1Physiology Division, Zoology Department, Faculty of Science, Beni-Suef University, Egypt, 2Cell Biology and Genetics Division, Zoology Department, Faculty of Science, Beni-Suef University, Egypt, 3Phycology Division, Botany Department, Faculty of Science, Beni-Suef University, Egypt. Email: ayman.mahmoud@science.bsu.edu.eg
Received: 02 Oct 2014 Revised and Accepted: 04 Nov 2014
ABSTRACT
Objectives: The current study was conducted to evaluate the possible protective effects of the brown seaweeds, Turbinaria ornata and Padina pavonia, against azoxymethane (AOM)-induced nephrotoxicity in mice.
Methods: The experimental mice were allocated randomly into 4 groups as follows; Group I (Normal): mice received two consecutive doses of saline, Group II (AOM): mice received intraperitoneal injections of 10 mg/kg AOM once a week for two consecutive weeks, Group III (AOM + T. ornata): mice received AOM once a week for two consecutive weeks + 100 mg/kg T. ornata extract, and Group IV (AOM + P. pavonia): mice received AOM once a week for two consecutive weeks + 100 mg/kg P. pavonia extract. Both extracts were supplemented orally for 3 weeks starting at the end of 10th week.
Results: AOM administration to mice induced renal damage evidenced by the histological alterations, including blood vessel dilatation, degenerated tubules, necrosis, inflammatory cell infiltrations, mildly congested blood vessels, degenerated glomeruli, thickened blood vessel wall and other histologic manifestations. In addition, AOM-administered mice showed significantly increased serum creatinine, urea and uric acid as well as elevated renal lipid peroxidation and nitric oxide levels. Consequently, renal glutathione content and superoxide dismutase and glutathione peroxidase activities were significantly declined. Supplementation of either T. ornata or P. pavonia markedly alleviated the AOM-induced alterations.
Conclusion: The current findings provide the first evidence that T. ornata and P. pavonia could protect mice against AOM-induced renal damage via abolishment of oxidative stress and potentiation of the antioxidant defense system.
Keywords: Azoxymethane, Nephrotoxicity, Seaweeds, Oxidative stress.
INTRODUCTION
Seaweeds are a group of marine algae with various health benefits and of great potential as a supplement in functional food [1]. Seaweeds have been widely used by coastal populations for thousands of years due to their high nutritional values [2]. Mayer et al. [3] reported that seaweeds produce a wide range of new secondary metabolites with various biological activities. In addition, medical and pharmaceutical industries are currently interested in marine algae since they have proven to be rich sources of diverse bioactive compounds with valuable pharmaceutical and biomedical potential [4]. Further, several bioactive compounds from marine organisms have been experimentally tested for their biomedical efficacy [5]. In this regard, multiple studies demonstrated that marine algae are rich in proteins, dietary fiber, minerals, lipids, essential amino acids, omega-3 fatty acids, polysaccharides, and vitamins A, B, C, and E [2,6,7].
Azoxymethane (AOM) is one of the most used compounds for studying colon carcinogenesis in experimental animals [8]. It is an intermediary metabolite of dimethylhydrazine that gives rise to methyl diazonium and methyl carbonium which are known to damage a number of biomolecules and may induce colon cancer [8]. Also, AOM has been utilized to investigate the preventive potential of numerous natural products on colon cancer [9]. Chan et al. [10] stated that liver and lungs are the most affected organs during colon cancer induction using AOM. However, previous studies reported the secondary effects induced by AOM in the kidney of experimental animals [11].
Recently, we reported that the brown seaweeds Turbinaria ornata and Padina pavonia possess anti-inflammatory, antioxidant and antidiabetic effects in experimental animals [12,13]. To date, there is nothing yet reported on the use of the extracts of T. ornata and P. pavonia against AOM-induced renal biochemical and histological alterations. Therefore, the current study was conducted to evaluate the protective effects of T. ornata and P. pavonia against induced kidney damage in mice.
MATERIALS AND METHODS
Chemicals
Chemicals was purchased from Sigma (USA). All other chemicals were of analytical grade and obtained from standard commercial supplies.
Collection of algae and extract preparation
P. pavonia and T. ornata were collected from the Red Sea (Egypt) and extracts were prepared as we formerly reported [12,13]. Briefly, collected seaweeds were washed, air-dried and pulverized to a fine powder then extracted by 80% aqueous ethanol. Following filtration, the filtrates were concentrated under reduced pressure in a rotary evaporator and lyophilisation. Extracts were then stored refrigerated until used.
Experimental animals
Twenty four male mice weighing 20-25 g were obtained from the animal house of the National Research Center (NRC), El-Giza, Egypt. The animals were housed in plastic well-aerated cages at normal atmospheric temperature (25±5 °C) and 12-hour light/dark cycle. Mice had free access to water and were supplied daily with laboratory standard diet of known composition.
All animal procedures were approved by the Institutional Ethics Committee of Beni-Suef University, which confronted to the recommendations of the Canadian Committee for Care and Use of Animals [14].
Experimental groups
Mice were allocated randomly into 4 groups, each consisting of six animals as follows
Group 1 (Normal): Mice received two intraperitoneal (i.p.) Injections of saline.
Group 2 (AOM): Mice received i. p. injections of 10 mg/kg AOM once a week for two consecutive weeks.
Group 3 (AOM + T. ornata): Mice received AOM once a week for two consecutive weeks + 100 mg/kg body weight T. ornata extract suspended in 1% carboxymethylcellulose (CMC).
Group 4 (AOM + P. pavonia): mice Received AOM once a week for two consecutive weeks + 100 mg/kg body weight P. pavonia extract suspended in 1% CMC.
Extracts of both T. ornata and P. pavonia were supplemented orally for 3 weeks starting at the end of 10th week. The used doses of the extracts were selected based on our recent studies [12,13]. The doses were balanced weekly as indicated by any change in body weight to keep up comparable dosage for every kg body weight.
By the end of 13 weeks, mice were sacrificed under anesthesia after the last treatment and blood was collected. Serum samples were separated from the collected blood by centrifugation at 3000 rpm for 15 minutes. Kidney samples were excised and immediately perfused with ice-cold saline then homogenized in chilled saline (10% w/v). The homogenates were centrifuged to separate the nuclear debris. The clear homogenates were separated and used for subsequent biochemical assays.
Assay of serum urea, uric acid and creatinine
Serum creatinine, urea and uric acid levels were assayed using reagent kits purchased from spinreact (Spain), following the methods of Young[15], Kaplan[16] and Fossati et al. [17], respectively.
Assay of oxidative stress and antioxidant system parameters
Lipid peroxidation (assayed as malondialdehyde {MDA}) and nitric oxide (NO) levels were determined in kidney homogenates according to the methods of Preuss et al. [18] and Montgomery and Dymock [19], respectively. Reduced glutathione (GSH) content was determined according to the method of Beutler et al. [20]. Activities of superoxide dismutase (SOD) and glutathione peroxidase (GPx) were measured according to the methods of Marklund and Marklund [21] and Matkovics et al.[22], respectively.
Histopathology
The kidney samples were flushed with saline and then fixed in 10% buffered formalin for at least 24 h. The specimens were then dehydrated in ascending series of ethanol, cleared in xylene and embedded in paraffin wax. Blocks were prepared and 4μm thick sections were cut by a sledge microtome. The paraffin embedded sections were deparaffinized using xylene and ethanol. The slides were washed with phosphate buffered saline (PBS) and stained with hematoxylin and eosin (H&E). The stained slides were examined under light microscope.
Statistical analysis
Statistical analysis was performed using SPSS v.20. Results were expressed as mean ± standard error (SE) and all statistical comparisons were made by means of the one-way ANOVA test followed by Turkey’s test post doc analysis. A P value <0.05 was considered significant.
RESULTS
AOM administration to mice significantly (P<0.001) increased serum urea levels when compared to the normal control mice (Table 1). Oral supplementation of T. ornata extract markedly (P<0.001) decreased the elevated serum urea when compared to the AOM control mice. Similarly, treatment of AOM-induced mice with P. pavonia significantly (P<0.01) ameliorated serum urea level.
Serum uric acid showed a significant (P<0.05) increase following AOM administration as represented in Table 1. Treatment of AOM-administered mice with P. pavonia extract significantly (P<0.01) improved serum uric acid levels when compared to AOM control mice. T. ornata supplementation ameliorated serum uric acid levels, however, the decrease is non-significant (P>0.05) compared to AOM control mice. Mice administered AOM showed a significant (P<0.05), increase in serum creatinine levels and both tested extracts produced a non-significant (P>0.05) effect compared to the AOM group of mice (Table 1).
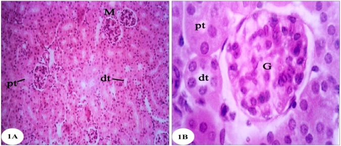
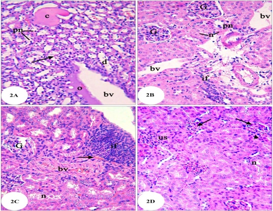
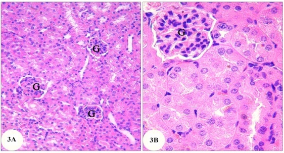
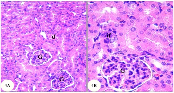
Histopathological examination of the kidney sections of normal mice revealed normal histological structure (Fig. 1). AOM-administration induced kidney damage confirmed by blood vessel dilatation, degenerated tubules, inflammatory cell infiltrations, mildly congested blood vessels, degenerated glomeruli, tubular epithelial necrosis, thickened blood vessel wall, pyknosis, lobulated glomeruli and other histologic manifestations (Fig. 2). Oral supplementation of either T. ornata (Fig. 3) or P. pavonia (Fig. 4) extract potentially ameliorated the kidney architecture and protected against the AOM-induced histopathological alterations.
Table 1: Serum urea, uric acid and creatinine of normal, AOM and AOM mice treated with T. ornata and P. pavonia
| Urea
(mg/dl) |
Uric acid
(mg/dl) |
Creatinine
(mg/dl) |
|
| Normal | 23.40 ± 1.81 | 3.66 ± 0.32 | 0.42 ± 0.01 |
| AOM | 47.15 ± 6.44*** | 5.70 ± 0.57* | 0.52 ± 0.04* |
| AOM + T. ornata | 22.75 ± 1.52### | 4.16 ± 0.10 | 0.51 ± 0.01 |
| AOM + P. pavonia | 26.88 ± 1.62## | 2.83 ± 0.51## | 0.47 ± 0.02 |
| F-Prob. | P<0.001 | P<0.01 | P<0.05 |
Data are expressed as M ± SE, *P<0.05, ***P<0.001 vs normal and ##P<0.01###P<0.001 vs AOM.

Fig. 1: Photomicrographs of H&E stained kidney sections of normal mice showing glomerulus (G), Malpighian corpuscle (M), proximal tubules (pt) and distal tubules (dt). (1 A) (X200) and (1B) (X1000)

Fig. 2: Photomicrographs of H&E stained kidney sections of AOM-administered mice showing dilatation in the blood vessel (bv), prevascular edema (o), tubular degeneration and dilatation (d), hyaline cast (c), necrosis (n), pyknosis (pn) and leucocyte infiltrations (if). (X400)

Fig. 3: Photomicrographs of H&E stained kidney sections of AOM-administered mice treated with T. ornata showing nearly normal renal tubules and renal corpuscles. (3A X400, 3B X1000)

Fig. 4: Photomicrographs of H&E stained kidney sections of AOM-administered mice treated with P. pavonia showing more or less normal renal tubules and corpuscles with slight infiltration and degeneration. (4A X400, 4B X1000)
Mice administered AOM exhibited a significant (P<0.01) increase in kidney lipid peroxidation when compared with their respective normal mice, as represented in Figure 5. Oral supplementation with either T. ornata or P. pavonia to AOM-administered mice significantly (P<0.05) decreased the elevated kidney MDA.
Nitric oxide exhibited the same pattern, it was significantly (P<0.001) elevated in the kidney of AOM-administered mice and significantly (P<0.05) declined following supplementation with either T. ornate or P. pavonia (Fig. 6).
Conversely, GSH content showed a significant (P<0.05) decrease in the kidney of AOM-intoxicated mice as depicted in Figure 7. On the other hand, both T. ornata and P. pavonia were able to significantly (P<0.05) rejuvenate renal GSH content. More or less similar, AOM administration induced a significant decline in the activities of SOD (P<0.01) and GPx (P<0.05) as represented in Figures 8 and 9, respectively. Supplementation of AOM-administered mice with T. ornata and P. pavonia significantly alleviated the activities of SOD and GPx.

Fig. 5: Lipid peroxidation in kidneys of normal, AOM and AOM mice treated with T. ornata and P. pavonia. Data are expressed as M ± SE, P<0.01. **P<0.01 vs normal and #P<0.05 vs AOM

Fig. 6: Nitric oxide levels in kidneys of normal, AOM and AOM mice treated with T. ornata and P. pavonia. Data are expressed as M ± SE, P<0.01. * P<0.05, ***P<0.001 vs normal and #P<0.05 vs AOM

Fig. 7: Reduced glutathione content in kidneys of normal, AOM and AOM mice treated with T. ornata and P. pavonia. Data are expressed as M ± SE, P<0.01. *P<0.05 vs normal and #P<0.05 vs AOM

Fig. 8: Superoxide dismutase activity in kidneys of normal, AOM and AOM mice treated with T. ornata and P. pavonia. Data are expressed as M ± SE, P<0.001. **P<0.01 vs normal and ###P<0.001 vs AOM

Fig. 9: Glutathione peroxidase activity in kidneys of normal, AOM and AOM mice treated with T. ornata and P. pavonia. Data are expressed as M ± SE, P<0.01. *P<0.05 vs normal and #P<0.05 ###P<0.001 vs AOM
DISCUSSION
In this study, we described the renal alterations caused by administration of the colon carcinogen AOM in mice. Subsequent to its first identification in cycad palms, AOM was frequently used as a selective intestinal carcinogen [23-25]. Although exposure to AOM is uncommon, human exposures to structurally related hydrazines found in tobacco, rocket fuels, herbicides and drugs are frequent [26]. To the best of our knowledge, no studies have examined the protective effects of the brown seaweeds, T. ornata and P. pavonia, against AOM-induced nephrotoxicity in mice. Therefore, we conducted the current study to evaluate the possible beneficial effects of T. ornata and P. pavonia hydro-ethanolic extracts on AOM-induced renal alterations in mice.
AOM administration produced noticeable renal impairment evidenced by the significantly elevated circulatory creatinine, urea and uric acid levels. These finding are in contrary to Hajrezaie et al. [27] who reported a non-significant change in renal function markers in AOM-administered rats after 10 weeks experimental period. Therefore, the 10 weeks period may be insufficient for observing AOM-induced renal function impairment in experimental animals. In the same regard, Hue et al. [28] demonstrated a non-significant elevation of serum urea after 8 weeks following AOM administration in male F344 rats. On the other hand, Pence and Buddingh [29] revealed that administration of the AOM precursor, dimethyl hydrazine, to rats significantly increased serum urea levels. In agreement with our findings, Ward [30] demonstrated that rats given high doses of AOM developed renal tumors. Therefore, the effect of AOM on renal function is seemed to be dose and duration dependent. In addition, renal injury induced by AOM in mice is further confirmed by the observed histological alterations, including dilatation in the blood vessel, perivascular edema, tubular degeneration and dilatation, tubular necrosis, pyknosis, leucocyte infiltrations and other manifestations. On the other hand, supplementation of either T. ornata or P. pavonia ameliorated the altered renal function markers in serum of AOM-administered mice. Also, both treatments potentially alleviated the kidney architecture. In this regard, the renoprotective effects of brown seaweeds have been demonstrated in few studies. A recent study conducted by Karthikeyan et al. [31] reported that Padina boergessenii ameliorates carbon tetrachloride (CCL4)- induced nephrotoxicity in rats. However, the renoprotective effect of T. ornata or P. pavonia against AOM-induced toxicity has not been previously reported. Hence, this study shows for the first time that T. ornata or P. pavonia could protect mice against AOM-induced nephrotoxicity.
Mice administered with AOM exhibited a significant increase in renal lipid peroxidation. This observation might be attributed to increased reactive oxygen species (ROS) generated through the metabolism of AOM. Multiple studies reported that the metabolism of AOM produces extremely reactive hydroxyl radicals that induce oxidative stress [25,32]. The produced ROS induce lipid peroxidation, protein damage and DNA fragmentation [33]. Due to the abundance of long chain polyunsaturated fatty acids in the composition of renal lipids, the kidney is highly vulnerable to damage caused by ROS [34]. In addition, Lopez-Novoa et al. [35] postulated that ROS are crucial in the mechanisms that lead to tubular necrosis and decrease of glomerular filtration rate. Similarly, mice received AOM showed significantly elevated renal NO levels. Under conditions of oxidative stress, NO reacts with superoxide anions to form the potent oxidant peroxinitrite [36,37]. In addition, NO activates nuclear factor-kappa B and thereby stimulates the production of pro-inflammatory cytokines [38]. Treatment of AOM-administered mice with either T. ornata or P. pavonia potentially decreased lipid peroxidation and NO levels in the kidney. These findings are in agreement with our recent study [12] where we reported that T. ornata significantly decreased cyclophosphamide-induced lipid peroxidation and inflammatory cytokines in rats. In addition, we demonstrated that both T. ornata and P. pavonia have anti-inflammatory effect in diabetic rats [13]. Another study conducted by Karthikeyan et al. [31] reported that Padina boergessenii significantly decreased lipid peroxidation and alleviated the nephrotoxicity induced by CCl4 in rats.
Renal tissue GSH content was significantly depleted in the AOM treated group, with concomitantly declined renal activities of the antioxidant enzymes SOD and GPx. GSH is an antioxidant thiol compound [39,40] that protect cells against lipid peroxidation through the formation of S-conjugates with products of lipid peroxidation [41] and by acting as a co-factor of GPx [42,43]. In addition, GSH has been reported to be involved in detoxification of many xenobiotics through the formation of S-conjugates with toxic metabolites in the second phase of biotransformation [44]. The observed inactivation of the antioxidant enzymes may be attributed directly to the increased production of ROS in AOM-induced mice. Supplementation with either T. ornata or P. pavonia extracts potentially restored renal GSH content as well as activities of the antioxidant enzymes when compared with AOM control group. Recently, we reported that T. ornata extract significantly ameliorated GSH and activities of the antioxidant enzymes in cyclophosphamide- induced hepatotoxicity in rats [12]. In addition, Germoush [45] demonstrated the antioxidant effects of T. ornata and P. pavonia extracts, provided as a gift from our lab, in diabetic rats. Therefore, we assume that supplementation of both tested extracts protected mice against AOM-induced nephrotoxicity by preventing depletion of GSH and enhancing the renal antioxidant defense enzymes.
In conclusion, the present study conveys for the first time new information on the protective effects of T. ornata and P. pavonia against AOM-induced nephrotoxicity. Our findings suggest that the renoprotective effects of the brown seaweeds might be attributed to their ability to hamper oxidative damage induced by the chemical carcinogen AOM and to potentiate the renal antioxidant defense system.
CONFLICT OF INTEREST
The authors have declared that no competing interests exist.
REFERENCES