
aPharmacology Research Laboratory, Institute of Pharmacy, Nirma University, Ahmedabad, Gujarat, 382481, India, bInstitute of Pharmaceutical Sciences, Guru Ghasidas Vishwavidyalaya (A Central University), Bilaspur, CG, India, cPharmaceutics and Pharmacokinetics Division, CSIR-Central Drug Research Institute, Lucknow, 226031, U. P., India
Email jigna.shah@nirmauni.ac.in
Received: 23 Sep 2018 Revised and Accepted: 13 Nov 2018
ABSTRACT
Objective: In the domain of nano drug delivery, dendrimers are the most explored bioactive polymeric carrier system. The present work was aimed to study the diffusion potential of different generations of Poly (propyleneimine) (PPI) dendrimers on goat nasal mucosa in an ex vivo study and synthesize a stable dendrimer for olfactory drug delivery.
Methods: The generations (3.0G, 4.0G, and 5.0G) of PPI dendrimer were synthesized, and PEGylated by MPEG 5000 and then loaded with donepezil. A comparative study was carried out among all generations in term of their drug loading capacity, stability, sustained release behaviour as well as for targeting efficacy. An ex-vivo study was carried out on Franz Diffusion Cell with goat nasal mucosa.
Results: The developed G3, G4, and G5 dendrimerformulations had entrapment efficiency of 24.33±0.56%, 40.12±0.62%, and 60.4±0.6%, respectively. The nasal diffusion study revealed that 5.0G PPI dendrimer increased diffusion of donepezil up to 47% as compared to the pure solution of donepezil while 10% improvement in diffusion was seen as compared to 4.0 G PPI dendrimer. Thus obtained results claimed that the drug loading as well as targeting potential of PPI dendrimers increased with the increase in the number of generation. The investigation outcome indicated promising results of 5.0G PPI dendrimer over the 3.0G and 4.0G PPI dendrimer generations for their drug loading capacity, stability, and sustained release action.
Conclusion: The 5.0G PPI dendrimer proved its superior candidature over the other lower generations of PPI dendrimers for drug delivery and drug targeting.
Keywords: Dendrimer, PPI, Generation, Nasal mucosa, Diffusion, Drug loading
© 2018 The Authors. Published by Innovare Academic Sciences Pvt Ltd. This is an open access article under the CC BY license (http://creativecommons.org/licenses/by/4.0/)
DOI: http://dx.doi.org/10.22159/ijpps.2018v10i12.29912
A drug delivery system administers therapeutic agents in the body. The delivery system changes pharmacokinetic as well as pharmacodynamic behaviour of therapeutics and enhances its pharmacological activities provide maximum benefits. By size, nature and sources the drug delivery system may have various devices for administration. Similarly, the traditional drug delivery system has various agents like micro-emulsion, tablets, capsules, ointments, microparticles and multiple emulsions depending on their size [1-3]. In the present arena, nanotechnology offers exquisite approaches such as nanoparticles, dendrimers, liposomes and carbon nanotubes etc [4, 5]. The nanocarriers may be easily validated and designed with defined size, shape and surface charge etc. and claim their potential in targeted as well as controlled drug delivery.
Dendrimers are most widely explored polymeric nanocarrier system among the existing polymeric nanocarriers [6, 7]. The dendrimer is three dimensional highly branched, synthetic, well defined, spherical structure (size of 1-100 nm) mono dispersible polymeric system [8, 9]. Dendrimers have various exclusive characteristics including their modifiable surface functionality, mono-dispersity along with highly defined nano-dimensional spherical architecture. Dendrimers contain a large number of hydrophobic cavities in its nano-scale domain and offer controlled as well as sustained drug release action by entrapping therapeutics in these cavities [10, 11].

Fig. 1: Different generations of dendrimers (PPI)
Dendrimers contain three distinct regions in their architecture including core, branches and peripheral functional groups. The core of dendrimers comprises an atomic group with two or more identical chemical functions while branches derive from core and wrapping of these branching units organize a geometrical progression of a sequence of radially concentric coats called "generations" (fig. 1,) [12, 13]. Repetition of branching layers leads to subsequent higher generations. With each consequential generation the number of terminal groups increases exponentially. In dendrimers, successive addition of each layer gradually increases diameter as well as molecular size with amplification of terminal groups.
The present study investigates the targeting potential as well as biocompatibility of different generations of PPI dendrimers. Various parameters related to drug delivery, i.e., drug loading capacities, release behaviours, stability diffusion potential through goat nasal mucosa profile at different concentration and histopathological evaluation was undertaken. This research work will help the drug delivery researchers for the selection of optimized PPI dendrimeric generation concerning their drug delivery as well as toxicological aptitudes.
Materials
Acrylonitrile (ACN) and ethylenediamine (EDTA) were purchased from CDH (India). Raney nickel was purchased from Fluka (USA). Mono methoxy polyethylene glycol 5000 (MPEG-5000) was arranged from Sigma Chemicals. N,N'-Dicyclohexylcarbodiimide (DCC), was brought from Hi-Media Lab. (Mumbai, India). MTT [3-(4,5-dimethyl thiazolyl-2)-2,5 diphenyltetrazolium bromide] was purchased from Sigma Aldrich (USA). Analytical grade reagents were purchased from Merck India Ltd. Donepezil HCl was received as gift samples from Sun Pharmaceuticals Ltd. (Vadodara, India).
Goat nasal mucosa was arranged from registered slaughterhouse Ahmadabad Municipal Corporation.
Synthesis of PPI dendrimers of different generations
3.0G, 4.0G, and 5.0G dendrimers were synthesized using different methods [14-17]. In the synthesized dendrimeric generations, EDTA constituted the inner core while acrylonitrile made branches of the dendrimers. Detailed synthesis is shown in fig. 2.

Fig. 2: Scheme of synthesis of different generation of PPI dendrimers
Half generation of PPI dendrimer was produced by addition of acrylonitrile in aqueous EDTA solution by double Michel addition reaction. This reaction was exothermic in which the temperature was increased from 38 °C to 80 °C and was maintained during the whole reaction. This resultant half generation PPI dendrimer had–CN terminated ends. Then, it was subjected to heterogeneous hydrogenation with catalyst Raney Nickel to synthesize a PPI dendrimer of the full generation having amine terminated ends. The whole process involving the addition of acrylonitrile and subsequent hydrogenation was repeated till 5G PPI dendrimer was synthesized. The synthesized generations of PPI dendrimers were subjected to structure elucidation, FT-IR and H1-NMR spectroscopy followed by microscopical examination using transmission electron microscopy.
PEGylation
The PEGylation of the developed formulation was carried out using NHS ester derivative of MPEG-5000 as per the scheme depicted in fig. 3. MPEG 5000 was converted in carboxy derivative in the presence of DCC into an ester derivative. The activated MPEG NHS ester interacted with terminal NH2 endings of dendrimer and masked all the open amino ends and thus leading to the development of biocompatible formulations.
All the developed formulations of G3, G4 and G5 dendrimer (1 mg for each) were dissolved in double distilled water. Then the activated MPEG NHS ester (0.32 mmol) solution was added in the 0.01 mmol solution of G3, G4 and G5 PPI dendrimeric formulations in dimethyl sulfoxide(DMS), and allowed for stirring at room temperature for five days separately. The obtained products were lyophilized and concentrated [18, 19]. All PEGylated PPI dendrimeric formulations were characterized using FT-IR and H1 NMR spectroscopy.
Drug loading
A known concentration of donepezil HCl (247.5 mg, 12 mmol) was dissolved in 50 ml of 6.4 pH of PBS buffer was slowly added with stirring and stirred for 15 min with a Teflon® bead. Then 1% solution (10 mg per ml) of each PEGylated 3G, 4G and 5G PPI dendrimers were prepared and 2 ml of this solution was dialyzed in dialysis membrane (MW Cut-off [MWCO] 6,000-7,000 Da, Sigma) with 50 ml of 6.4 pH of PBS buffer solution on 50 rpm for 24h for encapsulation of donepezil to PPI dendrimers (fig. 4).

Fig. 3: Scheme of PEGylation of different generation of PPI dendrimer

Fig. 4: Process of donepezil HCl loading to different dendrimeric generations
The resulting solution was dialyzed twice through a cellulose dialysis bag (molecular weight cut-off: 3.5 kDa; Sigma-Aldrich) against double-distilled water under strict sink conditions for 30 min to remove the free drug from the formulation. The obtained formulations of donepezil loaded, 3.0G PPI (G3PPID), 4.0G PPI (G4PPID) and 5.0G PPI (G5PPID) dendrimers were estimated by HPLC method using mobile-phase methanol: acetonitrile: acetate Buffer (1%) (50: 20: 30) pumped onto the Agispack® C18, (150 X 4.6 mm) column at a flow rate of 1 ml/min. The analysis was carried out at 230 nm [20] to determine the amount of drug loaded within the formulations indirectly.
Characterization of donepezil HCl loaded PPI dendrimers
The synthesized PPI dendrimers were characterized by FT-IR, 1H-NMR and Transmission electron microscopy.
% Entrapment efficacy (EE)
The % entrapment efficacy of formulated G3PPID, G4PPID and G5PPIDdendrimers was determined by centrifugation method. Two ml of the dendrimer-donepezil complex was taken and separately dialyzed using the dialysis membrane (MW Cut-off [MWCO] 6,000-7,000 Da, Sigma) against 50 ml double distilled deionized water (DDW) for 15 min. One ml of DDW was withdrawn in a 10 ml volumetric flask, and the volume was made up to 10 ml with fresh DDW. The absorbance was noted at 230 nm and was used to evaluate the unentrapped drug. Further, the quantity of the drug entrapped was assessed. %EE was calculated by the following equation:
%EE
X100
In vitro release study
To monitor the release of donepezil from different drug-dendrimer formulations, 5 ml of each G3PPID, G4PPID, and G5PPID (2 mg/ml) was taken in cellulose membrane (3.5 kDa, Sigma, USA). This bag was placed in a 100 ml release medium comprising of phosphate buffer saline (PBS) 0.1M, pH 7.4 (medium-1), 0.1 M phosphate buffer (pH 7.4)+1% Albumin (medium-2), phosphate buffer 0.1 M, pH 6.4 (medium-3) and DDW alone under sink conditions in the receptor compartment through constant stirring (200 rpm using magnetic stirrer) at room temperature adjusted to 37 °C.
A half milliliter of each formulation release medium was withdrawn at predetermined time intervals from 0.5 h to 48 h. After the withdrawal, the release medium was replaced with an equal volume of fresh medium, and the sink conditions were maintained. Then the collected samples were estimated by HPLC and release of donepezil content was determined [17]. All these experiments were performed in triplicate, and the obtained results were presented as the mean±standard deviation.
Stability studies
Stability studies were carried out for the development of a safe and stable formulation, which is the primary requirement of the pharmaceutical industry. During the development of stable dosage forms, confirmation of specific physicochemical parameters have been proved to be of considerable advantage in the performance of stability studies. The stability studies explore the most stable storage conditions for the developed dendrimeric formulations regarding drug delivery.
The developed G3PPID, G4PPID, and G5PPID dendrimeric formulations were weighed up to the amount (5 ml), were stored at various temperature conditions (0˚C, room temperature, and 50˚C), and were kept in light (colorless vials) and dark (amber color bottle) in the controlled environment for ten months. During the storage period, all the formulations were investigated every week for turbidity, precipitation, crystallization, drug leakage and colour.
Nasal diffusion studies
Nasal diffusion study was carried out using Franz diffusion cell (Orchid Scientifics). The diffusion cell has a receptor chamber of 10 ml capacity, and the donor compartment is of 0.5 ml capacity. The goat nasal mucosa was used as dialyzing membrane while pH 6.4 phosphate buffer saline (PBS) as receptor medium. A fresh goat nasal mucosa was isolated from goat nasal part and rinsed with PBS. The nasal mucosa of the thickness of 3 mm was knitted on diffusion cell as mucosal part facing on donor compartment while serosal part was facing on the receptor chamber. The nasal diffusion experiment was carried out in triplicate for G4PPID, G5PPID and simple solution of donepezil (5 mg/ml). The receptor chamber was filled with 6.4pH PBS and was subjected to stirring using a magnetic bead in a manner so that the PBS touched the serosal surface of the nasal mucosa. The vitality of nasal mucosa was maintained by providing oxygen supply with the help of laboratory aerator (Elite 80) and keeping the temperature at 37±1◦C with the circulating water bath. Then aliquots of 1 ml volume were withdrawn at 0.5 h, 1 h, 2 h, 4 h, 6 h, 8 h, and 12 h from receptor chamber and the volume of receptor chamber was maintained by replacing an equal amount of PBS. The collected samples were estimated for drug content using HPLC at 230 nm.
Nasal histopathology
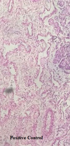
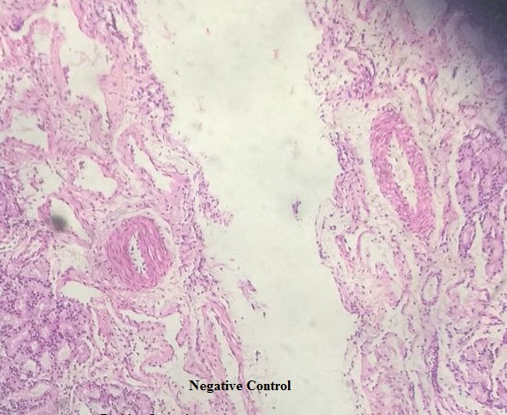
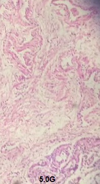
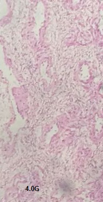
The histopathological studies of nasal mucosa were performed to determine the biocompatibility of the developed formulations of G4PPID and G5PPID on the nasal mucosa. Five samples of goat nasal mucosa of even thickness (0.3 mm) were subjected to the investigation of any pathological changes produced by developed formulations. The first sample was positive control and treated with isopropyl alcohol for 1 h. The second sample was negative control and was treated with only PBS pH 6.4 for 1h. Besides this, third, fourth and fifth samples were treated with G4PPID, G5PPID and simple donepezil solution respectively in the concentration of 5 mg/ml for 1 h.
After the treatment, all nasal mucosa samples were washed with PBS buffer (pH 6.4) and fixed into 10% v/v formalin solution for 12 h. All five samples of nasal mucosa were subjected to histopathological studies using hematoxylin and eosin stain and were examined under an inverted microscope (Olympus-IX51) to estimate any damage to nasal mucosa.
Synthesis and characterization of PPI dendrimers
Dendrimers were synthesized as per established protocol reported, with the use of EDTA as core and acrylonitrile for branching material. FT-IR and 1H-NMR spectroscopic methods wereused to confirm the synthesis of every generation and elucidate the structure of synthesized dendrimeric generation. Transmission electron microscopy images indicated that the size of dendrimer increased proportionately with the increase in generation number (fig. 5A, 5B and 5C).
As per reported procedure of De Brabender Van Den Berg [8, 14], different generations of PPI dendrimers were synthesized in ethylenediamine used as initiator core. Synthesis of 0.5G PPI was confirmed by a strong IR peak of nitrile at 2248 cm-1. On hydrogenation all the nitrile terminal, 0.5G PPI got converted to (NH2)4, which was confirmed by IR of PPI 1.0G that exhibited major peak at 3374 cm-1 for amine (N-H stretch). Similarly, synthesis of 5.0G PPI dendrimers was also confirmed from different IR peaks. The main peaks were CH2 rocking (766.7 cm-1); C-N stretching of CH2-NH2, (1118.3 cm-1); CH2 scissoring (1382.3 cm-1, 1463.9 cm-1); N-H bending (scissoring) vibrations (1597 cm-1) and primary amine at 3397 cm-1 (N-H stretch), confirming that nitrile terminal groups of dendrimer were converted to amine terminals. The results matched with the reported synthesis of PPI dendrimers [15, 16].

5A

5B

5C
Fig. 5A: IR spectra of 5.0G PPI dendrimer, 5 B. NMR Spectra of 5.0G PPI dendrimer, 5C. TEM of 5.0G PPI dendrimer
Characterization of PEGlated PPI dendrimers
The synthesized different generations of PPI dendrimers were PEGylated with MPEG-5000 and DCC. The obtained IR and NMR spectroscopic data confirmed the PEGylation of different generations of PPI dendrimers. The IR spectrum of 5.0G PPI dendrimer exhibited a major peak at 1254.9 cm-1of an ether linkage (CO), and the peak at 3420.4 cm-1 indicated the N-H stretching of the amide. A significant IR peak found near to 1657.3 cm-1, certified the C=O stretch of amide group of PEGylated dendrimers. The critical peak of CN stretch of amide also appeared at 2920.6 cm-1as shown in fig. 6A. The difference in NMR spectrum (fig. 6B) as well as the shifts of PEGylated dendrimers as compared to the same generation simple dendrimers confirmed the PEGylation. On PEGylation, some increase in integral value was found due to secondary CH2 groups shift. PEGylation of5.0G PPI dendrimer led to the rise in the numbers of secondary CH2 groups and thus, causing forward direction shift in NMR spectra. The sharp peak observed at 3.4e, and 3.6 ppm in spectra was due to the presence of ether linkages which appeared after PEGylation. The characteristic peak of amide linkage appeared near 7.82 ppm in NMR spectrum of PEGylated dendrimers as shown in fig. 6A and6 B.

6A

6B
Fig. 6A: IR spectra of PEGlated 5.0G PPI dendrimer, 6B. NMR Spectra of PEGlated 5.0G PPI dendrimer
Drug loading
Equilibrium dialysis technique was applied to encapsulate donepezil inside the dendrimer. PPI dendrimers indicated 24.33±0.56%, 40.12±0.62% and 60.4±0.6%,drug loading for G3PPID, G4PPID, and G5PPIDdendrimer respectively (fig. 7). Non-covalent interactions between donepezil and dendritic formulations, such as hydrogen bonding and hydrophobic interaction may be ascribed to the physical entrapment of donepezil molecules. Amount of drug loading was increased with higher dendrimeric generations.

Fig. 7: Entrapment efficiency percentages (for donepezil HCl) of different generations of PPI dendrimers
In vitro drug release study
The rate of drug release of the formulation was observed in various media and can be suggested for the controlled release drug delivery system. A higher release was found in phosphate buffer (pH 6.4) because the amine groups protonate at this pH, causing them to repel each other exposing the drug to the media. This release can be beneficial because of simulated pH condition on the nasal mucosal site as well as on neuronal parts of the brain, enhancing the chances of drug delivery to these sites. A nonlinear drug release profile was obtained when all the developed formulations were subjected for drug release study in the different medium. Initially, the formulation indicated a fast release of drug at first two 2-4 hr followed by which a sustained release action was observed. The dendrimer encapsulated drug molecules into their hydrophobic pockets and behaved as a sink and released the drug molecules for an extended duration rather than surface molecules of dendrimers. The higher generations of dendrimer indicated a higher intensity of controlled or sustained release in comparison to lower dendrimeric generations. A possible mechanism postulated for the sustained release action of higher dendrimeric generations is that, in the higher generations, the encapsulated drug molecules have to travel more distance to reach outer medium in comparison to lower dendrimeric generation. Another reason for sustained drug release action of a higher generation of PPI dendrimer is that the higher generation dendrimers have many layers of hydrophobic cavities for drug encapsulation surrounding the core and each layer generation confers an additional resistance in the release of drug molecule (fig. 8).

Fig. 8: Cumulative release percentage of donepezil HCl from 5.0G PPI dendrimer
Stability studies
Different physical parameters like precipitation, crystallization, colour, drug release, and turbidity were observed at different temperature and storage conditions during stability monitoring of different generations of PPI dendrimer. Under all circumstances, the G5PPID dendrimers were found to be most stable as compared to other generations. All the formulations indicated maximum stability at room temperature and in dark storage conditions. Thus, all the formulations displayed a temperature dependent drug leakage and storing the formulation under investigation at room temperature in the dark was the ideal storage condition for all dendrimeric formulations.
The G3 PPID indicated maximum drug leakage in comparison to higher generation due to its smaller size, but on the other side, that was unable to hold a high amount of drug. Generally, the lower generations have a low intensity of layer resistance for drug release or drug leakage and thus are expected candidates for easy drug release. While as the generations increase, proportionately the layer resistance for drug leakage also increase. Thus, confirming our data that the higher generation dendrimer was the most versatile.
Nasal diffusion studies
Nasal diffusion studies were carried out with goat nasal mucosa as an alternative to the human nasal mucosa and compared the percentage of drug diffusion which is targeted through G4PPID, G5PPID, and pure donepezil. The amount of drug which diffused (percentage) versus time was compared at all-time points (0.5, 1, 2, 4, 6, 8 and 12 hr). G5PPID diffused more considerable amount of donepezil as compared to G4PPID and pure donepezil. At 6 hr, G5PPI diffused up to 74.33% of donepezil. At the same time point, G4PPI diffused 48.53% of donepezil while pure donepezil diffused up to 23.20%. After 8 hrG5PPID diffused 97.19 %of donepezil as compared to G4PPIDwhich diffused 89.81% of donepezil and 50.44% of donepezil diffused from simple donepezil solution. Thus, G5PPID enhanced 47% of drug diffusion through nasal mucosa as compared to pure drug and 10% from G4PPID (fig. 9) [21].

Fig. 9: Nasal diffusion of donepezil from PBS pH 6.4, G4 and G5 PPI dendrimer in the PBS solution
The possible mechanism postulated may be that the dendrimer contained positively charged amino groups at terminal ends which interacted with the negatively charged sialic acid of nasal mucosal cell membranes and opened the tight junctions of mucosal membranes thus increased the drug permeation across the surface of nasal mucosa [22].
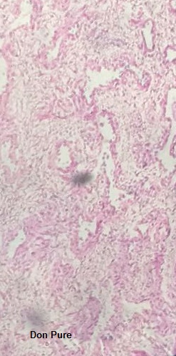
Nasal histopathology
Nasal histopathology was carried out to determine the possible toxic effects of the developed formulation on the surface of the nasal mucosa. Fig. 10 represents five different representative images of sections of nasal mucosa viz., (A) positive control treated, (B) negative control treated, (C) mucosa treated with G5PPID, (D) nasal mucosa treated with G4PPID and (E) nasal mucosa treated with pure donepezil. In the negative control group, nasal mucosa was found to be extensively damaged on the epithelial surface and an internal tissue treated with isopropyl alcohol. The positive control was treated with PBS pH 6.4 and was found to be intact with preserved structure. In the nasal mucosal sections treated with G4PPID and G5PPID, neither structural damage nor cell necrosis was represented and stabilized their biocompatibility. These observations were following the pH value of G4PPID and G5PPID (5.87±0.11) which was within the pH range of human nasal mucosa (5–6.5) indicating its safety for nasal administration [23].

A

B

C

D

E
Fig. 10: Photomicrograph of sections of goat nasal mucosa of (A) positive control group, (B) negative control (C) G5PPID (D) G4PPID and (E) pure donepezil treated (magnification: 400X)
The obtained results are suggestive that the PEGylated 5.0G dendrimer is most stable dendrimer with greatest entrapment efficacy for donepezil as compared to other lower generations of 3.0G and 4.0G PPI dendrimers. Successful nasal diffusion of the developed formulations offer olfactory administration and eliminate the possibility of the spill over effect of the drug from first pass metabolism as well as transportation from the blood-brain barrier. The 5.0G PPI dendrimer has numerous amino groups on the external surface as compared to other lower generations and thus, is the most suitable dendrimer for drug targeting due to greatest chances of surface engineering. Besides, 5.0G PPI dendrimers have a large number of cavities in its skeleton, proposed higher drug loading and greatest sustained released behaviour. Conclusively, 5.0 G PPI dendrimer indicate likely candidature for drug loading, stability, drug release and nasal diffusion over the 3.0G and 4.0G of PPI dendrimers.
The authors would like to thank the Pharmacology Research Laboratory, Institute of Pharmacy, Nirma University, Ahmedabad, Gujarat, 382481, Indiafor their support for carrying out the present study.
Nitin Dwivedi performed the study and wrote the manuscript. Jigna Shah designed the study, critically reviewed and edited the manuscript. Balak Das Kurmi performed the study and drafted the manuscript. Prashant Kesharwani designed the study and revised the manuscript.
Declared none
Kesharwani P, Ghanghoria R, Jain NK. Carbon nanotube exploration in cancer cell lines. Drug Discovery Today 2012;17:1023-30.
Akhter S, Ahmad I, Ahmad MZ, Ramazani F, Singh A, Rahman Z, et al. Nanomedicines as cancer therapeutics: current status. Curr Cancer Drug Targets 2013;13:362-78.
Mody N, Tekade RK, Mehra NK, Chomedey P, Jain NK. Dendrimer, liposomes, carbon nanotubes, and PLGA nanoparticles: one platform assessment of drug delivery potential. AAPS PharmSciTech 2014;15:388–99.
Jain A, Kesharwani P, Garg NK, Nirbhavane P, Dwivedi N, Banerjee S, et al. Nano-constructed carriers loaded with antioxidant: boon for the cardiovascular system. Curr Pharm Des 2015;21:4456–64.
Bonde S, Nair S. Advances in liposomal drug delivery system: fascinating types and potential applications. Int J Appl Pharma 2017;3:1-7.
Tekade RK, Kumar PV, Jain NK. Dendrimers in oncology: an expanding horizon. Chem Rev 2009;109:49-87.
Dwivedi N, Shah J, Mishra V, Mohd Amin MCI, Iyer AK, Tekade RK, et al. Dendrimer-mediated approaches for the treatment of brain tumor. J Biomater Sci 2016;5063:1–24.
Kesharwani P, Jain K, Jain NK. Dendrimer as nanocarrier for drug delivery. Prog Polym Sci 2014;39:268-307.
M. Naito, T Yokoyama, K Hosokawa, K Nogi. Nanoparticle technology handbook. Elsevier; 2018.
Gorain B, Choudhury H, Pandey M, Amin MCIM, Singh B, Gupta U, et al. Dendrimers as effective carriers for the treatment of brain tumor, in the nanotechnology-based target. Drug Delivery Syst Brain 2018:267–305. DOI: 10.1016/B978-0-12-812218-1.00010-5
Anitha P, Bhargavi J, Aruna B, Ramkanth S. Recent progress of dendrimer in drug delivery for cancer therapy. Int J Appl Pharma 2018;10:34-42.
Mishra V, Gupta U, Jain NK. Influence of different generations of poly(propyleneimine) dendrimers on human erythrocytes. Pharmazie 2010;65:891-5.
Thakur S, Tekade RK, Kesharwani P, Jain NK. The effect of polyethylene glycol spacer chain length on the tumor-targeting potential of folate-modified PPI dendrimers. J Nanoparticle Res 2013;15:162.
De Brabander van den Berg E, Meijer EW. Poly (propylene imine) dendrimers: large-scale synthesis by heterogeneously catalyzed hydrogenations. Angew Chem Int 1993;32:1308–11.
Tekade RK, Dutta T, Gajbhiye V, Jain NK. Exploring dendrimer towards dual drug delivery: pH-responsive simultaneous drug-release kinetics. J Microencapsul 2009;26:287–96.
Kesharwani P, Gajbhiye V, K Tekade R, K Jain N. Evaluation of dendrimer safety and efficacy through cell line studies. Curr Drug Targets 2011;12:1478–97.
Hashemi M, Ayatollahi S, Parhiz H, Mokhtarzadeh A, Javidi S, Ramezani M. PEGylation of polypropylenimine dendrimer with alkylcarboxylate chain linkage to improve DNA delivery and cytotoxicity. Appl Biochem Biotechnol 2015;177:1–17.
Bhadra D, Bhadra S, Jain S, Jain NK, A PEGylated dendritic nanoparticulate carrier of fluorouracil. Int J Pharm 2003;257:111–24.
Asmari A, Press D. Preparation, characterization, and in vivo evaluation of intranasally administered liposomal formulation of donepezil. Drug Design Development Ther 2016;10:205–15.
Thakur S, Kesharwani P, Tekade RK. Impact of PEGylation on biopharmaceutical properties of dendrimers. Polymer 2015;59:67–92.
Yeh TH, Hsu LW, Tseng MT, Lee PL, Sonja K, Ho YC, et al. Mechanism and consequence of chitosan-mediated reversible epithelial tight junction opening. Biomaterials 2011;32:6164–73.
Casettari L, Illum L. Chitosan in nasal delivery systems for therapeutic drugs. J Controlled Release 2014;190:189–200.
Washington N, Steele RJC, Jackson SJ, Bush D, Mason J, Gill DA, et al. Determination of baseline human nasal pH and the effect of intranasally administered buffers. Int J Pharm 2000;198:139–46.