1Laboratoire d’Epidémiologie et Microbiologie Vétérinaire, Institut Pasteur de Tunis, Place Pasteur BP 74, 1002, Université Tunis El Manar, Tunisie, 2Institut Supérieur de Biotechnologie de Sidi Thabet, BiotechPole de Sidi Thabet, 2020, Université de la Manouba, Tunisie, 3Faculty of Sciences and Arts in Balgarn PO BOX 60 Balgarn- Sabt Al Olaya 61985,Bisha University, Saudi Arabia,, 4LR11-ES31 Biotechnologie et Valorisation des Bio-Géo Ressources, Institut Supérieur de Biotechnologie de Sidi Thabet, BiotechPole de Sidi Thabet, 2020, Université de la Manouba, Tunisie
Email: ramzi.b.landolsi@gmail.com
Received: 21 Sep 2014 Revised and Accepted: 25 Oct 2015
Abstract
Objective: Bovine herpes virus type 1 (BHV-1) is an important cofactor in the bovine respiratory disease complex with high health and financial impact because there aren’t any available drugs that proved to be fully effective against it. In this study, the cytotoxicity and antiviral activities of the Thymus capitatus extracts were evaluated for the development of new, non toxic and specific anti-herpesvirus agents.
Methods: The aqueous extracts (AE), ethanolic extracts (EE) and essential oil (EO) of the aerial parts of Thymus capitatus were analyzed to determine their chemical compositions by gas chromatography, and high performance liquid chromatography combined with mass spectrometry. Their cytotoxicity, and antiviral activities against Bovine Herpesvirus type 1 (BHV-1) were evaluated by quantifying the reduction of the viral cytopathic effect using Madin-Darby Bovine Kidney cell line with the colorimetric assay. T. capitatus extracts were added at different stages of the viral infection to investigate and better quantify their potential inhibitory effects.
Results: Polyphenols and flavonoids were the major compounds found in T. capitatus EO, EE and AE. The cytotoxic concentrations at 50 % were 48.70, 189 and 289 µg ml-1 for EO, EE and AE respectively. The inhibitor concentrations at 50 % for the EO, EE and AE, were 3.36, 47.80 and 164 μg ml-1, respectively. The selectivity index anti-BHV-1 values were 14.49, 3.95 and 1.81 for EO, EE and AE respectively. Thus the EO extracts were the most efficient antiviral compounds. T. capitatus extracts affect mainly the adsorption of BHV-1 virus to host cells.
Conclusion: T. capitatus extracts inhibit the viral replication by interfering with the early stages of viral adsorption and replication. Thus, T. capitatus is a potential candidate for anti-herpes virus treatment.
Keywords: Thymus capitatus, Cytotoxicity, Antiviral, Madin-Darby Bovine Kidney cell, Bovine herpesvirus type1.
INTRODUCTION
Bovine herpesvirus type 1 (BHV-1), a member of the subfamily Alphaherpesvirinae, is a virulent pathogen causing significant economic losses to the livestock industry worldwide [1]. The virus is associated with a variety of symptoms including rhinotracheitis, vulvovaginitis, balanoposthitis, abortions, conjunctivitis and generalized systemic infections [2]. Infectious bovine rhinotracheitis (IBR), a wide spread enzootic herpetic infection caused by BHV-1, is classified in the list B of diseases by the Office International des Epizooties [2]. BHV-1-induced immunosuppression leads frequently to secondary bacterial infections. Thus, BHV-1 is an important cofactor in the bovine respiratory disease complex having great financial impacts [1, 2]. Furthermore, BHV-1 has received increasing attention as a surrogate model for anti-herpes virus drug screenings. On the other hand, plant-derived antiviral extract are of increasing interest in the development of new, non-toxic, more effective and specific anti-herpesviruses. Indeed, several trials using plant extracts have shown in vitro anti-BHV-1 activities at early and/or late stages of the viral replication such as: Phyllanthus orbicularis [3], Erythroxylum deciduum, Lacistema hasslerianum (chodat), Xylopia aromatica [4], Heteropteris aphrodisiaca [5], Acacia nilotica (gum arabic tree) [6], Lippia graveolens (Mexican oregano or redbrush lippia) [7], Guettarda angelica (Velvetseed) [8], Prunus myrtifolia (West Indian cherry), Symphyopappus compressus [9], and Pimpinella anisum (Anise) [10].
A large number of plant extracts from Lamiaceae were also examined for their potential antiviral activity against herpesvirus, such as: Melissa officinalis (lemon balm), Mentha piperita (pepper-mint), Prunella vulgaris (prunella), Rosmarinus officinalis (rosemary), Salvia officinalis (sage) and Thymus vulgaris (thyme) [11-14]. Besides, different thyme species have been screened for antibacterial, anthelmintic, antifungal and antioxidant activities, and as immune modulatory [15, 16]. However, to the best of our knowledge, cytotoxic and antiviral activities of different T. capitatus (Lamiales order, Lamiaceae family) extracts against BHV-1 have never been tested.
In the present study, we have determined the chemical compositions and the cytotoxicity effects of different extracts of the T. capitatus areal parts collected in Matmata region (Southern Tunisia). The aqueous extracts (AE), ethanolic extracts (EE) and essential oil (EO) of the plant aerial parts were tested, since significant differences in antimicrobial activities between these extracts were previously reported [11, 12].
MaterialS and Methods
Collection and preparation of plant material
Fresh T. capitatus plants were collected in June 2011 from Matmata locality in the South East of Tunisia (33 °32′ North 9 °58′ East). Aerial parts of the plants (leaves, stems and flowers) were separated, thoroughly rinsed in running tap water and air dried at room temperature during 14 days, then pulverized, grounded to fine powder and stored at+4 °C until use.
Preparation of the extracts
The AE and EE were prepared as previously described by Boubaker Elandalousi et al. [16]. The EO was prepared by dissolving 100 g of dried plant material in 1 liter of distilled water, and then submitted it to microwave-assisted hydro-distillation at+40 °C during 4 hours in a Clevenger-type apparatus.
Stock solution (10 mg ml-1) of EO and EE was dissolved in a medium for cell culture experiments: Dulbecco’s modified Eagle’s medium (DMEM) with 0.5 % dimethyl sulfoxide (DMSO). All extracts were sterilized by filtration (0.22 mm filter), dried and kept in dark flasks at+4 °C until tested.
Analyses of T. capitatus EO, EE and AE compositions
EO and EE gas chromatography/mass spectrometry (GC/MS) analysis
The GC-MS unit consists on a Perkin-Elmer Autosystem XL gas chromatograph, equipped with HP-5MS fused-5% Phenyl Methyl Siloxane capillary column (Agilent, 30 m x 0.25 mm, film thickness 0.25 µm). It is interfaced with Perkin-Elmer Turbo mass spectrometer at specific operating conditions (injector temperature: 250 °C; carrier gas: Helium adjusted to a linear velocity of 37 cm s-1; flow rate: 1 ml min-1; volume of injected sample: 1 μL; split ratio: 50:1; ionization energy: 70 Ev; ion source temperature: 200 °C; scan mass range m z-1: 50-550 and interface line temperature: 300 °C).
AE high performance liquid chromatography/mass spectrometry (HPLC/MS) analysis
HPLC-MS (Agilent, Waldbronn, Germany) separation was performed using an Agilent C18 reverse-phase column (150x4.6 mm) which was maintained at 33 °C, with a direct injection of 25 μl of the extract at a 100 bars pressure and a flow rate of 0.25 ml min-1. Elution was performed by gradient mode, using water and acetic acid (999/1 v/v), and acetonitrile in mobile phases. The gradient program was set to 5 % for the 5 first minutes, increased linearly to 100 % for 65 minutes, remained at 100 % for three minutes and decrease to 5 % during the last 69 minutes. Chromatographic peaks were investigated with Mass Lynx Software (Waldbronn, Germany).
The Mass spectroscopy (MS) was performed using a Micro mass Quattro Ultima PT MS model (Waldbronn, Germany) at the following operating conditions: capillary voltage (3.20 kV); capillary temperature (300 °C); multiplier (550 V) and cone gas flow (60 L Hr-1). The ion trap detector with electro-spray ionization source was used for quantification, and it was set in the negative ionization mode.
Extracts constituents were identified by comparing their mass spectra or retention indices as HPLC-MS spectra with those of reference chemical compounds gathered from the Institut National de Recherches et d’Analyses Physico-chimiques, Tunisia-LMS library, and commercially available standards from published libraries.
Cell line
MDBK cell line was grown in monolayer culture in DMEM supplemented with 10% fetal calf serum, 100 IU ml-1 penicillin G, and 100 mg ml-1 streptomycin. Two hundreds microliters of 1x106 ml-1 from the cell suspension were put into each well of a culture plate, containing 96 wells for both cytotoxicity and antiviral assays. All plates were maintained in an incubator at 37 °C and 5 % CO2 atmosphere.
Virus
Stock of the Cooper-1 (Colorado-1) strain of BHV-1 obtained from an American type culture collection (Rockville, MD, USA) was propagated in MDBK cells. The infected cells supernatant fluids were harvested, titrated and stored at-80 °C until use.
For titration of the viruses, MDBK cells were seeded in 24-well culture plates and then incubated. After 24 hours, serial dilutions of virus stock were prepared in culture medium, and each dilution was added to 4 wells. After an additional 72 hours of incubation, the cytopathic effect (CPE) in each well was recorded. Titer of a BHV-1 was calculated as described previously by Reed and Muench method [17].
Cytotoxicity assays
To examine the effect of T. capitatus extracts on the growth and the viability of the culturered cells, serial dilutions of extracts (from 5 to 500 μg ml-1) were prepared in DMEM, in triplicate, and 200 μl of each dilution was added to the 96 well culture plates. The maximum non-toxic concentration (MNTC) was determined by cell morphology alterations, estimated under a light microscope at x100 magnifications during the 3 days incubation at 37 °C. Monolayer cells incubated with only DMEM were used as cell controls. The cells were fixed with 1 % glutaraldehyde for 10 min, stained with 0.1 % crystal violet during 30 min, and the optical density was determined by a spectrophotometer at 620 nm wave length. The cell viability was calculated using the following formula:
Cell viability (%) = 100× (Abs sample–Abs cell free blank)/Abs mean media control
Abs: the absorbance
The 50 % cytotoxic concentration (CC50) was calculated as the concentration causing 50 % cell viability.
Antiviral assays
Only non cytotoxic and antiviral concentrations of each plant extract below the MNTC (EO: 2, 3, 4 and 5 µg ml-1; EE: 50, 55 and 60 μg ml-1 and AE: 160, 170 and 180 µg ml-1) were tested to assess anti-BHV-1 activity.
To elucidate the mode of antiviral action, the MDBK cells were incubated with various plant extracts for 3 days and following 3 scenarios: before, simultaneously to, and after viral infection.
Cell culture pretreatment (before infection)
Pre-treatment of cell cultures was performed by exposing the cell monolayers to different concentrations of the test compounds in maintenance medium (200 µl) for 2 hours at 37 °C. After treatment, the cell monolayers were washed thoroughly with phosphate buffered saline (PBS) and infected with 200 µl BHV-1 suspension at 103 50 % Tissue Culture Infective Dose (TCID50) ml-1 of the virus and allow viral cytopathic activity during 72 hours incubation.
Inhibition of virus attachment (simultaneous infection) assay
BHV-1 suspension at 103 TCID50 ml-1 of the virus was mixed (v/v: 100 µl) with different concentrations of the test extracts at room temperature. Then, cells were incubated immediately with 200 µl of the mixtures for 72 hours at 37 °C and 5% CO2 atmosphere.
Post-infection assay
Two hundred microliter of suspension BHV-1 at 103 TCID50 ml-1 of the virus in culture medium were adsorbed to MDBK cells for 2 hours at 37 °C. Cells were then washed with PBS, and the medium was replaced with 200 µl DMEM containing the EO, EE and AE of T. capitatus at serial dilution, which was then incubated for 72 hours at 37 °C and 5 % CO2 atmosphere.
The controls consisted of untreated infected cells for virus control, confluent monolayer cells were infected with the virus at 103TCID50 ml-1 of virus; treated uninfected cells for plant extract controls; and untreated uninfected cells for cell control. After 3 days of incubation, the optical density (OD) was determined as previously described. The level of antiviral activity of the plant extracts was calculated using the following formula:
Antiviral activity (%) = 100× (Abs sample–Abs virus control)/(Abs cell control–Abs virus control)
The absorbance (Abs) of the virus control was calculated by mixing 100 µl x103 TCID50 of virus suspension with 100 μL of culture medium without plant extracts. The absorbance of cell controls was estimated by mixing 100 μL of MNTC of each extracts with 100 μL of culture medium [18]. The 50 % effective antiviral concentration (IC50) was calculated as the antiviral concentration causing 50 % inhibition of virus-induced CPE. The selectivity index (SI) was calculated as the ratio of CC50 and IC50.
Statistical analysis
The data are presented as means±standard deviation (S. D). T-test was used to compare differences between mean groups. A correlation test between concentration extracts and viral inhibition was also performed. A p-value<0.05 was considered to imply statistical significance. The statistical analysis was performed using the R software for statistical computing (v3.01, available from: www. r-project. org), and GraphPad Prism software®, release 3.0.
Results
Chemical analysis of thymus capitata EO, EE and AE
A total number of 28 components were identified in T. capitata EO, phenols were the major constituents, mainly the 3-Methyl-4-isopropylphenol: thymol (73.38 %) (table1). Other compounds were also present but with lower concentrations such as caryophyllene (sesquiterpene, 2.55 %), linalool (monoterpene, 1.97 %), eugenol (phenol, 0.81 %) and borneol (monoterpene, 0.78%). Aromatic hydrocarbon (benzene, naphthalene, anthracen) and terpens (myrecen, caren) were also present in the T. capitata EO with low concentrations (table 1).
Twelve compounds were identified in EE, most of them were phenols such as 3-Methyl-4-isopropylphenol or thymol (71.22 %), camphor (17.18 %), benzene (6.32 %) and caryophyllene (1.11 %) (table1).
Apigenin and luteolin derivatives were the most abundant phenolic compounds (flavonoid) in AE, whilst rosmarinic acid was minor (table 1).
Several phenolic components were present with roughly the same concentration in both EO and EE, mainly 3-Methyl-4-isopropylphenol: thymol (73.38 % and 71.22 %, respectively) followed by benzene (10.86 % and 6.32 %, respectively).
Table 1: Composition in essential oil and ethanolic extracts identified by GC–MS of Thymus capitatus
| Molecule | Essential oil (%) | Ethanolic extract (%) |
| 3-Methyl-4-isopropylphenol: thymol | 73.38 | 71.22 |
| Camphor | ND | 17.18 |
| Benzene | 10.86 | 6.32 |
| Caryophyllene | 2.55 | 1.11 |
| Linalool | 1.97 | ND |
| Caryophyllene oxide | 1.87 | 0.98 |
| 3-Cyclohexen-1-ol | 0.92 | 0.61 |
| 3-Cyclohexen-1-ol | 0.92 | ND |
| 1,6-Octadien-3-ol | ND | 0.83 |
| Eugenol | 0.81 | ND |
| Borneol | 0.78 | 0.64 |
| Beta.-Myrcene | 0.72 | 0.15 |
| Dimethyl Sulfoxide | 0.56 | ND |
| (+)-4-Carene | 0.50 | ND |
| 3 Hydroxy-1-octene | 0.41 | ND |
| 4,5-epoxy-1-isopropyl-4-methylcyclohexane | ND | 0.29 |
| Phenol | 0.28 | 0.26 |
| Phenol, 2,3,4,6-tetramethyl | 0.22 | ND |
| 3-Octanol | 0.20 | ND |
| 1,4-Cyclohexadiene | 0.18 | ND |
| Octahydrophenanthrene | 0.14 | ND |
| 2,6,11,15-Tetramethyl-hexadeca-2, 6,8,10,14-pentaene | 0.14 | ND |
| Naphthalene | 0.12 | ND |
| Alpha.-Caryophyllene | 0.12 | ND |
| Endo-Borneol | 0.11 | ND |
| Lopentadiene | 0.09 | ND |
| Trans-Linalool oxide | 0.05 | ND |
| Phenol Carvacrol | 0.04 | ND |
| Acetaminophenol | 0.04 | ND |
| Phenanthrene | 0.03 | ND |
| Total (%) | 98.01 | 99.59 |
ND: Not Detected

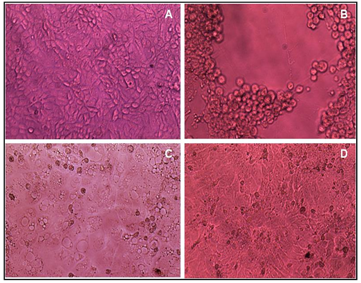
Fig. 1: Cytotoxicity and cytopathic effects on Madin-Darby Bovine Kidney cells (x100) after addition EO, EE and EA of Thymus capitatus before infection with 103 Tissue Culture Infective Dose (TCID) 50 % ml-1Bovine herpesvirus type 1 (BHV-1). A: Cells control, not infected by BHV-1, after 72 hours of incubation. B: Virus control (cytopathic effect), untreated MDBK cell culture, 72 hours after BHV-1 infection with 103TCID50 ml-1. C: Cytotoxic effect, MDBK treated with extracts of EO of T. capitatus (10 µg ml-1), 72 hours of incubation. D: Viral inhibition, MDBK cells were pre-treated with EO (2 µg ml-1) for 2 h, and then infected with BHV-1 at 103 TCID50 ml-1
Cytotoxicity
To examine the effect, T. capitata extracts on the growth and the viability of cultured cells, EO, EE and AE were serially diluted and added to the cell culture medium (fig. 1A).
The cytotoxicity was characterized by a perfored (gap formation) cell monolayer or an aggregation of dead cells as cell clusters detached the from the bottom of the wells (fig. 1C). The results of cytotoxic effects of each plant extracts are represented in fig. 2. No effect was observed at concentrations varying from 5 to 10 µg ml-1 for EO, 10 to 100 μg ml-1, for EE and 5 to 200 µg ml-1 for AE. The CC50 values determined by the colorimetric assay were 48.70 μg ml-1, 189 µg ml-1 and 298 µg ml-1 for EO, EE and AE, respectively, and this for concentrations up to 10, 100 and 200 μg ml-1 of EO, EE and AE respectively. Cytotoxicity was detected when degenerated cells become round and float in the medium with more prominent nuclei. The EO induced the highest cytotoxic effect, whilst EE and AE induced a moderate and a low cytotoxicity, respectively.
Virus inhibition
The viral CPE usually appeared within 3 days after inoculation. The CPE of BHV-1 is characterized by cell rounding and ballooning and forming grape-like clusters of spherical cells gathered around a gap in the monolayer. Sometimes giant cells with several nuclei might be observed (fig. 1B).
At MNTC of plant extracts, viral CPE was significantly reduced (p-values<0.05) and the anti-BHV-1 activity showed a dose dependant response (fig. 2). The IC50 were 3.36, 47.8 and 164 µg ml-1 for the EO, EE and AE, respectively. According to the SI values, the EO was ranked first followed by EE and AE (table 2). Indeed, a high cytotoxic value and a low inhibitory concentration gave the highest selectivity index for EO, indicating that it is the most effective antiviral extract (table 2).

Fig. 2: Percentage of viral inhibition by different Thymus capitatus extracts: Essential oil (2, 3, 4 and 5 µg ml-1), Ethanolic extract (50, 55 and 60 μg ml-1) and Aqueous extract (160, 170 and 180 µg ml-1) were tested during (a) and after infection (b) of Madin-Darby Bovine Kidney cells with 103Tissue Culture Infective Dose 50%ml-1Bovine herpesvirus type 1
Table 2: Antiviral activity of selected Thymus capitatus extracts against Bovine herpesvirus type1
| Extract | Yielda (%) | CC50b (µg ml-1) | IC50c (µg ml-1) | SId |
| Essential oil | 1 | 48.70 | 3.36 | 14.49 |
| Ethanolic extract | 10.05 | 189 | 47.80 | 3.95 |
| Aqueous extract | 3.25 | 298 | 164 | 1.81 |
a: % w/w = g of extracts 100 g-1 of dried and ground plant material, b: cytotoxic concentration 50; c: inhibitor concentration 50; d: selectivity index = CC50/IC50
When host cells pre-treatment with extracts prior to infection, no CPE of the BHV-1 replication was observed (fig. 1D). Thus, pre-treatment of MDBK cells with T. capitata EO, EE and AE prior to viral infection completely inhibited BHV-1 infectivity (p-value<0.05). However, when the T. capitata EO, EE or AE were added during or after virus penetration, the viral CPE of the BHV-1 was significantly reduced in a dose dependant manner (p-value<0.05) (fig. 2).
A very significant correlation was found between AE concentration and viral inhibition in the interval [160, 180 µg ml-1] of AE concentration.
Discussion
The analysis of the composition of EO, EE and AE of Tunisian T. capitata revealed the predominance of phenolic compounds (table 1). Thymol: 3-Methyl-4-isopropylphenol was the major component in both the EO and EE. Caryophyllene was present in low concentrations in EO and EE. However, camphor and linalool, eugenol, borneol were only identified in the EE and EO respectively. Interestingly, AE exhibited the largest amount of apigenin-and luteolin as phenolic (flavones) compounds. In contrast, rosmarinic acid was found to be a minor compound in the AE (table 1). These findings are in accordance with those reported in previous studies about T. capitata from South Tunisian and other countries as well [14, 19]. Mkaddem et al. [19] showed that the major T. capitata EO compound was thymol, using plants from the same region. Also, Behravan et al. [14] showed that thymol and carvacrol were the major compounds in T. capitata EO from Iran. However, other studies showed geographic variations of the chemical compositions of T. capitata extracts [15, 20]. Nolkemper et al. [11] found that rosmarinic acid was the most abundant compound of the same genus T. vulgaris AE. In fact, bioactive molecules types and amount variation from T. capitata depends on the geographic distribution (climate, soil type), the collecting season, as well as, the plant part [20, 21].

Fig. 3: Cytotoxic activities (n=3) of essential oil, ethanolic and aqueous extracts of Thymus capitatus on Madin-Darby Bovine Kidney cells
In the present study, T. capitata extracts exhibited an in vitro cytotoxic activity with CC50 values varying from 48.70 to 298 µg ml-1, depending on the type used in the same biological condition (fig. 3). When referring to Halle and Göres [22] in vitro and predicted in vivo substances toxicity classification, T. capitata EO, EE and AE are considered to exhibit a relatively low toxicity. The most toxic extract being EO.
Cytotoxic activities of EO or its major components were demonstrated in vitro in mammalian cells to be moderate to high [22]. Indeed, EO induced some defects in the cell respiratory system (permeabilization of outer and inner mitochondrial membranes) usually directly associated with cell death by apoptosis and necrosis [22]. In general, the cytotoxic activity of EO is mostly due to the presence of phenols. However, flavones are the cytotoxic components present in AE and have reported to exhibit cytotoxic activity at high concentrations towards normal non infected human cells [23]. Furthermore, it has been suggested that when flavonoids are introduced into cells, they increase the intracellular reactive oxygen species levels, and exert their cytotoxicity effect [23]. According to previous studies, CC50 values of T. vulgaris were 70, 62.3 [12] and 62 µg ml-1 [11] for EO, EE, and AE respectively. The difference in AE chemical composition between T. capitata and T. vulgaris may explain the observed in CC50 values. The rosmarinic acid was the most abundant compound in T. vulgaris. However, for South Tunisia T. capitata AE, apigenin and luteolin were the major compounds and rosmarinic acid was the minor extracted compound. Nolkemper et al. [11] showed that for aqueous Lamiaceae plant extracts, the CC50 varied between 55 and 125 µg ml-1 due to difference in their phenolic compounds’ concentrations.
In the present study, the inhibitory effect of thyme EO against BHV-1 infection was compared to the antiviral activity of EE and AE (table 2). Both T. capitata extracts were shown to affect significantly BHV-1 replication (p value<0.05). Previous in vitro experiment showed similar results for EO, EE and AE from Lamiaceae plant including Thymus spp. [11, 12].
The thyme EO revealed higher antiviral activity and an SI of 14.49, whereas EE and AE revealed lower SIs (table 2). The anti-herpes activity of several EOs of different plant sources as well as of some constituents of EOs was reported previously, e. g. peppermint oil, thyme oil and anise oil [10, 24, 25]. The presence of thymol and β-caryophyllene in EO may contribute strongly to their antiviral effect which is in agreement with our results and described by others [14, 26].
Pre-treatment of the cells with different T. capitata extracts, at the tested concentration inhibited completely viral CPE (fig. 1D). In addition, an antiviral activity dose dependent effect was significantly observed (p-value<0.05) for EO, EE and AE when added during or after cells infection (fig. 2). A very significant correlation was found between AE concentration and viral inhibition in the interval of [160, 180 µg ml-1]. These results suggest that these biomolecules may interfere with either viral particules and/or the virion envelope structures, and may mask viral structures, or the cell receptor necessary for the viral adsorption and entry into the host cells. In fact, Schnitzler et al. [13] reported that balm oil, abundant in phenolic compounds affected the viruses in vitro before viral adsorption, although the mechanism of action is still unknown. It is suggested that the balm oil could bind to the viral proteins involved in the host adsorption and penetration, or damage the virus envelop. In several cases, plant-derived polyphenols exhibit anti-herpesvirus activity mostly by influencing the early phases of infection [18]. Furthermore, Reichling et al. [12] concluded that ethanolic plant extracts affect herpesvirus prior to and during adsorption. They suggest that the antiviral activity is due to the association of the extracts with proteins of the host cell surfaces molecules, resulting in reduction or prevention of viral adsorption.
Flavonoid derivatives have also been reported to possess antiviral activity against a wide range of viruses [27, 28, 29]. Apigenin 7-O-glucoside and luteolin, are flavonoid compounds that found in lemon balm (Melissa officinalis), chamomile (Chamomilla recutita), and celery (Apium graveolens), showed antiviral activity in vitro [27, 30]. The extracts of basil (Ocimum basilicum) and their purified compounds, including apigenin, were tested against a number of viruses (herpesvirus, adenovirus, and hepatitis B virus), and have displayed a broad range of antiviral action, which is in accordance with our data [31].
The mechanism of antiviral action of polyphenolic compounds is mainly due to its inhibition of viral enzymes, disruption of cell receptors, prevention of viral binding, and penetration into cells. Finally, some natural compounds are reported to have the capacity to interfere with herpesvirus enzymes (DNA polymerase inhibition by eugenol), and thus viral replication [32].
In conclusion, Thymus capitata EO, EE and AE affect (below cytotoxic concentration), mainly the adsorption of BHV-1 virus to Madin-Darby Bovine Kidney host cells. This activity can be explained by the presence of some flavonoids such as apigenin, luteolin or rosmarinic acid in the AE and the presence of polyphenols as thymol in EE and EO. During pre-treatment of MDBK cells, all the tested extracts of T. capitata inhibit viral attachment to cell receptors making them good candidates against viral infection. Moreover, a dose-dependent effect was recorded during and after viral infections for the three T. capitata extracts.
Acknowledgement
This study was funded by the Tunisian Ministry of Higher Education, Scientific Research and Information Technology and Communication to the research laboratory of Veterinary Epidemiology and Microbiology, Institute Pasteur of Tunis, University El Manar, Tunisia.
CONFLICT OF INTERESTS
The authors declare that they have no competing interests
References