1Post-Graduate Program, Faculty of Pharmacy, Airlangga University, 2Department of Clinical Pharmacy, Faculty of Pharmacy, Airlangga University Jln. Dharmawangsa Dalam Surabaya 60286, Indonesia.
Email: rimahayantyritonga@yahoo.com, junaidi-k@ff.unair.ac.id
Received: 23 Sep 2014 Revised and Accepted: 25 Oct 2014
ABSTRACT
Objective: The present study was designed to investigate the influence of sodium orthovanadate on the P85 (Regulatory Subunit of PI3-Kinase) and GSK-3 (Glycogen Synthase Kinase 3) expressions in skeletal muscle tissue to the decreasing of blood glucose levels of alloxan-induced diabetic mice.
Methods: Mice were divided into 5 groups i. e. (1) naive group, (2) diabetic group and (3-5) orthovanadate-treated diabetic groups at the dose of 16, 32 and 64 mg/kg BW respectively. Diabetic mice model was induced by intraperitoneal administration of alloxan monohydrate at the dose of 200 mg/kgBW. Diabetic state was occurred on day 3 after alloxan injection and then started the treatment of sodium orthovanadate for 7 days. The muscular tissue was harvested on day 10 after treatment and was stained using routine histology staining, haematoxylin-eosin for morphological qualitative analysis and immunohistochemical approaches to observe the expressions of P85 and GSK-3 in skeletal muscle.
Results: Diabetes condition was shown by the increasing of fasting blood glucose levels from 59.1 ± 11.2 mg/dL to 310.6 ± 107.2 mg/dL on day 3. Administration of sodium orthovanadate at the dose of 16, 32 and 64 mg/kg BW reduced the fasting blood glucose levels after 7 days treatment (p < 0.001) at diabetic mice significantly. The results of histology staining showed that sodium orthovanadate improved a necrosis in skeletal muscle cells alloxan-induced diabetic mice. On immunohistochemical approaches, sodium orthovanadate might decreased the P85 expressions and increased the GSK-3 expressions in skeletal muscle cells alloxan-induced diabetic mice (p < 0.001).
Conclusion: This study reveals that the administration of sodium orthovanadate on diabetic mice led to the attenuation of the PTPase activity. The inhibition cause a decreasing the expression of P85 and increasing of GSK-3 that cause the decreasing of blood glucose levels and an improvement of insulin target cells in the muscle cells.
Keywords: Sodium orthovanadate, Diabetes mellitus, P85 (Regulatory Subunit of PI3-Kinase), GSK-3 (Glycogen Synthase Kinase 3).
INTRODUCTION
Diabetes mellitus (DM) is the most common endocrine disorder in man, currently affecting over 170 million people world-wide and, potentially, over 365 million in the year 2030 [1]. Type 2 diabetes mellitus (T2DM) is the most common form of diabetes worldwide accounting for 90% of cases globally and affecting approximately 4% of the world's adult population [2]. Besides β cell failure, the major pathophysiological event contributing to the development of T2DM is the resistance of target tissues to insulin [1].
Molecular mechanism that may potentially lead to insulin resistance is a disruption in the balance between the amounts of the phosphoinositide 3 kinase (PI3-kinase) subunits, consisting of a regulatory subunit P85, which is tightly associated with a catalytic subunit, P110. Normally, a pool of free P85 monomers exists in stoichiometric excess to the P110 catalytic subunit, with the P85-P110 heterodimer being responsible for the PI3-kinase activity [1].
In insulin-resistant state, significantly increasing the expression of the free P85 monomers and bind to the phosphorylated IRS-1 proteins in insulin signaling pathway, blocking access to P85-P110 heterodimers and subsequently affecting the ability of insulin to stimulate the association of the P85-P110 heterodimer with IRS-1, thus reducing the PI3-kinase insulin signaling. On previous study, the excess in total P85 in skeletal muscle insulin resistance was entirely accounted for by an increase in the free P85α-specific isoform [3].
Other mechanisms involved in the development of insulin resistance is a reduction of the cells capacity to synthesize and store glycogen by glycogen synthase kinase-3 (GSK-3) activation. GSK-3 was originally identified as a regulator of glycogen synthase (GS), a rate-limiting enzyme that promotes glycogen deposition. In basal condition, stimulation of cells with insulin causes inactivation of GSK-3 through a PI 3-kinase-dependent mechanism. PI 3-kinase-induced activation of PKB (also termed Akt) results in PKB phosphorylation of both GSK-3 isoforms (Ser9 of GSK-3β; Ser21 of GSK-3α), which inhibits GSK-3 activity.
This leads to the dephosphorylation of substrates including GS, resulting in their functional activation and consequent increased glycogen synthesis. In insulin-resistant state, in the absence of insulin, GSK-3 was activated by tyrosine phospohorilation.
The active GSK-3 will phosphorylate four serine residues in the C-terminal domain of GS and negatively regulate its activity, reduce the capacity of cells to synthesize and store glycogen [4, 5].
Current antidiabetes therapies are generally safe and effective but have certain limitations, i. e. require the functional insulin receptor and non insulin oral antidiabetes therapies additionally require minimum endogenous levels of insulin.
Therefore, insulin-mimetic compounds that act independently of insulin and the insulin receptor may thus represent a novel therapeutic strategy for severe insulin-resistant patients, T1DM, and T2DM [6].
Vanadium compounds act in an insulin-mimetic manner both in vitro and in vivo have been well established. Vanadium is an ultra trace element, widely distributed in the nature and its compounds would closely mimic the physiological action of insulin by initial entry into the portal system [7].
In this regard and supporting a possible therapeutic use of vanadium, the present study aimed to investigate sodium ortho vanadate (SOV), the inorganic salt compound of vanadium, influence in the reduction of P85 expression and the elevation of GSK-3 expression to the reduction of blood glucose levels of alloxan-induced diabetic mice. Therefore, this mechanism will be the basis of new therapeutic strategies in patients with T2DM.
MATERIALS AND METHODS
Animals and experimental groups
A group of 25-40 male mice of Balb/C strain, weighing between 20-30 g and 6-8 weeks of age, was obtained from Animal Laboratory at the Pharmacy Faculty, Airlangga University, Indonesia. Animals were maintained in the climatically controlled animal house facility of Animal Laboratory at the Pharmacy Faculty, for one week before the initiation of the experimentation.
The animals were fed ad libitum with mice feed and tap water. All of mice were divided into five groups. Group 1 was non-diabetic control mice (n=5). Group 2 was diabetic-untreated control mice (n=5). Group 3 (n=5), Group 4 (n=5) and Group 5 (n=8) were diabetic-treated mice. The methodology of this experiment was performed after the approval by Airlangga University Animal Care and Use Committee (ACUC).
Animal model of diabetes mellitus
Diabetes was induced by a single intraperitoneal injection of alloxan monohydrate (Sigma Aldrich Inc.) at the dose of 200 mg/kgBW, was dissolved freshly in cold normal saline. Non-diabetic control mice received an injection of the vehicle. After 3 days, mice (n=23) with marked hyperglycemia (fasting blood glucose levels exceeding 140 mg/dL) were selected and used for the study [8].
Experimental protocol
Group 1 and Group 2 were administered orally with aquadest. Group 3 (n=5), Group 4 (n=5) and Group 5 (n=8) was forced-fed orally with sodium orthovanadate (Calbiochem Inc.) at the dose of 16, 32 and 64 mg/kg BW/day for 7 days respectively. Fasting blood glucose levels were determined on day 0 (before the induction of diabetes), day 3 (start of treatment), and day 10 (end of treatment). At the end of treatment (day 10), mice were anesthetised and skeletal muscle tissue were collected and fixed in 10% neutral buffered formalin for histochemistry and immunohistochemistry analysis.
Determination of blood glucose levels
Blood samples were collected from the tail vein of 8-hours-fasted mice for determination of blood glucose levels using On-Call® Plus Blood Glucose Monitoring System.
Analysis of skeletal muscle histology
Skeletal muscle tissue were processed to any treatment of tissue necessary to impregnate them within a solid medium (paraffin wax) to facilitate the production of sections for microscopy, then were checked hystochemically by haematoxylin-eosin (HE) staining [9]. Observed using a light microscope with a magnification of 100 and 400x.
Analysis of P85 and GSK-3 expressions
Skeletal muscle tissue sections were checked immunohistochemically using PI3-kinase P85α antibody ((A01524-100) GenScript Inc.) for P85 expressions and p-GSK-3β (Ser 9) antibody ((sc-11757) Santa Cruz Biotechnology Inc.) for GSK-3 expressions, at 1:700 dilution. For the evaluation of P85 and GSK-3 expressions, a modified semiquantitative IRS scale of Remmele was applied (Table 1). Semiquantitative IRS scale taking into account both percentage of positive cells (A) and intensity of the reaction colour (B), with the final score representing product of the two variables (A x B), and ranges from 0 to 12 pt [10].
Statistical analysis
Analysis of the research data were processed with SPSS V.17.0 for windows with significance level p < 0.05. All data were expressed as mean ± Standard Deviation (SD). Differences of fasting blood glucose levels between day 0 and 3 on non-diabetic control group were analyzed with unpaired t-test. Differences of fasting blood glucose levels between day 0 and 3 on diabetic-untreated control group were analyzed with Mann-Whitney test. Differences of fasting blood glucose levels between groups on day 10 were analyzed with one-way ANOVA. Differences of P85 or GSK-3 expression between groups were analyzed with Kruskal-Wallis test and followed by Mann-Whitney test.
Table 1: Semiquantitative IRS scale
| A | B |
| 0 pt – no cells with positive reaction | 0 pt – no colour reaction |
| 1 pt – to 10% cells with positive reaction | 1 pt – low intensity of colour reaction |
| 2 pt – 11-50% cells with positive reaction | 2 pt – moderate intensity of colour reaction |
| 3 pt – 51-80% cells with positive reaction | 3 pt – intense colour reaction |
| 4 pt – > 80% cells with positive reaction |
RESULTS
Effect of alloxan monohydrate administration in naive mice
Blood glucose levels of mice after the administration of alloxan monohydrate were summarized in table 2. In the naive mice group which only received vehicle injection intraperitoneally, no elevating in fasting blood glucose levels from day 0 to 3 significantly (p = 0.274). While in the mice group that received alloxan monohydrate injection, there was an elevating of fasting blood glucose levels significantly from 59.1 ± 11.2 mg/dL on day 0 to 310.6 ± 107.2 mg/dL on day 3 (p < 0.001).
Histology of skeletal muscle cells after alloxan monohydrate administration
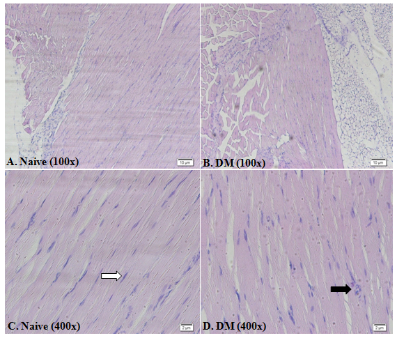
The muscle cells in the sectional of skeletal muscle tissue of non-diabetic mice looks solid, the shape and size of the cells were homogeneous, and had a nucleus at the cell edge (Fig. 1, sign ). While in the muscle cells of diabetic mice, the shape and size of the cells were not homogeneous, there was nucleus in the middle, swelling of the cell nucleus and aggregation of the cells that led to muscle cell necrosis (Fig. 1, sign).
Immunohistochemistry of P85 expressions in skeletal muscle cells
The sectional of skeletal muscle tissue of non-diabetic mice, P85 was expressed in a sufficient quantities in the cytoplasm (Fig. 2, sign ). While in the muscle cells of diabetic mice, P85 was more expressed than non-diabetic mice, that described an excessive P85 (Fig. 2, sign ).
Immunohistochemistry of GSK-3 expressions in skeletal muscle cells
The sectional of skeletal muscle tissue of non-diabetic mice, GSK-3 was expressed in a quite strongly in the cytoplasm (Fig. 3, sign). While in the muscle cells of diabetic mice, GSK-3 was expressed weaker than non-diabetic mice, that described a reduction of GSK-3 phosphorilation (Fig. 3, sign).
Effect of sodium orthovanadate (SOV) administration in DM mice
Blood glucose levels of mice after the administration of sodium orthovanadate were summarized in table 3. Administration of sodium orthovanadate on diabetes condition for 7 days reduced fasting blood glucose levels on day 10. The higher dose of sodium orthovanadate, the greater reduction in fasting blood glucose levels.
Histology of skeletal muscle cells after SOV administration
After administration of sodium orthovanadate for 7 days, there was an improvement in skeletal muscle cells (Fig. 4). Cell nucleus in skeletal muscle cells was clearly visible, oval, located at the edge of the cell (Fig. 4, sign ), looks no further aggregation of cell nucleus (Fig. 4, sign ) and inflammatory cells, the boundary of perimisium and endomisium seems clearly and closely so that the tissue looks more solid by muscle cells. The higher dose of sodium orthovanadate, the greater improvement in skeletal muscle cells.
Table 2: Fasting blood glucose levels on day 0 and 3
| Group | Total mice | Blood glucose levels on day ± SD (mg/dL) | Sig. |
| 0 | 3 | ||
| Naive | 5 | 71.6 ± 10.2 | 78.4 ± 8.0 |
| DM | 23 | 59.1 ± 11.2 | 310.6 ± 107.2* |
Values are statistically significant at *p < 0.05 vs day 0.

Fig. 1: Appearance of skeletal muscle by HE staining. Naive state was shown by fig. A (magnification 100x) dan C (magnification 400x). DM state was shown by fig. B (magnification 100x) dan D (magnification 400x).

Fig. 2: Expressions of P85 in skeletal muscle cells reacted with PI3-kinase P85α antibody with magnification 400x. Naive state was shown by fig. A. DM state was shown by fig. B.
Immunohistochemistry of P85 and GSK-3 expressions in skeletal muscle cells
The results of IRS scoring of the muscle cells that expressed the P85 and GSK-3 were summarized in table 4. Administration of sodium orthovanadate for 7 days, reduced the excessive P85 expressions and increased GSK-3 expressions in skeletal muscle tissue. The higher dose of sodium orthovanadate, the greater reduction in P85 expressions, was characterized by fewer brown color produced (Fig. 5). The higher dose of sodium orthovanadate, the greater enhancement of GSK-3 expressions, was characterized by the growing strength of brown color produced (Fig. 6).

Fig. 3: Expressions of GSK-3 in skeletal muscle cells reacted with p-GSK-3β antibody with magnification 400x. Naive state was shown by fig. A. DM state was shown by fig. B.

Fig. 4: Appearance of skeletal muscle by HE staining with magnification 400x (A) DM. (B) DM+sodium orthovanadate 16 mg/kgBW. (C) DM+sodium orthovanadate 32 mg/kgBW. (D) DM+sodium orthovanadate 64 mg/kgBW.
Table 3: Fasting blood glucose levels on day 10
| Group | Fasting blood glucose levels average on day 10 ± SD (mg/dL) |
| Naive | 64.6 ± 18.3* |
| DM | 406.4 ± 64.1 |
| DM+Sodium orthovanadate 16 mg/kgBW | 303.0 ± 126.8* |
| DM+Sodium orthovanadate 32 mg/kgBW | 231.8 ± 57.1* |
| DM+Sodium orthovanadate 64 mg/kgBW | 75.6 ± 40.8* |
Values are statistically significant at *p < 0.05 vs DM group.
Table 4: P85 and GSK-3 expressions
Group |
Protein expressions average per field of- |
|
P85 |
GSK-3 |
|
Naive |
2.7 ± 1.4* |
6.2 ± 2.2* |
DM |
7.6 ± 1.6 |
3.2 ± 1.6 |
DM+Sodium orthovanadate 16 mg/kgBW |
6.4 ± 2.1* |
6.9 ± 2.2* |
DM+Sodium orthovanadate 32 mg/kgBW |
4.5 ± 2.1* |
7.4 ± 2.3* |
DM+Sodium orthovanadate 64 mg/kgBW |
3.9 ± 2.0* |
9.2 ± 2.4* |
Values are statistically significant at *p < 0.05 vs DM group.

Fig. 5: Expressions of P85 in skeletal muscle cells reacted with PI3-kinase P85α antibody with magnification 400x (A) DM. (B) DM+sodium orthovanadate 16 mg/kgBW. (C) DM+sodium orthovanadate 32 mg/kgBW. (D) DM+sodium orthovanadate 64 mg/kgBW

Fig. 6: Expressions of GSK-3 in skeletal muscle cells reacted with p-GSK-3β antibody with magnification 400x (A) DM. (B) DM+sodium orthovanadate 16 mg/kgBW. (C) DM+sodium orthovanadate 32 mg/kgBW. (D) DM+sodium orthovanadate 64 mg/kgBW
DISCUSSION
The main finding of our study was that sodium orthovanadate reduced the excess of P85α expressions (Table 4; Fig. 5) and increased phosphorilation at serin-9 of GSK-3β expressions (Table 4; Fig. 6), would lead to the reduction of blood glucose levels (Table 3) and improved a necrosis in skeletal muscle cells alloxan-induced diabetic mice that given sodium orthovanadate treatment for 7 days (Fig. 4).
Sodium orthovanadate adopts a trigonal bipyramidal structure that mimics the transition state of the phosphoryl transfer reaction, thereby acting as a competitive inhibitor of PTP-1B [11], allowing the phosphoester bond (which also forms an autophosphorylation) and thus the insulin signal transduction remain intact [12]. Inhibition of PTP-1B activity effectively raises the concentration of phosphorylated insulin receptor and IRS-1 [13], thereby allowing the tyrosine-phosphorylated IRS-1 to dock with the p85 regulatory subunit of phosphotidylinositol-3-kinase (PI3-kinase). This interaction unregulated the p110 catalytic subunit of PI3-kinase, which catalyzes the production of phosphoinositide moieties that subsequently activate 3-phosphoinositide-dependent kinases (PDK), including PDK1. One downstream target of PDK1 is the serine/threonine kinase Akt. Interestingly, one substrate for phosphorylation by Akt action is GSK-3. Akt phosphorylates specific serine residues on GSK-3 [14], inhibit GSK-3 via Ser 9/21 phosphorylation, results in the dephosphorylation and activation of GS, leading to increased rates of glycogen synthesis [5], thereby improved a necrosis in skeletal muscle cells in diabetic state. The activation of these steps up to and including PI3-kinase and Akt ultimately results in the translocation of a specific glucose transporter protein isoform (GLUT-4) to the membranes of the sarcolemma and the t-tubules, where glucose transport takes place via a facilitative diffusion process. The amount of GLUT-4 protein incorporated into the sarcolemmal membrane correlates closely with the degree of insulin-stimulated glucose transport [14], thereby reduced the elevation of blood glucose levels in diabetic state.
Based on that finding, the reduction of P85 expressions and the elevation of GSK-3 expressions can be used for new therapeutic strategy to reduce the elevating blood glucose levels and to improve a necrosis that may happened in patients with T2DM.
CONCLUSION
Vanadium compounds improved metabolic disorders in models of type 2 diabetes mellitus. In type 2 diabetes mellitus, sodium orthovanadate treatment normalized hyperglycemia by reduced P85 expressions and increased GSK-3 expressions in insulin signaling pathway. Hence, this compound is a potential candidate for oral therapy in diabetes as substitutes for insulin.
CONFLICT OF INTERESTS
Declared None
ACKNOWLEDGEMENT
We thank to Managing Trustee, Department of Clinical Pharmacy, Faculty of Pharmacy, Airlangga University for their support in the implementation of this research.
REFERENCES