1M-Pharm pharmacology College of pharmaceutical sciences, Govt Medical College, Trivandrum, Kerala.
Email: rajithadinoop@yahoo.in
Received: 01 Sep 2014 Revised and Accepted: 02 Oct 2014
ABSTRACT
Objective: The objective of the study was to evaluate the dose dependent effects of atorvastatin on rat kidneys.
Methods: The selected doses of atorvastatin were administered orally for 17 days to rats. The statin induced nephrotoxicity was accessed by carrying out renal function tests and is by renal histopathology analysis. Measurements of antioxidant enzymes were also carried out to check whether atorvastatin at the selected dose level interfere with any of the antioxidant system. Atorvastatin at three doses 5mg/kg, 10mg/kg and 20mg/kg was tested.
Results: Higher doses of atorvastatin exhibits considerable degree of renal toxicity in rats, while the low doses do not interfere with renal functions in rats. Atorvastatin at all the tested dose levels not interfere with cellular anti-oxidant mechanisms.
Conclusions: Atorvastatin at 20mg/kg exhibit significant toxicity on rat kidneys. Atorvastatin at the selected dose level does not interfere with any of the antioxidant mechanisms. It indicated that atorvastatin not cause oxidative stress induced renal damage and rhabdomyolysis may be the reason for renal damage induced by atorvastatin at the high dose level.
Keywords: Atorvastatin, Nephrotoxicity, Oxidative stress.
INTRODUCTION
Statins are important class of cholesterol lowering drugs which act by inhibiting HMG Co reductase, the rate limiting enzyme involved in cholesterol biosynthesis pathway. Currently a lot of researches are in progress to reveal the pleotropic effects of statins including anti-inflammatory activity, antioxidant activity, nephro-protective, anti proliferative and immunosuppressive properties [1]. A review of available registry data suggested that statins besides provide a cardio protective effect, improve kidney functions and renal dynamics in chronic kidney disease and renal transplant patients[2,3,4]. Some literatures were available which indicated the protective effect of statins in nephrotoxicity induced by gentamycin[5,6] cisplatin[7], cyclosporine[8]etc. It was reported that the antioxidant effect of statins are responsible for the clinical benefits of statins in renal functions [9,10]. Statins exhibit anti-oxidant activities by a lot of mechanisms including enhancing the redox regulatory activity of thioredoxin[11,12] by reducing myeloperoxidase and nitric oxide derived oxidants production[13], by decreasing the expression of essential NADPH oxidase,[14,15] by increasing the serum paroxanase I activity[16] and by increasing serum glutathione level[17]. Now it is considered that small dose of statins are safe to prescribe in moderate renal impairment, and might even preserve glomerular filtration[18]. Faikah gueler et al reported that postischemic acute renal failure is reduced by short-term cerivastatin treatment [19]. Zorica Nesic et al reported that single-dose intravenous simvastatin treatment attenuates renal injury in an experimental model of ischemia-reperfusion in Rats [20]. Alejandro R. Chade et al reported that simvastatin promotes angiogenesis and prevents micro vascular remodeling in chronic renal ischemia in a pig model [21]. But there are some literature are available which indicated that chronic use of statins in high dose may leads to direct renal tubular toxicity[22, 23], characterized by acute as well as chronic tubule interstitial nephritis, increase in fibrous tissue with tubular atrophy and casts formation and detachment of renal tubular cells[24].
Our group already published the dose dependent effect of atorvastatin against vancomycin induced renal damage in 5th volume and 3rd issue, in the year 2013 of the same journal [25]. We got the protective effect only at 10mg/kg of atorvastatin and a dose of 20mg/kg failed to provide a protective effect. So this work was focused to reveal the dose dependent effect of atorvastatin in rat kidneys and to reveal the effect of the selected doses of atorvastatin on anti-oxidant status of rat. That is, an attempt was made to find whether atorvastatin at the high dose may induce an oxidative stress capable to induce renal damage in albino rats.
MATERIALS AND METHODS
Animals
Wistar rats of either sex having weight of 150-300g were used for the study. Animals were housed in polypropylene cages, bedded with paddy husk and provided with standard rodent pellet diet and drinking water. The animals were maintained under standard conditions of relative humidity, 12 hours light-dark cycle, provided with adequate ventilation and ambient room temperature.
Ethical clearance
All the experimental protocol was approved by the institutional animal ethics committee, Medical College, Thiruvananthapuram. The care of animals was taken as per the guidelines of the Committee for the Purpose of Control and Supervision of Experiments on Animals(CPCSEA); Department of Animal Welfare, Government of India.
Drug
Atorvastatin reference sample was supplied as the gift sample by Ranbaxy pharmaceuticals, Pvt Ltd, Punjab.
Animals grouping and treatments
A total of 24 animals were used for the study. They were further divided into four groups of 6 animals in each group
Group I (6 rats): Received distilled water for 17 days
Group 2(6 rats): Received atorvastatin 5mg/Kg orally for 17 days.
Group 3(6 rats): Received atorvastatin 10mg/Kg orally for 17days.
Group 4 (6 rats): Received atorvastatin 20 mg/Kg orally for 17 days.
On 17th day of the treatment 24 hr urine was collected from animals in all group using metabolic cages and on next day blood samples were collected by retro-orbital bleeding under anaesthesia. Both the urine and blood samples were subjected to biochemical investigation.
At the end, all the animals were sacrificed by anaesthetic overdose. Kidneys were isolated and washed with normal saline to remove the blood and blotted with filter paper. Weights of kidneys were noted and right kidney weight was expressed as an organ to body weight ratio and was used for antioxidant enzymes measurement. Left kidney was subjected to histopathological investigations.
Biochemical investigations
Serum and urine analysis
All the analysis of blood and urine samples were performed in advanced clinical research laboratory, Govt Medical College, Trivandrum
Antioxidant enzymes and lipid peroxidation assays
Preparation of tissue homogenate
For the antioxidant measurements kidney homogenate prepared in 140 mM potassium phosphate buffer (pH 7.0) was used. The supernatant of homogenate stored at 4oC and used for the antioxidant enzyme assays [25].
Determination of Homogenate protein (Biuret Method)[25]
Estimation of protein by Biuret method is based on the formation of a blue coloured complex of proteins with cupric icons present in biuret reagent and the absorbance of the complex can be measured at 540 nm.
Superoxide dismutase assay (Marklund and Marklund1974)[25]
The assay is based on the principle of conversion ofNitro Blue Tetrazolium (NBT) to NBT-diformazan, by superoxides generated by xanthine oxidase; which convert xanthine to uric acid and hydrogen peroxide. NBT-diformazan absorbs light at 560 nm and that can be measured spectrophotometrically.
Catalase assay (Aebi et al 1984)[25]
Catalase catalyses the decomposition of hydrogen peroxides to water and oxygen and the catalase test is used to detect the presence of catalase. The assay is based on the degradation of hydrogen peroxide by catalase, in which the decomposition of peroxide is followed spectrophotometrically at 240 nm.
Lipid peroxidation assay (Ohkawa et al 1979)[25]
Formation of Malondialdehyde (MDA) is the end results of lipid peroxidation. The assay is based on the formation of 1:2 adduct of MDA with thiobarbituric acid and can be measured spectrophotometrically at 532 nm.
Glutathione content (Modified beutler et al method) [25]
The assay is based on the interaction of 5-5'dithiobis 2-nitrobenzoic acid (DTNB) present in the assay mixture with reduced glutathione (GSH) to form the coloured product 2-nitro-5-thiobenzoic acid, which can be measured at 412 nm.
Histopathological studies
Left Kidney was fixed in 10 % neutral buffered formalin, dehydrated with alcohol and xylene, embedded in paraffin wax, sliced to 5 µm thick sections using rotary microtome, stained with haematoxylin and eosin and subjected to analysis for histological changes using microscope.
Statistical analysis
All the data are presented as mean value ± SEM. Statistical analysis was done by using one way ANOVA with post Hoc comparisons using Tukey HSD tests. P value less than 0.05 was considered significant.
RESULTS
In order to study the toxicity potential of atorvastatin on rat kidneys three doses of atorvastatin were selected. The measurements of various serum and urine biochemical markers for renal toxicity were evaluated. The selected doses of atorvastatin were administered orally for 17 days, as these doses and duration were already tested by our research groups in vancomycin induced nephrotoxicity and the results was published [25].
The Blood Urea Nitrogen (BUN) is an indicator of renal function; was measured for all groups. BUN of control animals was found to be 40.467±0.715mg/dl. Atorvastatin5mg/kg treated group exhibited a BUN value of 41.283±0.825mg/dl which was not significantly different from ontrol animals. Atorvastatin treatment at a dose of 10mg/kg gave a BUN value of 40.069±0.946mg/dl (p=0.988) as compared to control treatment. The treatment with atorvastatin 20mg/kg treatment increased BUN level to 51.783 ±1.015 which was significantly higher when compared with control group animals. Data shown in figure1.
Serum creatinine is another important indicator of renal function and is increased in impaired kidney function. Serum creatinine concentration in control group of animals was 0.467±0.033mg/dl. Treatment with atorvastatin5mg/kg and 10mg/kg caused a serum creatinine level of 0.417±0307 (p=0.705) and 0.453±0.0453 (p=1) respectively as compared to control group which was not statistically significant. The treatment with atorvastatin 20mg/kg treatment increased serum creatinine to 1.333±0.033significantly (p=0.0001) as compared to the control group. Data shown in fig 2.
Creatinine clearance is considered a direct indicator of renal clearance and is reported to be decreased in kidney diseases. In the control group animals, the creatinine clearance was 0.4154±0.0309. Treatment with atorvastatin5mg/kg and 10mg/kg caused a serum creatinine level of 0.4363±0.012 (p=0. 873) and 0.3929±0.0204 (p=0.846) respectively as compared to control group which were not statistically significant. The treatment with atorvastatin 20mg/kg treatment caused a decrease in creatinine clearance to 0.0365±0.003; which was statistically significant (p=0.0001) as compared to the control group. Data are shown in fig: 3.
Urine output give an indirect indication of renal function.24 hr urine volume was measured at the end of the study in all groups of animals. The control group animals on 7th day gave urine output of (6.43 ± 0.23) ml. The treatment with atorvastatin 5mg/kg and atorvastatin 10mg/kg resulted in a urine output of 6.82±0.28 ml (p=0. 637) and 6.27 ±0.23 ml (p=0.954) respectively, the values were not significant when compared with control animals. But the treatment with atorvastatin 20mg/kg reduces the urine output to 5.38±0.14 and this reduction in urine volume was significant (p=0.018) when compared with control group. Data are shown in fig: 4.
Urine sodium level was found to be 42.1± 1.53mEq/L in the control group. The treatment with atorvastatin 5mg/kg, atorvastatin 10mg/kg and atorvastatin 20mg/kg resulted in a urine sodium level of 44.48±1.88 (p=0.910), 40.22 ±1.33 (p=0. 527) and 42.20±1.06 (p=0. 973) respectively. None of these values were significantly different from control group. Urine potassium level of control group on 7th day of study was observed as 75.15±2.02 mEq/L. The treatment with atorvastatin5mg/kg, Atorvastatin 10mg/kg and atorvastatin 20mg/kg showed a urine potassium level of 81.25±1.09 (p=0. 057), 78.2±1.14 (p=0.797) and 79.05±1.24 (p=0. 500) respectively. None of these values were significant. Data are shown in table: 1.
In order to study the effect of selected doses of atorvastatin on antioxidant status and to reveal the influence of these factors on renal function; measurements of various antioxidant enzymes such as superoxide dismutase (SOD), catalase, Glutathione (GSH) and lipid per oxidation end products (MDA) were done. The control group animals have an SOD activity of 35.828±2.398U/mg protein. The treatment with atorvastatin 5mg/kg, atorvastatin 10mg/kg and atorvastatin 20mg/kg exhibited an SOD activity of 36.442±1.6118 (p=0.994), 34.003 ±1.0608 (p=0. 867) and 33.5608±1.1338 (p=0. 776). None of these values were significant, when compared with control group. Data are shown in table 2. The catalase activity of water control group was 0.6894±0.0634. The treatment with atorvastatin5mg/kg, atorvastatin10mg/kg and atorvastatin 20mg/kg treated groups had a catalase activity of 0.6147±0.0834 (p=0. 876), 0.7712± 0.0451 (p=0.844) and 0.6865±0.0827 (p=1) respectively. None of these values were statistically significant. Data are shown in table 2. The control group showed that MDA level in kidney was1.24 ±0.0165. The treatment with atorvastatin 5mg/kg, atorvastatin 10mg/kg and atorvastatin 20mg/kg showed an MDA level of 1.122±0.0144 (p=0.919), 1.5057 ±0.1687 (p=0.494) and 1.335±0.1125 (p=0. 954) respectively. None of these values were significant. Data are shown in table 2. GSH is an indicator of antioxidant function. In control group animals the GSH level was 0.1574±0.0139. The treatment with atorvastatin 5mg/kg, atorvastatin 10mg/kg and atorvastatin 20mg/kg showed a GSH level of 0.1611±0.00625 (p=0.992), 0.1301 ±0.0066 (p=0.198) and 0.1271±0.00865 (p=0. 080) respectively when compared with control group. None of these values were significant. Data are shown in table 2
Initial weights of all the animals were taken and on the last day change in weight of animals were noted and was expressed in percentage. The percentage change in weight of control animals was (3.713 ±.445). Treatment with atorvastatin (5mg/kg) resulted in a body weight changes of 2.614±0.967 (p=0.664) group and atorvastatin 10mg/kg caused a change in body weight to 3.180±0.7816, (p=0.994), as compared to control groups. The treatment with atorvastatin 20mg/kg caused a body weight changes of 3.4259±0.286, (p=0.943) as compared to control group. None of these changes are statistically significant.
The kidney was weighed after the various treatment periods and was expressed as organ to body weight (%) ratio. The kidney weight in control group was 0.314 ±0.009. In groups treated with atorvastatin (5mg/kg) the organ to body weight ratio of kidney was found to be 0.335±0.011(P=0.710) which was not significantly different from control groups. Treatment with atorvastatin 10mg/kg causes a organ to body weight ratio of 0.351 ± 0.019(P=0.263);Which was also not significantly different from control groups. The treatment with atorvastatin 20mg/kg resulted in significant elevation of this ratio of 0.428±0.012 (P=0.001) as compared to control group. Data are shown in fig 5.
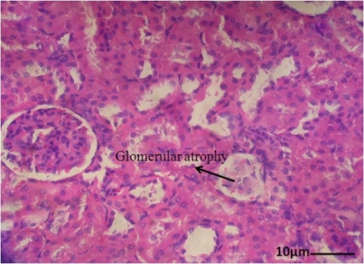
Histopathological examination of the kidney was done after various treatments. Atorvastatin at doses 5mg/kg (Fig: 7) and 10mg/kg (Fig: 8) does not show any characteristic pathological changes compared to the control rats. They showed intact tubules and glomeruli as seen in normal rats except that a mild glomerular congestion was observed with 10mg/kg. Atorvastatin 20mg/kg received rats show characteristic pathological changes such as glomerular atrophy, glomerular nephritis (Fig 9) and dialated tubules (Fig: 10) with tubular atrophy.

Fig. 1: BUN of albino rats given various treatments [(values are mean ± SEM). *p=0.001 as compared to control group

Fig. 2: Serum creatinine levels of albino rats given various treatments [(values are mean ± SEM).*p=0.0001 as compared to control group

Fig. 3: Creatinine clearance of albino rats given various treatments (values are mean ± SEM) *p=0.0001 as compared to control group

Fig. 4: Urine volume levels of albino rats given various treatments [(values are mean ± SEM) *p=0.018 as compared to control group

Fig. 5: kidney weight to body weight ratio of albino rats given various treatments (values are mean ± SEM) *p=0.001 as compared to control group
Table 1: Urine chemistry of albino rats after atorvastatin treatments N=6
| Groups | Treatments (Oral route) | Urine Sodium meq/L | Urine Potassium meq/L |
| Group 1 | Distilled Water | 42.1± 1.53 | 75.15±2.02 |
| Group 1 | Atorvastatin 5mg/kg p. | 44.48±1.88 | 81.25±1.09 |
| Group 3 | Atorvastatin 10mg/kg | 40.22 ±1.33 | 78.2±1.14 |
| Group 4 | Atorvastatin 20mg/kg | 42.20±1.06 | 79.05±1.24 |
Table 2: Renal anti oxidant enzymes levels of albino rats after atorvastatin treatments N=6
| Groups | Treatments (oral) | SODU/mg of protein | Catalase nmols of H2O2 decomposed /mgin/mg of protein | GSH nmols/ mg of protein | MDA nmols/mg of protein |
| Group 1 | Distilled Water | 35.828±2.398 | 0.689±0.063 | 0.157±0.014 | 1.24 ±0.017 |
| Group 2 | Atorvastatin 5mg/kg(p. o) | 36.442±1.612 | 0.615±0.083 | 0.161±0.006 | 1.122±0.014 |
| Group 3 | Atorvastatin 10mg/kg | 34.003 ±1.061 | 0.771±0.045 | 0.130 ±0.007 | 1.506 ±0.169 |
| Group 4 | Atorvastatin 20mg/kg+ Distilled Water 0.08 ml/100g(i. p) | 33.561±1.134 | 0.687±0.083 | 0.127±0.009 | 1.335±0.113 |

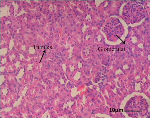
Fig. 6: Histopathology of kidney (40 x) of control rats showing normal tubules and glomerulus

Fig. 7: Histopathology of kidney (40 x) of atorvastatin5mg/kg treated rats showing normal tubules and glomerular

Fig. 8: Histopathology of kidney (40x) of atorvastatin10mg/kg treated rats showing normal tubules and glomerulei
(mild comgestion)

Fig. 9: Histopathology of kidney (40 X) of atorvastatin20mg/kg treated rats showing glomerlar atrophy and nephritis

Fig. 10: Histopathology of kidney of atorvastatin20mg/kg treated rats showing dialated tubules
DISCUSION
Blood Urea Nitrogen, and Serum creatinine are indicators of kidney function. BUN and Serum creatinine levels of rats treated with atorvastatin 5mg/kg and 10mg/kg were not significantly different from that of control animals. It indicated that these doses of atorvastatin not induce any nephrotoxicity and did not cause impaired renal functions. But BUN and serum creatinine levels were significantly increased by high dose (20mg/kg) atorvastatin treatment compared to the control animals; it may be the result of atorvastatin induced renal damage at this dose.
Creatinine clearance is also an index of renal functions and decreased clearance may be associated with decline in renal functions. In our study creatinine clearance did not changes significantly in rats treated with low doses of atorvastatin compared to the control animals. But atorvastatin at a dose of 20mg/kg caused a significant fall in creatinine clearance as compared to the control and this fall in creatinine clearance is in agree with the report that a high dose statin was associated with decline in renal functions.
Atorvastatin at a dose of 5mg/kg and 10mg/kg did not significantly decrease the urine volume compared to the control animals. But 20mg/kg of atorvastatin significantly decreased the urine volume compared with control animals. Diminished urine volume may be the result of statin induced renal damage. Urine electrolytes (sodium and potassium) and serum potassium levels were not changed significantly in any of the statin treated groups compared with control animals. It may indicate that statin induced nephrotoxicity was not so prominent to affect the electrolytes balance in the urine and blood. The ratio of kidney weight to body weight of animals were significantly higher in atorvastatin 20mg/kg treated animals compared to the control animals. The increased kidney weight may be the result of nephrotoxicity associated with this dose.
SOD, catalase, GSH and MDA are important indicators of antioxidant status. The level of SOD, catalase, GSH and MDA of rats treated with all the three doses (5mg/kg, 10mg/kg and 20mg/kg) of atorvastatin was comparable with that of the control animals; indicating that atorvastatin at these selected dose levels did not interfere with normal antioxidant status and not induce any oxidative stress sufficient to cause renal damage.
In our previous study it was reported that atorvastatin at a dose of 20mg/kg failed to provide a protection against vancomycin induced nephrotoxicity; even though this dose normalized the antioxidant status which was decreased due to vancomycin treatment. This may probably be due to the fact that atorvastatin itself had a nephrotoxic potential at a high dose and it was evidenced by renal histopathology of rats which received this dose alone without receiving vancomycin.
Although the experimental evidence for statin induced direct renal damage was rare; a case was reported by Roal van Zyl-Smit et al where a patient developed direct tubular damage with high dose of atorvastatin and rosuvastatin statin therapy [17]. In this patient renal toxicity reflected by raised BUN, serum creatinine and diminished creatinine clearance and his renal biopsy showed acute as well as chronic tubulo interstitial nephritis. There was an increase in fibrous tissue with tubular atrophy and occasional inflammatory cells. Casts was seen in some parts of dilated tubules and contained detached renal tubular cells. The glomeruli were normal. D J Kornbrust et al reported that in rabbits treated with lovastatin showed renal tubular necrosis along with accumulation of serum urea nitrogen and creatinine [26].
The renal damage associated with statin may be due to the rhabdomyolysis caused by high dose statins. Rhabdomyolysis is an important but rare adverse effect of statins, which is characterized by severe muscle destruction with release of contents of damaged myocytes including myoglobin which cause damage to kidney and myoglobinuria. Occurrence of rhabdomyolysis with statin mostly been related to a combination with other agents that may interfere with statin metabolism [27]. Lewin J et al reported a case of a patient with rhabdomyolysis and accompanying acute renal failure secondary to a drug interaction between atorvastatin and diltiazem [28]. Maltz c et al reported a case of rhabdomyolysis in a cadaveric renal transplant patient receiving atorvastatin and cyclosporine concurrently [29]. Jimmy Jose et al reported a case of early-onset of rhabdomyolysis in a patient with nephrotic syndrome treated with atorvastatin [30]. Daniele Vallisa et al reported a case of fatal rhabdomyolysis associated with simvastatin treatment in a renal transplant patient who receive concurrent cyclosporine [31].
In our study also rhabdomyolysis may be the reason for impairedrenal function associated with high dose. But no visual change of muscle weakness such as difficulties in walking was observed at the treatment period.
CONCLUSION
The results of the study concluded that atrorvastatin at any of the tested dose levels not interfere with cellular anti-oxidant mechanism, oxidative stress is not a reason for statin induced renal damage. Further Studies with necessary biomarkers are needed to confirm the role of rhabdomyolysis in statin induced renal damage and studies are also needed to discriminate the dose of atorvastatin to cause rhabdolmyolysis when used alone or in combination with other agents interfering with statin metabolism.
CONFLICT OF INTERESTS
Declared None
REFERENCES