reported, and no changes in the histopathology were found.
Serum biochemical analysis provides an important tool to assess the effects of herbal extracts in tissue [19]. The common biomarkers for liver damage include alkaline phosphate, serum albumin and total protein [36]. It is known that the liver is the main region of xenobiotic metabolism. The results of the present study did not show any significant changes in the liver serum biomarkers between treatment groups and control groups. According to previous research, the increases in the serum levels of alkaline phosphate were attributed to the lipid peroxidation of hepatocyte members [37]. Their data also demonstrated that there were increases in the sepsis which activated to the nuclear factor kappa-light-chain-enhancer of activated B cells (NF-kB) in the liver and induction of hepatocellular injury [38]. Plants and herbs extracts were used to inhibit NF-kB activation in vitro [39]. The serum alkaline phosphate level in the mice was similar to the reports given in the present study. Final assessment of alkaline phosphate in serum after 28 d of treatment showed no significant changes between the treatment groups and control groups in both sexes. The rising serum level of alkaline phosphate reflects changes in the biliary flow [40]. Alkaline phosphate is also associated with the bone disorder such as bone mineralization [41]. Therefore, serum alkaline phosphate is one of the indicators of liver damage [42]. Based on the findings thus far, this current study concluded that the treatments in this study did not contribute to liver damage.
Serum protein could be used as an indicator to assess the synthetic and regenerative capacity of the liver because most of it is synthesized in hepatocytes. A decrease in serum proteins is thus likely to suggest chronic damage, whereas a rise in the level of serum proteins is likely to indicate tissue injury [43]. An increase in the serum concentration of total protein and cholesterol caused by the treatment with the extract may stimulate synthesis. These increases cannot be attributed to liver damage as no histological lesions were observed in the hepatic tissue. The results of the present study did not show any significant differences in the serum protein between the MECN treated groups and control groups. One can deduce that a selected dosage of Clinacanthus nutans does not have any significant effects on the changes of serum total protein liver parameters [44]. Serum albumin is another parameter related to liver function. Albumin, the major serum protein, is responsible for binding a wide variety of lipophilic compounds including steroids, lipophilic hormones, and phytochemicals that bind to hormone receptors [45]. It is an agent that binds asialoglycoprotein, and the density of the receptor is highly related to liver function cells [46]. According to Tanizawa et al. [47] the acute inflammatory factor is a result of reduced serum albumin. Additionally, the albumin levels are usually reduced in chronic liver diseases, congestive heart failure and nephritis [34]. The present study found no evidence of significant differences in serum albumin between the MECN treated and control groups for male and female mice. The present study suggests that MECN had no adverse effects on the liver.
Bilirubin is a product of heme moiety of hemoglobin molecules that is synthesized in the liver. The high level of bilirubin is usually present in abnormal bilirubin metabolism leading to jaundice. Heightened levels of serum bilirubin may result from excessive hemolysis, cytotoxicity to the liver, or from an obstruction of bile ducts that causes cholestasis [34]. The reports of the present study found no significant increases in the levels of alkaline phosphate, bilirubin and total protein between the treated and control mice in both sexes. This suggests that the MECN does not cause damage to the liver. In a study by Okokon et al. [34] the administration of crude root extract of Croton zambesicus in rats (27-81 mg/kg) for 21 d increased the level of serum total protein, alkaline phosphate, total bilirubin, and total cholesterol. However, the histological study did not notice any lesion in the liver tissue after being treated with the extract. This could be due to the fact that the liver repair mechanism must have repaired the injury along with the liver cells, and thus no injury was spotted. Increases in transaminases and alkaline phosphate without substantial necrosis of the liver have been reported previously. So, since the alkaline phosphate level was unaffected, the injury in the liver may have been at the cellular level and was compensated through the repair mechanism of the liver [34]. However, the decreases in those serum biochemistry values might be due to certain body compensatory mechanisms, body utilization, alterations or maintenance of the body in normal condition [19]. They could also be due to half-life enzymes in the blood. The level of enzymes that increased after an acute injury may be reduced to their one’s half over a period of time. The normality of serum biochemical parameters in MECN treated group could be due to the cytoprotective effect of extracts towards the muscle or liver [19]. This result supports similar findings [19,35,48], and thus MECN treatment can be considered to be safe for use in the subsequent animal model studies. The histopathological examination of liver tissue is required to support the cytoprotective effect of the herbs. The electrolytes potassium and chloride are markers of kidney function. The serum levels of potassium, chloride, urea, and creatinine were not affected by the treatment of mice with MECN all throughout the study. However, the sodium level has significantly decreased in the male group treated with 2000 mg/kg MECN compared to the control groups. This indicates that the extract is not nephrotoxic and the histological studies of kidney revealed no pathological lesions [34]. Therefore, the MECN is not nephrotoxic.
The histological examination is the basis for establishing treatments related to pathological changes in the cell structure of organs [30]. Since the liver and kidney in this study were the two most important organs in the detoxification process, their histological examination has revealed normal hepatocytes and insignificant changes in the structure of the hepatocytes, hepatic artery, bile duct, portal vein and sinusoid in liver tissue. The liver is a strong organ with superior regeneration capability. As such, its function does not keep the same upon the exposure to toxicity. The results of this study have reported no signs of an inflammatory reaction. Additionally, there were no signs of necrosis, local fatty degeneration, hemorrhage, and inflammation infiltration. The kidney micrograph revealed noticeable glomeruli, capsules and Bowman’s space in both dose of treated and control groups in both sexes. This result is in line with previous findings reported by Zakaria et al. [25]. They used MECN with doses of 50, 500 and 2500 mg/kg given over a period of 28 d and found no toxicity signs in the liver and kidney tissues in both sexes of mice. However, this result does not support the findings reported by Asyura et al. [19]. They reported that administering ethanol extract of Clinacanthus nutans to male Sprague-Dawley rats with doses of 125 and 250 mg/kg that were daily given over a period of 90 d caused hepatotoxicity and renal toxicity. This discrepancy between results could be due to differences in the species, where mice may be more resistant to the induction of vascular damage than rats [49]. Nevertheless, strain differences in response to xenobiotics are almost universal. They include differences in acute toxicity, neurotoxicity, carcinogenesis, teratogenesis and immunotoxicological reactions[50]. Research has also found that a high dose of streptozotocin (STZ) 100 to 200 mg/kg can cause diabetes in mice, whereas a dose of 35-65 mg/kg can cause the same effect in rats [51]. In other words, the mice are more resistant to the compound than the rats [52]. These findings show that MECN is safe. The toxic phytochemicals are known to alter the normal range of their parameters. However, this was not observed in the study. The results suggest that MECN does not change the structure of the liver or kidney cells and thus they further confirm the non-toxic nature of MECN. The 28 d oral toxicity research has indeed been advocated as a fundamental test to assess the safety of an extract and thus it has been used in many safety assessment studies [36]. According to previous investigations, no observed adverse effect level of MECN for mice can be considered 2000 mg/kg under the condition of this investigation. Farsi et al. [53] investigated the correlation between dose and period of exposure using male and female rats. They found that when the treatments had longer durations, the level of alkaline phosphate decreased when the rats were orally treated with 2000 mg/kg of aqueous Clinacanthus nutans, irrespective of the fact that this decrease was within the physiological range and was clinically insignificant. Nonetheless, there was an increase in the body weight on day 42 and a decrease on day 77, particularly those rats treated with 500 mg/kg. There were no significant changes observed in the group administered with 2000 mg/kg. Mutagenicity, the tendency of a test compound to induce DNA changes.
CONCLUSION
This study showed that MECN at dosages up to 2000 mg/kg is safe to be used in mice regardless of their sex. There were no significant changes in the body weight, hematological, biochemical and histology signs of toxicity. However, the level of sodium significantly decreased in the mice treated with 2000 mg/kg of MECN compared to those of the control group of male mice. It is crucial for one to understand the toxicity of this plant before developing it to a new herbal medication
ACKNOWLEDGMENT
The authors wish to express our thanks to the Universiti Putra Malaysia, Geran Putra-IPS. 9509700 for sponsoring the publication fee.
AUTHORS CONTRIBUTION
All the authors namely Samiaa J. Abdulwahid, Meng Yong Goh, Mahdi Ebrahimi, Zailina BintiHashim, _cv_NorhafizahM_2016.pdf"Norhafizah Mohtarrudin were participated equally to the design of the study, analysis, writing draft paper and finalizing the article.
CONFLICTS OF INTERESTS
All authors have none todeclare
REFERENCES
Alam A, Ferdosh S, Ghafoor K, Hakim A, Juraimi AS, Khatib A, et al. Clinacanthusnutans: a review of the medicinal uses, pharmacology and phytochemistry. Asian Pac J Trop Biomed 2016;9:402-9.
Zulkipli IN, Rajabalaya R, Idris A, Sulaiman NA, David SR. Clinacanthusnutans: a review on ethnomedicinal uses, chemical constituents and pharmacological properties. Pharm Biol 2017;55:1093-113.
Mustapa AN, Martin A, Mato RB, Cocero MJ. Extraction of phytocompounds from the medicinal plant ClinacanthusnutansLindau by microwave-assisted extraction and supercritical carbon dioxide extraction. Ind Crops Prod 2015;74:83-94.
Sarega N, Imam MU, Ooi DJ, Chan KW, MdEsa N, Zawawi N, et al. Phenolic rich extract from Clinacanthusnutans attenuates hyperlipidemia-associated oxidative stress in rats. Oxid Med Cell Longevity 2016;2016:1-16.
Sari LM, Suyatna FD, Subita GP, Auerkari EI. Acute dermal toxicity study of Areca catechu linn. Extract in sprague-dawley rats. Asian J Pharm Clin Res 2016;9:1-3.
Mehenni C, Atmani Kilani D, Dumarçay S, Perrin D, Gerardin P, Atmani D. Hepatoprotective and anti-diabetic effects of Pistacialentiscus leaf and fruit extracts. J Food Drug Anal 2016;24:653-69.
Kumadoh D, Ofori-KwakyeKw. Dosage forms of herbal medicinal products and their stability considerations-an overview. J Crit Rev 2017;4:1-8
Calixto JB. Efficacy, safety, quality control, marketing and regulatory guidelines for herbal medicines (phytotherapeutic agents). Braz J Med Biol Res 2000;33:179-89.
Nasri H. Cisplatin therapy and the problem of gender-related nephrotoxicity. J Nephropharmacol 2013;2:13-4.
Kshirsagar A, Vetal Y, Ashak P, Bhosle P, Ingawale D. Drug induced hepatotoxicity: a comprehensive review. Int J Pharmacol 2008;7:1-17.
Barle EL, Looser R, Cerne M, Bechter R. The value of acute toxicity testing of pharmaceuticals for estimation of human response. Regul Toxicol Pharmacol 2012;62:412-8.
Nandhagopal K, Kanniyakumari M. Effect of rasa mezhugu on freund’s adjuvant-induced arthritis in rats. Int J Curr Pharm Res 2016;8:80-5.
Hsu YW, Tsai CF, Chen WK, Huang CF, Yen CC. A subacute toxicity evaluation of green tea (Camellia sinensis) extract in mice. Food Chem Toxicol 2011;49:2624-30.
Lau KW, Lee SK, Chin JH. Effect of the methanol leaves extract of Clinacanthusnutans on the activity of acetylcholinesterase in male mice. J Acute Disease 2014;3:22-5.
OECD Guideline for the Testing of Chemicals, Repeated Dose 28-Day: Oral Toxicity Study in Rodent, Paris, OECD. No. 407; 2008. p. 1-13.
Rajeh MA, Kwan YP, Zakaria Z, Latha LY, Jothy SL, Sasidharan S. Acute toxicity impacts of Euphorbia hirta L extract on behavior, organs body weight index and histopathology of organs of the mice and Artemiasalina. Pharmacogn Res 2012;4:170-7.
Piersma T, Koolhaas A, Dekinga A, Gwinner E. Red blood cell and white blood cell counts in sandpipers (Philomachuspugnax, Calidriscanutus): effects of captivity, season, nutritional status, and frequent bleedings. Can J Zool 2000;78:1349-55.
Tubesha Z, Imam MU, Mahmud R, Ismail M. Study on the potential toxicity of Thymoquinone-rich fraction nanoemulsion in sprague-dawley rats. Molecules 2013;18:7460-72.
Asyura S, Hamzah HR, Shaari R, Sithambaram S, Mustapha N. Blood profiles and histopathological changes of liver and kidney tissues from male sprague-dawley rats treated with ethanol extracts of Clinacanthusnutans leaf. J Clin Toxicol 2016;6:1-10.
Sarma DN, Barrett ML, Chavez ML, Gardiner P, Ko R, Mahady GB, et al. Safety of green tea extracts. Drug Saf 2008;31:469-84.
Jeong YJ, Sohm EH, Jung YH, Yoon WJ, Cho YM, Kim I, et al. Anti-obesity effect of Crinum asiaticumvar. Japonicum Baker extract in high-fat-diet-induced and monogenic obese mice. Biomed Pharmacother 2016;82:35-43.
Sayyad MM, Tiang N, Kumari Y, Goh BH, Jaiswal Y, Rosli R, et al. Acute toxicity profiling of the ethyl acetate fraction of Swieteniamacrophylla seeds and in vitro neuroprotection studies. Saudi Pharm J 2017;25:196-205.
Rhiouani H, Nazari P, Kamli-Nejad M, Lyoussi B. Acute and sub chronic oral toxicity of an aqueous extract of leaves of Herniariaglabra in rodents. J Ethnopharmacol 2008;118:378-86.
Castelhano Carlos M, Baumans V. The impact of light, noise, cage cleaning and in-house transport on welfare and stress of laboratory rats. Lab Anim 2009;43:311-27.
Zakaria ZA, Rahim MH, Mohtarrudin N, Kadir AA, Cheema MS, Ahmad Z, et al. Acute and sub-chronic oral toxicity studies of methanol extract of Clinacanthusnutans in mice. Afr J Tradit Complementary Altern Med 2016;13:210-22.
Auletta CS. Acute, subchronic and chronic toxicology. In: Derelanko MJ, Auletta CS. Editors. Handbook of toxicology. 2nd ed. Florida: CRC Press; 1995. p. 81-215.
Teshome K, Gebre Mariam T, Asres K, Engidawork E. Toxicity studies on dermal application of plant extract of Dodonaeaviscosa used in Ethiopian traditional medicine. Phytother Res 2010;24:60-9.
Raza M, Al-Shabanah OA, El-Hadiyah TM, Al-Majed AA. Effect of prolonged vigabatrin treatment on hematological and biochemical parameters in plasma, liver and kidney of Swiss albino mice. Sci Pharm 2002;70:135-45.
Jothy SL, Zakaria Z, Chen Y, Lau YL, Latha LY, Sasidharan S. Acute oral toxicity of methanolic seed extract of Cassia fistula in mice. Molecules 2011;16:5268-82.
Balijepalli MK, Suppaiah V, Chin AM, Buru AS, Sagineedu SR, Pichika MR. Acute oral toxicity studies of Swieteniamacrophylla seeds in sprague dawley rats. Pharmacogn Res 2015;7:38.
Kulkarni YA, Veeranjaneyulu A. Toxicological evaluation of the methanol extract of GmelinaarboreaRoxb. bark in mice and rats. ToxicolInt 2012;19:125-31.
Taib IS, Budin SB, Ain SM, Mohamed J, Louis SR, Das S, et al. Toxic effects of Litseaelliptica Blume essential oil on red blood cells of sprague-dawley rats. J Zhejiang Univ Sci B 2009;10:813-9.
Adedapo AA, Abatan MO, Olorunsogo O. Toxic effects of some plants in the genus Euphorbia on haematological and biochemical parameters of rats. Vet Arh 2004;74:53-62.
Okokon JE, Nwafor PA, Ekpo MD. Subchronic toxicity studies of the ethanolic root extract of Croton zambesicus. Pak J Pharm Sci 2010;23:160-9.
Harizal S, Mansor S, Hasnan J, Tharakan J, Abdullah J. Acute toxicity study of standardized methanolic extract of Mitragynaspeciose korth in rodent. J Enthapharmacol 2010;131:404-9.
Hor SY, Ahmad M, Farsi E, Lim CP, Asmawi MZ, Yam MF. Acute and subchronic oral toxicity of Coriolusversicolor standardized water extract in sprague-dawley rats. J Ethnopharmacol 2011;137:1067-6.
Al-Rejaie SS. Thymoquinone treatment alleviate ovariectomy-induced hepatic oxidative damage in rats. J Appl Pharm Sci 2013;3:126-31.
Liu SF, Malik AB. NF-κB activation as a pathological mechanism of septic shock and inflammation. Am J Physiol Lung Cell Mol Physiol 2006;290:622-45.
Paur I, Balstad T, Kolberg M, Pedersen M, Austenaa L, Jacobs D, et al. Extract of oregano, coffee, thyme, clove, and walnuts inhibits NF-kappa B in monocytes and in transgenic reporter mice. Cancer Prev Res 2010;3:653-63.
Giannini EG, Testa R, Savarino V. Liver enzyme alteration: a guide for clinicians. Can Med Assoc J 2005;172:367-79.
Krishnamoorthy D, Frechette D, Adler BJ, Green DE, Chan ME, Rubin CT. Marrow adipogenesis and bone loss that parallels estrogen deficiency is slowed by low-intensity mechanical signals. Osteoporosis Int 2016;27:747-56.
Kitada H, Miyata M, Nakamura T, Tozawa A, Honma W, Shimada M, et al. Protective role of hydroxysteroidsulfotransferase in lithocholic acid-induced liver toxicity. J Biol Chem 2003;278:17838-44.
Rasekh HR, Nazari P, Kamli-Nejad M, Hosseinzadeh L. Acute and subchronic oral toxicity of Galegaofficinalis in rats. J Ethnopharmacol 2008;116:21-6.
Alempijevic T, Kovacevic N. Right liver lobe diameter: albumin ratio: a new non-invasive parameter for prediction of oesophageal varices in patients with liver cirrhosis (preliminary report). Gut 2007;56:1166-7.
Baker ME. Albumin's role in steroid hormone action and the origins of vertebrates: is albumin an essential protein? FEBS Lett 1998;439:9-12.
Shuke N, Aburano T, Okizaki A, Zhao C, Nakajima K, Yokoyama K, et al. Estimation of fractional liver uptake and blood retention of 99mTc-DTPA-galactosyl human serum albumin: an application of a simple graphical method to dynamic SPECT. Nucl Med Commun 2003;24:503-11.
Tanizawa T, Yamaguchi A, Uchiyama Y, Miyaura C, Ikeda T, Ejiri S. et al. Reduction in bone formation and elevated bone resorption in ovariectomized rats with special reference to acute inflammation. Bone 2000;26:43-53.
P'ng XW, Akowuah GA, Chin JH. Evaluation of the sub–acute oral toxic effect of methanol extract of Clinacanthusnutans leaves in rats. J Acute Disease 2013;2:29-32.
Greaves P. Histopathology of preclinical toxicity studies: interpretation and relevance in drug safety evaluation. 4th ed. UK: Academic Press; 2011. p. 291-301.
De Matteis F, Smith LL. Molecular and cellular mechanisms of toxicity. Florida: CRC Press; 1995. p. 167-71.
King AJ. The use of animal models in diabetes research. Br J Pharmacol 2012;166:877-94.
Bonthuis PJ, Cox KH, Searcy BT, Kumar P, Tobet S, Rissman EF. Of mice and rats: key species variations in the sexual differentiation of brain and behavior. Front Neuroendocrinol 2010;31:341-58.
Farsi E, Esmailli K, Shafaei A, Khaniabadi P, Al Hindi B, Khadeer MB, et al. Mutagenicity and preclinical safety assessment of the aqueous extract of Clinacanthusnutans leaves. Drug Chem Toxicol 2016;545:1-13.