1Hormones Department, National Research Centre, Cairo, Egypt; 2Chemistry Department, Biochemistry Division, Faculty of Science, Tanta University, Tanta, Egypt.
Email: hanaaomr@yahoo.com
Received: 07 Oct 2014 Revised and Accepted: 06 Nov 2014
ABSTRACT
Objective: The current study was planned to investigate the anti-inflammatory and antiapoptotic effects of Boswellia serrata methanolic extract against neurodegeneration characterizing Alzheimer’s disease (AD) in rat model.
Methods: Adult male Wistar rats were classified into five groups. Group (1) control group; group (2) AD group which was administered orally with AlCl3 daily for one month; group (3) AD group which was treated orally with rivastigmine daily for three months; group (4) AD group which was treated orally with B. serrata (137.5 mg/kg b. wt) daily for three months and group (5) AD group which was treated orally with B. serrata (68.75 mg/kg b. wt) daily for three months. Brain acetylcholine (Ach), brain and serum acetylcholine (AchE) activity, C-reactive protein (CRP), nuclear factor kappa B (NF-KB), monocyte chemotactic protein-1 (MCP-1), leukotriene B4 (LTB4) and B-cell lymphoma 2 (Bcl-2) levels were detected. Brain histological investigation of all studied groups was carried out.
Results: The data of the current study showed that AlCl3 administration resulted in significant reduction in brain Ach and brain and serum Bcl-2 levels accompanied with significant elevation in brain and serum AchE, CRP, NF-KB, MCP-1 and LTB4 levels. Brain histological investigation of rats administered AlCl3 showed appearance of Aβ plaques characterizing AD. Treatment of rats with B. serrata methanolic extracts caused marked improvement in the measured biochemical parameters as well as in the histological feature of the brain.
Conclusion: B. serrata possesses anti-inflammatory and antiapoptotic effect against neuroinflammation characterizing AD.
Keywords: Alzheimer’s disease, Boswellia serrata, Neuroinflammation, Apoptosis, Rat.
INTRODUCTION
Alzheimer's disease (AD) is the most well-known type of neurodegenerative dementia in elderly, which proceeds at stages from mild and moderate to severe and gradually destroys the brain [1]. Alzheimer's disease remains perhaps the most devastating disease of old age and constitutes a large social and economic burden to both the families and society as a whole [2].
This disease is characterized by loss of neurons and synapses in the cerebral cortex and certain subcortical regions. This results in gross atrophy of the affected regions, including degeneration in the temporal lobe and parietal lobe, as well as parts of the frontal cortex and cingulate gyrus [3]. Amyloid plaques (Aβ) and neurofibrillary tangles are the common features that are clearly visible by microscopy in brains of those afflicted by AD [4]. Several mechanisms have been postulated to explain AD pathogenesis; Aβ toxicity, cholinergic dysfunction, tau protein hyperphosphorylation, oxidative damage, synaptic dysfunction and inflammation secondary to senile plaques [5]. It is well known that Alzheimer’s disease is characterized, among other features, by a marked modification of the cholinergic system [6]. The presynaptic cholinergic deficits consistently reported in AD have been interpreted as indicative of a generalized cholinergic hypoactivity [7].
Inflammation in particular, represents an important component in the pathogenesis of AD, consisting of the activated microglia and astrocytes. Histological studies revealed the presence of activated microglia and reactive astrocytes in and around extraneuronal amyloid plaques in AD brain [8].
Apoptosis has been found to be associated with AD pathophysiology [9]. Stimuli for apoptosis in AD include increased oxidative stress, growth factor deprivation, metabolic impairment, mitochondrial dysfunction, DNA damage and protein aggregation [10].
Aluminum (Al) has been implicated as an etiopathogenic factor in AD as it is able to alter several biochemical mechanisms including the degradation of the amyloid peptides [11], the increased activity of acetylcholinestrase (AChE) and the acceleration of the assembly of Aβ into fibrils [12]. Moreover, the increased concentration of Al favors the formation of Tau protein and consequently the formation of neurofibrillary tangles [13].
Herbal medicine continues to influence the medicines of today and up to 25% of all prescription drugs in the United States have at least one active ingredient that comes from plant extracts or synthesized plant compounds. According to the WHO as many as 4 billion people or 80% of the earth’s population are estimated to use some form of herbal medicine in their health care [14].
Boswellia serrata is a moderate-to-large branching tree found in India, Northern Africa and Middle East. B. serrata resin contains oils, terpenoids, sugars, volatile oils and beta boswellic acid which is being the major constituent of B. serrata. The therapeutic value of B. serrata predominantly resides in its oleo-resin portion, which possesses anti-inflammatory, antiarthritic, antirheumatic, antidiarrhoeal, antihyperlipidemic, antiasthematic, anticancer, antimicrobial and analgesic activity [15].
It has been found that the treatment with boswellic acid derivative, acetyl-keto-beta-boswellic acid (AKbetaBA), results in significant downregulation of several NF-kappaB-dependent genes such as monocyte chemoattractant protein-1 (MCP-1), (MCP-3), interleukin-1alpha (IL-1α), macrophage inflammatory protein (MIP-2) and vascular endothelial growth factor (VEGF). Additionally, the inhibition of NF-kappaB (NF-KB) activity by plant resins from species of the B. serrata family might represent an alternative therapy for the classical medicine in the treatment of chronic inflammatory diseases [16].
The current study was constructed to evaluate the efficacy of B. serrata methanolic extract in management of neuroinflammatory and apoptotic insults characterizing Alzheimer's disease in the experimental rat model.
Materials and Methods
Chemicals and drug
Medicinal plant
Plant extraction
The resin portion of B. serrata (2.5kg) was ground and soaked in 5.0 liters of methanol, left at room temperature for three days, and then filtered. The filtrate was evaporated at 40˚C under reduced pressure in a rotatory evaporator (Heidolph, Germany) to yield total methanolic extract (52.25g).
Animals
The present study was conducted on forty adult male Wistar rats weighing 150 to 200 g, 4 months old obtained from the Animal House Colony of the National Research Centre, Cairo, Egypt. The animals were maintained on standard laboratory diet and water ad libitum, housed in polypropylene cages in a temperature controlled (23±1°C) and artificially illuminated (12 h light/dark cycles) room free from any source of chemical contamination. Ethical approval for conducting the present study was given by the institutional Ethical Committee of Medical Research of the National Research Centre, Egypt which enacts the ethical rules for performing the research on experimental animals.
Experimental set-up
The animals used in the current study were classified into 5 groups (8 rats/group): (1): Normal healthy animals that served as negative control group. (2): AD-induced group, in which the animals were received (AlCl3) orally in a dose of 17 mg/Kg b. wt. daily for one month [17]. (3): AD-induced group which was treated orally with the conventional therapy used for AD (Rivastigmine) in a dose of 0.3 mg/kg b. wt daily for three months [18] as a reference drug for comparison. (4): AD-induced group which was treated orally with Boswellia serrata methanolic extract in a dose of 137.5 mg/kg b. wt daily for three months. (5): AD-induced group which was treated orally with Boswellia serrata methanolic extract in a dose of 68.75 mg/kg b. wt daily for three months. At the end of the experimental period, blood samples were collected after 12 hours fasting using the orbital sinus technique, under light anesthesia by diethyl ether, according to the method of [19]. Each blood sample was left to clot in clean dry test tubes, and then centrifuged at 1800 x g for 10 min at 4 °C to obtain serum. The clear serum samples were frozen at -20°C for the biochemical analyses.
After blood collection, the rats were sacrificed by decapitation and the whole brain of each animal was rapidly dissected, thoroughly washed with isotonic saline, dried on filter paper, weighed and then divided mid-sagitally into two halves. One half of each brain was homogenized immediately to give 10% (w/v) homogenate in ice-cold medium containing Tris-Hcl (pH 7.4) and sucrose [20]. The homogenate was centrifuged at 1800 x g for 10 min at 4°C and the supernatant (10%) was separated for the different biochemical analyses. The second half of each brain was fixed in formalin buffer (10%) for the histological investigation.
Biochemical assays
Quantitative estimation of total protein content in the brain was carried out according to the method of Lowry et al. [21] to express the concentration of different brain parameters per mg protein. Brain acetylcholine (Ach) level was determined colorimetrically according to the method of Oswald et al. [22] using kit purchased from Biovision Research Products Co., Linda Vista Avenue, USA. Serum and brain acetycholinesterase (AchE) activities were detected colorimetrically according to method of Den Blawen et al. [23] using kit purchased from Quimica Clinica Aplicada S. A Co., Amposta, Spain. Serum and brain C-reactive protein (CRP) levels were determined by enzyme linked immunosorbent assay (ELISA) technique using kit purchased from Labor Diagnostic Nord Co., Germany, according to the method of Wilkins et al. [24]. Brain and serum monocyte chemotactic protein-1 (MCP-1) levels were detected according to Ikawa et al. [25] method using ELISA kit purchased from Invitrogen Co., Camarillo, USA. Leukotriene B4 (LTB4) levels in serum and brain were estimated by competitive immunoassay technique according to Chard [26] method using kit purchased from Enzo Life Sciences Co., Germany. Serum and brain nuclear factor kappa B (NF-KB) levels were determined by ELISA technique using kit purchased from Glory Science Co., USA, according to the method of Adams [27]. Serum and brain B-cell lymphoma 2 (Bcl-2) levels were detected using ELISA technique according to the method of Barbareschi et al. [28] using kit purchased from Bender MedSystems GmbH, Vienna, Austria.
Histopathological examination
After twenty four hours of brain tissue fixation, washing was done in tap water then serial dilutions of alcohol (methyl, ethyl and absolute ethyl) were used for dehydration. Specimens were cleared in xylene and embedded in paraffin at 56 degrees in hot air oven for twenty four hours. Paraffin bees wax tissue blocks were prepared for sectioning at 4 μ thick by slidge microtome. The obtained tissue sections were collected on glass slides, deparaffinized and stained by hematoxylin and eosin (H&E) stain [29] for the histopathological examination through the light microscope Nikon,Japan,with objectives 5x.
Statistical analysis
In the present study, all the results are expressed as Mean ± S. E of the mean. Data were analyzed by one way analysis of variance (ANOVA) using the Statistical Package for the Social Sciences (SPSS) program, version 11 followed by least significant difference (LSD) to compare the significance between the groups [30]. The difference was considered significant when P value was > 0.05. The percentage difference that represents the percent of variation with respect to the corresponding control group was also calculated using the following formula.

Results
The results in table (1) showed the effect of treatment with rivastigmine and Boswellia serrata methanolic extract on cholinergic markers represented by brain Ach level and serum and brain AchE activity in AD model. In comparison with the negative control group, AlCl3 administration produced significant reduction (P<0.05) in brain Ach level (-31.48%), accompanied with significant elevation (P<0.05) in serum and brain AchE activity (29.9% and 34.30% respectively). However, treatment of AD-induced group with rivastigmine or B. serrata methanolic extract resulted in significant increase (P<0.05) in brain Ach level (29.91% for rivastigmine, 18.14% for B. serrata (137.5 mg/kg b. wt) and 10.51 % for B. serrata (68.75 mg/kg b. wt)) as compared to the untreated AD-induced group. On the other hand, treatment with rivastigmine or B. serrata methanolic extract caused significant decrease (p<0.05) in serum and brain AchE activity (-20.88%,-21.44% for rivastigmine; -18.58 %, -15.54% for B. serrata (137.5 mg/kg b. wt); -16.66%, -10.7% for B. serrata (68.75 mg/kg b. wt)) as compared to the untreated AD-induced group. In comparison with rivastigmine treated group, significant decrease (p<0.05) in brain Ach level was detected in B. serrata treated groups with the two doses. In contrast, treatment with B. serrata in the two selected doses produced insignificant increase (p>0.05) in serum AchE activity when compared with rivastigmine treated group. Moreover, in comparison with rivastigmine treated group, treatment with high dose of B. serrata (137.5 mg/kg b. wt) caused insignificant increase (p>0.05) in the brain AchE activity while, low dose of B. serrata (68.75 mg/kg b. wt) produced significant increase (p<0.05) in its activity (Table 1).
Table 1: Effect of treatment with rivastigmine and Boswellia serrata methanolic extract on brain acetylcholine (Ach) level and serum and brain acetylcholinesterase (AchE) activity in AD model
|
Ach |
AchE |
|
|
Brain (nmol/mg protein) |
Serum (U/L) |
Brain (U/mg protein) |
Negative control |
8.1 x 10-2 ± 1.4 x 10-3 |
737.6 ± 36.6 |
571.1 ± 26.8 |
AD-induced group |
5.5 x 10-2 ± 1.4 x 10-3a |
958.4 ± 13.8a |
767.0 ± 14.9a |
AD+ Rivastigmine |
7.2 x 10-2 ± 1.2 x 10-3b |
758.2 ± 33.5b |
602.5 ± 26.6b |
AD + B. serrata (137.5 mg/kg b. wt) |
6.5 x 10-2 ± 2.4 x 10-3bc |
780.3 ± 35.6b |
647.7 ± 17.0b |
AD+ B. serrata (68.75 mg/kg b. wt) |
6.1 x 10-2 ± 1.0 x 10-3bc |
798.8 ± 50.3b |
685.1 ± 16.1bc |
Data are expressed as means ± standard error (SE) for 8 animals / group, a: P < 0.05 vs negative control, b: P < 0.05 vs AD-induced group, c: P < 0.05 vs AD + Rivastigmine group, (%): percent of difference with respect to corresponding control value.
The data in table (2) illustrated the influence of treatment with rivastigmine and B. serrata methanolic extract on brain CRP, NF-KB, MCP-1 and LTB4 levels in AD model. Our findings revealed that AlCl3 administration resulted in significant elevation (P<0.05) in brain CRP (158.13%), NF-KB (124.1%), MCP-1 (138.9%) and LTB4 (187.84%) levels as compared to the negative control group. On the other hand, treatment of AD-induced group with rivastigmine or B. serrata methanolic extract produced significant decrease (P<0.05) in brain CRP level (-34.2% for rivastigmine, -24.73% for B. serrata (137.5 mg/kg b. wt) and -20.05% for B. serrata (68.75 mg/kg b. wt)) as compared to untreated AD-induced group. Similarly, brain NF-KB level showed significant decrease (p<0.05) in AD-induced groups treated with rivastigmine or B. serrata methanolic extract with the percent of difference; -43.27 % for rivastigmine, -40.96 % for B. serrata (137.5 mg/kg b. wt) and -33.84 % for B. serrata (68.75 mg/kg b. wt) as compared with untreated AD-induced group. Brain MCP-1 level also revealed significant decrease (p<0.05) in the groups induced with AD and treated with rivastigmine or B. serrata methanolic extract with the percent of difference -53.5% for rivastigmine, -35.46% for B. serrata (137.5 mg/kg b. wt) and -26.61% for B. serrata (68.75 mg/kg b. wt) as compared to the untreated AD-induced group. Treatment of AD-induced groups with rivastigmine or B. serrata methanolic extract resulted in significant reduction (p<0.05) in brain LTB4 level (-46.86% for rivastigmine, -37.48% for B. serrata (137.5 mg/kg b. wt) and -27.56% for B. serrata (68.75 mg/kg b. wt)) in comparison with the untreated AD-induced group. In comparison with rivastigmine treated group, insignificant increase (p>0.05) in CRP and NF-KB brain levels have been detected in AD-induced groups treated with the selected doses of B. serrata. Moreover, significant increase (p<0.05) in brain MCP-1 level has been recorded in AD-induced groups treated with the two selected doses of B. serrata in comparison with rivastigmine treated group. At the same time, insignificant increase (p>0.05) in brain LTB4 level has been observed in AD-induced group treated with high dose of B. serrata (137.5 mg/kg b. wt) in comparison with rivastigmine treated group. While, low dose of B. serrata (68.75 mg/kg b. wt) produced significant increase (p<0.05) in brain LTB4 level in comparison with rivastigmine treated group (Table 2).
Table 2: Effect of treatment with rivastigmine and Boswellia serrata methanolic extract on brain CRP, NF-KB, MCP-1 and LTB4 levels in AD model.
|
CRP |
NF-KB |
MCP-1 |
LTB4 |
Negative control group |
3.06 ± 0.27 |
8.3 ± 0.28 |
1.8 ± 0.12 |
0.22 ± 0.01 |
AD-induced group |
7.9 ± 0.76a |
18.6 ± 1.05a |
4.3 ± 0.45a |
0.64 ± 0.06a |
AD + Rivastigmine |
5.2 ± 0.22b |
10.6 ± 0.24b |
2.0 ± 0.18b |
0.34 ± 0.03b |
AD + B. serrata (137.5 mg/kg b. wt) |
5.9 ± 0.13b |
10.9 ± 0.81b |
2.8 ± 0.23bc |
0.40 ± 0.02b |
AD + B. serrata (68.75 mg/kg b. wt) |
6.3 ± 0.21b |
12.3 ± 0.52b |
3.2 ± 0.22bc |
0.46 ± 0.03bc |
Data are expressed as means ± standard error (SE) for 8 animals / group, a: P < 0.05 vs negative control, b: P < 0.05 vs AD group, c: P < 0.05 vs AD + Rivastigmine group, (%): percent of difference with respect to corresponding control value.
The results in table (3) represent the effect of treatment with rivastigmine and B. serrata methanolic extract on serum CRP, NF-KB, MCP-1 and LTB4 levels in AD induced model. The current data revealed that AlCl3 administration resulted in significant elevation (P<0.05) in each of the serum CRP (70.588%), NF-KB (32.08%), MCP-1 (45.34%) and LTB4 (44.85%) levels compared with the negative control group. Meanwhile, treatment of AD-induced group with rivastigmine or B. serrata methanolic extract produced significant decrease (P<0.05) in serum CRP level (-31.72% for rivastigmine, -11.55% for B. serrata (137.5 mg/kg b. wt) and -9.65% for B. serrata (68.75 mg/kg b. wt) compared with the untreated AD-induced group. Similar trend has been shown in serum level of NF-KB which revealed significant decline (p<0.05) in rivastigmine or B. serrata treated groups with percent of difference -22.7% for rivastigmine, -22.06% for B. serrata (137.5 mg/kg b. wt) and -20.71% for B. serrata (68.75 mg/kg b. wt) as compared to the untreated AD-induced group. Serum MCP-1 level displayed significant decrease (p<0.05) in the groups treated with rivastigmine or B. serrata with percent of difference -27.48% for rivastigmine, -22.32% for B. serrata (137.5 mg/kg b. wt) and -19.39 % for B. serrata (68.75 mg/kg b. wt) compared with the untreated AD-induced group. Treatment of AD induced group with rivastigmine caused significant reduction (p<0.05) in serum LTB4 level (-19.04 %) as compared to the untreated AD-induced group. Meanwhile, treatment of AD-induced groups with the two selected doses of B. serrata resulted in insignificant reduction (p>0.05) in serum LTB4 level (-8.15% for B. serrata (137.5 mg/kg b. wt) and -4.5% for B. serrata (68.75 mg/kg b. wt)) in comparison with the untreated AD-induced group. In comparison with the rivastigmine treated group, significant increase (p<0.05) in serum CRP level has been detected in the AD-induced groups treated with B. serrata in the two selected doses. Interestingly, treatment of the AD-induced groups with the two studied doses of B. serrata produced insignificant change (p>0.05) in serum NF-KB, MCP-1 and LTB4 levels in comparison with the rivastigmine treated group (Table3).
The results in table (4) illustrated the effect of treatment with rivastigmine and B. serrata methanolic extract on brain and serum Bcl-2 levels in AD model. The present findings revealed that AlCl3 administration resulted in significant depletion (P<0.05) in brain and serum Bcl-2 levels (-43.25% and -42.98% respectively) when compared with the negative control group. However, treatment of AD-induced groups with rivastigmine or B. serrata methanolic extract produced significant increase (P<0.05) in brain Bcl-2 level (63.59% for rivastigmine, 49.26% for B. serrata (137.5 mg/kg b. wt) and 31.4% for B. serrata (68.75 mg/kg b. wt)) when compared to the untreated AD-induced group. Moreover, treatment of AD-induced groups with rivastigmine or high dose of B. serrata (137.5 mg/kg b. wt) produced significant increase (p<0.05) in serum Bcl-2 level (58.13% and 28.23% respectively) in comparison with the untreated AD-induced group. While, the AD-induced group treated with low dose of B. serrata (68.75 mg/kg b. wt) showed insignificant increase (p>0.05) in serum Bcl-2 level (10.43%) in comparison with the untreated AD-induced group. Meanwhile, the AD-induced groups treated with B. serrata in the two selected doses exhibited significant decrease (p<0.05) in brain and serum Bcl-2 levels when compared to the rivastigmine treated group, except for the AD-induced group treated with high dose of B. serrata (137.5 mg/kg b. wt), which showed insignificant decrease (p>0.05) in brain Bcl-2 level (Table 4).
Table 3: Effect of treatment with rivastigmine and Boswellia serrata methanolic extract on serum CRP, NF-KB, MCP-1 and LTB4 levels in AD model
| CRP
(ng/ml) |
NF-KB
(ng/ml) |
MCP-1
(pg/ml) |
LTB4
(pg/ml) |
|
| Negative control group | 0.34 ± 0.009 | 1766.55 ± 116.11 | 67.4 ± 1.9 | 24.02 ± 0.74 |
| AD-induced group | 0.58 ± 0.03a
(70.588%) |
2333.2 ± 58.05a
(32.08%) |
98.1 ± 8.5a
(45.34%) |
34.76 ± 0.81a
(44.85%) |
| AD + Rivastigmine | 0.4 ± 0.02b
(-31.72%) |
1803.5 ± 46.98b
(-22.7%) |
71.2 ± 2.8b
(-27.48 %) |
28.14 ± 1.22b
(-19.04%) |
| AD + B. serrata (137.5 mg/kg b. wt) | 0.51 ± 0.006bc
(-11.55%) |
1818.36 ± 224.41b
(-22.06%) |
76.2 ± 2.5b
(-22.32%) |
31.93 ± 4.11
(-8.15%) |
| AD + B. serrata (68.75 mg/kg b. wt) | 0.53 ± 0.007bc
(-9.65%) |
1849.9 ± 141.03b
(-20.71%) |
79.12 ± 0.91b
(-19.39%) |
33.21 ± 1.06
(-4.5%) |
Data are expressed as means ± standard error (SE) for 8 animals / group, a: P < 0.05 vs negative control, b: P < 0.05 vs AD group, c: P < 0.05 vs AD + Rivastigmine group, (%): percent of difference with respect to corresponding control value.
Table 4: Effect of treatment with rivastigmine and Boswellia serrata methanolic extract on brain and serum Bcl-2 levels in AD model
| Bcl-2 | ||
| Brain (ng/mg protein) | Serum (ng/ml) | |
| Negative control group | 5.5 ± 0.48 | 3.46 ± 0.13 |
| AD – induced group | 3.1 ± 0.23a
(- 43.25 %) |
1.98 ± 0.03a
(-42.98%) |
| AD + Rivastigmine | 5.1 ± 0.23b
(63.59%) |
3.12 ± 0.14b
(58.13%) |
| AD + B. serrata (137.5 mg/kg b. wt) | 4.7 ± 0.26b
(49.26%) |
2.53 ± 0.23bc
(28.23%) |
| AD + B. serrata (68.75 mg/kgb. wt) | 4.1 ± 0.20bc
(31.4%) |
2.18 ± 0.05c
(10.43%) |
Data are expressed as means ± standard error (SE) for 8 animals / group, a: P < 0.05 vs negative control, b: P < 0.05 vs AD group, c: P < 0.05 vs AD + Rivastigmine group, (%): percent of difference with respect to corresponding control value.
Histological investigation
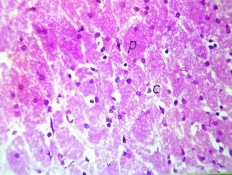
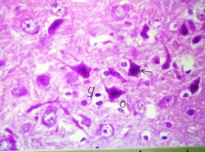
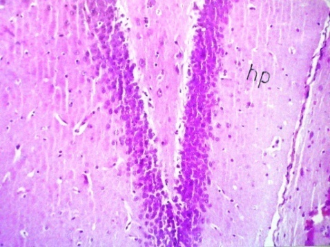
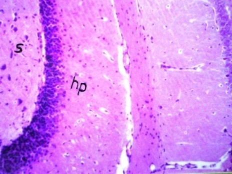
Microscopic examination of brain tissue sections of rats in the negative control group showed no histopathological alteration, with normal histological structure of the hippocampus (Fig.1). Photomicograph of brain tissue sections of rats in the AD-induced group showed neuronal degeneration and oedema with gliosis in the hippocampus (Fig.2). Also, cerebral encephalomelacia and plaques formation have been observed in the hippocampus of the AD-induced group (Fig. 3). Photomicograph of brain tissue sections of rats in the AD-induced group treated with rivastigmine showed intact normal histological structure of the hippocampus (Fig.4). Microscopic examination of brain tissue sections of rats in the AD-induced group treated with B. serrata (137.5 mg/kg b. wt) showed normal histological structure of hippocampus and striatum (Fig. 5). While, photomicrograph of brain tissue section of rats in the AD-induced group treated with B. serrata (68.75 mg/kg b. wt) showed neuronal degeneration and odema in the hippocampus (Fig. 6).
Discussion
The present findings revealed that AlCl3 administration induced significant reduction in brain Ach level. This result is in agreement with those of Bielarczyk et al. [31] and Ahmed et al. [32]. Aluminum could reduce Ach level in the brain through its interaction with cholinergic system. Aluminum alters the cholinergic projection functioning and intensifies its inflammation [33]. The cholinotoxic activity of Al is exerted perhaps by blocking the provision of Acetyl CoA, which is required for Ach synthesis, and also by inhibiting Ach release [31]. Furthermore, Al displayed its cholinotoxic effect by impairing the activities of the biosynthetic enzyme cholin acetyl transferase (ChAT) and hydrolytic enzyme AchE [34]. This represents a suggested mechanism by which aluminum could contribute to the pathological process in AD. Aluminum administration in adult male rats induced significant elevation in brain and serum AchE activity in the current study. This finding is in accordance with that of Kaizer et al. [35] and Zhang et al. [36] Who demonstrated an increase in AchE activity in different mouse brain regions after exposure to aluminum. Also, this result agrees with that of Ahmed et al. [32] who recorded a significant increase in serum AchE due to aluminum administration in rats. It has been demonstrated that the increase in AchE activity following aluminum exposure was due to allosteric interaction between aluminum and the peripheral anionic site of the enzyme molecule leading to modification of the secondary structure and eventually the enzyme activity [37]. In view of our results, it has been demonstrated that the treatment of AD-induced rats with rivastigmine produces significant increase in brain Ach level accompanied with significant decrease in brain and serum AchE activity. These results are in agreement with those of Liang and Tang [38] and Salem et al. [9] who demonstrated that rivastigmine supplementation increases the concentration of acetylcholine and inhibits acetylcholineesterase activity. Rivastigmine is a carbamate derivative pseudo-irreversible cholinesterase inhibitor which can inhibit both AchE and BuchE1. This drug has been used for symptomatic treatment of AD and it was reported that this drug has the ability to inhibit AchE in the cortex and hippocampus, brain areas involved in cognition [39].
Moreover, it has been demonstrated that treatment with the indole alkaloid physostigmine which provided a template for the development of rivastigmine, an AchE inhibitor isolated from Physostigma venenosum, has improved the cognitive function in several in vivo studies. It could protect mice against cognitive impairment caused by oxygen deficit, improve learning in rats and antagonize scopolamine-induced impairment of the cognitive function in rats [40]. Therefore, the mechanism by which rivastigmine could improve the cognition of these rats is related to its potential to increase Ach and decrease AchE activity as shown in the present study.
![]() |
![]() |
![]() |
![]() |
![]() |
![]() |
Treatment of the AD-induced rats with B. serrata produced significant increase in brain Ach level in concomitant with significant decrease in brain and serum AchE activity. Anticholinesterase activity of B. serrata has been previously reported [41].
It has been demonstrated that 11alpha-hydroxy-beta-boswellic acid and 11-keto-beta-boswellic acid isolated from B. serrata exert inhibitory activity on AchE. The suppressive effect of these compounds on AchE appears to be associated with the presence of either free hydroxyl group or keto group at C-11 and the presence of free hydroxyl group at C-3 in the ursane skeleton [41]. Many studies have suggested that inhibiting neuronal AchE activity would increase the level of Ach and improve the cognitive function effectively [42-44].
The current study revealed that AlCl3 administration induced significant elevation in brain and serum CRP, NF-KB, MCP-1 and LTB4 levels. Elevated inflammatory markers such as CRP [45], NF-kB [46], MCP-1 [47] and LTB4 [48] levels are related to a significantly increased risk for vascular dementia (VaD) and AD. It has been demonstrated that the inflammatory mediators play a dual role in the neurodegenerative disorders by both stimulating glial cells and activating molecular pathways, leading to neurodegeneration [49]. The finding of elevated serum and brain CRP levels due to Al administration agrees well with the study of Ravaglia et al. [50] and Ahmed et al. [32]. The increased serum level of CRP has been associated with poor memory [51] and AD [45]. The expression level of CRP in the brain has been found to be upregulated particularly in AD-affected brain area [52]. Al promotes the accumulation of insoluble Aβ (1-42) protein [53] which is considered as a pathological hallmark of AD. The pathological change of AD is believed to stimulate glial cells to produce proinflammatory cytokines, inflammation-reactive proteins such as CRP; these might then act via paracrine and/or autocrine pathways to stimulate glial cells to further produce additional Aβ (1-42), P-Tau and proinflammatory molecules [49]. Regarding the elevated brain and serum NF-KB levels in rats after Al administration as shown in the present results, this finding coincides with that of Ahmed et al. [32]. Al could increase the inflammatory processes in the brains of mice [54] as it could upregulate genes encode proinflammatory signaling elements, including NF-KB subunits [55]. Moreover, Al could promote the production of ROS in the brain and many studies have linked increased intraneuronal generation of ROS and NF-KB production [56]. Thus, NF-KB pathway appears to be involved in the pathologic mechanisms of AD [57]. The current data revealed significant increase in brain and serum MCP-1 levels in Al administered rats. It has been demonstrated that MCP-1 is a key player in Aβ–induced inflammatory response since the expression of MCP-1 was significantly increased in AD. Aβ is able to induce MCP-1 expression in the astrocytes with consequent increase in its production [58]. MCP-1 attracts monocytes from peripheral blood to transmigrate across the BBB to the inflammatory site in the brain and plays an important part in AD inflammatory response [59]. Brain and serum LTB4 exhibited significant increase in Al administered rats in the present study. It has been found that Aβ induces a proinflammatory response in microglia as evidenced by increased LTB4 release [48]. Al intoxication leads to changes in cytochrome P450 4FS (CYP4F) levels which inversely correlate with the levels of LTB4 in the brain following injury [60] as these have been shown to catalyze the omega-hydroxylation of endogenous LTB4 [61].
Treatment of AD-induced rats with rivastigmine produced significant decrease in brain and serum CRP, NF-KB, MCP-1 and LTB4 levels. This indicated that it has anti-inflammatory activity. The anti-inflammatory effects of rivastigmine rely on the cholinergic immune system [62] as rivastigmine could ameliorate neurological dysfunction and memory deficits in animals through its ability to downregulate the inflammatory activation of immune cells via the increased level of Ach acting on nicotinc α7receptors [63]. Moreover, rivastigmine could significantly attenuate the production of IL-1β in the hippocampus and blood, concomitantly with the inhibition of AchE activity in mice. It has been demonstrated that IL-1β and IL-6 strongly induce the expression of CRP in the brain tissue [64]. This means that cholinergic enhancement leads to central and peripheral reduction in the inflammatory cascades with consequent decline in CRP production. Acetylcholinesterase inhibitor (AchEI), rivastigmine, is widely used for the treatment of cognitive dysfunction in Alzheimer's disease [65]. It possesses an advantage for treatment of CNS diseases like AD in which inflammatory damage and cognitive dysfunction occur [66]. This advantage of rivastigmine stems from its potent influence in activating α 7 nicotinc Ach receptors (nAchRs). The α7 nAchRs were identified as anti-inflammatory target in machrophages [67] as the activation of these receptors reduced proinflammatory cytokine production and NF-KB-dependent transcription [68]. In general, it has been reported that AchEIs directly inhibit the release of cytokines from micoglia and monocytes [69]. These findings explained the significant decrease in brain and serum levels of NF-KB in AD-induced rats treated with rivastigmine.
Concerning the significant decline in brain and serum levels of MCP-1 in AD-induced rats treated with rivastigmine, this result could be interpreted as AchEI increases the phyto-hemagglutinine A-induced MCP-1 expression and production and reduces MCP-1 receptor (CCR2) expression in AD patients [70].
The present findings revealed that the treatment of AD-induced rats with rivastigmine resulted in significant reduction in brain and serum LTB4 levels. This result agrees with that of Salem et al. [9]. This could be attributed to the anti-inflammatory activity of rivastigmine [53].
The present findings showed that the treatment of AD-induced rats with B. serrata lead to significant reduction in brain and serum levels of CRP. This result could be attributed to the anti-inflammatory activity of B. serrata [71]. This effect of B. serrata may be due to boswellic acids (BAs) which have potent anti-inflammatory properties. Boswellic acids are considered as promising agents for the treatment of inflammatory diseases [72]. Boswellic acids have been found to downregulate the proinflammatory cytokines including TNF-α, IL-1β, IL-2, IL-4, IL-6 and IFN-gamma by interaction with the production/release of these cytokines with a consequent decline in CRP production. Suppression of the classic way of the complement system by boswellic acids was reported to be due to inhibition of the conversion of C3 into C3a and C3b [73]. Our findings showed that the treatment of AD-induced rats with B. serrata resulted in significant depletion in brain and serum levels of NF-KB. Ammon [73] reported that boswellic acids inhibited the activation of NF-KB which is a product of neutrophile granulocytes. Boswellic acids act as inhibitors of NF-KB signaling by intercepting IKB kinase (IKK) activity, thereby inhibiting expression of NF-KB-dependent genes [74]. The inhibition of NF-KB activity by plant resins from species of the Boswellia family might represent an alternative therapy in the classical medicine for the treatment of chronic inflammatory diseases [16]. Significant decline in brain and serum MCP-1 levels has been detected in AD-induced rats treated with B. serrata as shown in the present study. It has been demonstrated that the treatment with boswellic acid derivative, acetyl-keto-beta-boswellic acid (AKbetaBA), resulted in a significant down regulation of several NF-kappaB-dependent genes such as MCP-1, MCP-3, IL-1α, macrophage inflammatory protein (MIP-2) and vascular endothelial growth factor (VEGF) [16]. Treatment of AD-induced rats with B. serrata produced significant reduction in brain and serum levels of LTB4. Boswellic acid has been found to inhibit leukotrienes synthesis, LTB4 [75] via inhibiting 5-lipoxygenase, a significant enzyme engrosses in arachidonic acid metabolism [15, 73].
The results of the current study revealed that, AlCl3 administration induced significant depletion in brain and serum Bcl-2 levels. In accordance with our results, Jin et al. [76] demonstrated that Al reduced the expression of Bcl-2 in the hippocampus with a consequent impact on learning and memory of rats. In fact, Al induces neuronal apoptosis through exerting stress on both the endoplasmic reticulum and mitochondria, with a response that leads to cross talk between the endoplasmic reticulum and mitochondria, leading to activation of apoptosis, downregulation of the antiapoptotic protein Bcl-2, upregulation of the level of the proapoptotic Bcl-2 associated x protein (Bax), activation of caspase-3 and release of cytochrom c [77].
Treatment of Al-induced rats with rivastigmine produced significant elevation in brain and serum Bcl-2 levels. Takada-Takatori et al. [78] stated that AchEIs have a potent role in increasing the expression level of neuronal Bcl-2. The underlying mechanism for this effect is the blockade of voltage-activated K currents in the hippocampal neurons which may lead to the suppression of apoptosis and substantial increase in cell survival [79].
In view of our results, treatment of AD-induced rats with B. serrata resulted in a significant increase in brain and serum Bcl-2 levels. Boswellic acids have been found to act as non steroidal anti-inflammatory drugs (NSAIDs) [80]. NSAIDs possess antiapoptotic activity as well as neuroprotective effects against many neurodegenerative diseases such as AD through the inhibition of apoptosis in chondrocytes [81].
Photomicrograph of brain tissue sections of AD-induced rats showed neuronal degeneration and oedema with gliosis in the brain. Also, cerebral encephalomelacia and amyloid plaques formation have been detected in AD-induced rats. Klatzo et al. [82] stated that the intracerebral administration of Al in the experimental animals induced neurofibrillary degeneration and appearance of tangle-like structures that are similar to the NFTs found in the brains of AD patients. Praticó et al. [83] found that oral administration of Al caused marked increase in the amount of β-amyloid both in its secreted and accumulated forms. Also, Al could increase the deposition of senile plaques in AD-model mice transfected with human APP gene (Tg 2576). Rodella et al. [84] also in consistent with other study demonstrated that oral Al supplementation caused the accumulation of β-amyloid and impaired the spatial learning memory in AD-model mice.
Photomicrograph of brain tissue sections of AD-induced rats treated with rivastigmine revealed no histopathological alterations in the hippocampus. Coleman et al. [85] demonstrated that rivastigmine treatment in a primary cell culture model can not only preserve neurons, but preserve neuronal morphology and synaptic markers that are vital for normal neuronal function. Moreover, Bihaqi et al. [86] demonstrated normal histological appearance of the brain cells treated with rivastigmine tartrate. These authors stated that rivastigmine could reverse the histopathological alterations of the brain caused by Al.
Photomicrograph of brain tissue sections of AD-induced rats treated with with B. serrata (137.5 mg/kg b. wt) showed no histopathological alteration in the hippocampus and striatum. While, photomicrograph of brain tissue sections of AD-induced rats treated with B. serrata (68.75 mg/kg b. wt) showed neuronal degeneration and odema in the hippocampus. These results are in agreement with the results of Karima et al. [87] who revealed that boswellic acids could significantly enhance neurite outgrowth, branching and tubulin polymerization dynamics. It has been suggested that the enhancing effect of boswellic acid on microtubule polymerization kinetics might be the origin of increasing axonal outgrowth and branching. Also, Kirste et al. [88] found that boswellic acids significantly reduced cerebral edema measured by MRI in the study population.
Conclusion
The present study provides a clear evidence for the therapeutic potential of B. serrata methanolic extract in Alzheimer’s disease induced in rats. The potent effect of B. serrata against Alzheimer’s disease stems from its ability to ameliorate cholinergic dysfunction, inhibit the inflammatory mediators and promote the neuronal survival.
Acknowledgement
We would like to express our deepest gratitude to the team of the project entitled “Development of natural drugs for treatment of neurodegenerative diseases” for their funding and support of the present work and their guidance, encouragement and continuous support throughout the course of this study.
CONFLICT OF INTEREST
Declared None
REFERENCES