School of Biosciences and Technology, VIT University, Vellore-632014 Tamilnadu, India.
Email: eps674@gmail.com
Received: 27 Sep 2014 Revised and Accepted: 25 Oct 2014
ABSTRACT
Objective: The aim of the present study was to determine the antidiabetic activity of Brahmi gritham a traditional Indian ayurvedic formulation in streptozotocin-induced diabetes in rats.
Methods: Diabetes was induced by a single intra-peritoneal injection of streptozotocin (55mg/kg body weight) in the experimental animals. The anti-hyperglycaemic potential of Brahmi gritham (500 mg/kg body weight) was studied by estimating the levels of plasma blood glucose and the levels of serum total cholesterol, triglycerides, total protein and albumin in the experimental rats. The serum renal functional (creatinine; urea; uric acid) and liver functional markers (aspartate transaminase; alanine transaminase; alkaline phosphatase) were also measured. The tested parameters were compared with those of the normal and the standard drug glibenclamide-treated rats. Histological analysis of the liver was done in order to visualize the efficacy of Brahmi gritham in preventing changes in liver histology in diabetic rats.
Results: Brahmi gritham showed significant (p<0.05) reduction in the elevated levels of plasma glucose, serum liver and renal function markers and total cholesterol. The formulation was also effective in restoring normal total protein and albumin levels in the serum of experimental rats.
Conclusion: The study revealed significant antidiabetic potential of Brahmi gritham in the experimental rats indicating its role in the effective management of diabetes.
Keywords: Streptozotocin, Diabetes, Brahmi gritham, Blood glucose, Histopathology.
INTRODUCTION
The World Health Organization (WHO) defines Diabetes Mellitus (DM) as a heterogeneous metabolic disorder characterized by the common features of hyperglycaemia, with the disturbance of carbohydrate, fat and protein metabolism. DM is a leading cause of morbidity and mortality all over the world. It is estimated that approximately 1% of the population suffers from the disease. The incidence is rising in the developing countries of the world at the rate of about 10% per year, especially type2 DM. DM is expected to continue as a major health problem owing to its serious complications, especially end stage renal disease, gangrene of the lower extremities and blindness in adults [1]. Today, the challenges in treating diabetic subjects have increased due to the inefficiency of the anti-diabetic drugs in maintaining glycaemic levels over a long period of time thereby resulting in long term diabetic complications like nephropathy, retinopathy, neuropathy, diabetic ketoacidosis, hypertension and cardiovascular complications [2, 3]. Therefore number of studies is being carried out in India to find new drugs with increased efficiency in maintaining normal blood glucose levels. Most of this research focuses on naturally derived products of plant origin which are capable of reducing blood glucose levels [4-6].
The present study was aimed to investigate the potential of the traditional Indian ayurvedic formulation ‘Brahmi gritham’ to repair the selective destruction of islet cells caused by streptozotocin. Streptozotocin which is synthesized by Streptomycetes achromogenes is used to induce both insulin dependent and insulin independent diabetes. It has specific cytotoxic action on β-cells of Islets of Langerhans [7]. This action results in rapid and irreversible necrosis by causing alkylation of DNA, entering the β-cells through glucose transporter [8]. Brahmi gritham, the drug of choice is a formulation (Table 1) containing four herbal components and cow’s ghee [9].
One of the ingredients of this formulation, Brahmi (Bacopa monnieri), was reported to have antiepileptic, antioxidant and anti-inflammatory activity. It is used to enhance memory and is used to treat insomnia as it is a mild sedative [10,11]. Vacha (Acorus calamus) is another component of Brahmi gritham which is commonly used in Indian ayurvedic medicine to treat inflammatory disorders.
Table 1: Formulation of Brahmi gritham (6.5 kg)
| S. No. | Ingredient | Part used | Botanical name | Weight |
| 1. | Brahmi juice | Whole plant | Bacopa monnieri | 4L |
| 2. | Vacha | Rhizome | Acorus calamus Linn. | 85g |
| 3. | Kushtha | Root | Saussurea lappa C. B. Clark | 85g |
| 4. | Shankapushpi | Whole plant | Convolvulus pluricaulis Choisy | 85g |
| 5. | Go-Ghrita (cow’s ghee) | - | - | 1 Kg |
The rhizome of Vacha possesses antioxidative, anti-inflammatory, neuroprotective and calcium inhibitory properties [12]. Kushtha (Saussurealappa), root is used in Ayurveda for diabetes management and also to treat scabies, epilepsy and headache furthermore, the cardio-protective role of Kushtha has been studied in diabetic patients [13,14]. Shankapushpi (Convolvuluspluricaulis) is used traditionally to improve memory and also in the treatment of dysentery, bronchitis, asthma, epilepsy, neurodegenerative disorders, insomnia, hypertension, ulcers and hyperthyroidism [15, 16]. The ethanolic extract of this herb has shown to reduce the levels of serum total cholesterol and triglycerides [17]. As the components of Brahmi gritham possess antioxidant properties it was used in this study to determine its effect on diabetes and on the regeneration of pancreatic β-cells.
MATERIALS AND METHODS
Animals
Female Wistar albino rats with a mean weight of 151.33±1.29 g were procured from the Animal house, VIT University, Vellore. The rats were fed with commercially available pelleted feed obtained from Hindustan Lever Ltd. (Mumbai, India) and water were provided ad libitum. Guidelines recommended by the Committee for the Purpose of Supervision and Control of Experiments on Animals (CPSCEA), Government of India, Chennai, Tamil Nadu, were followed for the care and maintenance of the animals. The experimental procedure was approved by the ethical committee of VIT University, Vellore, India.
Chemicals and reagents
The formulation, Brahmi gritham that was used in the present study was obtained from Arya Vaidya Sala, Kerala, India (Batch No. 163277; manufactured date: Sep, 2013). Streptozotocin was obtained from Sigma Aldrich, India. Glibenclamide, the standard drug, was purchased locally. All other reagents used were standard laboratory reagents of analytical grade and were purchased locally. The commercial diagnostic kits used in this study were purchased from Autospan diagnostics, India.
Experimental procedure
The animals were segregated based on their body weights into four groups of 6 animals each. The animals were treated as follows: Group I (Normal control): 0.5 ml of 0.1 M citrate buffer (pH 4.5) alone (I. P.); Group II (Diabetic control): Streptozotocin (50mg/kg body weight) dissolved in citrate buffer was injected (I. P.)[18];Group III: Streptozotocin (50 mg/kg body weight, I. P.) and Brahmi gritham (400 mg/kg, orally);Group IV: Streptozotocin (50 mg/kg b. w., I. P.) and Glibenclamide (600 µg/kg b. w., orally). Blood glucose levels were estimated by a glucometer (One Touch Ultra) and ketones were measured using Keto-Diastix strips on day 0, 5, 10, 15, 20, 25 and 30.
Glucose tolerance test
Glucose tolerance test (GTT) was carried out for all the experimental groups on day 27 of the study. After overnight fasting blood glucose was measured in all the experimental rats, following which 2 g/kg b. w. of glucose was given orally and the blood glucose levels were measured at 30, 60, 90 min [19]. At the end of the experiment, all the animals were sacrificed under ether anesthesia. Blood samples were collected for further analysis.
Evaluation of serum parameters
The levels of the liver (alanine transaminase, aspartate transaminase and alkaline phosphatase) and kidney functional markers (urea, uric acid and creatinine), total protein, albumin, total cholesterol and triglycerides were determined in the serum of the experimental rats using commercially available kits (AutoSpan diagnostics, India) according to manufacturer’s protocol.
Histopathological studies
Immediately after sacrifice, a portion of the kidney was fixed in 10% formalin, washed, dehydrated in descending grades of alcohol and finally rinsed with xylene. The tissues were then embedded in molten paraffin wax and sections were cut at 5 µm thickness. Staining was done with haematoxylin and eosin and observed microscopically for histopathological changes.
Statistical analysis
Results are expressed as mean ± SD and statistical analysis was performed using ANOVA, followed by Student Newman-Keul’s test; *p<0.05 implied significance.
RESULTS
Blood glucose and glucose tolerance
The blood glucose levels were found to be significantly (p<0.05) increased in the diabetic group (group II), while the groups treated with Brahmi gritham and glibenclamide showed a significant (p<0.05) reduction in the elevated blood glucose levels (Fig. 1).

Fig. 1: Fasting blood glucose (mg/dl) levels in the experimental rats
Table 2 and Table 3 show the results of semi-quantitative determination of urine glucose and the urine ketones. The amount of urine glucose was found to be high semi quantitatively in the diabetic group and was normalized in the Brahmi gritham and glibenclamide treated groups. The presence of ketones was observed in the urine of diabetic rats which were absent in the Brahmi gritham and glibenclamide treated group by the end of the study period.
Table 2: Evaluation of urine glucose (qualitative) in the experimental rats
| Groups | Day 0 | Day 5 | Day 10 | Day 15 | Day 20 | Day 25 | Day 30 |
| Group I
(Normal control) |
Nil | Nil | Nil | Nil | Nil | Nil | Nil |
| Group II
(Diabetic control) |
Nil | + + + | + + + + | + + + + | + + + + | + + + | + + + |
| Group III (Brahmi gritham 400 mg/kg) | Nil | + + | + + | + | Trace | Nil | Nil |
| Group IV (Glibenclamide 600 µg/kg) | Nil | + + + | + + | + | + | Trace | Nil |
Table 3: Evaluation of urine ketones (qualitative) in the experimental rats
| Groups | Day 0 | Day 5 | Day 10 | Day 15 | Day 20 | Day 25 | Day 30 |
| Group I
(Normal control) |
Nil | Nil | Nil | Nil | Nil | Nil | Nil |
| Group II
(Diabetic control) |
Nil | Nil | Trace | + | + + | + + + | + + + |
| Group III (Brahmi gritham 500 mg/kg) | Nil | Trace | Trace | Nil | Nil | Nil | Nil |
| Group IV (Glibenclamide 600 µg/kg) | Nil | Nil | Trace | + | Trace | Nil | Nil |
Oral Glucose Tolerance Test (GTT) was carried out one day before the sacrifice (day 27) and it was found that the diabetic group had reduced tolerance to orally administered glucose which was found to be normal in the Brahmi gritham and glibenclamide treated groups. The results of the GTT are illustrated in Table 4.
Table 4: Glucose Tolerance Test of the experimental rats
| Experimental groups | 0 min | 30 min | 60 min | 90 min |
| Group I (Normal control) | 97±4 | 147±5 | 171±6 | 124±4 |
| Group II (Diabetic control) | 142±6 | 256±8 | 389±7 | 221±5 |
| Group III (Brahmi gritham
500 mg/kg b. w.) |
98±3 | 153±4 | 184±6 | 119±4 |
| Group IV (Glibenclamide
600 µg/kg) |
102±4 | 181±5 | 287±5 | 122±4 |
Table 5: Effect of Brahmi gritham on serum liver functional markers
| Parameter | Group I
(normal control) |
Group II (diabetic control) | Group III (Brahmi gritham 500 mg/kg b. w.) | Group IV (Glibenclamide 600 µg/kg) |
| AST (U/L) | 60.46±0.78 | 95.83±1.56a* | 58.33±0.81a*b* | 61.27±0.79b*c* |
| ALT (U/L) | 24.1±0.48 | 60.8±1.03a* | 26.61±0.54a*b* | 28.26±0.56a*b*c* |
| ALP (U/L) | 60.34±0.78 | 131.56±1.76a* | 61.48±0.84a*b* | 62.14±0.81a*b* |
N=6 animals in each group. The values are expressed as mean ± S. D. Comparisons indicated by lower case letters were made as follows: a – group I vs. group II, III and IV; b – group II vs. group III and IV; c – group III vs. group IV. Statistical analysis was carried out by one way ANOVA followed by Student’s Newman – Kuel’s test. The symbols represent statistical significance at: *p<0.05.
Liver functional markers
The values of SGOT, SGPT and ALP show a significant (p<0.05) increase in the diabetic control (group II), whereas, the Brahmi gritham and the Glibenclamide treated group showed a reduction in these values (Table 5). The levels of total protein and albumin were significantly (p<0.05) reduced in the diabetic group while Brahmi gritham and glibenclamide treated groups showed almost normal levels of these parameters (Figure 2).

Fig. 2: Effect of Brahmi gritham on serum total protein and albumin

Fig. 3: Effect of Brahmi gritham on serum total cholesterol and triglycerides
Serum total cholesterol and triglyceride levels
The levels of serum total cholesterol and triglycerides were significantly (p<0.05) increased in the diabetic rats while treatment with Brahmi gritham was able to normalize these parameters and was comparable with those of the glibenclamide treated group (Fig. 3).
Renal function markers
Fig. 4a, 4b show that urea, uric acid and creatinine values were found to be significantly (p<0.05) higher in the diabetic rats (group II), and there was observable reduction in the elevated levels of the kidney functional markers in group III and group IV, which are Brahmi gritham and the standard drug treated groups respectively.

Fig. 4(a): Renal Functional Markers- creatinine and uric acid

Fig. 4(b): Renal function markers- urea
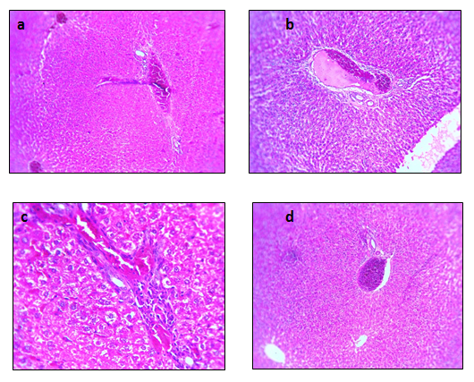
Histopathology
The antidiabetic effect of the herbal formulation Brahmi gritham was assessed by obtaining the histopathology of the liver (Fig. 5) of both the control groups and the experimental groups. The histology of the control group (Figure 5a) showed normal cell architecture. Group II, the diabetic control group, showed moderate portal vein congestion (Figure 5b). Group III which was the Brahmi gritham treated group showed a histological architecture of periportal inflammation with mild congestion(Figure 5c). Group IV, which was the Glibenclamide treated group, showed shows mild portal congestion (Fig. 5d).

Fig. 5: Histopathology of the liver: a) Group I (normal control) shows normal liver histoarchitecture b) Group II (diabetic control) shows moderate portal vein congestion c) Group III (Brahmi gritham 500 mg/kg b. w.) shows mild periportal inflammation and congestion d) Group IV (Glibenclamide 600 µg/kg b. w.) shows mild congestion.
DISCUSSION
Streptozotocin enters the β-cells via the glucose transporter and causes selective destruction of the pancreatic β-cells. Due to the necrosis of the pancreatic cells, the diabetic control rats showed an increased blood glucose levels throughout the period of study (Figure 1). Studies have shown that there is increase in food and water intake, blood and urine glucose and urine volume and decrease in insulin and C-peptide levels in STZ-induced diabetic rats [20, 21].
In the present study, the antidiabetic effect of the Indian herbal formulation Brahmi gritham is clearly evident from the reduction in the elevated levels of blood glucose in STZ-induced diabetic rats (Group 3). Studies in STZ-induced diabetic rats have shown the antidiabetic effects of herbal drugs and plant extracts that possess antioxidant property [22-25]. The diabetic control group was seen to have increased glycosuria and ketonuria which were attenuated on Treatment with Brahmi gritham (400 mg/kg b. w.) (Table 2).
GTT revealed that for the herbal formulation treated group, the glucose levels which were elevated at 30 min were found to be within normal range after the 90 min while in the diabetic group the glucose levels were elevated even after 90 min (Table 4). This clearly indicates glucose intolerance and insulin resistance in the diabetic group which were improved in the Brahmi gritham and glibenclamide treated groups.
Renal disease is common in type II diabetes leading to terminal renal failure. In diabetes there is proteinuria that leads to progressive renal damage [26]. This study demonstrates the role of Brahmi gritham in preventing diabetic renal damage and restoring the levels of renal functional markers back to normal levels. The levels of renal functional markers in the serum of diabetic rats in this study are indicative of impaired kidney function in chronic hyperglycaemia. The oral administration of Brahmi gritham showed to normalize these parameters thereby preventing diabetes associated renal damage.
The elevated levels of liver functional markers (AST, ALT and ALP) were reduced significantly (p<0.05) in the Brahmi gritham treated rats (Table 5). Studies involving the induction of diabetes using streptozotocin have shown elevated levels of these enzymes in diabetic rats [27,28]. These intracellular enzymes are leaked into the circulation on cellular damage caused due to the generation of ROS and subsequent oxidative stress[29]. Liver being the major organ of carbohydrate and lipid metabolism, we intended to investigate the effect diabetes on liver histology. It was found that there were no significant pathological changes in the liver of diabetic control rats. The results were compared to the histology of the reference drug treated group to assess the enhanced effect of the formulation, which also showed only a mild congestion in the portal vein.
Therefore it is evident that Brahmi gritham is effective in reducing the elevated blood glucose levels and normalizing the liver and kidney functional markers and total cholesterol and triglyceride levels in streptozotocin induced diabetic rats. The anti-diabetic effect exhibited by the herbal formulation is due to the anti-diabetic, anti-inflammatory and anti-oxidant effects possessed by the individual components of the formulation. Hence, Brahmi gritham can be used as an adjunct in the management of diabetes. However, further studies need to be done in this regard to explore the possible mechanisms by which this herbal formulation acts in restoring the tested parameters to near normal levels.
CONFLICT OF INTERESTS
Declared None.
ACKNOWLEDGEMENT
The authors are thankful to VIT University for providing financial assistance in the form of SEED money.
REFERENCES