
Biotechnology Research Institute, Universiti Malaysia Sabah, Jalan UMS, 88400 Kota Kinabalu, Sabah, MALAYSIA
Email: miqbal@ums.edu.my
Received: 20 Aug 2018 Revised and Accepted: 13 Nov 2018
ABSTRACT
Objective: The antihyperglycemic and antioxidative effects of L. microphyllum were evaluated by using in vivo methods in normal and alloxan induced diabetic rats.
Methods: Diabetes was induced in Sprague Dawley rats by injecting alloxan through intravenous (i. v) at a dose of 100 mg/kg of body weight. Aqueous extract of L. microphyllum at different doses (400, 200 and 100 mg/kg of body weight) was administered orally (orogastric intubation) for 14 d. Blood glucose and oxidative stress markers were measured. Hematoxylin and eosin staining method were used to examine the pancreatic tissues.
Results: At the 14 d interval, fasting blood glucose showed a reduction in serum glucose levels in animals pretreated with L. microphyllum compared with alloxan alone treated group. Oxidative stress was noticed in rat’s pancreatic tissue as evidenced by a significant decrease in glutathione level, glutathione reductase, glutathione-S-transferase, and catalase activities. Malondialdehyde showed a significant increase compared to the normal saline-treated control group. Serum biochemistry and oxidative stress markers were consistent with the pancreatic histopathological studies. Treatment of diabetic rats with L. microphyllum at a dose level of 100, 200 and 400 mg/kg body weight leaves extract for 14 d significantly prevented these alterations and attenuated alloxan-induced oxidative stress (P<0.05).
Conclusion: The results of the present study indicated that the antihyperglycemic potential of L. microphyllum might be ascribable to its antioxidant and free radical scavenging properties. Thus, it is concluded that L. microphyllum may be helpful in the prevention of diabetic complications associated with oxidative stress.
Keywords: L. microphyllum, Antihyperglycemic, Antioxidative, Alloxan, Diabetes mellitus
© 2018 The Authors. Published by Innovare Academic Sciences Pvt Ltd. This is an open-access article under the CC BY license (http://creativecommons.org/licenses/by/4.0/)
DOI: http://dx.doi.org/10.22159/ijpps.2018v10i12.29232
The plant kingdom holds many species of plant containing substances of medicinal values. Traditional medicine is the backbone of primary health care and act as an important global item due to the demand. Safety, efficacy and fewer side effects are the reasons increased of the demand [1, 2]. L. microphyllum are classified as pteridophytes and estimated about 10,500 to 11,300 species have been described and recorded in the tropical rain forest of Malaysia [3]. L. microphyllum was used as a traditional medicine with a different preparation for a different mode of uses. It is the one of the plant potentially useful in traditional medicine practice in the management of diabetes, but the scientific basis for this action has not yet been explored.
Diabetes mellitus (DM) is a chronic endocrine disorder involving most common metabolic disorders of carbohydrate, fat, and protein [4, 5]. In Malaysia, Type II DM is the most prevalent and became a growing problem. The Fourth Malaysian National Health and Morbidity Survey (NHMS IV, 2011) reported that the increased to 20.8% (10.7% known and 10.1% undiagnosed) compared to the Third Malaysian National Health and Morbidity Survey (NHMS III, 2006) which is 14.9% from the population [6]. DM management is very costly because Malaysia Ministry of Health (MOH) spent a calculated amount of RM386, 531.21 as RM2, 684.24 direct costs per patient for a 6-month period [7]. Nowadays, DM becomes a major and much bigger problem in Malaysia. Satisfactory of DM care of patients still not achieving the clinical goal and the rate of complications being still high [8]. Therefore, treatments or management of DM is very important. Plant and plant products played an important role in DM treatment and had been used throughout the world since ancient times. Folk and traditional medicine healing system have been used globally as an antioxidant, antihyperglycemic, and antidiabetic properties from plants.
In the laboratory, experimental DM is commonly induced by using alloxan monohydrate (ALX) or streptozotocin (STZ). Alloxan is a β-cytotoxic toxic glucose analogue [9]. The chemical is selectively destroyed the pancreatic beta cells through the reactive oxygen species (ROS) production. Damage of the cells is the results of alloxan toxicity action [10]. Although the studies have been done on L. microphyllum, the antihyperglycemic effect of L. microphyllumis still lacking. Therefore, present study was aimed at evaluating the effect of aqueous extract of L. microphyllum as an antihyperglycemic and antioxidant by determining the fasting blood glucose, biochemical assays and the histopathological effect on the alloxan-induced diabetic rat pancreas.
Chemicals
The following chemicals were purchased from Sigma-Aldrich (St. Louis, MO): 1,2-Dithio-bis-nitro benzoic acid (DTNB), alloxan monohydrate, 1-chloro-2,4-dinitrobenzene (CDNB), bovine serum albumin (BSA), disodium hydrogen phosphate dehydrate (Na2HPO4), ethylene diamine tetraacetic acid (EDTA), folin-ciocalteu reagent (FCR), glutathione (oxidized form, GSSG), glutathione reductase, hydrogen peroxide (H2O2), reduced glutathione (GSH), sodium dihydrogen phosphate (NaH2PO4), sodium hydroxide (NaOH), sulfosalicylic acid (SSA), thiobarbituric acid (TBA), trichloroacetic acid (TCA) and β-Nicotinamide adenine dinucleotide phosphate reduced (NADPH). All other solvents and chemicals used were either of analytical grade or of the highest purity commercially available.
Preparation of plant extract
Fresh leaves of L. microphyllum (voucher number: Syahidah 001) were collected locally at Universiti Malaysia Sabah (UMS), Kota Kinabalu, Sabah, Malaysia, identified and authenticated by Mr. Johnny Gisil (botanist), Biology Tropical and Conservation Institute, Universiti Malaysia Sabah. Voucher specimens have been submitted to the universiti herbarium. Leaves were washed with tap water to remove unwanted dirt or any other contaminant. The leaves exposed to the ambient temperature as an air-drying method for up to 14 d until no moisture left. Then, the dried leaves were grind using heavy duty blender to coarse smaller samples. Briefly, to prepare the extract, the coarse smaller sample was boiled in 1:10 volume of water in 10 min [11]. After 10 min, the mixture stops heating and cooling at room temperature for 1 hour. Then, the products filter using Whatman No. 1 filter paper. Filtered product frozen at-80◦C for three days and freeze-dried for also three days. The extract ready to use in the process of animal treatment.
Animals and treatment
The study protocol was approved by the Animal Ethics Committee (AEC) of the Universiti Malaysia Sabah reference number AEC-01/2015. Adult Sprague-Dawley male rats (8-12 w old), weighing 120-150 g were purchased from the animal house facility of Health Campus, Universiti Sains Malaysia. In this experiment, 36 healthy male Sprague Dawley rats were divided into 6 groups (n = 6) and kept under standard laboratory environmental conditions (25 ᵒC, 12 h light/12 h dark cycle). A standard pellet diet and water were available ad libtium throughout the experimental period. After 6 h to 8 h fasting, four groups of rats were injected intravenously with alloxan monohydrate freshly dissolved in normal saline at dose 100 mg/kg of body weight i. v. whereas the control animals received a normal saline intravenous injection. Diabetes was induced in groups II, IV, V, and VI. Group I and group III served as the normal control groups. Three days after treatment, rats with diabetes (blood glucose level>7.0 mmol/l) were used for the experiment. Treatment groups as shown below:
Group I: Normal control rats received normal saline
Group II: Diabetic control rat’s alloxan treated with normal saline
Group III: Normal control rats treated with plant extract 400 mg/kg of body weight
Group IV: Diabetic control rats alloxan treated with plant extract 400 mg/kg of body weight
Group V: Diabetic control rats alloxan treated with plant extract 200 mg/kg of body weight
Group VI: Diabetic control rats alloxan treated with plant extract 100 mg/kg of body weight
The rats have received treatment daily via orogastric intubation for 14 d. Blood glucose level was measured using a glucometer kit machine on the pre and post (day-3th, 0th, 7th, and 14th) of the treatments. Blood samples were taken from the tail by puncturing the caudal vein using a sterile needle. Blood drop was put in contact with the glucometer strip to measure the blood glucose level.
After 14 d of treatment (day 15), the animals were anesthetized using diethyl ether. The technique of cervical dislocation was performed after the animals were deeply anesthetized. The whole pancreas carefully dissected out. Pancreas was removed quickly and cleaned free from extraneous materials. Ice cold saline (0.85% w/v, sodium chloride) was used to perfuse the pancreas. Then, it was dipped in 0.1 M, pH 7.4 phosphate buffer. The pancreas cut into a portion for biochemical analysis and another portion for histopathological investigation. The portion for biochemical analysis was weighed and stored at-80οC, while the balance for histopathological investigations was fixed in 10% buffered formalin. Before PMS were prepared, rat’s pancreases rinsed twice with phosphate buffer saline, PBS (0.1 M, pH 7.4). The pancreases were homogenized in 1:10 PBS (0.1 M, pH 7.4) with KCl (1.17% w/v, potassium chloride) using a homogenizer. The homogenate was centrifuged at 1,200 × g for 10 min at 4οC. The supernatant transferred to clean centrifuge tubes and the pellet was discarded. The resulting supernatant (aliquot) centrifuged at 10,000 × g for 10 min at 4οC. The PMS obtained were kept at -80οC for further analysis.
Biochemical assays
Reduced glutathione was measured by the method of Jollowetal [12]. The assay for LPO was determined by the method of Buege and Aust [13]. Glutathione reductase was determined according to the method of Carlberg and Mannervik [14]. Glutathione-S-transferase activity was measured by the method of Habig et al. [15]. Catalase activity was assayed by the method of Clairborne [16]. Protein determination was carried out according to the method of Lowry et al. [17].
Histopathological assessment
The excised pancreas tissues were processed for light microscopy study to substantiate the biochemical findings and to ascertain the cause of pancreatic cell injury. The pancreas tissues were fixed in 10% neutral buffered formalin solution, embedded in paraffin blocks, sectioned, trimmed into 5–6 µm in thickness sections in a rotator microtome and stained with hematoxylin and eosin (HandE). Section was examined by a pathologist who had no prior knowledge of the sample assignment to experimental groups for pathological symptoms of pancreatic toxicity.
Statistical analysis
The data were expressed as mean±SEM of three independent experiments. Significant differences between groups mean were analyzed using one-way analysis of variance (ANOVA). A result of P<0.05 is regarded as statistically as significant. All the statistics were performed using SPSS statistical analysis software.
Effect of L. microphyllum aqueous extract on body weight
Animal body weights were determined at day-3 for pre-treatment, 0th, 7th, and 14th. The result was shown in the table 1. There are 6 groups and 6 experimental rats in each group. Based on the data, the normal control group has maintained their weight with a slightly increment in day 0th and 7th. While the normal rats treated with plant extract gained their body weight in the 0th day but to some extend days, it was decreased. All the alloxan treated with aqueous plant extract groups showed weight loss compared to their corresponding control except the alloxan treated with plant extract 400 mg/kg dose.
Table 1: Effect of L. microphyllum aqueous extract on body weight
| Treatment (n=6) | Body weight (g) | |||
| -3day | 0 d | 7 d | 14 d | |
| Normal Saline | 242.5±11.41 | 244.1±13.31 | 251.6±14.12 | 241.3±10.74 |
| Alloxan treated with normal saline | 146.8±23.05* | 125.0±17.95* | 121.1±29.3* | 118.5±30.4* |
| Plant extract 400 mg/kg body weight | 219.5±7.97** | 238.8±12.00** | 225.8±14.49** | 219.3±2.72** |
| Alloxan treated with plant extract 400 mg/kg body weight | 231.2±29.45** | 223.9±26.68** | 230.5±20.21** | 235.9±25.30** |
| Alloxan treated with plant extract 200 mg/kg body weight | 273.0±16.20** | 238.9±8.98** | 230.0±7.99** | 212.3±15.68** |
| Alloxan treated with plant extract 100 mg/kg body weight | 298.3±17.14** | 260.1±36.15** | 223.8±31.78** | 223.5±33.42** |
Data represented as mean±SEM. *Significant value at P<0.05 compared normal saline, **Significant value at P<0.05 compared to the alloxan treated with normal saline
Effect of L. microphyllum aqueous extract on fasting blood glucose levels
Fasting Blood Glucose (FBG): table 2 shows the effect of L. microphyllum aqueous extract on FBG of experimental animals. There was a significant increase in FBG level in alloxan-induced diabetic rats (P<0.05), compared to the treatment groups.
The extract proved to be effective in lowering FBG levels as the reading significantly lowered over time.
Table 2: Effect of L. microphyllum aqueous extract on fasting blood glucose (FBG)
| Treatment (n = 6) | Fasting blood glucose (mmol/l) | ||||
| Day-3 | Day 0 | Day 7 | Day 14 | ||
| I | Normal saline | 5.0±0.65 | 4.1±0.18 | 5.1±0.73 | 4.7±0.48 |
| II | Alloxan treated with normal saline | 3.9±0.05* | 13.3±1.8* | 18.2±0.45* | 25.2±1.7* |
| III | Plant extract 400 mg/kg of body weight | 4.6±0.43** | 3.6±0.24** | 3.5±0.19** | 3.8±0.24** |
| IV | Alloxan treated with plant extract 400 mg/kg of body weight | 2.8±0.46** | 12.5±1.04** | 8.6±2.09** | 6.9±1.59** |
| V | Alloxan treated with plant extract 200 mg/kg of body weight | 4.4±0.80** | 26.7±2.23** | 18.3±2.77** | 17.5±1.70** |
| VI | Alloxan treated with plant extract 100 mg/kg of body weight | 3.4±0.64** | 24.5±1.52** | 19.3±2.62** | 16.6±4.62** |
Data represented as mean±SEM, *Significant value at P<0.05 compared normal saline, **Significant value at P<0.05 compared to the alloxan treated with normal saline
Effect of L. microphyllum aqueous extract on pancreatic GSH, LPO, GR, GST, and CAT
Diabetes is closely associated with reactive oxygen species and oxidative stress, which is consistent with the results obtained in this study. Alloxan induced diabetes caused a marked decrease in the antioxidant enzyme activities (GSH, GR, GST, and CAT) of the diabetic rats. Furthermore, the MDA level in the diabetic rats was slightly increased in comparison to the normal control group. In contrast, L. microphyllum aqueous extract significantly increased the activities of the antioxidant enzymes and decreased the pancreatic levels of MDA in the treated diabetic rats as summarized in the table 3.
Table 3: Effect of L. microphyllum aqueous extract on pancreatic GSH, LPO, GR, GST, and CAT
Treatment (n = 6) |
Biochemical assays | |||||
GSH (µmol reduced GSH/g tissue) |
LPO (nmol MDA formed/g tissue) |
GR (nmol NADPH oxidized/min/mg protein) |
GST (nmol CDNB conjugate formed/min/mg protein) |
CAT (nmol H2O2 consumed/min/mg protein) |
||
| I | Normal saline | 11.18±0.53 | 28.98±1.54 | 59.70±0.95 | 76.57±1.75 | 18.30±2.8 |
| II | Alloxan treated with normal saline | 6.74±0.54* | 60.41±1.27* | 25.38±0.78* | 33.28±0.75* | 8.94±0.68* |
| III | Plant extract 400 mg/kg of body weight | 10.83±0.95** | 33.31±5.95** | 55.42±1.13** | 65.03±1.33** | 17.28±2.97** |
| IV | Alloxan treated with plant extract 400 mg/kg of body weight | 10.72±0.68** | 33.88±5.37** | 37.15±0.91** | 62.81±1.10** | 15.30±2.23** |
| V | Alloxan treated with plant extract 200 mg/kg of body weight | 9.32±0.59** | 36.86±4.19** | 36.09±1.14** | 56.89±1.26** | 14.89±0.81** |
| VI | Alloxan treated with plant extract 100 mg/kg of body weight | 7.28±0.50** | 42.56±3.67** | 34.25±1.01** | 42.23±0.68** | 12.38±2.80** |
Data represented as mean±SEM, *Significant value at P<0.05 compared normal saline, **Significant value at P<0.05 compared to the alloxan treated with normal saline

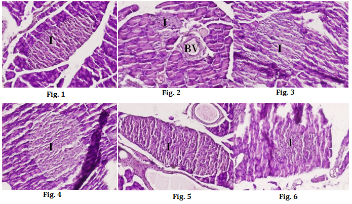
Fig. 1-6: Histopathological changes occurred in rats by the pretreatment with aqueous extract of L. microphyllum
(I: Islet of Langerhans, BV: Blood vessel)
Effect of L. microphyllum aqueous extract on pancreatic histopathological findings
Assessment of histopathological alteration of H and E staining pancreatic tissue sections were observed to support the biochemical studies and demonstrate the morphological changes between the control group and group treated with plant extract with different dose. The histopathology of rat pancreas from the different experimental group was shown in fig. 1-6. The pancreas section of normal rats treated with normal saline microscopic investigation showed normal cellular architecture which means that the normal appearance of the islet of Langerhans. The acinar cells are formed of pyramidal cells as shown in fig. 1. The islet cells are seen interspersed between the acinar cells. The islet appeared lightly stained than the surrounding acinar cells. However, fig. 2 the diabetic rats treated with normal saline showed pathological changes. The islet displayed marked atrophy. No significant lesion in the exocrine tissue was observed. The group of normal rat treated with plant extract does not show any changes (fig. 3). The islet is similar to the normal cells. On the other hand, the diabetic group treated with plant aqueous extract 400 mg/kg and 200 mg/kg (fig. 4 and 5) showed that the pancreas has a depicted evidence of cellular regeneration among the islet of Langerhans. No significant changes in cells architecture compared to the normal control group. Β-cells were evenly distributed. Since a dose of 100 mg/kg is the lowest dose, it shows mild atrophy of the islet of Langerhans (fig. 6).
This present study focused on the evaluation of the anti-hyperglycemic and antioxidative effects of L. microphyllum aqueous extract in alloxan-induced diabetic rats. Diabetes which is synonymous to hyperglycemia as a result of insulin deficiency or insensitivity of the body to insulin or both. The defect in the metabolism and energy regulation of the body due to the insulin resistance or deficit leading to high blood sugar levels is the main cause of various complications developed in diabetes. Alloxan induced diabetes resulting in a decrease in endogenous insulin release. This happened as the damage of insulin-secreting pancreatic beta cells. The destruction of beta cells of the islets of Langerhans inducing hyperglycemia. Reduction in FBG levels in rats treated with the plant extract was observed and indicates that the plant has antidiabetic and antihyperglycemic potentials. It could improve the utilization of glucose in alloxan-induced diabetic rats. The plant extract is also possibly protecting the cells by preventing the decrement of insulin secretion and competing for glucose associated receptors on beta cells membrane [18]. The results of the study indicate that aqueous extract of L. microphyllum has anti-hyperglycemic, antioxidative, and tissue protective properties.
Diabetes is marked by the increased production of free radicals or impaired antioxidant defenses [19]. Glucose oxidization and dismutation to hydrogen peroxide were a generation of superoxide anion radicals. This was leads to the formation of reactive hydroxyl radicals. In the present study, LPO levels were increased and reduced in GSH, GR, GST, and CAT levels in alloxan-induced diabetic rats compared to the control group. The changes might be due to the glucose oxidation and formation of free radical generation. Administration of the plant extract significantly showed a positive result on the levels of LPO, GSH, GR, GST, and CAT. The plant extracts functionally restoring the altered antioxidant enzymes in alloxan-induced diabetic rats. This indicates that the plant has its free radical scavenging potential.
Beta cells were responsible for producing insulin, and the depletion of beta cells will cause insulin deficiency and hyperglycemia. In this study, the positive control group showed normal structure while the negative control diabetic group showed destruction which obvious atrophy is seen. Reduction in size could alter the release of insulin and hinder glucose uptake [20, 21]. The groups administered with the plant extract showed the normal cell architecture and no atrophy. This may be caused by the regeneration and rejuvenation of beta cells in the pancreas. The results obtained from this study revealed the effectiveness of the plant extract in pancreatic cell damage.
The aqueous extract of L. microphyllum showed a decrease in fasting blood glucose level and effectively counter back the reaction of alloxan-induced changes in the beta cell population of the pancreas. The extract also showed in vivo efficiency against the mediated manifestation of oxidative stress in the pancreas. Significant restoration in non-enzymatic (GSH) and enzymatic (LPO, GR, GST, CAT) antioxidant was clearly seen in a dose-dependent manner. In the light of the above experimental results, the plant may become a potential antidiabetic drugs derivative. However, further investigation is necessary with respect to the toxicological evaluation of this plant.
This research works was financially supported by Grants-in-Aid for research priority area scheme Univerisiti Malaysia Sabah (SBK0192-SKK-2015). The authors are grateful to Dr. Zarina Amin, Director of Biotechnology Research Institute, for her support and encouragement. The authors also express gratitude to all who contribute in this project.
Dg Syahidah Nadiah binti Abdull Majid-Conducted the experiment and prepared the manuscript. Dr. Mohammad Iqbal-Helped in designing and conducting the experiment.
The authors declare that there are no conflicts of interest.
Kalaiselvan M, Gopalan RT. Ethnobotanical studies on selected wild medicinal plants used by Irula tribes of bola patty valley, nilgiri biosphere reserve (NBR), and Southern Western ghats, India. Asian J Pharm Clin Res 2014;7:22-6.
Nazeema BB, Julie J, Abirami J, Kumaresan R, Muthukumaran T, Rajasree S, et al. Anti-cancer activity of Datura metel on MCF-7 cell line. Asian J Pharm Clin Res 2014;7:181-3.
Chen CY, Chiu FY, Lin Y, Huang WJ, Hsieh PS, Hsu FL. Chemical constituent analysis and antidiabetic activity validation of four fern species from taiwan. Int J Mol Sci 2015;16:2497-516.
Zhang XF, Tan BK. Effects of an ethanolic extract of Gynura procumbens on serum glucose, cholesterol and triglyceride levels in normal and streptozotocin-induced diabetic rats. Singapore Med J 2000;41:9-13.
Ashraduzzaman MD, Shahanaz K, Shabnam B, Nurul A. Vigna unguiculata Linn. Walp. Seed oil exhibiting antidiabetic effects in alloxan-induced diabetic rats. Malay J Pharm Sci 2011;9:13-23.
Hussein Z, Taher SW, Gilchandran Singh HK, Swee WC. Diabetes care in malaysia: problems, new models, and solutions. Ann Glob Health 2015;81:851-62.
Gunggu A, Thon CC, Lian CW. Predictors of diabetes self-management among type 2 diabetes patients. J Diabetes Res 2016;1-7. Doi:10.1155/2016/9158943
Mafauzy M. Diabetes mellitus in Malaysia. Med J Malaysia 2006;61:397-8.
Mir MS, Darzi MM, Musadiq KH, Kamil SA, Sofi AH, Wani SA. Pathomorphological effects of alloxan-induced acute hypoglycemia in rabbits. Alex J Med 2013;49:343-53.
Cyriac B, Eswaran K. Anti-hyperglycemic effect of aqueous extract of Kappaphycus alvarezii (Doty) doty ex. P. Silva in alloxan-induced diabetic rats. J Appl Phycol 2015;28:1-7.
Azwanida NN. A review on the extraction methods uses in medicinal plants, principle, strength, and limitation. Med Aromat Plants J 2015;4:196-202.
Jollow DJ, Mitchell JR, Zampaglione N, Gillette JR. Bromobenzene-induced liver necrosis: protective role of glutathione and evidence for 3,4-bromobenzeneo hepatotoxic intermediate. Pharm 1974;11:151-69.
Buege JA, Aust SD. Microsomal lipid peroxidation. Method Enzyme 1978;52:302-10.
Carlberg I, Mannervik B. Purification and characterization of the flavoenzyme glutathione reductase from rat liver. J Bio Chem 1975;250:5475-80.
Habig WH, Pabst MJ, Jakoby WB. Glutathione S-transferase: the first enzymatic step in mercapturic acid formation. J Bio Chem 1974;249:7130-9.
Claiborne A. Catalase activity. In: Green Wald RA. (ed.) CRC handbook of methods for oxygen radical research. CRC Press: Boca Raton; 1985. p. 283–4.
Lowry OH, Rosebrough NJ, Farr AL, Randall RJ. Protein measurement with the folin phenol reagent. J Bio Chem 1951;193:265-75.
Sangeetha MS, Priyanga S, Hemmalakshmi S, Devaki K. In vivo antidiabetic potential of Cyclea peltate in streptozotocin-induced diabetic rats. Asian J Pharm Clin Res 2015;8:103-8.
Mohan Y, Jesuthankaraj GN, Thangavelu NR. Antidiabetic and antioxidant properties of Triticum aestivum in streptozotocin-induced diabetic rats. Adv Pharmacol Sci 2013;1-9. http:// dx.doi.org/10.1155/2013/716073.
Sunday JJ, Spencer NCO, Kingsley O, Akintola AA, Binyelum N, Favour AO. Possible revival of atrophied islets cells of the pancreas by Vernonia amygdalina in alloxan induced diabetic rats. J Appl Pharm Sci 2012;2:127-31.
Nugent DA, Smoth DM, Jones HW. A review of islets of langerhans degeneration in rodent models of type 2 diabetes. Toxic Path 2008;36:529-51.