1Faculty of Pharmacy, Airlangga University, Surabaya, Indonesia, 2Faculty of Pharmacy, University of Surabaya, Surabaya, Indonesia.
Email: maman_ht@yahoo.com
Received: 17 Sep 2014 Revised and Accepted: 15 Oct 2014
ABSTRACT
Objectives: These studies were undertaken to assess the mechanism of Curcuma xanthorrhiza and Morinda citrifolia granules combination as anti-hyperlipidemic agent by immunohistochemical analysis in rats model.
Methods: The rats were given HFD by oral gavage and PTU in drink water for 10 days to induce hyperlipidemia. Then they were randomized and divided into six groups, negative control, simvastatin control, gjpgibrozil control, and three treatment groups. The treatment group rats was treated with extract granules combination at 137; 411; 686 mg/kg body weight that administered orally for 28 days. By immunohistochemistry preparation, jejunum was scored for NPC1L1 expression, so do adipose tissue was score for LPL expression.
Results: Curcuma xanthorrhiza and Morinda citrifolia extract granules combination significantly (p<0.05) increased LPL expression at all dose (137; 411; 686 mg/kgBW). Curcuma xanthorrhiza and Morinda citrifolia extract granules combination also significantly (p<0.05) decreased NPC1L1 expression at dose 411 and 686 mg/kgBW, but not significant (p>0.05) at dose 137 mg/kgBW.
Conclusions: Curcuma xanthorrhiza and Morinda citrifolia extract granules combination can increase lipoprotein lipase expression, a rate limiting enzyme of plasma triglyceride removal and decrease NPC1L1 expression, an intestinal cholesterol absorption transporter.
Keywords: Morinda citrifolia L, Curcuma xanthorrhiza Roxb, Antihyperlipidemia, LPL, NPC1L1, Immunohistochemistry.
INTRODUCTION
Curcuma xanthorrhiza is a plant belonging to Ziberaceae family. Curcuma xanthorrhiza is a low growing plant with a root (rhizome) which is similar to ginger, with an aromatic, pungent odor and bitter taste. Curcuma xanthorrhiza or commonly known as temulawak in Indonesia is one of the traditional medicine used for the treatment of many disease such as hepatitis, liver complaints, diabetes, rheumatism, anticancer, hypertension and heart disorders. People use it also for reducing cholesterol [1]. Rhizome of Curcuma xanthorrhiza contains two characteristic constituent, i. e. Curcuminoid (curcumin and desmethoxycurcumin) and xanthorrhizol. Experimental studies showed that curcumin can lower total cholesterol in a variety of animals, such as a decrease in serum cholesterol in rodents, inhibits LDL oxidation in rabbits that had atherosclerosis, and a decrease in the ratio of LDL / HDL in hamsters. Not only in experimental animals, several studies also have shown hypolipidemic effect of curcumin on human [2].
Morinda citrifolia Linn (Fam. Rubiaceae) commonly known as mengkudu in Indonesia can used in folk medicine from the different part of its including fruit, leaves, root, stem, and bark. Experimental studies showed that these are effective against minimizing the symptomps of life style-related disease such as atherosclerosis, hypertension, and other vascular disorders, stroke, diabetes, and cancer [3]. Morinda citrifolia fruit juice has been widely consumed in Indonesia as a lipid-lowering. About 169 compounds were identified in Morinda citrifolia and the main micronutrient are phenolic compounds, organic acids, and alkaloids [4]. Scopoletin is a major compound and commonly used as a marker for Morinda citrifolia [5]. Scopoletin is reported to have a variety of theraupetic activity especially for hyperlipidemia [6].
Because of these anti-hyperlipidemia activities of both Curcuma xanthorrhiza and Morinda citrifolia, gave an idea for using them as a combination for treatment anti hyperlipidemic agent. We used immunohistochemical analysis to examine mechanism of Curcuma xanthorrhiza and Morinda citrifolia granules combination as anti-hyperlipidemic agent.
MATERIALS AND METHODS
Materials
Curcuma xanthorrhiza Roxb. and Morinda citrifolia L. ethanolic extract granules combination were formulated at Faculty of Pharmacy Airlangga University. Granules combination was containing C. xanthorrhiza and M. citrifolia extracts (1:2).
HFD were prepared from 2% Cholesterol (Sigma Aldrich), 15% egg yolks, 58% animal fat, 10% nabati oil, 15% sucrose. The following drugs were obtained from the source specified: Propylthiouracil (Dexa Medica, Tangerang, Indonesia); Simvastatin (Hexpharm Jaya Laboratories, Jakarta, Indonesia); Gjpgibrozil (PT Indofarma, Cikarang, Indonesia).
Animals and study design
Thirty six healthy Albino rats (100-250 g) were obtained from the animal house of Faculty of Pharmacy, Airlangga University, Surabaya. The animals were housed in a temperature-controlled environment (23-25°C), kept under laboratory conditions in plastic cage (47×34×18 cm3) with sawdust (renewed after every 48 h) and free acces to food and water. The experimental protocols was approved by the Animal Care and Use Committee at Faculty of Veterinary Medicine, Airlangga University.
The rats were given 12,5 g/kg HFD by oral gavage and 0,02% of PTU in drink water for 10 days to induce hyperlipidemia. Then, they were randomized and divided into six groups and continually administered with normal chow (negative control group); oral gavage of 0,9 mg/kg of simvastatin (simvastatin control group); oral gavage of 27 mg/kg of gjpgibrozil (gjpgibrozil control group); oral gavage of C. xanthorrhiza and M. citrifolia granules combination (137 mg/kg) (Dose I group); oral gavage of C. xanthorrhiza and M. citrifolia granules combination (411 mg/kg) (Dose II group); or oral gavage of C. xanthorrhiza and M. citrifolia granules combination (686 mg/kg) (Dose III group) daily for 28 days, respectively. At the end of dietary control and treatments, rats were starved for 18 hrs and sacrified by overdose of anesthesia. Jejunum and adipose tissues were collected for further immunohistochemistry analysis. Samples were then fixed in neutral buffered 10% formalin, processed for immuno histochemical analysis using LPL and NPC1L1 immuno labeling.
Immuno histochemistry
The immune staining for LPL and NPC1L1 was performed using Rabbit Anti-LPL Protein/Lipoprotein lipase Polyclonal Antibody bs-2336R (Bioss Antibodies), and goat Anti-NPC1L1 Protein/NPC1L1 Polyclonal Antibody sc-49063 (Santa Cruz Biotechnology).
Positive cells expressing LPL were identified by a brown staining on the surface of adipocyte cell membrane, while NPC1L1 was demonstrated on brush border membran from jejunum.
To ensure the objectivity of the analysis, the evaluation was carried out by 2 independent observers. Five sections were randomly chosen for each animal. Each tissue sections were stained and examined under a light microscope.
The level of LPL and NPC1L1 expression was evaluated according to the scoring system of IRS classification [7]. Staining of LPL and NPC1L1 was assessed both as the fraction of positive cells (0% = 0; <10% = 1; 10 to 50% = 2; 51 to 80% = 3; >80% = 4) and the staining intensity (negative = 0; weak = 1; moderate = 2; strong = 3). Immunoreactive score (IRS) with points 0-12 obtained from multiplication of fraction of positive cells and staining intensity classified into 4-point-IRS-classification (0 to 1 = 0; 2 to 3 = 1; 4 to 8 = 2; and 9 to 12 = 3).
Statistical analysis
Values were expressed as mean ± SD. The difference among groups was analyzed by Kruskall Wallis test using the SPSS 16.0 software. The accepted level of significance was p<0.05.
RESULTS AND DISCUSSION
Immunohistochemical lipoprotein lipase expression in adipose tissues
LPL is the rate-limiting enzyme for the import of triglyceride-derived fatty acids by muscle, for utilization, and adipose tissue (AT), for storage [8]. LPL is important in the removal of plasma triglyceride and found in many adipose and muscle tissue [9]. It is an enzyme that hydrolyzing triglycerides into free fatty acids and monoacylglycerol molecules [10].

Fig. 1: Immunohistochemical images (x400) of LPL staining in rats adipose tissues. (A) Negative control group rat; (B) gjpgibrozil control group rat; (C) C. xanthorrhiza and M. citrifolia extract granules combination (137 mg/kg) group rat; (D) C. xanthorrhiza and M. citrifolia extract granules combination (411 mg/kg) group rat; and (E) C. xanthorrhiza and M. citrifolia extract granules combination (686 mg/kg) group rat
The LPL immune staining results showed positive immunoreaction (brown colour) on the surface of adipocyte cell membrane (figure 1). Administration of C. xanthorrhiza and M. citrifolia granules combination or gjpgibrozil gave increasing of LPL expression (figure 2). There was a statistically significant difference (P<0.05) present between negative control group (1,2 ± 0,4) and the other four groups regarding the LPL expression, but a statistically no significant difference (P>0.05) was observed between group 1 (2.5 ± 0.5) and 2 (2.5 ± 0.8), 1 and 3 (2.7 ± 0.8) or between group 2 and 3.
Gjpgibrozil, an antihyperlipidemic agent from fibrate class, is widely preferred being the first line for reducing triglyceride in hyperlipidemic patients [11]. Lipoprotein lipase activity increased significantly by 25% after gjpgibrozil [12] and it was associated with its triglyceride decreasing activity [13]. From the results above showed that administration of C. xanthorrhiza and M. citrifolia extract granules combination increased LPL expression. Compounds that may be responsible for increasing LPL expression after administration of C. xanthorrhiza and M. citrifolia extract granules combination is scopoletin in M. citrifolia. A research conducted by [14] showed that scopoletin increased LPL activity in culture medium 3T3-L1 adipocytes with transcriptional control mechanism by increasing LPL mRNA level. Scopoletin also partially reversed tumor necrosis factor-α-induced suppression of LPL activity. These results suggest the possible action of scopoletin in M. citrifolia as a facilitator of plasma trigliceryde cleareance.

Fig. 2: Scores mean of LPL expression in rats adipose tissues. Data are expressed as mean ± SD of each group (n = 6 per group).
Immunohistochemical NPC1L1 expression in jejunum
Niemann-pick C1 Like 1 (NPC1L1) protein has been identified as a spesific transporter for cholesterol uptake at the surface of plasma membrane [15]. Ezetimibe binds to NPC1L1, inhibits cholesterol absorption and is a clinically used as cholesterol plasma lowering [16].
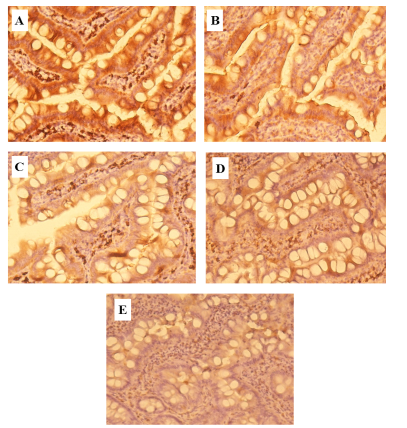
The NPC1L1 immune staining results showed positive immunoreaction (brown colour) on brush border membran from jejunum (figure 3). Means of NPC1L1 scores showed decreasing of NPC1L1 expression with administration of C. xanthorrhiza and M. citrifolia granules combination or gjpgibrozil (figure 4). There was a statistically significant difference regarding the LPL expression (P<0.05) present between negative control group (2.8 ± 0.4) and group 2 (2.0 ± 0.6) or group 3 (1.3 ± 0.8), group 1 (2.5 ± 0.8) and 3, but a statistically no significant difference (P>0.05) was observed between negative control group and group 1 or simvastatin control group (2.5 ± 0.8), group 1 and 2, group 2 and 3.
The use of ezetimibe and simvastatin combination showed higher NPC1L1 expression decreased than single ezetimibe administration, it is possible that NPC1L1 expression also influenced by other proteins involved in lipid metabolism. But still there was no report on the effect of single simvastatin administration on the NPC1L1 expression (Telford et al., 2007). From the results above showed that administration of C. xanthorrhiza and M. citrifolia extract granules combination decreased NPC1L1 expression. Compounds that may be responsible for decreasing of NPC1L1 expression after administration of C. xanthorrhiza and M. citrifolia extract granules combination is curcumin in C. xanthorrhiza. A research conducted by Feng et al (2010) [15] showed curcumin pretreated cells inhibited cholesterol uptake mediated by NPC1L1 in Caco-2 cells in vitro. Curcumin-induced inhibition of cholesterol uptake was associated with significant decrease in the levels of NPC1L1 protein and NPC1L1 mRNA, as analyzed by Western blot and qPCR, respectively. Kumar et al (2011) [17] investigate the effect of curcumin on NPC1L1 function, expression, and promoter activity in intestinal Caco-2 monolayers. Curcumin treatment of Caco-2 monolayers also significantly decreased NPC1L1 mRNA and protein expression. Similarly, the promoter activity of the NPC1L1 gene was inhibited significantly (55%) by 50 μM curcumin. These results suggest the possible action of curcumin in C. xanthorrhiza as a facilitator of plasma cholesterol cleareance.

Fig. 3:Immunohistochemical images (x400) of NPC1L1 staining in rats jejunum. (A) Negative control group rat; (B) simvastatin control group rat; (C) C. xanthorrhiza and M. citrifolia extract granules combination (137 mg/kg) group rat; (D) C. xanthorrhiza and M. citrifolia extract granules combination (411 mg/kg) group rat; and (E) C. xanthorrhiza and M. citrifolia extract granules combination (686 mg/kg) group rat

Fig. 4: Scores mean of NPC1L1 expression in rats jejunum. Data are expressed as mean ± SD of each group (n = 6 per group).
CONCLUSION
Curcuma xanthorrhiza and Morinda citrifolia extract granules combination can increase lipoprotein lipase expression, a rate limiting enzyme of plasma triglyceride removal, on adipocyte cell and decrease NPC1L1 expression, an intestinal cholesterol absorption transporter, on brush border membran.
CONFLICT OF INTERESTS
Declared None.
ACKNOWLEDGEMENTS
This study was supported by grants from Insinas Program 2014, The State Ministry of Research and Technology Republic of Indonesia.
REFERENCES