Int J Pharm Pharm Sci, Vol 6, Issue 9, 75-79Original Article

PROTECTIVE EFFECT OF ACACIA NILOTICA (BARK) AGAINST ANTI TUBERCULAR DRUG INDUCED HEPATIC DAMAGE AN EXPERIMENTAL STUDY

PRITT VERMA, S P SINGH, S K VIND, G RAJESH KUMAR, CHANDANA VENKATESWARA RAO*

Pharmacognosy and Ethnopharmacology Division, CSIR- National Botanical Research Institute, (Council of Scientific and Industrial Research) Rana Pratap Marg, Post Box No. 436, Lucknow-226001, Uttar Pradesh, India.
Email: chvrao72@yahoo.com

Received: 30 Apr 2014 Revised and Accepted: 01 Jul 2014


ABSTRACT

Objective: Protective Effect of Acacia nilotica (Bark) against anti tubercular drugs induced hepatic damage an experimental study.

Methods: Rats were divided into five different groups (n=6), the group I served as a control, Group II received Isoniazid-INH and rifampicin-RIF(50mg/kg) in sterile water, group III and IV served as treatment and received 200,400 mg/kg of 50% ethonolic extract of A. nilotica, and group V served as standard group and received silymarin (100mg/kg). All the treatments were given for 10-28 days and after rats were euthenised, blood and liver was collected for biochemical and histopathological studies, respectively.

Results: The 50% ethanolic bark extract of A. nilotica (200, 400 mg/kg p. o.) showed the remarkable hepatoprotective effect against Isoniazid-INH and rifampicin-RIF induced hepatic damage, and observed that it shows no any significant change in a normal posture, behavior and body weight in Wistar rats. The degree of protection was measured by biochemical and antioxidant parameters such as serum glutamate oxaloacetate transaminase (SGOT), serum glutamate pyruvate transaminase (SGPT), alkaline phosphatase (ALP), total bilirubin, and the histopathological profile of liver also indicated the hepatoprotective nature of this drug.

Conclusion: The bark extracts of A. nilotica has showed dose dependent activity, among which at the dose level of 200 & 400 mg/kg. The further investigations, the bark extract of Acacia nilotica identify the active constituents responsible for hepatoprotection.

Keywords: A. nilotica, Antioxidant, Isoniazid-INH, Rifampicin-RIF, Silymarin.


INTRODUCTION

Liver is one of the largest organs in the human body and regulates homeostasis of the body [1] metabolic [2] and excretory functions [3]. It involves almost all the biochemical pathways to growth, fight against disease, nutrient supply and reproduction [4]. Hepatotoxicity is a growing concern of today’s modern society and its rate has been reported to be much higher in developing countries like India (8-30%) compared to that in advanced countries (2-3%) with a similar dose schedule [5].

A large number of plants and formulations have been claimed to have hepatoprotective activity Annona squamosa [6], Vitis vinifera [7], Momordica charantia [8], Zanthoxylum armatum [9], Tephrosia purpurea [10].

Acacia nilotica L. is a common, medium sized tree, locally known as ‘Babul’ or ‘Kikar’ belonging to family Leguminosae [11]. It distributed throughout the greater part of India, Ceylon, Baluchistan, Egypt, Africa and its parts like bark, leave, pods and flower and widely used in various Ayurvedic formulations [12]. The various chemical constituents such as alkaloids, flavonoids, Glycoside, saponins, tannins, stearic acid, vitamin-C (ascorbic acid), carotene present in this plant [13-14]. A. nilotica has been reported as an effective medicine in the treatment of malaria, sore throat [15],asthma, cough, flu, rheumatism, hemorrhoid, and inflammation [16], liver infection (Hepatitis C Virus) [17], cancers, tumors [18],congestion, diarrhoea, dysentery, hemorrhoids, ophthalmia, tuberculosis, leprosy and menstrual problems [19], plasmodial disease [20], bacterial disease [21], body vigour [22], wound healing [23], cytotoxicity [24], burning sensation [25], tonsillitis [26], platelets aggregation[27], helminthes infection [28], diabeties and hypolipidemia activity [29].

Therefore, this study were aimed to evaluate the hepatoprotective activity of hydroethanolic extract of the A. nilotica (Bark) and also indicate possible mechanism for its hepatoprotection by investigation with biochemical and histopathological parameter against anti-tubercular drugs induced hepatotoxicity in rats.

MATERIALS AND METHODS

Collection of plant material

The fresh bark of the A. nilotica was collected in the month of May 2013 from the National Botanical Research Institute Lucknow and plants were authenticated with excisted live specimen present in our Institutional Garden and herbarium prepared and deposited in the laboratory for future reference.

Preparation of extract

After collection and authentication, shade-dried bark (500g) of A. nilotica was powdered and extracted with of 50% ethanol at 500C on a water bath using Soxhlet extractor for 24 h. Then extract was filtered and concentrated under reduced pressure in a rotavapour (Buchi R-200 USA) at 450C and then freeze-dried in lyophilizer (Labconco, USA) to obtain solid residue (ASE, yield 20.0% w/w).

Experimental animals

Albino wistar rats (150-200g) of either sex were taken from the animal house of the National Laboratory Animal Centre, Lucknow, India. They were kept under controlled conditions of temperature 27±20C and relative humidity 44-56%, light/dark cycles of 12 hours respectively for one week before and during the experiments. Animals were provided with a standard rodent pellet diet (Amrut, India) and the food was withdrawn 18-24 h before the experiment though water was allowed ad libitum. All experiments were performed in the morning accordance with the current guidelines for the care of laboratory animals and the ethical guidelines for investigations of experimental pain in conscious animals [30] approved by the Institutional Committee for Ethical use of Animals and Review Board (106/IAEC/RB/7-11).

Preliminary phytochemical analysis

The 50% Ethanolic extract of A. nilotica (bark) was screened for the presence of various phytochemical constituents such as alkaloids (wager’s reagent), flavonoids (shinoda test), Glycoside (Anthroquinone test), saponins (hemolysis test), tannins (ferric chloride test) and steroids (acetic anhydride test) as described by Trease and Evans [31] and Harborne [32] according to a previously described method for extraction.

Induction of Hepatotoxicity and treatment

Isoniazid-INH and rifampicin-RIF (50 mg/kg b. w.) [33] solution prepared in sterile distilled water and 50% ethanolic extact of A. nilotica bark in doses of 200, 400 mg/kg and Silymarin (100 mg/kg b. w.) administered orally twice daily at 10:00 and 16:00h respectively for 10-28 days. Rats were divided into six groups. Each group contains 6 animals and followed as per the protocol given below:

Group1 – Rats were treated with normal saline

Group2 – Rats were treated with INH + RIF (50mg/kg)

Group3 – Rats were treated with INH + RIF + A. nilotica (200 mg/kg)

Group4 – Rats were treated with INH + RIF + A. nilotica (400 mg/kg)

Group5 – Rats were treated with INH + RIF + Silymarin (100 mg/kg)

Animals were euthenised 48 after administration of the last dose. The blood samples were collected by cardiac puncture after an over-night fast. The blood was allowed to coagulate at room temperature for 45 min and then centrifuged at 2500 rpm for 15 min for separation of serum. The serum was used for the biochemical analysis.

Biochemical assessment

The Biochemical parameters like serum enzymes: which includes aspartate aminotransaminase (AST), alanine aminotransaminase (ALT) [34], alkaline phosphatase (ALP) [35] and total billirubin [36] were assest.

Histological investigation

10% formalin solution was freshly prepared and the right liver lobe of the treated and control group was fixed in the solution for 48 hours and subsequently dehydrated in alcohol, cleared with xylem and embedded in paraffin wax. Sections of lobe at about 5μm were mounted on glass slides and stained with haematoxylin and eosin [37].

Statistical analysis

Data were analyzed by analysis of variance (ANOVA) followed by multiple Comparisons using Dunnett's procedure, to compare all groups against control and Student–Newman–Keul's procedure to compare all the groups pair wise.

RESULTS

Preliminary phytochemical analysis

The 50% ethanolic bark extract of A. nilotica were screened for the presence of various phytochemical constituents such as alkaloids, flavonoids, glycoside, saponins, tannins and steroids.

50% ethonolic bark extract of A. nilotica at a dose of 200 and 400 mg/kg and standard drug Silymarin at a dose of 100mg/kg once daily for 28 days was subjected to observing body and liver weight in hepatotoxic rats. The study showed that the body weights were significantly decreased from (195.00 to 185.5 p<0.05) in RIF+INH groups. However, 50% ethonolic plant extracts showed normalize the body weight in a dose dependent manner. On comparing plant extract with Silymarin (100mg/kg) it shows that A. nilotica at 200mg /kg is less effective than 400mg/kg plant extract.

The study showed that the liver weight was increased from 6.30 ± 0.07 to 7.53 ± 0.16 in RIF+INH groups. However, 50% ethonolic bark extracts of A. nilotica normalize liver weight in a dose dependent manner. Silymarin (100mg/kg) showed significant reduction in liver weight compared to RIF+INH groups (Table 1).

Table 1: Effect of 50% ethonolic bark extract of A. nilotica on body and liver weight of RIF+ INH induced hepatotoxicity in Rats.

Treatment/dose Body weight Liver weight
Control 195.00±4.84 6.30±0.07
RIF+ INH (50mg/kg) 185.5±3.51 7.53±0.16
A. nilotica (200 mg/kg) 187.5 ±4.97* 6.60± 0.23**
A. nilotica (400mg/kg) 188.5± 3.36** 6.46±0.10**
Silymarin (100 mg/kg) 188.33± 3.34** 6.31±0.03**

Values are expressed as Mean ± SEM of 6 rats in each group. p<0.001 when compared to respective control and **p<0.001 when compared to the respective RIF+INH control group.

Table 2: Effect of A. nilotica on serum SGPT (U/L), SGOT (U/L), ALP (U/L) and Total Bilirubin level (mg/dL) against RIF+INH induced liver toxicity in rats.

Treatment/Dose SGPT (IU/L) SGOT (IU/L) ALP (IU/L) Total Bilirubin(mg/dl)
Control 58.74 ±7.740 106.28 ± 9.23 83.55 ± 6.52 0.54 ± 0.03
RIF+INH(50mg/kg) 170.81 ± 7.55 223.72 ±15.87 138.27±7.97 1.76 ± 0.09
A. nilotica

(200mg/kg)

92.46 ±4.73** 158.54± 8.00** 109.07 ± 8.33* 1.09 ± 0.14**
A. nilotica

(400mg/kg)

64.09 ±3.76** 126.76±11.70** 89.64 ± 5.82** 0.61 ± 0.11**
Silymarin (100mg/kg) 68.87 ± 4.23** 135.68± 3.77** 89.36 ± 5.74** 1.03 ± 0.10**

Values are expressed in Mean ± SEM of 6 rats in each group. *p<0.01, **p<0.001 when compared with respective RIF+INH treated group.

Effect of Test drug on SGPT, SGOT, ALP and Total Bilirubin

It is clearly evident (Table 2) that RIF+INH caused a significant elevation of liver serum markers. In the RIF+INH treated group, the level of SGPT (58.74±7.74 to 170.81±7.55, p<0.001), SGOT (106.28±9.23 to 223.72±15.87, p<0.001), SALP (83.55 ±6.52 to 138.27±7.97, p<0.001), Total Bilirubin (0.54±0.03 to 1.76±0.09, p<0.001). In contrast, the groups treated with 50% ethonolic bark extracts of A. nilotica at a dose of (200 and 400 mg/kg) once daily for 28 days prevented the hepatotoxicity in a dose related manner. The ranges of protection in the serum marker were found to be SGPT (170.81±7.55 to 64.09±3.76, p<0.001), SGOT (223.72±15.87 to 126.76±11.70, p<0.001), ALP (138.27±7.97 to 89.64 ± 8.33, p<0.01 to p<0.001), Total Bilirubin (1.76±0.09 to 0.61±0.11, p<0.001). The protection of Silymarin ranged for SGPT (170.81±7.55 to 68.87±4.23, p<0.001), SGOT (223.72±15.87 to 135.68±3.77, p<0.001), ALP (138.27 ± 7.97 to 89.36±5.74, p<0.001), Total bilirubin (1.76±0.09 to1.03±0.10, p<0.001) respectively.

The lipid peroxidation and the enzymatic and non-enzymatic antioxidant level in liver of experimental animals. Administration of RIF+INH led to increase in the levels of LPO (0.426±0.04 to 4.43±0.39, p<0.001) and decrease in enzymatic scavenger viz. CAT (23.14±2.14 to 7.05±0.40, p<0.001), SOD (113.47±2.41 to 54.36±3.52, p<0.001) levels in the liver homogenate. Treatment of rats with 50% ethonolic bark extracts of A. nilotica at dose of (200 - 400 mg/kg) markedly prevented the RIF+INH induced alterations of various parameters like LPO (4.43±0.39 to 0.94±0.06, p<0.01 to p<0.001), CAT (7.05±0.40 to 20.37±0.76, p<0.001), SOD (54.36±3.52 to 90.05±2.62, p>0.05 to p<0.001). The protection of Silymarin for LPO (4.43±0.39 to 0.79±0.06, p<0.001), CAT (7.05±0.40 to 21.37±0.76, p<0.001), SOD (54.36±3.52 to 101.80±2.88, p<0.001), respectively (Table 3).

Table 3: Effect of A. nilotica (bark) on liver LPO (MDA nmole/min/mg of protein), SOD (unit/mg of protein) and CAT (units/mg of protein).

Treatment/Dose CAT (U/mg) SOD (U/mg) LPO (U/mg)
Control 23.14 ± 2.14 113.47 ± 2.41 0.42 ± 0.04
RIF+INH (50mg/kg) 7.05 ± 0.40 54.36 ± 3.52 4.43 ± 0.39
A. nilotica (200mg/Kg) 15.16 ± 1.02* 79.20 ± 4.19* 3.27 ± 0.37*
A. nilotica (400mg/Kg) 20.37 ± 0.76** 90.05 ± 2.62** 0.94 ± 0.06**
Silymarin (100mg/Kg) 21.37 ± 0.76** 101.80 ± 2.88** 0.79± 0.06**

Values are expressed as Mean ± SEM of 6 rats in each group.*p<0.01, **p<0.001, when compared with respective RIF+INH treated group.


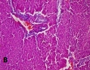
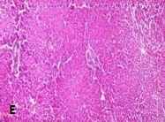
Fig. 1: A) Liver section of normal control rats showing normal hepatic cells. B) Liver sections of RIF+ INH (50 mg/kg)treated rats showing, massive fatty changes, necrosis, balloon formation, central vein congestion, loss of cellular boundaries and mononuclear inflammation. C) Liver sections of rats treated with RIF+ INH (50 mg/ kg) + A. nilotica extracts (200mg/kg) x 28 days, showing hepatic cells with well preserved cytoplasm, prominent nucleus, some of central veins and sinusoids exhibited congestion. D) Liver sections of rats treated with RIF+ INH (50 mg/ kg) + A. nilotica ethonolic bark extracts (400mg/kg) x 28 days showing well brought out central vein, hepatic cells with well preserved cytoplasms & prominent nucleus. E) Liver section of rats treated with RIF+INH (50mg/kg each) + Silymarin (100 mg/kg)×28 days, showing, well brought out central vein, hepatic cell with well preserved cytoplasm, prominent nucleus & nearby normal liver architecture.

Effect of A. nilotica bark Extract on Histopathology

After assessing the liver histology, control group showed normal hepatic cells with the well preserved cytoplasm; well brought out Central veins; prominent nucleus in all animals. In RIF+ INH treated group, of animals showed RIF+ INH (50 mg/kg) treated rats showing, massive fatty changes, necrosis, balloon formation. Animals treated with RIF+ INH (50 mg/ kg) + A. nilotica extracts (200mg/kg & 400mg/kg) x 28 days, showing hepatic cells with well preserved cytoplasm, prominent nucleus, some of central veins and sinusoids exhibited congestion, hepatic cells with well preserved cytoplasms & prominent nucleus. Treatment with Silymarin showed recovery from toxicity (Fig. 1).

DISCUSSION

Tuberculosis (TB) is one of the most common infectious diseases in India; pulmonary tuberculosis is one of the major causes of adult deaths [38]. INH & RIF drug are considered to be first choice to treat a specific condition used for tuberculosis chemotherapy are associated with hepatotoxicity [39]. The administration of INH and RIF, the most common medication prescribed against tuberculosis, produces many metabolic and morphological aberrations in liver due to the fact that the liver is the main detoxifying site for these anti-tubercular drugs. These antitubercular drugs induce hepatotoxicity by a multiple step mechanism. Isoniazid is acetylated and then hydrolyzed, resulting in isonicotinic acid and monodactyl hydrazine; the later compound can be activated to a toxic species by cytochrome P-450 [40]. Rifampicin, a powerful inducer of drug metabolizing enzymes in man and rats contributes to the hepatotoxicity of ionized by enhancing the rate of production of toxic metabolites [41]. Hepatotoxicity is characterized by cirrhotic liver condition which in turn increased the bilirubin release [42].

Tuberculosis is one of the fatal communicative diseases and is spread easily amongst people. Over one-third of the world's population is estimated to be infected with Mycobacterium tuberculosis and over 2 million people a year will die of the disease [43]. Multi-drug resistant (MDR) strains of M. tuberculosis have emerged and a co-infection with AIDS were reported.

This turned out that the WHO declared tuberculosis as ‘Global health emergency [44].

Evaluation of liver function can be made by estimating serum enzymes like SGOT, SGPT, ALP and Total Bilirubin, which present in higher concentration in cytoplasm. When there is hepatopathy, these enzymes leak into the blood stream in conformity with the extent of liver damage [45]. Normally SGOT and ALP are present in high concentration in liver, due to hepatocyte necrosis or abnormal membrane permeability; these enzymes are released from the cells and their levels in the blood increases [46].

In the present study, the hepatotoxicity model in Wistar rats was successfully produced by administering INH and RIF (50 mg/kg per day each). All serum markers were markedly increases from above the normal limits of 28 days of the experiment that indicate liver injury.

On primilary screening of Photochemical quantitative analysis of 50% ethonolic bark extract of A. nilotica revealed the presence of alkaloids, flavonoids, Glycoside, saponins, tannins and steroids are the major chemical constituents. The Phytochemical screening of the bark extract of A. nilotica shows the presence of anti oxidative components. These are helpful in the hepatoprotection against RIF+INH induced liver injury in rats.

CONCLUSION

The present study showed that the 50% ethonolic bark extract of A. nilotica has Hepatoprotective effects that were proven by the biochemical and Histopathological analysis. The bark extract of A. nilotica has showed does dependent activity (200 & 400 mg/kg). However, further investigation, suggest that an extract of A. nilotica constituents responsible for hepatoprotection.

ACKNOWLEDGEMENTS

We are highly grateful to our Honorable director CSIR-NBRI lucknow for the facilities providing.

CONTRIBUTIONS OF AUTHORS

1. Priit Verma: Literature search, study design, data collection, data analysis and data interpretation writing.

2. Dr. Chv Rao: Data interpretation and manuscript review, data analysis.

3. Surya Prakash Singh and Saurabh Vind: Study design, manuscript review and discussion writing.

CONFLICT OF INTEREST

We have no conflict of interest to declare.

REFERENCE

  1. Ahsan R, Islam KM, Musaddik A, Haque E. Hepatoprotective activity of methanol extract of some medicinal plants against carbon tetrachloride induced hepatotoxicity in albino rats. Global J Pharmacol 2009;3(3):116-22.
  2. Wolf PL. Biochemical diagnosis of liver diseases. Indian J Clin Biochem 1999;14:59–90.
  3. Pawinee P, Chai-ngam N, Chuncharunee A, Komaratat P, Suksamrarn A. Choleretic activity of phloracetophenone in rats, structure–function studies using acetophenone analogues. Eur J Pharmacology 2000;387:221–7.
  4. Ward FM, Daly MJ. Hepatic Disease In clinical pharmacy and therapeutics Churchill Livingstone: New York; 1999. p. 195-212.
  5. Raghupati G, Chandra I, kailasama ASL, venkatesam P. Rifampicin induced release of hydrazine from INH. Am Rev Respir Dis 1986;133-1072.
  6. Mohamed Saleem TS, Christina AJM, Chidambaranathan N, Ravi V, Gauthaman K. Hepatoprotective activity of Annona squamosa Linn. On experimental animal model. Int J Appl Res Nat Prod 2008;1(3):1-7.
  7. Orhan DD, Orhan NU, Ergun E, Ergun F. Hepatoprotective effect of Vitis vinifera L. leaves on carbon tetrachloride-induced acute liver damage in rats. J Ethnopharmacology 2007;112:145–51.
  8. Khatri A, Arun G, Agrawal Shyam S. Evaluation of Hepatoprotective activity of aerial parts of Tephrosia purpurea L. and stem bark of Tecomella undulate. J Ethnopharmacology 2009;122:1-5.
  9. Chaudhari NB. Hepatoprotective activity of cassia fistula seeds against paracetamol-induced hepatic injury in rats. Arch Pharm Sci Res 2009;218-21.
  10. Lalit R, Bhatt J, Patel J. Hepatoprotective activity of ethanolic extracts of bark of Zanthoxylum armatum DC in CCl4 induced hepatic damage in rats. J Ethnopharmacology 2010;127:777–80.
  11. Malviya S, Rawat S,Verma M, Kharaia A. Preliminary phytochemical investigations of Acacia nilotica linn plant. Current Pharm Res 2011;1(2):91-100.
  12. Bansal VK, Goel RK. Gastroprotective effect of Acacia nilotica young seedless pod extract. Role of polyphenolic constituents. Asian Pacific J Tropical Med 2012;523-8.
  13. Banso A. Phytochemical and antibacterial investigation of bark extracts of Acacia nilotica. J Medicinal Plants Res 2009;3(2):082-085.
  14. Meena PD, Kaushik P, Shukla S, Soni AK, Kumar M, Kumar A. Anticancer and antimutagenic properties of Acacia nilotica (Linn.) on 7, 12-dimethylbenz (a) anthracene-induced skin papillomagenesis in Swiss albino mice. Asian Pac J Can Prev 2006;7:627-32.
  15. Dhabhai K Batra A. Hormonal regulation impact on regeneration of acacia nilotica l. a nitrogen fixing tree. World Appl Sci J 2010;11(9):1148-53.
  16. Selestin SD, Juliette K, Faustin D, Sylviane S, Barnabé LNYN, Germain TS, et al. Acute and chronic anti-inflammatory effects of the aqueous extract of Acacia nilotica (L.) Del. (Fabaceae) pods. Acad J Med Plants 2013;1(1):001-5.
  17. Sidra R, Usman AA, Sana R, Tariq J, Sheikh R. Antiviral activity of Acacia nilotica against Hepatitis C Virus in liver infected cells. Virology J 2011;8:220.
  18. Kaur K, Michael H, Arora S, Harkonen P, Kumar S. In vitro bioactivity-guided fractionation and characterization of polyphenolic inhibitory fractions from Acacia nilotica (L.) Willd. ex Del. J Ethnopharmacol 2005;99:353-630.
  19. Singh BN, Singh BR, Singh RL, Prakash D, Sarma BK, Singh HB. Antioxidant and anti-quorumsensing activities of green pod of A. nilotica L. Food Chem Toxicol 2009;47:778–86.
  20. Tahir AE, Satti GMH, Khalid SA. Antiplasmodial activity of selected sudanese medicinal plants with emphasis on Acacia nilotica. Phytother Res 1999;13:474–8.
  21. Solomon-Wisdom GO, Shittu GA. In vitro antimicrobial and phytochemical activities of Acacia nilotica leaf extract. J Med Plants Res 2010;4:1232-4.
  22. Maity CR, Mandai B. Chemical and nutritional studies on the seed oil of Acacia arabica. J Am Oil Chem Soc1990;67:433-4.
  23. Prakash L, Garg G. Chemical constituents of the roots of Millingtonia hortensis Linn. And Acacia nilotica (Linn.) Del. J Indian Chem Soc1981;58:96-7.
  24. Rasool N, Tehseen H, Riaz M, Komal R, Muhammad Z, Mahmood Y, et al. Cytotoxicity studies and antioxidant potential of Acacia nilotica roots. Int J Chem Biochem Sci 2013;3:34-41.
  25. Prasad V, Gupta SC. Inhibitory effect of bark and leaf decoctions on the activity of pectic enzymes of Alternaria tenuis. Indian J Exp Biol 1967;5:192-3.
  26. Verma V, Singh BK. A review on Acacia nilotica linn. and its ethnobotony. phytochemical and pharmacological profile. IJPRD 2012:251-5.
  27. Asad M, Aslam M, Munir TA, Nadeem A. Effect of acacia nilotica leaves extract on hyperglycaemia, lipid profile and platelet aggregation in streptozotocin induced diabetic rats. J Ayub Med Coll Abbottabad 2011;2:23.
  28. Badar, Nadeem I, Khan Z, Nisar A, Shoaib M. In vitro and in vivo anthelmintic activity of acacia nilotica (l.) willd. ex delile bark and leaves. Pak Vet J 2011;31(3):185-91.
  29. Ahmad M, Zaman F, Sharif T, Zabta M. Antidiabetic and hypolipidemic effects of aqueous methanolic extract of acacia nilotica pods in alloxan-induced diabetic rabbits scand. J Lab Anim Sci 2008;1:35.
  30. Zimmerman M. Ethical guidelines for investigation of experimental pain in conscious. Animals Pain 1983;16:109-10.
  31. Trease GE, Evans WC. Pharmacognosy. 13th ed. Bailliere Tindall Ltd, London; 1989. p. 176-80.
  32. Harborne JB. Phytochemical method. 3rd ed. Chapman and Hall, London; 1993. p. 135-203.
  33. Pal R, Vaiphei K, Sikander Arbab, Singh K, Rana Satya V. Effect of garlic on isoniazid and rifampicin-induced hepatic injury in rats. World J Gastroenterol 2006;12(4):636-9.
  34. Reitman S, Frankel S. A colorimetric method for the determination of serum glutamate oxaloacetate transaminase. Am J Clin Pathol 1957;28:53-6.
  35. King J. The hydrolases-acid and alkaline phosphatases. In Practical clinical enzymology. London Nostrand Company Limited; 1965. p.191-208.
  36. Malloy HT, Evelyn KA. The determination of bilirubin with the photometric colorimeter. J Biol Chem 1937;119:481-49.
  37. Lillie RD. Histopathological techniques and practical histochemistry. Mc Grow Hill Book Company: New York; 1965.
  38. Garner P, Holmes A, Ziganshina L. Tuberculosis. Clin Evid 2004;11:1081-93.
  39. Sodhi CP, Rana SV, Mehta SK, Valphei K, Attari S, Mehta S. Study of oxidative stress in isoniazidrifampicin induced hepatic injury in rats. Drug Chem Toxicol 1997;20:255-69.
  40. Thomas BS, Wong LT, Zeitz W, Solomonraj G. Isoniazid metabolism in the rabbit and the effect of rifampicin pretreatment. Res Commun Chem pathol Pharmacol 1981;33:235-47.
  41. Santhosh S, Sini TK, Anandan R, Mathew PT. Effect of chitosan supplementation on antitubercular drugs-induced hepatotoxicity in rats. Toxicology 2006;219:53-9.
  42. Man-Fung Y, Takanobu K, Masashi M, Annie On-On, John C, He-Jun CHY, et al. Clinical outcome and virologic profiles of severe hepatitis B exacerbation due to YMDD mutations. J Hepatol 2003;39:850-5.
  43. Shishoo CJ, Shar SA, Rathod IS, Savale SS, Vora MJ. Impaired bioavailability of rifampicin in presence of isoniazid from fixed dose combination (FDC) formulation. Int J Pharm 2001;228:53-6.
  44. Anon X. The resurgence of tuberculosis: a call for commitment. General policy topics. WHO Drug Info 1997;5:39-40.
  45. Nkosi CZ, Opoku AR, Terblanche SE. Effect of pumpkin seed (Cucurbita pepo) protein isolate on the activity levels of certain plasma enzymes in CCl4-induced liver injury in low protein fed rats. Phy Res 2005;19:341–5.
  46. Shah M, et al. Evaluation of the effect of aqueous extract from powders of root, stem, leaves and whole plant of phyllanthus debilis against CCL4 induced rat liver dysfunction. Indian Drugs 2002;39:333-7.